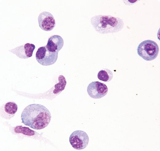
A 20-year-old woman with a history of intravenous drug use and previous methicillin-resistant Staphylococcus aureus (MRSA) endocarditis was admitted with a 1-week history of fever, headache, and confusion. Her cerebrospinal fluid (CSF) revealed 83 × 106/L nucleated cells with 61% neutrophils and 29% lymphocytes. CSF cultures grew MRSA. Antibiotics were started and an extraventricular drain was placed. One week later another lumbar puncture showed 440 × 106/L nucleated cells with 61% plasma cells, 28% lymphocytes, and 5% neutrophils. Numerous plasma cells were identified on a cytospin preparation (see figure). Peripheral blood neutrophilia (19.3 × 109/L) and normocytic anemia (hemoglobin 105 g/L) resolved at time of discharge. No serum protein electrophoresis was performed and there was no evidence of underlying malignancies or HIV. The patient recovered with only mild word-finding difficulties.
The presence of CSF plasmacytosis is unusual but nonspecific. It has been associated with central nervous system infections due to West Nile virus, HIV, herpes zoster virus, syphilis, Lyme disease, and tuberculosis. Other associations include multiple sclerosis and systemic hematologic malignancies such as multiple myeloma, and lymphoma. In this case, CSF plasmacytosis was associated with methicillin-resistant Staphylococcus aureus meningitis.
A 20-year-old woman with a history of intravenous drug use and previous methicillin-resistant Staphylococcus aureus (MRSA) endocarditis was admitted with a 1-week history of fever, headache, and confusion. Her cerebrospinal fluid (CSF) revealed 83 × 106/L nucleated cells with 61% neutrophils and 29% lymphocytes. CSF cultures grew MRSA. Antibiotics were started and an extraventricular drain was placed. One week later another lumbar puncture showed 440 × 106/L nucleated cells with 61% plasma cells, 28% lymphocytes, and 5% neutrophils. Numerous plasma cells were identified on a cytospin preparation (see figure). Peripheral blood neutrophilia (19.3 × 109/L) and normocytic anemia (hemoglobin 105 g/L) resolved at time of discharge. No serum protein electrophoresis was performed and there was no evidence of underlying malignancies or HIV. The patient recovered with only mild word-finding difficulties.
The presence of CSF plasmacytosis is unusual but nonspecific. It has been associated with central nervous system infections due to West Nile virus, HIV, herpes zoster virus, syphilis, Lyme disease, and tuberculosis. Other associations include multiple sclerosis and systemic hematologic malignancies such as multiple myeloma, and lymphoma. In this case, CSF plasmacytosis was associated with methicillin-resistant Staphylococcus aureus meningitis.
For additional images, visit the ASH IMAGE BANK, a reference and teaching tool that is continually updated with new atlas and case study images. For more information visit http://imagebank.hematology.org.

This feature is available to Subscribers Only
Sign In or Create an Account Close Modal