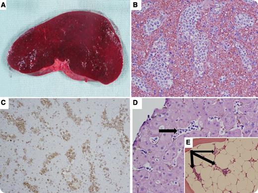
A 30-year-old man with an unremarkable medical history presented with fever, anemia, and thrombocytopenia, along with hepatosplenomegaly, for >1 month. Laboratory findings for infectious etiology were nondiagnostic. He underwent surgical resection for splenomegaly. The spleen weighed 983 g and measured 21 × 14.5 × 7 cm, with no identifiable gross lesions. The cut surface was homogeneous and red-purple (panel A). Histologically, there was marked dilation of the sinuses, which contained intermediate to large cells (panel B) that were positive for CD3 (panel C), CD2, CD7, CD8, CD56, and T-cell receptor δ (TCR-δ) and were negative for CD4, CD5, and TCR-αβ. The liver (panel D) and bone marrow (panel E) also showed the same sinusoidal involvement by lymphoma.
Hepatosplenic T-cell lymphoma is a rare, aggressive, extranodal lymphoma derived from cytotoxic T cells and is usually the γδ TCR type. The lymphoma exhibits a sinusoidal pattern of infiltration in the spleen, liver, and bone marrow. It occurs mainly in young adults presenting with splenomegaly and most often with hepatomegaly but without lymphadenopathy. The lymphoma cells are usually CD3+, CD2+, CD5−, CD7+/−, CD4−, CD8+/−, and CD56+/−. A number of cases have also been reported in patients with chronic immune suppression.
A 30-year-old man with an unremarkable medical history presented with fever, anemia, and thrombocytopenia, along with hepatosplenomegaly, for >1 month. Laboratory findings for infectious etiology were nondiagnostic. He underwent surgical resection for splenomegaly. The spleen weighed 983 g and measured 21 × 14.5 × 7 cm, with no identifiable gross lesions. The cut surface was homogeneous and red-purple (panel A). Histologically, there was marked dilation of the sinuses, which contained intermediate to large cells (panel B) that were positive for CD3 (panel C), CD2, CD7, CD8, CD56, and T-cell receptor δ (TCR-δ) and were negative for CD4, CD5, and TCR-αβ. The liver (panel D) and bone marrow (panel E) also showed the same sinusoidal involvement by lymphoma.
Hepatosplenic T-cell lymphoma is a rare, aggressive, extranodal lymphoma derived from cytotoxic T cells and is usually the γδ TCR type. The lymphoma exhibits a sinusoidal pattern of infiltration in the spleen, liver, and bone marrow. It occurs mainly in young adults presenting with splenomegaly and most often with hepatomegaly but without lymphadenopathy. The lymphoma cells are usually CD3+, CD2+, CD5−, CD7+/−, CD4−, CD8+/−, and CD56+/−. A number of cases have also been reported in patients with chronic immune suppression.
For additional images, visit the ASH IMAGE BANK, a reference and teaching tool that is continually updated with new atlas and case study images. For more information visit http://imagebank.hematology.org.

This feature is available to Subscribers Only
Sign In or Create an Account Close Modal