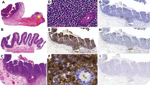
A 70-year-old White man presented with an acute abdomen without associated lymphadenopathies or other abnormalities. Examination of a surgically resected small intestinal fragment with evidence of perforation (panel A, hematoxylin and eosin [H&E] stain, yellow arrow, 2× lens objective) revealed a diffuse dense transmural epitheliotropic neoplastic infiltrate (panel B, H&E stain, 2× lens objective) with distortion of the villi (panel C, H&E stain, 10× lens objective), composed of small to medium sized monotonous lymphocytes with irregular nuclei and dispersed chromatin (panel D, H&E stain, 60× lens objective). No evidence of celiac disease was detected in uninvolved villi. The neoplastic cells were positive for CD2, CD3, CD4 (panel E, CD4, 10× lens objective; panel F, CD4, 60× lens objective), CD7, granzyme B, TIA, and CD56 but completely negative for CD5 and CD8 (panel G, CD8, 10× lens objective) expression. The neoplastic cells were also strongly positive for T-cell receptor (TCR) β F1 (panel H, TCR βF1, 10× lens objective) expression but negative for TCR δ (panel I, TCR δ, 10× lens objective), TCL1, CD30, Epstein-Barr encoding region expression, and T-follicular helper marker expression. The constellation of the morphologic and phenotypic features was diagnostic of monomorphic epitheliotropic intestinal T-cell lymphoma (MEITL).
The classic phenotype in MEITL is characterized by CD8 positivity and CD4 negativity. However, CD4 expression has been rarely reported and seems to be an underemphasized feature in MEITL. Knowledge of this rare variant is key to make an accurate diagnosis, after ruling out other CD4+ T-cell lymphoma subtypes.
For additional images, visit the ASH Image Bank, a reference and teaching tool that is continually updated with new atlas and case study images. For more information, visit https://imagebank.hematology.org.

This feature is available to Subscribers Only
Sign In or Create an Account Close Modal