Abstract
von Willebrand factor–cleaving protease (vWF-cp) is responsible for the continuous degradation of plasma vWF multimers released from endothelial cells. It is deficient in patients with thrombotic thrombocytopenic purpura, who show unusually large vWF multimers in plasma. Purified vWF-cp may be useful for replacement in these patients, who are now treated by plasma therapy. In this study, vWF-cp was purified from normal human plasma by affinity chromatography on the IgG fraction from a patient with autoantibodies to vWF-cp and by a series of further chromatographic procedures, including affinity chromatography on Protein G, Ig-TheraSorb, lentil lectin, and heparin. Four single-chain protein bands, separated by sodium dodecyl sulfate-polyacrylamide gel electrophoresis under nonreducing conditions, showed Mr of 150, 140, 130, and 110 kd and were found to share the same N-terminal amino acid sequence, suggesting that they were derived from the same polypeptide chain that had been partially degraded at the carboxy-terminal end. A hydrophobic sequence (Ala-Ala-Gly-Gly-Ile-Leu-His-Leu-Glu-Leu-Leu-Val-Ala-Val-Gly) of the first 15 residues was established. The protease migrates in gel filtration as a high-molecular-weight complex with clusterin, a 70-kd protein with chaperonelike activity. vWF-cp bound to clusterin is dissociated by the use of concentrated chaotropic salts. vWF-cp in normal human plasma or serum is not associated with clusterin, suggesting that the observed complex is due to vWF-cp denaturation during the purification procedure. Activity of vWF-cp is unusually stable during incubation at 37°C; its in vitro half-life in citrated human plasma, heparin plasma, or serum is longer than 1 week. There was even a temporary increase in protease activity during the first 3 days of incubation.
Introduction
von Willebrand factor (vWF) is a blood glycoprotein that is required for normal hemostasis. It is synthesized in endothelial cells and megakaryocytes from identical 250-kd subunits into disulfide-linked multimers ranging in size from about 500 to 20 000 kd. Each subunit contains binding sites for several fibrillar and nonfibrillar collagen types, extracellular matrix, platelet glycoproteins GPIb and GPIIb/IIIa, coagulation factor VIII, heparin, sulfatides, ristocetin, and botrocetin.1 Multiple interactions of repeating binding sites in vWF multimers with proteins of the subendothelium and with receptors on the platelet surface lead to adhesion of platelets to the exposed subendothelium, which resist remarkable shear forces encountered in the circulating blood, particularly in small vessels and stenosed arteries. Deficiency or molecular abnormality of vWF leads to von Willebrand disease, the most common inherited bleeding disorder. On the other hand, increased levels of vWF, which may be the result of chronic endothelial cell injury, have been associated with atherogenesis,2 deep vein thrombosis,3 myocardial infarction,4,5 and ischemic stroke.5,6 Therefore, vWF has been proposed as a target for antithrombotic treatment.7 8
After secretion into plasma, vWF multimers undergo proteolytic degradation; the 250-kd polypeptide subunits are degraded to fragments of 140, 176, and 189 kd9 by proteolytic cleavage of the peptide bond Tyr842-Met843.10 A specific vWF-cleaving protease (vWF-cp), responsible for in vivo degradation of vWF, has been partially purified and characterized.11,12 This protease seems to be different from all other described proteases,11 although some similarity with matrix metalloproteinases (MMPs) has been reported.13 vWF-cp showed an uncommonly high molecular weight11,12 and an unusually long biologic half-life.14
The largest multimeric forms of vWF in the flowing blood are hemostatically most active. In healthy persons, they appear not to interact with circulating platelets. Unusually large molecular forms of vWF were found in patients suffering from relapsing thrombotic thrombocytopenic purpura (TTP).15 These very large multimers showed increased binding to platelets under high levels of shear stress.16 Moake et al15 suggested that the presence of unusually large vWF multimers may be due to either excessive secretion of endothelial vWF or impaired degradation of the highest multimers because of deficiency of a disulfide bond reductase or a protease. Recent studies indeed showed complete constitutional deficiency of vWF-cp activity in patients with familial TTP17-19 and the presence of autoantibodies inhibiting vWF-cp in patients with nonfamilial TTP.18,20 21
Plasma infusion or exchange is considered to be the therapy of choice in patients with TTP. Until the early 1960s, less than 3% of patients with TTP survived.22 During the next decades, the treatment of TTP with plasma infusion and exchange resulted in better than 80% survival. The effectiveness of treatment of TTP by plasma infusion and exchange has been ascribed to replacement of the missing vWF-cp activity and removal of autoantibody.17,23 The dependence on plasma exchange set off a massive consumption of plasma for therapy of TTP patients, as reported by the Canadian Apheresis Group.24 In 1997, TTP was the most frequent indication for plasma exchange, accounting for about 40% of all such procedures. Obviously, a plasma product enriched in vWF-cp or a recombinant vWF-cp would represent an important advantage in therapy of TTP. Furthermore, vWF-cp may be considered as a potential agent affecting vWF binding to subendothelial components and platelets, and thus impeding thrombotic vascular occlusion. The development of plasma or recombinant vWF-cp preparations depends on information concerning the biochemical behavior and structural properties of vWF-cp.
The present study concerns the isolation of vWF-cp from normal human plasma by several chromatographic methods, including immunoadsorption on autoantibodies from a patient with acquired TTP. In addition to a short N-terminal amino acid sequence, the binding to clustering during purification and the stability of vWF-cp are described.
Materials and methods
Materials
Protein A–Sepharose CL-4B, Protein G–Sepharose-4FF, CNBr-activated Sepharose-4B, heparin–Sepharose HiTrap, lentil lectin–Sepharose-4B, and Sephacryl S-300 HR were purchased from Amersham-Pharmacia (Uppsala, Sweden). AffiGel Hz, BioGel P-6DG, and High Q Support were obtained from Bio-Rad (Richmond, CA). Ig-TheraSorb was from Serag-Wiessner (Naila, Germany). Bovine serum albumin (BSA) and 4-aminophenylmercuric acetate were purchased from Fluka (Buchs, Switzerland). α-Methyl D-mannoside was from Calbiochem (San Diego, CA). Rabbit anti–human vWF antibodies (A0082), rabbit anti–human α2-macroglobulin antibodies (A0033), rabbit anti–human IgA antibodies (A0262), rabbit anti–human IgG antibodies (A0423), rabbit anti–human IgM antibodies (A0425), goat anti–rabbit IgG antibodies labeled with alkaline phosphatase (D0487), and peroxidase-conjugated rabbit anti–mouse immunoglobulins (P0260) were purchased from Dako (Glostrup, Denmark). Rabbit anti–human fibronectin (F-3648) was from Sigma (St Louis, MO). Human fibronectin was obtained from the Central Laboratory, Blood Transfusion Service, Swiss Red Cross (Bern, Switzerland). Rabbit antibodies to human clusterin (sc-8354) were purchased from Santa Cruz Biotechnology (Santa Cruz, CA), whereas murine monoclonal anti–human SP40 (clusterin) antibodies were obtained from Quidel (Mountain View, CA). The Protran nitrocellulose transfer membrane was purchased from Schleicher & Schuell (Dassel, Germany). Polyvinylidene difluoride (PVDF) transfer membrane was from Millipore (Bedford, MA). BCIP (5-bromo-4-chloro-3-indolyl phosphate p-toluidine salt) and NBT (p-nitro blue tetrazolium chloride) were purchased from Bio-Rad. Other chemicals were purchased either from Fluka or from Merck (Darmstadt, Germany). Tris-buffered saline (TBS) contained 10 mM Tris and 0.15 M NaCl, pH 7.4.
Purification of vWF-cp
First step.
A pool of platelet-poor plasma from 4 healthy volunteers was anticoagulated by citrate-phosphate-dextrose and stored at −20°C in 50-mL aliquots. After thawing and centrifuging at 1100g for 5 minutes, 100 mL of the pooled plasma was applied onto a column of AffiGel Hz (2.6 × 40 cm) coupled with the IgG fraction from a patient with acquired vWF-cp deficiency that had been isolated from plasma by affinity chromatography on Protein A–Sepharose, using 0.1 M Na3-citrate, pH 4.0, for elution. Coupling was performed according to the manufacturer's instructions, and the resulting ligand density was 2.8 mg total IgG per milliliter gel. The IgG-AffiGel column was equilibrated with 10 mM Tris, 0.15 M NaCl, 1 mM Na3-citrate, 0.02% NaN3, pH 7.4. The adsorbed proteins were eluted using 3.0 M Na thiocyanate (NaSCN) in the equilibration buffer and immediately separated from the chaotropic salt by gel filtration on a BioGel P-6DG (2.6 × 40 cm) column directly connected to the immunoaffinity column. The eluted proteins were further applied to a column with Protein G–Sepharose (1.6 × 5 cm). During the plasma application, the flow rate was set to 30 mL/h; during elution from the IgG-AffiGel column, to 100 mL/h; and during chromatography on Protein G–Sepharose, to 50 mL/h.
Second step.
Protein fractions from 8 runs of the first step, containing vWF-cp activity, were pooled and diluted 1:2 with distilled water to lower the ionic strength. The diluted sample passed through a column of Ig-TheraSorb (1.6 × 25 cm), kindly provided by Dr R. Koll (PlasmaSelect, Teterow, Germany), consisting of Sepharose-CL-4B coupled with sheep antibodies to human IgG, IgM, IgA, and IgE. The Ig-TheraSorb column was equilibrated and eluted with 10 mM Tris, 75 mM NaCl, pH 7.4. Subsequently the unadsorbed proteins, in a total volume of about 1600 mL, were applied to an anionic exchange column (High Q Support; 1.6 × 2.5 cm) equilibrated with the latter buffer at a flow rate of 90 mL/h. The proteins bound to High Q Support were eluted with 20 mM Tris, 0.5 M NaCl, 1 mM MnCl2, pH 7.4, and led directly onto a column of lentil lectin–Sepharose (1.6 × 12.5 cm) equilibrated with the same buffer. Chromatography was performed at a flow rate of 60 mL/h, and the proteins were eluted in 2 steps by 20 mM Tris, 0.5 M NaCl, pH 7.4, containing 30 mM and 0.3 M α-methyl mannoside, respectively.
Third step.
The protein fractions eluted with 0.3 M α-methyl mannoside were dialyzed against 10 mM Tris, 75 mM NaCl, pH 7.4, and passed through a column of heparin–Sepharose (1.4 × 3.2 cm) equilibrated in the same buffer. The unadsorbed protein fractions were again applied on the High Q Support column and eluted as described above. The proteins were finally fractionated by gel filtration on a column of Sephacryl S-300 HR (2.6 × 100 cm) equilibrated with TBS. Fractions of 7 mL were collected at a flow rate of 42 mL/h.
Anti–α2-macroglobulin immunoaffinity chromatography
An aliquot of the pooled fractions of the third step of isolation containing vWF-cp activity was loaded on a 1-mL column of anti–α2-macroglobulin (anti-α2M)–Sepharose. The latter immunoadsorbent was prepared by coupling a rabbit anti-α2M antibody to CNBr-activated Sepharose-4B according to the manufacturer's instructions, resulting in a ligand density of 4.9 mg IgG/mL. The column was equilibrated with TBS and the chromatography was performed at a flow rate of 12 mL/h. The bound proteins were eluted with 3.0 M NaSCN in TBS, and the collected fractions were immediately dialyzed against TBS.
Anticlusterin immunoaffinity chromatography
One milliliter of the peak fraction eluted from the initial immunoaffinity column (first step) or 1 mL normal human plasma was applied on a column of anticlusterin-Sepharose (2 mL) that had been prepared by coupling a murine monoclonal anti–human clusterin antibody to CNBr-activated Sepharose-4B. The column had a ligand density of 0.4 mg IgG/mL and was equilibrated with TBS. After application of the sample, flow through the column was stopped for 30 minutes. The column was then washed with TBS, and the bound proteins were eluted by 3.0 M NaSCN in TBS. The chromatography was performed at a flow rate of 12 mL/h, and the collected 1-mL fractions were immediately dialyzed against TBS.
In another experiment, a 1-mL sample of partially purified vWF-cp from the initial immunoaffinity step was applied on the anticlusterin-Sepharose column, and proteins were eluted stepwise by the following: (1) 5 mM Tris, 1 mM CaCl2, pH 8.0; (2) 5 mM Tris, 1.0 M urea, 1 mM CaCl2, pH 8.0; (3) 10 mM Tris, 0.5 M NaCl, pH 7.4; and (4) 3.0 M NaSCN in TBS.
Activity of vWF-cp
Assay of vWF-cp was performed as described previously using sodium dodecyl sulfate (SDS)–agarose gel electrophoresis on 1.4% agarose and immunoblotting with anti-vWF antibody for analysis of digested vWF.11
Stability of vWF-cp
Blood samples were collected from the same healthy subject as citrated blood (1 volume 0.106 M Na3-citrate per 9 volumes blood), heparin blood, or native blood allowed to clot completely before centrifugation. An aliquot of the serum sample was dialyzed for 4 hours at 37°C against 1 mM CaCl2, 5 mM Tris, pH 8.0, and subsequently incubated for 2 weeks at 37°C. In addition, a fraction of partially purified vWF-cp, obtained by affinity chromatography of normal plasma on patient IgG-AffiGel column (first step of vWF-cp purification; see above), was also incubated for 2 weeks at 37°C in 0.15 M NaCl, 10 mM Tris, 1 mM Na3-citrate, pH 7.4. After incubation, the samples were submitted to collagen binding assay of vWF-cp.25
SDS–polyacrylamide gel electrophoresis and silver staining
SDS-polyacrylamide slab gels with a continuous gradient from 4% to 12% polyacrylamide and a thickness of 3 mm were made according to Laemmli.26 Proteins were reduced with 65 mM dithiothreitol for 20 minutes at 60°C. Electrophoresis was performed for 16 hours at 60 V. The proteins in the gel were then fixed by a mixture of 25% methanol, 7.5% acetic acid, 1.74% glycerol, and 65.8% distilled H2O (fixing solution) for at least 3 hours. After washing 4 times for 1 hour with distilled H2O, the gel was incubated for 5 minutes in 0.02% Na2S2O3, rinsed twice for 1 minute with H2O, and incubated twice for 20 minutes with a solution of 0.1% Ag nitrate. The gels were then washed again twice for 5 minutes with H2O, and the staining was continued by incubation in 2.5% Na2-carbonate and 0.015% formaldehyde, and terminated using the fixing solution.
Immunoblotting of reduced vWF
Proteins were electrotransferred from the SDS-polyacrylamide slab gel to a nitrocellulose membrane during 3 hours at 26 V in a buffer containing 0.04% SDS and 50 mM NaH2PO4, pH 7.4. The membrane was blocked with 2.5% BSA in TBS and incubated with rabbit anti–human vWF and goat anti–rabbit IgG antibody labeled with alkaline phosphatase. The vWF subunit and its fragments were visualized by incubation with 0.01% NBT, 0.006% BCIP, and 4 mM MgCl2 in 0.1 M ethanolamine, pH 9.8.
Dot blots
Samples eluted from anticlusterin-Sepharose were diluted in TBS, and 3-μL aliquots were applied to a nitrocellulose membrane. After blocking the membrane with 2.5% BSA in TBS, pH 7.4, for 30 minutes at 37°C, clusterin was detected following overnight incubation with a monoclonal mouse anti–human clusterin antibody (dilution 1:2500 in TBS containing 2.5% BSA) and a rabbit anti–mouse IgG antibody conjugated with horseradish peroxidase (dilution 1:1000, 2 hours), followed by staining with a solution of 0.05% diaminobenzidine, 0.007 N NaOH, and 0.012% H2O2.
Amino acid sequencing of vWF-cp
The final protein preparation from the third step of isolation was subjected to electrophoresis on a 1.5-mm-thick SDS-polyacrylamide gel according to Laemmli.26 A gradient of 4% to 12% polyacrylamide was used for fractionation of high-molecular-weight proteins, and a gradient of 8% to 12% polyacrylamide was used for low-molecular-weight proteins. After electrophoresis under nonreducing or reducing conditions (final concentration 65 mM dithiothreitol), the proteins were blotted onto PVDF membranes and stained for 2 minutes with 0.25% Coomassie Blue in 45% methanol, 9% acetic acid, and 46% H2O. After rinsing with a mixture of 50% methanol, 10% acetic acid, and 40% H2O, the visible protein bands were cut out and analyzed on a Procise-cLC Sequencer (Foster City, CA) at the Chemical Institute of the University of Bern.
Amino acid analysis
Analysis of the composition of the amino acids was performed at the Chemical Institute of the University of Bern from the same sample as used for amino acid sequencing. The protein bands were hydrolyzed in the gas phase over 6 N HCl for 22 hours at 110°C, and the amino acids were determined by high-performance liquid chromatography.
Results
Isolation and characterization of vWF-cp
First step.
Affinity chromatography of 100 mL normal human plasma on AffiGel Hz with the covalently linked IgG fraction of plasma from a patient with autoantibodies against vWF-cp was used for initial purification of vWF-cp (Figure 1, first step). The capacity of the column was sufficient to completely bind vWF-cp from 0.5 mL normal plasma per 1 mL immunoadsorbent. The column was washed overnight with TBS containing 1 mM Na3-citrate and 0.02% NaN3, and the bound proteins were dissociated from the antibodies using 3 M NaSCN, which was in turn separated from vWF-cp by gel filtration on BioGel P-6DG. Because the immunoaffinity column also retained major amounts of IgG from normal human plasma, the eluted fractions were filtered on a tandem column of Protein G–Sepharose. The total amount of protein in the pooled fractions containing vWF-cp activity corresponded to about 0.2% of initial, as estimated from the number of absorbance units (AU) measured at 280 nm (Table1). The loss of about 50% of initial vWF-cp activity was primarily due to inactivation, as judged from our preliminary experiments on protease stability in 3 M NaSCN. SDS–polyacrylamide gel electrophoresis (PAGE); of these fractions revealed a variety of proteins in Mr range between 30 and 1000 kd under nonreducing conditions (data not shown). These proteins included IgA, IgM, fibronectin, α2M, and several other unidentified protein bands.
Chromatographic purification of von Willebrand factor–cleaving protease.
Eight batches of 100 mL normal human plasma each were first fractionated by immunoaffinity chromatography on the anti–vWF-cp autoantibody–containing IgG fraction from a patient with acquired TTP. Elution fractions collected under the last column of each step were counted from the start of each step. The fractions containing vWF-cp activity were pooled and further subjected to chromatography, as indicated schematically.
represents fraction with vWF-cp activity.
Chromatographic purification of von Willebrand factor–cleaving protease.
Eight batches of 100 mL normal human plasma each were first fractionated by immunoaffinity chromatography on the anti–vWF-cp autoantibody–containing IgG fraction from a patient with acquired TTP. Elution fractions collected under the last column of each step were counted from the start of each step. The fractions containing vWF-cp activity were pooled and further subjected to chromatography, as indicated schematically.
represents fraction with vWF-cp activity.
Purification of von Willebrand factor–cleaving protease
| . | Protein absorbance units (280 nm) . | vWF-cp activity plasma units* . | ||
|---|---|---|---|---|
| Total . | Percent of initial . | Total . | Percent of initial . | |
| Initial material: 800 mL normal plasma | 48 000 | 100 | 800 | 100 |
| First step | ||||
| IgG-AffiGel | ||||
| BioGel P-6DG | ||||
| Protein G–Sepharose | 105 | 0.22 | 400 | 50 |
| Second step | ||||
| Ig-TheraSorb | ||||
| High Q Support | ||||
| Lentil lectin–Sepharose | 3 | 0.006 | 38 | 4.8 |
| Third step | ||||
| Heparin-Sepharose | ||||
| High Q Support | ||||
| Sephacryl S-300 HR | 1.1 | 0.002 | 18 | 2.3 |
| . | Protein absorbance units (280 nm) . | vWF-cp activity plasma units* . | ||
|---|---|---|---|---|
| Total . | Percent of initial . | Total . | Percent of initial . | |
| Initial material: 800 mL normal plasma | 48 000 | 100 | 800 | 100 |
| First step | ||||
| IgG-AffiGel | ||||
| BioGel P-6DG | ||||
| Protein G–Sepharose | 105 | 0.22 | 400 | 50 |
| Second step | ||||
| Ig-TheraSorb | ||||
| High Q Support | ||||
| Lentil lectin–Sepharose | 3 | 0.006 | 38 | 4.8 |
| Third step | ||||
| Heparin-Sepharose | ||||
| High Q Support | ||||
| Sephacryl S-300 HR | 1.1 | 0.002 | 18 | 2.3 |
One plasma unit is the activity of vWF-cp in 1 mL normal human plasma.
Second step.
The eluted protein fractions containing vWF-cp activity from 8 batches of the first step were pooled and filtered through a column of Ig-TheraSorb to remove IgA, IgM, and residual IgG. Subsequently, the proteins from a total volume of 1600 mL were adsorbed on a 5-mL column of High Q Support, and again eluted with 0.5 M NaCl, 1 mM MnCl2, in 20 mM Tris buffer, pH 7.4. The resulting solution was further subjected to chromatography on lentil lectin–Sepharose. While the major part of vWF-cp activity (about 80%) was found in the fractions eluted by 0.3 M α-methyl mannoside, only a minor amount of vWF-cp was eluted by 30 mM α-methyl mannoside, and no activity was found in the breakthrough fractions of lentil lectin–Sepharose. The protein content of the active fractions after the second purification step was reduced to 0.006% of initial AU (Table 1).
Third step.
Fibronectin was removed by chromatography on heparin-Sepharose. Preliminary experiments showed that vWF-cp activity did not bind to heparin-Sepharose under conditions required for complete adsorption of contaminating fibronectin. The volume of the collected active fractions was again reduced on a small tandem column of High Q Support. The proteins in the protease preparation were further fractionated by gel filtration on Sephacryl S-300 HR. As shown in Figure 1 (third step), the sample was introduced into the Sephacryl column during collection of fraction 28.
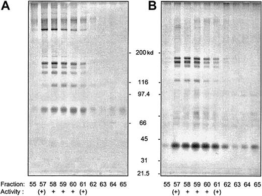
The activity assay indicated that the protease was eluted from the Sephacryl column in fractions 57 to 61 (Figure2A). The elution volume of vWF-cp (200-230 mL) was close to the void volume of the Sephacryl column, suggesting that the protease elutes from Sephacryl S-300 HR as a high-molecular-weight protein. SDS-PAGE of the corresponding fractions under nonreducing conditions (Figure 3A) showed a protein band at 70 kd, 4 bands in the range of 110 to 150 kd (110, 130, 140, and 150 kd), and a band at 350 kd, in addition to a smeared band of more than 400 kd. The 350-kd and 70-kd bands disappeared completely after reduction of disulfide bonds (Figure 3B), whereas the unreduced bands within Mr range of 110 to 150 kd appeared to represent single-chain polypeptides because they were also identified in the reduced sample, albeit migrating slightly more slowly (with respective Mr of 120, 160, 170, and 180 kd).
Activity of vWF-cleaving protease in fractions eluted from Sephacryl S-300 HR.
(A) SDS-agarose gel electrophoresis of unreduced vWF substrate after incubation with chromatographic fractions eluted from Sephacryl S-300 HR. Disappearance of high-molecular-weight vWF multimers is indicative of vWF-cp activity. (B) SDS-PAGE of reduced vWF substrate after incubation with citrated normal plasma diluted 1:20 (lane b) or with a 4-fold concentrated pool of purified vWF-cp preparation (lane c). The vWF subunit is completely degraded to fragments of 170 and 140 kd. The protease-free control in lane a contains only the undegraded vWF subunit of 250 kd.
Activity of vWF-cleaving protease in fractions eluted from Sephacryl S-300 HR.
(A) SDS-agarose gel electrophoresis of unreduced vWF substrate after incubation with chromatographic fractions eluted from Sephacryl S-300 HR. Disappearance of high-molecular-weight vWF multimers is indicative of vWF-cp activity. (B) SDS-PAGE of reduced vWF substrate after incubation with citrated normal plasma diluted 1:20 (lane b) or with a 4-fold concentrated pool of purified vWF-cp preparation (lane c). The vWF subunit is completely degraded to fragments of 170 and 140 kd. The protease-free control in lane a contains only the undegraded vWF subunit of 250 kd.
SDS-PAGE of unreduced and disulfide-reduced fractions eluted from the Sephacryl S-300 HR column.
(A) Unreduced fractions; (B) reduced fractions. Migration rates of unreduced and reduced protein standards are indicated in the middle of both panels. Proteins were detected by silver staining.
SDS-PAGE of unreduced and disulfide-reduced fractions eluted from the Sephacryl S-300 HR column.
(A) Unreduced fractions; (B) reduced fractions. Migration rates of unreduced and reduced protein standards are indicated in the middle of both panels. Proteins were detected by silver staining.
Two-dimensional SDS-PAGE (Figure 4) showed that the 350-kd band produced 2 bands of Mr 170 and 120 kd upon disulfide reduction. N-terminal sequence analysis (Table2) of the 350-kd protein band (Ser/Asn-Val-Ser-Gly-Lys-Pro-Gln-Tyr-Met-Val) indicated that this band represented α2M. This was confirmed by immunoblotting; the band of 350 kd from the unreduced sample and the band of 170 kd from the reduced sample reacted with rabbit anti-α2M antibodies (not shown). Affinity chromatography on anti-α2M–Sepharose resulted in complete removal of α2M and full recovery of vWF-cp eluting from the column in the breakthrough (data not shown). Because the reduced 170-kd protein band in Figure 3B contained both vWF-cp and α2M, sequence analysis of the reduced bands was performed after SDS-PAGE of α2M-depleted samples. Amino acid sequences of all 4 polypeptides migrating as bands with Mr110 to 150 kd and 120 to 180 kd in unreduced and reduced SDS-PAGE, respectively, indicated an identical N-terminal amino acid sequence Ala-Ala-Gly-Gly-Ile, suggesting that they represented the same polypeptide that had been proteolytically cleaved at the carboxy-terminal portion of the molecule. In addition, all 4 polypeptides had similar amino acid composition (Table3).
Two-dimensional electrophoretic analysis of a pool of active fractions collected from the Sephacryl S-300 HR column.
The slowest migrating unreduced proteins (Mr 350 kd or greater) produced subunits of 170 and 120 kd after disulfide reduction, whereas the 70-kd band was reduced to 40 kd. Four protease bands in the Mr range of 110 to 150 kd are single-chain polypeptide chains.
Two-dimensional electrophoretic analysis of a pool of active fractions collected from the Sephacryl S-300 HR column.
The slowest migrating unreduced proteins (Mr 350 kd or greater) produced subunits of 170 and 120 kd after disulfide reduction, whereas the 70-kd band was reduced to 40 kd. Four protease bands in the Mr range of 110 to 150 kd are single-chain polypeptide chains.
N-terminal amino acid sequence of polypeptide bands separated by SDS-PAGE of purified von Willebrand factor–cleaving protease
| Mr . | Amino acid sequence . |
|---|---|
| 350 kd unreduced | Ser-Val-Ser-Gly-Lys-Pro-Gln-Tyr-Met-Val* |
| 150 kd unreduced | Ala-Ala-Gly-Gly-Ile |
| 140 kd unreduced | Ala-Ala-Gly-Gly-Ile |
| 130 kd unreduced | Ala-Ala-Gly-Gly-Ile |
| 110 kd unreduced | Ala-Ala-Gly-Gly-Ile-Leu-His-Leu-Glu |
| 70 kd unreduced | Asp/Ser-Gln/Leu-Thr/Met-Val/Pro-Ser/Phe† |
| 180 kd reduced | Ala-Ala-Gly-Gly-Ile-Leu-His-Leu-Glu |
| 170 kd reduced | Ala-Ala-Gly-Gly-Ile |
| 160 kd reduced | Ala-Ala-Gly-Gly-Ile-Leu-His-Leu-Glu-Leu-Leu-Val-Ala-Val-Gly |
| 120 kd reduced | Ala-Ala-Gly-Gly-Ile-Leu-His-Leu-Glu-Leu-Leu-Val-Ala-Val-Gly |
| 40 kd reduced | Asp-Gln-Thr-Val-Ser† |
| Mr . | Amino acid sequence . |
|---|---|
| 350 kd unreduced | Ser-Val-Ser-Gly-Lys-Pro-Gln-Tyr-Met-Val* |
| 150 kd unreduced | Ala-Ala-Gly-Gly-Ile |
| 140 kd unreduced | Ala-Ala-Gly-Gly-Ile |
| 130 kd unreduced | Ala-Ala-Gly-Gly-Ile |
| 110 kd unreduced | Ala-Ala-Gly-Gly-Ile-Leu-His-Leu-Glu |
| 70 kd unreduced | Asp/Ser-Gln/Leu-Thr/Met-Val/Pro-Ser/Phe† |
| 180 kd reduced | Ala-Ala-Gly-Gly-Ile-Leu-His-Leu-Glu |
| 170 kd reduced | Ala-Ala-Gly-Gly-Ile |
| 160 kd reduced | Ala-Ala-Gly-Gly-Ile-Leu-His-Leu-Glu-Leu-Leu-Val-Ala-Val-Gly |
| 120 kd reduced | Ala-Ala-Gly-Gly-Ile-Leu-His-Leu-Glu-Leu-Leu-Val-Ala-Val-Gly |
| 40 kd reduced | Asp-Gln-Thr-Val-Ser† |
Identified as α2-macroglobulin.
Identified as clusterin.
Amino acid composition of von Willebrand factor–cleaving protease
| Amino acid . | No. residues/100 residues . | |||
|---|---|---|---|---|
| 150 kd . | 140 kd . | 130 kd . | 110 kd . | |
| Asx | 6.7 | 7.0 | 7.4 | 8.3 |
| Glx | 12.2 | 12.0 | 12.8 | 11.8 |
| Ser | 8.4 | 8.9 | 8.8 | 9.2 |
| Gly | 11.8 | 12.1 | 12.1 | 12.9 |
| His | 2.5 | 2.3 | 2.5 | 2.4 |
| Arg | 8.3 | 7.6 | 8.1 | 7.2 |
| Thr | 5.6 | 5.5 | 5.6 | 5.7 |
| Ala | 10.1 | 9.5 | 9.6 | 8.2 |
| Pro | 8.9 | 8.5 | 8.3 | 8.1 |
| Tyr | 2.1 | 2.7 | 2.3 | 2.4 |
| Val | 7.0 | 6.9 | 6.7 | 6.5 |
| Ile | 2.7 | 2.9 | 2.6 | 3.0 |
| Leu | 10.0 | 9.9 | 9.1 | 9.7 |
| Phe | 2.6 | 2.8 | 2.6 | 3.2 |
| Lys | 1.0 | 1.3 | 1.3 | 1.4 |
| Amino acid . | No. residues/100 residues . | |||
|---|---|---|---|---|
| 150 kd . | 140 kd . | 130 kd . | 110 kd . | |
| Asx | 6.7 | 7.0 | 7.4 | 8.3 |
| Glx | 12.2 | 12.0 | 12.8 | 11.8 |
| Ser | 8.4 | 8.9 | 8.8 | 9.2 |
| Gly | 11.8 | 12.1 | 12.1 | 12.9 |
| His | 2.5 | 2.3 | 2.5 | 2.4 |
| Arg | 8.3 | 7.6 | 8.1 | 7.2 |
| Thr | 5.6 | 5.5 | 5.6 | 5.7 |
| Ala | 10.1 | 9.5 | 9.6 | 8.2 |
| Pro | 8.9 | 8.5 | 8.3 | 8.1 |
| Tyr | 2.1 | 2.7 | 2.3 | 2.4 |
| Val | 7.0 | 6.9 | 6.7 | 6.5 |
| Ile | 2.7 | 2.9 | 2.6 | 3.0 |
| Leu | 10.0 | 9.9 | 9.1 | 9.7 |
| Phe | 2.6 | 2.8 | 2.6 | 3.2 |
| Lys | 1.0 | 1.3 | 1.3 | 1.4 |
Four unreduced polypeptide bands from SDS-PAGE of purified vWF-cp with Mr 150, 140, 130, and 110 kd were analyzed.
The unreduced polypeptide band of 70 kd migrated as bands of Mr 30 to 40 kd after reduction (Figure 4). The sequences of both bands (Table 2) were aligned with the PIR Database (NBRF) entries and strongly suggested that they represented unreduced and reduced clusterin (apolipoprotein J), respectively. The unreduced 70-kd electrophoretic band was transferred to nitrocellulose and was found to bind rabbit antibodies to human clusterin (results not shown).
The final recovery of vWF-cp was 2.3% of initial protease activity, and the specific activity of the purified preparation was increased about 1000-fold (Table 1). The substantial loss of protease activity may be ascribed primarily to inactivation of vWF-cp during the purification procedure.
To examine whether the purified vWF-cp preparation degrades vWF to the same fragments as the protease responsible for physiologic degradation of vWF in normal human plasma, we digested purified vWF either with a dilution of normal plasma or with the purified vWF-cp after activation with BaCl2. Analysis of degraded vWF by SDS-PAGE under reducing conditions and immunoblotting (Figure 2B) revealed the same vWF fragments of 170 and 140 kd in both digestion mixtures.
Anticlusterin immunoaffinity chromatography
One milliliter of the peak fraction that had been eluted in TBS from the Protein G–Sepharose column at the end of the first purification step was applied to the anticlusterin column consisting of 1 mL Sepharose 4B coupled with murine monoclonal anti–human clusterin antibody. This crude fraction of partially purified vWF-cp contained a mixture of proteins of molecular mass range 30 to 1000 kd, with a total absorbance of 0.2 at 280 nm. Virtually all proteins were adsorbed to the anticlusterin column. The results of the protease assay are shown in Figure 5A. The activity of the initial protease preparation (a) is completely depleted in the breakthrough elution fraction (b). The column was then thoroughly washed with TBS and the protease was eluted with 3 M NaSCN (c). The latter fraction was dialyzed against TBS before analysis. There was no clusterin present in the breakthrough volume (b), as shown by dot blotting with monoclonal anticlusterin antibodies (Figure 5B). There were also no other proteins detectable in the fraction (b) by SDS-PAGE and silver staining (data not shown). Most proteins of the initial protease preparation, including clusterin, were eluted by 3.0 M NaSCN. It is obvious that the protease was retained by complex formation with clusterin trapped within the anticlusterin column. To examine the binding affinity of vWF-cp for clusterin, we performed a stepwise elution using low ionic strength (5 mM Tris, 1 mM CaCl2, pH 8.0), 1 M urea (in 5 mM Tris, 1 mM CaCl2, pH 8.0), and 0.5 M NaCl (in 10 mM Tris, pH 7.4). There was no vWF-cp activity and no clusterin eluted by any of these 3 buffers, but complete release of protease and clusterin was achieved with 3 M NaSCN (data not shown).
Affinity chromatography on anticlusterin-Sepharose of the crude protease preparation eluted from the IgG-AffiGel column with NaSCN.
(A) vWF-cp activity in the protease preparation before application onto anticlusterin column (a), in the breakthrough fraction (b), and in the NaSCN-eluted fraction (c). The activity was bound in the anticlusterin column and released during elution with NaSCN. (B) Dot blot analysis of the same 3 samples, using dilutions (dil) 1:2 to 1:32, shows complete clusterin removal on anticlusterin-Sepharose and its dissociation in the chaotropic medium.
Affinity chromatography on anticlusterin-Sepharose of the crude protease preparation eluted from the IgG-AffiGel column with NaSCN.
(A) vWF-cp activity in the protease preparation before application onto anticlusterin column (a), in the breakthrough fraction (b), and in the NaSCN-eluted fraction (c). The activity was bound in the anticlusterin column and released during elution with NaSCN. (B) Dot blot analysis of the same 3 samples, using dilutions (dil) 1:2 to 1:32, shows complete clusterin removal on anticlusterin-Sepharose and its dissociation in the chaotropic medium.
Affinity chromatography on an anticlusterin column was also carried out with 1 mL citrated normal human plasma. Results shown in Figure6A indicate that the protease activity of the normal plasma sample (a) appeared in the breakthrough volume (b1-b5, representing elution fractions 2-6, with volumes of 1 mL each). After washing the column with TBS, the elution was continued after fraction 25 with 3 M NaSCN. Less than 1% of total protease activity appeared in 1-mL fractions 27 and 28, corresponding to lanes c1 and c2, respectively. Dot blot analysis showed absence of clusterin in the breakthrough fractions containing vWF-cp, whereas clusterin was eluted with 3 M NaSCN (Figure 6B). To exclude the influence of chelating citrate ions, we repeated the latter experiment with 1 mL normal human serum. The results were identical (data not shown) to those observed with citrated human plasma.
Affinity chromatography of citrated normal human plasma on anticlusterin-Sepharose.
(A) Protease activities of normal plasma (a), of the first 5 breakthrough fractions (b1-b5), and of the first 2 fractions eluted with NaSCN (c1, c2). vWF-cp passed undelayed through the anticlusterin column, although clusterin was completely sequestered, as shown by the dot blot analysis (B). There was no vWF-cp released from the column together with clusterin during elution with NaSCN.
Affinity chromatography of citrated normal human plasma on anticlusterin-Sepharose.
(A) Protease activities of normal plasma (a), of the first 5 breakthrough fractions (b1-b5), and of the first 2 fractions eluted with NaSCN (c1, c2). vWF-cp passed undelayed through the anticlusterin column, although clusterin was completely sequestered, as shown by the dot blot analysis (B). There was no vWF-cp released from the column together with clusterin during elution with NaSCN.
Stability of vWF-cp
Activity of vWF-cp during incubation of citrated plasma, heparin plasma, and serum at 37°C for 2 weeks is shown in Figure7. The initial activity in the serum and in the heparin plasma was about 20% higher than in citrated plasma that had been diluted by addition of 1/9 blood volume of Na3-citrate solution. There was a steady but slow decrease of protease activity in the citrated plasma (half-life longer than 1 week), whereas the vWF-cp was extremely stable in heparin plasma and in serum. In fact, there was even a temporary increase in protease activity within the first 3 days of incubation. Similar stability was observed in the serum sample that had been dialyzed against 1 mM CaCl2, 5 mM Tris, pH 8.0 before incubation (data not shown). In contrast to vWF-cp activity in plasma or serum, a partially purified protease preparation obtained by affinity chromatography on patient IgG as a complex with clusterin, containing only 0.2% of initial total protein concentration, showed an impaired stability. Its in vitro half-life was about 5 days (not shown).
Stability of vWF-cp during incubation at 37°C.
The activity of vWF-cp was analyzed by collagen-binding assay in citrated normal plasma (●), heparin plasma (▴), and in normal serum (▪).
Stability of vWF-cp during incubation at 37°C.
The activity of vWF-cp was analyzed by collagen-binding assay in citrated normal plasma (●), heparin plasma (▴), and in normal serum (▪).
Discussion
In response to endothelial cell activation or injury, unusually large and biologically potent vWF multimers are released from the endothelial cell–specific organelles called Weibel-Palade bodies.27 These extremely large vWF multimers have a higher binding affinity for platelet receptors GPIb and/or GPIIb/IIIa than the largest vWF forms present in normal plasma and can induce platelet aggregation under conditions of elevated fluid shear stress.28 Unusually large vWF multimers were detected in patients with TTP,15,17 and increased vWF binding to platelets was demonstrated in TTP patients.16 In 1996, 2 groups of investigators independently identified and partially purified a protease from normal human plasma that was shown to be responsible for in vivo degradation of vWF multimers.11,12 Severe congenital deficiency of this protease was established in patients with familial TTP,17-19 and the presence of vWF-cp–inhibiting autoantibodies was observed in patients with nonfamilial TTP.18,20 21
Another attempt to purify the vWF-cp is described in the present report. The initial purification step consisted of affinity chromatography of normal human plasma on the IgG fraction obtained from a patient with an autoantibody to vWF-cp. The protease was eluted from the immunoadsorbent using 3 M NaSCN and was immediately separated from the chaotropic agent. The resulting fraction contained about 0.2% of initial protein but still contained many contaminating proteins. Of these, IgGs were removed by affinity chromatography on Protein G–Sepharose and on sheep antibodies to human IgG, IgM, IgA, and IgE. Affinity chromatography on lentil lectin–Sepharose resulted in removal of more than 95% contaminating proteins but was also accompanied by a considerable loss of the protease activity. The recovered vWF-cp fraction still contained significant amounts of fibronectin, which had been previously shown to contain latent matrix-degrading protease activities that were generated by cleavage of purified fibronectin with cathepsin D29 and other cathepsins.30Furthermore, Kempfer et al31 showed that the proteolytic degradation products of fibronectin induced the loss of large vWF multimers at high shear stress. Our results indicate that vWF-cp is not associated with fibronectin because the protease activity was not removed from normal human plasma on gelatin–Sepharose or heparin–Sepharose (data not shown), 2 materials with strong binding affinities for fibronectin.
vWF-cp was eluted from Sephacryl S-300 HR in the early fractions after the void volume, suggesting an unusually high molecular weight for a protease, as observed earlier.11 SDS-PAGE of the unreduced material showed 4 bands migrating with Mr of 150, 140, 130, and 110 kd. All 4 polypeptides showed the same N-terminal amino acid sequence (Ala-Ala-Gly-Gly-Ile). The sequence of the first 15 amino acids (Ala-Ala-Gly-Gly-Ile-Leu-His-Leu-Glu-Leu-Leu-Val-Ala-Val-Gly) is very hydrophobic; it contains 4 Leu, 1 Ile, and 2 Val residues. Proteolytic degradation apparently led to cleavage of vWF-cp at multiple sites in the carboxy-terminal portion of the molecule. The amino acid composition showed remarkable proportions of Arg and very low content of Lys. Human proteins showing the best similarity in amino acid composition (ie, fibulin, pregnancy zone protein) were found to lack the N-terminal amino acid sequence of vWF-cp.
From the recovery of vWF-cp in the final fraction and taking into consideration the relative intensities of silver-stained bands of vWF-cp, α2M, and clusterin in the electrophoretic gels, it may be roughly estimated that the concentration of vWF-cp in normal human plasma is about 1 μg/mL. Our first attempt11 to isolate vWF-cp resulted in a 10-fold better purification (approximately 10 000-fold) than that observed in the present study (approximately 1000-fold). Both figures were derived from the relative amounts of the protease activity divided by protein concentrations (absorbance at 280 nm) in the initial and final material. This difference may be explained by an excessive rate of protease inactivation under conditions of the present purification method, by activation of the protease during the previous procedure,11 or both. It should be pointed out that the present purification method used more aggressive conditions (eg, 3 M NaSCN) than the previous procedure and that the protease was strongly associated with clusterin after affinity chromatography on patient IgG. The question remains open whether the recovered activity represents the total amount of the protease or whether an unknown fraction of the protease is present in plasma in an inactive proenzyme form, as might be hypothesized from our results shown in Figure 7, and became activated (eg, by calcium ions) in the previous purification method.
The protease was eluted by gel filtration from the Sephacryl S-300 HR column together with α2M (molecular mass 720 kd) and an unknown protein of 70 kd. Almost simultaneous elution of vWF-cp with several protein molecules of different sizes suggests that the protease forms a complex with some other plasma proteins. Complex formation may also explain the unusually high molecular mass (200-300 kd) of vWF-cp in both earlier reports on vWF-cp purification.11 12
It is known that α2M interacts with and inhibits virtually any protease and that covalent complexes of the α2M with plasmin32 or thrombin33 still possess amidolytic but much less proteolytic activity toward their protein substrates. On the other hand, when bound to α2M, a protease is largely “protected” from inhibition by other large protease inhibitors. The possibility that vWF-cp may be firmly associated with α2M was tested by immunoaffinity chromatography on anti-α2M–Sepharose. The activity of the purified protease fraction from Sephacryl S-300 HR, still containing α2M, appeared unchanged in the void volume of the anti-α2M–Sepharose column, suggesting that there was apparently no association between vWF-cp and α2M. This result is supported by the unusually long biologic half-life of vWF-cp14 because α2M-protease complexes are rapidly cleared from the circulation.34
The identity of the 70-kd protein contaminating the purified vWF-cp preparation was deduced from the amino acid sequences of the SDS-PAGE bands. Clusterin (apolipoprotein J) is a carbohydrate-rich 2-chain protein consisting of a 222-residue α-subunit (N-terminal sequence Ser-Leu-Met-Pro-Phe) and a 205-residue β-subunit (N-terminal sequence Asp-Gln-Thr-Val-Ser). Clusterin binds to a variety of biologic ligands, such as IgG, complement components, high-density lipoprotein particles, lipids, heparin, and others.35 It has a chaperonelike activity similar to that of small heat-shock proteins36; it appears to bind to hydrophobic regions of partly unfolded proteins and thus to protect stressed proteins from precipitation. The clusterin concentration in serum is 50 to 370 μg/mL.36 It exists in polymerized forms at physiologic pH and as monomer occurring preferentially under slightly acidic conditions, suggesting that pH-induced changes in the structure of clusterin are responsible for pH-dependent binding of heparin37 or protein ligands.38
Our results indicate that clusterin, vWF-cp, and all contaminating proteins that were eluted with 3 M NaSCN from the patient IgG-AffiGel column were retained on anticlusterin-Sepharose. vWF-cp could not be dissociated from clusterin under conditions enhancing the proteolytic digestion of vWF (5 mM Tris, 1 mM CaCl2, pH 8.0; 1.0 M urea). No detectable ligand was dissociated from the anticlusterin column with 0.5 M NaCl, whereas clusterin, vWF-cp, and all bound contaminating proteins were eluted with 3 M NaSCN, thus explaining the high apparent molecular weight of vWF-cp and clusterin, as judged from gel filtration on Sephacryl S-300 HR.
Affinity chromatography of normal human plasma and of normal human serum on anticlusterin-Sepharose showed that the vWF-cp passed unretarded through the column, whereas the clusterin was firmly bound and was again dissociated with 3 M NaSCN. These results indicate that vWF-cp in vivo is not associated with clusterin and that the observed complex formation is due to vWF-cp denaturation during the first step of the purification procedure.
Our data show that the protease activity in citrated plasma is inactivated very slowly at 37°C (half-life longer than 1 week) and that the activity even increases initially in heparin plasma or in serum, both containing about 1 mM of free calcium ions. It remains to be investigated whether vWF-cp is present in the circulation as an inactive precursor that is slowly but continuously activated in the presence of calcium ions.
There is a practical benefit of these observations for the clinical laboratory. Because of full recovery of vWF-cp in serum and heparin plasma, both forms of patient samples are suitable, in addition to citrated plasma, for detection of vWF-cp deficiency in patients with TTP/hemolytic-uremic syndrome, even if the samples have been stored for longer intervals at room temperature. It must be added that EDTA is not appropriate as a blood anticoagulant because it completely and apparently irreversibly inactivates vWF-cp.25
Supported by grants from the Swiss National Science Foundation (32-47033.96); from the Malcolm Hewitt Wiener Foundation, New York, NY; from the Central Laboratory, Blood Transfusion Service, Swiss Red Cross, Bern, Switzerland; and from Baxter Immuno, Vienna, Austria.
The publication costs of this article were defrayed in part by page charge payment. Therefore, and solely to indicate this fact, this article is hereby marked “advertisement” in accordance with 18 U.S.C. section 1734.
References
Note added in proof
The reader is referred to the accompanying paper, Fujikawa et al,39 page 1662, characterizing vWF-cp as a metalloprotease.
Author notes
Bernhard Lämmle, Central Hematology Laboratory, University Hospital, Inselspital, CH-3010 Bern, Switzerland; e-mail: bernhard.laemmle@insel.ch.







This feature is available to Subscribers Only
Sign In or Create an Account Close Modal