Abstract
Thymectomy during early childhood is generally thought to have serious consequences for the establishment of the T-cell compartment. In the present study, we investigated the composition of the T-cell pool in the first 3 decades after thymectomy during infancy due to cardiac surgery. In the first 5 years after thymectomy, naive and total CD4+ and CD8+ T-cell numbers in the blood and T-cell receptor excision circle (TREC) levels in CD4+ T cells were significantly lower than in healthy age-matched controls. In the first years after thymectomy, plasma IL-7 levels were significantly elevated and peripheral T-cell proliferation levels were increased by ∼ 2-fold. From 5 years after thymectomy onward, naive CD4+ and CD8+ T-cell counts and TRECs were within the normal range. Because TREC levels are expected to decline continuously in the absence of thymic output, we investigated whether normalization of the naive T-cell pool could be due to regeneration of thymic tissue. In the majority of individuals who had been thymectomized during infancy, thymic tissue could indeed be identified on magnetic resonance imaging scans. Whereas thymectomy has severe effects on the establishment of the naive T-cell compartment during early childhood, our data suggest that functional regrowth of thymic tissue can limit its effects in subsequent years.
Introduction
The thymus is essential for the establishment of the peripheral T-cell population during childhood. Although the perivascular space in the thymus is progressively replaced by fat and thymic naive T-cell production declines significantly with age, even in adulthood the thymus has been shown to be able to produce new naive T cells.1-8 There is a lot of controversy, however, as to what extent thymic output contributes to naive T-cell maintenance during adulthood. Based on T-cell receptor excision circles (TRECs), the by-products of V(D)J recombination in the thymus, we have recently estimated that in young adults, approximately 10% of the naive T-cell pool was originally formed by the thymus, whereas the remaining 90% was produced through peripheral T-cell proliferation (I. den Braber, T. Mugwagwa, N. Vrisekoop, L. Westera, R. Mögling, A. Bregje de Boer, N. Willems, E. Schryver, G. Spierenburg, K. Gaiser, E. Mul, S.A.O., A. Ruiter, M. Ackermans, F.M., J.A.M.B., R. de Boer, and K.T.; Maintenance of peripheral naive T cells: a mouse-man model; manuscript submitted). Also in childhood, peripheral T-cell proliferation plays an important role in the establishment of the naive T-cell compartment.9-11 Nevertheless, the thymus is thought to be crucial in T-cell generation, especially at younger ages, because it is the only source of T-cell diversity.
Thymectomy is an accepted treatment for patients with myasthenia gravis (MG). It was previously shown that thymectomy of adult MG patients did not affect the absolute number of T cells in the peripheral blood, whereas it could lead to reduced numbers of TREC-containing T cells.12,13 These data suggested that maintenance of the naive T-cell compartment during adulthood does not heavily rely on thymic output. It is important to realize, however, that insights obtained from thymectomy in MG patients may be confounded by the autoimmune features of the disease and/or by the immunosuppressive treatment that patients receive.
Because of the crucial role of the thymus in the establishment of the peripheral T-cell compartment in early life, several studies have investigated the effect of thymectomy at an early age on the developing immune system.14-18 In pediatric cardiac surgery, thymectomy is performed to gain an unrestricted view of the operation site. Especially in neonates, in whom the thymus is relatively large, surgical procedures involving the large vessels necessitate complete removal of the thymus. Thymectomy at an early age has been shown to result in reduced CD4+ and CD8+ T-cell numbers, largely due to reduced naive T-cell counts, in the first years after thymectomy. These changes in the T-cell pool at an early age occur without obvious clinical consequences,14,19,20 although diminished responses to tick-borne encephalitis have been reported.18 The long-term effects of thymectomy during early childhood on the composition of the T-cell compartment are less unequivocal. Whereas some thymectomized individuals show reduced total and naive CD4+ and CD8+ T-cell counts15,21,22 and clear signs of premature immunosenescence22 in the second and third decades of life, many other thymectomized individuals have peripheral T-cell pools comparable to those of age-matched healthy controls.15,22 It remains to be elucidated how the T-cell pool can be maintained after removal of the thymus during early childhood. Increased understanding of the mechanisms involved in T-cell maintenance could help us understand why disparities in the T-cell compartment after thymectomy during early childhood persist in some patients but not in others.
In the present study, we investigated both the short-term and long-term effects of thymectomy during infancy on the establishment and mainte-nance of the naive T-cell compartment in 39 patients who were thymectomized between 2 months and 31 years previously. By measuring T-cell subsets, Ki67 expression levels, IL-7 levels in plasma, and TRECs, we investigated the mechanisms by which the naive T-cell pool is maintained after removal of the thymus during infancy.
Methods
Study population and blood specimens
Thirty-nine patients who had undergone complete thymectomy during infancy because of surgery to treat a congenital heart defect at the Wilhelmina Children's Hospital, University Medical Center Utrecht, Utrecht, The Netherlands, were included in this study. Surgery involving the major vessels, such as transposition of the great arteries (TGA), hypoplastic left heart syndrome, and hypoplastic aortic arch with or without coarctation of the aorta routinely necessitates thymectomy. The age at which these patients were thymectomized ranged from 0.0-1.5 years (median age, 0.03 years). Blood samples were taken before thymectomy if feasible and during clinical follow-up, ranging from 2 months-31 years after thymectomy. Exclusion criteria were clinical signs of infection at time of blood draw and the presence of a syndrome or genetic disorder (eg, 22q11 deletion). Characteristics of the 39 thymectomized participants are shown in Table 1.
Patient and sample characteristics
| Patient . | Sex . | Heart defect . | Age at TX, y . | Age at blood draw, y . | Age at MRI, y (results)‡ . | |||||
|---|---|---|---|---|---|---|---|---|---|---|
| T01* | m | TGA | 0.0 | 0.2 | ||||||
| T02 | m | HLHS | 0.0 | 0.3† | ||||||
| T03* | m | HRHS | 0.3 | 0.5† | 3.4 | 4.5† | ||||
| T04 | f | HLHS | 0.0 | 0.6 | 2.0† | |||||
| T05 | m | PA | 0.0 | 0.7† | ||||||
| T06 | m | CoA | 0.3 | 0.9 | ||||||
| T07 | m | TGA | 0.1 | 1.0 | ||||||
| T08* | f | PA | 0.0 | 1.3 | ||||||
| T09 | m | TGA | 0.0 | 1.9† | ||||||
| T10* | m | TGA | 0.0 | 1.9 | ||||||
| T11 | m | TGA | 0.1 | 2.0 | ||||||
| T12 | f | HLHS | 0.0 | 2.0† | ||||||
| T13 | m | TGA | 0.0 | 2.1† | ||||||
| T14 | m | HLHS | 0.0 | 2.1† | ||||||
| T15* | m | TGA | 0.0 | 2.3 | ||||||
| T16 | f | HLHS | 0.0 | 2.4† | ||||||
| T17 | m | CoA | 0.1 | 2.5† | ||||||
| T18* | m | TGA | 0.1 | 2.9 | ||||||
| T19 | f | AoH | 0.0 | 3.6† | ||||||
| T20 | f | TvA | 0.6 | 6.7† | ||||||
| T21 | m | TGA | 0.0 | 7.6 | ||||||
| T22 | f | TGA | 0.0 | 8.0 | ||||||
| T23 | m | TvA | 0.1 | 8.6† | ||||||
| T24 | m | TGA | 0.0 | 10.4 | ||||||
| T25 | f | TGA | 0.0 | 10.7 | 10.6(−) | |||||
| T26 | m | TGA | 0.1 | 12.4† | ||||||
| T27 | m | TGA | 0.0 | 12.8 | ||||||
| T28 | m | TGA | 0.0 | 15.6 | ||||||
| T29 | m | TGA | 0.0 | 18.2 | 19.3(+) | |||||
| T30 | m | TGA | 0.0 | 18.6 | 3.9(s) | 7.7(s) | 16.5(+) | 18.2(+) | ||
| T31 | m | TGA | 0.2 | 20.7 | ||||||
| T32 | m | TGA | 0.0 | 21.8 | ||||||
| T33 | m | TGA | 0.0 | 23.1 | 18.9(+) | 21.6(+) | 22.9(+) | |||
| T34 | m | TGA | 0.0 | 23.9 | 19.7(−) | 22.3(−) | ||||
| T35 | m | TGA | 0.0 | 24.1 | ||||||
| T36 | f | TGA | 0.6 | 24.7 | 21.2(+) | |||||
| T37 | m | TGA | 0.6 | 25.1 | 22.3(+) | |||||
| T38 | f | TGA | 1.1 | 31.5 | 28.8(+) | |||||
| T39 | f | TGA | 1.5 | 32.9 | ||||||
| Patient . | Sex . | Heart defect . | Age at TX, y . | Age at blood draw, y . | Age at MRI, y (results)‡ . | |||||
|---|---|---|---|---|---|---|---|---|---|---|
| T01* | m | TGA | 0.0 | 0.2 | ||||||
| T02 | m | HLHS | 0.0 | 0.3† | ||||||
| T03* | m | HRHS | 0.3 | 0.5† | 3.4 | 4.5† | ||||
| T04 | f | HLHS | 0.0 | 0.6 | 2.0† | |||||
| T05 | m | PA | 0.0 | 0.7† | ||||||
| T06 | m | CoA | 0.3 | 0.9 | ||||||
| T07 | m | TGA | 0.1 | 1.0 | ||||||
| T08* | f | PA | 0.0 | 1.3 | ||||||
| T09 | m | TGA | 0.0 | 1.9† | ||||||
| T10* | m | TGA | 0.0 | 1.9 | ||||||
| T11 | m | TGA | 0.1 | 2.0 | ||||||
| T12 | f | HLHS | 0.0 | 2.0† | ||||||
| T13 | m | TGA | 0.0 | 2.1† | ||||||
| T14 | m | HLHS | 0.0 | 2.1† | ||||||
| T15* | m | TGA | 0.0 | 2.3 | ||||||
| T16 | f | HLHS | 0.0 | 2.4† | ||||||
| T17 | m | CoA | 0.1 | 2.5† | ||||||
| T18* | m | TGA | 0.1 | 2.9 | ||||||
| T19 | f | AoH | 0.0 | 3.6† | ||||||
| T20 | f | TvA | 0.6 | 6.7† | ||||||
| T21 | m | TGA | 0.0 | 7.6 | ||||||
| T22 | f | TGA | 0.0 | 8.0 | ||||||
| T23 | m | TvA | 0.1 | 8.6† | ||||||
| T24 | m | TGA | 0.0 | 10.4 | ||||||
| T25 | f | TGA | 0.0 | 10.7 | 10.6(−) | |||||
| T26 | m | TGA | 0.1 | 12.4† | ||||||
| T27 | m | TGA | 0.0 | 12.8 | ||||||
| T28 | m | TGA | 0.0 | 15.6 | ||||||
| T29 | m | TGA | 0.0 | 18.2 | 19.3(+) | |||||
| T30 | m | TGA | 0.0 | 18.6 | 3.9(s) | 7.7(s) | 16.5(+) | 18.2(+) | ||
| T31 | m | TGA | 0.2 | 20.7 | ||||||
| T32 | m | TGA | 0.0 | 21.8 | ||||||
| T33 | m | TGA | 0.0 | 23.1 | 18.9(+) | 21.6(+) | 22.9(+) | |||
| T34 | m | TGA | 0.0 | 23.9 | 19.7(−) | 22.3(−) | ||||
| T35 | m | TGA | 0.0 | 24.1 | ||||||
| T36 | f | TGA | 0.6 | 24.7 | 21.2(+) | |||||
| T37 | m | TGA | 0.6 | 25.1 | 22.3(+) | |||||
| T38 | f | TGA | 1.1 | 31.5 | 28.8(+) | |||||
| T39 | f | TGA | 1.5 | 32.9 | ||||||
HLHS indicates hypoplastic left heart syndrome; HRHS, hypoplastic right heart syndrome; PA, pulmonary atresia; CoA, aortic coarctation; AoH, aortic hypoplasia; TvA, tricuspid valve atresia; and TX, thymectomy.
Patients for whom a sample was collected prior to thymectomy.
Samples collected just prior to a secondary operation. During none of these operations could thymic tissue be observed macroscopically.
For MRI results, (−) indicates no thymic tissue on MRI; (s), thymus visible on MRI, but small for the age of the individual; and (+), thymus visible on MRI and normal for the age of the individual.
In addition to the above study group, we retrospectively evaluated magnetic resonance imaging (MRI) scans from another 24 patients who underwent complete thymectomy during infancy due to an arterial switch operation for a TGA. The age at which these patients were thymectomized ranged from 0.0-1.5 years (median age, 0.03 years).
A healthy control group consisted of 102 age-matched healthy children, age 0.1-18.0 years, who visited the University Medical Center Utrecht to undergo elective urologic or plastic surgery. The children were considered immunologically healthy because they did not have a history of infectious diseases or a hematologic or immunologic disorder. Adult blood samples were collected from 52 healthy volunteers, ages 21.0-39.7 years.
The study was approved by the medical ethical committee of the University Medical Center Utrecht and written informed consent was obtained from all study participants or their legal guardians in agreement with the Helsinki Declaration of 1975, revised in 1983.
Visualization of thymic tissue after thymectomy
To determine whether the thymus remained absent after thymectomy, the presence of thymic tissue in patients was evaluated during follow-up. Fourteen of the 39 patients underwent a secondary operation as part of a multistage procedure during which the surgical team determined the macroscopic presence or absence of thymic tissue. For 8 patients who did not require additional surgery, presence of the thymus after thymectomy was evaluated by MRI; in total, 14 MRI scans were performed in this group (Table 1). In addition, we retrospectively evaluated 34 MRI scans from another 24 patients who all underwent thymectomy during infancy for an arterial switch operation for a TGA. The presence or absence of thymic tissue on MRI scans was evaluated by an experienced pediatric radiologist. If present, the size of the thymic mass was quantified as either normal or smaller than expected for the age of the patient.23,24
Cell preparation and flow cytometry
PBMCs were obtained by Ficoll-Paque density gradient centrifugation, and viably frozen and stored in liquid nitrogen until further processing. Characterization of the T-cell compartment was performed on thawed cryopreserved PBMCs that were incubated with mAb to CD4-Pacific Blue, CD8-AmCyan, CD8-PerCP-Cy5.5, CD27-APC, and CD45RO-PE (Becton Dickinson); and CD3-Pacific Blue, CD4-APC-AF750, CD8-APC-AF750, and CD45RO-PE-Cy7 (eBioscience). Within the CD4+ and CD8+ T-cell compartment, naive (CD27+CD45RO−) and memory (CD45RO+) subsets were identified.25 To determine T-cell proliferation levels, thawed PBMCs were stained intracellularly with Ki67-FITC (Dako) after fixation and permeabilization with Cytofix/Cytoperm and Perm/Wash kits according to the manufacturer's instructions (Becton Dickinson). After washing with PBS, cells were analyzed on an LSRII and analyzed by FACSDiva Version 6.1.3 software (Becton Dickinson).
Absolute lymphocyte numbers were determined with a Cell-Dyn Sapphire Hematology Analyzer (Abbott Diagnostics) and were used to calculate absolute numbers of signal joint TRECs, total T-cell counts, and cell numbers within the different T-cell subsets.
MACS cell separation
To measure the total number of TRECs and the TREC content of CD4+ T cells, these subsets were purified from thawed PBMCs by magnetic-bead separation using the MiniMACS multisort kit according to the manufacturer's instructions (Miltenyi Biotec). The purity of MACS-sorted CD4+ T cells was > 90%.
TREC analysis
DNA was isolated using the NucleoSpin Blood QuickPure kit according to the manufacturer's instructions (Macherey-Nachel). TREC numbers were quantified by real-time PCR, as described previously.26,27 The TREC content per T cell was calculated by dividing the TREC content by 150 000 (assuming that 1μg of DNA corresponds to 150 000 T cells).27
Plasma IL-7 levels
IL-7 in heparinized plasma from patients after thymectomy and from age-matched healthy controls was determined by multiplex immunoassay, as described previously.28
Statistics
To assess quantitative differences between thymectomized individuals and healthy controls while taking into account age-related changes in various immunologic parameters, the study group and the control group were separated into 2 age-matched groups. The first group contained individuals younger than 5 years of age, and consisted of 19 individuals (mean age, 1.9 ± 1.1 years; range, 0.2-4.5 years) who had been thymectomized at an age between 0.0 and 0.3 years, and 48 healthy controls (mean age, 1.8 ± 1.3 years; range, 0.1-4.6 years). The second group contained individuals older than 5 years of age, and consisted of 17 individuals (mean age, 16.6 ± 7.6 years; range, 6.7-31.5 years) who had been thymectomized at an age between 0.0 and 1.5 years, and 50 healthy controls (mean age, 14.3 ± 6.4 years; range, 5.1-35.0 years). Differences in T-cell (subset) counts and percentages, IL-7 levels in plasma, average TREC contents, TREC numbers per microliter of blood, and Ki67 expression levels in naive CD4+ and CD8+ T cells were assessed using the Mann-Whitney U test for unpaired data. Correlation between IL-7 levels in the plasma and the percentage of Ki67+ cells in the naive CD4+ T-cell compartment was determined with the nonparametric Spearman rank correlation coefficient (as denoted by rs). To avoid any biases from dependent data in our analyses, of patients for whom longitudinal data were available, only the last data point was included in the statistical analyses, unless indicated otherwise. Differences were considered to be statistically significant when P < .05.
Results
Impact of thymectomy during infancy on the CD4+ and CD8+ T-cell compartments
We studied the composition of the CD4+ and CD8+ T-cell compartments of 39 individuals who were thymectomized between 2 months and 31 years previously (Table 1). All participants underwent a complete thymectomy for surgery to treat a congenital heart defect at 0.0-1.5 years of age (median age, 0.03 years); 30 of the 39 individuals were younger than 1 month of age when the thymus was removed. None of the thymectomized individuals had any history of symptomatic infections nor did any develop opportunistic infections during follow-up.
First we determined the early impact of thymectomy on the constitution of the lymphocyte population. Blood samples before thymectomy (median age: 0.03 years) were available from 6 individuals, and showed that total, naive, and memory CD4+ and CD8+ T-cell counts per microliter of blood were similar to those of age-matched controls (Figure 1). Cross-sectional data showed that in the first 5 years after thymectomy, CD4+ and CD8+ T-cell counts had significantly declined to levels below those of age-matched controls (P < .001 and P < .001, respectively, Figure 1A-B), which was mainly due to a rapid decline of naive CD4+ (P < .001) and CD8+ (P < .001) T-cell numbers (Figure 1A-B). In contrast, memory CD4+ (P = .12) and CD8+ (P = .06) T-cell counts per microliter of blood had increased to a similar extent as observed for healthy age-matched controls. As a result, the percentages of naive cells in the CD4+ and CD8+ T-cell pools of thymectomized individuals were significantly lower than healthy control values (P < .001 and P = .014, respectively, Figure 1C). Total CD4+ and CD8+ T-cell counts were similarly affected in the first 5 years after thymectomy because CD4:CD8 ratios in thymectomized individuals were comparable to those in healthy controls (P = .23; data not shown). The effects on the constitution of the CD4+ and CD8+ T-cell compartments in the first 5 years after thymectomy were confirmed in the individuals for whom longitudinal data were available (Figure 1).
T-cell counts and percentages of naive T-cell subsets. (A) Total, naive, and memory CD4+ T-cell numbers in counts per microliter of blood. (B) Total, naive, and memory CD8+ T-cell numbers in counts per microliter of blood. (C) Percentage of naive CD4+ and naive CD8+ T cells. ▴ represents values after thymectomy; ▵, samples taken just before thymectomy; and ○, healthy controls. Lines connect longitudinal samples (n = 7).
T-cell counts and percentages of naive T-cell subsets. (A) Total, naive, and memory CD4+ T-cell numbers in counts per microliter of blood. (B) Total, naive, and memory CD8+ T-cell numbers in counts per microliter of blood. (C) Percentage of naive CD4+ and naive CD8+ T cells. ▴ represents values after thymectomy; ▵, samples taken just before thymectomy; and ○, healthy controls. Lines connect longitudinal samples (n = 7).
Despite the clear impact of thymectomy on naive and total CD4+ and CD8+ T-cell numbers during the first years of life, from 5 years after thymectomy onward, the majority of thymectomized individuals had normal total, naive, and memory CD4+ and CD8+ T-cell numbers in the blood (P > .15 Figure 1A-B). Even the percentages of naive cells in the CD4+ and CD8+ T-cell pools, which were so clearly affected in the first 5 years after thymectomy, normalized in the long term (P = .46 and P = .41, respectively; Figure 1C). In addition, CD4:CD8 ratios were comparable to healthy control values (P = .19; data not shown).
Effect of thymectomy on naive T-cell proliferation levels
Because IL-7 is known to be essential for the survival and homeostatic proliferation of naive T cells, and because its availability has been shown to be inversely related to the size of the naive T-cell population,29,30 we hypothesized that increased IL-7 levels in the first years after thymectomy might contribute to restoration of the naive T-cell compartment in the long term. In the present study, the level of IL-7 in plasma from thymectomized children in the first 2.5 years after thymectomy was indeed significantly higher (P = .012) than in healthy age-matched controls (Figure 2A). In agreement with previous findings,16,30 the IL-7 levels in thymectomized children were inversely correlated with naive CD4+ T-cell numbers (rs = −0.73, P = .01; Figure 2B).
Plasma IL-7 levels, Ki67 expression, and TRECs after thymectomy during infancy. (A) Plasma IL-7 levels in the first 2.5 years after thymectomy (TX, n = 14) compared with age-matched healthy controls (HC, n = 16). Asterisk denotes statistical significance; horizontal line represents median value for each group. (B) Correlation between plasma IL-7 levels and the number of naive CD4+ T cells per microliter of blood in thymectomized individuals during the first 2.5 years after thymectomy (n = 11). The percentage of proliferating (Ki67+) cells in the naive CD4+ (C) and naive CD8+ (D) T-cell populations in the first 5 years after thymectomy compared with healthy age-matched controls. Lines connect longitudinal samples. (E) Percentage of proliferating (Ki67+) cells (median value + SD) in the naive CD4+ and naive CD8+ T-cell populations in thymectomized individuals from 5 years after thymectomy onward (n = 9) compared with age-matched healthy controls (n = 47). Average TREC content of CD4+ T cells (F) and the total number of CD4+ T-cell TRECs per microliter of blood (G) in thymectomized individuals and healthy controls as a function of age. ▴ represents values after thymectomy; ▵, samples taken just before thymectomy; and ○, healthy controls. Lines connect longitudinal samples.
Plasma IL-7 levels, Ki67 expression, and TRECs after thymectomy during infancy. (A) Plasma IL-7 levels in the first 2.5 years after thymectomy (TX, n = 14) compared with age-matched healthy controls (HC, n = 16). Asterisk denotes statistical significance; horizontal line represents median value for each group. (B) Correlation between plasma IL-7 levels and the number of naive CD4+ T cells per microliter of blood in thymectomized individuals during the first 2.5 years after thymectomy (n = 11). The percentage of proliferating (Ki67+) cells in the naive CD4+ (C) and naive CD8+ (D) T-cell populations in the first 5 years after thymectomy compared with healthy age-matched controls. Lines connect longitudinal samples. (E) Percentage of proliferating (Ki67+) cells (median value + SD) in the naive CD4+ and naive CD8+ T-cell populations in thymectomized individuals from 5 years after thymectomy onward (n = 9) compared with age-matched healthy controls (n = 47). Average TREC content of CD4+ T cells (F) and the total number of CD4+ T-cell TRECs per microliter of blood (G) in thymectomized individuals and healthy controls as a function of age. ▴ represents values after thymectomy; ▵, samples taken just before thymectomy; and ○, healthy controls. Lines connect longitudinal samples.
To investigate whether elevated levels of IL-7 in thymectomized individuals are correlated with increased levels of peripheral T-cell proliferation, we measured the fraction of naive CD4+ and CD8+ T cells expressing the proliferation marker Ki67 in the first 5 years after thymectomy. Despite the clear depletion of the naive T-cell pool and increased plasma levels of IL-7 during the first years after thymectomy, the median naive CD4+ and CD8+ T-cell proliferation levels were significantly (P = .03 and P = .01, respectively) but not drastically elevated compared with healthy controls (Figure 2C-D). There was no significant correlation between the percentage of Ki67+-expressing naive CD4+ T cells and plasma IL-7 levels (rs = −0.03, P = .94; data not shown).
In the long term, when naive T-cell numbers had been restored to normal levels despite thymectomy during infancy, the percentages of proliferating naive CD4+ and CD8+ T cells in individuals who had been thymectomized were no longer elevated (P = .60 and P = .52, respectively; Figure 2E).
Changes in TRECs after thymectomy
To investigate whether the eventual restoration of the T-cell pool after thymectomy was (in part) due to de novo T-cell production, we measured TRECs, the by-products of V(D)J rearrangement that are uniquely formed during T-cell development, in CD4+ T cells of thymectomized children and age-matched healthy controls. Changes in the total number of TRECs per microliter of blood reflect changes in de novo T-cell production or in T-cell death rates. Conversely, the average number of TRECs per T cell (the so-called TREC content) is also strongly affected by peripheral T-cell division.27
In thymectomized individuals, total CD4+ T-cell TREC numbers per microliter of blood had declined more rapidly (P < .001) during the first 5 years after thymectomy than in healthy age-matched controls (Figure 2F). Such an accelerated decline was to be expected, because in the absence of new cells from the thymus, total TREC numbers per microliter of blood decrease with every cell that dies.31 Nevertheless, we observed that total CD4+ T-cell TREC numbers per microliter of blood normalized in the long term (P = .66), and showed no further significant decline from 5 years after thymectomy onward (P = .72, Figure 2F). Similarly, the average TREC content of CD4+ T cells in thymectomized individuals had declined faster in the first 5 years after thymectomy than in healthy age-matched controls (P < .001; Figure 2G). This accelerated decline of TREC contents was to be expected, not only because T-cell proliferation levels in thymectomized individuals were somewhat higher than in healthy controls (Figure 2C-D), but also because in the absence of de novo T-cell production, TREC contents are diluted whenever a cell divides in the periphery.31 Remarkably, from 5 years after thymectomy onward, we observed no further significant decrease in CD4+ T-cell TREC contents in thymectomized individuals (P = .72), such that the CD4+ T-cell TREC contents of thymectomized individuals became similar to age-matched healthy control values (P = .80; Figure 2G). These data suggest that after an initial large impact of thymectomy during early childhood, the T-cell compartment restored through the production of new TREC-containing naive T cells.
Recurrence of thymic tissue long term after thymectomy
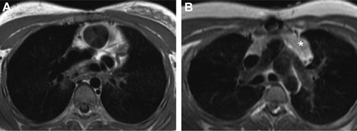
We investigated whether regrowth of thymic tissue could have been responsible for the generation of new TREC-containing naive T cells by analyzing MRI scans of the chest (Figure 3). These scans had been performed for clinical reasons in 8 patients from our study group (median age, 19.5 years; range, 3.9-28.8 years). Thymic tissue could be identified on scans from 6 of the 8 patients (Table 1). To further substantiate this finding, MRI scans from an additional group of 24 patients thymectomized during an arterial switch operation (median age at thymectomy, 0.03 years) were assessed to determine the presence of thymic tissue (median age, 9.6 years; range, 4.0-28.0 years). Combined with the MRI scans of the study group, a total of 48 scans from 32 patients were available. In 4 of the 32 patients, no thymic tissue could be observed. From one of these patients, a second scan was available that was made 2.5 years later and still showed no evidence of thymic tissue. In 7 individuals, thymic tissue was present but smaller than expected for the age of the individual. In one of these patients, the thymus size remained small on subsequent scans, whereas 5 of these patients eventually showed normal thymus sizes on subsequent scans. In 26 individuals, thymic tissue eventually reached a size comparable to age-matched healthy controls (Figure 4). Whenever thymic tissue could be identified on an MRI scan, any follow-up scans from the same individual always reconfirmed the evidence for thymic tissue. Whenever the size of the thymic tissue had become normal for the age of the individual, the thymus size on follow-up scans always remained normal.
Visualization of thymic tissue in thymectomized individuals. (A) MRI of a patient (T25) 10.6 years after thymectomy showing no evidence of thymic tissue. (B) MRI of a patient (T30) 16.5 years after neonatal thymectomy showing thymic tissue (*).
Visualization of thymic tissue in thymectomized individuals. (A) MRI of a patient (T25) 10.6 years after thymectomy showing no evidence of thymic tissue. (B) MRI of a patient (T30) 16.5 years after neonatal thymectomy showing thymic tissue (*).
Presence of thymic tissue on MRI scans of patients thymectomized during infancy. Summary of MRI scans of 32 patients (study group, 8 patients; additional group, 24 patients) after surgery for a congenital heart defect. ○ represents MRI scans with no evidence of thymic tissue.
represents scans with evidence of thymic tissue, but small for the age of the individual. ● represents MRI scans with evidence of thymic tissue of similar size as healthy age-matched controls. Lines connect consecutive scans of the same patient (n = 7). Only 42 of the 48 MRI scans that were made are plotted in this figure; once an MRI scan of a patient showed thymic tissue of normal size for the age of the individual, any follow-up MRI scans (which consistently reconfirmed the normalization of thymic tissue) were not plotted in this figure.
Presence of thymic tissue on MRI scans of patients thymectomized during infancy. Summary of MRI scans of 32 patients (study group, 8 patients; additional group, 24 patients) after surgery for a congenital heart defect. ○ represents MRI scans with no evidence of thymic tissue.
represents scans with evidence of thymic tissue, but small for the age of the individual. ● represents MRI scans with evidence of thymic tissue of similar size as healthy age-matched controls. Lines connect consecutive scans of the same patient (n = 7). Only 42 of the 48 MRI scans that were made are plotted in this figure; once an MRI scan of a patient showed thymic tissue of normal size for the age of the individual, any follow-up MRI scans (which consistently reconfirmed the normalization of thymic tissue) were not plotted in this figure.
We also investigated whether thymic tissue could already be identified at younger ages during secondary surgical procedures. In none of the 14 individuals who underwent a secondary operation (at a median age of 2.1 year) could the surgical team observe thymic tissue at the site of operation (Table 1).
These data suggest that slow regrowth of thymic tissue was responsible for the eventual normalization of the initially strongly affected peripheral T-cell compartments of individuals thymectomized during infancy.
Discussion
Thymectomy at an early age is frequently performed during surgical correction of congenital heart defects. Several studies have shown that in the first years after thymectomy at an early age, the composition of the T-cell compartment is dramatically affected.14-18 The long-term effects of thymectomy at an early age are much less unequivocal, however, and aberrations in size and composition of the T-cell compartment have been reported in some patients but not in others.15,21,22 In the present study, we investigated the mechanisms responsible for the long-term restoration of the T-cell compartment after thymectomy during infancy. In agreement with earlier reports, we found that in the first years after thymectomy, T-cell numbers were severely reduced compared with healthy age-matched controls, with naive T-cell counts affected most severely. From 5 years after thymectomy onward, however, the T-cell compartment in most individuals had a normal size and composition.
We investigated whether increased survival or proliferation of naive T cells contributed to the normalization of the T-cell compartment. It was previously shown that IL-7 positively affects naive T-cell survival and proliferation in mice.32,33 Although a potential role for IL-7 in naive T-cell homeostasis has been observed,30,34,35 its effect on naive T-cell survival and proliferation in humans remains unclear. The negative correlation that we found between naive T-cell numbers and IL-7 levels in plasma in the first 2.5 years after thymectomy is in agreement with previous observations in lymphopenic settings,16,30 suggesting reduced consumption of IL-7 when naive T-cell numbers are low. Naive T-cell proliferation levels (as measured by Ki67 expression) were approximately 2-fold increased in the first years after thymectomy, suggesting that increased T-cell proliferation may contribute to the maintenance of the T-cell compartment after thymectomy. Remarkably, the elevated IL-7 levels shortly after thymectomy were not correlated with naive T-cell proliferation levels. We cannot exclude the possibility that the increased IL-7 levels in the first years after thymectomy nevertheless contributed to the restoration of the CD4+ T-cell pool by increasing the survival of naive T cells.
Our TREC data strongly suggested that the eventual restoration of the T-cell pool after thymectomy during infancy was to a large extent due to de novo T-cell generation. The average TREC content of CD4+ T cells and total CD4+ T-cell TREC numbers per microliter of blood, which were clearly affected in the first 5 years after thymectomy, were found to be normal at later ages. In the absence of de novo T-cell production, TREC contents and total TREC numbers per microliter of blood are expected to continuously decline because of T-cell proliferation and T-cell death, respectively. The observed lack of decline in total CD4+ T-cell TREC numbers per microliter of blood could in principle be explained by an extremely low death rate of CD4+ T cells in thymectomized individuals. The absence of further TREC content dilution from 5 years after thymectomy onward would imply, however, that CD4+ T-cells should also have stopped proliferating. The most likely explanation for our TREC findings is therefore that newly generated TREC-containing cells had been produced. In agreement with this, the majority of MRI scans available from individuals thymectomized during infancy showed evidence for thymic tissue as early as 4 years after thymectomy. Thymic tissue could never be observed during secondary surgeries. Because 11 of the 14 children who underwent a secondary surgery were under 4 years of age, the regrowing thymus in these children may have been too small or not visually accessible to be identified. Although the presence of thymic tissue on MRI scans does not imply that the tissue is capable of thymopoiesis, in combination with our TREC data and the normalization of the T-cell compartment in the long term, the most likely explanation for our findings is that renewed thymopoiesis was responsible for the long-term recovery of the T-cell compartment after thymectomy during infancy.
Although some studies have suggested enlargement of thymic mass after cessation of chemotherapy or after stem-cell transplantation,3,36 to the best of our knowledge, formation of thymic tissue at the anatomical location of the thymus after its complete removal has not been reported previously. Recent studies in mice, however, have shown the potential of postnatal epithelial progenitor cells to generate functional thymic lobules.37,38 If sufficient numbers of such progenitor cells are left behind during thymectomy, then these cells might be responsible for the regrowth of functionally competent thymic tissue in subsequent years. A likely reason why other studies did not find evidence for the de novo formation of thymic tissue after thymectomy is that previous studies have mainly used radiography to identify thymic tissue.21,22 It has recently been shown that whereas thymic tissue should be identifiable during the first 2 decades of life using MRI or computed tomography imaging in healthy individuals, identification by thoracic radiography is unreliable after the age of 3 years.24
The eventual restoration of the peripheral T-cell compartment that we observed in almost all participants is in agreement with previous studies reporting normal size, composition, and functionality of the T-cell compartment in the second and third decade after thymectomy during early childhood in the majority of individuals.15,22 However, the latter studies also showed that in some thymectomized individuals normalization did not occur. Moreover, a recent study reported that thymectomy resulted in diminished naive T-cell counts and naive T-cell TREC contents well into the third decade of life.21 We can only speculate on the cause of these differences. A clear difference between the latter and the current study is the age at which the children were thymectomized. Whereas almost all patients (87%) included in our study were thymectomized within the first 4 months of life, and all before the age of 1.5 years (mean age at thymectomy, 0.16 years), the patients included in the study by Prelog et al21 were thymectomized at an average age of 2.6 years. Similarly, the patients with no residual thymus and decreased TREC contents in the study by Halnon et al15 were either monitored in the first 5 years after thymectomy (similar to our results) or had been thymectomized beyond the age of 4 years. It is tempting to speculate that the regenerating capabilities of the thymus may be age dependent and that the long-term effects of removal of thymic tissue in the first months of life may (rather surprisingly) be less dramatic than the long-term effects of thymectomy during later childhood. However, further studies, including analyses of T-cell repertoire diversity, are needed to confirm this proposition.
In summary, we have shown that whereas thymectomy during early childhood clearly affected the T-cell compartment during the first 5 years after thymectomy, such deviations from age-matched controls were not observed during later life. Because the normalization of the T-cell pool coincided with de novo T-cell production, as suggested by TREC data and by recurrence of thymic tissue on MRI scans, the most likely explanation for our data is that thymic regeneration was responsible for the long-term restoration of the T-cell compartment. Evidence that thymectomy early in life can lead to exacerbations in the T-cell compartment in cytomegalovirus-seropositive individuals22 suggests that, despite the apparent ability of the T-cell compartment to recover from removal of the thymus during infancy, it may nevertheless be desirable to spare as much thymic tissue during cardiac surgery as possible.
The publication costs of this article were defrayed in part by page charge payment. Therefore, and solely to indicate this fact, this article is hereby marked “advertisement” in accordance with 18 USC section 1734.
Acknowledgments
The authors thank S. O. Algra and M. A. Siemelink from the Department of Pediatric Intensive Care and F. de Roo from the Department of Pediatric Cardiothoracic Surgery, University Medical Center Utrecht, for their assistance in patient sampling, and B. J. Prakken for valuable input into the design of this study.
This work was supported financially by the Netherlands Organization for Scientific Research (NWO grants 917.96.350 and 836.07.002 to J.A.M.B.) and by the Wilhelmina Children's Hospital Research Fund (grant OZF 2007 to A.W.L.S.).
Authorship
Contribution: R.v.G., A.W.L.S., and S.A.O. performed the laboratory research; R.A.J.N. evaluated the MRI scans; F.H. and G.T.S. enrolled the patients; R.v.G., A.W.L.S., F.M., K.T., N.J.G.J., and J.A.M.B. designed the research and interpreted the data; and R.v.G., A.W.L.S., K.T., N.J.G.J., and J.A.M.B. analyzed the data and wrote the manuscript.
Conflict-of-interest disclosure: The authors declare no competing financial interests.
The current affiliation for R.v.G. is Department of Metabolic and Endocrine Diseases, University Medical Center Utrecht, Utrecht, The Netherlands.
Correspondence: José A. M. Borghans, Department of Immunology, Rm KC 02.085.2 University Medical Center Utrecht, PO Box 85090, 3508 AB, Utrecht, The Netherlands; e-mail: j.borghans@umcutrecht.nl.
References
Author notes
R.v.G. and A.W.L.S. contributed equally to this study.




This feature is available to Subscribers Only
Sign In or Create an Account Close Modal