Abstract
PIM serine/threonine kinases are overexpressed, translocated, or amplified in multiple B-cell lymphoma types. We have explored the frequency and relevance of PIM expression in different B-cell lymphoma types and investigated whether PIM inhibition could be a rational therapeutic approach. Increased expression of PIM2 was detected in subsets of mantle cell lymphoma, diffuse large B-cell lymphoma (DLBLC), follicular lymphoma, marginal zone lymphoma-mucosa–associated lymphoid tissue type, chronic lymphocytic leukemia, and nodal marginal zone lymphoma cases. Increased PIM2 protein expression was associated with an aggressive clinical course in activated B-like-DLBCL patients. Pharmacologic and genetic inhibition of PIM2 revealed p4E-BP1(Thr37/46) and p4E-BP1(Ser65) as molecular biomarkers characteristic of PIM2 activity and indicated the involvement of PIM2 kinase in regulating mammalian target of rapamycin complex 1. The simultaneous genetic inhibition of all 3 PIM kinases induced changes in apoptosis and cell cycle. In conclusion, we show that PIM2 kinase inhibition is a rational approach in DLBCL treatment, identify appropriate biomarkers for pharmacodynamic studies, and provide a new marker for patient stratification.
Introduction
Diffuse large B-cell lymphoma (DLBCL) is the most common type of adult non-Hodgkin lymphoma (NHL), accounting for approximately 40% of all NHL cases.1 Rather than being a simple entity, it encompasses a constellation of different disorders with varying clinical presentations, molecular pathogenesis, and responses to therapy.1 Expression-profile studies have revealed the existence of several DLBCL categories,2 reflecting their origin from discrete B-cell differentiation stages, or the coregulated expression of transcriptional signatures that reflect features of the cell of origin, molecular pathogenesis, or the microenvironment.1,3,4 Three main subtypes can be distinguished on the basis of the cell-of-origin classification: GCB-DLBCL that express germinal center (GC) genes, activated B-like DLBCL (ABC-DLBCL) with a signature including plasma cell and NF-κB–expressed genes, and primary mediastinal DLBCL.5,6 The standard first-line therapy for treating DLBCL patients is a combination of chemotherapeutical agents (cyclophosphamide, doxorubicin, vincristine, and prednisone [CHOP]) with the rituximab (R) chimeric CD20 monoclonal antibody.7 Despite this therapy, the disease remains fatal in 30% to 40% of patients.8 Novel therapeutic opportunities have been proposed based on molecular profiles, suggesting essential regulatory pathways in lymphomas (NF-κB pathway, B-cell receptor signaling, B-cell lymphoma 2, B-cell lymphoma 6, and tumor microenvironment) as candidate targets.9 Although there is a considerable amount of information about the molecular pathogenesis of DLBCL, relatively little progress has been made in developing therapies using compounds that target mutated genes or deregulated pathways. The improved knowledge about the molecular pathogenesis of DLBCL is providing opportunities for new approaches in targeted therapy.
PIM genes have been found to be overexpressed, translocated, or amplified in different NHL types. The PIM kinases are a family of serine/threonine kinases composed of 3 members: PIM1, PIM2, and PIM3. They are involved in the phosphorylation and regulation of several proteins that are essential for cell-cycle progression, metabolism, and apoptosis, such as BAD,10,11 p21,12 p27KIP,1,13 AKT,14 4E-BP1,15 Mdm2,16 c-Myc,17 and others.18 PIM1 collaborates with c-Myc, inducing lymphomagenesis in mice.19,20 Overexpression, translocation, or amplification of PIM family genes has been described in many human cancers, including B-cell NHL,21-23 leukemia,24 multiple myeloma,25 prostate cancer,26 and pancreatic cancer.27 In addition, 38% to 45% of patients diagnosed with DLBCL present somatic mutations in PIM1 as a result of aberrant somatic hypermutation,22,28 whereas increased PIM1 and PIM2 expression have been shown to distinguish ABC-DLBCL.3 These and other observations have encouraged the development of various compounds targeting PIM genes, all of which are effective in the high micromolar range.29-33
The aim of this study is to investigate whether PIM inhibition is a rational therapeutic approach for treating B-cell lymphoma, developing tools for patient stratification at diagnosis or after pharmacodynamic studies.
Methods
Samples
The series included freshly frozen lymph nodes obtained at diagnosis from patients with mantle cell lymphoma (MCL; 24 cases), DLBCL (22 cases), follicular lymphoma (FL; 23 cases), marginal zone lymphoma mucosa-associated lymphoid tissue-type (MZL-MALT; 15 cases), nodal marginal zone lymphoma (NMZL; 13 cases), and chronic lymphocytic leukemia (CLL; 17 cases). We selected samples in which the tumor comprised at least 80% of the sample. Seven freshly frozen lymph nodes and 6 freshly frozen reactive tonsils were used as controls. The proportion of B cells in the reactive samples was estimated by CD20 staining to vary between 35% and 60%. All samples were provided by the CNIO Tumor Bank Unit (Madrid, Spain), in collaboration with the Hospital Virgen de la Salud (Toledo), Hospital 12 de Octubre, Hospital Universitario La Paz, and Hospital Gregorio Marañón (Madrid). The study was performed with the approval of the corresponding Ethical Committee of the Centro Nacional de Investigaciones Oncológicas.
Cell lines, cell culture, and drugs
Human cell lines derived from DLBCL patients HBL-1, HLY-1, MD-901, OCILY-10, OCILY-3, RIVA, U2932, OCILY-19, SUDHL-4, and SUDHL-6 were cultured in RPMI 1640 (Sigma-Aldrich) supplemented with 10% to 20% heat-inactivated FBS, 2mM l-glutamine (Invitrogen), and 100 mg/mL penicillin/streptomycin (Invitrogen) and grown in a humidified atmosphere at 37°C with 5% CO2. ETP-39010 (4-[6-[(4-fluorophenyl)methylamino]imidazo[2,3-f]pyridazin-3-yl]phenol) was developed by the Experimental Therapeutics Program of the CNIO.34
Gene silencing
Small interference RNA (siRNA) against PIM1, PIM2, and PIM3 or a nontemplate control was used to silence PIM kinases in U2932 and RIVA cell lines. siRNAs were purchased as follows: PIM1 (S10527) and PIM2 (s21751) Silencer Select Validated siRNAs were from Ambion; PIM2 (L-005359-00-0005) ON-TARGETplus SMARTpool siRNAs were from Dharmacon RNA Technologies; PIM3 Stealth Select RNAi siRNA (HSS140560) was from Invitrogen; and Silencer Negative Control (AM4611) was from Ambion. Initial studies with 4 different siRNAs were performed to select the most efficient for the knockdown of each targeted gene. Concentrations selected for inhibiting each gene were as follows: 100nM for PIM2 and 50nM for PIM1 and PIM3. siRNAs were efficiently introduced into the cell lines by microporation (Microporator MP-100; Digital Bio). A fluorophore-labeled siRNA (siGLO Red; Dharmacon RNA Technologies) was used to estimate the transfection efficiency, which was > 95% in all experiments. Twenty-four and 48 hours after transfection, cells were washed in PBS and pelleted for viability, cell-cycle analysis, protein extraction, and immunoblotting.
Viability, apoptosis, and cell-cycle analysis
Cell viability was measured by the CellTiter-Glo Luminescent Cell Viability Assay (Promega), following the manufacturer's instructions. Distribution of the cell-cycle phase was determined by staining with 50 μg/mL propidium iodide (PI). Evaluation of the early apoptotic populations (annexin V+/PI−) and late apoptotic or secondary necrotic population (annexin V+/PI+) was performed by annexin V-APC/PI surface staining according to the manufacturer's instructions. Cell-cycle and apoptosis assays were analyzed with an FACSCanto flow cytometer (BD Biosciences). IC50 values were calculated using Prism Version 5 (GraphPad Software).
Western blot
For Western blot, proteins were extracted using radioimmunoprecipitation assay buffer (Sigma-Aldrich) containing protease inhibitor (Roche Diagnostics). Forty micrograms of protein was resolved by SDS-PAGE on a 12% to 15% gel and transferred to nitrocellulose membranes (Millipore). Membranes were blocked in 5% BSA and incubated with primary antibodies. They were then incubated with goat anti–rabbit IgG, goat anti–mouse IgG, or donkey anti–goat IgG secondary antibodies (Alexa 680 nm or Alexa 800 nm, Rockland Immunochemicals) and scanned with an Odyssey infrared system scanner (LI-COR Biosciences). Primary antibodies were purchased as follows: BAD (9292), pBAD(Ser112) (9291), AKT (9272), PIM2 (D1D2; 4730), 4E-BP1 (53H11); 9644), p4E-BP1(Thr37/46; 2855), p4E-BP1 (S65; 9456) were from Cell Signaling Technology; PIM1 (12H8; sc-13513) was from Santa Cruz Biotechnology; pAKT(Ser473) was from BD Biosciences; and α-tubulin (T-6074) was from Sigma-Aldrich.
Oligonucleotide microarray analysis of gene expression
Gene expression profiling was conducted in a series of 114 B-cell NHL patients (DLBCL, FL, MALT, MCL, CLL, and NMZL). Total RNA was extracted from frozen tumor samples using the TRIzol reagent (Invitrogen) and purified and treated with RNase-free DNase I using the RNeasy kit (QIAGEN). RNA for gene expression profiling was hybridized on a Whole Human Genome Agilent 4X44K oligonucleotide microarray (Agilent Technologies). Total RNA extraction and purification, amplification, labeling, hybridization to Agilent 44K Human Whole Genome microarrays, and scanning of output image files were performed according to the manufacturer's instructions. Data were normalized using the Feature Extraction (Version 9.0) program. All microarray data are available at the Gene Expression Omnibus under accession GSE32018.
Gene set enrichment analysis
The Gene Set Enrichment Analysis tool (http://www.broad.mit.edu/gsea/) was used to explore functional gene sets, allowing the interpretation of complete gene expression data in relation to PIM1, PIM2, and PIM3 expression. The gene sets coregulated with PIM1, PIM2, and PIM3 expression were identified using Pearson correlation, with a minimum of 10 and a maximum of 500 genes per gene set being required to qualify them for further analysis. The selected gene sets were compared with the Lymphoma-Enriched BioCarta database that contains selected gene sets from the BioCarta pathways (http://www.biocarta.com/) and previously published B-cell NHL gene signatures.35 Gene sets with a false discovery rate < 0.25 were considered significant.
Real-time quantitative PCR
RNA from frozen tissues was extracted according to standard procedures. Expression of mRNA for PIM2 was measured with the use of TaqMan Gene Expression Assays-on-Demand (Applied Biosystems). GUSB was used as an endogenous gene. Quantitative reverse transcriptase PCR (qRT-PCR) reactions were performed in triplicate with the ABI Prism 7900 sequence detector system (Applied Biosystems). Ct values were exported using SDS Version 2.3 software, and ΔCT and RQ (2-ΔΔCT) were calculated using Stratagene Universal Human Reference RNA (Agilent Technologies) as the calibrator.
Tissue microarrays and immunostaining techniques
Immunohistochemical (IHC) expression of PIM2 was assessed using tissue microarrays (TMAs) for an additional subset of 176 DLBCL tumoral samples. Histologic criteria used for their diagnosis and classification were those of the World Health Organization classification.1 All cases positively stained for CD20. GCs and ABCs were subclassified using the algorithm described by Choi et al.5 IHC was performed on these TMA sections using PIM2 mouse monoclonal antibody (clone ANI165B; see “Methods” in supplemental Figure 1, available on the Blood Web site; see the Supplemental Materials link at the top of the online article). To ensure the reproducibility of this method, we used straightforward, clear-cut criteria, and cases were scored as positive (1) or negative (0) for PIM2 antibody when distinct, strong nuclear or cytoplasmic expression was present in most of the neoplastic cells. Whole-tissue sections from reactive lymph node, thymus, spleen, and tonsillectomy specimens were used for the analysis of benign lymphoid subpopulations. The microscope model was Olympus BX50 and the camera model was DP52.
Statistics
The Kaplan-Meier method was used to estimate the distributions of overall survival (OS) and progression-free survival (PFS).36 OS was considered as the time from diagnosis to the date of death from any cause or last contact. PFS was calculated from the time of diagnosis to the date of relapse, death or loss. OS and PFS were calculated according to the definition of Cheson et al.37 The log-rank test was used to compare survival distributions.38 SPSS Version 17.0 (SPSS) was used for these analyses.
Results
PIM genes are differentially expressed in NHLs
We analyzed the gene expression profiling data in this series of 114 NHL patients. The data revealed an increased expression of some PIM family members in subsets of MCL, DLBLC, FL, MZL-MALT, CLL, and NMZL cases, compared with reactive tonsils and lymph nodes (Figure 1). Thus, 29% (5/17) of CLL patients, 32% (7/22) of DLBCL patients, and 29% (7/24) of MCL patients had a high level of PIM1 expression (> 2-fold), whereas the expression of PIM2 was increased (> 2-fold) in 76% (13/17) of CLL patients, 45% (10/22) of DLBCL patients, 30% (7/23) of FL patients, 80% (12/15) of MZL-MALT patients, 25% (6/24) of MCL patients, and 77% (10/13) of NMZL patients. No differences (> 2-fold) were observed in PIM3 expression.
PIM genes are differentially expressed in B-cell NHL cases. (A) Heatmap showing PIM kinase gene expression of the complete series of 114 NHL patients and 14 control tissues. Data were normalized with respect to reactive lymph node and tonsils. (B) PIM expression in various B-cell lymphoma types. Gene expression data were normalized with respect to lymph node expression. Log 2 ratios are shown, and the mean of the series is included for each lymphoma type. There is an increase in the expression of PIM1 and PIM2 in subsets of most lymphoma types.
PIM genes are differentially expressed in B-cell NHL cases. (A) Heatmap showing PIM kinase gene expression of the complete series of 114 NHL patients and 14 control tissues. Data were normalized with respect to reactive lymph node and tonsils. (B) PIM expression in various B-cell lymphoma types. Gene expression data were normalized with respect to lymph node expression. Log 2 ratios are shown, and the mean of the series is included for each lymphoma type. There is an increase in the expression of PIM1 and PIM2 in subsets of most lymphoma types.
Pathways coregulated with PIM kinases across NHL types
To identify enriched genes sets, we conducted gene set enrichment analysis in the complete series of patients (including DLBCL, FL, MALT, MCL, CLL, and NMZL) and controls (lymph nodes and reactive tonsils). We used the Pearson correlation coefficient to identify genes coregulated with the expression of PIM1, PIM2, or PIM3 genes (supplemental Table 1). Our results suggest that these genes may have different roles in NHL B cells (according to the pathways positively correlated with them; Table 1). We found that variation in the level of expression of PIM2 was significantly associated (P < .05) with some of the most important pathways in B-cell lymphoma pathogenesis, including cytokine pathways (such as IL2, IL6, and IL3), JAK-STAT, NF-κB, ERK, and MAPK pathways, among others (Table 1). PIM3 was negatively correlated with pathways involved in cell proliferation and oncogenesis, such as those of G2 and c-Myc.
Pathways coregulated with PIM kinases among B-cell NHL types
| . | Pathway . | PIM1 . | PIM2 . | PIM3 . |
|---|---|---|---|---|
| Positive | IL2RB pathway | 0.053 | ||
| JAK/STAT pathway | 0.056 | |||
| JAK/STAT receptors | 0.076 | |||
| IL2 pathway | 0.076 | |||
| p38 MAPK pathway | 0.129 | |||
| BM plasma cell | 0.126 | |||
| NF-κB total pathway | 0.118 | |||
| CD40 signalling during GC dev | 0.123 | |||
| B cells_IgM_IgD_CD27+ | 0.105 | 0.159 | ||
| IL6 pathway | 0.160 | |||
| IL3 pathway | 0.177 | |||
| NF-κB pathway canonic | 0.183 | |||
| T-cell cytokine signalling | 0.175 | |||
| NF-κB target genes | 0.226 | |||
| Dendritic cell pathway | 0.224 | |||
| MAPK pathway | 0.212 | |||
| Plasmacytoid dendritic cell | 0.204 | |||
| NKT pathway | 0.230 | |||
| RELA pathway | 0.228 | |||
| TNFR2 pathway | 0.237 | |||
| Blood monocyte | 0.196 | |||
| Negative | BLIMP-1 targets | 0.198 | ||
| G2 pathway | 0.170 | |||
| Apoptosis_CCG | 0.134 | |||
| Cell cycle pathway | 0.150 | |||
| c-Myc targets | 0.136 | |||
| CK1 pathway | 0.160 | |||
| Genes up-regulated by Myc | 0.142 | |||
| Creb pathway | 0.169 |
| . | Pathway . | PIM1 . | PIM2 . | PIM3 . |
|---|---|---|---|---|
| Positive | IL2RB pathway | 0.053 | ||
| JAK/STAT pathway | 0.056 | |||
| JAK/STAT receptors | 0.076 | |||
| IL2 pathway | 0.076 | |||
| p38 MAPK pathway | 0.129 | |||
| BM plasma cell | 0.126 | |||
| NF-κB total pathway | 0.118 | |||
| CD40 signalling during GC dev | 0.123 | |||
| B cells_IgM_IgD_CD27+ | 0.105 | 0.159 | ||
| IL6 pathway | 0.160 | |||
| IL3 pathway | 0.177 | |||
| NF-κB pathway canonic | 0.183 | |||
| T-cell cytokine signalling | 0.175 | |||
| NF-κB target genes | 0.226 | |||
| Dendritic cell pathway | 0.224 | |||
| MAPK pathway | 0.212 | |||
| Plasmacytoid dendritic cell | 0.204 | |||
| NKT pathway | 0.230 | |||
| RELA pathway | 0.228 | |||
| TNFR2 pathway | 0.237 | |||
| Blood monocyte | 0.196 | |||
| Negative | BLIMP-1 targets | 0.198 | ||
| G2 pathway | 0.170 | |||
| Apoptosis_CCG | 0.134 | |||
| Cell cycle pathway | 0.150 | |||
| c-Myc targets | 0.136 | |||
| CK1 pathway | 0.160 | |||
| Genes up-regulated by Myc | 0.142 | |||
| Creb pathway | 0.169 |
Values are of the significance of false discovery rate. We conducted gene set enrichment analysis in the complete series of patients (including DLBCL, FL, MALT, MCL, CLL, and NMZL) and controls (lymph nodes and reactive tonsils). We used the Pearson correlation coefficient to identify pathways coregulated with the expression of either PIM1, PIM2, or PIM3 genes. PIM2 expression was significantly associated with a larger series of significant gene sets.
Diffuse large B-cell lymphoma
Several lines of evidence suggest that PIM1 and PIM2 may be involved in DLBCL pathogenesis; PIM1 has been described as a target for aberrant somatic hypermutation in DLBCL,28 whereas PIM1 and PIM2 expression distinguish the ABC-DLBCL subtype.3 Consequently, we decided to explore PIM kinases as candidate therapeutic targets for DLBCL treatment, focusing our studies on PIM2.
Data from gene expression analysis revealed that 45% (10/22) of DLBCL patients showed a high level of PIM2 expression (> 2-fold) relative to that in reactive tonsils and lymph nodes (Figure 1). To validate these results, we examined PIM2 protein expression by IHC in an independent series of 176 homogeneously treated DLBCL patients, 74 of whom had a GC phenotype and 102 an ABC phenotype. In reactive lymphoid tissue, PIM2 expression was restricted to a small subset of GC B cells, mainly centrocytes and plasma cells (Figure 2A-B). In contrast, 23% (41/176) of DLBCL cases exhibited strong nuclear positivity, cytoplasmic positivity, or both for PIM2 (Figure 2C-D), although this was more frequent in the ABC-DLBCL subtype (28/102; 27%) than in the GC subtype (13/74; 18%).
PIM2 expression in human DLBCL samples and cell lines. PIM2 immunohistochemical staining of reactive tonsil: original magnification (A) and 100× (B). IHC staining of DLBCL tissues: negative (C) and positive (D) PIM2 staining. Western blot analysis (E) and qRT-PCR (F) of PIM2, in a panel of DLBCL cell lines characteristics of GC or post-GC. The expression of PIM2 is significantly higher (t test, *P < .02) in cell lines of the ABC-DLBCL subtype. The levels of PIM2 were quantified from the Western blot using ImageJ 1.36b (National Institutes of Health) and normalized against α-tubulin. Data are representative of 2 independent experiments. RQ (2-ΔΔCT) was calculated using Universal Human Reference RNA (Stratagene) as the calibrator. RT-PCR reactions were performed in triplicate.
PIM2 expression in human DLBCL samples and cell lines. PIM2 immunohistochemical staining of reactive tonsil: original magnification (A) and 100× (B). IHC staining of DLBCL tissues: negative (C) and positive (D) PIM2 staining. Western blot analysis (E) and qRT-PCR (F) of PIM2, in a panel of DLBCL cell lines characteristics of GC or post-GC. The expression of PIM2 is significantly higher (t test, *P < .02) in cell lines of the ABC-DLBCL subtype. The levels of PIM2 were quantified from the Western blot using ImageJ 1.36b (National Institutes of Health) and normalized against α-tubulin. Data are representative of 2 independent experiments. RQ (2-ΔΔCT) was calculated using Universal Human Reference RNA (Stratagene) as the calibrator. RT-PCR reactions were performed in triplicate.
In addition, the expression of PIM2 kinase was investigated in the DLBCL cell lines (HBL-1, HLY-1, MD-901, OCILY-10, OCILY-3, RIVA, U2932, OCILY-19, SUDHL-4, and SUDHL-6) using Western blot. Cell lines characteristic of the GC DLBCL subtype (OCILY-19, SUDHL-4, and SUDHL-6) expressed low levels of PIM2 protein, whereas ABC-DLBCL cell lines (HBL-1, HLY-1, MD-901, OCILY-10, OCILY-3, RIVA, and U2932) showed high levels of expression of PIM2 (P = .017; Figure 2E). The expression of PIM2 kinase also was investigated by qRT-PCR, showing a relatively good correlation between mRNA and protein expression (P < .001; data not shown).
PIM pharmacologic inhibition induces apoptosis and cell-cycle arrest in DLBCL cell lines
Bearing in mind that PIM2 was found highly expressed in a subset of patients and cell lines characteristic of ABC-DLBCL subtype, and taking into account its proposed role in tumor resistance to apoptosis,39 we decided to evaluate whether inhibiting PIM2 kinases could have any effect in cell proliferation and survival. Because no specific inhibitor of PIM2 kinases activity has been developed to date, we treated ABC-DLBCL cell lines with the small-molecule pan-PIM kinase inhibitor ETP-39010.34,40 The IC50 values determined for ETP-39010 was in the low micromolar range for the DLBCL cell lines (Table 2).
Sensitivity to PIM pharmacologic inhibition in a panel of DLBCL cell lines
| Line . | IC50,* μM ETP-39010 . |
|---|---|
| DOHH-2 | 2.09 |
| OCILY-19 | 3.56 |
| SUDHL-6 | 0.66 |
| HBL-1 | 1.8 |
| OCILY-10 | 1.9 |
| OCILY-3 | 1.61 |
| RIVA | 1.6 |
| U2932 | 4.9 |
| Line . | IC50,* μM ETP-39010 . |
|---|---|
| DOHH-2 | 2.09 |
| OCILY-19 | 3.56 |
| SUDHL-6 | 0.66 |
| HBL-1 | 1.8 |
| OCILY-10 | 1.9 |
| OCILY-3 | 1.61 |
| RIVA | 1.6 |
| U2932 | 4.9 |
The IC50 value was calculated for each of the DLBCL human cell lines. DLBCL cell lines were treated with 0 to 100μM ETP-39010 for 72 hours and then assayed for cell viability by MTT assay.
Increased apoptosis was detected after 24 to 48 hours by annexin V+ and PI staining. A time-dependent increase in the population of apoptotic cells was observed in all cell lines (Figure 3A). The OCILY-10 cell line was the most sensitive to PIM inhibitor, showing 48% apoptosis 24 hours after inhibition and 71% after 48 hours. The effect of PIM inhibitor on the cell cycle in DLBCL cell lines also was investigated. The cell cycle of DLBCL cell lines treated with ETP-39010 or vehicle alone (DMSO) analyzed at 24 and 48 hours and the cell-cycle distribution were examined by flow cytometry (Figure 3B). G1 cell-cycle arrest was observed in HBL-1 and OCILY-3 cells after 24 hours of treatment and in HBL-1, OCILY-10, and OCILY-3 cells after 48 hours of treatment.
Inhibition of PIM kinases induces apoptosis and cell-cycle arrest in DLBCL cell lines. (A) Induction of apoptosis after treatment for 24 and 48 hours with ETP-39010 at 10μM. The experiment was carried out in triplicate, and SD from the mean is represented with error bars. Statistical comparison of treated (ETP-39010) and untreated (DMSO) cells is indicated (*P < .05; **P < .001). (B) Cell-cycle analysis of DLBCL cell lines treated with ETP-39010 (green line) or vehicle alone (DMSO; red line) was performed for 24 and 48 hours. Cells were stained with PI and analyzed for cell-cycle distribution by flow cytometry. HBL-1, OCILY-10, and OCILY-3 cells were arrested in G1 phase and underwent time-dependent apoptosis. The experiment was carried out in triplicate, and SD from the mean is represented in parentheses.
Inhibition of PIM kinases induces apoptosis and cell-cycle arrest in DLBCL cell lines. (A) Induction of apoptosis after treatment for 24 and 48 hours with ETP-39010 at 10μM. The experiment was carried out in triplicate, and SD from the mean is represented with error bars. Statistical comparison of treated (ETP-39010) and untreated (DMSO) cells is indicated (*P < .05; **P < .001). (B) Cell-cycle analysis of DLBCL cell lines treated with ETP-39010 (green line) or vehicle alone (DMSO; red line) was performed for 24 and 48 hours. Cells were stained with PI and analyzed for cell-cycle distribution by flow cytometry. HBL-1, OCILY-10, and OCILY-3 cells were arrested in G1 phase and underwent time-dependent apoptosis. The experiment was carried out in triplicate, and SD from the mean is represented in parentheses.
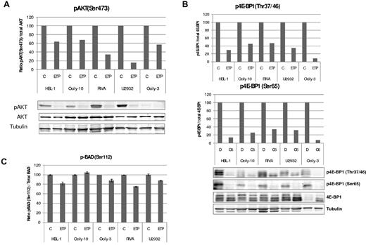
Biomarkers of PIM inhibition: AKT, BAD, and 4E-BP1
Several substrates of PIM kinase activity have been described in the literature.3,10-14,16,17 PIM kinases bind to, phosphorylate, and inactivate BAD, both in vitro and in vivo, on Ser112, a gatekeeper residue for its activation and apoptotic resistance.10,11 Treatment of DLBCL cells with 10μM ETP-39010 for 4 hours resulted in a maximum decrease of 20% in BAD-phosphorylation at Ser112, whereas the total amount of BAD remained unchanged (Figure 4C). Because the reduction in phosphorylated-BAD levels was less than expected after PIM inhibition, additional PIM substrates were assayed. We focused our efforts on the study of AKT, first because of the involvement of AKT in BAD phosphorylation, and second because of the involvement of the PI3K/AKT pathway in regulating PIM1 expression under hormone stimulation and prostate cancer progression.14 It also has been reported that PIM1 overexpression increases AKT expression and phospho-AKT (Ser473) levels, indicating the existence of a regulatory feedback mechanism between these 2 proteins.41 Western blot analysis of cell lysates from ETP-39010–treated ABC-DLBCL cells shows that the phosphorylation of AKT at Ser473 was almost completely inhibited relative to the total amount of AKT protein in RIVA and U2932 cell lines, whereas a reduction of ∼ 40% was observed in the remaining 3 cell lines (Figure 4A). These data suggest that ETP-39010's mechanism of action involves the regulation of AKT phosphorylation.
Biomarkers of PIM inhibition. DLBCL cells were incubated for 4 hours with ETP-39010 (10μM) or vehicle DMSO alone (represented as ETP and C, respectively). (A-B) Cellular levels of AKT, pAKT (Ser473), 4E-BP1, and p4E-BP1(Thr37/65) were detected by Western blot using antibodies for these proteins and tubulin as the loading control. Bands were quantified using ImageJ 1.36b (National Institutes of Health), and the ratios of phosphorylated to total protein are presented. The blot is representative of 2 independent experiments. (C) Cellular levels of pBAD (Ser112) and BAD were measured by flow cytometry, and the ratios of phosphorylated to total protein are presented (each column represents ratios from triplicate experiments).
Biomarkers of PIM inhibition. DLBCL cells were incubated for 4 hours with ETP-39010 (10μM) or vehicle DMSO alone (represented as ETP and C, respectively). (A-B) Cellular levels of AKT, pAKT (Ser473), 4E-BP1, and p4E-BP1(Thr37/65) were detected by Western blot using antibodies for these proteins and tubulin as the loading control. Bands were quantified using ImageJ 1.36b (National Institutes of Health), and the ratios of phosphorylated to total protein are presented. The blot is representative of 2 independent experiments. (C) Cellular levels of pBAD (Ser112) and BAD were measured by flow cytometry, and the ratios of phosphorylated to total protein are presented (each column represents ratios from triplicate experiments).
Interestingly, recent studies in T-cell lymphomas suggest a role for PIM kinases in modulating the mammalian target of rapamycin complex (mTORC) 1 pathway through the phosphorylation of 4E-BP1 at Thr37/46 residue15 as well as the involvement of PIM2 in phosphorylation of 4E-BP1 at Ser65 residue.39 Our data extend these observations to DLBCL cells, showing an almost complete inhibition of 4E-BP1 phosphorylation at Thr37/46 and Ser65, 4 hours after treatment with ETP-39010 (Figure 4B).
PIM2 genetic inhibition
With the intention of refining the analysis and distinguishing whether previously described results were a consequence of inhibiting the highly expressed PIM2 or whether a simultaneous inhibition of all 3 PIM kinases was required, we carried out an independent genetic inhibition of PIM2. For this purpose, we used 2 independent sets of siRNAs against PIM2 in 2 ABC-DLBCL cell lines: RIVA and U2932. Western blot analysis of cell lysates demonstrated a 70% down-regulation of PIM2 protein levels in the U2932 cell line, whereas a reduction of 40% was observed in the RIVA cell line (Figure 5A). In parallel with the inhibition of PIM2 kinase, a decrease in phosphorylation of 4E-BP1 was observed at 2 different residues (Ser65 and Thr37/46) in both U2932 and RIVA cell lines (Figure 5A). These results indicate that PIM2 kinase has an active role in the regulation of the mTORC1 pathway. Its role in the activity of mTORC2 pathway also was examined, by measuring changes in AKT phosphorylation at Ser473. Only a slight inhibition of AKT phosphorylation was observed after PIM2 inhibition, indicating that PIM2 has not a main role in the regulation of mTORC2 pathway in the studied cell lines.
PIM2 knockdown: biomarkers and effects on apoptosis and cell cycle. (A) Western blot analysis of PIM2, p4E-BP1(Thr37/46), and p4E-BP1(Ser65) in RIVA and U2932 cell lines. Knockdown inhibition of PIM2 was achieved with 2 independent sets of siRNAs: siRNA1 (L-005359-00-0005) and siRNA2 (s21751). siRNAs with sequences that do not target any gene product (scramble) were used as controls. Bands were quantified using ImageJ 1.36b (National Institutes of Health), and the ratio of phosphorylated to total protein was calculated. The blot is representative of 2 independent experiments. (B) Induction of apoptosis and cell cycle were measured 24 and 48 hours after knockdown inhibition of PIM1, PIM2 (siRNA1 and siRNA2), PIM3, or the simultaneous inhibition of all 3 PIM family members using either PIM2-siRNA1 or PIM2-siRNA2 (T-siRNA1 or T-siRNA2, respectively). Scrambled siRNAs were used as controls. No effects on cell cycle were observed at any time or with any siRNA combination (see supplemental Table 2 for quantification of cell-cycle data).
PIM2 knockdown: biomarkers and effects on apoptosis and cell cycle. (A) Western blot analysis of PIM2, p4E-BP1(Thr37/46), and p4E-BP1(Ser65) in RIVA and U2932 cell lines. Knockdown inhibition of PIM2 was achieved with 2 independent sets of siRNAs: siRNA1 (L-005359-00-0005) and siRNA2 (s21751). siRNAs with sequences that do not target any gene product (scramble) were used as controls. Bands were quantified using ImageJ 1.36b (National Institutes of Health), and the ratio of phosphorylated to total protein was calculated. The blot is representative of 2 independent experiments. (B) Induction of apoptosis and cell cycle were measured 24 and 48 hours after knockdown inhibition of PIM1, PIM2 (siRNA1 and siRNA2), PIM3, or the simultaneous inhibition of all 3 PIM family members using either PIM2-siRNA1 or PIM2-siRNA2 (T-siRNA1 or T-siRNA2, respectively). Scrambled siRNAs were used as controls. No effects on cell cycle were observed at any time or with any siRNA combination (see supplemental Table 2 for quantification of cell-cycle data).
Apoptosis and cell-cycle analysis of DLBCL cell lines was performed 24, 48, and 72 hours after microporation. In contrast with findings from ETP-39010 treatment, no effect on apoptosis was detected in RIVA or U2932 cells after PIM2 inhibition. Because ETP-39010 is a pan-PIM kinase inhibitor, we decided to check whether a simultaneous inhibition of all 3 kinases was required. Our results revealed 30% apoptosis in both U2932 and RIVA cell lines 24 and 48 hours after simultaneous inhibition of all 3 kinases (Figure 5B), our results being consistent with those from pharmacologic inhibition.
Clinical correlation
There are several lines of evidence associating PIM expression with poor prognosis in most hematopoietic malignancies.3,21 In particular, PIM1 expression has been described as a predictor of poor outcome in MCL.21 To establish whether differences observed in the intensity of the expression of PIM2 protein were associated with clinical outcome, we used the Kaplan-Meier method to compare high with low or undetectable PIM2 IHC expression in the DLBCL series. Patients who were positive for PIM2 expression seemed to have a shorter OS (P = .001; Figure 6A). When DLBCL cases were divided into GC and ABC phenotypes, the difference in survival probability was shown to be restricted to those of the ABC-DLBCL subtype (Figure 6B).
PIM2 is associated with shorter OS and PFS in ABC-DLBCL patients. Kaplan-Meier survival curves of the entire series of 176 DLBCL patients, analyzed as a group (A) or separately by its main subtypes (B): ABC-DLBCL and GC-DLBCL; PIM2-positive cases are represented in green; negative cases are shown in blue. Kaplan-Meier analysis and the log-rank test gave significant results for OS and PFS relative to the ABC-DLBCL subtype.
PIM2 is associated with shorter OS and PFS in ABC-DLBCL patients. Kaplan-Meier survival curves of the entire series of 176 DLBCL patients, analyzed as a group (A) or separately by its main subtypes (B): ABC-DLBCL and GC-DLBCL; PIM2-positive cases are represented in green; negative cases are shown in blue. Kaplan-Meier analysis and the log-rank test gave significant results for OS and PFS relative to the ABC-DLBCL subtype.
Discussion
Here, we performed gene expression analysis of all 3 PIM kinases in a series of 114 NHL patients, featuring the most frequent subtypes of B-cell lymphoma (DLBCL, FL, MALT, MCL, NMZL, and CLL). Our results reveal subsets of patients with high expression levels of PIM1 (CLL, DLBCL, and MCL) and PIM2 (CLL, DLBCL, FL, MALT, MCL, and NMZL; Figure 1), thus confirming previous suggestions of a pathogenic role for PIM kinases in different NHL subtypes (eg, DLBCL, MCL).3,21,28,42 With the intention of discerning whether these differences were associated with any particular biologic role, we examined whether the PIM family gene expression pattern was coregulated with gene sets or functional pathways.
The results showed PIM2 expression to be associated with B-cell survival pathways such as those involving cytokines (IL6, IL10, and IL3) and CD40, NF-κB, and p53 signaling. Consistent with previously published data, PIM1 was found to be positively correlated with the p53,16 FAS, and caspase pathways. PIM3 expression exhibited mainly negative associations (with c-Myc and BLIMP-1 targets and G1 and cell-cycle pathways) and a positive association with the KRAS signature. Although it has been hypothesized that PIM1, PIM2, and PIM3 have some functional redundancy,20,43,44 very few enriched gene sets were shared by PIM family members. In fact, pathways associated with the PIM3 signature differ completely from those associated with PIM1 and PIM2, suggesting dissimilar roles, at least in B-cell lymphoma.
The expression of PIM genes is induced by multiple cytokines through the activation of JAK/STAT signaling pathways.12,45 Recent findings have implicated PIM1 in the regulation of suppressor of cytokine signaling 1 (SOCS-1), a negative regulator of the JAK/STAT pathway, and they suggested that PIM1 also can modulate cytokine signaling pathways in addition to its role as a direct effector kinase.26 Our findings show that, in B-cell lymphomas, PIM1 and PIM2 are positively coregulated with the JAK/STAT pathway, whereas PIM3 has no such association. However, slight differences were observed among JAK/STAT genes coregulated with PIM1 and PIM2. Although PIM2 was coregulated with PIAS3, PTPN6, and PTPRC pathway inhibitors, PIM1 was coregulated with SOCS-1 (supplemental Table 1). Both genes were positively associated with different JAK/STAT genes (JAK1, JAK2, STAT1, and STAT3), but PIM2 also was associated with JAK3, STAT5A, and IL6ST.
The discovery of PIM serine/threonine kinase involvement in development and progression of several cancers has made PIM kinases the object of pharmaceutical interest,42 and some chemical compounds or specific antibodies have already been found to have an inhibitory effect on them.29-33 Given the existence of PIM1 somatic mutations in DLBCL28 and the increased expression of PIM1 and PIM2 in the ABC-DLBCL subtype,3 we decided to focus our studies on DLBCL cases and cells, using genetic inhibition and the novel pan-PIM kinase inhibitor ETP-39010 in parallel.40 Our results reveal that the inhibition of PIM kinases is cytotoxic for DLBCL cell lines and that toxicity is time-dependent (Figure 3A). Moreover, addition of the PIM-inhibitor ETP-39010 induces G1 cell-cycle arrest in HBL-1, OCILY-10, and OCILY-3 cells. The genetic inhibition studies described here reveal that induction of apoptosis in the RIVA and U2932 cell lines requires the simultaneous inhibition of PIM1, PIM2, and PIM3. In fact, PIM3 has a central role in the induction of apoptosis in the RIVA cell line. The possibility of overlapping substrates and the suggestion of additive effects20 of the different PIM family members as demonstrated by the triple knockout46 indicates that the inhibition of all isoforms may be more effective than targeting individual isoforms. Nevertheless, it is a concern that PIM kinase inhibition may be generally toxic and not highly preferential to the tumor cells, leading to substantial side effects on normal cells. However, the lack of any overt phenotypes in Pim1−/−; Pim2−/−; Pim3−/− mice indicates that PIM inhibition might not have side effects on normal B cells.46
The identification of molecular biomarkers characteristic of PIM activity is one of our areas of interest. Several such biomarkers have been described in the literature, including cell-cycle regulators (p21CIP1/WAF,1,12 CdC25C,47 C-TAK1,48 and p27KIP13), proteins involved in proliferation and cell survival (BAD10 ) and those regulating signaling pathways (SOCS,29 COT (IKKB),49 and AKT32 ). Although phosphorylation of BAD at Ser112 is one of the main targets of PIM kinases, our results show a weak response to PIM inhibition, with a maximal inhibition of 20%. This result suggests either the existence of additional targets of major importance in DLBCL or the presence of proteins with a similar substrate. Accordingly, we decided to study phosphorylation at 2 additional targets: AKT on Ser473 and 4E-BP1 on the Thr37/46 and Ser65 residues. AKT is a protein with a possibly redundant role in regulating cellular proliferation and survival, because of the similar substrate specificities shared by PIM1 and AKT.41 Recent studies have suggested that PIM kinases help to modulate the mTORC1 pathway by phosphorylating 4E-BP1 at the Thr37/46 residue, but conversely, they have no effect on the mTORC2 substrate AKT on Ser473.15 Our findings show that both pathways are regulated by PIM kinases in DLBCL cell lines, because reduced phosphorylation of 4E-BP1 at Thr37/46 and of AKT at Ser473 was observed 4 hours after treatment with ETP-39010. Moreover, an almost complete inhibition of phosphorylation of 4E-BP1 at the Ser65 residue was observed in all the studied DLBCL cell lines. The independent genetic inhibition of PIM2 confirmed its involvement in the phosphorylation of 4EBP1 on either Ser65 or Thr37/46 residue, supporting 4EBP1 phosphorylation as an optimal biomarker of PIM2 inhibition. Despite the strong reduction of AKT phosphorylation observed with ETP-39010, no inhibition was noticed after PIM2 gene knockdown, meaning that results obtained after pharmacologic treatment can either be a consequence of PIM1 inhibition32 or because of the existence of other targets for the compound used here.50
Diffuse large B-cell lymphoma is the most frequent form of aggressive lymphoma and accounts for 30% to 40% of newly diagnosed lymphomas. The standard therapy used for these patients (R-CHOP treatment) can cure 55% to 60% of cases. It also has been shown that patients with the GCB subtype have favorable OS rates after R-CHOP treatment compared with those of the ABC subtype.9 In the series reported here, we found that the expression of PIM2 protein distinguishes a group of ABC-DLBCL cases with aggressive behavior after R-CHOP treatment, a group of patients who are candidates for pharmacologic PIM inhibition (Figure 6). The characteristics of these cases did not fully coincide with those described as STAT3+ DLBCL, a subset of tumors that also display aggressive behavior,51 because there was no direct correlation between PIM2 and STAT3 expression (Pearson correlation coefficient, 0.2; P > .01; data not shown).
The identification of novel potential therapeutic targets provides new opportunities for the treatment of aggressive DLBCL cases. In this study, we show that PIM2 inhibition is a rational approach to DLBCL treatment and that it can be accomplished through genetic or pharmacologic inhibition. The study identifies also markers for patient stratification (PIM expression) and pharmacodynamic studies (p4EBP1). Our findings also confirm that PIM2 regulates the expression of 4E-BP1, a pharmacodynamic marker of mTOR activity, suggesting that PIM2 is involved in regulating cell metabolism.42
The online version of this article contains a data supplement.
The publication costs of this article were defrayed in part by page charge payment. Therefore, and solely to indicate this fact, this article is hereby marked “advertisement” in accordance with 18 USC section 1734.
Acknowledgments
The authors thank Marién Castillo and Laura Cereceda at the CNIO Tumor Bank for collecting the human tumor samples and for excellent assistance with data management. They express their gratitude to all members of the Flow Cytometry, Monoclonal Antibodies, and Histology and Immunohistochemistry units (CNIO) for excellent technical contributions and assistance.
This work was supported by grants from the Fondo de Investigaciones Sanitarias (PI08/1985, PI05/1623, PI05/2800, PI05/2327, RETIC RD06/0020/0107), Asociación Española Contra el Cancer (AECC), and the Ministerio de Ciencia y Tecnología (SAF2008-03871), Spain.
Authorship
Contribution: C.G.-A. contributed to the conception and design of the study, performed experiments, interpreted data, and wrote the manuscript; H.P. performed experiments; C.B.-A., J.F.L., and J.R.B. contributed vital reagents; G.R. contributed to monoclonal antibody development; A.G.-M. and G.M.-G. evaluated TMAs; J.A.M.-C. provided samples; E.M. and M.E.R. performed experiments; M.S.-B. revised the manuscript; and M.A.P. contributed to the conception and design of the study, interpreted data, and wrote the manuscript.
Conflict-of-interest disclosure: The authors declare no competing financial interests.
Correspondence: Miguel A. Piris, Lymphoma Group, Spanish National Cancer Centre (CNIO), E-28029 Madrid, Spain; e-mail: mapiris@cnio.es or Hospital Universitario Marques de Valdecilla/IFIMAV, E-39008 Santander, Spain; e-mail: mapiris@humv.es.






This feature is available to Subscribers Only
Sign In or Create an Account Close Modal