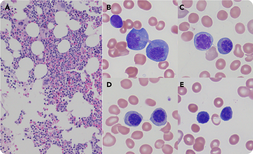
A 4-year-old boy presented with congenital cleft palate as part of Pierre-Robin sequence, cutis aplasia, hypoplastic distally set first digits, as well as syndactyly of his second and third digits. Bone marrow (BM) biopsy showed slight hypocellularity for age with trilineage hematopoiesis and decreased myeloid-to-erythroid ratio (panel A; original magnification ×100; hematoxylin and eosin stain). BM smears showed frequent nuclear bridging in erythroblasts at different maturation stages (panels B-E; original magnification ×1000; Wright-Giemsa stain). No overt dyspoiesis was seen in granulocytic linage and megakaryocytes. Chromosome analysis showed spontaneous chromatid breakage. Fluorescence in situ hybridization analysis for myelodysplastic syndrome (MDS) panel was negative. He was diagnosed with Fanconi anemia (FA) when genetic testing of his BM revealed a familial homozygous pathogenic FANCG variant c.1642C>T (p.R548*). Microarray analysis was unremarkable. The protein transcribed from FANCG is 1 of 8 involved in the FA core complex that attracts repair proteins to damaged DNA.
The internuclear bridging of erythroid precursors is a morphologic feature of congenital dyserythropoietic anemia and MDS. This case demonstrates that internuclear bridging can also occur in the FANCG variant of FA, a BM failure syndrome with increased risk of MDS and myeloid leukemia. The presence of internuclear bridging alone in FA should not be interpreted as the development of MDS.
A 4-year-old boy presented with congenital cleft palate as part of Pierre-Robin sequence, cutis aplasia, hypoplastic distally set first digits, as well as syndactyly of his second and third digits. Bone marrow (BM) biopsy showed slight hypocellularity for age with trilineage hematopoiesis and decreased myeloid-to-erythroid ratio (panel A; original magnification ×100; hematoxylin and eosin stain). BM smears showed frequent nuclear bridging in erythroblasts at different maturation stages (panels B-E; original magnification ×1000; Wright-Giemsa stain). No overt dyspoiesis was seen in granulocytic linage and megakaryocytes. Chromosome analysis showed spontaneous chromatid breakage. Fluorescence in situ hybridization analysis for myelodysplastic syndrome (MDS) panel was negative. He was diagnosed with Fanconi anemia (FA) when genetic testing of his BM revealed a familial homozygous pathogenic FANCG variant c.1642C>T (p.R548*). Microarray analysis was unremarkable. The protein transcribed from FANCG is 1 of 8 involved in the FA core complex that attracts repair proteins to damaged DNA.
The internuclear bridging of erythroid precursors is a morphologic feature of congenital dyserythropoietic anemia and MDS. This case demonstrates that internuclear bridging can also occur in the FANCG variant of FA, a BM failure syndrome with increased risk of MDS and myeloid leukemia. The presence of internuclear bridging alone in FA should not be interpreted as the development of MDS.
For additional images, visit the ASH Image Bank, a reference and teaching tool that is continually updated with new atlas and case study images. For more information, visit http://imagebank.hematology.org

This feature is available to Subscribers Only
Sign In or Create an Account Close Modal