Abstract
An unusual case of B-cell acute lymphoblastic leukemia (B-ALL) was diagnosed at our institution. The B-ALL had unusually large prominent granules, but the diagnosis was confirmed by flow cytometry. Using structured illumination microscopy (SIM), we obtained high resolution images of the granules in the lymphoblasts. With these high resolution images, we acquired detailed quantitative information on the morphology of these unusual cells.
We compared the morphology of this unusual B-ALL case with granular acute myeloid leukemia (AML) cases, standard B-ALL cases, and non-leukemic marrow aspirate specimens. Granular B-ALL can sometimes be misdiagnosed as AML, which would result in patients not receiving the optimal treatment. Our goal is to study the structure of these unusual B-ALL cases. More information characterizing the granules may assist in understanding how these leukemic lymphoblasts function.
Granules in B-ALL are believed to be abnormal organelle formations or fusions. Electron microscopy (EM) reveals that the granules resemble membrane bound vesicles and it has been suggested that they are atypical mitochondria, lysosomes, or damaged chromosomes. These suggestions have been based on EM images and the cytochemical profile of the cells (Pitman et al., 2007; Cap et al., 2000). To our knowledge, granular B-ALL lymphoblasts have never been imaged with SIM.
We took images of the same cells using both brightfield light microscopy and SIM. Figures 2 and 3 show the same cells imaged with both microscopes. We made maximum intensity Z projections (the pixels in stack of images with maximum intensity projected onto one image), cutting off Z-slices where the cell was not focused in order to avoid measuring granules outside the cell. Next, we randomly selected granules to measure in each cell's Z projection. Using Image J software, we measured the surface area, diameter, depth, intensity relative to background, and shortest distance to nucleus and plasma membrane for each individual granule. We then averaged the measurements from each type of sample (granular B-ALL, AML, non-leukemic).
The granules in B-ALL had an average diameter of .285 micrometers, average depth of .506 micrometers, average surface area of .147 micrometers squared, and were on average 2.74 times more intense than the background. The granules in AML had an average diameter of .479 micrometers, average depth of .440 micrometers, average surface area of .2255 micrometers squared, and were on average 1.953 times more intense than the background. The B-ALL granules were smaller and more intense. The stain used for the cytoplasm, eosin, is acidic. The brighter B-ALL granules suggest that they have higher concentrations of basic proteins than the AML granules. This technique may be useful in separating granules in AML leukemia, ALL leukemias, and possibly leukemias of ambiguous lineage.
Other techniques we are investigating include automated count of granules and granule characterization with Raman Spectroscopy to determine chemical composition. Evaluating the cells with fluorescent probes that specifically attach to either lysosomes or mitochondria may give additional biochemical information about the granules/leukemias. Matching fluorescent signals from these probes to granules in ALL may assist in determining whether the granules are lysosomal or mitochondrial in origin.
Granular B-ALL bone marrow aspirate sample imaged with SIM and converted to a maximum intensity Z projection, arrow indicates a granule
Granular B-ALL bone marrow aspirate sample imaged with SIM and converted to a maximum intensity Z projection, arrow indicates a granule
AML bone marrow aspirate sample imaged with SIM and converted to a maximum intensity Z projection, arrow indicates a granule
AML bone marrow aspirate sample imaged with SIM and converted to a maximum intensity Z projection, arrow indicates a granule
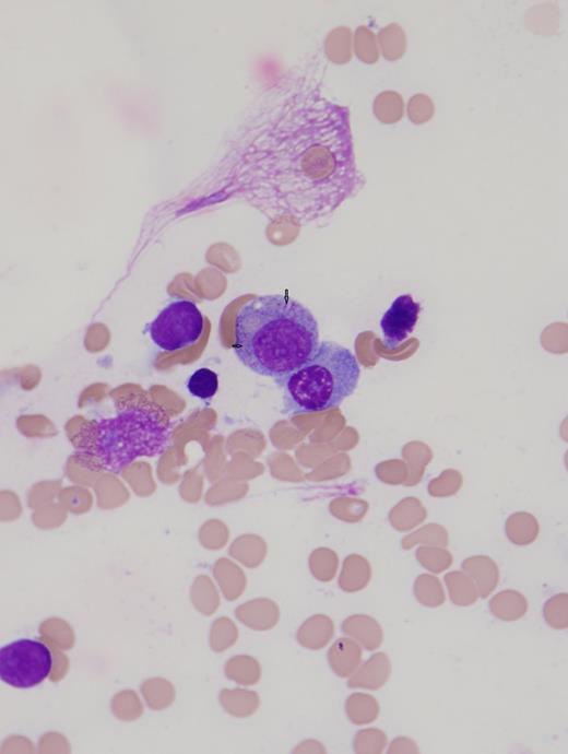
AML bone marrow aspirate sample imaged with a brightfield light microscope and magnified 100 times, arrows indicate granules
AML bone marrow aspirate sample imaged with a brightfield light microscope and magnified 100 times, arrows indicate granules
No relevant conflicts of interest to declare.
Author notes
Asterisk with author names denotes non-ASH members.



This feature is available to Subscribers Only
Sign In or Create an Account Close Modal