Abstract
Abstract 4057
Multiple myeloma (MM) is a malignant plasma cell disorder which involves the skeleton in more than 80% of patients at diagnosis. Bone lesions in MM are screened with radiological skeletal bone survey (SBS) due to its low cost and widespread availability. Even though bone lesions can be missed by SBS, more sensitive newer imaging techniques are not currently recommended for routine use due to low availability, complicated methodology, and cost. X-ray digital tomosynthesis (DT) is a technique for producing thin slice images using conventional x-ray systems to maximize in-plane spatial resolution. DT has already been described for several mammographic, dental and thoracic applications to reduce overlap of tissue, but has not been studied in MM. The aim of our study was to determine the usefulness of DT in the staging of myeloma and to assess its strengths and limitations.
We are conducting a prospective IRB approved study that has currently enrolled 19 newly diagnosed MM or Monoclonal Gammopathy of Undetermined Significance (MGUS) patients. Our target study population is 50 patients. Diagnosis and staging were made according to standard Durie-Salmon (DS) criteria. All the patients that were consented for our study underwent DT and SBS on the same day or within 60 days of each other (average 6.2 days) before treatment. Imaging findings from DT were compared to those seen in SBS with regard to the number and site of lesions detected. DT added coronal views of the thoracolumbar spine and pelvis to the routine SBS. These sites were chosen because they include a large percentage of the hematopoetically active marrow, are a significant source of morbidity, and are frequently obscured on SBS. A senior radiology resident and a Musculoskeletal fellowship trained (MSK) radiologist initially reviewed DT images independently and subsequently those images were reviewed together to achieve inter-observer agreement. Both of these imagers were blinded to the results of the skeletal survey. A different MSK radiologist, who was blinded to the DT results, interpreted the SBS.
Comparing DT to SBS, it was found that in 9 out of 19 patients (47.3%), DT detected more lesions (Table 1). Three out of 19 patients (15.7%) had a change in their staging due to findings seen in the DT study (upstaged from IA to IIIA, IB to IIIB and MGUS to IIIA). Nine out of 19 patients (47.3%) had negative myeloma bone involvement on both DT and SBS. One out of 19 patients (5.2%) had a suspicious lesion seen on the SBS that was cleared as negative with DT. Twelve patients were male, seven patients were female. The average age was 65.
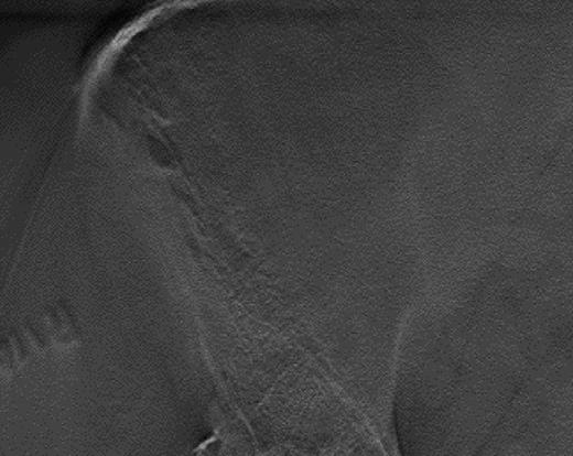
Sample lytic lesions on DT:
In MM, imaging is needed to determine the stage of disease and to anticipate impending pathologic fractures. The prognostic value of bone involvement is exemplified by the fact that the traditionally used DS staging system includes radiographically evident lytic bone lesions as a criterion. The use of magnetic resonance imaging (MRI) and fluorine-18 fluorodeoxyglucose positron emission tomography (FDG-PET) with computed tomography (CT) have been studied in MM with varied results. Previous studies suggest that both FDG-PET in combination with low-dose CT and whole-body MRI might be more sensitive than SBS for screening multiple myeloma lesions. However the identification of marrow invasion in these methods is not specific for myelomatous bony destruction, and may need to be differentiated from other infiltrative processes such as hemangiomas and marrow reconversion in anemia. Marrow imaging might result in an over-staging without clear benefits for the patients. Our preliminary data in a small number of cases suggest that there is a group of patients in whom DT might detect other unsuspected sites of bone involvement. Digital Tomosynthesis resulted in more accurate staging in a small group of patients that would have been otherwise under-staged. Furthermore unrecognized areas of bone destruction were identified which rendered some patients eligible for bisphosphonates and palliative radiation therapy due to the newly discovered lesions seen on DT.
Digital Tomosynthesis demonstrated increased sensitivity in the detection of osseous MM in the thoracolumbar spine and pelvis. Therefore, the preliminary data from our small prospective study shows encouraging results for the use of digital DT in the initial diagnosis and staging of MM.
No relevant conflicts of interest to declare.
Author notes
Asterisk with author names denotes non-ASH members.



This feature is available to Subscribers Only
Sign In or Create an Account Close Modal