Abstract
Hereditary myeloperoxidase (MPO) deficiency is a neutrophil disorder characterized by the lack of peroxidase activity. Cytochemical, biochemical, spectroscopic, immunocytochemical, and genetic studies were carried out on a 5-year-old MPO-deficient subject and on her parents. The father was also MPO-deficient, whereas the mother had 24% of normal MPO activity. Although the typical absorption spectrum of MPO was absent in both the father and daughter, the father's neutrophils, and not those of the daughter, contained material antigenically related to MPO. In the MPO gene of the father, two mutations were found, each located in a different allele: a T → C transition, causing the nonconservative replacement M251T and a 14-base deletion within exon 9. The M251T substitution occurred in the carboxy-terminal region of the light chain that is included in the heme pocket. The daughter inherited the 14-base deletion from her father. The study of the MPO mRNAs present in liquid cultures of granulocyte precursors surprisingly showed that the same genetic defect, ie, the 14-base deletion, seemed to exhibit different mRNA phenotypes in the father and the daughter. In fact, mRNA derived from the 14-base–deleted allele was not found in the father and an aberrantly spliced MPO mRNA with a 77-base deletion of exon 9, which includes the 14-base deletion and leads to the generation of a premature stop codon, was found in the daughter. The possibility that Δ77 mRNA could derive from other mutations linked to the Δ14 allele was dismissed because no sequence differences were found in the region (exons and exon-intron junctions). Our data indicate that the alteration of the mRNA context caused by the 14-base deletion provide a basis for the 77-base deletion in the mRNA processing. Since the granulocyte precursors from the liquid cultures of the father were more differentiated than those from the daughter, the observed different behavior of the 14-base–deleted allele in the father and daughter may be the result of a differentiation-stage dependent control of altered spliced mRNA, which may be tolerated during the early stages of differentiation but degraded at later stages. In the liquid cultures of the daughter's cells, in addition to the mRNA with the 77-base deletion, a mRNA with the wild type sequence was also found. This mRNA was inherited from the mother, since no mutations were found in her MPO cDNA and MPO gene. The MPO defect might be caused by a regulatory mutation that induces the MPO gene switch off at an early stage of granulocyte differentiation.
MYELOPEROXIDASE (MPO; E.C. 1.11.1.7) is a heme-enzyme synthesized in neutrophil granulocyte precursors and in monocytes. The enzyme is stored in the azurophilic granules of neutrophils and in the lysosomes of monocytes.1,2 In combination with hydrogen peroxide and chloride ions, this enzyme generates highly toxic compounds involved in several cell functions, ranging from the killing of bacteria,3 fungi,4 and tumor cells5 to the inactivation of inflammatory mediators.6 Structural studies and crystallographic analysis have demonstrated that MPO is a tetramer of 150 kD composed of two heavy chain (60 kD each) and two light chain (15 kD each) subunits.7
The MPO specific mRNA codifies for a single protein of 80 kD that after glycosylation and proteolytic processing is packaged in azurophilic granules.8,9 Hereditary MPO deficiency appears to be the most common biochemical defect of neutrophils and does not seem to be geographically restricted. An estimated prevalence of 1 of 2,000 individuals has been reported in the United States and of approximately 1 of 4,000 individuals in the region of Friuli-Venezia Giulia in Italy.10
The clinical outcome of hereditary MPO deficiency is much less severe than other genetic diseases of neutrophils such as chronic granulomatous disease (CGD) or Chediak-Higashi syndrome. An increased susceptibility to infections (particularly Staphylococcus aureus and Candida albicans) has been reported for some MPO-deficient patients. In those patients, who were also affected with diabetes11,12 or with acne vulgaris,13-16 it was not defined if the infections were a mere consequence of MPO deficiency or if the other disorders were also relevant.
Multiple genotypes likely underlie MPO deficiency. One group suggested a pre-translational mechanism for the defect since mRNA could not be detected in the granulocyte precursors.17 On the contrary, normal levels of MPO mRNA in neutrophil precursors and the presence of MPO immunorelated peptides in mature neutrophils were observed in other MPO-deficient subjects by two other groups,18-21 thus suggesting a posttranslational nature for the defect.
The only mutation found so far in some MPO-deficient subjects is a C to T transition at codon 569 in exon 10, resulting in an Arg (CGG) to Trp (TGG) substitution. Recently the impact of this mutation on protein structure, biosynthesis, and function has been described.22 We now report two new mutations causing the phenotype of complete MPO deficiency: a T to C transition at codon 251 in exon 6, resulting in Met (ATG) to Thr (ACG) substitution and a deletion of 14 bases (Δ14) within exon 9.
MATERIALS AND METHODS
Subjects. The propositus was a 5-year-old girl (MP). She was admitted to the pediatric clinic of Padua University hospital because of bilateral bacterial parotitis. Her MPO deficiency was first detected on the occasion of a routine blood analysis by automated flow-cytochemistry. Her father (DP) and mother (VP) were also available for studies.
Cells. Peripheral blood was anticoagulated with 1 mmol/L EDTA. Granulocytes were isolated by dextran sedimentation of erythrocytes followed by centrifugation of leukocyte-rich supernatant for 20 minutes at 1,000g on Lymphoprep (Nycomed, Oslo, Norway).23 Contaminating erythrocytes were removed from the granulocyte pellet by hypotonic lysis.
Optical spectroscopy. The differential absorption spectra of neutrophil homogenates were monitored using a Perkin-Elmer 576-ST double-beam spectrophotometer.24 Homogenates were prepared by sonication (3 cycles, 5 sec/cycle) with a sonicator (Labsonic 200; Braun) set at maximum power. Aliquots of homogenates equivalent to 15 to 20 × 106 cell/ml in phosphate-buffered saline (PBS) were added to both the sample and the reference cuvette. A few grains of sodium dithionite were added to the sample cuvette and the reduced minus oxidized absorption spectrum was recorded.
Cytochemistry. Peroxidase cytochemistry was performed on cytospins made from purified granulocyte suspensions according to Kaplow25 using 3-3′-diaminobenzidine as substrate.
Biochemistry. MPO activity was measured by the guaiacol oxidation assay, as described by Cramer et al.26 Briefly, 2 × 104 cells were added to 0.5 mL of sample buffer containing 0.1 mol/L sodium phosphate pH 7, 13 mmol/L guaiacol, 0.02% CTAB, and 2 mmol/L 3-amino-1,2,4-triazole (AMT). AMT was added in order to selectively inhibit the peroxidase activity of contaminating eosinophils. After adjusting the sample volume to 1 mL with H2O, the reaction was started by addition of 0.3 μmol H2O2 and the guaiacol oxidation was monitored at 470 nm. One guaiacol unit is defined as the amount of enzyme that forms 1 nmol tetraguaiacol/106 cells/min.
Immunocytochemistry. Anti-MPO polyclonal antibodies were obtained by immunizing rabbits with purified MPO. The anti-MPO monoclonal antibody (MoAb) MPO-3 was kindly donated by Dr C.E. van der Schoot (CLB, Amsterdam, The Netherlands). Cytospins were fixed with 0.125% glutaraldehyde in PBS and the cells were permeabilized with a methanol-acetone solution (1:1, vol/vol). Endogenous peroxidases were inactivated by incubation for 1 hour at 37°C in PBS solution containing 10 mmol/L glucose, 2 mmol/L NaN3 , 1 U/mL glucose oxidase, and 5 mmol/L resorcinol.27 Cytospins were then incubated for 1 hour at room temperature (RT) with polyclonal, monoclonal, or control antibodies diluted in PBS. Immunoperoxidase Vektastain kit (Vektastain ABC system; Vector Laboratories, Burlingame, CA) was used to show antibody binding. Biotinylated goat antirabbit IgG or horse antimouse IgG were used as secondary antibodies when the primary antibody was a rabbit polyclonal antiserum or mouse MoAbs, respectively. The slides were counterstained with Mayer's hemalum.
Liquid cultures of hematopoietic precursors. Neutrophil precursors were obtained from peripheral blood as previously described.28 Briefly, 10 mL of peripheral blood was diluted with an equal volume of PBS and centrifuged on Lymphoprep for 30 minutes at 800g. Mononuclear cells were washed twice with RPMI (GIBCO, Grand Island, NY) and then resuspended in 40 mL of RPMI containing 10% fetal calf serum (FCS), 50 μg/mL streptomycin, 50 μg/mL penicillin, 2 mmol/L glutamine and supplemented with 20 ng/mL granulocyte macrophage colony-stimulating factor (GM-CSF) and 7% conditioned medium from 5637 cell line to stimulate proliferation and maturation of hematopoietic precursors into neutrophilic lineage. After 13 days, when a certain number of more differentiated neutrophil precursors were observed, the cultures were terminated.
Molecular biology techniques. RNA was extracted using the Chomczynski and Sacchi method.29 Poly-A mRNA was reverse transcribed using 200 U of M-MLV reverse transcriptase (GIBCO), according to the manufacturer's instructions.
Nested polymerase chain reaction (PCR) was used to amplify MPO cDNA. In the first round of amplification, a couple of primers spanning the whole coding sequence of mRNA was used (99 → 2451), and for the second round of PCR, three couples of primers were used to amplify partially overlapping fragments of MPO cDNA (99 → 911; 868 → 1741; 1641 → 2451). Standard PCR was carried out for 35 cycles (1 minute at 94°C, 1 minute at 60°C, 3 minutes at 72°C) in 100 μL reaction volumes using 2 U of Taq DNA polymerase (Boehringer Mannheim, Mannheim, Germany) and 3% (vol/vol) dimethylsulfoxide.
For genomic studies DNA was extracted from granulocyte pellets. These were resuspended in 1.5 mL of Lysis Buffer containing 10 mmol/L Tris pH 8, 400 mmol/L NaCl, 2 mmol/L EDTA, 50 μg/mL proteins K and 0.5% sodium dodecyl sulfate (SDS) and incubated at 37°C overnight. Precipitation of proteins was obtained by the addition of 0.5 mL of a NaCl saturated solution, vigorous mixing, and centrifugation at 2,000g for 15 minutes. The supernatant was transferred into a test tube and the DNA was precipitated with 1 vol of isopropanol. After centrifugation, the precipitated DNA was washed with 70% ethanol, air dried, and dissolved in 500 μL 10 mmol/L Tris, 0.1 mmol/L EDTA.
List of Primers Used for Polymerase Chain Reactions
| Name . | Sequence (5′-3′ ) . |
|---|---|
| 99 (r) | CTGGCTTTATCCATAGACA |
| 911 (f) | CGCTCCTGGTCCGGAGTCAG |
| 868 (r) | CGCGCGGTCTCCAACGAGAT |
| 1741 (f) | TTGGGTTCCATGGGCTGGTA |
| 1641 (r) | ACAATGACTCAGTGGACCCA |
| 2451 (f) | ATATACCCCTCACTGCTGCA |
| MPO − 493 (r) | AATTCAAAGGCTGGGACAGGCT |
| MPO + 182 (f) | CATCTCTCTTCTCCTGGGCT |
| E1 (r) | CAGCTTAGAGGACATAAAAGCG |
| E1 (f) | CACAACCACCCCAACACACCA |
| E2 (r) | GGCCTTCCTAGCTCTGGGGCCT |
| E2 (f) | TTCTGTGAAAGGCCTGGGACAT |
| E3 (r) | CCCTTCTCTGGCCCATCCATCT |
| E3 (f) | AGGAGGAGTCACTAGTGGAGCA |
| E4 (r) | ATAGGAAGTGAGGCGGCTAGCT |
| E4 (f) | GGACGCCTCTCTGAGCCCGGTT |
| E5 (r) | ACGCCACAAGCCTCCCGGTGT |
| E5 (f) | ACGTGGCGCCTGGGTCCGCGCA |
| E6 (r) | CGGTGCGCGGACCCAGGCGCCA |
| E6 (f) | TCTCCCAACCCAGGCAGT |
| E7 (r) | TCCAGTTCTGCCTGGGCACCTT |
| E7 (f) | AACAGGGAACATCTCCTA |
| E8 (r) | GGTTTCAGTGGAGCAAATCT |
| E8 (f) | AGGGACACATCTGGATCCCGT |
| E9 (r) | GCATTTGCTGTGGAGGAGT |
| E9 (f) | AGCTCCCTAGAGCCAAGGTGA |
| E10 (r) | CCTGACCTGGCTCCTCTGGT |
| E10 (f) | GCTACCTAGGAGGCAGCTCA |
| E11 (r) | TAAGCAGAGAGACCTGCCCAT |
| E11 (f) | TCAAGGATGGGCCCACAGCCA |
| E12 (r) | ATGCCCTGCCAGCCCAGAATA |
| E12 (f) | GCGCCAGTTCCTCCTCAAGACA |
| 5′α-globin (r) | CCACCACCAGACCTACTT |
| MPO9 (r) | ACGCATCGCCAACGTCTTCA |
| MPO10 (f) | CTGCTGCGCTGCATGTTCAGA |
| Name . | Sequence (5′-3′ ) . |
|---|---|
| 99 (r) | CTGGCTTTATCCATAGACA |
| 911 (f) | CGCTCCTGGTCCGGAGTCAG |
| 868 (r) | CGCGCGGTCTCCAACGAGAT |
| 1741 (f) | TTGGGTTCCATGGGCTGGTA |
| 1641 (r) | ACAATGACTCAGTGGACCCA |
| 2451 (f) | ATATACCCCTCACTGCTGCA |
| MPO − 493 (r) | AATTCAAAGGCTGGGACAGGCT |
| MPO + 182 (f) | CATCTCTCTTCTCCTGGGCT |
| E1 (r) | CAGCTTAGAGGACATAAAAGCG |
| E1 (f) | CACAACCACCCCAACACACCA |
| E2 (r) | GGCCTTCCTAGCTCTGGGGCCT |
| E2 (f) | TTCTGTGAAAGGCCTGGGACAT |
| E3 (r) | CCCTTCTCTGGCCCATCCATCT |
| E3 (f) | AGGAGGAGTCACTAGTGGAGCA |
| E4 (r) | ATAGGAAGTGAGGCGGCTAGCT |
| E4 (f) | GGACGCCTCTCTGAGCCCGGTT |
| E5 (r) | ACGCCACAAGCCTCCCGGTGT |
| E5 (f) | ACGTGGCGCCTGGGTCCGCGCA |
| E6 (r) | CGGTGCGCGGACCCAGGCGCCA |
| E6 (f) | TCTCCCAACCCAGGCAGT |
| E7 (r) | TCCAGTTCTGCCTGGGCACCTT |
| E7 (f) | AACAGGGAACATCTCCTA |
| E8 (r) | GGTTTCAGTGGAGCAAATCT |
| E8 (f) | AGGGACACATCTGGATCCCGT |
| E9 (r) | GCATTTGCTGTGGAGGAGT |
| E9 (f) | AGCTCCCTAGAGCCAAGGTGA |
| E10 (r) | CCTGACCTGGCTCCTCTGGT |
| E10 (f) | GCTACCTAGGAGGCAGCTCA |
| E11 (r) | TAAGCAGAGAGACCTGCCCAT |
| E11 (f) | TCAAGGATGGGCCCACAGCCA |
| E12 (r) | ATGCCCTGCCAGCCCAGAATA |
| E12 (f) | GCGCCAGTTCCTCCTCAAGACA |
| 5′α-globin (r) | CCACCACCAGACCTACTT |
| MPO9 (r) | ACGCATCGCCAACGTCTTCA |
| MPO10 (f) | CTGCTGCGCTGCATGTTCAGA |
MPO exons, exon-intron junctions, and 5′ and 3′ flanking regions were amplified by PCR. PCRs were performed for 30 cycles (1 minute at 95°C, 1 minute at 60°C, 1 minute at 72°C) in 100 μL reaction volumes using 2 U of Taq DNA polymerase (Boehringer). For primer list see Table 1.
MPO Activity of Neutrophils From MPO-Deficient Subject and Her Family Members
| . | Guaiacolic Units/106 Cells % Control . |
|---|---|
| Control subjects | 100 |
| MPO-deficient subject (MP) | 7 |
| Mother (VP) | 24 |
| Father (DP) | 3 |
| . | Guaiacolic Units/106 Cells % Control . |
|---|---|
| Control subjects | 100 |
| MPO-deficient subject (MP) | 7 |
| Mother (VP) | 24 |
| Father (DP) | 3 |
Granulocyte suspensions containing 95% to 97% neutrophils were diluted in sample buffer and guaiacol oxidation was monitored following the OD470 increase at 37°C for 1 minute.25 Peroxidase activity of control subjects was 103 ± 9 SD (n = 6) Guaiacolic Units/106 cellule.
Differential absorbance spectra (reduced-oxidized) from neutrophils of a control subject (left), MPO-deficient subjects DP (center), and MP (right). Granulocyte suspensions diluted at 15 × 106 cells/mL containing 97% neutrophils were used. The wavelength expressed as nm is reported on abscissa axis.
Differential absorbance spectra (reduced-oxidized) from neutrophils of a control subject (left), MPO-deficient subjects DP (center), and MP (right). Granulocyte suspensions diluted at 15 × 106 cells/mL containing 97% neutrophils were used. The wavelength expressed as nm is reported on abscissa axis.
Transient transfections. The region of MPO gene spanning exon9-intronIX-exon 10 (806 bp) of MP was amplified by PCR using primers MPO 9 and MPO10 (Table 1). The PCR products were blunt-end cloned into the filled-in BstEII site of vector pSVEDα1W,30 located within exon 3 of α-globin gene.
Positive clones were selected for the right orientation and the presence/absence of the 14-base deletion (Δ14). Plasmid α1/MPO-N with the nondeleted allele and plasmid α1/MPO-Δ14 carrying the 14-base-deleted allele were used for transient transfection experiments in COS and U937 cell lines.
Liposome-mediated transfections of subconfluent COS-7 cells were performed using DOTAP (Boehringer). Five micrograms of each construct were used for transfection, according to the manufacturer's instructions.
Logarithmically growing U937 were electrophorated at 960 μF and 290 V in a Gene Pulsar unit (Bio-Rad, Hercules, CA). Ten micrograms of each hybrid construct were cotransfected along with equal amounts of a plasmid carrying T-antigen (pβ5′SVBglII). After 48 to 72 hours the RNA was extracted by Chomczynski and Sacchi method. Poly-(dT) cDNA was synthesized using M-MLV reverse transcriptase and the MPO gene splicing was tested by PCR using reverse primer 5′ α-globin and forward primer MPO 10. PCR products were analyzed on 1.5% agarose gel and then directly sequenced.
Nucleotide sequencing. The PCR products were blunt-end cloned in pUC18 Sma I/BAP (Pharmacia, Uppsala, Sweden) and sequenced using T7 sequencing kit (Pharmacia). Direct sequence of PCR products was carried out using Sequenase PCR Product Sequencing kit (USB-Amersham, Cleveland, OH).
RESULTS
Cytochemistry and biochemistry. Peroxidase cytochemistry showed complete absence of MPO activity in the neutrophils of both the propositus (MP) and her father (DP), while the granulocytes of the mother (VP) were positive (data not shown). Biochemical analysis of MPO activity confirmed the complete absence of peroxidase activity in MP and DP neutrophils, and showed a 24% activity in VP neutrophils as compared with control subjects (Table 2).
Optical spectroscopy. To establish if the lack of MPO activity was associated with alterations of the spectroscopic properties of the protein, the differential absorption spectra (reduced minus oxidized) of neutrophil homogenates from DP and MP were recorded. The spectrum of the control subject (Fig 1, left panel) showed the absorption peak at 474 nm, typical of MPO and two other peaks, at 430 and 560 nm, caused by cytochrome b31 and contaminating hemoglobin. The 474 nm peak was absent from the spectra of both MPO-deficient subjects (Fig 1, middle and right panels).
Immunocytochemistry. Immunochemical studies were performed with polyclonal and monoclonal anti-MPO antibodies to determine if material antigenically related to MPO was present in mature neutrophils of DP and MP. In DP, the polyclonal antibody gave a clear positive reaction (Fig 2c) while the MoAb MPO-3 (that recognizes both the precursor and the mature forms of MPO) gave a faint positive reaction (Fig 2d). On the contrary, the reaction with both antibodies was negative in MP neutrophils (Fig 2e and f).
Immunocytochemical reaction for MPO in neutrophils from a normal subject (a and b) and the MPO deficient subjects DP (c and d) and MP (e and f). (a), (c), and (e), anti-MPO antiserum. (b), (d), and (f), anti-MPO MoAb MPO-3.
Immunocytochemical reaction for MPO in neutrophils from a normal subject (a and b) and the MPO deficient subjects DP (c and d) and MP (e and f). (a), (c), and (e), anti-MPO antiserum. (b), (d), and (f), anti-MPO MoAb MPO-3.
Genetic studies. Since peripheral blood neutrophils do not contain detectable levels of MPO mRNA, the MPO cDNA was synthesized using the mRNA isolated from liquid cultures of granulocyte precursors from DP and MP cultured in the presence of specific growth factors.
We started to characterize DP first, since the immunoreactivity of his neutrophils with anti-MPO antibodies showing that the protein or related peptides were present, indicated that the cognate mRNA was actively synthesized. Three partially overlapping fragments of cDNA, encompassing the whole coding sequence, were amplified by PCR and sequenced.
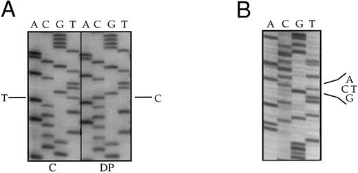
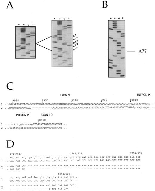
Direct sequence of MPO cDNA from DP (Fig 3A) showed the presence of a T → C base transition at position 929, causing the nonconservative replacement M251T. To confirm this finding at genomic level, the PCR product of exon 6, in which the mutation is located, was directly sequenced and both the mutated allele and the normal allele were observed (Fig 3B). Therefore, the subject was heterozygous for the transition, though the transition bearing allele was the only one expressed (Fig 3A). The same approach used for DP was applied to study MP. The analysis of cDNA clones obtained showed two sets of sequences corresponding to a normal mRNA and an mRNA with a 77-base deletion encompassing residues 1722 to 1799 (Fig 4B and D). Amplification and sequencing of the normal cDNA was done three times to confirm the initial findings. The 77-base deletion causes a shift in the reading frame with the generation of a stop codon after codon 517. This may lead to a truncated MPO-precursor lacking 228 amino acids.
Nucleotide direct sequences of MPO cDNA (A) and MPO exon 6 (B) from the MPO deficient subject DP. cDNA direct sequence shows the T929C substitution in DP (A, DP). cDNA direct sequence from a normal subject is also shown (A, C). Direct sequence of MPO exon 6 from DP shows the simultaneous presence of C and T bases in position 929.
Nucleotide direct sequences of MPO cDNA (A) and MPO exon 6 (B) from the MPO deficient subject DP. cDNA direct sequence shows the T929C substitution in DP (A, DP). cDNA direct sequence from a normal subject is also shown (A, C). Direct sequence of MPO exon 6 from DP shows the simultaneous presence of C and T bases in position 929.
Nucleotide sequences of MPO exon 9-10 clones (A and C) and of cDNA clones from the MPO-deficient subject MP (B and D). (A) < include the 14-base deletion, whose sequence is reported. (B) Δ77 shows the position of the 77-base deletion. (C) Upper case, exon 9 and exon 10. Lower case, intron IX; 1 — normal sequence, 2 — 14-base deleted sequence. (D) Nucleotide and deduced aminoacidic sequences of normal allele (1) and of 77-base deleted allele (2). Dots, deleted bases, or deleted amino acids.
Nucleotide sequences of MPO exon 9-10 clones (A and C) and of cDNA clones from the MPO-deficient subject MP (B and D). (A) < include the 14-base deletion, whose sequence is reported. (B) Δ77 shows the position of the 77-base deletion. (C) Upper case, exon 9 and exon 10. Lower case, intron IX; 1 — normal sequence, 2 — 14-base deleted sequence. (D) Nucleotide and deduced aminoacidic sequences of normal allele (1) and of 77-base deleted allele (2). Dots, deleted bases, or deleted amino acids.
Hence MP was heterozygous for the deletion and no other mutations were found in the normal and 77-base deleted mRNAs (data not shown). The genomic sequence of exon 9, where the mutation is located, revealed instead of the 77 bases deletion, the presence of a 14-base deletion from residue 9943 to 9956 (in cDNA 1729 to 1742) within the same region where the 77-base deletion was detected in the cDNA (Fig 4A and C).
The same Δ14 was found in the genomic DNA of DP, but not of VP, which firmly established the paternity link. Thus the father has two mutations located on different alleles as indicated by the following evidences: (1) at genomic level, the direct sequence of exon 6 revealed the presence of a normal allele together with the allele carrying T → C transition (Fig 3B). The sequence of exon 9 showed the presence of both a normal allele and a 14 bp deleted allele (Fig 4A and C); (2) at cDNA level, only one cDNA species was found carrying the T → C transition (Fig 3A); (3) The daughter inherited from the father the 14 bp deletion but not the T → C transition.
The genetic analysis of VP was carried out by direct sequencing of the cDNA and no mutations were found. Since there was the possibility that an MPO mRNA allele might be unstable in VP cells, direct sequence of PCR products of genomic DNA encompassing the 12 exons, the relevant intron-exon junctions, the 500 bases upstream of the transcription starting site and the 100 bases downstream the polyadenylation site was carried out. No mutations were found in the genomic regions covered by the sequencing.
A summary of genetic, enzymatic, spectroscopic, and immunochemical findings of all family members is reported in Fig 5. The presence of the 14-base deletion at genomic level suggested that an aberrant splicing could be involved in the generation of the 77-base deletion at the mRNA level. To test this hypothesis we used a well characterized system, which we previously set up to study fibronectin alternative splicing, in which the host gene is inserted into exon 3 of the α-globin gene DNA.30 32
Pedigree of the MPO-deficient family. Summary of MPO deficiency status of the father (DP), mother (VP), and daughter (MP) based on biochemical, spectroscopic, immunocytochemical, and genetic analyses. ND, not detected. NMO, no mutations observed.
Pedigree of the MPO-deficient family. Summary of MPO deficiency status of the father (DP), mother (VP), and daughter (MP) based on biochemical, spectroscopic, immunocytochemical, and genetic analyses. ND, not detected. NMO, no mutations observed.
COS cells were transfected with α1/MPO-N and α1/MPO-Δ14 constructs (Fig 6) and the cDNA was synthesized after termination of cultures by PCR using a reverse primer specific for exon 2 of α-globin gene and a forward primer specific for exon 10 of MPO. COS cells, transfected with the Δ14 construct, always expressed a 14-base deleted mRNA and there was no evidence for production of the 77-base deleted mRNA, even when very sensitive methods using Δ14-, Δ77-, and normal-specific PCR primers were used. The identity of the PCR products was always confirmed by DNA sequence. To test if Δ77 mRNA was derived from a cell-type specific splicing, similar transfection experiments were also performed with the myelomonocytic cell line U937,33 which is more similar to granulocyte precursors than COS cells, but the results were the same as those obtained with COS cells.
α-globin/MPO gene construct. Genomic MPO region between exon 9 and exon 10 from MP and a normal subject cloned into exon 3 of α-globin gene in vector pSVEDα1W (BstEII, cloning site). □, α-globin exons; ▪, MPO genes. Continuous lines, introns. Δ14, site of the 14-base deletion in α1/MPO-Δ14 construct. 1, observed normal splicing. 2, expected splicing. GT, alternative donor splice-site. gt and ag, normal splicing sites.
α-globin/MPO gene construct. Genomic MPO region between exon 9 and exon 10 from MP and a normal subject cloned into exon 3 of α-globin gene in vector pSVEDα1W (BstEII, cloning site). □, α-globin exons; ▪, MPO genes. Continuous lines, introns. Δ14, site of the 14-base deletion in α1/MPO-Δ14 construct. 1, observed normal splicing. 2, expected splicing. GT, alternative donor splice-site. gt and ag, normal splicing sites.
DISCUSSION
In this study the molecular basis of hereditary MPO deficiency in a family composed of father, mother, and daughter was investigated. The cytochemical, spectroscopic, and biochemical analyses of mature neutrophil granulocytes showed the absence of peroxidase activity, associated with the lack of the absorption spectrum typical of MPO, in the father and in the daughter, while the mother was partially MPO deficient. These data are consistent with an autosomal recessive pattern of inheritance of the defect. The genetic studies revealed some peculiar features. The MPO gene of the father carried two mutations, located on different alleles: a T to C transition and a 14-base deletion.
The T → C transition causes the nonconservative substitution M251T. M251 in the MPO precursor corresponds to M85 in the mature canine MPO, whose crystallographic analysis was previously carried out.34 If the structure of that MPO is taken as a reference, it emerges that the M251T mutation occurs in a very conserved stretch among all mammalian peroxidases localized in the H2 helix of the core region near the carboxy terminus of the light subunit. Since H2 helix passes over the distal face of the heme (the peroxidase catalytic site) and is included in the heme pocket, the substitution of an apolar amino acid with a polar residue might affect heme orientation, which is a critical event for folding, processing, and stability of the enzyme.35 It should be recognized, however, that M251 is not within 4.5Å of the heme atom34 and is not conserved in the related thyroid peroxidase.36
The sequences of exons 8, 9, 10, and their flanking regions from the father and of all 12 exons and their flanking regions from the mother revealed only the presence of a 14-base deletion in the former, while no mutations were found in the latter. The daughter inherited the Δ14 allele but expressed both the normal mRNA and a 77-base deleted mRNA, which included the 14-base deletion. The finding that the sequence of the genomic region spanning exon 8 to 10 and of the related exon-intron junctions from the mother was normal rules out that a spurious alternative splicing of the maternal allele could have given rise to the 77 bp deletion. Therefore, the only possibility is that this deletion derives from the paternal 14 bp deleted allele. We are certain of the presence of normal MPO mRNA that was amplified, cloned, and sequenced with primers annealing within the deleted sequence, and of the absence of MPO immunoreactive material in MP. One possible explanation might be that an undetected defect in the protein processing pathway is responsible for the absence of MPO in MP. Another possibility might be the existence of a regulatory mutation (for example, in a locus control region), localized beyond the 500 bases upstream of the transcription starting site which were sequenced. Such a mutation, inherited from the mother, might cause the down-regulation of the gene at an early stage of granulocyte differentiation, thus accounting for the absence of MPO in MP and the reduced activity in VP.
Two questions arise from these data: 1) how the 14-base–deleted allele can result in a 77-base–deleted mRNA and 2) why an altered spliced mRNA was found in the daughter but not in her father. With regard to the first question, the sequence exon 8, 9, 10, and their exon-intron junctions showed no other variation than the 14-base deletion in both the father and the daughter. These data excluded the disclosure of a cryptic splice-site due to the presence of other mutations linked to the Δ14 deletion.
Since the use of a new intra-exonic 5′ splice site at position 9935 (Fig 4c) is confirmed by the isolation and sequencing of a Δ77 mRNA, there should be a peculiar splice-determining context that prefers the GGT 9935 to GGT 10012. Because of the great difficulty in studying mRNA processing in liquid cultures of maturing granulocytes and since previous in vitro studies demonstrated stage- and lineage-specific alternative splicing for several genes (for example, fibronectin37 and hox homeobox genes38 ), we attempted to confirm in vitro the use of the new splice site in the processing of the Δ14 mRNA by transfecting α-globin constructs containing either normal or Δ14 genomic alleles in COS, a monkey kidney cell line, and U937, a myelomonocytic cell line biologically more similar to the granulocyte precursors. The result was that only the normal or the Δ14 sized mRNA species were found. This is not surprising because the Senapathy method also (for prediction of new splicing sites)37 39 shows that the score among the original donor splice-site is well above the other possible sites (94.1, original; 60.4, new site; 56, best score the other possible sites).
Our conclusion is that a new splicing context generated by the 14bp deletion at position 9935 is recognized and processed to give the 77bp deletion. This occurs specifically in the granulocyte precursors and not in other cell lines, not even in U937, which exhibits characteristics of the monocyte/macrophage series.
With regard to the second question concerning the altered spliced mRNA found in the daughter but not in the father, initially we looked for mutations in the transcriptional or translational regulatory regions of the gene. However, the MPO TATA-box promoter, the 5′ noncoding region and the poly(A) consensus sequence of the father and of the daughter were found to be normal (data not shown). An explanation for this discrepancy could be offered by the different stages of differentiation of the granulocyte cultures of the father and the daughter. In fact, we observed that promyelocytes were the predominant cells in the daughter's cultures, while myelocytes and metamyelocytes were more numerous in those of the father. Therefore, the possibility emerges of a fine regulation of altered-spliced mRNA degradation affected by the differentiation stage similar to the well-documented cell-lineage dependent decay of mutated mRNA.40 In other words, the presence of a nonsense mRNA might be tolerated in the early stages of neutrophil differentiation while it would be degraded specifically before translational events in the more differentiated precursors. The inability of COS or U937 cells to reproduce the leaky alternative splicing would also indicate that the nature of this event is specific to some stages of neutrophil maturation.
Studies are now in progress to better characterize the hypothesized differentiation-stage degradation of the altered spliced mRNA and to understand why the apparently normal allele is not translated in the daughter. Such studies may have more general implications as to the mechanisms of transcription/translation control in granulocyte precursors.
Supported by grants from the Italian Ministry of the University and Scientific and Technologic Research (40% and 60%) and the National Research Council of Italy (CNR, 96.03708.CT14).
Address reprint requests to Francisco E. Baralle, MD, International Centre for Genetic Engineering and Biotechnology (ICGEB), Padriciano 99, I-34012, Trieste, Italy.






This feature is available to Subscribers Only
Sign In or Create an Account Close Modal