Abstract
Primary central nervous system lymphoma (PCNSL) is a major cause of morbidity and mortality among human immunodeficiency virus (HIV)-infected individuals. The precise histogenetic derivation and the molecular pathogenesis of PCNSL is poorly understood. In an attempt to clarify the histogenesis and pathogenesis of these lymphomas, 49 PCNSL (26 acquired immunodeficiency syndrome [AIDS]-related and 23 AIDS-unrelated) were analyzed for multiple biologic markers, which are known to bear histogenetic and pathogenetic significance for mature B-cell neoplasms. PCNSL associated frequently (50.0%) with mutations of BCL-6 5′ noncoding regions, which are regarded as a marker of B-cell transition through the germinal center (GC). Expression of BCL-6 protein, which is restricted to GC B cells throughout physiologic B-cell maturation, was detected in 100% AIDS-unrelated PCNSL and in 56.2% AIDS-related cases. Notably, among AIDS-related PCNSL, expression of BCL-6 was mutually exclusive with expression of Epstein-Barr virus (EBV)-encoded latent membrane protein (LMP)-1 and, with few exceptions, also of BCL-2. All but one PCNSL expressed hMSH2, which among mature B cells selectively stains GC B cells. These data suggest that PCNSL may be frequently related to GC B cells and may be segregated into two major biologic categories based on the expression pattern of BCL-6, LMP-1, and BCL-2. BCL-6+/LMP-1−/BCL-2− PCNSL occur both in the presence and in the absence of HIV infection and consistently display a large noncleaved cell morphology. Conversely, BCL-6−/LMP-1+/BCL-2+ PCNSL are restricted to HIV-infected hosts and are represented by lymphomas with immunoblastic features. These data are relevant for the pathogenesis and histogenesis of PCNSL and may be helpful to segregate distinct biologic and prognostic categories of these lymphomas.
© 1998 by The American Society of Hematology.
PRIMARY CENTRAL NERVOUS system lymphoma (PCNSL) is a major cause of morbidity and mortality among individuals infected by the human immunodeficiency virus (HIV).1-4 The relative risk of PCNSL among HIV-infected hosts approximates 1,000 when compared with the HIV-negative population.3,5,6 Although PCNSL has been formally considered rare in HIV−hosts, recent epidemiologic evidence suggests that the incidence of the disease in apparently immunocompetent individuals has been increasing dramatically during the last two decades.7 Virtually all acquired immunodeficiency syndrome (AIDS)-related and the majority of AIDS-unrelated PCNSL derive from B cells, and in all cases present as clinically aggressive tumors.1-4,8 Histologically, the overwhelming majority of PCNSL is represented by diffuse large B-cell lymphomas (DLCL). Depending on the presence of immunoblastic plasmocytoid features, PCNSL may be further distinguished into large noncleaved cell lymphoma (LNCCL) and immunoblastic plasmocytoid lymphoma (IBPL).8 9
The histogenetic derivation of PCNSL is poorly understood. Because the central nervous system (CNS) lacks lymph nodes and lymphatics, it has been hypothesized that PCNSL may originate from B cells derived from systemic lymphoid tissues and normally trafficking in and out of the CNS.2,4 The molecular pathogenesis of PCNSL is also uncertain, and existing evidence is mainly restricted to the role of Epstein-Barr virus (EBV). Infection by EBV occurs in all AIDS-related PCNSL, whereas it is negative in AIDS-unrelated cases.9-15 AIDS-related PCNSL frequently express the EBV-encoded latent membrane protein-1 (LMP-1) antigen, which, in turn, upregulates the expression of BCL-2.16 Because PCNSL are consistently monoclonal, however, it is conceivable that EBV is not sufficient for tumor development.
BCL-6 is a proto-oncogene coding for a zinc finger transcriptional repressor which, in the B-cell lineage, is expressed selectively by germinal center (GC) B cells.17-21 Notably, animal models have demonstrated that expression of BCL-6 is an absolute requirement for physiologic GC formation and function.22,23 Genetic alterations of BCL-6 occur frequently among systemic B-cell non-Hodgkin's lymphomas (NHL) and are represented by gross rearrangements and mutations of the 5′ noncoding regions of the gene.17-20,24 Among systemic B-NHL, rearrangements ofBCL-6 cluster with B-cell DLCL.25 Conversely, mutations of the BCL-6 5′ noncoding regions occur frequently and selectively in B-cell NHL arising from GC or post-GC B cells.24 26-28 On this basis, BCL-6 mutations are regarded as a marker of B-cell transition through the GC.
In an attempt to clarify the histogenesis and pathogenesis of PCNSL, we have investigated the genetic status and expression pattern of BCL-6 in AIDS-related and AIDS-unrelated PCNSL. Results were compared with morphology, genetic profile of other cancer-related genes, and expression status of several immunophenotypic markers. We report that the molecular and phenotypic profile of PCNSL is consistent with an origin from GC B cells in most cases. Furthermore, the expression pattern of BCL-6, LMP-1, and BCL-2 segregates two major biologic categories of PCNSL. BCL-6+/LMP-1−/BCL-2−PCNSL consistently display a large noncleaved cell morphology and occur both in the presence and in the absence of HIV infection. Conversely, BCL-6−/LMP-1+/BCL-2+ PCNSL are represented by lymphomas with immunoblastic features and are mainly restricted to HIV-infected hosts.
MATERIALS AND METHODS
Tumor samples.
This study was based on tissue samples of a total of 49 cases of PCNSL, including 26 AIDS-related and 23 AIDS-unrelated cases. Thirty cases (16 AIDS-related and 14 AIDS-unrelated) were derived from a retrospective series observed at the Institute of Pathology, Catholic University of the Sacred Heart, Rome, Italy. Nine cases (six AIDS-related and three AIDS-unrelated) had been referred to the Neuropathological Laboratory (Pitié Salpètrière, Prof J.J. Hauw). The remaining cases had been referred to multiple different institutions in Europe. In all instances, the specimen was collected at diagnosis before starting radio and/or chemotherapy. For morphologic diagnosis, hematoxylin-eosin and Giemsa staining was performed after 4% neutral buffered formalin or Bouin solution fixation and paraffin embedding. Pathologic specimens were classified according to the Working formulation for NHL29 and to a revised European-American classification of lymphoid neoplasms (REAL classification).30 All PCNSL were classified as DLCL according to the REAL classification.30 As previously reported,9,31,32 PCNSL cases were further subdivided into two histologic subtypes, ie, LNCCL and IBPL. In this report, the definition of LNCCL was based on the predominance (>80%) of cells resembling large noncleaved cells. The definition of IBPL was based on the predominance (>80%) of cells resembling large cells, immunoblastic plasmocytoid. PCNSL cases containing a mixture of large noncleaved cells and large cells, immunoblastic plasmocytoid were classified separately as LNCCL/IBPL. In all cases, the cytologic definition of large noncleaved cell and large cell, immunoblastic plasmocytoid was based on previously reported criteria.29
Immunohistochemistry.
For immunophenotypic studies, the avidin-biotin–peroxidase complex (ABC-px) method was performed on paraffin sections using a commercially available kit (Dako LSAB 2; Dakopatts, Glostrup, Denmark) and the following commercially available monoclonal antibodies (MoAbs): CD3, CD20, CD30, CD45RA, CD45RO, CD57, CD68, CD74, anti-κ and -λ immunoglobulin (Ig) light chains.
Immunostaining with BCL-2 MoAb (clone bcl2/100/D5; Ylem, Avezzano, Italy) and BCL-6 MoAb (clone PG-B6 directed against the amino terminal portion of the human BCL-6 product; obtained from Brunangelo Falini, Institute of Hematology, University of Perugia, Perugia, Italy)33 was performed using the alkaline antialkaline phosphatase (APAAP) methods, as previously described31and/or the Dako Catalyzed Signal Amplification system (Dako K 1500; Dakopatts). In brief, sections were cut at a thickness of 4 μm, mounted on glass slides coated with 3% aminopropyltrithoxysilane, and allowed to air dry overnight (ON) at room temperature (RT). After dewaxing in xylene and rehydration in a series of ethanols, the sections were immersed in 1 mmol/L EDTA buffer pH 8.0 and pretreated twice for 5 minutes at 750 W in a microwave oven (MWO) (MWO Philips M901; Philips, Eindhoven, The Netherlands; maximum power 900 W). After cooling down at RT, sections were rinsed in 0.05 mol/L Tris-HCl buffer at pH 7.6 and incubated with primary antibodies ON at 4°C. Biotinylated antimouse Ig were then applied for 15 minutes, followed by streptavidin-biotin–horseradish peroxidase complex. Sections were washed, incubated with biotinylated tyramide for 15 minutes, washed again, and incubated with streptavidin-horseradish peroxidase. After washing, diaminobenzidine (DAB) substrate was used as chromogen. Finally, the slides were counterstained with hematoxylin and mounted in permount. In negative controls, the primary antibody was substituted with nonimmune mouse serum.
The LMP-1 antigen was detected on paraffin sections using the APAAP method and a pool of four anti–LMP-1 MoAbs (CS 1-4; Dakopatts) after enzymatic digestion with pronase (Biomeda Co, Foster City, CA).
The hMSH2 protein was detected by using an anti-hMSH2 MoAb (clone FE11; Oncogene Science, Cambridge, MA) after MWO pretreatment in sodium-cytrate buffer (0.01 mol/L sodium cytrate monohydrate at pH 6.0). An ABC-px method was used with DAB as the chromogen. In negative controls, the primary antibody was substituted with nonimmune mouse serum. Nonneoplastic lymphoid samples from lymph node, spleen, tonsil, and appendix were also investigated for the expression of hMSH2 protein.
The percentage of BCL-6+/LMP-1+/BCL-2+, or hMSH2+ neoplastic cells was assigned to one of the following categories: 0, less than 10%; 10% to 25%; 25% to 50%; 50% to 75%; and greater than 75%.
Two-color staining.
Multiple immunohistochemical staining was performed to detect LMP-1 plus BCL-6 protein in selected AIDS-related PCNSL following a previously reported strategy.31
In situ hybridization (ISH).
ISH analysis of EBV-encoded small RNAs (EBERs) is a highly sensitive method for detecting latent EBV infection in paraffin-embedded tissue sections, including autopsy material. For each case tested, paired paraffin sections were mounted on silanized slides and EBER ISH studies were performed by using a cocktail of fluorescein-isothiocyanate–labeled oligonucleotides complementary to the two nuclear EBER (1/2) RNAs, according to the instructions of the supplier (Dakopatts). In selected cases, ISH mRNA studies of Ig light chains were performed on paraffin-embedded tissue sections to assess tumor clonality as previously reported.34
DNA extraction.
Oligonucleotides.
All of the oligonucleotides used in this study were synthesized by the solid phase triester method. The sequence of oligonucleotides corresponding to BCL-6 exon 1-intron 1 boundary region (fragments E1.10, E1.11, and E1.12) was as follows: E1.21B, 5′-CTCTTGCCAAATGCTTTG-3′, and E1.24, 5′-TAATTCCCCTCCTTCCTC-3′ (for fragment E1.10); E1.23, 5′-AGGAAGGAGGGGAATTAG-3′, and IP1.6, 5′-AAGCAGTTTGCAAGCGAG-3′ (for fragment E1.11); IP1.7, 5′-TTCTCGCTTGCAAACTGC-3′, and E1.26, 5′-CACGATACTTCATCTCATC-3′ (for fragment E1.12).24 The oligonucleotides used as primers for the mutational analysis of c-MYC first exon-first intron boundary region have been reported previously.37 The oligonucleotides used as primers for the analysis of EBV and human herpesvirus type 8 (HHV-8) DNA sequences, as well as BCL-2 rearrangements, have also been described.36 37
Analysis of mutations of BCL-6 5′ noncoding regions.
Analysis of mutations of BCL-6 5′ noncoding regions was performed by a combination of polymerase chain reaction-single strand conformation polymorphism (PCR-SSCP) and DNA direct sequencing. PCR-SSCP was performed as previously reported.24 26Briefly, 100 ng of genomic DNA, 10 pmol of each primer, 2.5 μmol/L deoxynucleotides triphosphate (dNTPs), 1 μCi of [α-32P]deoxycytidine triphosphate (dCTP) (Amersham, Rainham, UK; specific activity, 3,000 Ci/mmol; 1 Ci = 37 giga becquerel), 10 mmol/L Tris-HCl (pH 8.8), 50 mmol/L KCL, 1 mmol/L MgCl2, 0.01% gelatin, 0.5 U AmpliTaq polymerase (Perkin-Elmer, Norwalk, CT) were mixed in a final volume of 10 μL. Thirty cycles of denaturation (94°C), annealing (annealing temperatures were optimized for each pair of primers), and extension (72°C) were performed in a temperature controller (DNA Thermal Cycler, Perkin-Elmer). Samples were heated at 95°C for 5 minutes, chilled on ice, and immediately loaded (3 μL) onto a 6% acrylamide-tris-borate EDTA buffer gel containing 10% glycerol. Gels were run at 8 W for 12 to 15 hours at RT, fixed in 10% acetic acid, air dried, and analyzed by autoradiography using an intensifying screen for 6 to 72 hours. For DNA sequencing of BCL-6 5′ noncoding regions, a unique PCR product encompassing fragments E1.10, E1.11, and E1.12 (nucleotides +404 to +1142) was amplified by primers E1.21B and E1.26. Direct sequencing of the amplified PCR fragment was performed with appropriate primers using a commercially available kit (ThermoSequenase, Amersham Life Sciences, Amersham). [α-33P]–labeled terminator dideoxynucleotides were included in the sequencing mixture. Both strands were sequenced for each DNA fragment analyzed.
Molecular analysis of clonality and other genetic lesions.
The organization of the BCL-6 locus was analyzed by Southern blot analysis hybridizing BamHI and Xba I digested DNA to the human BCL-6 probes Sac 4.0 and Sac 0.8, which detect the cluster of BCL-6 rearrangements of NHL.25 The status of the c-MYC locus was analyzed by a combination of Southern blot analysis and mutational studies of c-MYCexon1-intron1 border, as previously reported.37 Analysis ofBCL-2 rearrangements was performed as described previously.38 PCR analysis of EBV and HHV-8 infection were also performed as reported previously.36
RESULTS
Characterization of the tumor panel.
All cases of AIDS-related and AIDS-unrelated PCNSL were histologically classified as B-DLCL and had a B-cell phenotype in paraffin sections, as demonstrated by tumor cell positivity for CD45RA, CD20, and CD74 and negativity for CD45RO, CD3, and CD57. Molecular and/or ISH studies demonstrated the monoclonality of all cases tested (n = 47; not shown).
Characterization of BCL-6 molecular alterations in PCNSL.
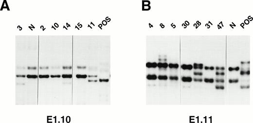
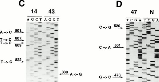
All cases of AIDS-related and AIDS-unrelated PCNSL were investigated for the presence of mutations of the 5′ noncoding regions ofBCL-6. Mutations of BCL-6 5′ noncoding regions were investigated by PCR-SSCP analysis of three PCR fragments encompassing a 740-bp region containing the mutational hot spot ofBCL-6 among NHL. This region has been previously shown to harbor ≥95% of BCL-6 mutations occurring in both AIDS-related and AIDS-unrelated systemic NHL.24 26 The PCNSL samples investigated displayed a total of 29 PCR-SSCP variants, which were unique to individual tumor samples (for representative results, see Fig 1A and B). As described previously, cases of PCNSL were considered positive for mutation when one ore more PCR-SSCP displayed a variant pattern, which could not be ascribed to a population polymorphism. On this basis, mutations of BCL-6 were scored positive in 24 of 48 (50.0%) PCNSL, including 11 of 26 (42.3%) AIDS-related and 13 of 22 (59.1%) AIDS-unrelated cases (Table 1). In selected cases, mutations were further characterized by DNA sequencing analysis (for representative results, see Fig 1C and D). The characteristics ofBCL-6 mutations in PCNSL are summarized in Table 2.
Genetic analysis of BCL-65′ mutations in PCNSL by PCR-SSCP (A and B) and DNA direct sequencing (C and D). (A and B): Representative results obtained for PCR products E1.10 (A) and E1.11 (B) are shown. Samples of PCNSL are indicated at the top of each lane by a numbered code. A positive control (POS), represented by a tumor sample known to harborBCL-6 5′ mutations, as well as a normal (N) sample, represented by a lymphoblastoid cell line, are also included for each PCR-SSCP fragment shown. Samples were scored positive when their migration pattern differed from the normal control and the migration abnormalities could not be ascribed to population polymorphisms. Among the PCNSL samples shown, cases scored as positive included cases 3, 14, and 11 (for PCR product E1.10); 8, 28, and 47 (for PCR product E1.11). (C and D): Nucleotide sequencing analyses of BCL-65′ mutations in PCNSL (cases 14, 43, and 47). The sequence of each PCNSL case is matched either to the sequence of a normal control (N) displaying germline BCL-6 alleles (D) or to the sequence of a PCNSL sample harboring mutations at a different site (C). The position of mutations is indicated by the nucleotide number of the corresponding BCL-6 germline sequence (the first nucleotide of the BCL-6 cDNA was arbitrarily chosen as position +1).
Genetic analysis of BCL-65′ mutations in PCNSL by PCR-SSCP (A and B) and DNA direct sequencing (C and D). (A and B): Representative results obtained for PCR products E1.10 (A) and E1.11 (B) are shown. Samples of PCNSL are indicated at the top of each lane by a numbered code. A positive control (POS), represented by a tumor sample known to harborBCL-6 5′ mutations, as well as a normal (N) sample, represented by a lymphoblastoid cell line, are also included for each PCR-SSCP fragment shown. Samples were scored positive when their migration pattern differed from the normal control and the migration abnormalities could not be ascribed to population polymorphisms. Among the PCNSL samples shown, cases scored as positive included cases 3, 14, and 11 (for PCR product E1.10); 8, 28, and 47 (for PCR product E1.11). (C and D): Nucleotide sequencing analyses of BCL-65′ mutations in PCNSL (cases 14, 43, and 47). The sequence of each PCNSL case is matched either to the sequence of a normal control (N) displaying germline BCL-6 alleles (D) or to the sequence of a PCNSL sample harboring mutations at a different site (C). The position of mutations is indicated by the nucleotide number of the corresponding BCL-6 germline sequence (the first nucleotide of the BCL-6 cDNA was arbitrarily chosen as position +1).
Frequency of Genetic Alterations in AIDS-Related and AIDS-Unrelated PCNSL
| Tumor . | BCL-6 . | c-MYC . | BCL-2 . | EBV . | HHV-8 . | |
|---|---|---|---|---|---|---|
| Mutations . | Rearrangements . | |||||
| AIDS-related PCNSL | 11/26 | 0/9 | 0/9 | 0/26 | 26/26 | 0/26 |
| AIDS-unrelated PCNSL | 13/22 | 0/9 | 0/9 | 0/22 | 0/22 | 0/22 |
| Tumor . | BCL-6 . | c-MYC . | BCL-2 . | EBV . | HHV-8 . | |
|---|---|---|---|---|---|---|
| Mutations . | Rearrangements . | |||||
| AIDS-related PCNSL | 11/26 | 0/9 | 0/9 | 0/26 | 26/26 | 0/26 |
| AIDS-unrelated PCNSL | 13/22 | 0/9 | 0/9 | 0/22 | 0/22 | 0/22 |
Characteristics of Mutations of the 5′ Noncoding Regions of BCL-6 in PCNSL
| Sample . | HIV . | Mutation (position)* . |
|---|---|---|
| 15 | + | C → G (444), T → G (466), A → G (493), A → G (537), T → G (573), T → G (583), C → G (616), G → T (730) |
| 14 | + | A → C (801), T → C (807), T → C (809), T → C (822) |
| 42 | − | G → A (721), G → C (778), C → G (843), +G (1096), T → G (1102), G → T (1103) |
| 43 | − | C → G (769), G → A (830), C → G (879) |
| 44 | − | G → C (689), A → G (698), G → A (703), G → A (714), G → A (721), C → T (767) |
| 39 | − | ΔG (829)† |
| 49 | − | G → A (756) |
| 45 | − | C → T (777), G → T (977) |
| 47 | − | T → C (461), G → C (478), C → A (501), C → G (520), T → A (546), G → C (644) |
| Sample . | HIV . | Mutation (position)* . |
|---|---|---|
| 15 | + | C → G (444), T → G (466), A → G (493), A → G (537), T → G (573), T → G (583), C → G (616), G → T (730) |
| 14 | + | A → C (801), T → C (807), T → C (809), T → C (822) |
| 42 | − | G → A (721), G → C (778), C → G (843), +G (1096), T → G (1102), G → T (1103) |
| 43 | − | C → G (769), G → A (830), C → G (879) |
| 44 | − | G → C (689), A → G (698), G → A (703), G → A (714), G → A (721), C → T (767) |
| 39 | − | ΔG (829)† |
| 49 | − | G → A (756) |
| 45 | − | C → T (777), G → T (977) |
| 47 | − | T → C (461), G → C (478), C → A (501), C → G (520), T → A (546), G → C (644) |
*The first nucleotide of the BCL-6 cDNA is arbitrarily chosen as position +1.
Δ, deletion.
Gross rearrangements of BCL-6 were investigated in selected cases (n = 18; nine AIDS-related and nine AIDS-unrelated) for which sufficient cryopreserved tissue was available. No rearrangement ofBCL-6 was observed among the cases tested (Table 1).
Characterization of other genetic lesions.
Infection by EBV was detected in 26 of 26 (100%) AIDS-related PCNSL and was negative in all AIDS-unrelated PCNSL (Table 1). Among AIDS-related PCNSL, ISH studies demonstrated that EBV infection was harbored by the neoplastic cell population (not shown). All cases of AIDS-related and AIDS-unrelated PCNSL were devoid of rearrangements ofBCL-2 and infection by HHV-8 (Table 1). Finally, all tested cases (n = 18; 9 AIDS-related and 9 AIDS-unrelated) were devoid of molecular alterations of c-MYC, including both gross rearrangements and mutations of the regulatory regions of the proto-oncogene (Table 1).
Expression of BCL-6, LMP-1, and BCL-2 in AIDS-related PCNSL.
Results are summarized in Table 3. All AIDS-related PCNSL carried EBV infection of the tumor clone. Expression of LMP-1 was detected in seven of 16 (43.7%) cases. In cases scored positive, both the membrane surface and the cytoplasm of the neoplastic cells stained positive for LMP-1 (Fig 2). All LMP-1+ PCNSL also expressed BCL-2 (Fig 3), while all LMP-1−cases failed to express BCL-2. Expression of BCL-6 was detected in 9 of 16 (56.2%) AIDS-related PCNSL. Positivity for BCL-6 was nuclear and displayed a microgranular pattern (Fig 4). The majority of BCL-6+ cases (7 of 9) failed to express LMP-1 and BCL-2. On this basis, two major phenotypic profiles could be identified among AIDS-related PCNSL, ie, BCL-6+/LMP-1−/BCL-2−and BCL-6−/LMP-1+/BCL-2+.
Expression of LMP-1, BCL-6, BCL-2, and hMSH2 in AIDS-Related and AIDS-Unrelated PCNSL
| Case . | HIV . | Diagnosis . | EBV* . | Immunohistochemistry . | ||||
|---|---|---|---|---|---|---|---|---|
| REAL . | WF . | LMP-1 (%) . | BCL-6 (%) . | BCL-2 (%) . | hMSH2 (%) . | |||
| 1 | + | DLCL | LNCCL | + | 0 | 50-75 | 0 | >75 |
| 2 | + | DLCL | LNCCL | + | 0 | 25-50 | 0 | >75 |
| 3 | + | DLCL | LNCCL | + | 0 | 50-75 | 0 | >75 |
| 4 | + | DLCL | LNCCL | + | 0 | 25-50 | 0 | 50-75 |
| 5 | + | DLCL | LNCCL | + | 0 | 50-75 | 0 | >75 |
| 6 | + | DLCL | LNCCL | + | 0 | 10-25 | 0 | 50-75 |
| 7 | + | DLCL | LNCCL | + | 0 | 10-25 | 0 | 10-25 |
| 8 | + | DLCL | IBPL | + | 10-25 | 0 | 25-50 | >75 |
| 9 | + | DLCL | IBPL | + | 0 | 0 | 0 | 25-50 |
| 10 | + | DLCL | IBPL | + | 10-25 | 0 | 10-25 | >75 |
| 11 | + | DLCL | IBPL | + | 0 | 0 | 0 | 10-25 |
| 12 | + | DLCL | IBPL | + | 50-75 | 0 | 50-75 | >75 |
| 13 | + | DLCL | IBPL | + | 10-25 | 0 | 10-25 | >75 |
| 14 | + | DLCL | IBPL | + | 10-25 | 0 | 25-50 | >75 |
| 15 | + | DLCL | LNCCL/IBPL | + | 25-50 | 25-50 | 25-50 | >75 |
| 16 | + | DLCL | LNCCL/IBPL | + | 25-50 | 10-25 | 10-25 | >75 |
| 27 | − | DLCL | LNCCL | − | 0 | 25-50 | 0 | >75 |
| 28 | − | DLCL | LNCCL | − | 0 | 10-25 | 0 | 0 |
| 29 | − | DLCL | LNCCL | − | 0 | 10-25 | 0 | >75 |
| 30 | − | DLCL | LNCCL | − | 0 | 50-75 | 0 | >75 |
| 31 | − | DLCL | LNCCL | − | 0 | >75 | 0 | >75 |
| 32 | − | DLCL | LNCCL | − | 0 | 50-75 | 50-75 | >75 |
| 33 | − | DLCL | LNCCL | − | 0 | 10-25 | 0 | >75 |
| 34 | − | DLCL | LNCCL | − | 0 | 10-25 | 0 | 25-50 |
| 35 | − | DLCL | LNCCL | − | 0 | 50-75 | 0 | >75 |
| 36 | − | DLCL | LNCCL | − | 0 | 10-25 | 0 | >75 |
| 37 | − | DLCL | LNCCL | − | 0 | 50-75 | 10-25 | >75 |
| 38 | − | DLCL | LNCCL | − | 0 | 25-50 | 0 | >75 |
| 39 | − | DLCL | LNCCL | − | 0 | 25-50 | 0 | >75 |
| 40 | − | DLCL | LNCCL | − | 0 | 50-75 | 0 | 50-75 |
| Case . | HIV . | Diagnosis . | EBV* . | Immunohistochemistry . | ||||
|---|---|---|---|---|---|---|---|---|
| REAL . | WF . | LMP-1 (%) . | BCL-6 (%) . | BCL-2 (%) . | hMSH2 (%) . | |||
| 1 | + | DLCL | LNCCL | + | 0 | 50-75 | 0 | >75 |
| 2 | + | DLCL | LNCCL | + | 0 | 25-50 | 0 | >75 |
| 3 | + | DLCL | LNCCL | + | 0 | 50-75 | 0 | >75 |
| 4 | + | DLCL | LNCCL | + | 0 | 25-50 | 0 | 50-75 |
| 5 | + | DLCL | LNCCL | + | 0 | 50-75 | 0 | >75 |
| 6 | + | DLCL | LNCCL | + | 0 | 10-25 | 0 | 50-75 |
| 7 | + | DLCL | LNCCL | + | 0 | 10-25 | 0 | 10-25 |
| 8 | + | DLCL | IBPL | + | 10-25 | 0 | 25-50 | >75 |
| 9 | + | DLCL | IBPL | + | 0 | 0 | 0 | 25-50 |
| 10 | + | DLCL | IBPL | + | 10-25 | 0 | 10-25 | >75 |
| 11 | + | DLCL | IBPL | + | 0 | 0 | 0 | 10-25 |
| 12 | + | DLCL | IBPL | + | 50-75 | 0 | 50-75 | >75 |
| 13 | + | DLCL | IBPL | + | 10-25 | 0 | 10-25 | >75 |
| 14 | + | DLCL | IBPL | + | 10-25 | 0 | 25-50 | >75 |
| 15 | + | DLCL | LNCCL/IBPL | + | 25-50 | 25-50 | 25-50 | >75 |
| 16 | + | DLCL | LNCCL/IBPL | + | 25-50 | 10-25 | 10-25 | >75 |
| 27 | − | DLCL | LNCCL | − | 0 | 25-50 | 0 | >75 |
| 28 | − | DLCL | LNCCL | − | 0 | 10-25 | 0 | 0 |
| 29 | − | DLCL | LNCCL | − | 0 | 10-25 | 0 | >75 |
| 30 | − | DLCL | LNCCL | − | 0 | 50-75 | 0 | >75 |
| 31 | − | DLCL | LNCCL | − | 0 | >75 | 0 | >75 |
| 32 | − | DLCL | LNCCL | − | 0 | 50-75 | 50-75 | >75 |
| 33 | − | DLCL | LNCCL | − | 0 | 10-25 | 0 | >75 |
| 34 | − | DLCL | LNCCL | − | 0 | 10-25 | 0 | 25-50 |
| 35 | − | DLCL | LNCCL | − | 0 | 50-75 | 0 | >75 |
| 36 | − | DLCL | LNCCL | − | 0 | 10-25 | 0 | >75 |
| 37 | − | DLCL | LNCCL | − | 0 | 50-75 | 10-25 | >75 |
| 38 | − | DLCL | LNCCL | − | 0 | 25-50 | 0 | >75 |
| 39 | − | DLCL | LNCCL | − | 0 | 25-50 | 0 | >75 |
| 40 | − | DLCL | LNCCL | − | 0 | 50-75 | 0 | 50-75 |
Abbreviations: REAL, Revised European-American Lymphoma classification; WF, Working Formulation.
EBV status as defined by EBER ISH studies.
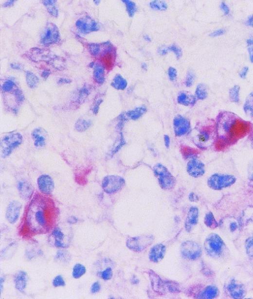
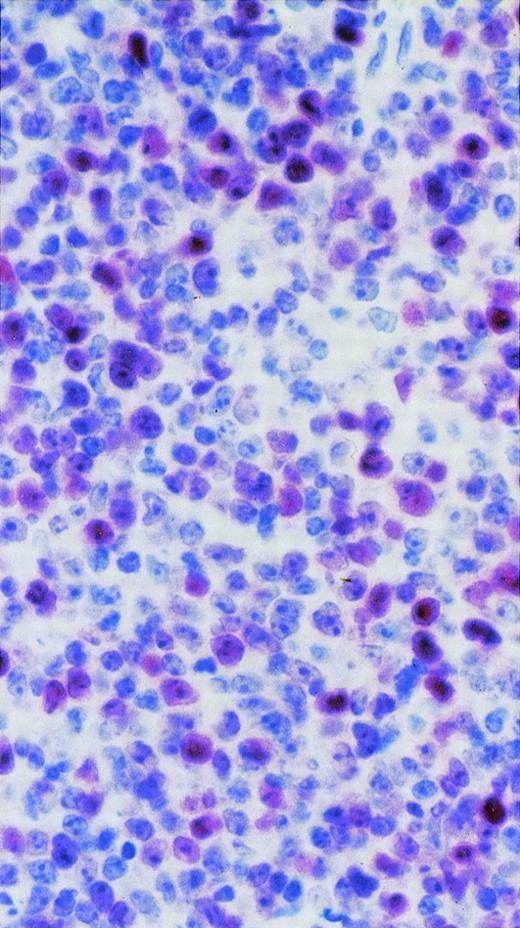
LMP-1 expression in a case of AIDS-related PCNSL (DLCL). The microphotograph shows that the tumor is polymorphous and predominantly consists of large tumor cells displaying an immunoblastic-plasmacytoid morphology. LMP-1 positivity is evident as cytoplasmic staining in some large tumor cells. Paraffin-embedded tissue section, APAAP immunostaining, hematoxylin counterstain. Original magnification × 630.
LMP-1 expression in a case of AIDS-related PCNSL (DLCL). The microphotograph shows that the tumor is polymorphous and predominantly consists of large tumor cells displaying an immunoblastic-plasmacytoid morphology. LMP-1 positivity is evident as cytoplasmic staining in some large tumor cells. Paraffin-embedded tissue section, APAAP immunostaining, hematoxylin counterstain. Original magnification × 630.
BCL-2 protein expression in a case of AIDS-related PCNSL (DLCL). The microphotograph shows that the tumor consists of large tumor cells with immunoblastic morphology. BCL-2 positivity is manifested as cytoplasmic staining in several tumor cells. Paraffin-embedded tissue section, ABC-px immunostaining and tyramide amplification, hematoxylin counterstain. Original magnification × 250.
BCL-2 protein expression in a case of AIDS-related PCNSL (DLCL). The microphotograph shows that the tumor consists of large tumor cells with immunoblastic morphology. BCL-2 positivity is manifested as cytoplasmic staining in several tumor cells. Paraffin-embedded tissue section, ABC-px immunostaining and tyramide amplification, hematoxylin counterstain. Original magnification × 250.
BCL-6 protein expression in a case of AIDS-related PCNSL (DLCL). The microphotograph shows that the tumor is relatively monomorphous and predominantly consists of large tumor cells displaying a large noncleaved cell morphology. Several tumor cells display the characteristic nuclear positivity for BCL-6. Paraffin-embedded tissue section, APAAP immunostaining, hematoxylin counterstain. Original magnification × 250.
BCL-6 protein expression in a case of AIDS-related PCNSL (DLCL). The microphotograph shows that the tumor is relatively monomorphous and predominantly consists of large tumor cells displaying a large noncleaved cell morphology. Several tumor cells display the characteristic nuclear positivity for BCL-6. Paraffin-embedded tissue section, APAAP immunostaining, hematoxylin counterstain. Original magnification × 250.
The phenotypic profile displayed by each individual AIDS-PCNSL was compared with the morphologic features of the tumors, which had been assessed independently without knowledge of the results of phenotypic studies. Based on the absence or presence of a predominance (>80%) of tumor cells with immunoblastic features (see Materials and Methods for details), cases were classified as LNCCL or IBPL. Seven of seven (100%) cases displaying the BCL-6+/LMP-1−/BCL-2−phenotype were classified as LNCCL (Table 3). Conversely, five of seven (71.0%) cases displaying the BCL-6−/LMP-1+/BCL-2+phenotype were classified as IBPL (Table 3).
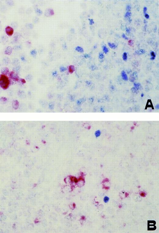
Two cases of AIDS-related PCNSL (cases 15 and 16; Table 3) were found to express BCL-6, LMP-1, and BCL-2. However, double-staining studies ruled out the coexpression of BCL-6 and LMP-1 by the same neoplastic cell (Fig 5). These two AIDS-related PCNSL were composed of an admixture of immunoblasts and tumor cells displaying an LNCCL morphology and were classified separately as LNCCL/IBPL. When referring to the updated Kiel classification,39 these two cases were consistent with the diagnosis of centroblastic polymorphic lymphomas.
AIDS-related PCNSL (DLCL). Two-color staining. (A) In this microphotograph, several tumor cells exhibit nuclear staining (blue) for BCL-6 and few cells show a strong cytoplasmic and membrane staining (reddish) for LMP-1. No coexpression of both markers by the same tumor cell is detectable. (B) Microphotograph of a different field in which there is a prevalence of LMP-1+ cells with few BCL-6+ nuclei. No coexpression is detectable. Paraffin-embedded tissue section, no counterstain. Original magnification × 400.
AIDS-related PCNSL (DLCL). Two-color staining. (A) In this microphotograph, several tumor cells exhibit nuclear staining (blue) for BCL-6 and few cells show a strong cytoplasmic and membrane staining (reddish) for LMP-1. No coexpression of both markers by the same tumor cell is detectable. (B) Microphotograph of a different field in which there is a prevalence of LMP-1+ cells with few BCL-6+ nuclei. No coexpression is detectable. Paraffin-embedded tissue section, no counterstain. Original magnification × 400.
Expression of BCL-6, LMP-1, and BCL-2 in AIDS-unrelated PCNSL.
Results are summarized in Table 3. All AIDS-unrelated PCNSL were devoid of EBV infection and, consequently, did not express LMP-1 (Tables 2 and3). Expression of BCL-6 was detected in 14 of 14 (100%) AIDS-unrelated PCNSL. Positivity for BCL-6 was nuclear and displayed a microgranular pattern (not shown). Expression of BCL-2 was restricted to 2 of 14 cases (14.3%). All AIDS-unrelated PCNSL were histologically classified as LNCCL.
Comparison between BCL-6 protein expression and mutation of BCL-6 5′ noncoding regions in PCNSL.
Similiar to systemic lymphomas of HIV-infected individuals,31 32 expression of BCL-6 protein was found to occur both in the presence and in the absence of mutations ofBCL-6 5′ noncoding regions. When considering cases investigated for both mutations and protein expression of BCL-6, mutations of BCL-6 5′ noncoding regions occurred in 10 of 22 (45.4%) PCNSL expressing the BCL-6 protein, including 4 of 9 (44.4%) AIDS-related PCNSL and 6 of 13 (46.2%) AIDS-unrelated PCNSL. However, because the immunohistochemistry technique used for BCL-6 protein detection does not allow quantitation of the cellular levels of the protein, we were unable to assess variations, if any, of the BCL-6 expression levels in PCNSL harboring BCL-6 mutations as compared with cases devoid of mutations.
Expression of hMSH2 in AIDS-related and AIDS-unrelated PCNSL.
hMSH2 is a DNA mismatch repair enzyme located in the nucleus and involved in the control of fidelity of genomic replication.40 Expression of hMSH2 has been studied extensively in epithelial tissues and cancers, whereas its expression pattern in normal and neoplastic lymphoid tissues is unknown.41-44 Evidence obtained by one of us (L.M.L, unpublished observation) had suggested that hMSH2 expression among mature B-cell subsets clusters with GC cells, thus prompting our analysis of this protein among PCNSL.
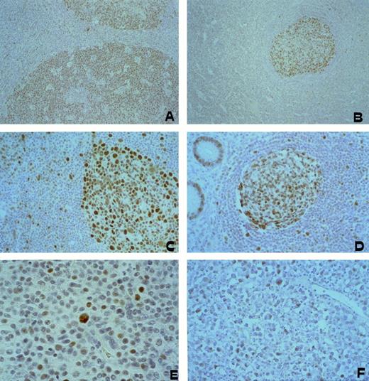
Immunoreactivity for the anti-hMSH2 MoAb was scored using the criteria described above (see Materials and Methods). Figure 6 shows that hMSH2 is a nuclear located protein that in normal mature lymphoid tissues is selectively expressed by follicular GC B cells; the mantle, paracortical, and marginal zones score negative for hMSH2 expression with the exception of isolated large cells (Fig 6A through D).
hMSH2 expression in reactive secondary B-cell follicle in lymphnode (A), spleen (B), appendix (C), and palatine tonsil (D). hMSH2 is a nuclear located protein selectively expressed by follicular germinal center B cell; the mantle, paracortical, and marginal zones appear hMSH2 negative with the exception of large secondary blasts that are crossing the mantle. (E) AIDS-related PCNSL; (F) AIDS-unrelated PCNSL. Most neoplastic cells show a nuclear staining pattern with anti-hMSH2 MoAb. Paraffin-embedded tissue section, ABC-px immunostaining, hematoxylin counterstain. Original magnification × 100 (A), (B), × 250 (C through F).
hMSH2 expression in reactive secondary B-cell follicle in lymphnode (A), spleen (B), appendix (C), and palatine tonsil (D). hMSH2 is a nuclear located protein selectively expressed by follicular germinal center B cell; the mantle, paracortical, and marginal zones appear hMSH2 negative with the exception of large secondary blasts that are crossing the mantle. (E) AIDS-related PCNSL; (F) AIDS-unrelated PCNSL. Most neoplastic cells show a nuclear staining pattern with anti-hMSH2 MoAb. Paraffin-embedded tissue section, ABC-px immunostaining, hematoxylin counterstain. Original magnification × 100 (A), (B), × 250 (C through F).
Among PCNSL, hMSH2 protein was expressed by 29 of 30 (96.7%) tested cases, including 16 of 16 (100%) AIDS-related and 13 of 14 (92.8%) AIDS-unrelated cases. The staining pattern was nuclear and of moderate intensity (Fig 6E).
DISCUSSION
The aim of this study was to characterize the histogenesis and pathogenesis of the clinicopathologic spectrum of PCNSL, including AIDS-related and AIDS-unrelated cases. The results indicate that PCNSL frequently associate with molecular and phenotypic features consistent with GC B-cell phenotype, suggesting that a large fraction of PCNSL may be histogenetically related to GC B cell. Differential expression of BCL-6, BCL-2, and LMP-1 segregates distinct phenotypic patterns, which preferentially associate with specific morphologic variants of the disease. These findings may bear implications for the classification and diagnosis of PCNSL.
Our molecular analysis indicates that mutations of the 5′ noncoding regions of BCL-6 represent the most frequent proto-oncogene lesion presently detectable among PCNSL. The relevance of this finding is threefold. First, mutations of BCL-6 5′ noncoding regions are regarded as a genetic marker specifically acquired by B cells at the time of transition through the GC, whereas they are rare or absent in B-cell subsets that have not transited through the GC.24,26-28,45 On this basis, the frequent occurrence of BCL-6 mutations among PCNSL suggests that a substantial fraction of these tumors may derive from B cells related to the GC and localized subsequently to the CNS. Second, the frequency of BCL-6 mutations and their location in the proximity of the BCL-6 promoter suggest that these mutations may have been selected during tumorigenesis based on their potential ability to deregulate BCL-6 expression, as also indicated by data obtained from in vitro models.45 Third, the frequency and tumor specificity of BCL-6 mutations among PCNSL suggest that these lesions may prove to be a valuable marker for the molecular monitoring of the disease.
It is curious that, despite the frequent rate of BCL-6 mutations, PCNSL appear to be devoid of BCL-6 rearrangements, which occur in approximately 30% to 40% of systemic DLCL of the immunocompetent host and in 15% to 20% of AIDS-related DLCL.25,32 46 The reason for the absence of BCL-6 rearrangements among AIDS-related and AIDS-unrelated PCNSL remains unexplained. It is possible that the combination of BCL-6 mutations and EBV infection may be sufficient for PCNSL development in the context of AIDS, whereas an additional, presently unknown, genetic alteration may substitute for EBV in AIDS-unrelated PCNSL.
The notion that PCNSL are histogenetically related to GC B cells is further corroborated by our observation that PCNSL frequently express the BCL-6 protein. In fact, BCL-6 expression clusters with GC B cells throughout physiologic B-cell differentiation.21 Whereas all AIDS-unrelated PCNSL score positive for BCL-6 expression, AIDS-related PCNSL display a certain degree of heterogeneity. Notably, expression of BCL-6 is absent in AIDS-related PCNSL expressing the EBV-encoded LMP-1 antigen. The mutually exclusive expression of BCL-6 and LMP-1 observed among AIDS-related PCNSL is reminiscent of that detected among systemic AIDS-related NHL31,32 and is consistent with data derived from in vitro models suggesting that LMP-1 is able to downregulate BCL-6.47 Consistent with the fact that LMP-1 upregulates BCL-2, BCL-6−/LMP-1+ PCNSL generally express BCL-2.16 Conversely, the majority of BCL-6+/LMP-1− PCNSL are BCL-2−.
The expression pattern of BCL-6, LMP-1, and BCL-2 might bear practical implications for the differential diagnosis of PCNSL morphologic subtypes, which are known to display a certain degree of overlap when classified on pure histologic grounds. In fact, different expression patterns of BCL-6, LMP-1, and BCL-2 preferentially associate with distinct histologic variants of the disease. In particular, BCL-6+/LMP-1−/BCL-2−PCNSL tend to display a large noncleaved cell morphology, whereas BCL-6−/LMP-1+/BCL-2+ PCNSL are mainly represented by lymphomas with immunoblastic features. On this basis, it is conceivable that expression of BCL-6, LMP-1, and BCL-2 may contribute a valuable tool for the differential diagnosis of PCNSL histologic variants. Ongoing studies are aimed at clarifying the clinical relevance of the PCNSL phenotypic heterogeneity in terms of the host's immune status, response to treatment, and outcome.
ACKNOWLEDGMENT
The MoAb, PG-B6, was a kind gift of Prof Brunangelo Falini (Institute of Hematology, University of Perugia, Perugia, Italy). The human BCL-6 probes Sac 4.0 and Sac 0.8 were a kind gift of Dr Riccardo Dalla-Favera (Division of Oncology, Department of Pathology, College of Physicians & Surgeons, Columbia University, New York, NY).
Supported by grants from Programma Nazionale di Ricerca sull'AIDS-1997, Istituto Superiore di Sanità, Rome, Italy; the Associazione Italiana per la Ricerca sul Cancro, Milan, Italy; and the “Fondazione Piera, Pietro e Giovanni Ferrero,” Alba, Italy. D.C. is being supported by a fellowship from “Fondazione Piera, Pietro e Giovanni Ferrero,” Alba, Italy.
Address reprint requests to Luigi Maria Larocca, MD, Divison of Pathology, Università Cattolica del Sacro Cuore, Largo F.Vito, 1, Rome I-00168, Italy; e-mail: ibiap@rm.unicatt.it.
The publication costs of this article were defrayed in part by page charge payment. This article must therefore be hereby marked "advertisement" is accordance with 18 U.S.C. section 1734 solely to indicate this fact.







This feature is available to Subscribers Only
Sign In or Create an Account Close Modal