In this issue of Blood,1 Gianfreda and colleagues from Parma report the benefit of sirolimus and prednisone in an open-label trial where 10 patients with Erdheim-Chester disease (ECD) experienced stabilization or objective responses.
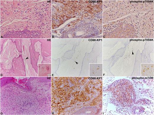
Immunohistochemical analysis of phospho-mTOR and phospho-p70S6K in ECD lesions. Two ECD cases located in the skin (A-C) and bone (D-F) where the lesional CD68-KP1–positive histiocytes (B,E) show immunoreaction for phospho-p70S6K (C,F). In panels D-F, the arrowhead indicates some elongated histiocytes, whose shape results from their encasement by abundant sclerotic fibrous tissue. An additional case of ECD involving the skin (G-I) with CD68-KP1–positive histiocytes (H) that also react with an anti–phospho- mTOR antibody (I). Original magnification: A-I, ×20; insets in D-F, ×40. HE, hematoxylin and eosin. See Figure 3 in the article by Gianfreda et al that begins on page 1163.
Immunohistochemical analysis of phospho-mTOR and phospho-p70S6K in ECD lesions. Two ECD cases located in the skin (A-C) and bone (D-F) where the lesional CD68-KP1–positive histiocytes (B,E) show immunoreaction for phospho-p70S6K (C,F). In panels D-F, the arrowhead indicates some elongated histiocytes, whose shape results from their encasement by abundant sclerotic fibrous tissue. An additional case of ECD involving the skin (G-I) with CD68-KP1–positive histiocytes (H) that also react with an anti–phospho- mTOR antibody (I). Original magnification: A-I, ×20; insets in D-F, ×40. HE, hematoxylin and eosin. See Figure 3 in the article by Gianfreda et al that begins on page 1163.
ECD, first described in 1930,2 was, until 10 years ago, an obscure, difficult-to-classify, and poorly understood histiocytic disorder. This rare non-Langerhans histiocytosis is characterized by the infiltration of tissues by foamy CD68+CD1a− histiocytes. 99Technetium bone scintigraphy revealing almost constant tracer uptake by the long bones is highly suggestive of ECD, and a “hairy kidney” appearance on abdominal computed tomography scan is observed in about half of all ECD cases. Central nervous system (CNS) involvement is a poor prognostic factor and independent predictor of death.3
During the past decade, description of most relevant clinical and radiologic aspects increased the awareness of the disease, with ECD even being the subject of a House episode! At the same time, demonstration of the efficacy of interferon α gave a first-line, efficient therapy for this rare disease.4 Recently, BRAFV600E mutations were shown in 50% to 75% of ECD cases, lending support to the sustained and reproducible efficacy of BRAF inhibitors in severe cases of BRAFV600E-mutated ECD.5-7 Other recurrent somatic mutations of the MAP kinase and AKT pathways have been found, including mutations of NRAS and PIK3CA.8 Following the characterization of recurrent mutations of the MAK kinase pathway in ECD, the disease is now considered as an inflammatory myeloid neoplasia.9 There are, indeed, genetic, molecular, and functional data implicating ERK signaling pathway activation at critical stages of myeloid differentiation as an essential and universal driver of histiocytosis.
In their open-label trial, the Parma group tried to find an effective and alternative treatment to interferon α for ECD. Often considered as a first-line therapy, long-term interferon therapy is often poorly tolerated and sometimes ineffective in cardiac and CNS ECD. As often in medicine, chance played a role. As Gianfreda and colleagues are nephrologists, they empirically chose a sirolimus and prednisone regimen for their index case based on the assumption that ECD has an inflammatory-neoplastic nature. Mammalian target of rapamycin (mTOR) inhibitors have been used for many years now in the field of renal transplantation. As the first patient responded dramatically despite severe manifestation, they decided to conduct this trial. Gianfreda and colleagues initially gave prednisone at 0.75 mg/kg per day, tapered to 5 to 2.5 mg/day by month 6. Target sirolimus blood levels were 8 to 12 ng/mL. Treatment was continued for at least 24 months in patients who showed disease stabilization or improvement. They enrolled 10 patients: 8 achieved stable disease or objective responses, whereas 2 had disease progression. Responses were mainly observed at the following sites: retroperitoneum in 5 out of 8 patients (62.5%), cardiovascular in 3 out of 4 (75%), bone in 3 out of 9 (33.3%), and CNS in 1 out of 3 (33.3%). Two patients died of progressive CNS disease and small-cell lung cancer, respectively. Treatment was overall well tolerated. Although responses were far less impressive than that observed in BRAF-mutated ECD patients receiving vemurafenib,7 the therapeutic efficacy of sirolimus and steroids in this trial is not neglectable.
Interestingly, the phosphorylated form of mTOR was intensely expressed on immunohistochemical and immunofluorescence analysis of ECD biopsy specimens (see figure), and so was the phosphorylated form of p70S6K, a kinase downstream of mTOR. Phospho-mTOR and phospho-p70S6K were particularly expressed by CD68+ foamy histiocytes. mTOR signaling proceeds via 2 different complexes, mTOR-complex 1 (mTORC1) and mTORC2, and mTORC1 is believed to be more rapamycin sensitive. Phospho-p70S6K expression denotes a clear involvement of mTORC1.
mTOR integrates extracellular and intracellular signals to regulate cell growth, proliferation, and apoptosis, as well as several metabolic processes such as protein and lipid synthesis. It also modulates immune responses, as it promotes differentiation and activation of B cells, T cells, and antigen-presenting cells. Aberrant mTOR activation is found in neoplastic and inflammatory conditions, so mTOR inhibitors, given their antiproliferative and immunosuppressive properties, are now used in many conditions, including malignancies and prevention of allograft rejection.
In light of the results of Gianfreda and colleagues, PIK3CA mutations leading to mTOR pathway activation have been found in 11% of a series of ECD patients.8 The authors failed to identify such mutations among their patients, probably due to the low number of tested cases.
One of the limitations of the study was that sirolimus was combined with steroids, which makes it difficult to assess the real efficacy of mTOR inhibitor by itself. Nevertheless, and as pointed out by the authors, glucocorticoids are generally ineffective in ECD, except for regimens using high doses. Future studies based on mTOR inhibitors given as monotherapy are feasible and should definitely address this point.
This article highlights an important therapeutic opportunity that deserves to be investigated in larger series of ECD patients, most likely with sirolimus used as a single agent. We believe it could be particularly indicated in BRAF-WT ECD patients refractory to, or with contraindication to, interferon α therapy. Gianfreda and colleagues failed to detect any PIK3CA gain-of-function mutations in their series. Determining how precisely the mTOR inhibitor acts remains a key issue.
Conflict-of-interest disclosure: J.H. has received honoraria from GlaxoSmithKline for consultancy work relating to targeted treatments of patients with histiocytosis. Z.A. has received honoraria for consulting (GlaxoSmithKline, Amgen) and scientific research (GlaxoSmithKline, Roche, Actelion, Amgen, Lilly, UCB, and Astra Zeneca).
