Abstract
Abstract 5037
Thrombotic Microangiopathy (TMA) has been reported in several clinical settings including viral infection, following drug exposure, and in patients with cancer including three with MM treated with bortezomib. TMA can present with the pentad of microangiopathic hemolytic anemia (MAHA), thrombocytopenia, acute renal insufficiency, neurologic abnormalities and fever. Cardiac involvement, when present, is associated with poor prognosis.
We herein present the first case of TMA occurring in association with Carfilzomib. The patient was a 62 year old African American female with progressive IgG lambda MM by serum markers (lambda light chains 41. 8 mg/dl and IgG 2230 mg/dL), imaging studies with extramedullary disease involving the muscular tissue and 20% bone marrow plasmacytosis with complex cytogenetics. Her last therapy consisted of melphalan-based autologous transplant 8 months earlier. Chronic thrombocytopenia was present likely due to therapy related myelodysplastic syndrome (T-MDS). Peripheral smear at relapse showed no evidence of circulating blasts, plasmacytosis or schistocytosis.
The patient received a 20 mg/m2 IV push single dose of carfilzomib (CFZ), a novel proteasome inhibitor, on 12/03/2011. Within 24 hours of the CFZ dose, she developed clinical and laboratory evidence of TMA including increasing lethargy, fever to 101 F, renal dysfunction (creatinine 0. 8 to 2. 7 mg/dL), worsening thrombocytopenia (29, 000 to 16,000/μL), and MAHA with hemoglobin dropping (9. 3 to 7. 9 g/dL), progressive bilirubinemia, undetectable serum haptoglobin level and a 5-fold increase in serum LDH (from 256 to 1200 IU/L). Peripheral smear confirmed the presence of schistocytes. No other causes for TMA could be identified; ADAMTS 13 levels were 52%, with negative results for heparin antibodies, anti-phospholipid antibodies, direct coombs and PCR for Adenovirus, Parvovirus, CMV and Human herpes virus 6. Coagulation studies were normal. Renal ultrasound showed no obstruction. The left ventricular ejection fraction by echocardiogram on 12/19/11 was 25% compared to 60% on prior MUGA scan and echocardiogram two and nine months before CFZ.
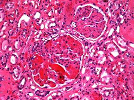
She failed to respond to various agents including corticosteroids and therapeutic plasmapheresis and died 44 days after the single CFZ dose. Repeat serum myeloma markers showed response to CFZ. Autopsy examination revealed TMA with presence of red blood cell fragments and multiple fibrin thrombi in the kidneys without evidence of amyloidosis or plasma cell infiltration. Aggregates of CD 138 positive plasma cells were present in the visceral pleura of the stomach, bladder, pancreas and intestines but without organ infiltration. The bone marrow was hypercellular with 5% involvement with lambda predominant plasma cells. At death, the serum levels of lambda light chains and IgG were 54. 8 and 1000 mg/dL, respectively.
This case describes the abrupt onset of ultimately fatal TMA within 24 hours of a single dose of 20 mg/m2 of CFZ. No other cause for TMA could be identified despite an extensive work-up.
Seroma cavity at x20
Right kidney TMA at x20
No relevant conflicts of interest to declare.
Author notes
Asterisk with author names denotes non-ASH members.


This feature is available to Subscribers Only
Sign In or Create an Account Close Modal