A 73-year-old white male presented to his primary care physician with abdominal pain, vomiting, dyspnea, and dysphagia lasting 1 week. He also reported white patches in his mouth and a cough that produced white sputum that started during this time period. A complete blood count with differential demonstrated severe neutropenia with a white blood cell count of 0.4 × 109/L (absolute neutrophil count, 0 × 109/L; absolute lymphocyte count, 0.3 × 109/L). The peripheral blood smear showed marked leukopenia with no blasts identified. Platelet count was 419 × 109/L and hemoglobin was 108 g/L. On physical examination, the patient was found to be in atrial fibrillation and oral candidiasis was noted. A chest radiograph showed a large mediastinal mass. Computed tomography of the chest showed a 6.6-cm × 4.4-cm necrotic anterior mediastinal mass that involved the phrenic nerve. Bone marrow biopsy revealed hypocellular bone marrow with granulocytic aplasia. Wright-Geimsa stained bone marrow aspirate smear (1000×) with preserved erythroid precursors, but absent granulopoiesis (panel A). The H&E stained bone marrow biopsy sections (400×) similarly demonstrates islands of erythroid development and appropriately distributed megakaryocytes, without maturing granulocytes (panel B). The mass was biopsied and thymic carcinoma (type C thymoma), subtype 1.2.1, epidermoid keratinizing (squamous cell) carcinoma was identified.

Pure white cell aplasia is a rare but recognized complication of thymoma and thymic carcinoma. Severe neutropenia of unknown etiology should prompt evaluation for possible mediastinal mass.

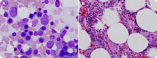
A 73-year-old white male presented to his primary care physician with abdominal pain, vomiting, dyspnea, and dysphagia lasting 1 week. He also reported white patches in his mouth and a cough that produced white sputum that started during this time period. A complete blood count with differential demonstrated severe neutropenia with a white blood cell count of 0.4 × 109/L (absolute neutrophil count, 0 × 109/L; absolute lymphocyte count, 0.3 × 109/L). The peripheral blood smear showed marked leukopenia with no blasts identified. Platelet count was 419 × 109/L and hemoglobin was 108 g/L. On physical examination, the patient was found to be in atrial fibrillation and oral candidiasis was noted. A chest radiograph showed a large mediastinal mass. Computed tomography of the chest showed a 6.6-cm × 4.4-cm necrotic anterior mediastinal mass that involved the phrenic nerve. Bone marrow biopsy revealed hypocellular bone marrow with granulocytic aplasia. Wright-Geimsa stained bone marrow aspirate smear (1000×) with preserved erythroid precursors, but absent granulopoiesis (panel A). The H&E stained bone marrow biopsy sections (400×) similarly demonstrates islands of erythroid development and appropriately distributed megakaryocytes, without maturing granulocytes (panel B). The mass was biopsied and thymic carcinoma (type C thymoma), subtype 1.2.1, epidermoid keratinizing (squamous cell) carcinoma was identified.

Pure white cell aplasia is a rare but recognized complication of thymoma and thymic carcinoma. Severe neutropenia of unknown etiology should prompt evaluation for possible mediastinal mass.

Close modal

For additional images, visit the ASH IMAGE BANK, a reference and teaching tool that is continually updated with new atlas and case study images. For more information visit http://imagebank.hematology.org.

Sign in via your Institution