The expression of 3 lymphoid chemokines—macrophage inflammatory protein-3α (MIP-3α), stromal cell–derived factor-1 (SDF-1), and B-cell–attracting chemokine-1 (BCA-1)—in the tonsil and the possible correlation between their sites of expression and B-cell localization within this tissue were studied. The results show that all 3 chemokines are produced in the crypts but differ by the nature of the cells that produce them and their location within the crypt. SDF-1 and MIP-3α are produced by epithelial cells, but their secretion is mutually exclusive. Both MIP-3α– and SDF-1–expressing cells are in close contact with memory B cells. By contrast, BCA-1–producing cells in the crypt are not epithelial and form clusters colocalized with plasma cells. Altogether, these data suggest that the chemokines produced in the tonsillar crypt may (1) attract memory B cells to antigen and (2) recruit and retain plasma cells and memory B cells within the supportive epithelial microenvironment of the crypt.
Introduction
Chemokines bring together the different cell partners of the humoral responses to T-dependent antigens (Ag) by facilitating the migration and recruitment of the appropriate cells into the right microanatomic compartment.1 2 We have investigated the sites and sources of production of 3 lymphoid chemokines—stromal cell–derived factor-1 (SDF-1), macrophage inflammatory protein-3α (MIP-3α), and B-cell–attracting chemokine-1 (BCA-1)—in the human tonsil and their possible correlation with the microanatomic localization of tonsil B-cell subsets.
The present study of chemokine expression has been performed in the tonsil as the experimental model. Tonsils are chronically exposed to foreign Ag that gains access to the lymphoid tissue through the crypt epithelium. The crypt is rich in lymphocytes, with most being B cells. This crypt B-cell compartment is mainly composed of memory B cells3 and plasma cells (PCs).4
The data described here show that the tonsillar crypt is likely to exert a strong chemoattractive function because all 3 “lymphoid” chemokines investigated were found to be produced in this site. We propose that these 3 chemokines could exert 2 different functions on B cells: (1) to attract them toward Ag and (2) to recruit and retain memory B cells and PCs in a microenvironment rich in Ag and stromal cells that may support their long-term survival.
Study design
Antibodies
The following antibodies (Abs) and conjugates were used in the experiments described here: CD2 (OKT11) and CD38 (OKT10) (American Type Culture Collection); CD10 (SS2/36), CD35 (Ber-Mac-DRC), cytokeratin-19 (RCK108), polyclonal human immunoglobulin G (IgG) (rabbit), APAAP mouse IgG1 and the alkaline phosphatase–coupled avidin, all from Dako, Glostrup, Denmark; CD19 (BU52; Dr D. Hardie, University of Birmingham, United Kingdom); CD27 (L128; Becton Dickinson, Le Pont de Claix, France); SDF-1 (K15C) 5; polyclonal mouse IgG1 (sheep; The Binding Site, Birmingham, United Kingdom); polyclonal biotinylated MIP-3α (goat; R&D Systems, Minneapolis, MN); polyclonal BCA-1 (rabbit; Peprotech, Boston, MA); peroxidase-coupled rabbit Ig and mouse Ig (Amersham Life Sciences, Buckinghamshire, United Kingdom) and peroxidase-coupled extravidin (Sigma, St Louis, MO).
Immunohistology
Human tonsils were snap-frozen, cut in sections 5-μm thick, fixed in cold acetone for 20 minutes, and frozen at −70°C until further use. In all the photomicrographs, the blue labeling corresponds to revelation of the alkaline phosphatase activity and the red labeling corresponds to revelation of the peroxidase activity. The labeling protocol used in this study has been previously described.6
Results and discussion
Sites of production of SDF-1, MIP-3α, and BCA-1 in the tonsillar tissue
The expression of SDF-1 was analyzed by immunohistology with an anti–SDF-1 mAb. In all specimens analyzed, SDF-1 staining was consistently found to be restricted to 2 well-defined areas: the crypt (Figure 1A,B) and the outer epithelium (data not shown). In the outer epithelium, SDF-1–expressing cells constitute a monolayer at the borderline between the outer epithelium and the lymphoid tissue of the tonsil. In contrast, SDF-1–expressing cells in the crypt are scattered and can be found near the lumen, within the spongy epithelium, and along the lymphoepithelial borderline. Double immunoenzymatic staining with anti–SDF-1 and anti-CD10 (Figure 1C) mAbs revealed that SDF-1 is not expressed in the follicular mantle, the germinal center, or the T zones. Double immunoenzymatic staining with the anti–SDF-1 mAb (red) and with an mAb-recognizing cytokeratin-19 (blue) established that all SDF-1–producing cells both in the crypt (Figure 1A,B) and in the outer epithelium (data not shown) coexpress cytokeratin-19 and therefore are seen as purple.
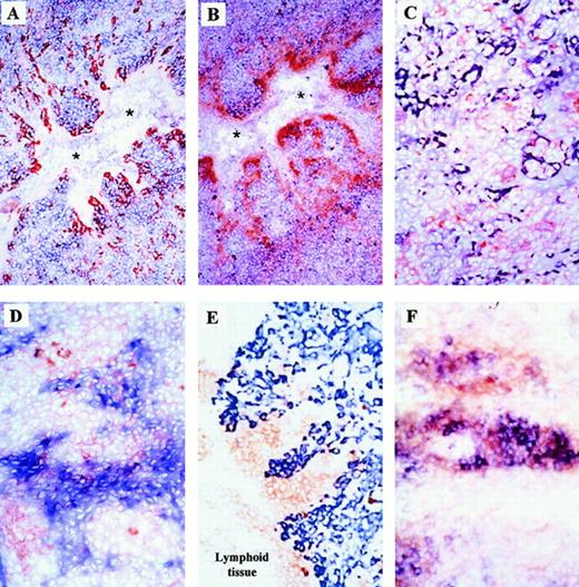
Location of SDF-1–, MIP-3α–, and BCA-1–producing cells in the tonsil.
Frozen human tonsil sections were stained with the biotinylated anti–SDF-1 mAb (red) and anti–cytokeratin-19 (A,B) or anti-CD10 (C) mAbs (all shown in blue). SDF-1–expressing cells are found in the crypt (A,B) but not in the germinal center (GC), the follicular mantle (FM), or the T zone (T) in (C). The photomicrograph in panel B shows a higher-magnification view of the crypt seen in panel A. The section in panel D was stained with anti–MIP-3α (red) and anti–cytokeratin-19 (blue) Abs, while the section in panel E was double-stained with anti–SDF-1 (red) and anti–MIP-3α (blue) Abs. (F,G,H) Tonsil sections were double-stained with anti–BCA-1 (red) and anti-CD2 (F), anticytokeratin-19 (G) or anti-CD35 (H) (all in blue) Abs. BCA-1 is expressed by clusters of cells in the crypt and in the B-cell follicles (F). High-magnification views of the crypt show that BCA-1–expressing cells in this site do not express cytokeratin-19 (G) or CD35 (H). Magnifications are × 5 for panels A, C, D, and F; × 20 for panel G; × 40 for panel H; and × 100 for panels B and E. The stainings are representative of 5 different tonsil specimens. The arrow head indicates double positive cells; *, lumen of the crypt.
Location of SDF-1–, MIP-3α–, and BCA-1–producing cells in the tonsil.
Frozen human tonsil sections were stained with the biotinylated anti–SDF-1 mAb (red) and anti–cytokeratin-19 (A,B) or anti-CD10 (C) mAbs (all shown in blue). SDF-1–expressing cells are found in the crypt (A,B) but not in the germinal center (GC), the follicular mantle (FM), or the T zone (T) in (C). The photomicrograph in panel B shows a higher-magnification view of the crypt seen in panel A. The section in panel D was stained with anti–MIP-3α (red) and anti–cytokeratin-19 (blue) Abs, while the section in panel E was double-stained with anti–SDF-1 (red) and anti–MIP-3α (blue) Abs. (F,G,H) Tonsil sections were double-stained with anti–BCA-1 (red) and anti-CD2 (F), anticytokeratin-19 (G) or anti-CD35 (H) (all in blue) Abs. BCA-1 is expressed by clusters of cells in the crypt and in the B-cell follicles (F). High-magnification views of the crypt show that BCA-1–expressing cells in this site do not express cytokeratin-19 (G) or CD35 (H). Magnifications are × 5 for panels A, C, D, and F; × 20 for panel G; × 40 for panel H; and × 100 for panels B and E. The stainings are representative of 5 different tonsil specimens. The arrow head indicates double positive cells; *, lumen of the crypt.
As opposed to SDF-1, the site of production of MIP-3α in the crypt is restricted to the area lining the lumen of the crypt (Figure1D). To investigate whether the cells that express MIP-3α would coexpress SDF-1, double immunoenzymatic staining was performed with anti–MIP-3α and anti–SDF-1 Abs. As illustrated by Figure 1E, SDF-1–expressing cells and MIP-3α–expressing cells are juxtaposed within the crypt, but no double-stained cells are detected. Altogether, these data suggest that MIP-3α and SDF-1 are produced in discrete areas of the crypt by 2 different types of epithelial cells. This evokes the possibility that they could be secreted at distinct stages of epithelial cell differentiation and that they may fulfill different functions we discuss below.
Double immunoenzymatic staining of tonsil sections with anti–BCA-1 and anti-CD2 Abs shows expression of this chemokine in most follicles but not in the T zone (Figure 1F), which is in agreement with the published data.9 10 Unexpectedly, we found that BCA-1 expression is also found in the crypt. In this site, BCA-1–expressing cells are detected as clusters of cells located either at the crypt lymphoepithelial junction or within the crypt (Figure 1F). Unlike crypt SDF-1 and MIP-3α, BCA-1 in this site is not produced by epithelial cells (Figure 1G), but BCA-1–expressing cells are consistently surrounded by epithelial cells. BCA-1–producing cells in the crypt lacked expression of the follicular dendritic cell marker CD35 (Figure1H). Therefore, our data suggest that BCA-1 production in tonsils is not restricted to follicular dendritic cells in the B-cell follicles.
Location of B-cell subsets in relation to the sites of crypt chemokines production
Double staining with an mAb directed against the pan B-cell marker CD19 and anti–SDF-1 (Figure 2A) or anti–MIP-3α (Figure 2B) Abs shows that a large number of B cells in the crypt are in close contact with cells producing either SDF-1 or MIP-3α. The staining performed with an anti-IgG Ab (Figure 2C, D) reveals that many switched IgG+ memory B cells are located in the vicinity of SDF-1– and MIP-3α–expressing cells. This suggests that MIP-3α could be instrumental in attracting memory B cells toward mouth-borne Ag. Memory B cells express both CCR611 and CXCR412 13 and have been shown to migrate to both MIP-3α and SDF-1 in vitro. Our data would thus be consistent with a scenario where memory B cells would be recruited to the crypt by SDF-1 and would subsequently reach the crypt lumen under the influence of MIP-3α to capture Ag. Our observations raise the possibility that crypt chemokines could also contribute to maintenance of B-cell memory by allowing them to gain access to trophic factors produced by the epithelium and then retaining them onto this supportive microenvironment.
Memory B cells closely interact with MIP-3α– and SDF-1–expressing cells and PCs with BCA-1–producing cells.
Tonsil sections were double-stained with anti–SDF-1 (A,C) or anti–MIP-3α (B,D) Abs and anti-CD19 (A,B; blue) or anti-IgG (C,D; red) Abs. SDF-1– and MIP-3α–producing cells are shown in red in panels A and B, respectively, and in blue in panels C and D, respectively. The section in panel E was double-stained with anti-CD38 (red) and anticytokeratin-19 (blue) mAbs and the section in panel F with anti–BCA-1 (red) and anti-CD27 (blue) Abs. PCs are located as clusters at the lymphoepithelial junction of the crypts (E). This site corresponds to the sites of the crypt BCA-1 expression (F). The stainings are representative of 4 different tonsil specimens. Original magnifications are × 20 for panels A, B, and E; × 40 for panels C, D, and F. * indicates lumen of the crypt.
Memory B cells closely interact with MIP-3α– and SDF-1–expressing cells and PCs with BCA-1–producing cells.
Tonsil sections were double-stained with anti–SDF-1 (A,C) or anti–MIP-3α (B,D) Abs and anti-CD19 (A,B; blue) or anti-IgG (C,D; red) Abs. SDF-1– and MIP-3α–producing cells are shown in red in panels A and B, respectively, and in blue in panels C and D, respectively. The section in panel E was double-stained with anti-CD38 (red) and anticytokeratin-19 (blue) mAbs and the section in panel F with anti–BCA-1 (red) and anti-CD27 (blue) Abs. PCs are located as clusters at the lymphoepithelial junction of the crypts (E). This site corresponds to the sites of the crypt BCA-1 expression (F). The stainings are representative of 4 different tonsil specimens. Original magnifications are × 20 for panels A, B, and E; × 40 for panels C, D, and F. * indicates lumen of the crypt.
As shown in Figure 2E, most crypt PCs are found as clusters surrounded by epithelial cells near the basal membrane of the crypt epithelium. Double staining with anti–BCA-1 and anti-CD27 Abs shows that the crypt PC, detected as strong CD27-expressing cells, colocalize with BCA-1+ cells in the crypt (Figure 2F). Therefore, in addition to their role in the initiation of the immune response, lymphoid chemokines of the crypt might also exert a function at later stages of the humoral response. Confinement of crypt PCs to the BCA-1–expressing sites supports the notion that this chemokine is involved in the recruitment of PCs to this stroma-rich area. This particular location of PCs could be crucial for their survival because it has been documented that stromal cells can protect PCs from apoptosis in vitro.14
Altogether, these observations suggest a correlation between (1) the local production of BCA-1 and the location of PCs and (2) the sites of production of MIP-3α and SDF-1 and the location of memory B cells. This highlights the crypt as the second major B-cell area in tonsils, in addition to the follicles.
Supported by a grant from La Fondation pour la Recherche Médicale (M. C.-P., originally funded by the Wellcome Trust Foundation) and a grant from the Fondation Marcel Mérieux (M.-C. D.-N.).
The publication costs of this article were defrayed in part by page charge payment. Therefore, and solely to indicate this fact, this article is hereby marked “advertisement” in accordance with 18 U.S.C. section 1734.
References
Author notes
Thierry Defrance, INSERM U404, Ave Tony Garnier, 69365, Lyon, Cedex 07, France; e-mail: defrance@cervi-lyon.inserm.fr.


This feature is available to Subscribers Only
Sign In or Create an Account Close Modal