To the Editor:
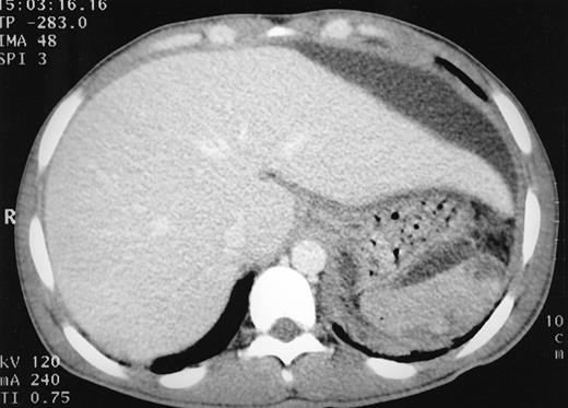
A 21-year-old man with homozygous sickle cell disease presented with a 3-week history of epigastric pain, anorexia, and weight loss of 5 kg. On examination he was in considerable discomfort and was febrile (temperature 38.5°C) and tachycardic (110 beats per minute [bpm]). Lung fields were clear, oxygen saturation was 100% on air. The liver was enlarged to 6 cm below the costal margin with tenderness over the left lobe. Blood count revealed a hemoglobin level of 7.3 g/dL (2 g/dL below his steady-state value) and marked neutrophilia (46.0 × 109/L) with left-shift. Liver function tests showed moderate elevation in gamma-glutamyl transferase (200 IU/L; normal range, 5 to 55 IU/L) but were otherwise unremarkable. Differential diagnosis for such a presentation in sickle cell disease includes hepatic sequestration, cholecystitis, and mesenteric sickling crisis. The patient was treated with analgesics, intravenous broad spectrum antibiotics, and exchange blood transfusion. Ultrasound and computed tomography (CT) abdomen showed a subcapsular fluid collection 10 cm in diameter related to the left lobe of the liver, with no evident intrahepatic, biliary, or splenic pathology (Fig 1). On percutaneous aspiration 250 mL pus was obtained. Microscopy showed yeasts and polymorphonuclear leukocytes, and Candida albicans was isolated from pus and blood cultures. He was treated with intravenous fluconazole and percutaneous drainage of abscess using an indwelling pigtail catheter. A total of 1.5 L of pus was drained over a 4-week period until no fluid remained. He has since remained well, with no recurrence of the abscess.
CT scan of abdomen showing a large subcapsular collection of fluid compressing the left lobe of the liver. Liver and spleen appear normal.
CT scan of abdomen showing a large subcapsular collection of fluid compressing the left lobe of the liver. Liver and spleen appear normal.
The subject’s past history includes several episodes of pneumonia since early childhood and Salmonella osteomyelitis when he was 16 years old. Of interest, 8 months before the current presentation he was noted to have pharyngitis, and a throat swab yielded a heavy growth of Candida. He was treated with nystatin suspension and symptoms swiftly resolved. Subsequent occurrence of a perihepatic candida abscess remains difficult to explain. There was no history of abdominal trauma and findings did not suggest perforation of bowel or biliary tree.
Infections are a major cause of morbidity and mortality in sickle cell disease.1 Patients present with pulmonary, meningeal, bone, or bloodstream infections usually caused by bacteria, although there is increasing awareness of the role of mycoplasmas and viruses in sickle lung disease. Fungal infections in sickle cell disease are very rare.2,3 This case constitutes the first description of fungal abscess in a sickle cell patient with no other identifiable immunocompromising factors. Serology for human immunodeficiency virus (HIV)-1 and -2 was negative. Lymphocyte counts, T-cell subsets, serum Ig, and complement levels were unremarkable. Neutrophil superoxide production and integrins were normal and no defect in opsonization was observed. These results notwithstanding, the occurrence of candida infection, salmonella osteomyelitis, and recurrent pneumonias in a single individual reflects profound and wide-ranging immune deficiency. This may represent one extreme of a spectrum of immune dysfunction in sickle cell disease. Functional asplenia was described in sickle cell patients three decades ago,4 but abnormalities in humoral and cell-mediated immunity5 remain less well-defined. Further investigation is required, particularly in light of the use of myelosuppressive agents such as hydroxyurea in sickle cell patients, which can potentially heighten susceptibility to infection.

This feature is available to Subscribers Only
Sign In or Create an Account Close Modal