Abstract
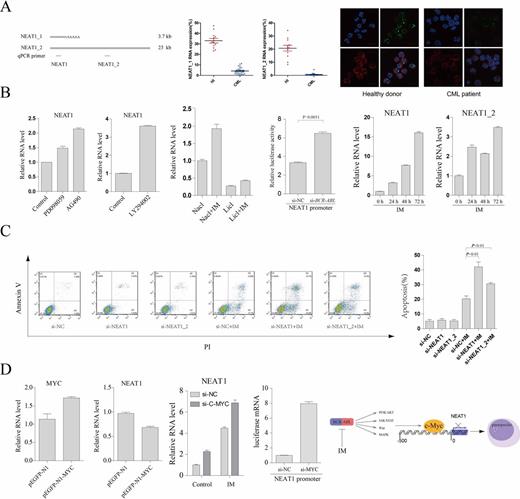
Chronic myeloid leukemia (CML) is a clonal disease characterizedby the presence of a constitutively active tyrosine kinase BCR-ABL oncoprotein. Although BCR-ABL is crucially important for pathogenesis and responsiveness to treatment, it is thought that some additional factors might involve in regulation in this process. For example, aberrant expression of Long noncoding RNAs (lncRNAs) have recently been identified to be involved in various diseases including cancer, suggesting that lncRNAs may play a role in BCR-ABL-mediated CML. In order to characterize the effect of lncRNAs in CML, we firstly performed lncRNA expression profiling microarray in newly diagnosed CML patients and healthy individuals¡¯ samples. We found that nuclear enriched abundant transcript1 (NEAT1), an lncRNA essential for the formation of nuclear body paraspeckles, is significantly repressed in in CML patients samplescompared with those of healthy donors (figure 1A). We found that NEAT1 expression was repressed by BCR-ABL, and the expression of NEAT1 could be restored after treatment with imatinib and BCR-ABL mediated pathway inhibitor or knockdown BCR-ABL in K562 cells (figure 1B). Moreover, knockdown of NEAT1 combining with imatinib treatment, could promote apoptosis of K562 cells (figure 1C). Importantly, the NEAT1-binding paraspeckle protein splicing factor proline/glutamine-rich (SFPQ) is required for NEAT1-mediated apoptosis of K562 cells. Furthermore, NEAT1 was shown to be regulated by c-Myc in K562 cells (figure 1D). Taken together, these results are the first to assign a biological function to the nuclear long noncoding RNANEAT1 inapoptosis CML cells and may lead to a fuller understanding of the molecular events leading to CML.
Zeng:National Science Foundation of China (No. 81400102) and China Postdoctoral Science FoundationiNo. 2015M570751): Research Funding. Li:National Science Foundation of China (No. U1301226): Research Funding.
Author notes
Asterisk with author names denotes non-ASH members.

This feature is available to Subscribers Only
Sign In or Create an Account Close Modal