Key Points
Targeted mutations of amino acid residues involved in FXIII-A subunit interactions affect FXIII-A expression and activity.
Eight amino acid residues forming 4 intersubunit interactions were identified that may be essential for FXIII-A2 dimer stability.
Abstract
Coagulation factor XIII (FXIII) is the main stabilizer of the fibrin clot. It circulates in plasma as a tetramer of two A-subunits and two B-subunits. Under physiological conditions, FXIII-A exists as a dimer (FXIII-A2). The interactions between the FXIII-A-subunits that stabilize the FXIII-A2 dimer are not fully understood. We therefore designed a systematic approach to identify amino acid residues crucial for the expression and stability of FXIII-A2. Based on the available FXIII-A2 crystal structure, we identified 12 amino acid residues forming intersubunit salt bridges and 21 amino acid residues forming hydrogen bonds between the two A-subunits. We chose 10 amino acid residues that form 5 particularly strong interactions, performed site-directed mutagenesis, and expressed the mutants in CHO cells. Disruption of these interactions by single mutation of Lys257, Lys113, Asp343, Glu401, or Asp404 abolished the expression of properly folded, soluble, and functional FXIII-A in CHO cells. On the contrary, mutation of Glu111, Arg100, or Asn112 had no significant effect on FXIII-A expression. Our results suggest that 4 intersubunit interactions (Arg11-Asp343, Lys113-Asp367, Lys257-Glu401, and Arg260-Asp404) are essential for the stability of FXIII-A2. Our findings are supported by reported mutations at Lys257, Arg260, and Asp404 found in patients with congenital FXIII-A deficiency.
Introduction
Coagulation factor XIII (FXIII) keeps blood clots stable by crosslinking fibrin polymers and protecting fibrin clots from fibrinolytic degradation. It is essential to form a stabilized clot during coagulation to stop bleeding. Deficiency of FXIII causes bleeding manifestations, including potentially life-threatening intracranial bleeding.1 FXIII-A is a pro-transglutaminase in a transglutaminase (TG) family of 9 proteins. Eight members of the family can exist as monomers, including TG1-TG7 and human erythrocyte membrane protein band 4.2, whereas FXIII-A only exists as a dimer in vivo.2,3 Plasma FXIII circulates in plasma as a heterotetramer (FXIII-A2B2) of 2 catalytic A-subunits (FXIII-A) and 2 carrier/regulatory B-subunits (FXIII-B).4 The catalytic A-subunit contains the TG-active site (Cys314) and is the functional subunit of FXIII.2 The B-subunit is a carrier protein that stabilizes FXIII-A2 in plasma.5 Cellular FXIII is a homodimer of 2 catalytic A-subunits (FXIII-A2) present in the cytoplasm of certain cells. No nonactivated monomeric FXIII-A is found in vivo.2,5
FXIII-A consists of 731 amino acids, without the initiator methionine, and has 5 structural domains: activation peptide (amino acids 1-37), β-sandwich (amino acids 38-184), core domain (amino acids 185-515), β-barrel 1 (amino acids 516-628), and β-barrel 2 (amino acids 629-731). Two identical FXIII-A-subunits assemble the dimer (FXIII-A2).5 Because there is no covalent bond between 2 FXIII-A-subunits, dimer formation is ensured by noncovalent interactions, including salt bridges, hydrogen bonds (H-bonds), hydrophobic interactions, and van der Waals forces. The salt bridge is the strongest interaction among the noncovalent interactions.6,7 A salt bridge is the interaction between 2 ionized molecules (also called ion pairs), defined as a bond formed by an acid and a base with close donor–acceptor pKa matching.8 In proteins, salt bridges occur between amino acids with opposite full-electron charges and are in fact a combination of 2 noncovalent interactions, ionic and hydrogen bonding. A salt bridge is generally considered to exist when the distance between centers of charge is <4 Å.9 The H-bond is another important interaction that maintains protein structure and protein folding. The binding strength of H-bonds is weaker than salt bridges but stronger than van der Waals forces.6 The distance between H-bond donor and acceptor is generally considered between 1.6 and 2.5 Å.10 In protein–ligand complexes, H-bonds were inferred when the distance was <3.5 Å.11 Compared with van der Waals forces, salt bridges and H-bonds are strong noncovalent interactions6 that could make important contributions to FXIII-A2 dimer formation.
The dimer formation is crucial for the stability of FXIII-A2, as 2 previous case reports on patients with congenital FXIII-A deficiency showed that impaired dimer formation makes FXIII unstable. In these case reports, the FXIII-A Arg260Cys and Tyr283Cys mutations were associated with impaired dimer assembly and decreased stability of mutant FXIII-A2.12,13 Our group has previously investigated the function of the activation peptide in stabilization of FXIII-A2. Our findings suggested that the amino acid sequence from Phe8 to Arg12 plays a crucial role in intersubunit interactions in the FXIII-A2 dimer.14 The aforementioned studies provided useful but limited information about the interactions that keep FXIII-A2 stable. The FXIII three-dimensional structure has been studied for many years, but the amino acid sequences or individual amino acid residues crucial for the integrity of the FXIII molecule, including FXIII-A2 dimer formation, are still not well understood.
We therefore undertook a systematic approach that used in silico analysis of the FXIII-A2 crystal structure to identify potentially crucial amino acid residues within the FXIII-A2 dimer interface and designed their mutations. This analysis was followed by single-site–directed mutagenesis and cell expression studies to confirm which amino acid residues are vital for expression and stability of the FXIII-A protein.
Methods
Computer analysis methods and design of mutations
We used the FXIII-A2 crystal structure 1F13.pdb15 obtained from the Protein Data Bank in Europe and the PISA (Proteins, Interfaces, Structures and Assemblies) server (http://www.ebi.ac.uk/pdbe/pisa/) to identify the amino acid residues forming intersubunit salt bridges and H-bonds at the interface between two A-subunits. The identified amino acid residues were further visualized by using Swiss-PdbViewer16 (https://spdbv.vital-it.ch/), and the salt bridges and H-bonds were evaluated according to the distance and position between donor and acceptor atoms.
To investigate the effects of the identified amino acid residues on the stability of FXIII-A2, mutations were designed by using Swiss-PdbViewer. Principally, we changed the amino acid residues with charged side chains to amino acid residues without charge but of similar size; this action disrupted the electrostatic interactions without inducing significant steric changes so that the conformation should not significantly change after mutation.
For Lys257, two mutations, Lys257Glu and Lys257Leu, were designed. The Lys257Glu mutation was identified in a FXIII-deficient patient17 but not further characterized in vitro; we therefore decided to express this mutation as well. Mutation of lysine, a polar amino acid with positive charge, into glutamic acid, a polar amino acid with negative charge, is expected to disrupt the interaction of Lys257-Glu401 by repelling electric forces, which could significantly influence the conformation of FXIII-A2. Hence, for this study, we designed another mutation, Lys257Leu. Leucine is a nonpolar amino acid that would not support salt bridge or H-bond formation with the opposite A-subunit. Because its structure and molecular weight (131.17 g/mol) are similar to those of lysine (146.19 g/mol), we would not expect this mutation to significantly alter the conformation of FXIII-A.
For Arg100, two mutations, Arg100Gln and Arg100Leu, were also designed. Arginine is a polar amino acid with positive charge. With the 2 mutations, we aimed at testing its replacement by another polar (glutamine) and by a nonpolar (leucine) amino acid.
Similar considerations were applied in the design of the following mutations: Glu111Leu, Asn112Val, Lys113Leu, Asp343Val, Glu401Leu, and Asp404Val. According to visualization in PdbViewer, all these mutations were expected to disrupt the salt bridge and/or H-bond interactions between the two A-subunits, with no major conformational changes within the FXIII-A monomers.
Wild-type and mutant F13A expression plasmids
We used the pcDNA5/FRT expression plasmid containing the human wild-type F13A complementary DNA sequence (pcDNA5/FRT-WT-F13A) that we had cloned previously.14 The mutant F13A expression plasmids were constructed by site-directed mutagenesis of the wild-type expression plasmid with the GeneArt Site-Directed Mutagenesis PLUS Kit (Thermo Fisher Scientific, Waltham, MA). The mutagenic primers were designed by using the web-based GeneArt Primer and Construct Design Tool (http://www.thermofisher.com/order/oligoDesigner). The primers are listed in Table 1.
Primers for site-directed mutagenesis of the wild-type expression plasmid (pcDNA5/FRT-WT-F13A)
| Mutation . | Sequence 5′→ 3′ . |
|---|---|
| Arg100Leu | Forward primer: 5′- AGAAGGGATCTCTTCCTGGTGGAATACGTCAT −3′ |
| Reverse primer: 5′- ATGACGTATTCCACCAGGAAGAGATCCCTTCT −3′ | |
| Arg100Gln | Forward primer: 5′- AGAAGGGATCTCTTCCAGGTGGAATACGTCAT −3′ |
| Reverse primer: 5′- ATGACGTATTCCACCTGGAAGAGATCCCTTCT −3′ | |
| Glu111Leu | Forward primer: 5′-GGTCGCTACCCACAGCTGAACAAGGGAACCTA-3′ |
| Reverse primer: 5′- TAGGTTCCCTTGTTCAGCTGTGGGTAGCGACC-3′ | |
| Asn112Val | Forward primer: 5′- CGCTACCCACAGGAGGTCAAGGGAACCTACAT −3′ |
| Reverse primer: 5′- ATGTAGGTTCCCTTGACCTCCTGTGGGTAGCG −3′ | |
| Lys113Leu | Forward primer: 5′- TACCCACAGGAGAACCTGGGAACCTACATCCC −3′ |
| Reverse primer: 5′- GGGATGTAGGTTCCCAGGTTCTCCTGTGGGTA −3′ | |
| Lys257Leu | Forward primer: 5′- AGAGGGAATCCCATCCTAGTCAGCCGTGTGGG −3′ |
| Reverse primer: 5′- CCCACACGGCTGACTAGGATGGGATTCCCTCT −3′ | |
| Lys257Glu | Forward primer: 5′- AGAGGGAATCCCATCGAAGTCAGCCGTGTGG −3′ |
| Reverse primer: 5′- CCACACGGCTGACTTCGATGGGATTCCCTCT −3′ | |
| Asp343Val | Forward primer: 5′- ATTTCTCTGCCCATGTTAATGATGCCAATTT −3′ |
| Reverse primer: 5′- AAATTGGCATCATTAACATGGGCAGAGAAAT −3′ | |
| Glu401Leu | Forward primer: 5′- GACAGCACCCCCCAGCTAAATAGCGATGGCAT −3′ |
| Reverse primer: 5′- ATGCCATCGCTATTTAGCTGGGGGGTGCTGTC −3′ | |
| Asp404Val | Forward primer: 5′- CCCAGGAAAATAGCGTTGGCATGTATCGGTG −3′ |
| Reverse primer: 5′- CACCGATACATGCCAACGCTATTTTCCTGGG −3′ |
| Mutation . | Sequence 5′→ 3′ . |
|---|---|
| Arg100Leu | Forward primer: 5′- AGAAGGGATCTCTTCCTGGTGGAATACGTCAT −3′ |
| Reverse primer: 5′- ATGACGTATTCCACCAGGAAGAGATCCCTTCT −3′ | |
| Arg100Gln | Forward primer: 5′- AGAAGGGATCTCTTCCAGGTGGAATACGTCAT −3′ |
| Reverse primer: 5′- ATGACGTATTCCACCTGGAAGAGATCCCTTCT −3′ | |
| Glu111Leu | Forward primer: 5′-GGTCGCTACCCACAGCTGAACAAGGGAACCTA-3′ |
| Reverse primer: 5′- TAGGTTCCCTTGTTCAGCTGTGGGTAGCGACC-3′ | |
| Asn112Val | Forward primer: 5′- CGCTACCCACAGGAGGTCAAGGGAACCTACAT −3′ |
| Reverse primer: 5′- ATGTAGGTTCCCTTGACCTCCTGTGGGTAGCG −3′ | |
| Lys113Leu | Forward primer: 5′- TACCCACAGGAGAACCTGGGAACCTACATCCC −3′ |
| Reverse primer: 5′- GGGATGTAGGTTCCCAGGTTCTCCTGTGGGTA −3′ | |
| Lys257Leu | Forward primer: 5′- AGAGGGAATCCCATCCTAGTCAGCCGTGTGGG −3′ |
| Reverse primer: 5′- CCCACACGGCTGACTAGGATGGGATTCCCTCT −3′ | |
| Lys257Glu | Forward primer: 5′- AGAGGGAATCCCATCGAAGTCAGCCGTGTGG −3′ |
| Reverse primer: 5′- CCACACGGCTGACTTCGATGGGATTCCCTCT −3′ | |
| Asp343Val | Forward primer: 5′- ATTTCTCTGCCCATGTTAATGATGCCAATTT −3′ |
| Reverse primer: 5′- AAATTGGCATCATTAACATGGGCAGAGAAAT −3′ | |
| Glu401Leu | Forward primer: 5′- GACAGCACCCCCCAGCTAAATAGCGATGGCAT −3′ |
| Reverse primer: 5′- ATGCCATCGCTATTTAGCTGGGGGGTGCTGTC −3′ | |
| Asp404Val | Forward primer: 5′- CCCAGGAAAATAGCGTTGGCATGTATCGGTG −3′ |
| Reverse primer: 5′- CACCGATACATGCCAACGCTATTTTCCTGGG −3′ |
The mutated codons are underlined.
The mutagenesis reaction was performed according to the manufacturer’s instruction by using One Shot MAX Efficiency DH5α-T1R Competent Cells (Thermo Fisher Scientific). The plasmids were purified by using the PureLink HiPure Plasmid Midiprep Kit (Thermo Fisher Scientific) and then the sequencing service by Microsynth AG (Balgach, Switzerland) with standard CMV Forward and BGH Reverse primers. The plasmids with correct sequences were chosen for transfection.
Stable expression of wild-type and mutant FXIII-A proteins
We co-transfected Flp-In Chinese hamster ovary (CHO) cells (Thermo Fisher Scientific) with the pOG44 plasmid encoding a specific recombinase and one of our expression plasmids (wild-type FXIII-A or mutant FXIII-A plasmids) using Lipofectamine 3000 Transfection Reagent (Thermo Fisher Scientific) according to the manufacturer’s protocol. The transfected cells were cultured with 600 μg/mL of hygromycin (Thermo Fisher Scientific) for selection. After culture for 3 weeks, stable cell lines for FXIII-A expression were obtained. Cell lysates were prepared (as described later) and stored frozen until further analysis.
Analysis of wild-type and mutant FXIII-A proteins
Enzyme-linked immunosorbent assay (ELISA), western blotting, and a FXIII activity assay were used to analyze the cell lysates as previously described.18 Cell lysates from untransfected cells were used as negative control.
For ELISA, the cells were lysed in a nondenaturing buffer (140 mM NaCl, 10 mM HEPES, pH 7.4, 1% Triton X-100, containing protease inhibitor cocktail without EDTA; Pierce, Thermo Fisher Scientific). The cell lysates were diluted 1:50, 1:100, and 1:200 in Tris-buffered saline (140 mM NaCl, 40 mM Tris, pH 7.4) containing 0.1% bovine serum albumin. The assay was performed according to the protocol previously published.19 The standard curve was obtained with serial dilutions of recombinant FXIII-A2 (Zedira GmbH, Darmstadt, Germany). The total protein concentration of the cell lysates was measured by using the Pierce BCA Protein Assay Kit (Thermo Fisher Scientific) according to the manufacturer’s protocol, and the FXIII-A expression per 100 µg of total protein was calculated.
For western blotting, the cells were lysed directly in 1X SDS-Laemmli sample buffer (Bio-Rad, Hercules, CA) (∼200 μL/106 cells). Proteins were separated by electrophoresis on Bolt 8% Bis-Tris Plus Gels (Thermo Fisher Scientific) with 1X Bolt MES SDS Running Buffer (Thermo Fisher Scientific) and transferred onto an Immun-Blot PVDF Membrane (Bio-Rad) with 1X Bolt Transfer Buffer (Thermo Fisher Scientific). We incubated the membrane for 3 hours at room temperature with a primary rabbit monoclonal anti–FXIII-A antibody (ab179444; Abcam, Cambridge, UK) diluted 1:2000, followed by incubation with a horseradish peroxidase–conjugated goat anti-rabbit secondary antibody (31460; Thermo Fisher Scientific) diluted 1:10 000, and development with the WesternBright Quantum HRP chemiluminescent substrate (Advansta, Menlo Park, CA). Finally, the membrane was visualized with a Fusion Solo S imaging system (Vilber, Marne-la-Vallée, France).
FXIII TG activity of wild-type and FXIII-A mutants was measured by using a biotin incorporation assay as previously described.18,20 Briefly, cell lysates containing 12 ng of wild-type or mutant FXIII-A, diluted in Tris-buffered saline (40 mM Tris, 140 mM NaCl, pH 7.4), were loaded onto the fibrinogen-coated plate, and the reaction mix containing thrombin, calcium, and the FXIII substrate biotin-pentylamine was added. The reactions were stopped with EDTA at different time points (3, 10, 20, 30, and 40 minutes), and incorporated biotin-pentylamine was detected via alkaline phosphatase–labeled streptavidin. The assay was performed in duplicate in 3 separate experiments, using 2 different cell lysates from 2 separate expression experiments. We calculated the initial slopes of the activity over time curves for the time intervals of 3 to 10 minutes and 3 to 20 minutes as change of optical density per minute and compared the FXIII-A variants with the wild-type using a Student t test (IBM SPSS Statistics, version 26.0; IBM Corporation, Armonk, NY).
Results
In silico analysis of the FXIII-A2 crystal structure suggests 10 amino acid residues that form 5 particularly strong interactions between two A-subunits
In a first step, our aim was to identify in silico the amino acid residues that may be crucial for FXIII-A2 dimer formation. Twelve amino acid residues forming salt bridges and 21 amino acid residues forming H-bonds were identified; among them, 10 are involved in both salt bridge and H-bond formation (Figure 1). Therefore, we speculated that these 10 amino acid residues form the following 5 particularly strong interactions between the two A-subunits: Arg11-Asp343, Glu111-His450, Lys113-Asp367, Lys257-Glu401, and Arg260-Asp404. As an estimate of the strength21 of these 5 interactions, the distance between donor and acceptor atoms was measured (Table 2).
Amino acid residues of the FXIII-A2intersubunit interface involved in intersubunit interactions. Amino acid residues of the FXIII-A monomer shown as yellow ribbon are depicted against the gray space–filled model of the opposite FXIII-A monomer. Ten amino acid residues are involved in salt bridge and H-bond formation and suggested to form 5 particularly strong interactions (highlighted in the orange box) between the two A-subunits.
Amino acid residues of the FXIII-A2intersubunit interface involved in intersubunit interactions. Amino acid residues of the FXIII-A monomer shown as yellow ribbon are depicted against the gray space–filled model of the opposite FXIII-A monomer. Ten amino acid residues are involved in salt bridge and H-bond formation and suggested to form 5 particularly strong interactions (highlighted in the orange box) between the two A-subunits.
The distance between donor and acceptor atoms of the amino acid residues involved in 5 particularly strong interactions
| Amino acid interaction . | Interacting residues and atoms . | Distance (Å) . |
|---|---|---|
| Lys257-Glu401 | Lys257[NZ]-Glu401[OE1] | 2.56 |
| Arg11-Asp343 | Arg11[NH1]-Asp343[OD2] | 2.58 |
| Arg11[NH2]-Asp343[OD1] | 2.98 | |
| Arg260-Asp404 | Arg260[NE]-Asp404[OD1] | 2.71 |
| Arg260[NH2]-Asp404[OD2] | 3.24 | |
| Lys113-Asp367 | Lys113[NZ]-Asp367 [OD1] | 3.05 |
| Glu111-His450 | Glu111[OE1]-His450[NE2] | 3.26 |
| Amino acid interaction . | Interacting residues and atoms . | Distance (Å) . |
|---|---|---|
| Lys257-Glu401 | Lys257[NZ]-Glu401[OE1] | 2.56 |
| Arg11-Asp343 | Arg11[NH1]-Asp343[OD2] | 2.58 |
| Arg11[NH2]-Asp343[OD1] | 2.98 | |
| Arg260-Asp404 | Arg260[NE]-Asp404[OD1] | 2.71 |
| Arg260[NH2]-Asp404[OD2] | 3.24 | |
| Lys113-Asp367 | Lys113[NZ]-Asp367 [OD1] | 3.05 |
| Glu111-His450 | Glu111[OE1]-His450[NE2] | 3.26 |
The 10 amino acid residues are localized along the interface between the two A-subunits and can be divided into 3 groups according to the protein domains involved (Figure 2). The first group maintains interactions between β-sandwich domain and core domain and comprises Glu111 and Lys113. Together with Asn112 and Arg100, which are only involved in H-bond formation, these 4 amino acid residues of the β-sandwich domain of one monomer interact with Asp447, His450, Asp351, and Asp367 in the core domain of the opposite monomer. The second group of amino acid residues maintains interactions between the 2 core domains of opposite FXIII-A monomers. This group comprises Arg260 and Lys257, which interact with Asp404 and Glu401, respectively, in the core domain of the opposite A-subunit. The third group maintains interactions between core domain and activation peptide and comprises Asp343 of the core domain that interacts with Arg11 and Arg12 of the opposite activation peptide. From this in silico analysis, we concluded that these 3 groups of amino acid residues are crucial for maintaining the interactions between two A-subunits.
Detailed location of amino acid residues involved in intersubunit interactions. The amino acid residues can be grouped according to their protein domain and mediate interactions (indicated as dashed green lines) between the β-sandwich and core domain, between core domain and core domain, and between the activation peptide and core domain. The protein backbone of the first A-subunit is shown as gray ribbon, and the backbone of the second A-subunit is shown as orange ribbon. The underlined amino acid residues were mutated to disrupt the interactions. The 5 amino acid pairs assumed to form particularly strong interactions are written in bold italic font.
Detailed location of amino acid residues involved in intersubunit interactions. The amino acid residues can be grouped according to their protein domain and mediate interactions (indicated as dashed green lines) between the β-sandwich and core domain, between core domain and core domain, and between the activation peptide and core domain. The protein backbone of the first A-subunit is shown as gray ribbon, and the backbone of the second A-subunit is shown as orange ribbon. The underlined amino acid residues were mutated to disrupt the interactions. The 5 amino acid pairs assumed to form particularly strong interactions are written in bold italic font.
In a second step, we designed mutations of the amino acid residues that are putatively important for maintaining the FXIII-A2 dimeric structure and hence stability. Our aim was to disrupt the interactions by introducing single mutations that do not support the formation of salt bridges and/or H-bonds. At the same time, we took care to choose amino acids of similar size to prevent significant conformational changes due to steric hindrance alone. Of the 5 pairs of amino acid residues forming the 5 strong interactions described earlier, we mutated at least 1 amino acid residue of each pair.
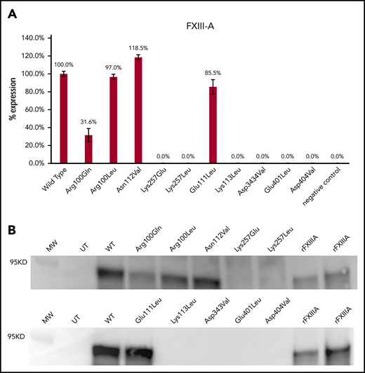
Mutations of 5 amino acid residues abolished the expression of properly folded, soluble FXIII-A in CHO cells
In the next step, the FXIII-A mutants were stably expressed in CHO cells. As shown by the ELISA and western blot results in Figure 3, we were unable to detect the expression of properly folded and soluble FXIII-A in case of mutations at Lys257 (Lys257Glu and Lys257Leu), Lys113Leu, Asp343Val, Glu401Leu, and Asp404Val. The mutants Glu111Leu (86 ± 8%), Asn112Val (118 ± 3%), and Arg100Leu (97 ± 5%) were expressed to a similar extent as the wild-type, whereas Arg100Gln strongly reduced the expression to 32 ± 7%.
Protein expression of FXIII-A variants. (A) ELISA results showing the expression of the FXIII-A variants relative to the wild-type FXIII-A. Data are shown as the mean from 3 experiments with error bars representing standard deviations. (B) Western blot showing the FXIII-A variants detected with a monoclonal anti–FXIII-A antibody. Controls include a molecular weight marker (MW), lysate from untransfected CHO cells (UT) as negative control, lysate from CHO cells transfected with wild-type FXIII-A (WT), and commercially available rFXIII-A (Zedira) as positive control (20 ng and 50 ng loaded).
Protein expression of FXIII-A variants. (A) ELISA results showing the expression of the FXIII-A variants relative to the wild-type FXIII-A. Data are shown as the mean from 3 experiments with error bars representing standard deviations. (B) Western blot showing the FXIII-A variants detected with a monoclonal anti–FXIII-A antibody. Controls include a molecular weight marker (MW), lysate from untransfected CHO cells (UT) as negative control, lysate from CHO cells transfected with wild-type FXIII-A (WT), and commercially available rFXIII-A (Zedira) as positive control (20 ng and 50 ng loaded).
FXIII activity was altered in some FXIII-A variants
Finally, we investigated the activity of the FXIII-A variants by using an incorporation assay. No detectable FXIII-A activity was noted in the mutations at Lys257, Lys113, Asp343, Glu401, and Asp404, which is consistent with the ELISA results. FXIII activity over time of the wild-type and variants that were expressed to a measurable extent (ie, Arg100Gln, Arg100Leu, Glu111Leu, Asn112Val) is shown in Figure 4A. The initial activity rates, calculated as slope of the curves during the first 10 or 20 minutes, are shown in Table 3. When comparing the initial slopes of the wild-type and mutants (Figure 4B), Arg100Gln and Arg100Leu variants exhibited a significantly reduced activity in the first 20 minutes vs the wild-type (P < .001). The Glu111Leu variant, conversely, exhibited a trend toward increased initial activity in the first 10 minutes (P = .067).
FXIII activity measured with an incorporation assay. Upon FXIII activation with thrombin and Ca2+, TG activity was measured for up to 40 minutes. (A) FXIII activity of the wild-type and variants that were expressed to a measurable extent (ie, Arg100Gln, Arg100Leu, Glu111Leu, Asn112Val) is shown as absorbance over time (mean OD values ± standard deviation). The values are from 3 separate experiments. (B) The slopes of the activity curves during the first 10 minutes (red bars) and 20 minutes (blue bars) were calculated as change of optical density per minute (ΔOD/min). Data are depicted as mean ± standard deviation. The asterisk indicates statistical significance (P < .001).
FXIII activity measured with an incorporation assay. Upon FXIII activation with thrombin and Ca2+, TG activity was measured for up to 40 minutes. (A) FXIII activity of the wild-type and variants that were expressed to a measurable extent (ie, Arg100Gln, Arg100Leu, Glu111Leu, Asn112Val) is shown as absorbance over time (mean OD values ± standard deviation). The values are from 3 separate experiments. (B) The slopes of the activity curves during the first 10 minutes (red bars) and 20 minutes (blue bars) were calculated as change of optical density per minute (ΔOD/min). Data are depicted as mean ± standard deviation. The asterisk indicates statistical significance (P < .001).
Initial slopes of the activity-over-time curves
| FXIII-A variant . | Slope 3-10 min, ΔOD/min . | P . | Slope 3-20 min, ΔOD/min . | P . |
|---|---|---|---|---|
| Wild-type | 0.0403 ± 0.0116 | — | 0.0443 ± 0.0051 | — |
| Arg100Gln | 0.0291 ± 0.0239 | n.s. | 0.0207 ± 0.0049 | <.001 |
| Arg100Leu | 0.0249 ± 0.0224 | n.s. | 0.0213 ± 0.0034 | <.001 |
| Glu111Leu | 0.0585 ± 0.0124 | .067 | 0.0457 ± 0.0073 | n.s. |
| Asn112Val | 0.0343 ± 0.0418 | n.s. | 0.0427 ± 0.0081 | n.s. |
| FXIII-A variant . | Slope 3-10 min, ΔOD/min . | P . | Slope 3-20 min, ΔOD/min . | P . |
|---|---|---|---|---|
| Wild-type | 0.0403 ± 0.0116 | — | 0.0443 ± 0.0051 | — |
| Arg100Gln | 0.0291 ± 0.0239 | n.s. | 0.0207 ± 0.0049 | <.001 |
| Arg100Leu | 0.0249 ± 0.0224 | n.s. | 0.0213 ± 0.0034 | <.001 |
| Glu111Leu | 0.0585 ± 0.0124 | .067 | 0.0457 ± 0.0073 | n.s. |
| Asn112Val | 0.0343 ± 0.0418 | n.s. | 0.0427 ± 0.0081 | n.s. |
Data are presented as mean ± standard deviation. The P value describes the comparison with the wild-type tested by using the Student t test.
ΔOD/min, change of optical density per minute; n.s., not significant.
Discussion
It is still not well understood how the FXIII-A2 dimer is held together. There is some anecdotal evidence from patients with congenital FXIII-A deficiency for mutations that disrupted FXIII-A2 dimer formation. A Tyr283Cys mutation identified in a FXIII-deficient patient was expressed in a megakaryoblastic cell line and found solely in monomeric form.13 An Arg260Cys mutation identified in a FXIII-deficient patient was proposed to preclude the ionic interaction (salt bridge) between Arg260 and Asp404 on the opposite A-subunit.22 When this mutant was expressed in yeast, expression levels were significantly reduced, and indeed no FXIII-A2 dimer was detected; however, part of the unstable protein was present in monomeric form.12 An Asp404His mutation was detected in heterozygous form in a FXIII-deficient patient. The protein was not expressed, but molecular modeling predicted disruption of the stabilizing interaction with Arg260 of the opposite A-subunit.23
Although the aforementioned mutations are all located in the core domain of the FXIII-A molecule, our group has shown previously that an Arg11Gln mutation in the activation peptide also abolished FXIII-A expression, possibly by disabling intersubunit interactions.14 We were therefore wondering whether there was a “hot-spot” region within the interface between the two A-subunits of the FXIII-A2 dimer that is of particular importance for intersubunit interactions, or whether individual amino acid residues scattered along the entire interface may be crucial for intersubunit interactions leading to dimer formation and ensuring protein stability.
In the systematic approach reported here, potential candidates of important amino acid residues were identified by analyzing data from the published crystal structure. For confirmation, we expressed FXIII-A variants in which we had mutated the putatively crucial amino acid residues. These results suggest that 4 intersubunit interactions are crucial for expression and stability of FXIII-A: Arg11-Asp343, Lys113-Asp367, Lys257-Glu401, and Arg260-Asp404. These interactions involve the activation peptide (Arg11), the β-sandwich domain (Lys113), and the core domain (Lys257, Arg260, Asp343, Asp367, Glu401, and Asp404). Thus, there is no “hot-spot” region for intersubunit interactions, but amino acid residues that significantly stabilize FXIII-A2 are distributed over the interface and several protein domains. The β-barrel domains have been attributed a role in the enzymatic activity of FXIII by protecting the active site cysteine24 but do not contribute significantly to FXIII-A2 dimer formation.
In the current study, single mutations of Lys113, Lys257, Asp343, Glu401, and Asp404 abolished the expression of FXIII-A. We cannot completely rule out that any misfolded, insoluble, or inactive protein was still expressed. We suggest, however, that the combination of different detection methods (ie, sandwich ELISA with 2 different polyclonal antibodies, sodium dodecyl sulfate polyacrylamide gel electrophoresis followed by western blotting with a monoclonal antibody, and the functional incorporation assay) makes it less likely that we have missed any misfolded, insoluble, or inactive protein. The lack of FXIII-A in patients with Lys257Glu17 and Asp404His23 mutations, as well as several mutations of Arg260,1 supports our findings and attributes clinical relevance to the interactions Lys257-Glu401 and Arg260-Asp404 that occur in close proximity to each other in the core domain.
Asp343 forms a salt bridge with Arg11 in the opposite FXIII-A subunit, and we have shown here and previously14 that mutations of either of these amino acid residues abolish functional FXIII-A expression. In silico analysis of the crystal structure also indicated the possibility that Asp343 forms an ionic interaction with Arg12, with a distance between donor and acceptor residues of 3.29Å. However, the position of these 2 amino acid residues does not support H-bonds, which contribute to strong salt bridges. We therefore concluded that Arg12 and Asp343 do not form a strong salt bridge that stabilizes the FXIII-A2 dimer, supported by our previous finding that an Arg12Gln mutation had no influence on FXIII-A expression.
In the current study, single mutations of Arg100, Glu111, and Asn112 had no deleterious effect on FXIII-A protein expression; only Arg100Gln (but not Arg100Leu) reduced the expression level. We therefore concluded that the intersubunit interactions these amino acids are involved in (Arg100-Asp447, Glu111-His450, and Asn112-Asp367) are not essential for the stability of FXIII-A2. The result for Glu111 was unexpected because a strong interaction of both ionic interaction and H-bond was suggested by the structural analysis. However, the distance between Glu111 and His450 is the longest distance of the 5 interactions we identified as potentially particularly important, which could mean that Glu111-His450 may be in fact the weakest interaction among those 5 interactions. Mutations of Arg100 and Asn112 were predicted to disrupt H-bond interactions with Asp447 and Asp367, respectively, on the opposite A-subunit. However, disruption of a single H-bond interaction may not be enough to prevent intersubunit interactions and dimer formation. Similarly, the loss of the H-bond by the Arg100Gln mutation was not assumed as the reason for the decreased FXIII-A expression we observed. Because the Arg100Leu variant was expressed normally, we speculated that the Arg100Gln mutation may have caused other subtle changes to the structure of FXIII-A. Interestingly, both Arg100 variants displayed reduced FXIII activity, although no conformational changes caused by the mutations were predicted. Possible explanations include stronger subunit interactions or reduced accessibility for thrombin or FXIII substrates.
In the case of the Glu111Leu variant, slightly increased FXIII activity was observed compared with the wild type in the early time interval (3-10 minutes). The difference almost reached statistical significance, suggesting that Glu111Leu may be activated faster than wild-type FXIII-A. We hypothesize that this mutation has a mild weakening effect on intersubunit interactions, which may facilitate the dissociation during activation of FXIII-A. This finding may be in line with a recent study by Anokhin et al,25 who reported new evidence that FXIII activation may involve dissociation of FXIII-A2 into monomers. This action would raise the question of how the postulated strong intersubunit interactions stabilizing the dimer would be broken during FXIII activation. In case of the Arg11-Asp343 interaction, proteolytic cleavage and subsequent release of the activation peptide26 would obviously disrupt the Arg11-Asp343 interaction. Analytical ultracentrifugation studies showed that thrombin cleavage of a single activation peptide is sufficient to weaken intersubunit interactions and initiate the transition from dimer to monomer.25
We can only speculate on the mechanisms of how the other 3 putatively strong and stabilizing interactions Lys113-Asp367, Lys257-Glu401, and Arg260-Asp404 would be broken during FXIII activation. In their article on structural and functional aspects of FXIII, Komáromi et al2 discuss the conformational changes that occur during the FXIII activation process. The stretch of amino acids Met350-Lys366 is part of the hinge region of the core domain that allows movement of the β-barrel domains, and Asp367 is located right next to that region. An increase in solvent-accessible surface area upon activation has been described for the region spanning amino acids 248-264, indicating that this region also undergoes significant conformational changes during activation. These conformational changes could disrupt the interactions Lys113-Asp367, Lys257-Glu401, and Arg260-Asp404, possibly contributing to dimer dissociation and transition to the monomeric form.
The current study used a systematic approach to investigate amino acid residues that are involved in intersubunit interactions. However, we did not express variants of all the amino acids identified in the in silico analysis but focused on the putatively strongest combined ionic interaction and H-bond interactions and expressed at least one variant of every interaction pair. In addition, as proof-of-concept, we also expressed some variants of amino acids involved in H-bonds only. Hydrophobic interactions are also important interactions for maintaining protein structures, but these interactions are rarely single atom interactions and thus were not taken into account.
A limitation of the current study is that we cannot confirm that the undetectable FXIII-A variants would indeed exist as monomers only due to the disrupted intersubunit interactions, and hence we cannot confirm a causal link between the lack of expression of a mutant protein and the potential failure to form dimers. Failure to form a dimer has been reported for the Arg260Cys and Tyr283Cys mutations found in patients with congenital FXIII deficiency. Although small amounts sufficient to be analyzed were expressed in vitro, those monomeric forms were unstable,11,12 which supports our hypothesis.
In conclusion, we have presented four FXIII-A intersubunit interactions, Arg11-Asp343, Lys113-Asp367, Lys257-Glu401 and Arg260-Asp404, that may be essential for the expression and stability of FXIII-A2. Our findings are supported by reported mutations at Lys257, Arg260, and Asp404 found in patients with congenital FXIII-A deficiency. This study contributes to a better understanding of the crucial elements that hold the FXIII molecule together.
For original data, please contact the corresponding author.
The publication costs of this article were defrayed in part by page charge payment. Therefore, and solely to indicate this fact, this article is hereby marked “advertisement” in accordance with 18 USC section 1734.
Acknowledgment
This work was supported by a grant from the Swiss National Science Foundation (number 310030_169220) (H.P.K. and V.S.).
Authorship
Contribution: H.P.K. and V.S. designed the research; B.L. performed the experiments; B.L. and V.S. analyzed the results; B.L. and V.S. wrote the manuscript; and H.P.K. reviewed the manuscript.
Conflict-of-interest disclosure: The authors declare no competing financial interests.
Correspondence: Verena Schroeder, Experimental Haemostasis Group, Department for BioMedical Research, University of Bern, Murtenstrasse 40, 3008 Bern, Switzerland; e-mail: verena.schroeder@dbmr.unibe.ch.





This feature is available to Subscribers Only
Sign In or Create an Account Close Modal