Abstract
To elucidate the genetic events that may play important roles in the progression of chronic myelocytic leukemia (CML), we performed allelotype analysis in 30 patients with CML as the disease transformed to accelerated phase or blast crisis (21 myeloid and 9 lymphoid cases). DNAs were extracted from slides of bone marrow smears or from freshly isolated bone marrow mononuclear cells. The DNAs from the same individuals in both chronic phase and either blast crisis or accelerated phase were analyzed at 82 microsatellite markers, which mapped to each of the autosomal arms except the short arms of the acrocentric chromosomes. Loss of heterozygosity (LOH) on at least one locus was observed in 21 of the 30 cases (70%) as the disease progressed. Frequent allelic loss of ≥ 20% of the informative cases was observed on chromosome arms 1p (35%), 7p (21%), 19p (20%), and 20q (29%). Allelic losses were also analyzed according to phenotypes. LOH of ≥ 20% was detected on 1p (29%), 18p (20%), and 20q (27%) in myeloid blast crisis, and on 1p (50%), 4p (25%), 7p (43%), 9p (29%), 18q (25%), 19p (43%), and 20q (33%) in lymphoid blast crisis. Serial cytogenetic information was available for most of our cases with LOH on these arms, and only one case had loss of both chromosomes 9 and 20. Fractional allelic loss, calculated for each sample as the total number of chromosomal arms lost/total number of arms with information, showed a median value of 0.06 and a mean of 0.098 (range 0 to 0.60). These results suggest that tumor suppressor genes especially on 1p, 7p, 19p, and 20q probably have an important role in the progression to blast crisis of CML.
CHRONIC MYELOCYTIC leukemia (CML) is a common hematologic neoplasm of pluripotent stem cells.1 In 95% of CML patients, the leukemic cells have the characteristic Philadelphia chromosome (Ph), which results in the fusion of sequences of the ABL gene from chromosome 9 with sequences of the BCR gene from chromosome 22.2,3 The progression from chronic phase to blast crisis in CML patients is a common clinical feature and results in a more malignant process. Although alterations of chromosome 17 associated with mutations of the p53 gene, and homozygous deletions of the p16 gene have been reported to occur during this process in a subset of CML, little is as yet understood about the mechanisms responsible for the transformation.4-7
Several lines of evidence have suggested that inactivation of tumor suppressor genes is a major mechanism of tumorigenesis in a wide variety of tumors.8 The paradigm of alterations of many tumor suppressor genes is a mutation of one allele accompanied by loss of the second allele. Cytogenetic studies performed in CML have shown that trisomy 8, double Ph, and isochromosome 17 are frequent additional chromosomal changes.3,9 10 However, cytogenetic studies would not reveal areas of allelic loss that result from reduplication of a single mutated chromosome or mitotic recombination leading to homozygosity for loci distal to the site of recombination. Moreover, small deletions that are below the limits of resolution of cytogenetic analysis would not be detected.
Microsatellites are short tracts of (C-A)n repeats that exist throughout the genome and are highly polymorphic.11 Allelotype analysis, an extensive survey of allelic loss throughout the genome, is a rapid method of screening multiple loci for possibly affected tumor suppressor genes.12-22 However, these analyses in the evolution of CML have been hampered by the difficulties to obtain paired blast crisis and chronic phase samples from the same individual. For this reason, we used DNAs extracted from slides of bone marrow smears or from freshly isolated bone marrow mononuclear cells. To elucidate the genetic events which may play important roles in the progression of CML, we performed allelotype analysis in 30 CML patients during their transformation.
MATERIALS AND METHODS
Samples.Paired samples of bone marrow of chronic phase and blast crisis or accelerated phase were obtained from each patient with CML. Clinical information was available for 30 patients as shown (see Table 1). Twenty-one patients had myeloid crisis and nine individuals had lymphoid crisis. The mean percentage of blasts for the blast crisis or accelerated phase samples was 54.4% (range, 10% to 90%, n = 29). The mean survival (months) after progression to the more aggressive phase was 9.0 (range, 1 to 37, n = 25). Cytogenetic data were available from 29 patients (serial karyotypes were available for 25 patients). Additional changes in blast crisis or accelerated phase were listed (see Table 1).
Clinical Characteristics of the CML Patients and the Allelic Loss of Their Blast Cells at Blast Crisis
| Sample No. . | Age/Sex . | Phenotype . | Blast* (%) . | Additional Karyotypic Changes* . | Allelic Loss on Chromosome Arms . | FAL . |
|---|---|---|---|---|---|---|
| 1 | 48/M | Myeloid | 20 | 9p, 16p | 0.06 | |
| 2 | 69/F | Myeloid | 85 | T | 4q | 0.03 |
| 3 | 39/F | Myeloid | 50 | NA | 1p, 1q, 7p, 8p, 20p, 20q | 0.60 |
| 4 | 33/M | Myeloid | 30 | 0 | ||
| 5 | 45/M | Myeloid | 10 | T | 0 | |
| 6 | 45/M | Myeloid | 65 | +Ph† | 7p | 0.03 |
| 7 | 19/M | Myeloid | 30 | +Ph† | 0 | |
| 8 | 33/F | Myeloid | 21 | NA | 22q | 0.07 |
| 9 | 38/M | Myeloid | NA | der(3)t(3; 7)(p13;p13),der(7)t(3:7)(p23;p13) | 0 | |
| 10 | 39/F | Myeloid | 16 | 11q+,15q+,2q− | 0 | |
| 11 | 60/F | Myeloid | 90 | T | 11p | 0.05 |
| 12 | 60/M | Myeloid | 75 | 4p | 0.07 | |
| 13 | 52/M | Myeloid | 70 | −Y† | 1p, 18p | 0.10 |
| 14 | 50/M | Myeloid | 60 | 20q | 0.11 | |
| 15 | 73/M | Myeloid | 57 | T | 17p | 0.08 |
| 16 | 52/M | Myeloid | 66 | +Ph,+8 | 6q, 18p | 0.09 |
| 17 | 52/F | Myeloid | 58 | T | 1p, 5p, 19p, 20q | 0.18 |
| 18 | 61/F | Myeloid | 64 | T | 1p, 11q, 12p, 22q | 0.27 |
| 19 | 57/F | Myeloid | 72 | t(1; 21) | 17q | 0.03 |
| 20 | 50/M | Myeloid | 70 | T | 0 | |
| 21 | 53/F | Myeloid | 90 | T | 0 | |
| 22 | 62/M | Lymphoid | 40 | NA | 1p, 18q | 0.06 |
| 23 | 38/M | Lymphoid | 82 | −9,+18,−20,+der(1),+der(20) | 1q, 9p, 9q, 16p, 20q | 0.15 |
| 24 | 38/F | Lymphoid | 60 | +i[17q] | 0 | |
| 25 | 31/M | Lymphoid | 90 | T | 7p, 9p, 19p | 0.09 |
| 26 | 34/F | Lymphoid | 10 | T | 2p, 5q, 7p, 12p, 13q, 18q | 0.19 |
| 27 | 48/M | Lymphoid | 65 | T | 3p | 0.05 |
| 28 | 60/M | Lymphoid | 40 | T | 1p, 4p, 7p, 12q, 16q, 19p, 19q | 0.30 |
| 29 | 38/F | Lymphoid | 45 | T | 1p, 4p, 10q, 19p, 20q | 0.33 |
| 30 | 52/F | Lymphoid | 46 | T | 0 |
| Sample No. . | Age/Sex . | Phenotype . | Blast* (%) . | Additional Karyotypic Changes* . | Allelic Loss on Chromosome Arms . | FAL . |
|---|---|---|---|---|---|---|
| 1 | 48/M | Myeloid | 20 | 9p, 16p | 0.06 | |
| 2 | 69/F | Myeloid | 85 | T | 4q | 0.03 |
| 3 | 39/F | Myeloid | 50 | NA | 1p, 1q, 7p, 8p, 20p, 20q | 0.60 |
| 4 | 33/M | Myeloid | 30 | 0 | ||
| 5 | 45/M | Myeloid | 10 | T | 0 | |
| 6 | 45/M | Myeloid | 65 | +Ph† | 7p | 0.03 |
| 7 | 19/M | Myeloid | 30 | +Ph† | 0 | |
| 8 | 33/F | Myeloid | 21 | NA | 22q | 0.07 |
| 9 | 38/M | Myeloid | NA | der(3)t(3; 7)(p13;p13),der(7)t(3:7)(p23;p13) | 0 | |
| 10 | 39/F | Myeloid | 16 | 11q+,15q+,2q− | 0 | |
| 11 | 60/F | Myeloid | 90 | T | 11p | 0.05 |
| 12 | 60/M | Myeloid | 75 | 4p | 0.07 | |
| 13 | 52/M | Myeloid | 70 | −Y† | 1p, 18p | 0.10 |
| 14 | 50/M | Myeloid | 60 | 20q | 0.11 | |
| 15 | 73/M | Myeloid | 57 | T | 17p | 0.08 |
| 16 | 52/M | Myeloid | 66 | +Ph,+8 | 6q, 18p | 0.09 |
| 17 | 52/F | Myeloid | 58 | T | 1p, 5p, 19p, 20q | 0.18 |
| 18 | 61/F | Myeloid | 64 | T | 1p, 11q, 12p, 22q | 0.27 |
| 19 | 57/F | Myeloid | 72 | t(1; 21) | 17q | 0.03 |
| 20 | 50/M | Myeloid | 70 | T | 0 | |
| 21 | 53/F | Myeloid | 90 | T | 0 | |
| 22 | 62/M | Lymphoid | 40 | NA | 1p, 18q | 0.06 |
| 23 | 38/M | Lymphoid | 82 | −9,+18,−20,+der(1),+der(20) | 1q, 9p, 9q, 16p, 20q | 0.15 |
| 24 | 38/F | Lymphoid | 60 | +i[17q] | 0 | |
| 25 | 31/M | Lymphoid | 90 | T | 7p, 9p, 19p | 0.09 |
| 26 | 34/F | Lymphoid | 10 | T | 2p, 5q, 7p, 12p, 13q, 18q | 0.19 |
| 27 | 48/M | Lymphoid | 65 | T | 3p | 0.05 |
| 28 | 60/M | Lymphoid | 40 | T | 1p, 4p, 7p, 12q, 16q, 19p, 19q | 0.30 |
| 29 | 38/F | Lymphoid | 45 | T | 1p, 4p, 10q, 19p, 20q | 0.33 |
| 30 | 52/F | Lymphoid | 46 | T | 0 |
Four samples were from accelerated phase patients (No. 1, 5, 10, and 26). DNAs were extracted from bone marrow mononuclear cells from seven patients (No. 5 through 7, 23 through 26).
Abbreviations: M, male; F, female; NA, not available; T, patient who had only t(9; 22) at both the chronic phase and blast crisis.
Blast (%), additional karyotypic changes at blast crisis or accelerated phase. All but two individuals (samples No. 12 and 14) had Ph chromosome at diagnosis. Rearrangement of the BCR gene was detected at diagnosis in these two samples.
These changes were also observed in their chronic phase.
Extraction of DNA.DNAs were extracted from stained slides of bone marrow smears derived from each patient. Cells were stripped off slides with disposable scalpels, washed once with xylene, washed twice with absolute ethanol, and were lysed with 50 mmol/L Tris-HCL (pH 8.5), 1 mmol/L EDTA, 0.5% Tween 20, and proteinase K in a final concentration of 100 μg/mL at 37°C overnight. DNAs were extracted twice with phenol and once with chloroform, and were precipitated in ethanol. The DNA pellets were dissolved in 40 μL of TE (10 mmol/L Tris-HCL pH 7.4, 1 mmol/L EDTA). DNAs were extracted from bone marrow mononuclear cells from 7 patients after obtaining informed consent (No. 5 through 7, 23 through 26).
Loss of heterozygosity (LOH) analysis.Polymerase chain reaction (PCR)-amplification of microsatellite sequences was used to determine LOH. Primers for microsatellite sequences were obtained from Research Genetics (Huntsville, AL).23 Loci analyzed were as follows: 1p, D1S253 and D1S436; 1q, D1S196 and D1S202; 2p, D2S146 and D2S207; 2q, D2S122 and D2S125; 3p, D3S1266 and D3S1285; 3q, D3S1272 and D3S1278; 4p, D4S418 and D4S419; 4q, D4S416 and D4S429; 5p, D5S416 and D5S418; 5q, APC and D5S107; 6p, D6S260 and D6S265; 6q, D6S283 and D6S292; 7p, D7S493,D7S513,D7S517, and D7S531; 7q, D7S486 and D7S487; 8p, D8S262 and LPL; 8q, D8S272 and D8S286; 9p, D9S156,D9S157, and D9S165; 9q, D9S154 and D9S176; 10p, D10S191 and D10S213; 10q, D10S190 and D10S201; 11p, D11S904, and D11S907; 11q, D11S906 and D11S923; 12p, D12S89 and D12S91; 12q, D12S96 and D12S354; 13q, D13S156 and D13S164; 14q, D14S61 and D14S70; 15q, D15S165 and 635/636; 16p, D16S404 and D16S410; 16q, D16S402 and D16S411; 17p, D17S261,D17S786, and p53; 17q, D17S802 and D17S805; 18p, D18S54 and D18S452; 18q, D18S58 and DCC; 19p, D19S209 and D19S221; 19q, D19S208 and D19S214; 20p, D20S98 and D20S105; 20q, D20S100 and D20S108; 21q, D21S265 and D21S270; and 22q, D22S282 and D22S283. Each PCR reaction contained 25 ng of DNA, 10 pmole of each primer, 2 nmole of each of dNTPs (Pharmacia, Stockholm, Sweden), 0.5 U of Taq DNA polymerase (Boehringer-Mannheim, Indianapolis, IN), 3 μCi of [α-32P]dCTP (ICN, Irvine, CA) in 20 μL of the specified buffer with 1.5 mmol/L MgCl2 . Thirty-two cycles of denaturing for 40 seconds at 94°C, annealing for 30 seconds at 55°C, and extending for 35 seconds at 72°C were performed in a Programmable Thermal Controller (MJ Research Inc, Watertown, MA). PCR products were diluted in the loading buffer and were heated to 94°C for 5 minutes. Three microliters of the dilutions were applied to a 5% to 6% polyacrylamide gel containing 8.3 mol/L urea and separated for 2 to 3 hours at 75 W. Subsequently, the gel was dried and subjected to autoradiography using Kodak XAR film (Eastman Kodak, Rochester, NY) at room temperature or −80°C. LOH was scored in informative cases if a significant reduction (>50%) in the signal of the allele from the blast crisis or accelerated phase sample was noted in comparison to the corresponding allele in the adjacent lane from the chronic phase of CML of the same individual. In almost all samples showing LOH, PCR amplification and analysis were repeated to assure consistency of results.
RESULTS
We screened 30 paired CML samples during progression to blast crisis for LOH with a panel of 82 highly informative microsatellite markers representing every autosomal chromosome. Figure 1 shows the frequency of LOH at each arm. Each sample was analyzed on at least one locus per arm except the short arms of the acrocentric chromosomes. Some samples were not examined at other loci on several arms because of a shortage of DNA. Thirty of 39 (77%) chromosomal arms showed LOH for at least one patient. LOH on at least one locus was observed in 21 of the 30 cases (70%); 14 of the 21 myeloid crisis (67%) and seven of the nine cases of lymphoid crisis (78%) (Table 1).
Frequency of allelic loss on individual chromosomal arms in CML. Data from each marker were combined showing any allelic loss on that arm divided by the total number of informative cases. Frequent allelic loss was observed on chromosome arms 1p (35%), 7p (21%), 19p (20%), and 20q (29%).
Frequency of allelic loss on individual chromosomal arms in CML. Data from each marker were combined showing any allelic loss on that arm divided by the total number of informative cases. Frequent allelic loss was observed on chromosome arms 1p (35%), 7p (21%), 19p (20%), and 20q (29%).
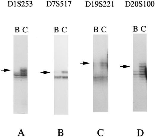
The most frequent allelic loss was observed on 1p in seven of 20 blast crisis samples (35%). Frequent allelic loss of ≥20% of the informative cases was also observed on chromosome arms 7p (5/24; 21%), 19p (4/20; 20%), and 20q (5/17; 29%) (Fig 1). By contrast, LOH was infrequent on chromosomal arms 13q and 17p where the RB and p53 tumor suppressor genes reside, respectively. Allelic losses were also analyzed according to phenotypes of blasts. Frequent LOH of ≥20% was detected on 1p (4/14; 29%), 18p (2/10; 20%), and 20q (3/11; 27%) in myeloid crisis. Frequent LOH (at least two cases showed) of ≥20% was observed on 1p (3/6; 50%), 4p (2/8; 25%), 7p (3/7; 43%), 9p (2/7; 29%), 18q (2/8; 25%), 19p (3/7; 43%), and 20q (2/6; 33%) in the lymphoid crisis cases. Representative examples of autoradiograms of LOH on chromosome arms 1p, 7p, 19p, and 20q are shown in Fig 2. The upper alleles were lost at the D1S253, D7S517, D19S221, and D20S100 loci in samples No. 13 (A), No. 25 (B), No. 29 (C), and No. 3 (D), respectively.
Representative LOH in CML. LOH on chromosome arms 1p (A, sample No. 13), 7p (B, sample No. 25), 19p (C, sample No. 29), and 20q (D, sample No. 3) were detected in the transformation of CML. The analyzed loci are shown on the top. Arrows indicate allele lost. B, blast crisis; C, chronic phase.
Representative LOH in CML. LOH on chromosome arms 1p (A, sample No. 13), 7p (B, sample No. 25), 19p (C, sample No. 29), and 20q (D, sample No. 3) were detected in the transformation of CML. The analyzed loci are shown on the top. Arrows indicate allele lost. B, blast crisis; C, chronic phase.
Serial cytogenetic information was available for most of our cases with LOH on 1p, 4p, 7p, 18p, 18q, and 19p; however, deletions at these sites were not detected. Loss of chromosomes 9 and 20 was observed in one of three cases with LOH on 9p and in one of five cases with LOH on 20q, respectively (Table 1).
Fractional allelic loss (FAL) was calculated for each tumor as the total number of chromosome arms lost/total number of arms with information. A median value of FAL was 0.06 and a mean was 0.098 (range 0 to 0.60) (Table 1). Median values of FAL were 0.05 and 0.09, and mean values were 0.084 and 0.13 in myeloid and lymphoid blast crisis cases, respectively.
We also analyzed for variations in the number of repetitive unit sequences in each microsatellite, which is called microsatellite instability (MSI). We previously reported absence of MSI at 10 loci in samples No. 1 through 10, 22 through 26.24 In the present study, we did not detect MSI at more than one marker in any of the blast crisis samples.
DISCUSSION
To understand the genetic lesions in the progression of CML, we performed allelotype analysis using highly informative microsatellite markers. The most frequent allelic loss was observed on chromosome arm 1p (35%). Frequent LOH has been reported at the similar regions in several types of tumors including neuroblastoma, colorectal, hepatocellular carcinomas, and parathyroid adenoma.25-28 Allelic loss of 1p was associated with unfavorable outcomes in neuroblastoma.29 LOH on chromosome arm 20q was also frequent in our study (29%). Deletions or LOH on this chromosomal arm has been reported in polycythemia vera, myelofibrosis, idiopathic thrombocythemia, and myelodysplastic syndrome.30 31 However, to date, no candidate tumor suppressor gene has been cloned on chromosome arms 1p and 20q. Future studies will be needed to know whether either a single gene or multiple tumor suppressor genes are clustered on these arms, and are altered in progressive CML and the above mentioned tumors.
Frequent LOH on 1p and 20q was observed in myeloid and lymphoid blast crisis, while LOH on 4p, 7p, 9p, 18q, and 19p was frequent in lymphoid blast crisis. Homozygous deletions of the p16 gene located on 9p, were reported in lymphoid blast crisis.6 Both common and different genetic events may be involved in these types of blast crisis. A previous report showed no consistent LOH at selected loci in the evolution of CML.32 However, the number of markers used in the study was small (12 markers on six chromosomal arms), and LOH on 1p, 4p, 7p, 9p, 18p, 19p, and 20q was not analyzed. Recently, LOH was analyzed in chronic phase of CML, with microsatellite markers mapped to recurrent breakpoint cluster regions involved in leukemia.33 In the study, LOH on 3q was detected in four of 21 samples (19%); however, the DNAs from the chronic phase samples were analyzed alongside normal DNA from buccal epithelium.
We used DNAs extracted from bone marrow smears, possibly containing both blast cells and chronic phase cells, in 23 of the 30 samples. Although LOH was found in the sample from bone marrow smears containing 20% of blast cells (sample No. 1), we may have underestimated the incidence of LOH. Also, we may have missed homozygous deletions because of the possible presence of contaminating chronic phase cells in our blast crisis or accelerated phase samples.
Deletions or monosomy of chromosomes 1, 4, 9, 18, 19, and 20 has not been characterized in CML blast crisis, while loss or deletion of chromosome 7 has been reported in some cases, mainly in lymphoid crisis.1,3,7 9 In this study, no deletions were observed on 1p, 4p, 7p, 18p, 18q, or 19p, and loss of chromosomes 9 and 20 was detected in one case. These data suggest that either mitotic nondisjunction with duplication or mitotic recombination was one of the mechanisms that resulted in LOH on these chromosomes in CML. Also, we can not exclude the possibility that small deletions were present on the chromosomal arms.
For sample No. 23, karyotype analysis showed −9,−20, +der(20), and allelotype analysis showed LOH on 9p, 9q, and 20q (Table 1). Thus, the results of both analyses are consistent. For sample No. 9, karyotype analysis showed der(3)t(3; 7)(p13; p13),der(7)t(3:7)(p23; p13), while allelotype analysis did not show LOH on 3p. For sample No. 10, karyotype analysis showed 2q−, while LOH on 2q was not observed by allelotype analysis (Table 1). This discrepancy may be partly explained by the presence of a small percentage of blasts in the sample (16%, No. 10). Also, the information about percentage of blast cells was unavailable for sample No. 9. In this case, D3S1285 was located within the deleted chromosomal region and LOH at this locus was not scored.
The median value of FAL was 0.06 in our study. This value is lower than those reported for osteosarcoma (0.32), nonsmall cell lung and colorectal carcinomas (0.20), pancreatic adenocarcinoma (0.18), and bladder cancer (0.11).12-14,19 20 Allelic deletions may be less common in the progression of CML in comparison to some solid tumors.
Frequent MSI has been reported in the progression to blast crisis.34 However, we and others have shown absence of genetic instability in blast crisis.24 32 In the present study, we did not find MSI at more than one locus in any of the blast crisis samples. Our data suggest that microsatellite instability during progression of disease is infrequent in most cases of CML.
This study shows the efficacy of allelotype analysis using microsatellite markers and provides guidance for future molecular approaches to isolate tumor suppressor genes that are probably associated with the transformation to blast crisis. Further deletion mapping of affected chromosomal regions should eventually help clone candidate tumor suppressor genes.
Supported in part by Grants No. DK 41936, CA 42710, and DK 42792 from National Institutes of Health (Bethesda, MD), as well as the Parker Hughes Fund (Children's Hospital, Los Angeles, CA) and the Concern Foundation.
Address reprint requests to Naoki Mori, MD, Department of Medicine, Hematology and Oncology, Cedars-Sinai Medical Center/UCLA School of Medicine, 8700 Beverly Blvd, B208, Los Angeles, CA 90048.


This feature is available to Subscribers Only
Sign In or Create an Account Close Modal