Abstract
Background: Mutations of MAP2K1, which encodes MEK1, have been identified in up to half of patients with variant Hairy Cell Leukemia (vHCL).[Waterfall et al., Nat Gen 2014, Mason et al., Leukemia & Lymphoma 2016], and have been associated with vHCL with IGHV4-34 gene usage, which This form of HCL tends to have a worse prognosis than classic HCL or wild type vHCL (Arons et al., Blood 2009), with inferior responses to chemotherapy and shorter durations of remission. Trametinib, an oral inhibitor of MEK1 and MEK2, is FDA approved for treatment of patients with BRAF p.V600E mutant melanoma. We hypothesized that this MEK inhibitor would have activity in MAP2K1 mutant vHCL.
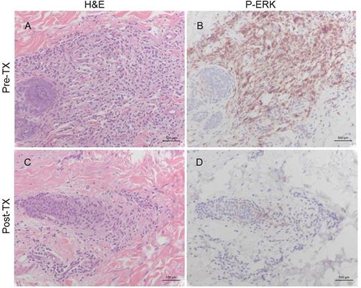
Case Report: The patient is a 52 year old man with a history of CD25+, BRAF wildtype, IGHV4-34 usage vHCL diagnosed in 2005. His previous treatments included cladribine, BL22, pentostatin/rituximab, splenectomy, single agent rituximab, ibrutinib, bendamustine/rituximab, and allogeneic transplantation from a matched unrelated donor. The patient experienced disease relapse day +350 post transplant when he developed skin nodules as well as a generalized skin rash. The skin rash appeared clinically consistent with acute GVHD. However, when biopsies of both the skin nodules and skin rash were performed he was found to have relapsed vHCL. He was consented for paired tumor and germline next generation sequencing with a 25-gene amplicon panel which revealed a somatic MAP2K1 K57N mutation that has been shown to constitutively activate MEK [Marks et al., Cancer Res 2008]. As the patient had exhausted the majority of available treatment options, he was prescribed trametinib 2 mg po daily (commercial supply, according to approved melanoma dosing). Within a week of therapy initiation his skin nodules were markedly diminished in size and his generalized rash had resolved. He did develop a new acneiform rash over his face consistent with drug toxicity. This was managed with topical agents with improvement and did not require a dose reduction. Disease restaging following cycle 2 of therapy showed near complete resolution of skin nodules, with disappearance of visible skin rash. Repeat bone marrow biopsy showed unchanged hairy cell index. Skin biopsies were repeated and phospho-ERK (T202/Y204) staining of skin biopsies pre- and post-trametinib were performed (Figure 1). This showed diminished lymphocyte involvement on H&E staining with a decrease in p-ERK expression on immunostaining, indicative of decreased signaling downstream of MEK and consistent with on target trametinib effects. As of this writing, the patient has remained on trametinib for 12 weeks with no recurrence of leukemia cutis rash.
Discussion: MEK inhibition with the oral MEKi trametinib is a well tolerated therapy with clinical activity in MAP2K1 mutant vHCL. Additional studies of this agent are warranted. Optimal dose and duration of therapy will need to be explored in prospective clinical trials.
Skin biopsies pre- and post-trametinib. (A)(C) H&E staining shows diminished lymphocyte involvement. (B)(D) PhosphoERK immunostaining shows decrease of phosphoERK expression. Bar = 500 μm
Skin biopsies pre- and post-trametinib. (A)(C) H&E staining shows diminished lymphocyte involvement. (B)(D) PhosphoERK immunostaining shows decrease of phosphoERK expression. Bar = 500 μm
Andritsos:Hairy Cell Leukemia Foundation: Research Funding. Anghelina:Hairy Cell Leukemia Foundation: Research Funding. Lozanski:Boehringer Ingelheim: Research Funding; Beckman Coulter: Research Funding; Genentech: Research Funding; Stemline Therapeutics Inc.: Research Funding. Jones:Pharmacyclics, LLC, an AbbVie Company: Membership on an entity's Board of Directors or advisory committees, Research Funding; AbbVie: Membership on an entity's Board of Directors or advisory committees, Research Funding; Janssen: Membership on an entity's Board of Directors or advisory committees, Research Funding.
Author notes
Asterisk with author names denotes non-ASH members.

This feature is available to Subscribers Only
Sign In or Create an Account Close Modal