Abstract
Background
Primary CNS lymphoma (PCNSL) is an aggressive form of extranodal non-Hodgkin lymphoma that arises in the brain parenchyma, eyes, meninges, or spinal cord in the absence of systemic disease. Primary dural lymphoma (PDL) arises from the dura mater of the brain. It differs biologically from other CNS lymphomas. It is usually a low-grade B-cell marginal zone lymphoma (MZL), whereas other types of PCNSL are usually high-grade large B-cell lymphoma. This specific pathological subtype has important therapeutic and prognostic implications, making PDL a distinct subtype of PCNSL. Herein, we report a case of PDL in an African American patient who was treated with bendamustine and rituximab.
Case Presentation
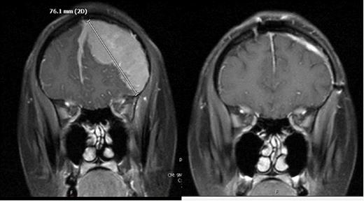
A 38-year-old African American female patient presented with chronic intermittent headaches. MRI of the brain showed a dural-based homogeneously enhancing extra-axial mass along the left hemisphere with extension to the anterior interhemispheric falx and anterior right frontal lobe measuring up to 11 cm. This was found to have a significant mass effect and 1-2 cm left-to-right midline shift on the underlying brain parenchyma with vasogenic edema. The patient underwent an emergent craniotomy and debulking of the mass. The tumor was contained within the anterior and parietal dural matter. The malignant cells stained diffusely positive for CD19, CD20, and CD22 but negative for CD5, CD10, Cyclin D1, and CD56. Ki67 was 10-20%, consistent with extranodal marginal zone lymphoma. Given the location and pathology, the patient was diagnosed with PDL. She was started on treatment with bendamustine and rituximab. She completed six cycles, and post-therapy MRI brain showed complete remission. She continues to do well two years after finishing treatment.
Discussion
The Dura mater is devoid of lymphoid tissue; however, it is hypothesized that chronic inflammation of the dura due to chronic infection or autoimmune disorder may attract polyclonal lymphocytes from which monoclonal lymphoma could arise. PDL has not been definitively associated with any infectious or autoimmune disease, but patients with hepatitis C, scleroderma, Graves' disease, and Sjogren disease have been reported. Developmentally, the dura originates from the mesoderm. In contrast, the CNS originates from the ectoderm, which leads to the presence of the dura outside the blood-brain barrier and is easily exposed to systemic therapies. So, HDMTX regimens are excessive for PDL, where MZL is the most common pathology. Because of this and the known efficacy of bendamustine-rituximab in extranodal MZL, we decided to treat our patient with this regimen. Tsutsumi et al. reported 2 cases of dural MZL that were treated successfully with bendamustine-rituximab. However, those two cases also had evidence of systemic disease, not only dural disease like our patient. Because of its indolent pathology, surgery and/or radiation have also been used as treatment modalities, although complete resection of dural lymphomas can be technically difficult
Conclusion
Our case adds to the sparse literature about primary dural lymphoma. It emphasizes the importance of recognizing it as a separate entity from parenchymal PCNSL, an aggressive disease with a poor prognosis. Surgery, radiation, and/or chemoimmunotherapy used for other extranodal MZL are appropriate treatments for PDL.
Disclosures
Khan:Roche: Honoraria; Abbvie: Honoraria; Pharmacyclics: Honoraria; GSK: Honoraria; Karyopharm: Honoraria; Janssen: Honoraria; AstraZeneca: Honoraria; Beigene: Honoraria; Morphosys: Honoraria; Incyte: Honoraria; Sanofi: Honoraria; BMS: Honoraria.
Author notes
Asterisk with author names denotes non-ASH members.

This feature is available to Subscribers Only
Sign In or Create an Account Close Modal