Abstract
Understanding platelet biology has been aided by studies of mice with mutations in key megakaryocytic transcription factors. We have shown that point mutations in the GATA1 cofactor FOG1 that disrupt binding to the nucleosome remodeling and deacetylase (NuRD) complex have erythroid and megakaryocyte lineages defects. Mice that are homozygous for a FOG1 point mutation (ki/ki), which ablates FOG1-NuRD interactions, have platelets that display a gray platelet syndrome (GPS)–like macrothrombocytopenia. These platelets have few α-granules and an increased number of lysosomal-like vacuoles on electron microscopy, reminiscent of the platelet in patients with GATA1-related X-linked GPS. Here we further characterized the platelet defect in ki/ki mice. We found markedly deficient levels of P-selectin protein limited to megakaryocytes and platelets. Other α-granule proteins were expressed at normal levels and were appropriately localized to α-granule–like structures. Treatment of ki/ki platelets with thrombin failed to stimulate Akt phosphorylation, resulting in poor granule secretion and platelet aggregation. These studies show that disruption of the GATA1/FOG1/NuRD transcriptional system results in a complex, pleiotropic platelet defect beyond GPS-like macrothrombocytopenia and suggest that this transcriptional complex regulates not only megakaryopoiesis but also α-granule generation and signaling pathways required for granule secretion.
Introduction
Megakaryocytes are derived from hematopoietic stem cells and are responsible for the production of platelets.1 Transcription factor GATA1 interacts with its cofactor FOG1 to control the development of both erythroid cells and megakaryocytes.2 Many of GATA1's functions depend on this interaction as demonstrated by mutations within the N-terminal zinc finger of GATA1 that either impair binding to FOG1 (eg, V205M,3 G208S,4 D218G,5 and D218Y6 ) or to DNA (eg, R216Q7 ) underlying a rare X-linked disorder of mild to moderate thalassemia and a more severe macrothrombocytopenia often associated with significant bleeding.3-7 Although all patients with these mutations had significant macrothrombocytopenia, some patients also presented with congenital erythropoietic porphyria8 or with gray platelet syndrome (GPS), a rare disorder characterized by malformation of platelet α-granules as defined by light and electron microscopy.9 Whether these phenotypic differences were related to the specific N-terminal zinc finger mutation of GATA1 was unclear as multiple, large, low-density granules, which had also been described as “open canals,” were noted in patients with GATA1 G208S10 or R216Q9 mutations. In other described families, an α-granule defect may have been overlooked. These patient analyses suggest that disruption of the GATA1/FOG1 transcription factor complex might lead not only to macrothrombocytopenia but also to defective maturation of α-granules. A deficiency of talin in a GATA1 G208S patient has been described, but how this deficiency contributes to the observed phenotype remains unclear.11
We have recently described that the GATA1/FOG1 transcriptional complex binds to a nucleosome remodeling and deacetylase (NuRD) complex and that the GATA1/FOG1/NuRD axis is required for normal erythropoiesis and megakaryopoiesis.12 To study this pathway in vivo, we engineered a knock-in (ki) allele in which the endogenous FOG1 locus was altered to encode a mutant version bearing 3 amino acid substitutions in the N-terminus that abrogate NuRD binding.13 Homozygous mutant ki/ki mice have a mild anemia and a severe macrothrombocytopenia with platelet counts approximately 10% of normal. The number of megakaryocytes in the ki/ki bone marrows appeared to be normal with cells displaying an apparent decrease in cytoplasmic-to-nuclear ratio.13 The ki/ki megakaryocytes cultured from either bone marrow or fetal liver (FL) cells exhibited normal polyploidization but scant cytoplasm and a paucity of granules. Electron microscopic analyses of ki/ki thrombocytes revealed that normal α-granules were absent and were replaced by a large number of low-density granules that were similar to those in GATA1-deficient platelets seen in the mouse model14 and in patients with GATA1 N-terminal zinc finger mutations,9 indicating that the GATA1/FOG1/NuRD complex is required for both megakaryopoiesis and α-granule morphogenesis.
To better understand the pathways in terminally differentiated megakaryocytes that are regulated by the GATA1/FOG1/NuRD complex, we further analyzed the platelet defect in the FOG1 ki/ki mice, initially focusing on the α-granule defect. We also wished to compare the α-granule defect in these platelets to the common form of GPS, which has recently been shown to be the result of mutations in the neurobeachin-like 2 (NBEAL2) gene,15-17 encoding 6 predicted protein isoforms.15 NBEAL2-deficient GPS is associated with a failure to target content proteins to α-granules within megakaryocytes. Here, we demonstrate that P-selectin expression in FOG1 ki/ki mice is severely impaired specifically in megakaryocytes but that the residual P-selectin is appropriately localized to a nonlysosomal granular pool that ultrastructurally resembles noncondensed α-granules. Moreover, other α-granule proteins are expressed at near-normal levels and are stored within the same granular pool. Importantly, the release of the contents of these granules and of dense granules in response to multiple agonists is severely impaired in FOG1 ki/ki mice because of an apparent block in signaling. These defects contribute to a significant bleeding diathesis. Thus, defective interaction of GATA1/FOG1 with NuRD results in pleiotropic platelet defects that are similar but distinct from those of NBEAL2-deficient GPS. Our studies also suggest that patients with X-linked macrothrombocytopenia resulting from GATA1 mutations probably have a much more complex platelet defect than presently appreciated.
Methods
FOG1 ki/ki mice and isolated megakaryocytes and platelets
FOG1 ki/ki mice used in this study have been previously described13 and were compared with wild-type (WT) littermates. Genotype was determined by genomic PCR analysis as described.13 All mice were maintained on a mixed C57BL/6xSv129 background and analyzed between 8 and 12 weeks of age. FL-derived megakaryocytes were obtained from E13.5 embryos and cultured in IMDM containing 10% FBS, 2mM l-glutamine, 100 U/mL penicillin and streptomycin, and 50 ng/mL of thrombopoietin for 8 days. Cells were collected by centrifugation at 37g for 10 minutes, resuspended in 5 mL Ca2+- and Mg2+-free PBS and spun at 9g for 30 minutes at room temperature over a BSA step gradient containing 1.5% and 3% BSA in PBS.18 Resting platelets were isolated from the inferior vena cava as described.18
Mice were housed in the animal care facility at the Children's Hospital of Philadelphia. All animal experiments were performed after approval by the Institutional Animal Care and Use Committee at the Children's Hospital of Philadelphia.
Quantitative measurement of megakaryocyte mRNA and proteins and platelet proteins
Total RNA for gene expression profiling was isolated from WT and littermate FOG1 ki/ki FL-derived megakaryocytes using RNeasy Plus mini kit (QIAGEN). Microarray analyses were performed in triplicate from independent biologic samples using Affymetrix Mouse Genome 430 Version 2.0 Array GeneChips at the University of Pennsylvania Microarray Facility according to the manufacturer's protocol. Affymetrix Microarray Analysis Suite Version 5.0 (MAS5.0) was used to collect data. Signal log ratios and corresponding P values were calculated using the same package. Background adjustment and normalization were performed using R language (bioconductor project). Then averaged signals between ki/ki and WT samples were computed for comparative analyses (fold changes). Annotations were extracted from Affymetrix database. Results and annotations were merged into Microsoft Excel and Access. For comparative analyses on genes in α-granule, we adopted a stringent numeric filtering strategy: at least one of the 2 average signals being compared had to be above a threshold value of 64. Microarray data were deposited to the Gene Expression Omnibus under accession number GSE29975.
Microarray data of interest were verified using quantitative RT-PCR analysis. Total RNA was prepared for the microarray analysis, and cDNA was generated using SuperScript II First-Strand Synthesis kit (Invitrogen). Real-time PCR was performed on an ABI 7900HT (Applied Biosystems) as described, and primers were designed with Primer Express Version 3.0 software (Applied Biosystems). P-selectin sense, 5′-CTCATCTGGTTCAGTGCTTTGATC-3′; antisense, 5′-TCCACGCAGCCACTTCCT-3′; VWF sense, 5′-GGTATGAGATCTGCCTGCTTGTTC-3′; antisense, 5′-GATGAAGTCGTCCCCAAAGAGG-3′; platelet factor 4 (PF4) sense, 5′-GTCCAGTGGCACCTCTTGA-3′; antisense, 5′-AATTGACATTTAGGCAGCTGA-3′; platelet basic protein (PBP) sense, 5′-GCCTGCCCACTTCATAACCTC-3′; antisense, 5′-GGGTCCAGGCACGTTTTTTG-3′; protease-activated receptor 3 (PAR3) sense, 5′-CTGTTTCTGCCAGTCACTGTTTG-3′; antisense, 5′-TGGCTTTGCTGAGTTGTCTGA-3′; protease-activated receptor 4 (PAR4) sense, 5′-CCCCCAGCATCTACGATGAT-3′; antisense, 5′-TTCGGCTCCTTGAGTTCTACTGT-3′; and NBEAL2 sense, 5′-CTCGGAGCGGCTCTACGA-3′; antisense, 5′-GCAGGTAACCAAGGTCCTTCT-3′. Gene expression levels were normalized to either GAPDH13 or β-actin13 signal. Normalization to GAPDH and β-actin yielded similar results (data not shown). Only data relative to GAPDH are presented.
For select genes studied by microarray and quantitative RT-PCR, Western blot analysis was carried out on both total megakaryocyte and platelet proteins. Samples were analyzed by electrophoresis on a 10% Bis-Tris gel and immunoblotted for detection of the α-granule proteins using primary and secondary antibodies as follows: polyclonal rabbit anti-VWF (A0082; Dako North America), polyclonal goat anti–P-selectin (sc-6943 and sc-6941, Santa Cruz Biotechnology), polyclonal rabbit anti–PBP (Bethyl Laboratories), polyclonal rabbit anti-PF4 (Bethyl Laboratories) antibodies, HRP-conjugated donkey anti–goat (sc-2020; Santa Cruz Biotechnology), or HRP-conjugated rat anti–rabbit secondary antibodies (LS-C60921; LifeSpan BioSciences). The proteins were visualized by enhanced chemiluminescence (GE Healthcare). The protein level of β-actin was used as control determined by monoclonal mouse anti–β-actin (A1978, Sigma-Aldrich) and HRP-conjugated donkey anti–mouse (sc-2314, Santa Cruz Biotechnology) antibodies.
Metabolic labeling, immunoprecipitation, and SDS-PAGE analysis
FL-derived megakaryocytes were metabolically pulse-labeled with [35S]-methionine/cysteine and chased as described,19 using 30-minute pulses and chase times as indicated. Frozen cell pellets were lysed for 30 minutes in 1% Triton X-100, 150mM NaCl, and 0.02% NaN3 in 10mM Tris, pH 8.0. Lysates were clarified by centrifugation for 20 minutes at 20 000g. Specific time point cell lysates were precleared by isotope control IgG (Santa Cruz Biotechnology) and then incubated with polyclonal goat anti–P-selectin antibody or control antibody, polyclonal goat anti-CTCF (Santa Cruz Biotechnology) that had prebound to protein G beads at 4°C overnight. The protein-antibody-beads complex was washed extensively with 0.1% Triton X-100 wash buffer 4 times and eluted by the addition of 50 μL of 20% glycerol, 10% β-mercaptoethanol, 6% SDS, 125mM Tris, pH 6.8, and 0.1% bromphenol blue. Samples were fractionated by SDS-PAGE using 10% acrylamide gels. The gels were then dried and analyzed using Storm 860 PhosphorImager and ImageQuant software (GE Healthcare).
Tissue immunohistochemistry studies
FL-derived megakaryocytes were stained for VWF and P-selectin expression beginning with approximately 104 cells spun onto glass slides18 and then fixed in 4% paraformaldehyde (BD Biosciences) for 15 minutes at room temperature. Polyclonal goat anti–P-selectin or polyclonal rabbit anti-VWF primary antibodies, and HRP-conjugated donkey anti–goat or rat anti–rabbit secondary antibodies were used for detection, respectively. Similar immunohistologic studies were done using livers of 8- to 10-week-old mice fixed in 4% paraformaldehyde overnight at room temperature. Slides were counterstained with hematoxylin before inspection. Images were aquired with SPOT RT-SE digital camera (Diagnostic Instruments Inc) and a Leica DM4000B microscope, and processed with Photoshop CS3 Extended Software Version 10.0.1. Original magnification is 20×.
Platelet immunofluorescence and immunoelectron microscopy studies
Resting-stage platelets or platelets activated by exposure to thrombin were fixed with 2% formaldehyde/PBS for 30 minutes at room temperature and then labeled with primary and fluorochrome-conjugated secondary antibodies as previously described.20,21 The platelets were analyzed on a Leica DM IRBE microscope (Leica Microsystems) equipped with a Retiga-SRV digital camera (QImaging). Image acquisition and analysis used OpenLab Version 5.5.2 (Perkin-Elmer) and Volocity Version 5.3.1 software (Perkin-Elmer) with the volume deconvolution. The images were processed by using Adobe Photoshop CS3 Extended Version 10.0.1 (Adobe Systems) to enhance image quality. Original magnification is 100×.
For immunoelectron microscopic studies, whole blood was collected in a mixture of 2% paraformaldehyde and 0.2% glutaraldehyde in 0.1M phosphate buffer. Immunogold labeling of platelets with polyclonal goat anti–P-selectin or polyclonal rabbit anti-VWF antibodies, and analysis of the P-selectin and VWF label distribution were performed as previously described.22
Platelet flow cytometry
Flow cytometric analysis of platelets with or without activation by PAR4 agonist peptide, AYPGQV (AYP), or convulxin was done as previously described23 using FITC-conjugated anti-CD41 (BD Biosciences) with PE-conjugated anti-CD42b (Emfret Analytics), FITC-conjugated antiglycoprotein (GP) VI (Emfret Analytics) with PE-conjugated anti-CD41 (BD Biosciences), FITC-conjugated isotope control IgG antibody (Emfret Analytics) with PE-conjugated anti-CD41, FITC-conjugated anti–P-selectin (BD Biosciences) with PE-conjugated anti–CD41, and FITC-conjugated isotope control IgG antibody (BD Biosciences) with PE-conjugated anti–CD41. Flow cytometric acquisition was performed using BD FACSCalibur flow cytometry, and data were analyzed using BD CellQuest Pro Version 5.2.1 Software.
In vitro and in vivo platelet function studies
Platelet aggregation and ATP release studies were done using washed platelets adjusted to 2.5 × 108/mL in modified Tyrode buffer (134mM NaCl, 3mM KCl, 0.3mM NaH2PO4, 1mM MgCl2, 20mM HEPES, 12mM NaHCO3, 5mM glucose, 0.1% [weight/volume], BSA, pH 7.4) on a Lumi-aggregometer (Chronolog) as previously described.24 Similar platelet preparations were used to obtain platelet releasates by incubating them at 37°C with or without thrombin (1 U/mL; Sigma-Aldrich) or convulxin (24nM; Enzo Life Sciences) for 10 minutes. The platelets were centrifuged at 600g for 15 minutes, and the supernatant were assayed for PF4 levels as determined using a rat anti–mouse CXCL4/PF4 specific ELISA kit (DuoSet ELISA Development Kit; R&D System) and compared with recombinant mouse PF4.
Akt phosphorylation after agonist activation of platelets was done as follows: platelets were incubated at 37°C with or without thrombin (1 U/mL), or convulxin (6nM), or ADP (10μM; Sigma-Aldrich), or U46619 (10μM; Calbiochem) for 10 minutes. The stimulated platelets were then lysed in NuPAGE LDS sample buffer (Invitrogen), analyzed by electrophoresis on a 10% Bis-Tris gel, and immunoblotted for phosphorylation of Akt residue Ser473 as described.24 After detection of phospho-Akt, the membranes were stripped and reincubated for total Akt as described.25
The bleeding diathesis in the FOG1 ki/ki mice was examined using a FeCl3 carotid artery injury system as described.26 Briefly, the common carotid artery was exposed to 15% FeCl3, for 2 minutes, and then blood flow measured using a Doppler flow probe (model 0.5VB; Transonic Systems) for 30 minutes. Development of an occlusive thrombus lasting at least 7 minutes and total calculated blood flow over the 30 minutes were measured.
Statistical analysis
Statistical analysis was performed using a 2-tailed Student t test of mean ± SD. Differences were considered significant when P values were ≤ .01.
Results
Deficiency of tissue-specific P-selectin expression in FOG1 ki/ki mice
Electron microscopic analyses have shown that platelets in FOG1 ki/ki mice have defective electron-lucent α-granules.13 We reasoned that this might reflect a deficiency in the expression of genes encoding α-granule proteins within megakaryocytes. To begin to test this, microarray analysis was carried out using RNA obtained from WT and FOG1 ki/ki littermate FL-derived megakaryocytes. We compared mRNA levels in each sample for changes in the expression level of α-granule content protein mRNAs. Whereas levels of mRNAs for VWF, PF4, and PBP were detected at similar levels in both cell types, P-selectin mRNA clearly stood out as being expressed at low levels in FOG1 ki/ki megakaryocytes (Figure 1A open bars; and supplemental Table 1, available on the Blood Web site; see the Supplemental Materials link at the top of the online article). Quantitative RT-PCR analyses on total megakaryocyte RNA isolated from both sources supported this conclusion, as P-selectin was expressed in FOG1 ki/ki cells at approximately 25% the level found in WT cells (Figure 1A filled bars). To determine whether this defect extended to protein content, we analyzed whole cell lysates of megakaryocytes and platelets by immunoblotting for the same α-granule proteins. In megakaryocytes and platelets, relative levels of VWF, PBP, and PF4 in WT and ki/ki cells were comparable, but P-selectin levels were markedly reduced in FOG1 ki/ki cells (Figure 1B). Immunohistochemistry analyses of the FL-derived megakaryocytes supported these results, showing that VWF was easily detected in both WT and ki/ki cells but that P-selectin was detected only in WT cells (Figure 2A). Importantly, this defect in P-selectin expression was limited to megakaryocytes and platelets in FOG1 ki/ki mice because normal levels of P-selectin staining were observed in FOG1 ki/ki endothelial cells by immunohistochemistry analysis of hepatic venules with intraluminal clots (Figure 2B). Although different vascular beds express specialized proteins differently,27 we did not analyze other vascular beds. The defect of P-selectin in megakaryocytes is most probably the result of FOG1 being expressed more highly in these cells than in endothelial cells. FOG1 null mice display defects in erythroid cells and megakaryocytes, but not generally in the vasculature with the exception of the endocardium.28 Normal P-selectin expression in the hepatic venule endothelium support that its expression in endothelial cells is probably regulated by a different pathway that is unaffected in the ki/ki mice.
mRNA and protein expression level of α-granule contents in WT and ki/ki mice. (A) Relative expression levels of mRNA for VWF, PF4, PBP, and P-selectin (P-sel) from FL-derived megakaryocyte total RNA isolated from WT and sibling FOG1 ki/ki mice. Open bars represent data from microarray analysis; and closed bars, quantitative RT-PCR analyses of similar samples. Data are mean ± SD. For microarray, N = 3; for quantitative RT-PCR, N = 7, each measured in duplicate. *P < .05, for microarray dataset. **P < .01, for quantitative RT-PCR dataset. (B) Representative Western blot analysis for α-granule proteins in both FL-derived megakaryocytes and isolated platelets from FOG1 ki/ki mice and sibling WT mice. β-actin was probed as a loading control.
mRNA and protein expression level of α-granule contents in WT and ki/ki mice. (A) Relative expression levels of mRNA for VWF, PF4, PBP, and P-selectin (P-sel) from FL-derived megakaryocyte total RNA isolated from WT and sibling FOG1 ki/ki mice. Open bars represent data from microarray analysis; and closed bars, quantitative RT-PCR analyses of similar samples. Data are mean ± SD. For microarray, N = 3; for quantitative RT-PCR, N = 7, each measured in duplicate. *P < .05, for microarray dataset. **P < .01, for quantitative RT-PCR dataset. (B) Representative Western blot analysis for α-granule proteins in both FL-derived megakaryocytes and isolated platelets from FOG1 ki/ki mice and sibling WT mice. β-actin was probed as a loading control.
Immunohistochemistry analysis demonstrates the tissue-specific deficiency of P-selectin in megakaryocytes of FOG1 ki/ki mice. (A) Representative images of cytospun FL-derived megakaryocytes from FOG1 ki/ki and littermate WT mice stained for VWF (top row) or P-selectin (bottom row) using immunohistochemistry. Note the similar levels of VWF but significant deficiency of P-selectin in the FOG1 ki/ki megakaryocytes. Bar represents 40 μm. (B) Representative images of liver sections showing hepatic veins with intraluminal clots and labeled by immunohistochemistry for VWF (top row) or P-selectin (bottom row). Note that VWF (top row) was expressed at comparable levels in the endothelial lining (red arrows) and platelets (blue arrowheads) from WT and FOG1 ki/ki mice. Whereas P-selectin (bottom row) was expressed at comparable levels in the endothelial lining of WT and FOG1 ki/ki (red arrows), P-selectin was not detected in the platelets from FOG1 ki/ki mice (blue arrowheads). Bar represents 40 μm.
Immunohistochemistry analysis demonstrates the tissue-specific deficiency of P-selectin in megakaryocytes of FOG1 ki/ki mice. (A) Representative images of cytospun FL-derived megakaryocytes from FOG1 ki/ki and littermate WT mice stained for VWF (top row) or P-selectin (bottom row) using immunohistochemistry. Note the similar levels of VWF but significant deficiency of P-selectin in the FOG1 ki/ki megakaryocytes. Bar represents 40 μm. (B) Representative images of liver sections showing hepatic veins with intraluminal clots and labeled by immunohistochemistry for VWF (top row) or P-selectin (bottom row). Note that VWF (top row) was expressed at comparable levels in the endothelial lining (red arrows) and platelets (blue arrowheads) from WT and FOG1 ki/ki mice. Whereas P-selectin (bottom row) was expressed at comparable levels in the endothelial lining of WT and FOG1 ki/ki (red arrows), P-selectin was not detected in the platelets from FOG1 ki/ki mice (blue arrowheads). Bar represents 40 μm.
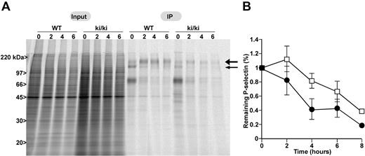
Increased P-selectin turnover in FOG1 ki/ki megakaryocytes
The protein level of P-selectin in the FOG1 ki/ki megakaryocytes and platelets was lower than expected based on the mRNA level noted in Figure 1A. Given the granular defect in the FOG1 ki/ki platelets, we hypothesized that P-selectin was improperly stored and thus targeted for degradation in lysosomes. To test this possibility, we performed metabolic pulse-chase and immunoprecipitation analyses with FL-derived megakaryocytes from WT and FOG1 ki/ki mice. Consistent with previous reports,29 P-selectin in WT megakaryocytes is initially synthesized as a core-glycosylated precursor with Mr approximately 126 000 and is rapidly processed by 1 to 2 hours to a mature form with Mr approximately 140 000 (Figure 3A; note the band detected at ∼ 75 kDa was not specific). Although lysates from many more FOG1 ki/ki cells were required to obtain similar levels of core-glycosylated P-selectin precursor after the pulse, P-selectin was normally glycosylated in these cells and matured with kinetics similar to that observed in WT cells (Figure 3A). However, P-selectin half-life is modestly reduced from approximately 6 hours (consistent with the previously determined P-selectin half-life30 ) in WT megakaryocytes to approximately 3.5 hours in FOG1 ki/ki megakaryocytes (Figure 3B). This reduced half-life is consistent with incomplete storage in α-granules and increased lysosomal degradation and probably contributes to the low protein level of P-selectin in FOG1 ki/ki platelets.
Metabolic pulse-chase and immunoprecipitation analysis of P-selectin in FL-derived megakaryocytes. Pulse-chase analysis of P-selectin expression in FL-derived megakaryocytes from WT or FOG1 ki/ki mice. (A) Representative autoradiograph of SDS-PAGE analysis of total megakaryocyte cell lysate input and immunoprecipitated P-selectin at 0 to 6 hours of chase after a 30-minute pulse with 35S-methionine/cysteine. Positions of size markers are shown on left, and 2 arrows indicating the core glycosylated 126-kDa P-selectin precursor form (small arrow) and the 140-kDa P-selectin mature form (larger arrow) are shown on the right.29 (B) P-selectin levels were quantified at each time point and calculated relative to the total amount present at time 0 as a percentage. □ represent WT; and ●, ki/ki curve. Data are mean ± SD. N = 3.
Metabolic pulse-chase and immunoprecipitation analysis of P-selectin in FL-derived megakaryocytes. Pulse-chase analysis of P-selectin expression in FL-derived megakaryocytes from WT or FOG1 ki/ki mice. (A) Representative autoradiograph of SDS-PAGE analysis of total megakaryocyte cell lysate input and immunoprecipitated P-selectin at 0 to 6 hours of chase after a 30-minute pulse with 35S-methionine/cysteine. Positions of size markers are shown on left, and 2 arrows indicating the core glycosylated 126-kDa P-selectin precursor form (small arrow) and the 140-kDa P-selectin mature form (larger arrow) are shown on the right.29 (B) P-selectin levels were quantified at each time point and calculated relative to the total amount present at time 0 as a percentage. □ represent WT; and ●, ki/ki curve. Data are mean ± SD. N = 3.
Localization of α-granule proteins in ki/ki platelets
FOG1 ki/ki platelets do not harbor morphologically normal α-granules and instead harbor a large number of low-density granules (supplemental Figure 1A).13 The reduced half-life of P-selectin in FOG1 ki/ki megakaryocytes (Figure 3) suggested that P-selectin might be mistargeted for lysosomal degradation in these cells and thus might not accumulate appropriately on α-granules; the absence of P-selectin could potentially explain the absence of morphologically normal α-granules in FOG1 ki/ki platelets and the appearance of “empty” granules. We therefore examined the localization of P-selectin and other α-granule markers in platelets from WT and FOG1 ki/ki mice using deconvolution immunofluorescence microscopy and immunoelectron microscopy. Although P-selectin levels are markedly decreased in FOG1 ki/ki platelets, consistent with the results of immunoblotting and immunohistochemistry (Figures 1 and 2), the residual P-selectin targets to granules that are distinct from lysosomes labeled for the lysosomal membrane protein, LAMP131 (Figure 4A). Moreover, 2 other α-granule proteins, VWF and PBP, are also found within similar vesicular profiles in both WT and FOG1 ki/ki platelets that partially overlap with labeling for P-selectin (Figure 4B) and that do not overlap with labeling for LAMP1 (not shown). Immunoelectron microscopic analyses confirmed that both VWF and P-selectin localize to elongated, partially electron-dense membrane-bound structures in FOG1 ki/ki platelets that resemble the larger and more electron-dense α-granules in WT platelets (supplemental Figure 1B). These data indicate that soluble α-granule contents and the residual P-selectin are appropriately delivered to α-granule–like structures in FOG1 ki/ki platelets.
Deconvolution immunofluorescence microscopy analysis of platelets isolated from WT and FOG1 ki/ki mice. (A) Paraformaldhyde-fixed and permeabilized WT and FOG1 ki/ki platelets were labeled with antibodies to P-selection (P-sel; green) and to the lysosomal marker LAMP1 (red). For WT platelets, 3 separate studies are shown on left. Because of the weak P-selectin expression in FOG1 ki/ki platelets relative to WT cells when the images were taken at the same exposure and gain settings as in WT (top row for images 1 and 2 on left), the same P-selectin image was taken at a higher setting to provide a more comparable signal to WT (bottom row for images 1 and 2 on left). There was no obvious variation in LAMP1 levels. Longer exposure of the P-selectin label in FOG1 ki/ki platelets (bottom rows) reveals vesicular labeling that does not overlap with that for LAMP1. (B-C) Resting (top 2 rows) or thrombin-activated (10 minutes; bottom row) platelets were labeled for (B) P-selectin (green) and VWF (red) or (C) P-selectin (green) and PBP (red). P-selectin exposure was again increased for the FOG1 ki/ki and labeling partially overlaps labeling for both VWF and PBP in resting platelets from both WT and FOG1 ki/ki platelets. After thrombin treatment, P-selectin is mobilized to the cell surface in WT but not FOG1 ki/ki platelets. Note that levels of VWF and PBP expression are not substantially different in resting WT and FOG1 ki/ki platelets and do not substantially change on thrombin stimulation of FOG1 ki/ki platelets.
Deconvolution immunofluorescence microscopy analysis of platelets isolated from WT and FOG1 ki/ki mice. (A) Paraformaldhyde-fixed and permeabilized WT and FOG1 ki/ki platelets were labeled with antibodies to P-selection (P-sel; green) and to the lysosomal marker LAMP1 (red). For WT platelets, 3 separate studies are shown on left. Because of the weak P-selectin expression in FOG1 ki/ki platelets relative to WT cells when the images were taken at the same exposure and gain settings as in WT (top row for images 1 and 2 on left), the same P-selectin image was taken at a higher setting to provide a more comparable signal to WT (bottom row for images 1 and 2 on left). There was no obvious variation in LAMP1 levels. Longer exposure of the P-selectin label in FOG1 ki/ki platelets (bottom rows) reveals vesicular labeling that does not overlap with that for LAMP1. (B-C) Resting (top 2 rows) or thrombin-activated (10 minutes; bottom row) platelets were labeled for (B) P-selectin (green) and VWF (red) or (C) P-selectin (green) and PBP (red). P-selectin exposure was again increased for the FOG1 ki/ki and labeling partially overlaps labeling for both VWF and PBP in resting platelets from both WT and FOG1 ki/ki platelets. After thrombin treatment, P-selectin is mobilized to the cell surface in WT but not FOG1 ki/ki platelets. Note that levels of VWF and PBP expression are not substantially different in resting WT and FOG1 ki/ki platelets and do not substantially change on thrombin stimulation of FOG1 ki/ki platelets.
Impaired release of granular content from FOG1 ki/ki mice
Although the morphologically aberrant α-granules in FOG1 ki/ki platelets stored several normal contents appropriately, it was not clear whether these contents were released on platelet stimulation. Indeed, immunofluorescence microscopic analyses of thrombin-activated platelets showed that, whereas P-selectin translocated to the cell surface and VWF and PBP labeling was reduced (because of release) in WT platelets, P-selectin did not translocate to the cell surface and VWF and PBP labeling was not reduced on stimulation of FOG1 ki/ki platelets (Figure 4B). These data suggest that the aberrant α-granules are not released on agonist stimulation in FOG1 ki/ki platelets. To extend these observations, we used flow cytometry to detect surface exposure of P-selectin on platelets after stimulation with different agonists, including AYP (which activates platelets via the thrombin PAR4) and convulxin (which activates platelets via the collagen receptor). Whereas both agonists induced robust surface expression of P-selectin on WT platelets, no surface expression over background levels was detected on FOG1 ki/ki platelets (Figure 5A). Given the low level of total P-selectin in the FOG1 ki/ki platelets, we also used an ELISA assay to measure agonist-stimulated PF4 release. Consistent with the P-selectin surface expression, we could not detect PF4 release from FOG1 ki/ki platelets after thrombin stimulation, and PF4 release was blunted in response to activation of the collagen receptor (Figure 5B). Because this observation is not the result of a lack of PF4 in the ki/ki platelets (Figure 1B), these data indicate that α-granule secretion in response to several agonists is impaired in FOG1 ki/ki platelets.
Activation of FOG1 ki/ki platelets by several agonists is impaired. (A) Relative mean fluorescent intensity of P-selectin on platelets from WT (white bars) or FOG1 ki/ki (gray bars) mice after activation with the thrombin receptor agonist AYP peptide (500μM, left) or the collagen receptor agonist convulxin (24nM, right). The dotted line represents the baseline signal for nonactivated platelets for both WT and ki/ki mice. N = 6, each done in duplicate. Data are mean ± SD. (B) WT or ki/ki platelets were stimulated with thrombin (1 U/mL, left) or convulxin (24nM, right), and supernatants were assayed for PF4 release by ELISA. N = 4, each done in duplicate. Data are mean ± SD. (C) Representative platelet aggregation analysis of WT platelets using a low dose of thrombin (0.08 U/mL) and FOG1 ki/ki platelets using this same dose or a 12.5-fold higher dose (1 U/mL). Aggregation was measured by percentage light transmission. Results are representative of 4 experiments. (D) Representative analysis of platelet ATP secretion in response to thrombin treatment as described in panel C. ATP secretion was measured by a sensitive luminescent assay simultaneously with measurement of aggregation.
Activation of FOG1 ki/ki platelets by several agonists is impaired. (A) Relative mean fluorescent intensity of P-selectin on platelets from WT (white bars) or FOG1 ki/ki (gray bars) mice after activation with the thrombin receptor agonist AYP peptide (500μM, left) or the collagen receptor agonist convulxin (24nM, right). The dotted line represents the baseline signal for nonactivated platelets for both WT and ki/ki mice. N = 6, each done in duplicate. Data are mean ± SD. (B) WT or ki/ki platelets were stimulated with thrombin (1 U/mL, left) or convulxin (24nM, right), and supernatants were assayed for PF4 release by ELISA. N = 4, each done in duplicate. Data are mean ± SD. (C) Representative platelet aggregation analysis of WT platelets using a low dose of thrombin (0.08 U/mL) and FOG1 ki/ki platelets using this same dose or a 12.5-fold higher dose (1 U/mL). Aggregation was measured by percentage light transmission. Results are representative of 4 experiments. (D) Representative analysis of platelet ATP secretion in response to thrombin treatment as described in panel C. ATP secretion was measured by a sensitive luminescent assay simultaneously with measurement of aggregation.
To determine the extent of the defect in the FOG1 ki/ki platelet response to various agonists, we tested platelet aggregation and ATP release from dense granules. Whereas WT platelets responded to thrombin or convulxin by robust aggregation (Figure 5C; supplemental Figure 2A) and ATP secretion (Figure 5D; supplemental Figure 2B), FOG1 ki/ki platelets were unresponsive to thrombin (Figure 5C-D), and aggregated only weakly and degranulated only at very high concentrations of convulxin (supplemental Figures 2A-B). The impaired aggregation and degranulation were not the result of an absence of platelet activation agonist receptors because the surface levels of platelet GPIIb/IIIa and GPIb/GPV/GPIX receptors were normal in FOG1 ki/ki platelets (supplemental Figure 2C). Expression of the collagen receptors GPIV and the 2 thrombin receptors PAR3 and PAR4 on platelets were decreased in FOG1 ki/ki platelets (supplemental Figure 2C-D) by up to approximately 50% of the WT level, probably contributing at least in part to the decreased responsiveness to both agonists.
Consistent with the observed thrombocytopenia and defective platelet activation, all of the tested FOG1 ki/ki mice failed to establish stable occlusions of their carotid arteries after FeCl3 injury in a setting where all of the tested WT littermates occluded (P < .001; supplemental Figure 3). Anecdotally, FOG1 ki/ki mice survived tail snips, but bruised excessively after intraperitoneal injections, and female FOG1 ki/ki mice died during parturition from hemorrhage. Although the data probably in part reflect the low platelet counts in these animals, these data are also consistent with FOG1 ki/ki platelets having a gross defect in platelet aggregation and degranulation, indicating that the GATA1/FOG1 interaction with NuRD is necessary to express fully functional platelets.
Intracellular signaling defects in FOG1 ki/ki platelets
The results shown that FOG1 ki/ki platelets have a major defect in intracellular signaling in addition to α-granule abnormalities and macrothrombocytopenia. The serine/threonine protein kinase Akt is an important signaling intermediate in downstream of platelet activation, and Akt phosphorylation in platelets is induced by several agonists, including thrombin.25,32 The mRNA levels of all 3 isoforms of Akt in FOG1 ki/ki megakaryocytes are similar to controls as determined by microarray analysis (data not shown), and Western blots confirmed that Akt protein levels are similar in FOG1 ki/ki and WT platelets (Figure 6). After stimulation with thrombin, Akt phosphorylation on Ser473 can be detected within 10 minutes on WT platelets, but not at all in FOG1 ki/ki platelets (Figure 6). However, Akt phosphorylation downstream of convulxin, ADP, and thromboxane A2 were normal, consistent with our studies in Figure 5 and supplemental Figure 2. These data indicate that signaling downstream of thrombin receptors is severely and specifically impaired in FOG1 ki/ki platelets. This signaling defect is probably multifactorial but in part the result of a decrease in PAR3 and PAR4 expression (supplemental Figure 2D). The selective defects in platelet activation in response to thrombin in FOG1 ki/ki platelets was reminiscent of observations in GATA1-deficient platelets, which fail to respond to thrombin14 or collagen33 stimulation but are normally responsive to ADP stimluation.14
Impaired Akt phosphorylation in response to thrombin stimulation in FOG1 ki/ki platelets. WT or FOG1 ki/ki platelets were stimulated for 10 minutes with thrombin (1 U/mL), ADP (10μM), convulxin (CVX; 6nM), or the thromboxane A2 analog U46619 (TXA2; 10μM), and then cell lysates were analyzed by Western blot analysis for Akt phosphorylated at Ser473 (P-Akt), total Akt, or β-actin as a control. Shown is a representative Western blot analyzing an equal number of WT and FOG1 ki/ki platelets from littermate mice before or after stimulation by the indicated agonists.
Impaired Akt phosphorylation in response to thrombin stimulation in FOG1 ki/ki platelets. WT or FOG1 ki/ki platelets were stimulated for 10 minutes with thrombin (1 U/mL), ADP (10μM), convulxin (CVX; 6nM), or the thromboxane A2 analog U46619 (TXA2; 10μM), and then cell lysates were analyzed by Western blot analysis for Akt phosphorylated at Ser473 (P-Akt), total Akt, or β-actin as a control. Shown is a representative Western blot analyzing an equal number of WT and FOG1 ki/ki platelets from littermate mice before or after stimulation by the indicated agonists.
Discussion
GPS-like syndromes (OMIM 13) are a heterogeneous group of platelet disorders that have in common gray platelets (as determined by light microscopy) and significant deficiency or absence of morphologically normal α-granules (as determined by electron microscopy). By this definition, the most common form of GPS is the result of mutations in the NBEAL2 gene,15-17 although how NBEAL2 functions in α-granule biogenesis remains unknown. The macrothrombocytopenic GPS phenotype in FOG1 ki/ki mice is probably unrelated to this disorder as the level of total NBEAL2 mRNA in FOG1 ki/ki megakaryocytes is comparable with that in WT megakaryocytes (supplemental Figure 2D), although protein levels could not be examined. Other forms of GPS have been described, including X-linked isoforms linked to GATA1 mutations and a rare dominantly inherited form of GPS.34 We originally described the platelet deficiency in the FOG1 ki/ki mouse as a GPS-like macrothrombocytopenia, and here we have further defined the platelet phenotype in this GPS model. Our results show that the GATA1/FOG1/NuRD transcriptional complex is required for the optimal expression of many tissue-specific genes (Figure 1A), but especially for P-selectin, where a combination of decreased mRNA level and protein stability contributed to a marked decrease in steady-state levels of this protein. FOG1 ki/ki platelets also displayed abnormal α-granule morphology, which is probably a consequence of the modest reduction in mRNA levels for α-granule content proteins and the substantial reduction in total levels of P-selectin. Although not yet definitive, the reduced half-life of P-selectin in FOG1 ki/ki platelets might also reflect partial mis-sorting of α-granule membrane proteins to lysosomes, which would be predicted to further impact α-granule morphology. In addition to α-granule formation defects, FOG1 ki/ki platelets exhibited reduced secretion of α- and dense-granule contents, and reduced platelet activation specifically in response to thrombin. Thus, the defect also differs from that seen in mice with a specific defect in granule release, such as in platelets from Munc13-4–deficient Unc13djinx mice and familial hemophagocytic lymphohistiocytosis subset 3 human patients.35,36 These findings shed substantial new light on the potential pathophysiology of the related X-linked GATA1 GPS and other forms of GPS, and extend the importance of GATA1/FOG1/NuRD complex to multiple areas of platelet biology.
Unlike FOG1 ki/ki megakaryocytes and platelets, the common form of GPS caused by mutations in NBEAL2, in which endogenously synthesized protein contents, such as VWF, PBP, and PF4 are poorly targeted to α-granules and in whom there is a normal level of P-selectin expression.15-17,37,38 Thus, human NBEAL2 GPS is probably not related to the FOG1 ki/ki murine GPS phenotype. Whether other patients with nonclassic GPS involve the GATA1/FOG1/NuRD complex is unclear. Such patients have described bleeding diatheses and defective platelet activation by thrombin and/or collagen.39-43 One patient was reported to have a marked deficiency in platelet GPVI and P-selectin expression42 and may be a candidate for a functional defect in the GATA1/FOG1/NuRD complex. Clearly, differences might also exist between GPS patients and the FOG1 ki/ki mice that might reflect either distinct classes of mutations within the patients compared with the mice or species-specific differences in the genes regulated by the GATA1/FOG1/NuRD axis.
Like platelets in mice and human patients with macrothrombocytopaenia resulting from mutations in GATA1 that impair binding to FOG1,3,5,13 FOG1 ki/ki platelets exhibited a paucity of α-granules and increased numbers of lysosome-like vacuoles. However, a more in-depth comparison of the phenotypic consequences of defects in the GATA1/FOG1/NuRD axis between the FOG1 ki/ki mice and patients with GATA1 X-linked macrothrombocytopenia is hindered by the limited available analyses published to date of the platelet defects in these patients. Affected patients have been analyzed for platelet counts and for light and electron microscopic analyses of platelets and megakaryocytes, but there have been no detailed analyses of the expression of α-granule contents or surface receptors or functional responsiveness to a variety of platelet agonists.3-9 Platelet counts can be very low in these patients and moderate to severe bleeding has been noted.3-7 We propose that analyses similar to those described in this manuscript would reveal overlapping phenotypes with the FOG1 ki/ki mice, providing insights into which GATA1/FOG1 functions involve NuRD complex activity.
It is instructive to compare the phenotype of FOG1 ki/ki mice with the platelet defect in the clinical disorder because of haploinsufficiency of the transcription factor RUNX1 (CBFA2/AML1). RUNX1 is involved in the terminal differentiation of megakaryocytes and is known to interact with GATA1.44 RUNX1-deficient patients have a mild to moderate thrombocytopenia with decreased platelet responsiveness to various agonists and a moderate to severe bleeding diathesis.45 Platelets from these patients express reduced levels of multiple proteins, including 12-lipoxygenase myosin light chain (MYL9), PF4, and platelet protein kinase C-θ, all of which are transcriptionally regulated by RUNX1.46-48 Unlike the FOG1 ki/ki mice, no macrothrombocytes or gray platelets have been noted in RUNX1 haploinsufficient patients, although their platelets show variable aggregation defects and often undergo primary wave aggregation and sometimes full activation to different agonists. These differences in phenotype between RUNX1 haploinsufficient patients and the FOG1 ki/ki mice suggest that GATA1 regulates distinct aspects of platelet biology via distinct transcriptional subcomplexes.
In conclusion, FOG1 ki/ki megakaryocytes have multiple defects that include macrothrombocytopenia and a morphologic defect in α-granules. The defects differ from those in patients with NBEAL2-based GPS in that targeting of cargoes to α-granules is normal, P-selectin levels are unusually low, and NBEAL2 mRNA levels are normal. In addition, FOG1 ki/ki platelets have a major defect in platelet activation, especially after thrombin stimulation, as well as in α- and dense-granule release. The molecular mechanisms underlying these specific defects require further characterization. Whether mutations that impair the formation of the GATA1/FOG1/NuRD macrocomplex underlie a subgroup of GPS patients is not yet known and would require better molecular characterization of the platelets from such patients. Finally, we predict that patients with the X-linked, GATA1-deficient GPS-like syndrome will have significant phenotypic overlap with FOG1 ki/ki mice, consistent with a central role of the NuRD complex in GATA1/FOG1 transcriptional regulation during megakaryopoiesis.
The online version of this article contains a data supplement.
The publication costs of this article were defrayed in part by page charge payment. Therefore, and solely to indicate this fact, this article is hereby marked “advertisement” in accordance with 18 USC section 1734.
Acknowledgments
The authors thank Drs M. Anna Kowalska and Lubica Rauova at the Children's Hospital of Philadelphia for advice and assistance in performing some of the platelet biology studies and for useful discussions relevant to these murine studies.
This work was supported by the National Institutes of Health (RO1 DK058044, G.A.B.; P01 HL040387 and RO1 HL084006, M.P.; R21 HL096865, M.S.M.) and an American Heart Association (fellowship 10POST3870044, R.M.).
National Institutes of Health
Authorship
Contribution: Y.W. was the primary investigator who designed and supervised or carried out the described studies, analyzed and interpreted data, and wrote the manuscript; R.M. performed the immunofluorescence microscopy and metabolic labeling studies; V.H. and R.F. performed the FeCl3 carotid artery injury studies; X.Y. performed statistical analysis and interpreted microarray gene expression data; C.S.A. provided insights into the performance and the data analysis and interpretation of the intracellular signaling studies; H.F.G.H. provided the immunoelectron microscopy studies and assisted in their interpretation; G.A.B. provided the FOG1 ki/ki mice and assisted in overall study design, especially the microarray studies, data interpretation, and manuscript preparation; M.S.M. designed and analyzed the immunofluorescence, immunoelectron microscopy, and metabolic pulse-chase and prepared the manuscript; and M.P. provided overall direction, supervised design and analysis of the studies, and prepared the manuscript.
Conflict-of-interest disclosure: The authors declare no competing financial interests.
Correspondence: Mortimer Poncz, Children's Hospital of Philadelphia, 3615 Civic Center Blvd, ARC, Rm 317, Philadelphia, PA 19104; e-mail: poncz@e-mail.chop.edu.






This feature is available to Subscribers Only
Sign In or Create an Account Close Modal