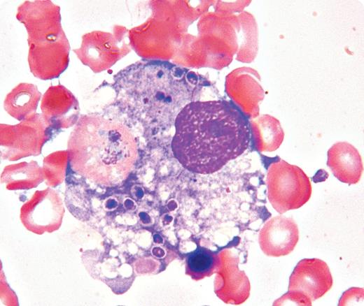
A 61-year-old truck driver developed a fever, cough, and shortness of breath requiring oxygen support and antibiotics. He had rheumatoid arthritis controlled with methotrexate and hydroxychloroquine. His occupation required delivering produce to and from the Mississippi River Valley to Ontario, Canada. His white blood cell count was 2.5 × 109/L, neutrophils 1.9 × 109/L, hemoglobin 98 g/L, and platelet count 30 × 109/L. Extensive lymphadenopathy and splenomegaly were noted. Ferritin was elevated, 2657 mcg/L, while triglycerides and coagulation tests were normal. Bone marrow examination showed numerous histiocytes with intracellular organisms (see figure). An intracellular red cell is also seen in this histiocyte. Special marrow stains along with marrow fungal cultures confirmed an underlying infection with Histoplasma capsulatum.
Histoplasma capsulatum is a fungus present in guano-contaminated soil and is common to the Mississippi River Valley. It can lead to a serious illness, especially in immunocompromised individuals. The occurrence of extensive phagocytosis has been reported in association with this infection and might be associated with pancytopenia. In this case, a number of causes of pancytopenia were investigated. However, the examination of the bone marrow provided the diagnosis and directed subsequent therapy. The patient responded rapidly to treatment with Amphotericin B and was discharged in stable condition.
A 61-year-old truck driver developed a fever, cough, and shortness of breath requiring oxygen support and antibiotics. He had rheumatoid arthritis controlled with methotrexate and hydroxychloroquine. His occupation required delivering produce to and from the Mississippi River Valley to Ontario, Canada. His white blood cell count was 2.5 × 109/L, neutrophils 1.9 × 109/L, hemoglobin 98 g/L, and platelet count 30 × 109/L. Extensive lymphadenopathy and splenomegaly were noted. Ferritin was elevated, 2657 mcg/L, while triglycerides and coagulation tests were normal. Bone marrow examination showed numerous histiocytes with intracellular organisms (see figure). An intracellular red cell is also seen in this histiocyte. Special marrow stains along with marrow fungal cultures confirmed an underlying infection with Histoplasma capsulatum.
Histoplasma capsulatum is a fungus present in guano-contaminated soil and is common to the Mississippi River Valley. It can lead to a serious illness, especially in immunocompromised individuals. The occurrence of extensive phagocytosis has been reported in association with this infection and might be associated with pancytopenia. In this case, a number of causes of pancytopenia were investigated. However, the examination of the bone marrow provided the diagnosis and directed subsequent therapy. The patient responded rapidly to treatment with Amphotericin B and was discharged in stable condition.
For additional images, visit the ASH IMAGE BANK, a reference and teaching tool that is continually updated with new atlas and case study images. For more information visit http://imagebank.hematology.org.
