Abstract
In sickle cell (SS) vaso-occlusion, the culminating event is blockage of blood vessels by sickled red blood cells (SS RBCs). As shown in animal models, SS RBC-induced vaso-occlusion is often partial, allowing for a residual flow, hence oxygen delivery to partially occluded vessels could reduce vaso-occlusion. The efficacy of an oxygenated perflubron-based fluorocarbon emulsion (PFE) was tested for its anti–vaso-occlusive effects in the ex vivo mesocecum vasculature of the rat. Microvascular obstruction was induced by the infusion of deoxygenated SS RBCs into ex vivo preparations with or without pretreatment with platelet-activating factor (PAF). PAF induced enhanced SS RBC–endothelium interactions, leading to greater vaso-occlusion. Microvascular blockage resulted in increased peripheral resistance units (PRU). Deoxygenated SS RBCs caused a persistent 1.5-fold PRU increase in untreated preparations and approximately a 2-fold PRU increase in PAF-treated preparations. The greater PRU in PAF-treated preparations was caused by widespread adhesion and postcapillary blockage. Oxygenated PFE, but not deoxygenated PFE, resulted in PRU decreases to baseline values in both groups of experiments (with or without PAF). The PRU decrease caused by oxygenated PFE infusion was caused by unsickling of SS RBCs in partially occluded vessels, with no antiadhesive effect on already adherent SS RBCs as assessed by intravital microscopy. PFE had no effect on vascular tone. The efficacy of PFE appears to result from its greater capacity to dissolve oxygen (10-fold higher than plasma). The dislodgement of trapped SS RBCs and an increase in wall shear rates will help reverse the partial obstruction. Thus, oxygenated PFE is capable of reducing SS RBC-induced vaso-occlusion, and further development of this approach is advisable.
Introduction
Sickle cell (SS) anemia is characterized by recurring episodes of painful vaso-occlusive crises and multiple organ damage. The pathophysiology of this disease is attributed to a single amino acid substitution at the sixth position of the β chain (β6, Glu→Val) of the hemoglobin (Hb)S molecule. This single-point mutation results in the polymerization of HbS and the sickling of red blood cells (RBCs) under deoxygenated conditions. At least 2 factors—in vivo sickling and RBC–endothelium interactions—would contribute to vaso-occlusion in sickle cell anemia. In sickling, vaso-occlusion results from the blockage of blood vessels by polymer-filled, nondeformable red cells. Adhesion of sickle red cells to vascular endothelium may narrow vessel lumen, increase red cell transit times, and allow cells with long delay times to polymerize and obstruct.1
As observed in ex vivo2 and in vivo models,3SS RBC-induced vaso-occlusion is often partial, allowing for decreased remnant flow. Hence, if oxygen is delivered to these areas,4 decreased obstruction might be achieved. To this end, we have tested the efficacy of an oxygenated fluorocarbon emulsion for its anti–vaso-occlusive effects.
Fluorocarbon emulsion droplets (0.1-0.3 μm) might deliver oxygen to sickled RBCs in partially obstructed vessels that cannot be reached by much larger oxygenated RBCs (approximately 8.0-μm diameter). Fluorocarbons have high oxygen solubility through weak van der Waal forces.5 There is a direct linear relation between oxygen tension and the amount of oxygen dissolved in fluorocarbons.5 6 In addition, fluorocarbons are biologically inert because of the strong carbon–fluorine bonds. We hypothesize that partial vaso-occlusion by sickle RBCs could be reversed if we could deliver oxygen to the affected vessels. To this end, we have evaluated the efficacy of a fluorocarbon emulsion based on perflubron (C8F17Br) to ameliorate ensuing vaso-occlusion by SS red cells in an ex vivo preparation.
Materials and methods
Preparation of cells
Heparinized blood was obtained with informed consent from adult patients with sickle cell anemia (n = 5) who were not in crisis and had not received blood transfusion in the preceding 4 months. After removal of the buffy coat, SS RBCs were suspended in autologous plasma, and the hematocrit (Hct) level was adjusted to 30%. SS RBC suspensions were deoxygenated in a rotatory tonometer (model IL 237; Instrumentation Laboratory, Lexington, MA). At the end of deoxygenation, samples were withdrawn anaerobically in syringes previously flushed with nitrogen. Percentage hemoglobin oxygen saturation (HbO2) was measured with the use of an Instrumentation Laboratory CO-Oximeter (model 282; Instrumentation Laboratory). The mean percentage HbO2 in deoxygenated samples was less than 3%.
Preparation and perfusion of rat mesocecum vasculature
Perfusion studies were performed in the isolated, acutely denervated, and artificially perfused rat mesocecum vasculature (n = 22) according to the method of Baez et al,7 as modified by Kaul et al,8 for the infusion of erythrocytes. Details of the procedure have been described elsewhere.9Arterial perfusion pressure in the mesocecum was maintained at 60 mm Hg, and venous outflow pressure was kept at 3.8 mm Hg. During perfusion with Ringer–albumin solution (118 mM NaCl, 5 mM KCl, 2.5 mM CaCl2, 0.64 mM MgCl2, 27 mM NaHCO3, 3.0% bovine albumin, equilibrated with 95% N2 and 5% CO2; pH 7.4; osmolarity, 295 mOsm/kg), a 0.25-mL bolus of deoxygenated SS RBC suspension (Hct 30%) was injected over approximately 5 seconds. Peripheral resistance units (PRU) were determined as described10 and expressed in millimeters of mercury per milliliter per minute per gram. PRU = ΔP/Q, where ΔP is the arteriovenous pressure difference and Q is the rate of venous outflow (milliliter per minute) per gram tissue weight. Direct intravital microscopic observations and simultaneous video recording of the microcirculatory events were carried out with an Olympus microscope (model BH-2) equipped with a television camera (5000 Series, Cohu, San Diego, CA) and a Sony U-matic video recorder (model VO5800, Sony, Teaneck, NJ).
Protocols of experiments with perflubron-based fluorocarbon emulsion
Microvascular obstruction was induced by the infusion of deoxygenated SS RBCs (Hct 30% in autologous plasma). We tested the efficacy of oxygenated perflubron-based fluorocarbon emulsion (PFE) emulsified in phospholipids (lecithin) with water (Alliance Pharmaceutical, San Diego, CA) for its anti–vaso-occlusive effects in the ex vivo mesocecum preparation. PFE was either fully oxygenated before use with 100% O2 or deoxygenated using 100% N2. Two protocols were used. In the first protocol, deoxygenated SS RBCs were infused into untreated ex vivo preparations at an arterial pressure of 60 mm Hg. Changes in the peripheral resistance were monitored, and microvascular obstruction was confirmed by direct microscopic observations. This was followed by a bolus infusion of bicarbonate Ringer–albumin solution (0.3 mL) of the same composition described above and was oxygenated with 95% O2and 5% CO2. Thereafter, a bolus of fully oxygenated and undiluted PFE (0.3 mL) was infused, and changes in PRU and microvascular obstruction were monitored.
In the second protocol, the ex vivo preparation was isolated and perfused with 40 mL Ringer–albumin containing PAF (200 pg/mL) for 10 minutes. After a 5-minute incubation period, the preparation was perfused as above at an arterial perfusion pressure of 60 mm Hg. The sequence of infusion of deoxy SS RBCS, oxygenated Ringer, and PFE was similar, as described in the first protocol. In separate experiments using the above protocols, we compared oxygenated and deoxygenated PFE.
Statistical analysis
Multiple samples were analyzed using analysis of variance (ANOVA), and significance levels among samples were determined by Newman-Keul multiple range tests. Paired t test was applied to compare paired samples. All data are reported as means ± SD. Statistical significance was set atP < .05.
Results
In these experiments, we tested oxygenated PFE for its capacity to alleviate vaso-occlusion induced by deoxygenated SS RBCs in the ex vivo mesocecum preparation. Two types of perfusion experiments were performed.
In the first set of experiments, we tested the efficacy of oxygenated PFE in untreated ex vivo preparations in which obstruction was induced by deoxygenated SS RBCs. In these experiments, a bolus infusion of deoxygenated SS RBC suspended in autologous plasma (Hct 30%, 0.25 mL; HbO2 < 3%) resulted in partial or complete blockage of many terminal arterioles and adhesion in some areas was accompanied by postcapillary blockage. In each of 7 preparations, the trapped SS RBCs caused a persistent increase in the PRU compared to the baseline (pre-SS) values (Table 1). Mean PRU increased 1.5-fold—from 5.0 ± 0.5 to 7.5 ± 0.9 mm Hg/mL per min/g (P < .05; ANOVA) (Table 1). Thereafter, a bolus infusion of oxygenated Ringer–albumin solution (0.3 mL) caused no significant change in PRU compared with post-SS values. In contrast, a subsequent infusion of oxygenated PFE caused a significant decrease in PRU to 5.6 ± 0.7 mm Hg/mL per min/g (P < .05), and the resultant PRU was comparable to pre-SS baseline values (Table 1). The decrease in PRU was accompanied by a complete dislodgement of trapped SS RBCs from some partially obstructed vessels. However, there was no resumption of flow in completely obstructed vessels. In 2 separate experiments, we compared the effects of oxygenated and deoxygenated PFE on SS RBC-induced increases in PRU. Only oxygenated PFE was effective in restoring PRU to baseline values (mean values are expressed in mm Hg/mL per min/g: pre-SS baseline, 4.5; post-SS, 5.9 [31% increase over baseline]; deoxy PFE, 5.8 [30% increase over baseline]; Oxy PFE, 4.9 [9.0% increase over baseline]).
PFE ameliorates increased PRU caused by SS RBCs in ex vivo mesocecum vasculature
| Infusion sequence . | PRU . | Mean ± SD . | ||||||
|---|---|---|---|---|---|---|---|---|
| 1 . | 2 . | 3 . | 4 . | 5 . | 6 . | 7 . | ||
| Pre-SS infusion | 4.5 | 5.3 | 5.6 | 4.6 | 5.2 | 4.3 | 5.4 | 5.0 ± 0.5 |
| Post-SS infusion | 6.9 | 8.5 | 7.6 | 6.3 | 6.5 | 8.4 | 8.1 | 7.5 ± 0.9* |
| Oxy Ringer | — | — | — | — | 6.5 | 7.7 | 7.6 | 7.3 ± 0.7* |
| Oxy PFE | 5.1 | 5.7 | 5.9 | 4.7 | 6.1 | 5.2 | 6.7 | 5.6 ± 0.7 |
| Infusion sequence . | PRU . | Mean ± SD . | ||||||
|---|---|---|---|---|---|---|---|---|
| 1 . | 2 . | 3 . | 4 . | 5 . | 6 . | 7 . | ||
| Pre-SS infusion | 4.5 | 5.3 | 5.6 | 4.6 | 5.2 | 4.3 | 5.4 | 5.0 ± 0.5 |
| Post-SS infusion | 6.9 | 8.5 | 7.6 | 6.3 | 6.5 | 8.4 | 8.1 | 7.5 ± 0.9* |
| Oxy Ringer | — | — | — | — | 6.5 | 7.7 | 7.6 | 7.3 ± 0.7* |
| Oxy PFE | 5.1 | 5.7 | 5.9 | 4.7 | 6.1 | 5.2 | 6.7 | 5.6 ± 0.7 |
PRU = Pa-Pv (mm Hg)/venous outflow (mL/min)/tissue weight (g).
Pa indicates arterial perfusion pressure; Pv, venous outflow pressure.
Seven mesocecum preparations were used (1 to 7).
P < .05 compared with pre-SS and PFE (Newman-Keuls multiple comparisons).
In the second set of experiments, we tested the ability of oxygenated PFE when deoxygenated SS RBCs were infused into the ex vivo preparation after treatment with PAF. We have previously shown that PAF induces enhanced SS RBC–endothelium interactions leading to a greater vaso-occlusion in the ex vivo preparation.11 Figure1 is a representative recording of hemodynamic parameters in a PAF treatment preparation. A bolus infusion of deoxygenated SS RBCs resulted in a transient increase in the arterial pressure and a decrease in venous outflow, accompanied by widespread adhesion and postcapillary blockage in the microcirculation. Infused SS RBCs increased PRU; trapped SS RBCs resulted in only partial recovery of PRU compared with the baseline value (11.0 vs 8.6 mm Hg/mL per min/g). Next, the infusion of oxygenated Ringer–albumin solution caused a slight decrease in PRU, from 11.0 to 10.3 mm Hg/mL per min/g. In contrast, the infusion of oxygenated PFE was followed by a recovery of PRU to 7.9 mm Hg/mL per min/g.
Example of the effect of PFE on hemodynamic parameters in a PAF-treated mesocecum vasculature after SS RBC-induced obstruction.
A bolus of deoxygenated SS RBCs (Hct 30 in autologous plasma, 0.25 mL; HbO2 < 3%), delivered at an arterial pressure (Pa) of 60 mm Hg, caused a transient rise in Pa and venous outflow (Fv). After the passage of bolus, trapped SS RBCs resulted in only partial recovery of PRU compared with pre-SS baseline value (11.0 vs 8.6 mm Hg/mL per min/g). Next, the infusion of oxygenated Ringer–albumin solution (0.3 mL) caused a slight decrease in PRU from 11.0 to 10.3 mm Hg/mL per min/g. In contrast, a subsequent infusion of oxygenated PFE was followed by recovery PRU to the baseline (pre-SS) value. The PRU decrease was accompanied by complete dislodgement of trapped sickled RBCs from some partially obstructed vessels.
Example of the effect of PFE on hemodynamic parameters in a PAF-treated mesocecum vasculature after SS RBC-induced obstruction.
A bolus of deoxygenated SS RBCs (Hct 30 in autologous plasma, 0.25 mL; HbO2 < 3%), delivered at an arterial pressure (Pa) of 60 mm Hg, caused a transient rise in Pa and venous outflow (Fv). After the passage of bolus, trapped SS RBCs resulted in only partial recovery of PRU compared with pre-SS baseline value (11.0 vs 8.6 mm Hg/mL per min/g). Next, the infusion of oxygenated Ringer–albumin solution (0.3 mL) caused a slight decrease in PRU from 11.0 to 10.3 mm Hg/mL per min/g. In contrast, a subsequent infusion of oxygenated PFE was followed by recovery PRU to the baseline (pre-SS) value. The PRU decrease was accompanied by complete dislodgement of trapped sickled RBCs from some partially obstructed vessels.
Results obtained from 6 preparations and summarized in Table2 confirm the above findings. Average baseline (pre-SS) PRU in PAF-treated preparations (n = 6, Table 2) was 1.6-fold greater than the baseline PRU in untreated preparations (Table 1)—8.0 ± 0.7 versus 5.0 ± 0.5 mm Hg/mL per min/g (P < .0001). As shown previously,12 because PAF does not alter the arteriolar diameter in this preparation, the increase in PRU with PAF treatment reflects the effect on venous outflow of tissue edema secondary to a PAF-induced increase in venular permeability. After the infusion of deoxygenated SS RBCs into PAF-treated preparations, the mean PRU (15.4 ± 4.2 mm Hg/mL per min/g) showed an almost 2-fold increase compared with pre-SS values (P < .05) (Table 2). The variability in PRU after sickle RBC infusion in PAF-treated preparations could be attributed to vascular topographic variations or individual variations in adhesion characteristics of SS RBCs. Infusion of oxygenated Ringer–albumin solution had no significant effect on the mean PRU. On the other hand, the infusion of oxygenated PFE caused decreases in PRU in all preparations (Table 2), with the mean PRU (8.7 ± 0.7 mm Hg/mL per min/g) showing a significant decrease (P < .05) and approaching the pre-SS baseline values (Table 2). The decrease in PRU was accompanied by dislodgement of trapped cells from some partially obstructed vessels (Figure 2) but not from completely obstructed vessels. However, PFE had no effect on adhered SS RBCs.
PFE ameliorates increased PRU caused by SS RBCs in PAF-treated ex vivo mesocecum vasculature
| Infusion sequence . | PRU . | Mean ± SD . | |||||
|---|---|---|---|---|---|---|---|
| 1 . | 2 . | 3 . | 4 . | 5 . | 6 . | ||
| Pre-SS infusion | 8.6 | 7.9 | 8.1 | 7.8 | 8.8 | 6.9 | 8.0 ± 0.7 |
| Post-SS infusion | 11.0 | 11.9 | 20.1 | 18.4 | 19.2 | 11.9 | 15.4 ± 4.2* |
| Oxy Ringer | 10.3 | 10.2 | 18.1 | 17.5 | 13.0 | 11.3 | 13.4 ± 3.6* |
| Oxy PFE | 7.9 | 8.5 | 9.9 | 8.5 | 8.6 | 8.8 | 8.7 ± 0.7 |
| Infusion sequence . | PRU . | Mean ± SD . | |||||
|---|---|---|---|---|---|---|---|
| 1 . | 2 . | 3 . | 4 . | 5 . | 6 . | ||
| Pre-SS infusion | 8.6 | 7.9 | 8.1 | 7.8 | 8.8 | 6.9 | 8.0 ± 0.7 |
| Post-SS infusion | 11.0 | 11.9 | 20.1 | 18.4 | 19.2 | 11.9 | 15.4 ± 4.2* |
| Oxy Ringer | 10.3 | 10.2 | 18.1 | 17.5 | 13.0 | 11.3 | 13.4 ± 3.6* |
| Oxy PFE | 7.9 | 8.5 | 9.9 | 8.5 | 8.6 | 8.8 | 8.7 ± 0.7 |
PRU = Pa-Pv (mm Hg)/venous outflow (mL/min)/tissue weight (g).
Abbreviations are explained in Table 1.
Six mesocecum preparations were used (1 to 6).
P < .05 compared with pre-SS and PFE (Newman-Keuls multiple comparisons).
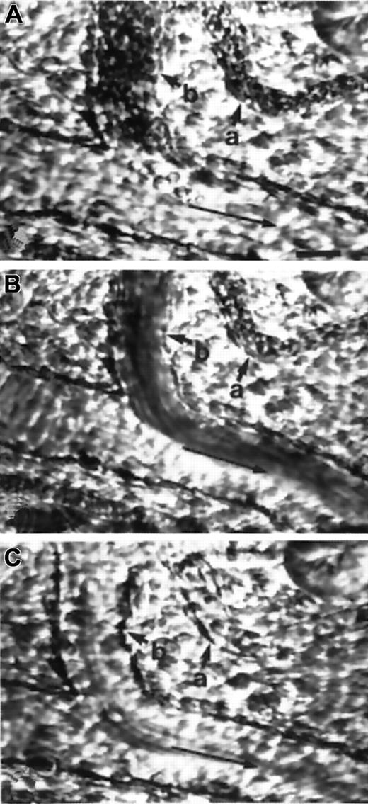
Video micrographs of mesocecum microvasculature.
(A) Obstruction in postcapillary venules (a, b) after the infusion of deoxygenated SS RBCs in a PAF-treated preparation. (B) After the infusion of oxygenated PFE, there is dislodgement of trapped SS RBCs from the venule (a). (C) This was followed by the complete clearance of trapped cells from both postcapillary venules (a, b). Large arrows indicate the flow direction. Bar, 20 μm (A).
Video micrographs of mesocecum microvasculature.
(A) Obstruction in postcapillary venules (a, b) after the infusion of deoxygenated SS RBCs in a PAF-treated preparation. (B) After the infusion of oxygenated PFE, there is dislodgement of trapped SS RBCs from the venule (a). (C) This was followed by the complete clearance of trapped cells from both postcapillary venules (a, b). Large arrows indicate the flow direction. Bar, 20 μm (A).
In 3 other PAF-treated preparations in which we compared the effects of oxygenated and deoxygenated PFE after SS RBC-induced obstruction, only oxygenated PFE resulted in a significant decrease in PRU (P < .05) compared with post-SS PRU (Table3).
Oxygenated PFE, but not deoxygenated PFE, ameliorates increased PRU caused by SS RBC in PAF-treated ex vivo mesocecum vasculature
| Infusion sequence . | PRU . | Mean ± SD . | ||
|---|---|---|---|---|
| 1 . | 2 . | 3 . | ||
| Pre-SS infusion | 6.9 | 6.2 | 7.2 | 6.8 ± 0.5 |
| Post-SS infusion | 8.6 | 10.1 | 11.6 | 10.1 ± 1.53-150 |
| Deoxy PFE | 7.9 | 9.4 | 9.6 | 9.0 ± 0.93-150 |
| Oxy PFE | 6.8 | 6.5 | 7.5 | 6.9 ± 0.5 |
| Infusion sequence . | PRU . | Mean ± SD . | ||
|---|---|---|---|---|
| 1 . | 2 . | 3 . | ||
| Pre-SS infusion | 6.9 | 6.2 | 7.2 | 6.8 ± 0.5 |
| Post-SS infusion | 8.6 | 10.1 | 11.6 | 10.1 ± 1.53-150 |
| Deoxy PFE | 7.9 | 9.4 | 9.6 | 9.0 ± 0.93-150 |
| Oxy PFE | 6.8 | 6.5 | 7.5 | 6.9 ± 0.5 |
PRU = Pa-Pv (mm Hg)/venous outflow (mL/min)/tissue weight (g).
Abbreviations are explained in Table 1.
Three mesocecum preparations were used (1 to 3).
P < .05 compared with pre-SS and PFE (Newman-Keuls multiple comparisons).
In 4 separate untreated preparations, a bolus infusion of oxygenated PFE (0.3 mL) alone had no significant effect on PRU compared with the baseline values (n = 4; P = .076) or on the arteriolar diameter (n = 21; P = .34) (Table4).
PFE has no effect on vascular tone in ex vivo mesocecum vasculature
| Treatment . | PRU . | Arteriolar diameter (μm) . |
|---|---|---|
| Baseline | 4.2 ± 0.5 | 19.5 ± 3.8 |
| Oxy PFE | 3.9 ± 0.3 | 19.6 ± 3.6 |
| Treatment . | PRU . | Arteriolar diameter (μm) . |
|---|---|---|
| Baseline | 4.2 ± 0.5 | 19.5 ± 3.8 |
| Oxy PFE | 3.9 ± 0.3 | 19.6 ± 3.6 |
PRU = Pa-Pv (mm Hg)/venous outflow (mL/min)/tissue weight (g).
Abbreviations are explained in Table 1.
Four mesocecum preparations were used (1 to 4) (PRU, P= .076 compared with baseline values, paired t test).
Number of arterioles, 21; P = .34 compared with baseline values.
Discussion
In sickle cell anemia, a vaso-occlusive episode may be triggered by a combination of factors, but the culminating event is blockage of vessels by sickled red cells. Thus, in the treatment of sickle cell anemia, much attention has been given to inhibit the sickling ability of SS RBCs. For example, the early rationale behind hydroxyurea therapy was to increase levels of anti-sickling fetal hemoglobin that would reduce SS RBC sickling and result in decreased frequency of vaso-occlusive episodes.12 Once a vaso-occlusive crisis sets in, the goal is to alleviate or abort the pain and progression of vaso-occlusion. Delivery of oxygen to the affected vessels may prevent or abort worsening of the painful crisis. Acellular oxygen carriers such as fluorocarbons may be able to deliver oxygen to all partially occluded vessels and achieve these objectives.
In the current studies, infusion of oxygenated PFE, but not deoxygenated PFE, caused a distinct improvement of hemodynamic parameters in the ex vivo mesocecum after the induction of vaso-occlusion by deoxygenated SS RBCs. The persistent microvascular blockage caused by trapped or adherent SS RBCs was confirmed by direct microscopic observations and by an increase in PRU. Deoxygenated SS RBCs resulted in a 1.5-fold increase in PRU in untreated preparations and in almost a 2-fold increase in preparations pretreated with PAF. As shown previously, the greater PRU in PAF-treated preparations is caused by the extensive adhesion of SS RBCs resulting in greater trapping of sickled RBCs in postcapillary venules.11
Our results show that the infusion of oxygenated PFE was followed by significant decreases in PRU in both groups of experiments (with or without PAF). Significantly, in each case, the decrease in PRU approached pre-SS infusion baseline values (Tables 1, 2). The observed decrease in PRU after the infusion of PFE was accompanied by the dislodgement of trapped cells in some partially obstructed vessels under observation (Figure 2) but not from completely obstructed vessels. Treatment with PAF allowed us to determine whether PFE could exert antiadhesive effects. However, PFE had no effect on adherent SS RBCs. The antiadhesive effect of Fluosol, a first-generation fluorocarbon as reported by Smith et al,13 was attributed to a lubricating effect of Pluronic, a substance used to emulsify the fluorocarbon. The emulsifier in PFE is phospholipid (lecithin), and there is no Pluronic component.
Our results indicate that the efficacy of oxygenated PFE is caused by the unsickling of trapped sickled cells, probably resulting in increased wall shear rates. In addition, PFE when infused alone had no significant effect on PRU or arteriolar diameters in the mesocecum preparation, suggesting that the ameliorating effect of PFE did not involve any change in vascular tone.
Although oxygenated PFE had an ameliorating effect on hemodynamic parameters, the infusion of oxygenated Ringer–albumin solution caused only a slight insignificant decrease in PRU after SS RBC-induced obstruction. The efficacy of PFE is likely attributed to its greater capacity to dissolve oxygen (10-fold higher than plasma) through weak van der Waal forces.5 Dislodgement of trapped SS RBCs by oxygenated PFE results in increased wall shear rates in the microcirculation, as suggested by increased venous outflow rates (Figure 1). Thus, the dislodgement of trapped SS RBCs and an increase in wall shear rates will help reverse the partial obstruction.
We conclude that the observed decrease in PRU after the infusion of PFE results from the unsickling of SS RBCs in partially obstructed vessels and an increase in flow rates but not from an effect on adherent sickle cells. Thus, PFE is capable of reducing SS RBC-induced vaso-occlusion, and further development of this approach is advisable.
We thank Dr Helen M. Ranney for helpful discussions and encouragement. We also thank Alliance Pharmaceutical Corporation (San Diego, CA) for the donation of perflubron emulsion for these experiments.
Supported by grants HL45931 (D.K.K), HL38655 (R.L.N, D.K.K.), and 1MO1RR12248 (R.L.N.) American Heart Association-Heritage Affiliate (D.K.K.).
The publication costs of this article were defrayed in part by page charge payment. Therefore, and solely to indicate this fact, this article is hereby marked “advertisement” in accordance with 18 U.S.C. section 1734.
References
Author notes
Dhananjay K. Kaul, Department of Medicine, Albert Einstein College of Medicine, Rm U-917, 1300 Morris Park Ave, Bronx, NY 10461; e-mail: kaul@aecom.yu.edu.


This feature is available to Subscribers Only
Sign In or Create an Account Close Modal