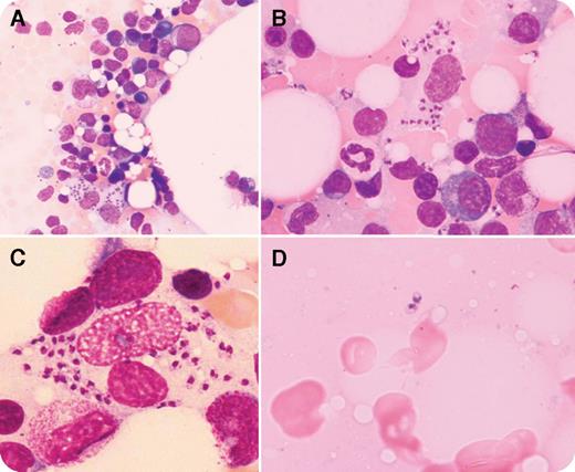
A 61-year-old man presented with fever, night sweats, weight loss, fatigue, and pancytopenia. Four years earlier, he had been treated with chemo/radiotherapy for colon cancer. Diagnostic procedures, including bone marrow aspiration, ruled out cancer relapse, but the cause of his symptoms remained unclear. The patient’s primary care physician prescribed steroid therapy for 3 weeks. On admission, splenomegaly of 15 cm, pancytopenia (hemoglobin concentration, 9.1 g/dL; leukocytes, 1.1 × 109/L; thrombocytes, 68 × 109/L), hypoalbuminemia, and polyclonal hypergammaglobulinemia were present. Bone marrow aspiration was repeated. The smear stained with May-Grünwald-Giemsa stain showed numerous intracellular and extracellular Leishmania amastigotes (panel A, Leishman-Donovan bodies, original magnification ×400; panel B, original magnification ×800), with nucleus and kinetoplast (panel C, original magnification ×1000, detail). High serologic titer and polymerase chain reaction confirmed the diagnosis of visceral leishmaniasis caused by Leishmania donovani. The patient was treated with liposomal amphotericin B, with subsequent recovery. Retrospectively, the presence of rare extracellular amastigotes was detected in the first bone marrow smear before steroid therapy (panel D, original magnification ×1000, detail).
Visceral leishmaniasis is a parasitic infection caused by various Leishmania species transmitted by sandflies. Hematogenous dissemination is well described in immunosuppressed patients, even years after the initial infection. Patients living in (as in our case) or traveling in areas of endemicity should be screened for Leishmania in the presence of pancytopenia, fever, splenomegaly, and hypergammaglobulinemia. Visceral leishmaniasis is endemic in Southeast Asia (L donovani), East Africa (L donovani), North Africa (L infantum), South America (L chagasi), and the Mediterranean basin and the Middle East (L infantum, L donovani, L tropica). More than 90% of cases, according to the World Health Organization, occur in 6 countries: Bangladesh, Brazil, Ethiopia, India, South Sudan, and Sudan.
A 61-year-old man presented with fever, night sweats, weight loss, fatigue, and pancytopenia. Four years earlier, he had been treated with chemo/radiotherapy for colon cancer. Diagnostic procedures, including bone marrow aspiration, ruled out cancer relapse, but the cause of his symptoms remained unclear. The patient’s primary care physician prescribed steroid therapy for 3 weeks. On admission, splenomegaly of 15 cm, pancytopenia (hemoglobin concentration, 9.1 g/dL; leukocytes, 1.1 × 109/L; thrombocytes, 68 × 109/L), hypoalbuminemia, and polyclonal hypergammaglobulinemia were present. Bone marrow aspiration was repeated. The smear stained with May-Grünwald-Giemsa stain showed numerous intracellular and extracellular Leishmania amastigotes (panel A, Leishman-Donovan bodies, original magnification ×400; panel B, original magnification ×800), with nucleus and kinetoplast (panel C, original magnification ×1000, detail). High serologic titer and polymerase chain reaction confirmed the diagnosis of visceral leishmaniasis caused by Leishmania donovani. The patient was treated with liposomal amphotericin B, with subsequent recovery. Retrospectively, the presence of rare extracellular amastigotes was detected in the first bone marrow smear before steroid therapy (panel D, original magnification ×1000, detail).
Visceral leishmaniasis is a parasitic infection caused by various Leishmania species transmitted by sandflies. Hematogenous dissemination is well described in immunosuppressed patients, even years after the initial infection. Patients living in (as in our case) or traveling in areas of endemicity should be screened for Leishmania in the presence of pancytopenia, fever, splenomegaly, and hypergammaglobulinemia. Visceral leishmaniasis is endemic in Southeast Asia (L donovani), East Africa (L donovani), North Africa (L infantum), South America (L chagasi), and the Mediterranean basin and the Middle East (L infantum, L donovani, L tropica). More than 90% of cases, according to the World Health Organization, occur in 6 countries: Bangladesh, Brazil, Ethiopia, India, South Sudan, and Sudan.
For additional images, visit the ASH IMAGE BANK, a reference and teaching tool that is continually updated with new atlas and case study images. For more information visit http://imagebank.hematology.org.

This feature is available to Subscribers Only
Sign In or Create an Account Close Modal