Abstract
Abstract 3196
Congenital dyserythropoietic anemias (CDAs) are rare inherited disorders characterized by impaired red blood cell formation (dyserythropoiesis) and signature cytopathologies. CDA type I is an autosomal recessive disease with macrocytic anemia and occasional bone abnormalities. Erythroid precursors exhibit pathognomonic abnormalities including internuclear chromatin bridges and spongy (“Swiss cheese”) heterochromatin. The disease is caused by biallelic mutations in the gene CDANI (Dgany et al., 2002), which encodes codanin-1, a ubiquitously expressed protein that is believed to have fundamental roles in cell cycle control and chromatin structure (Noy-Lotan et. al, 2009). Animal models for the study of CDA I are suboptimal and clinical samples are scarce. Thus, we have developed an experimental model for the study of CDA I by generating induced pluripotent stem cells (iPSCs) from affected patients. We reprogrammed fibroblasts from CDA I patients and normal subjects using a single lentiviral vector encoding OCT4, KLF4, SOX2, and MYC. The resultant iPSCs exhibited standard criteria for pluripotency and the integrated reprogramming vector was excised using Cre-lox technology.
We differentiated CDA I and control iPSCs into erythroid progenitors by inducing the formation of embryoid bodies (EBs) with stepwise additions of supportive cytokines. Beginning at about day 8, hematopoietic progenitors with erythroid potential were detected within EBs and as free-floating cells in the medium. Our differentiation protocol showed two waves of erythroid precursor production. Early EBs (days 12 to 23) produced erythroid cells that expressed mainly epsilon globin, resembling early yolk sac type “primitive” erythropoiesis. In contrast, erythroblasts produced from later EBs (days 27 to 50) expressed mainly gamma globins, resembling “definitive” erythroid cells produced by late stage yolk sac and fetal liver. Our preliminary studies, indicate that CDA I iPSCs produce normal numbers of primitive and definitive erythrocytes. No defects in survival or maturation were detected by flow cytometry assessing the expression of annexin V and the developmental stage markers CD235/CD71/forward scatter. However, definitive type (but not primitive) erythroblasts derived from CDA I iPSCs exhibit some characteristic pathological features including occasional internuclear chromatin bridging visible by light microscopy and spongy “Swiss cheese” heterochromatin revealed by transmission electron microscopy. Thus, patient-derived iPSCs can model at least some aspects of CDA I and provide the basis for future studies to define the actions of codanin-1 and the pathophysiology of this disorder.
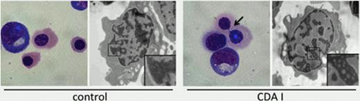
Patient iPSC-derived erythroblasts recapitulate CDA I pathology. Light microscopy and transmission electron microscopy (TEM) of normal and CDA I iPSC-derived erythroblasts generated in ∼30 day differentiation cultures. Inserts show higher magnification of the marked areas. CDA I cells exhibit occasional internuclear bridges on light microscopy (third panel). TEM showed abnormal spongy chromatin structure in most CDA I erythroid precursors (fourth panel).
Patient iPSC-derived erythroblasts recapitulate CDA I pathology. Light microscopy and transmission electron microscopy (TEM) of normal and CDA I iPSC-derived erythroblasts generated in ∼30 day differentiation cultures. Inserts show higher magnification of the marked areas. CDA I cells exhibit occasional internuclear bridges on light microscopy (third panel). TEM showed abnormal spongy chromatin structure in most CDA I erythroid precursors (fourth panel).
No relevant conflicts of interest to declare.
Author notes
Asterisk with author names denotes non-ASH members.

This feature is available to Subscribers Only
Sign In or Create an Account Close Modal