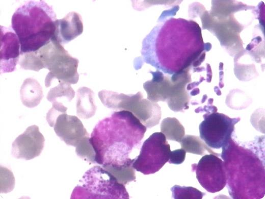
A 27-year-old HIV-infected male presented with a 1-month history of poor appetite, cough, low-grade fever, and diffuse rash involving the face and trunk. He lived in the city of Shenzhen in southern China near Hong Kong. He had not previously received antiretroviral therapy. He had pancytopenia with hemoglobin of 78.7 g/L, a total leukocyte count of 3.58 × 109/L, and a platelet count of 96 × 109/L. The alanine transaminase was elevated at 52.5 U/L. Abdomen ultrasonography showed ascites and lymphadenopathy in the hepatic hilar region without hepatosplenomegaly. The clinical suspicion was disseminated penicilliosis. Bone marrow aspiration and culture were performed.
Bone marrow aspirate showed yeastlike organisms in the bone marrow. The organisms were elongated with a characteristic clear central septation, morphologically consistent with Penicillium marneffei (recently renamed Talaromyces marneffei). The blood culture later grew P marneffei, but bone marrow culture was negative. P marneffei was identified with 2 different thermal morphologies, by the mold form in cultures grown at 25°C and yeast form at 37°C. The patient was diagnosed with disseminated penicilliosis. Oral itraconazole was administered with clinical response. Bone marrow aspirate and culture can speed the diagnosis of disseminated penicilliosis. To ensure successful antifungal treatment, timely diagnosis is important.
A 27-year-old HIV-infected male presented with a 1-month history of poor appetite, cough, low-grade fever, and diffuse rash involving the face and trunk. He lived in the city of Shenzhen in southern China near Hong Kong. He had not previously received antiretroviral therapy. He had pancytopenia with hemoglobin of 78.7 g/L, a total leukocyte count of 3.58 × 109/L, and a platelet count of 96 × 109/L. The alanine transaminase was elevated at 52.5 U/L. Abdomen ultrasonography showed ascites and lymphadenopathy in the hepatic hilar region without hepatosplenomegaly. The clinical suspicion was disseminated penicilliosis. Bone marrow aspiration and culture were performed.
Bone marrow aspirate showed yeastlike organisms in the bone marrow. The organisms were elongated with a characteristic clear central septation, morphologically consistent with Penicillium marneffei (recently renamed Talaromyces marneffei). The blood culture later grew P marneffei, but bone marrow culture was negative. P marneffei was identified with 2 different thermal morphologies, by the mold form in cultures grown at 25°C and yeast form at 37°C. The patient was diagnosed with disseminated penicilliosis. Oral itraconazole was administered with clinical response. Bone marrow aspirate and culture can speed the diagnosis of disseminated penicilliosis. To ensure successful antifungal treatment, timely diagnosis is important.
For additional images, visit the ASH IMAGE BANK, a reference and teaching tool that is continually updated with new atlas and case study images. For more information visit http://imagebank.hematology.org.

This feature is available to Subscribers Only
Sign In or Create an Account Close Modal