On page 1515, there is an assembly error in Figure 1A. The wrong actin loading control was inserted in the leftmost subpanel during figure assembly. The original film has been located, and a replacement subpanel has been created from the original film. The corrected Figure 1 is shown below. This image assembly error does not affect the major conclusions of the study.
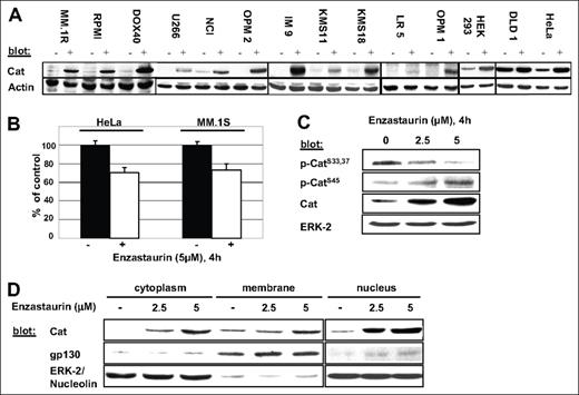
Enzastaurin triggers β-catenin accumulation in MM and other tumor cells by inhibiting its degradation. (A-C) Indicated cell lines were treated with enzastaurin for 4 hours and subjected either to cell lysis (A,C) followed by immunoblotting with indicated antibodies or RNA extraction (B) followed by specific quantitative real-time PCR for β-catenin. (D) MM.1S cells were exposed to the indicated concentrations of enzastaurin for 4 hours followed by cell fractionation. Immunoblots were probed with the indicated antibodies.
Enzastaurin triggers β-catenin accumulation in MM and other tumor cells by inhibiting its degradation. (A-C) Indicated cell lines were treated with enzastaurin for 4 hours and subjected either to cell lysis (A,C) followed by immunoblotting with indicated antibodies or RNA extraction (B) followed by specific quantitative real-time PCR for β-catenin. (D) MM.1S cells were exposed to the indicated concentrations of enzastaurin for 4 hours followed by cell fractionation. Immunoblots were probed with the indicated antibodies.

This feature is available to Subscribers Only
Sign In or Create an Account Close Modal