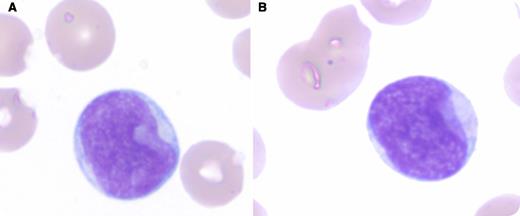
A 61-year-old man presented with left-side neck pain and swelling, dizziness, night sweats, and significant weight loss. His laboratory investigations showed pancytopenia with hemoglobin of 8.6 g/dL, leukocyte count of 600 per μL, and platelet count of 15 000 per μL. Bone marrow aspiration and biopsy revealed 90% blasts (panel A) with a peculiar “cup-shaped” nuclear morphology (panel B). Molecular diagnostics revealed the presence of cooccurring mutations of the nucleophosmin (NPM1) and Fms-like tyrosine kinase (FLT3) genes. Cytogenetic studies did not show any abnormalities. The patient was started on induction chemotherapy with cytarabine and idarubicin and demonstrated good response.
Acute myeloid leukemia is a complex diagnosis with several qualifiers including morphology, immunophenotype, and genetics. Cases with cup-shaped nuclear morphology are strongly associated with cooccurring mutations of NPM1 (internal tandem repeats within juxtamembrane domain or activating point mutations in the tyrosine kinase domain) and FLT3 (typically insertions or deletions of 4-9 bp). This morphology can be associated with solitary NPM1 but generally not FLT3 mutation on its own. In addition, this myeloid leukemia generally demonstrates a normal karyotype, high D-dimer levels, and negative CD34 and HLA-DR expression. Because of these unique characteristics, recognition of this morphology and subsequent FLT3 and NPM1 mutation testing are recommended.
A 61-year-old man presented with left-side neck pain and swelling, dizziness, night sweats, and significant weight loss. His laboratory investigations showed pancytopenia with hemoglobin of 8.6 g/dL, leukocyte count of 600 per μL, and platelet count of 15 000 per μL. Bone marrow aspiration and biopsy revealed 90% blasts (panel A) with a peculiar “cup-shaped” nuclear morphology (panel B). Molecular diagnostics revealed the presence of cooccurring mutations of the nucleophosmin (NPM1) and Fms-like tyrosine kinase (FLT3) genes. Cytogenetic studies did not show any abnormalities. The patient was started on induction chemotherapy with cytarabine and idarubicin and demonstrated good response.
Acute myeloid leukemia is a complex diagnosis with several qualifiers including morphology, immunophenotype, and genetics. Cases with cup-shaped nuclear morphology are strongly associated with cooccurring mutations of NPM1 (internal tandem repeats within juxtamembrane domain or activating point mutations in the tyrosine kinase domain) and FLT3 (typically insertions or deletions of 4-9 bp). This morphology can be associated with solitary NPM1 but generally not FLT3 mutation on its own. In addition, this myeloid leukemia generally demonstrates a normal karyotype, high D-dimer levels, and negative CD34 and HLA-DR expression. Because of these unique characteristics, recognition of this morphology and subsequent FLT3 and NPM1 mutation testing are recommended.
For additional images, visit the ASH IMAGE BANK, a reference and teaching tool that is continually updated with new atlas and case study images. For more information visit http://imagebank.hematology.org.

This feature is available to Subscribers Only
Sign In or Create an Account Close Modal