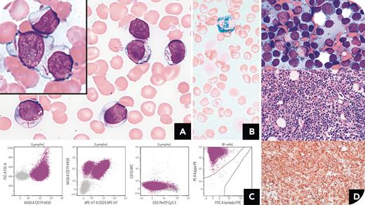
A 78-year-old man with a history of classic Hodgkin and marginal zone lymphomas (in remission after ABVD [doxorubicin (Adriamycin), bleomycin, vinblastine, and dacarbazine] and CVP [cyclophosphamide, vincristine, and prednisone]) was found to have a white blood cell count of 93 000 × 109/L. An automated hematology analyzer flagged his blood, and a medical technologist reviewed the smear, noting “Auer rods.” Concerned for therapy-related myeloid neoplasm, a blood smear was sent to hematopathology, showing numerous cells with immature blastlike chromatin, prominent nucleoli, and multiple Auer rod–like inclusions (panel A: Wright-Giemsa stain; ×1000 original magnification including inset). A cytochemical myeloperoxidase (MPO) stain was performed to evaluate for true Auer rods (fused primary granules), which would indicate acute myeloid leukemia, but was negative (panel B: MPO stain; ×1000 original magnification). Flow cytometry on blood revealed κ-monotypic B cells (panel C: positive for CD19, CD20, and κ immunoglobulin and negative for CD5 and CD10). They had mature levels of CD45 and lacked CD34. Overall, these findings were compatible with relapsed B-cell lymphoma with Auer rod–like inclusions, presumably composed of immunoglobulin. A subsequent bone marrow biopsy showed characteristic marginal zone lymphoma morphology (panel D: top, touch imprint, Wright-Giemsa stain, ×1000 original magnification; middle, trephine biopsy, hematoxylin and eosin, ×500 original magnification; bottom, trephine biopsy, CD20× immunohistochemistry, ×500 original magnification).
This case demonstrates that Auer rod mimics arise in other hematolymphoid neoplasms, including B-cell lymphomas, and diagnosing true Auer rods should be done with caution and in correlation with the clinical picture and immunophenotype.
For additional images, visit the ASH Image Bank, a reference and teaching tool that is continually updated with new atlas and case study images. For more information, visit https://imagebank.hematology.org.

This feature is available to Subscribers Only
Sign In or Create an Account Close Modal