The p21 is a downstream effector of p53/p73 and belongs to the CIP/KIP family of cyclin-dependent kinase inhibitors (CDKIs). It is, therefore, a potential tumor suppressor gene and probably plays an important role in tumor development. Moreover, reduced expression of p21 has been reported to have prognostic value in several human malignancies. In contrast with other CDKIs, mutational inactivation of p21 is infrequent, but gene inactivation by an alternative mechanism seems to be the general pathway. In this study, we analyzed the methylation status of the p21 promoter region using semiquantitative polymerase chain reaction in 124 patients with acute lymphoblastic leukemia (ALL). We observed p21 hypermethylation in bone marrow cells from 41% (51 of 124) of ALL patients. Hypermethylation within promoter strongly correlated with decreased p21 messenger RNA expression in tumoral cells. Clinical, molecular, and laboratory features and complete remission rate did not differ significantly between hypermethylated and normally methylated patients. Estimated disease-free survival (DFS) and overall survival at 7 and 9 years, respectively, were 59% and 65% for healthy patients and 6% and 8% for hypermethylated patients (P = .00001 andP = .006). Multivariate analysis of potential prognostic factors demonstrated that p21 methylation status was an independent prognostic factor in predicting DFS (P = .0001). Our results indicate that the p21 gene is subject to methylation regulation at the transcription level in ALL and seems to be an important factor in predicting the clinical outcome of these patients.

Mitogen-dependent progression through the first gap phase (G1) and initiation of DNA synthesis (S phase) during the mammalian cell division cycle are cooperatively regulated by several classes of cyclin-dependent kinases (CDKs), the activities of which are, in turn, constrained by CDK inhibitors (CDKIs). CDKIs that govern these events have been assigned to 1 of 2 families on the basis of their structure and CDK target. The first class includes the INK4 proteins, so named for their ability to specifically inhibit the catalytic subunits of CDK4 and CDK6. This family includes p16INK4a, p15INK4b, p18INK4c, and p19INK4d. The INK4 proteins can be contrasted with more broadly acting inhibitors of the CIP/KIP family, whose actions affect the activities of cyclin D–, E– and A–dependent kinases. The latter class includes p21CIP1/WAF1/SDI1 (p21), p27KIP1, and p57KIP2.1 Increased expression of CDKIs has been recognized as a general mechanism for cell cycle arrest, and CDKIs have also been considered to be implicated in tumorigenesis as possible tumor-suppressor genes.2 3 

The p21 is a strong candidate for participation in tumor progression. Expression of p21 is induced by wild-type p53 in the presence of DNA damage, leading to apoptosis or cell cycle arrest at the G1checkpoint.4 The p21 is also involved in replicative senescence and terminal differentiation and proliferation in nonhemopoietic and hemopoietic cells.5 The potential role of p21 in oncogenesis has been postulated on the basis of its transcriptional control by p53. In addition, overexpression of p21 may suppress tumor growth in different experimental models.6 7 

One characteristic of cancer cells is a failure to undergo growth arrest and differentiation. Acute lymphoblastic leukemia (ALL) is the most prevalent type of cancer, as well as the most common form of leukemia in children.8 Leukemic cells from the majority of patients with ALL express on their surface a variety of protein antigens that are found at discrete stages of maturation on normal B- or T-lymphocyte precursors. Thus, leukemic clones from ALL patients are thought to originate from any lymphoid cell blocked at an early stage of development.9 Human immature leukemic cell lines of both myeloid and lymphoid lineages frequently show lack of p21 expression. Induction of apoptosis in this setting is accompanied by cell cycle arrest and by accumulation and stabilization of p21. These observations suggest that p21 plays an inhibitory role in the proliferation of ALL cells and that the suppression of p21 expression may be advantageous for leukemic growth.10-12 

Changes in DNA methylation patterns are known to occur during tumorigenesis.13 CpG islands near promoters and the 5′ regulatory region are usually unmethylated in normal somatic cells. In contrast, widespread methylation of CpG islands occurs on autosomal genes and leads to the silencing of the gene during oncogenic transformation. In hematologic malignancies, aberrant DNA hypermethylation is thought to play a role in leukemogenesis. For example, during the progression of chronic myeloid leukemia, the ABL1 promoter of the BCR-ABL fusion gene becomes significantly hypermethylated.14 Also, aberrant hypermethylation of the p15INK4b tumor-suppressor gene is associated with its inactivation in at least 50% of patients with acute leukemia.15 Furthermore, hypermethylation of p15INK4b is concomitant with disease progression in myelodysplastic syndromes.16 Previous studies have shown that, although decreased p21 expression is often detected in cancer cells and correlated with disease progression, including lymphoid malignancies,17,18 mutation and allelic loss of the p21 gene are rarely detected.19,20 In light of our recent finding that altered DNA methylation in ALL is associated with decreased expression of some KIP family proteins (ie, p57KIP2),21 we hypothesized that the abnormal methylation in the p21 promoter region might play a role in the down-regulation of this gene in ALL. We now show that hypermethylation of the p21 gene is a frequent event in ALL and correlates with decreased p21 expression. These findings are associated with an unfavorable clinical outcome.

Patients

We studied 124 consecutive patients (85 male; 39 female) who were diagnosed with de novo ALL between January 1990 and December 2000. The median age at diagnosis in the study population as a whole was 14 years (range, 0.5-82 years). Of these patients, 68 were children (median age, 5 years; range, 0.5-14 years), and 56 presented adult ALL (median age, 29 years; range, 15-82 years). Informed consent was obtained from the patient or the patient's guardians. Diagnosis was established according to standard morphologic and cytochemical criteria. Patients were studied at the time of initial diagnosis; were risk-stratified according to the therapeutic protocol used, which was always based on recognized prognostic features (including cytogenetics); and were entered in ALL protocols of the “Programa para el estudio y tratamiento de las hemopatias malignas” (PETHEMA) Spanish study group. For statistical analyses, children were also grouped according to the National Cancer Institute (NCI) risk-classification criteria.22 Mononuclear cells, obtained from bone marrow samples by centrifugation on Ficoll-Hypaque density gradient, were used for immunophenotypic and DNA/RNA analyses. The specific PETHEMA ALL treatment protocols in which these patients entered included ALL-89 (between 1990 and 1994; n = 51) and ALL-93 (between 1994 and 2000; n = 73). The design and results of these studies have been previously reported.23-26 Fifty patients relapsed. Thirty patients received stem cell transplantation (10 autologous, 20 allogeneic) in the first (n = 14) or second complete remission (CR) (n = 16). There are 73 patients currently alive. Clinical characteristics of the patients are listed in Table1.

Table 1.

Clinical characteristics and outcome of 124 patients according to p21 gene methylation status

CharacteristicHypomethylated,
% (n = 73)
Hypermethylated,
% (n = 51)
P
Age   NS  
 Younger than 15 y 56 53 
 Older than 15 y 44 47 
Sex, M/F 70/30 67/33 NS  
WBC   NS  
 Below 50 × 109/L 80 75 
 Above 50 × 109/L 20 25 
FAB classification   NS 
 L1 55 56 
 L2 37 40 
 L3 
Blast lineage   NS  
 B 84 80 
 T 16 20 
NCI risk groups   NS 
 Standard 68 63 
 Poor 32 37 
PETHEMA risk groups   NS 
 Standard 47 40 
 Poor 53 60 
Treatment   NS 
 PETHEMA 89 42 40 
 PETHEMA 93 58 60 
BMT 22 27 NS  
Best response   NS 
 CR 89 90 
Cytogenetic/molecular
abnormalities 
  NS 
 BCR-ABL 14 25 
 t(1;19) 
 11q23 
 c-Myc 
 7q35-14q11 
 Hyperdiploidy 
 TEL-AML1 
 Normal 42 39 
 Others 
 NT 
Relapse 26 61 < .0001 
Death 30 57 .005 
CharacteristicHypomethylated,
% (n = 73)
Hypermethylated,
% (n = 51)
P
Age   NS  
 Younger than 15 y 56 53 
 Older than 15 y 44 47 
Sex, M/F 70/30 67/33 NS  
WBC   NS  
 Below 50 × 109/L 80 75 
 Above 50 × 109/L 20 25 
FAB classification   NS 
 L1 55 56 
 L2 37 40 
 L3 
Blast lineage   NS  
 B 84 80 
 T 16 20 
NCI risk groups   NS 
 Standard 68 63 
 Poor 32 37 
PETHEMA risk groups   NS 
 Standard 47 40 
 Poor 53 60 
Treatment   NS 
 PETHEMA 89 42 40 
 PETHEMA 93 58 60 
BMT 22 27 NS  
Best response   NS 
 CR 89 90 
Cytogenetic/molecular
abnormalities 
  NS 
 BCR-ABL 14 25 
 t(1;19) 
 11q23 
 c-Myc 
 7q35-14q11 
 Hyperdiploidy 
 TEL-AML1 
 Normal 42 39 
 Others 
 NT 
Relapse 26 61 < .0001 
Death 30 57 .005 

WBC indicates white blood count; FAB, French-American-British; NCI, National Cancer Institute; PETHEMA, Programa para el estudio y tratamiento de las hemopatias malignas; BMT, bone marrow transplantation; CR, complete remission.

Immunophenotyping

Cell surface antigens were detected by direct immunofluorescence technique in flow cytometric analysis by means of a panel of monoclonal antibodies labeled with fluorescein isothiocyanate or phycoerythrin reactive with lymphoid and myeloid antigens (CD1, CD2, CD3, CD4, CD5, CD7, CD8, CD10, CD19, CD22, CD13, CD14, CD33, CD34, and HLA-DR) (Becton Dickinson, San Jose, CA). When myeloid antigens were expressed in at least 20% of cells, dual-fluorescence analysis was performed by means of phycoerythrin-conjugated monoclonal antibodies against lymphoid antigens to confirm the coexpression of both antigens on the same cells. Data acquisition and analysis were performed by means of a Coulter Profile II (Hialeah, FL). Analysis was restricted to the leukemic population by gating on forward and side light-scatter parameters. For intracytoplasmatic detection of myeloperoxidase, CD22, CD3, and deoxynucleotidyl transferase (TdT), an immunocytochemical staining was performed by means of the alkaline phosphatase–antialkaline phosphatase technique and specific monoclonal antibodies MPO-7 (Dako, Glostrup, Denmark), CD22, CD3 (Becton Dickinson), and TdT (Immunotech, Marseilles, France).

Cytogenetics

For cytogenetic analyses, cells from bone marrow were cultured in McCoy medium supplemented with 20% fetal calf serum and antibiotics for 48 hours. Chromosome preparations were stained with 5% Giemsa solution according to standard procedures. A minimum of 25 metaphases were analyzed per sample. This allowed the detection of a minor clone at the 5% level. Successful cytogenetic analysis was performed in 120 patients (Table 1).

Nucleic acid isolation

High–molecular weight DNA and total RNA were prepared from mononuclear marrow cells at the time of diagnosis by means of conventional methods. As a control, marrow DNAs/RNAs were obtained from 30 healthy bone marrow donors (5 children and 25 adults).

Restriction digest and polymerase chain reaction procedure to detect p21 gene methylation

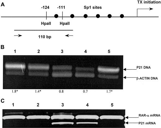
Polymerase chain reaction (PCR) analysis relying on the inability of HpaII to cut methylated sequences was used to analyze the p21 gene. The sites examined were 2 HpaII sites in the promoter of p21 (Figure 1A). Then, 5 μg genomic DNA was completely digested in 50 μL of total volume with 50 U HpaII, as recommended by the manufacturer (Promega, Madison, WI), and precipitated with ammonium acetate and ethanol. The pellet obtained was washed twice with 70% ethanol and dissolved in 50 μL H2O. Next, 5 μL (approximately 0.5 μg) of this solution was withdrawn and pipetted into 45 μL PCR mixture: 200 μM each deoxynucleoside 5′-triphosphate; 10 mM Tris-HCl (pH 8.3); 1.5 mM MgCl2; 50 mM KCl; 0.001% (wt/vol) gelatin; 5 UPfu DNA polymerase (Stratagene, La Jolla, CA); 50 pmol each primer p21-sense (5′-GCCTGCTGGAACTCGGCCAGGCTCAGCCTGC-3′) and p21-antisense (5′-GAGGCGACCCGCGCTCGGCCCAGCGCGCCG-3′). To control for intact DNA, a 75-bp fragment of the human β-actin gene without restriction sites of HpaII was coamplified as an internal standard (forward, 5′-CCGAGCGCGGCTACAGCTTCA-3′; reverse, 5′-CGTAGCACAGCTTCTCCTTAATGTC-3′).

Fig. 1.

Aberrant p21 methylation in acute lymphoblastic leukemia.

(A) A schematic map of the p21 promoter for restriction sites and the position of a primer set. Arrow indicates the location of the transcription initiation site of the p21 gene. Six Sp1-binding sites are located in a GC-rich region within 180 base pairs (bp) upstream of the transcription initiation site of the p21 gene. The −124 and −111 indicate the recognition sites of the restriction enzymeHpaII. Two arrows indicate a primer set for PCR and the size of PCR product, 110bp. (B) Methylation status of the p21 promoter region was detected by means of PCR of the HpaII-digested DNA. The upper band represents the 110-bp amplification product of the p21 gene, and the lower band, 75 bp of the β-actin gene. The optical density curves of both fragments were used to quantify the methylation level of p21 gene. The mean p21/β-actin ratio in normal bone marrow and the SE were used to assess p21 methylation state. Ratios above 3 SEs were considered hypermethylated. Lanes 1-5 show ALL samples. The p21–to–β-actin ratios are shown below the gel, with hypermethylated status indicated by asterisks. (C) Expression of p21 messenger RNA (mRNA) assessed by reverse-transcriptase (RT) PCR by means of primers for p21 and RARα (as control). Lanes 1, 2, and 5: hypermethylated ALL samples showing lack of p21 expression. Lanes 3, 4: normally methylated samples.

Fig. 1.

Aberrant p21 methylation in acute lymphoblastic leukemia.

(A) A schematic map of the p21 promoter for restriction sites and the position of a primer set. Arrow indicates the location of the transcription initiation site of the p21 gene. Six Sp1-binding sites are located in a GC-rich region within 180 base pairs (bp) upstream of the transcription initiation site of the p21 gene. The −124 and −111 indicate the recognition sites of the restriction enzymeHpaII. Two arrows indicate a primer set for PCR and the size of PCR product, 110bp. (B) Methylation status of the p21 promoter region was detected by means of PCR of the HpaII-digested DNA. The upper band represents the 110-bp amplification product of the p21 gene, and the lower band, 75 bp of the β-actin gene. The optical density curves of both fragments were used to quantify the methylation level of p21 gene. The mean p21/β-actin ratio in normal bone marrow and the SE were used to assess p21 methylation state. Ratios above 3 SEs were considered hypermethylated. Lanes 1-5 show ALL samples. The p21–to–β-actin ratios are shown below the gel, with hypermethylated status indicated by asterisks. (C) Expression of p21 messenger RNA (mRNA) assessed by reverse-transcriptase (RT) PCR by means of primers for p21 and RARα (as control). Lanes 1, 2, and 5: hypermethylated ALL samples showing lack of p21 expression. Lanes 3, 4: normally methylated samples.

Close modal

The PCR was performed for 35 cycles under the following conditions: 98°C, 1 minute; 68°C, 1 minute; 74°C, 1 minute. Then, 20 μL PCR reaction was electrophoresed on a 3% agarose gel stained with ethidium bromide and photographed (Figure 1B). For semiquantitative analysis, gels were scanned by means of a Bio-Print gel scanner and the appropriate software as provided by the manufacturer (Vilber-Lourmat, Marne-La-Vallee, France). The the p21–to–β-actin ratio, the area under the curve of the p21 gene product divided by the area under the curve of the β-actin gene product, gives an indication of the methylation status of the respective sample. As previously described for normal tissues,27 analyses of bone marrow samples from 30 healthy marrow donors showed a partial methylation pattern at this CpG region. Therefore, the mean p21–to–β-actin ratio and the SE in the normal bone marrow were used to assess methylation status of the p21 promoter. Normalized values above 3 SEs were considered to be hypermethylated.

Reverse-transcription PCR analysis for p21 expression

Total RNA was isolated from 2 × 106 marrow cells by means of Ultraspec (Biotecx Laboratories, Houston, TX). Reverse transcription was performed on 1 μg total RNA, after heating at 70°C for 5 minutes, with random hexamers as reaction primer. The reaction was carried out at 42°C for 45 minutes in the presence of 12 U Avian Myeloblastosis Virus reverse transcriptase (Boehringer-Mannhein, Germany). Complementary DNA was amplified by means of a primer set that was specific for the p21 gene (sense, 5′-CAGGGGACAGCAGAGGAAGA-3′; antisense, 5′-GGGCGGCCAGGGTATGTAC-3′). The PCR reaction was performed as follows: 94°C for 7 minutes, 40 cycles of 94°C for 1 minute, 58°C for 1 minute, 72°C for 1 minute, and incubation at 72°C for 10 minutes. PCR products were resolved on 1.5% agarose gels. Amplification of RARα gene transcripts was performed to assess RNA integrity.28 A Bio-Print gel scanner was used to quantify the intensity of the p21 and the RARα bands, and the ratio was determined for each reaction. The mean p21-to-RARα ratio and the SE were used to assess levels of p21 in the tumors. Normalized values below 3 SEs were considered to represent decreased expression (Figure 1C).

Other molecular analyses

Standard Southern blot method was employed to detect immunoglobulin heavy-chain gene rearrangement and T-cell receptor β rearrangement by means of the commercially available JH DNA probe and CTβ probe (Oncogene Science, New York, NY). The 11q23 abnormalities were studied with the B859 probe kindly provided by Dr G. Cimino.29 The p210BCR-ABL and p190BCR-ABL transcripts were detected by means of RT-PCR according to the method used by Saglio et al.30 

Statistical analysis

P values for comparisons of continuous variables between groups of patients were 2-tailed and based on the Wilcoxon rank sum test. P values for dichotomous variables were based on the Fisher exact test. The remaining P values were based on the Pearson chi-square test. Overall survival (OS) was measured from the day of diagnosis until death from any cause and was censored only for patients known to be alive at last contact. DFS was measured from the day that CR was established until either relapse or death without relapse, and it was censored only for patients who were alive without evidence of relapse at the last follow-up. Distributions of OS and DFS curves were estimated by the method of Kaplan and Meier, with 95% confidence intervals calculated by means of Greenwood's formula. Comparisons of OS or DFS between groups were based on the log-rank test. Comparisons adjusted for significant prognostic factors were based on Cox regression models and hazard regression models. All relapse and survival data were updated on April 30, 2001, and all follow-up data were censored at that point.

Methylation state of the p21 promoter region

We first examined 30 normal bone marrow and 124 ALL samples for methylation alteration in a CpG-rich region within 180 bp upstream of the transcription initiation site of the p21 gene. The presence of methylation in the promoter of the p21 gene was tested by digestion with a methylation-sensitive restriction enzyme and a subsequent PCR reaction. The CpG-rich region in the 6 consecutive Sp1-binding sites of the p21 promoter (Figure 1A) was digested with methylation-sensitiveHpaII. Resulting DNA was subjected to a PCR reaction. Only undigested DNA will provide 110 bp of the PCR amplification product across the Sp1-binding sites (Figure 1B). Healthy individuals showed a weak band after PCR, indicating that this CpG was at least partially methylated. This result is not surprising because an incomplete methylation pattern has been previously reported in normal tissues (ie, lung, liver, and muscle).27 To better determine the degree of methylation of the p21 promoter, we established a semiquantitative analysis comparing the intensity of the methylation fragment relative to that obtained by amplifying a housekeeping gene (β-actin). The p21–to–β-actin ratios in normal bone marrow specimens ranged from 0.4 to 0.8 (mean, 0.7). Normalized values above 3 SEs were considered to be hypermethylated (ratio exceeding 1). With these principles, hypermethylation of the p21 promoter region was detected in 51 (41%) ALL patient samples.

Correlation between hypermethylation of the p21 promoter and the p21 mRNA expression in ALL

To determine whether the aberrant CpG methylation in the p21 promoter region correlates with decreased p21 expression in ALL, we analyzed levels of the p21 mRNA transcripts in the same set of tumor and normal marrow samples using a semiquantitative RT-PCR method. Levels of the p21 mRNA were normalized to an internal standard RARα, and decreased expression was defined as below 3 SEs of the mean expression level in the normal marrow specimens. All 51 hypermethylated ALL samples (100%) showed decreased p21 expression; in contrast, decreased p21 expression was detected in only 4 of the 73 ALL samples with normal methylation pattern (5%). These results indicated that CpG hypermethylation within the p21 promoter region strongly correlated with decreased constitutive expression of p21 in ALL cells.

Clinical presentation and p21 methylation

The p21 hypermethylation was detected at diagnosis in 41% (51 of 124) of patients with adult or childhood ALL of all the French-American-British subtypes. As shown in Table 1, aberrant p21 methylation was found more frequently in adults (24 of 56, 43%) than in children (27 of 68, 39%). However, this difference did not reach statistical significance. Clinical and laboratory characteristics did not differ significantly between hypermethylated and normal patients. Poor-risk cytogenetics or molecular events, risk groups according to both NCI and PETHEMA classifications, good-risk features (hyperdiploidy and TEL-AML1 fusion), type of PETHEMA protocol administered, and number of patients who received stem cell transplantation were similarly distributed between the 2 p21-methylation groups. Separate analysis of adult and childhood ALL patients gave the same results as the global series.

Clinical outcome and p21 methylation

Table 1 details the relapse history, CR rates, and mortality both for patients who exhibited p21 promoter hypermethylation and for patients with a normal p21 gene. CR rates of patients with the normal and the hypermethylated p21 gene were 89% (65 of 73) and 90% (46 of 51), respectively, accounting for 89% of the overall CR rate. This suggests that hypermethylation of the p21 promoter region did not correlate with response to remission induction therapy. However, hypermethylated patients had a higher relapse rate (61% versus 26%,P < .0001) and mortality rate (57% versus 30%,P = .005) than normally methylated patients. Similar results were obtained in the separate analyses of children (relapse rate, 48% versus 22%, P = .03; mortality rate, 37% versus 17%, P = .06) and adults (relapse rate, 85% versus 36%, P = .001; mortality rate, 79% versus 47%,P = .02).

We analyzed the DFS among patients who achieved CR according to p21 methylation. Estimated DFS rates at 7 years were 59% and 6% for normal and methylated patients, respectively (P = .00001) (Figure 2A). Among normally methylated children, the 7-year DFS was 62%, contrasting with 14% for hypermethylated children (P = .006) (Figure3A). Among adult ALL patients, the 7-years DFS was 0% for methylated cases and 52% for normal cases (P = .003) (Figure 3B). The actuarial OS calculated for all leukemic patients was 65% and 8% at 9 years for patients with the normal and the hypermethylated p21 gene, respectively (P = .006) (Figure 2B). A trend toward significance was observed in the actuarial OS between normal and hypermethylated patients in the separate analyses of children (77% versus 31%,P = .06) and adults (50% versus 0%,P = .09).

Fig. 2.

Kaplan-Meier survivor function for all patients.

DFS (panel A) and OS (panel B) curves for all the patients enrolled in this study according to methylation status of the p21 promoter region.

Fig. 2.

Kaplan-Meier survivor function for all patients.

DFS (panel A) and OS (panel B) curves for all the patients enrolled in this study according to methylation status of the p21 promoter region.

Close modal
Fig. 3.

Kaplan-Meier survivor function for ALL patients.

DFS curves for childhood (panel A) and adult (panel B) ALL patients based on p21 methylation status.

Fig. 3.

Kaplan-Meier survivor function for ALL patients.

DFS curves for childhood (panel A) and adult (panel B) ALL patients based on p21 methylation status.

Close modal

A multivariate analysis of potential prognostic factors (including the type of PETHEMA protocol applied) demonstrated that hypermethylation of the p21 promoter region was an independent prognostic factor in predicting DFS in the global series as well as in both childhood and adult ALLs (Table 2).

Table 2.

Multivariate Cox model for disease-free survival

CharacteristicUnivariate analysisMultivariate analysis
RR*PRR*P
Global series     
 p21 Hypermethylation 4.1 < .001 3.4 .0001  
 WBC above 50 000 mm3 3.1 .006 — — 
 BCR-ABL positivity 2.9 .005 — —  
 T phenotype 2.2 .03 — —  
 Age older than 15 years 1.8 .03 — —  
Childhood ALL     
 p21 Hypermethylation 4.0 .007 3.1 .01  
 T phenotype 2.5 .04 — —  
 WBC above 50 000 mm3 2.2 .05 — —  
 NCI poor risk 2.2 .05 — —  
 PETHEMA poor risk 1.8 .05 — —  
Adult ALL     
 WBC above 50 000 mm3 4.9 .002 4.1 .003  
 p21 Hypermethylation 3.2 .003 3.0 .01  
 BCR-ABL positivity 2.3 .006 — — 
CharacteristicUnivariate analysisMultivariate analysis
RR*PRR*P
Global series     
 p21 Hypermethylation 4.1 < .001 3.4 .0001  
 WBC above 50 000 mm3 3.1 .006 — — 
 BCR-ABL positivity 2.9 .005 — —  
 T phenotype 2.2 .03 — —  
 Age older than 15 years 1.8 .03 — —  
Childhood ALL     
 p21 Hypermethylation 4.0 .007 3.1 .01  
 T phenotype 2.5 .04 — —  
 WBC above 50 000 mm3 2.2 .05 — —  
 NCI poor risk 2.2 .05 — —  
 PETHEMA poor risk 1.8 .05 — —  
Adult ALL     
 WBC above 50 000 mm3 4.9 .002 4.1 .003  
 p21 Hypermethylation 3.2 .003 3.0 .01  
 BCR-ABL positivity 2.3 .006 — — 

RR indicates relative risk; ALL, acute lymphoblastic leukemia. For other abbreviations, see Table 1.

*

Relative risk of treatment failure as compared with patients without the adverse feature. In multivariate analysis, relative risk was calculated after adjustment for other factors in the final model; risks are shown only for factors that achieved independent significance.

In the present study, we demonstrate that epigenetic modification of p21 via hypermethylation represents a critical mechanism for inactivation of this gene in ALL. We found that aberrant promoter methylation of p21 occurs frequently in ALL and results in markedly diminished expression of p21. Our study indicates that the CpG islands within p21 promoter region are maintained in a partially methylated state in normal bone marrow as has been described for other normal tissues.27 In ALL cells, hypermethylation within this region reflects a gain in the degree of methylation at this CpG site. It is not known how methylation patterns at this CpG site were established for blood cells during development, nor is it clear to what degree the specific methylation patterns are involved in regulating p21 expression in normal marrow cells. Because several reports have not detected any mutations or deletions of p21,19 20 aberrant methylation may, at a minimum, be the most frequent way that expression of this gene is altered in this type of cancer.

Our results further suggest a tumor-suppressor role for p21 in this type of hematological malignancy. Loss of p21 could lead to defects in cell cycle regulation and confer a selective growth advantage for clones in ALL. Lack of p21 expression also facilitates the activity of other oncogenic pathways. For example, in the absence of p21, the onset of Ras-dependent oncogenesis is accelerated, with earlier tumor appearance and increased tumor multiplicity and aggressiveness in the transgenic/knockout mammary cancer model.31 Interestingly, although p53 abnormalities are the most common molecular lesions in human cancer,32 they are relatively less frequent in de novo ALL.33 One hypothesis is that loss of p21, which is transcriptionally activated by wild-type p53 protein, represents an alternative event contributing to abnormal cell cycle and cell-death regulation. In this sense, it has also been reported that a sizable proportion of ALL cell lines and primary tumors had negligible or limited expression of the p73 gene associated with hypermethylation of its promoter region.34 The p73 encodes for a protein that is both structurally and functionally homologous to the p53 protein. We have observed a close relationship between aberrant methylation of the p21 and that of the p73 gene (unpublished results), suggesting that silencing of the p73/p21 pathway by hypermethylation may contribute to development and/or progression of ALL.

In 4 (5%) of our ALL patients with decreased expression of p21, we were unable to detect hypermethylation in the p21 promoter region, suggesting an alternative mechanism of inactivation of the p21 gene in these patients. The transformation to inactive chromatin by histone deacetylation could be a good candidate mechanism to inactivate the p21 gene, as has been demonstrated in solid tumors.35 This issue raises an important question: could the hypermethylation of the p21 promoter region be a secondary event that is a consequence of the decreased p21 expression by another mechanism? The p21 might also negatively regulate DNA methylation, as it was shown to compete with DNA (cytosine-5)–methyltransferase for binding to proliferating cell nuclear antigen, thus antagonizing the DNA methyltransferase function.36 Therefore, abrogation of p21 expression (ie, by histone deacetylation) could favor the hypermethylation of its own promoter and the promoters of other genes, leading to a hypermethylator phenotype, as has been described in several studies of human neoplasms.37,38 Although this hypothesis is possible, it seems to be improbable because no aberrant methylation in the p21 promoter has been found in tumors with decreased p21 expression by histone deacetylation.35 

Key tumor-suppressor genes altered in cancer include p53, p15, p16, and Rb. These genes can be inactivated by mutation, deletion, and hypermethylation. Each of these tumor suppressors has been reported to be altered in lymphoid malignancies. Furthermore, alterations in these genes have been shown to be associated with an unfavorable prognosis of ALL and B non-Hodgkin lymphomas.39,40 Loss of expression of p21 has been demonstrated to be associated with disease progression in patients with solid tumors, including mantle-cell lymphoma.17 18 However, the methylation status of the p21 promoter region and the prognostic value of p21 abnormalities in ALL have not been previously studied. In this study, we demonstrate that hypermethylation of the p21 gene provides important prognostic information in ALL patients. Hypermethylation of the p21 gene is a factor of poor prognosis in both childhood and adult ALL. Patients with hypermethylation of p21 had a poorer DFS than patients with a “normal” methylation pattern. Multivariate analysis confirmed that hypermethylation of the p21 gene was associated with a shorter DFS. Therefore, p21 methylation could have important clinical implications for guiding the selection of therapy and also for providing a basis for developing novel therapies, such as demethylation treatment.

In conclusion, our results indicate that the p21 gene is subject to methylation regulation at the transcription level and is a target of aberrant methylation in ALL cells. The methylation status of the p21 gene seems to be an important factor in predicting the clinical outcome of ALL.

Supported by grant 01/0662 from the Fondo de Investigaciones Sanitarias de la Seguridad Social, Spain; a grant from the Fundacion Carlos Haya, Malaga, Spain; and a grant from the Diputacion Provincial, Cordoba, Spain.

The publication costs of this article were defrayed in part by page charge payment. Therefore, and solely to indicate this fact, this article is hereby marked “advertisement” in accordance with 18 U.S.C. section 1734.

1
Sherr
CJ
Roberts
JM
CDK inhibitors: positive and negative regulators of G1 phase progression.
Genes Dev.
13
1999
1501
1512
2
Hunter
T
Braking the cell cycle.
Cell.
75
1993
839
841
3
Hirama
T
Koeffler
HP
Role of the cyclin-dependent kinase inhibitors in the development of cancer.
Blood.
86
1995
841
854
4
el-Deiry
WS
Harper
JW
O′Connor
PM
et al
WAF1/CIP1 is induced in p53-mediated G1 arrest and apoptosis.
Cancer Res.
54
1994
1169
1174
5
Taniguchi
T
Endo
H
Chikatsu
N
et al
Expression of p21cip21/waf1/sdi1 and p27kip1 cyclin-dependent kinase inhibitors during human hematopoiesis.
Blood.
93
1999
4167
4178
6
Chen
YQ
Cipriano
SC
Arenkiel
JM
Miller
FR
Tumor suppression by p21WAF1.
Cancer Res.
55
1995
4536
4539
7
Bae
I
Fan
S
Bhatia
K
Kohn
KW
Fornace
AJ
O′Connor
PM
Relationships between G1 arrest and stability of the p53 and p21cip1/waf1 proteins following γ-irradiation of human lymphoma cells.
Cancer Res.
55
1995
2387
2393
8
Pui
C-H
Evans
WE
Acute lymphoblastic leukemia.
N Engl J Med.
339
1998
605
615
9
Pui
C-H
Behm
FG
Crist
WM
Clinical and biologic relevance of immunologic marker studies in childhood acute lymphoblastic leukemia.
Blood.
82
1993
343
362
10
Schwaller
J
Koeffler
HP
Niklaus
GA
et al
Posttranscriptional stabilization underlies p53-independent induction of p21 WAF1/CIP1/SDI1 in differentiating human leukemic cells.
J Clin Invest.
95
1995
973
979
11
Delgado
MD
Vaque
JP
Arozarena
I
et al
H-, K- and N-Ras inhibit myeloid leukemia cell proliferation by a p21WAF1-dependent mechanism.
Oncogene.
19
2000
783
790
12
Nanjokat
C
Sezer
O
Zinkett
H
Lechere
A
Hauptmann
S
Possinger
K
Proteasome inhibitors induced caspase-dependent apoptosis and accumulation of p21WAF1/CIP1 in human immature leukemic cells.
Eur J Haematol.
65
2000
221
236
13
Singal
R
Ginder
GD
DNA methylation.
Blood.
93
1999
4059
4070
14
Asimakopoulos
FA
Shteper
PJ
Krichevsky
S
et al
ABL1 methylation is a distinct molecular event associated with clonal evolution of chronic myeloid leukemia.
Blood.
94
1999
2452
2460
15
Herman
JG
Civin
CI
Issa
JP
Collector
MI
Sharkis
SJ
Baylin
SB
Distinct patterns of inactivation of p15INK4b and p16INK4a characterize the major types of hematological malignancies.
Cancer Res.
57
1997
837
841
16
Quesnel
B
Guillerm
G
Vereecque
R
et al
Methylation of the p15 (INK4b) gene in myelodysplastic syndromes is frequent and acquired during disease progression.
Blood.
91
1998
2985
2990
17
Stein
JP
Ginsberg
DA
Grossfeld
GD
et al
Effect of p21WAF1/CIP1 expression on tumor progression in bladder cancer.
J Natl Cancer Inst.
90
1998
1072
1079
18
Pinyol
M
Hernandez
L
Cazorla
M
et al
Deletions and loss of expression of p16INK4a and p21WAF1 genes are associated with aggressive variants of mantle cell lymphomas.
Blood.
89
1997
272
280
19
Gartel
AL
Tyner
AL
Transcriptional regulation of the p21 (WAF1/CIP1) gene.
Exp Cell Res.
246
1999
280
289
20
Shiohara
M
el-Deiry
WS
Wada
M
et al
Absence of WAF1 mutations in a variety of human malignancies.
Blood.
84
1994
3781
3784
21
Roman
J
Castillejo
JA
Jimenez
A
et al
Hypermethylation of the calcitonin gene in acute lymphoblastic leukaemia is associated with unfavourable clinical outcome.
Br J Haematol.
113
2001
329
338
22
Smith
M
Arthur
D
Camitta
B
et al
Uniform approach to risk classification and treatment assignment for children with acute lymphoblastic leukemia.
J Clin Oncol.
14
1996
18
24
23
Ortega
JJ
Spanish acute lymphoblastic leukemia trials.
Int J Pediatr Hematol Oncol.
5
1998
163
176
24
Ribera
JM
Ortega
JJ
Oriol
A
et al
Treatment of high-risk acute lymphoblastic leukemia: preliminary results of the protocol PETHEMA ALL-93.
Acute Leukemias VII: Experimental Approaches and Novel Therapies.
Hiddeman
W
Büchner
T
Wörmann
B
et al
1998
755
765
Springer-Verlag
Berlin, Germany
25
Ribera
JM
Ortega
JJ
Oriol
A
et al
Late intensification chemotherapy has not improved the results of intensive chemotherapy in adult acute lymphoblastic leukemia: results of a prospective multicenter randomized trial (PETHEMA ALL-89).
Haematologica.
83
1998
222
230
26
Ortega
JJ
Ribera
JM
Oriol
A
et al
Early and delayed consolidation chemotherapy significantly improves the outcome of children with intermediate-risk acute lymphoblastic leukemia: final results of the prospective randomized PETHEMA ALL-89 TRIAL.
Haematologica.
86
2001
586
595
27
Chen
B
He
L
Savell
VH
Jenkins
JJ
Parham
DM
Inhibition of the interferon-γ/signal transducers and activators of transcription (STAT) pathway by hypermethylation at a STAT-binding site in the p21WAF1 promoter region.
Cancer Res.
60
2000
3290
3298
28
Borrow
J
Goddard
AD
Gibbons
B
et al
Diagnosis of acute promyelocytic leukemia by RT-PCR: detection of PML-RARA and RARA-PML fusion transcripts.
Br J Haematol.
82
1992
529
540
29
Cimino
G
Rapanotti
MC
Rivolta
A
et al
Prognostic relevance of ALL-1 gene rearrangement in infant acute leukemias.
Leukemia.
9
1995
391
395
30
Saglio
G
Pane
F
Gottardi
E
et al
Consistent amounts of acute leukemia-associated p190BCR/ABL transcripts are expressed by chronic myelogenous leukemia patients at diagnosis.
Blood.
87
1996
1075
1080
31
Adnane
J
Jackson
RJ
Nicosia
SV
Cantor
AB
Pledger
WJ
Sebti
SM
Loss of p21WAF1/CIP1 accelerates Ras oncogenesis in a transgenic/knockout mammary cancer model.
Oncogene.
19
2000
5338
5347
32
Hollstein
M
Sidransky
D
Vogelstein
B
Harris
CC
p53 mutations in human cancers.
Science.
253
1991
49
53
33
Wada
M
Bartram
CR
Nakamura
H
et al
Analysis of p53 mutations in a large series of lymphoid hematologic malignancies of childhood.
Blood.
82
1993
3163
3169
34
Kawano
S
Miller
CW
Gombart
AF
et al
Loss of p73 gene expression in leukemias/lymphomas due to hypermethylation.
Blood.
94
1999
1113
1120
35
Shin
J-Y
Kim
H-S
Pask
J
Park
J-B
Lee
J-Y
Mechanism for inactivation of the kip family cyclin-dependent kinase inhibitor genes in gastric cancer cells.
Cancer Res.
60
2000
262
265
36
Chuang
LS-H
Ian
H-I
Koh
T-W
Ng
H-H
Xu
G
Li
BFL
Human DNA-(cytosine-5) methyltransferase-PCNA complex as a target of p21WAF1.
Science.
277
1997
1996
2000
37
Toyota
M
Ahuja
N
Toyota
M-O
Herman
JG
Baylin
SB
Issa
J-PJ
CpG island methylator phenotype in colorectal cancer.
Proc Natl Acad Sci U S A.
96
1999
8681
8686
38
Toyota
M
Kopecky
KJ
Toyota
M-O
Jair
K-W
Willman
CL
Issa
J-PJ
Methylation profiling in acute myeloid leukemia.
Blood.
97
2001
2823
2829
39
Stock
W
Tsai
T
Golden
C
et al
Cell cycle regulatory gene abnormalities are important determinants of leukemogenesis and disease biology in adult acute lymphoblastic leukemia.
Blood.
95
2000
2364
2371
40
Sanchez-Beato
M
Saez
AI
Navas
IC
et al
Overall survival in aggressive B-cell lymphomas is dependent on the accumulation of alterations in p53, p16 and p27.
Am J Pathol.
159
2001
205
213

Author notes

Jose Roman-Gomez, Hematology Department, Reina Sofia Hospital, Avda, Menendez Pidal s/n, 14004 Cordoba, Spain; e-mail:peperosa@teleline.es.

Sign in via your Institution