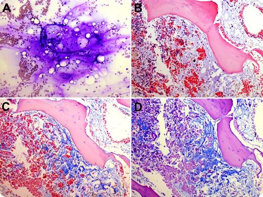
A 16-year-old girl with X-linked hypophosphatemic rickets, anorexia nervosa, and rumination syndrome with severe malnutrition underwent bone marrow examination for leukopenia (2.03 × 109/L), mildly macrocytic anemia (hemoglobin, 106 g/L; mean corpuscular volume, 99.3 fL), and thrombocytopenia (114 × 109/L), which had persisted during refeeding. The bone marrow aspirate smears (panel A; Wright-Giemsa stain) contained stromal elements (amorphous bluish-pink material, capillaries, and nuclei) and occasional hematopoietic cells, most of which were lymphocytes. The trephine biopsy (panel B; hematoxylin and eosin stain) demonstrated a mix of amorphous bluish, finely fibrillar/granular material (in which focal adipocytic atrophy was noted) consistent with gelatinous transformation and foci of multilineage hematopoiesis. Alcian blue (pH 2.5) and Alcian blue-periodic acid-Schiff stains (panels C-D) revealed that the amorphous material was composed of acid mucosubstances.
Gelatinous transformation, also known as serous fat atrophy, is a relatively nonspecific bone marrow finding which has been linked to anorexia nervosa (as in our patient) and cachexia from chronic debilitating illnesses such as infections (AIDS, tuberculosis, leishmaniasis), malignancy (carcinoma, leukemia/lymphoma), lupus, hypothyroidism, renal or heart failure, celiac disease, intestinal lymphangiectasia, and alcoholism and has been found at irradiated sites. Marrow and subcutaneous fat signal abnormalities can also be detected with magnetic resonance imaging.
A 16-year-old girl with X-linked hypophosphatemic rickets, anorexia nervosa, and rumination syndrome with severe malnutrition underwent bone marrow examination for leukopenia (2.03 × 109/L), mildly macrocytic anemia (hemoglobin, 106 g/L; mean corpuscular volume, 99.3 fL), and thrombocytopenia (114 × 109/L), which had persisted during refeeding. The bone marrow aspirate smears (panel A; Wright-Giemsa stain) contained stromal elements (amorphous bluish-pink material, capillaries, and nuclei) and occasional hematopoietic cells, most of which were lymphocytes. The trephine biopsy (panel B; hematoxylin and eosin stain) demonstrated a mix of amorphous bluish, finely fibrillar/granular material (in which focal adipocytic atrophy was noted) consistent with gelatinous transformation and foci of multilineage hematopoiesis. Alcian blue (pH 2.5) and Alcian blue-periodic acid-Schiff stains (panels C-D) revealed that the amorphous material was composed of acid mucosubstances.
Gelatinous transformation, also known as serous fat atrophy, is a relatively nonspecific bone marrow finding which has been linked to anorexia nervosa (as in our patient) and cachexia from chronic debilitating illnesses such as infections (AIDS, tuberculosis, leishmaniasis), malignancy (carcinoma, leukemia/lymphoma), lupus, hypothyroidism, renal or heart failure, celiac disease, intestinal lymphangiectasia, and alcoholism and has been found at irradiated sites. Marrow and subcutaneous fat signal abnormalities can also be detected with magnetic resonance imaging.
For additional images, visit the ASH IMAGE BANK, a reference and teaching tool that is continually updated with new atlas and case study images. For more information visit http://imagebank.hematology.org.

This feature is available to Subscribers Only
Sign In or Create an Account Close Modal