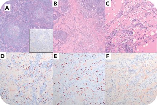
A 30-year-old HIV-positive man, noncompliant with highly active antiretroviral therapy, presented with fever, chills, night sweats, and lymphadenopathy. Physical examination was otherwise unremarkable. Positron emission tomography/computed tomography revealed generalized lymphadenopathy (maximum standardized uptake value = 11.6); no extranodal lesions were detected. Laboratory abnormalities included low CD4 count (141 cells/μL) and elevated human herpesvirus 8 (HHV-8) viral load (21 200 copies/mL). An axillary lymph node biopsy showed follicular hyperplasia, fusion/twinning of germinal centers, depletion of germinal center cells, hyalinized penetrating blood vessels, and mantle zone hyperplasia (panel A: hematoxylin and eosin [H&E] stain, 4× lens objective). Scattered plasmablasts (MUM1 positive, CD138 negative, EBER positive, λ positive, immunoglobulin M positive) were seen within the mantle zones (panel A inset: HHV-8/LANA positive, 20× lens objective). A small focus (≈4 mm) of thin-walled, dilated lymphatic spaces with intraluminal proteinaceous material was observed in a single histologic section, lined by bland, flattened endothelial cells (panels B, C, and C inset: H&E stain, 4×, 40×, and 100× lens objectives, respectively), which expressed CD31, CD34, HHV-8/latency-associated nuclear antigen (panel D: 40× lens objective); ERG (panel E: 40× lens objective); and D2-40 (panel F: 40× lens objective). Findings were diagnostic of Kaposi sarcoma herpesvirus (KSHV)/HHV-8–associated multicentric Castleman disease and nodal Kaposi sarcoma (KS), exhibiting a lymphangiectatic pattern.
Although the presence of KS in patients with KSHV/HHV-8–associated multicentric Castleman disease is well recognized, especially in HIV-positive individuals, nodal KS, in the absence of skin/visceral involvement, is uncommon. Among the histopathologic variants of KS, the lymphangiectatic pattern is rare, and is usually encountered at cutaneous or mucosal sites.
For additional images, visit the ASH Image Bank, a reference and teaching tool that is continually updated with new atlas and case study images. For more information, visit https://imagebank.hematology.org.

This feature is available to Subscribers Only
Sign In or Create an Account Close Modal