Acute myeloid leukemia (AML) with mutated NPM1 usually carries normal karyotype (NK), but it may harbor chromosomal aberrations whose significance remains unclear. We addressed this question in 631 AML patients with mutated/cytoplasmic NPM1. An abnormal karyotype (AK) was present in 93 of 631 cases (14.7%), the most frequent abnormalities being +8, +4, −Y, del(9q), +21. Chromosome aberrations in NPM1-mutated AML were similar to, but occurred less frequently than additional chromosome changes found in other AML with recurrent cytogenetic abnormalities according to WHO classification. Four of the 31 NPM1-mutated AML patients karyotyped at different time points had NK at diagnosis but AK at relapse: del(9q) (n = 2), t(2;11) (n = 1), inv(12) (n = 1). NPM1-mutated AML with NK or AK showed overlapping morphologic, immunophenotypic (CD34 negativity), and gene expression profile (down-regulation of CD34 and up-regulation of HOX genes). No difference in survival was observed among NPM1-mutated AML patients independently of whether they carried a NK or an AK, the NPM1-mutated/FLT3-ITD negative cases showing the better prognosis. Findings in our patients point to chromosomal aberrations as secondary events, reinforce the concept that NPM1 mutation is a founder genetic lesion, and indicate that NPM1-mutated AML should be clinically handled as one entity, irrespective of the karyotype.
Introduction
Acute myeloid leukemia (AML) carrying an NPM1 gene mutation causing aberrant cytoplasmic expression of nucleophosmin1 (NPMc+ AML) accounts for approximately one-third of adult AML. This large leukemia subgroup usually carries a normal karyotype (NK)1 and shows distinctive biologic, pathologic, and clinical features,2 such as mutual exclusion of recurrent genetic abnormalities,3 high frequency of FLT3-ITD mutations,1 frequent FAB M4 or M5 morphology,2 multilineage involvement,4 distinctive gene expression signature,5 and microRNA profile.6,7 Moreover, AML with mutated NPM1 is characterized by good response to induction chemotherapy1 and favorable prognosis (in the absence of a concomitant FLT3-ITD mutation).8,,,,–13 Therefore, AML with mutated NPM1 is now included as a provisional entity in the 4th Edition of the World Health Organization (WHO) classification of tumors of hematopoietic and lymphoid tissues.14
In our original study describing AML with cytoplasmic/mutated NPM1,1 we found that approximately 85% of patients carried a NK, the remaining cohort harboring chromosomal aberrations. However, the type, frequency, biologic and clinical significance of these aberrations still remained poorly understood. Although the patients with abnormal karyotype (AK) represent only a minority of all AML with mutated NPM1, their definition with respect to biologic, pathologic, and clinical terms is very important. Indeed, during preparation of the WHO-2008 classification, one of the points that was raised for designating AML with mutated NPM1 as provisional rather than a definitive entity was that the biologic, clinical, and prognostic significance of chromosomal aberrations in AML with mutated NPM1 was still under debate. This is because most studies on NPM1 mutations in AML mainly focused on patients with NK and, in the few studies reporting on NPM1-mutated patients carrying other chromosomal aberrations,10,11 the frequency of this association and its biologic and clinical significance was not deeply investigated.
To address this issue in more depth, we analyzed the frequency and type of chromosomal aberrations in 631 AML patients with cytoplasmic/mutated NPM1 and compared the results with the frequency and type of additional aberrations occurring in the most common AML with recurrent genetic abnormalities according to the WHO-2008 classification,14 ie, AML with t(8;21)(q22;q22), inv(16)(p13q22)/t(16;16)(p13;q22), t(15;17)(q22;q12), and t(9;11) or other 11q23-abnormalities leading to an MLL-rearrangement. Other important goals of the study were (1) to investigate variations in the karyotype of AML with mutated NPM1 during the course of the disease and (2) to compare the biologic, pathologic, clinical, and prognostic features of NPM1-mutated AML carrying chromosomal aberrations with those of typical cases of NPM1-mutated AML harboring a NK.
Our results point to chromosomal aberrations occurring in AML with mutated NPM1 as secondary events, thus reinforcing the concept that NPM1 mutation is a founder genetic lesion. In addition, the finding that NPM1-mutated AML carrying a NK or an AK show overlapping pathologic, immunophenotypic, and prognostic features has important diagnostic and clinical implications.
Methods
Leukemia patients
We investigated samples from 631 AML patients with mutated NPM1 for whom cytogenetic studies were available: 390 were from the Munich Leukemia Laboratory (MLL); 241 were enrolled in the Italian Group for Adult Hematologic Diseases (GIMEMA) Leucemia Acuta Mieloide Protocollo begun in 1999 (LAM99P) and GIMEMA/European Organization for Research and Treatment of Cancer (EORTC) AML12 trials. The frequency and type of cytogenetic aberrations found in NPM1-mutated AML were compared with those of additional chromosomal aberrations detected in 266 cases representative of the most common AML with recurrent genetic abnormalities according to the WHO-2008 classification.14 The latter cases (all from the MLL) included: 63 AML with t(8;21), 37 AML with inv(16)/t(16;16), 83 AML with t(15;17), and 83 AML showing an 11q23/MLL-rearrangement.
For prognostic analysis, we focused on 576 AML patients: 390 from the MLL; 186 cases from the GIMEMA LAM99P and GIMEMA/EORTC AML12 trials who received the same treatment. Therapy in the 390 cases from MLL was as follows: 141 patients (36%) were treated within the AML Cooperative Group (AMLCG) trials,15 35 patients received treatment according to AMLCG protocols but were not enrolled in the AMLCG trial, and another 214 patients received other intensive AML therapy protocols.
All 186 GIMEMA/EORTC patients, both from the LAM99P and the AML12 (registration phase only) protocols, received the same treatment, consisting in a 3-drug induction cycle with daunorubicine (DNR), etoposide, and Ara-C followed, in case of complete remission (CR), by a single course of consolidation therapy with intermediate-dose Ara-C (500 mg/m2 every 12 hours in a 2-hour infusion on days 1-6) plus DNR, given on days 4 to 6. After consolidation, younger patients with a sibling donor were then assigned to undergo an allogeneic stem cell transplantation. Those without such a donor, as well as older patients, were to receive an unpurged autologous stem cell transplantation. Approval for the above studies was provided by the Institutional Review Board of each participating center. Informed consent was provided by patients at each participating center in accordance with the Declaration of Helsinki.
Defining criteria for AML with mutated NPM1
All 390 cases from MLL were defined by molecular criteria (ie, mutational analysis of the NPM1 gene). Nucleic acid isolation from leukemic cells, cDNA synthesis, and screening for NPM1 gene mutations was performed using a melting curve-based LightCycler assay (Roche Applied Science) as previously described.8 AML samples with an aberrant melting curve underwent subsequent nucleotide sequence analysis.
All 241 AML cases from GIMEMA LAM99P and GIMEMA/EORTC AML12 trials were defined by immunohistochemical criteria, ie, presence of aberrant cytoplasmic expression of nucleophosmin (NPMc+), which is known to be fully predictive of NPM1 mutations.16,17 Nucleophosmin was detected by immunostaining paraffin sections from B5-fixed/ethylenediaminetetraacetic acid (EDTA) decalcified bone marrow biopsies with a specific monoclonal antibody directed against a fixative-resistant epitope of human nucleophosmin (clone 376), as previously described.16 The antibody-antigen reaction was revealed using a highly sensitive alkaline phosphatase anti-alkaline phosphatase (APAAP) technique.16 As expected,1,16 all cases showed a nucleus-restricted positivity when stained with a monoclonal antibody directed against the nucleolar protein nucleolin/C23 (Santa Cruz Biotechnology). In 138 of the 241 NPMc+ AML cases, material was also available for mutational studies or Western blot analysis with antibodies specifically directed against NPM1 mutants. In all cases, these techniques were performed as previously described1,18 and confirmed the presence of NPM1 gene mutations or a mutated NPM1 protein.
Mutational analysis of the FLT3 gene
Cytogenetic studies
Cytogenetic studies were performed after short-term culture. Karyotypes, analyzed after G-banding, were described according to the International System for Human Cytogenetic nomenclature.21 All NPM1-mutated patients were studied at initial diagnosis. In 31 cases from the MLL, cytogenetic studies were available both at first presentation and at relapse.
Gene expression profiling
The sample preparation assay was performed as previously reported (HG-U133 Plus 2.0 microarrays; Affymetrix).22,–24 Gene expression raw data were processed according to the manufacturer's recommendations. After quality control, raw data were normalized using the robust multiarray average normalization algorithm as implemented in the R-package affy version 1.18.0.25 For supervised statistical analyses, samples were grouped accordingly, and for each disease entity, differentially expressed genes were calculated using t statistics. To visualize similarity of gene expression patterns, hierarchical clustering and principal component analyses were applied. Transformed gene expression data were analyzed using GeneMaths XT version 2.1 (Applied Maths) and Partek Genomics Suite version 6.4 (Partek). Microarray data can be found at Gene Expression Omnibus, GEO, under accession number GSE16015.
Statistical analysis
Statistical analysis was performed to investigate the different distribution of quantitative variables, such as age, and qualitative variables, such as sex, CD34 expression, and FLT3 status in the 2 different cytogenetic groups (NK vs AK) of AML with mutated NPM1. In particular, the t test was used to analyze mean differences, and the χ2 test was applied in case of contingency tables. In case of 2 × 2 contingency tables, the Fisher exact test was applied.
Prognostic analysis was performed on 576 NPM1-mutated AML patients treated as described above. Survival curves were calculated for overall survival (OS) and event-free survival (EFS) according to Kaplan-Meier and compared using the log rank test. OS was calculated from time of diagnosis to death, and EFS was calculated from time of diagnosis to death, documentation of persistent leukemia, or relapse.
For all above analyses, results were regarded as significant at a P value less than .05 at both sides. SPSS version 14.0.1 software (SPSS) was used for statistical analysis of patients from the MLL. Statistical analyses of patients enrolled in the GIMEMA LAM99P and GIMEMA//EORTC AML12 studies were performed using the SAS 9.1 software (SAS Institute).
Results
Chromosomal aberrations in AML with mutated NPM1 are similar to, but occur at lower frequency than, those associated with AML carrying other recurrent genetic abnormalities
Frequency and type of chromosomal aberrations were investigated by chromosome banding analysis in 631 AML with mutated/cytoplasmic NPM1. A NK was detected in 538 of 631 (85.3%) and an AK was present in 93 of 631 cases (14.7%). This distribution in a large number of cases is almost identical to what we previously observed in a cohort of 166 patients with NPMc+ AML (AK = 14.5%).1
A total of 142 chromosome abnormalities were observed in the 93 NPM1-mutated AML cases with AK (Table 1). The most frequent abnormalities were +8, +4, −Y, del(9q), and +21. Other aberrations were nonrecurrent balanced rearrangements (n = 10) and nonrecurrent unbalanced abnormalities (n = 57). In 4 cases, the definition of a complex AK was fulfilled (3 or more clonal chromosome aberrations according to the Southwest Oncology Group [SWOG]). However, these karyotypes did not show the typical pattern of chromosomal gains and losses observed in the majority of cases with complex AK, such as loss of 5q, 7q 12p, 16q, and 17p and gain of 8q, 11q, and 21q (Table 1). Two of these cases were FLT3-ITD positive, and 2 were negative.
Types and frequency of clonal chromosome abnormalities detected in 93 NPM1-mutated AML and 266 AML with recurrent cytogenetic abnormalities
| Karyotype . | AML . | ||||
|---|---|---|---|---|---|
| NPM1-mut* (n = 631) . | t(8;21) (n = 63) . | inv(16) (n = 37) . | t(15;17) (n = 83) . | 11q23/MLL (n = 83) . | |
| Additional abnormalities | 93/631† (14.7%) | 44/63 (69.8%) | 13/37 (35.1%) | 39/83 (47%) | 28/83 (33.7%) |
| −X/−Y | 11 | 32 | 1 | 3 | |
| +4 | 11 | 2 | 2 | ||
| −7 | 3 | ||||
| +8 | 33 | 2 | 5 | 12 | 8 |
| +13 | 2 | 2 | |||
| +19 | 4 | ||||
| +21 | 5 | 4 | |||
| +22 | 1 | 6 | 2 | ||
| del(7q) | 2 | ||||
| del(9q) | 9 | 10 | 2 | ||
| del(11q) | 2 | ||||
| ider(17)(q10)t(15;17) | 7 | ||||
| Other | 67‡ | 11 | 8 | 20 | 30 |
| Total | 142† | 59 | 22 | 44 | 52 |
| Karyotype . | AML . | ||||
|---|---|---|---|---|---|
| NPM1-mut* (n = 631) . | t(8;21) (n = 63) . | inv(16) (n = 37) . | t(15;17) (n = 83) . | 11q23/MLL (n = 83) . | |
| Additional abnormalities | 93/631† (14.7%) | 44/63 (69.8%) | 13/37 (35.1%) | 39/83 (47%) | 28/83 (33.7%) |
| −X/−Y | 11 | 32 | 1 | 3 | |
| +4 | 11 | 2 | 2 | ||
| −7 | 3 | ||||
| +8 | 33 | 2 | 5 | 12 | 8 |
| +13 | 2 | 2 | |||
| +19 | 4 | ||||
| +21 | 5 | 4 | |||
| +22 | 1 | 6 | 2 | ||
| del(7q) | 2 | ||||
| del(9q) | 9 | 10 | 2 | ||
| del(11q) | 2 | ||||
| ider(17)(q10)t(15;17) | 7 | ||||
| Other | 67‡ | 11 | 8 | 20 | 30 |
| Total | 142† | 59 | 22 | 44 | 52 |
AML with mutated NPM1.
More than one abnormality was present in a subset of cases with aberrant karyotype.
Includes 4 cases fulfilling the definition of a complex aberrant karyotype but without a typical pattern of chromosomal gains and losses:
(1) 90, XXXX, −3, +8, +8, −10, −11, −17; FLT3-ITD− (74 days, alive);
(2) 49, XY, +der(5)t(5;17)(q11;?), +8, +del(13)(q12); FLT3-ITD− (30 days, alive);
(3) 53, XX, +4, +5, +8, +8, der(12)t(12;13)(q24;q?), +16, +18, +20; FLT3-ITD+ (86 days, dead); and
(4) 55, XY, +X, +4, +5, +8, +10, +13, +14, +17, +18; FLT3-ITD+ (5 days, dead).
As expected,3 none of the 93 cases of NPM1-mutated AML with AK harbored any of the AML-associated recurrent genetic abnormalities, as defined by the WHO-2008 classification.14 No differences in the type and frequency of chromosomal aberrations were observed in AML carrying NPM1 mutation A, B, D, or other rare mutation types.
Our results in a large series of leukemia patients clearly demonstrate that chromosomal aberrations are rather uncommon in AML with mutated/cytoplasmic NPM1.
We then compared the frequency and types of clonal chromosomal aberrations detected in 93 of 631 AML with mutated NPM1 with those found in 266 AML with recurrent genetic abnormalities of WHO classification. The results are summarized in Table 1 and clearly indicate that the type of chromosome aberrations detected in AML with mutated NPM1 are similar to, but occur at lower frequency than, additional chromosome changes found in AML with recurrent genetic abnormalities,26,–28 according to the WHO-2008 classification.14
Chromosomal aberrations in AML with mutated NPM1 are secondary events
To assess whether chromosomal aberrations in AML with mutated NPM1 were primary or secondary events, we applied chromosome banding at diagnosis and relapse in 31 patients with NPM1-mutated AML (all from MLL). All 31 cases showed the same NPM1 mutation at diagnosis and relapse. Therefore, in no case a loss of the NPM1 mutation was observed. Median time from diagnosis to relapse was 301 days (range, 71-986). Most cases (22/31; 71%) had a normal karyotype both at diagnosis and relapse. However, 4 patients showing a normal karyotype at diagnosis were found to have an AK at relapse: del(9q) (n = 2), t(2;11) (n = 1), and inv(12) (n = 1). One case with +8 at diagnosis showed +8 also at relapse. One case with +4 at diagnosis showed +4 and additional aberrations at relapse. In one case, clonal regression was observed (+21 to NK). One case with an unbalanced 1;3-translocation at diagnosis showed a der(17;18)(q10;q10) at relapse; and one case with −Y at diagnosis showed a del(3p) at relapse.
We next investigated the occurrence of acquired NPM1 mutations at relapse in AML cases that, at first presentation, showed a germ line NPM1 gene and a chromosomal aberration, such as +8 or del(9q). Here, we focused on cases with +8 or del(9q), because these aberrations were commonly detected in the small subgroup of NPM1-mutated AML with AK (Table 1). Notably, all 7 cases of AML with germ line NPM1 that, at the time of initial diagnosis, had presented with +8 (n = 5) or del(9q) (n = 2), as sole abnormality, maintained the same karyotype and did not acquire an NPM1 mutation at relapse.
Taken together, these results point to chromosomal aberrations occurring in AML with mutated NPM1 as acquired secondary events.
AML with mutated NPM1 carrying a NK or chromosomal aberrations show a similar gene expression profile
To further investigate the biologic nature of the 2 subset of NPM1-mutated AML (NK vs AK), gene expression microarray studies were carried out. First, restricting analysis to cases of AML with NK, a group of 42 NPM1-unmutated (NPMc−) cases was compared against a group of 55 NPM1-mutated cases (NPMc+). The resulting signature of the top 500 differentially expressed probe sets clearly separated the 2 AML groups both in a hierarchical clustering approach and a principal component analysis. The gene list is provided in the supplementary materials (available on the Blood website; see the Supplemental Materials link at the top of the online article). Subsequently, the analysis was expanded to include 10 additional cases of NPM1-mutated AML carrying chromosomal aberrations: 45,X,−Y (n = 4); 47,XX,+21 (n = 3); 47,XX,+8 (n = 2); and 46,XX,del(9)(q22q34) (n = 1). Interestingly, we observed that, when using the gene list from AML with NK, the NPM1-mutated AML cases carrying chromosomal aberrations had an expression profile similar to that of the group of NPM1-mutated AML with NK (Figure 1).
Gene expression profiling analysis of NPM1-mutated AML (NK vs AK). Analysis based on the top-500 differentially expressed genes between AML cases NPM1c− (unmutated NPM1) and NPM1c+ (mutated NPM1). The gene discovery process was restricted to AML with NK (ie, a supervised analysis was performed). (A) Hierarchical clustering heatmap also including 10 NPM1 mutated AML cases with other chromosomal aberrations (other). The similarity of the genes was computed by Euclidean distance, and then Ward method was used to cluster the gene expression profiles based on these measures. The normalized expression value for each probe set is coded by color (standard deviation from mean). Red cells indicate high expression and green cells indicate low expression. (B) Principal component analysis (PCA). The AML samples were plotted in a 3-dimensional space using the 3 principal components (PC) capturing most of the variance in the original dataset (PC1 = 34.0%, PC2 = 7.0%, PC3 = 5.2%). Each patient sample is represented by a single color-coded sphere.
Gene expression profiling analysis of NPM1-mutated AML (NK vs AK). Analysis based on the top-500 differentially expressed genes between AML cases NPM1c− (unmutated NPM1) and NPM1c+ (mutated NPM1). The gene discovery process was restricted to AML with NK (ie, a supervised analysis was performed). (A) Hierarchical clustering heatmap also including 10 NPM1 mutated AML cases with other chromosomal aberrations (other). The similarity of the genes was computed by Euclidean distance, and then Ward method was used to cluster the gene expression profiles based on these measures. The normalized expression value for each probe set is coded by color (standard deviation from mean). Red cells indicate high expression and green cells indicate low expression. (B) Principal component analysis (PCA). The AML samples were plotted in a 3-dimensional space using the 3 principal components (PC) capturing most of the variance in the original dataset (PC1 = 34.0%, PC2 = 7.0%, PC3 = 5.2%). Each patient sample is represented by a single color-coded sphere.
AML with mutated NPM1 carrying a NK or chromosomal aberrations show overlapping pathologic, immunophenotypic, and clinical features
NPM1-mutated AML carrying a NK or an AK were then compared in terms of age distribution, gender, morphologic appearance according to French-American-British (FAB)/WHO, CD34 expression, FLT3-ITD, and FLT3-TKD status.
In the full cohort of 631 NPM1-mutated AML patients, mean age (± SD) was 54.39 (± 14.53) years in the NK group and 55.78 (± 15.78) in the AK group (P = .39). No significant difference in age distribution of the patients emerged when they were stratified by decades of age (ages < 21 years, 21-30 years, 31-40 years, 41-50 years, and 51-60 years). Males were 252 of 538 (46.8%) in the NK group versus 47 of 93 (50.5%) in the AK group (P = .57). FAB categories were available in 507 cases with a distribution in NK and AK groups not statistically significant (P = .076).
Down-regulation of CD34 is a distinguishing immunophenotypic feature of AML with cytoplasmic/mutated NPM1.1 Therefore, we were interested to assess this parameter in NPM1-mutated AML with NK and AK. Material for analysis of CD34 expression by immunocytochemical labeling of cell suspensions or bone marrow tissue sections was available for 422 AML with mutated NPM1 (357 with NK; 65 with AK). Cases were regarded as negative if the percentage of CD34+ cells was less than 10%. Absence of CD34 expression was found in 284 of 357 (79.6%) and 47 of 65 (72.3%) of the NK and AK group, respectively (P = .19; Figure 2).
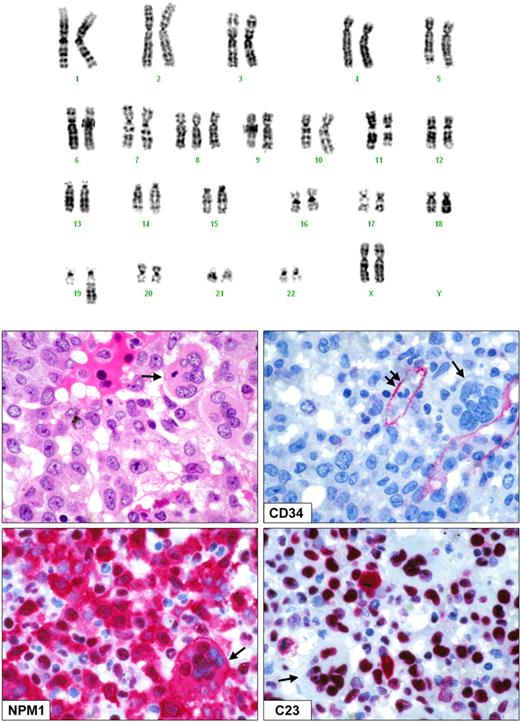
Morphology and immunophenotype of NPMc+ AML with AK. The figure shows the morphologic and immunohistologic features of a representative example of NPM1-mutated AML with AK 47,XX,+8,der(19)t(13;19)(q12;q13) (top panel). These features are identical to those observed in the typical NPM1-mutated AML cases with NK. (Middle left) Diffuse marrow infiltration by leukemic cells with myelomonocytic appearance. The arrow points to a dysplastic megakaryocyte (paraffin section from bone marrow biopsy; hematoxylin-eosin; ×1000). (Middle right) Leukemic cells are CD34−. The single arrow indicates a dysplastic megakaryocyte, while the double arrows indicate a CD34+ vessel. (Bottom left) Myelomonocytic leukemic cells and a dysplastic megakaryocyte (arrow) show aberrant cytoplasmic expression of nucleophosmin (NPM1), indicating they belong to the same clone; cells showing nucleus-restricted expression of nucleophosmin represent normal residual hemopoietic precursors. (Bottom right) Leukemic cells and a dysplastic megakaryocyte (arrow) show nucleus-restricted positivity for C23/nucleolin. (Middle right and bottom panels) Immunostaining of paraffin sections from bone marrow biopsy using the alkaline phosphatase monoclonal anti-alkaline phosphatase (APAAP) technique; hematoxylin counterstaining; ×1000. All images were collected using an Olympus B61 microscope and a UPlan FL 100×/1.3 NA oil objective; Camedia 4040, Dp_soft Version 3.2; and Adobe Photoshop 7.0.
Morphology and immunophenotype of NPMc+ AML with AK. The figure shows the morphologic and immunohistologic features of a representative example of NPM1-mutated AML with AK 47,XX,+8,der(19)t(13;19)(q12;q13) (top panel). These features are identical to those observed in the typical NPM1-mutated AML cases with NK. (Middle left) Diffuse marrow infiltration by leukemic cells with myelomonocytic appearance. The arrow points to a dysplastic megakaryocyte (paraffin section from bone marrow biopsy; hematoxylin-eosin; ×1000). (Middle right) Leukemic cells are CD34−. The single arrow indicates a dysplastic megakaryocyte, while the double arrows indicate a CD34+ vessel. (Bottom left) Myelomonocytic leukemic cells and a dysplastic megakaryocyte (arrow) show aberrant cytoplasmic expression of nucleophosmin (NPM1), indicating they belong to the same clone; cells showing nucleus-restricted expression of nucleophosmin represent normal residual hemopoietic precursors. (Bottom right) Leukemic cells and a dysplastic megakaryocyte (arrow) show nucleus-restricted positivity for C23/nucleolin. (Middle right and bottom panels) Immunostaining of paraffin sections from bone marrow biopsy using the alkaline phosphatase monoclonal anti-alkaline phosphatase (APAAP) technique; hematoxylin counterstaining; ×1000. All images were collected using an Olympus B61 microscope and a UPlan FL 100×/1.3 NA oil objective; Camedia 4040, Dp_soft Version 3.2; and Adobe Photoshop 7.0.
Internal tandem duplication (ITD) analysis of the FLT3 gene was available in 600 NPM1-mutated AML cases (515 with NK; 85 with AK). FLT3-ITD was detected in 190 of 515 (36.9%) of NK group and 23 of 85 (27.1%) of AK group (P = .087). Analysis of FLT3-TKD mutation was available in 491 cases (422 NK; 69 AK). FLT3-TKD mutations were detected in 38 of 422 of the NK group (9.0%) and 14 of 69 of the AK group (20.3%), respectively (P = .01; Figure 3).
Distribution of FLT3-ITD and FLT3-TKD mutations in NPM1-mutated AML with NK and AK.
Distribution of FLT3-ITD and FLT3-TKD mutations in NPM1-mutated AML with NK and AK.
The above findings indicate that, with the exception of a difference in the distribution of FLT3-TKD mutations, AML with mutated NPM1 carrying a NK or an AK show overlapping morphologic, immunophenotypic, and clinical features.
AML with mutated NPM1 carrying NK or chromosomal aberrations show a similar outcome
The impact of chromosomal aberrations on prognosis was assessed in a total of 576 AML patients with mutated NPM1, including 390 cases from the MLL and 186 cases from the GIMEMA LAM99P and GIMEMA/EORTC AML12 trials. In patients from the MLL, the CR rate was comparable in cases with NPM1 mutation and a NK to those with an AK (80.9% vs 85.7%). OS and EFS of patients from MLL did not significantly differ between 328 NPM1-mutated AML with NK and 62 NPM1-mutated AML with AK (median OS: not reached vs not reached; percentage alive at 2 years 63.5% vs 59.0%, P = .804; median EFS: 16.0 months vs 14.0 months, P = .849; Figure 4A-B). OS was significantly shorter in NPM1-mutated cases with additional FLT3-ITD (n = 138) compared with NPM1-mutated cases without FLT3-ITD (n = 241; median OS: not reached vs not reached; percentage alive at 2 years 50.9% vs 70.5%, P = .015; supplemental Figure 1). Also EFS was significantly shorter in the NPM1-mutated/FLT3-ITD+ subgroup versus NPM1-mutated/FLT3-ITD− (11.6 months vs 17.0 months; P = .045; supplemental Figure 1).
Survival curves of NPM1-mutated AML patients (NK vs AK) from the MLL. (A) No significant differences in OS between NPM1-mutated AML with NK (n = 328) and NPM1-mutated cases with AK (n = 62) are observed (P = .804). (B) No significant differences in EFS between NPM1-mutated AML with NK (n = 328) and NPM1-mutated cases with AK (n = 62) are observed (P = .849). (C) No significant differences in OS between NPM1-mutated/FLT3-ITD− AML with NK (n = 197) and NPM1-mutated cases with AK (n = 44) are observed (P = .075). (D) No significant differences in EFS between NPM1-mutated/FLT3-ITD− AML with NK (n = 197) and NPM1-mutated cases with AK (n = 44) are observed (P = .176).
Survival curves of NPM1-mutated AML patients (NK vs AK) from the MLL. (A) No significant differences in OS between NPM1-mutated AML with NK (n = 328) and NPM1-mutated cases with AK (n = 62) are observed (P = .804). (B) No significant differences in EFS between NPM1-mutated AML with NK (n = 328) and NPM1-mutated cases with AK (n = 62) are observed (P = .849). (C) No significant differences in OS between NPM1-mutated/FLT3-ITD− AML with NK (n = 197) and NPM1-mutated cases with AK (n = 44) are observed (P = .075). (D) No significant differences in EFS between NPM1-mutated/FLT3-ITD− AML with NK (n = 197) and NPM1-mutated cases with AK (n = 44) are observed (P = .176).
Considering only FLT3-ITD negative cases, no statistically significant difference emerged in OS and EFS of NPM1-mutated AML with NK versus AK (median OS: not reached vs 21.0 months; percentage alive at 2 years 74.5% vs 48.5%, P = .075; and median EFS was 18.1 months vs 8.6 months, P = .176; Figure 4C-D). Also in the subgroups of FLT3-ITD positive cases, no difference in OS and EFS was observed between NPM1-mutated AML with NK or AK (median OS 21.1 months vs not reached; percentage alive at 2 years 47.5% vs 83.3%, P = .245; and median EFS was 9.5 months versus 14.9 months, P = .354; supplemental Figure 2).
The same analysis was done for the 186 GIMEMA LAM99P and GIMEMA/EORTC AML12 patients who received the same treatment (although enrolled in 2 consecutive studies). The CR rate difference between NPM1-mutated AML with NK or AK was not statistically significant (79.4 vs 76.0, respectively, P = .7). No differences were observed both for OS and for EFS in the whole population according to karyotype (Figure 5A-B). In addition, considering separately the FLT3-ITD− (Figure 5C-D) and the FLT3-ITD+ cases (supplemental Figure 3), again, the outcome of NPM1-mutated AML in terms of OS and EFS was not influenced by the karyotype.
Survival curves of NPM1-mutated AML patients (NK vs AK) from the GIMEMA LAM99P and GIMEMA/EORTC AML12 trials. (A) No significant differences in OS are observed between NPM1-mutated AML with NK and AK (P = .877). (B) No significant differences in EFS are observed between NPM1-mutated AML with NK and AK (P = .827). (C) No significant differences in OS are observed between NPM1-mutated/FLT3-ITD− AML with NK and AK (P = .814). (D) No significant differences in EFS are observed between NPM1-mutated/FLT3-ITD− AML with NK and AK (P = .970).
Survival curves of NPM1-mutated AML patients (NK vs AK) from the GIMEMA LAM99P and GIMEMA/EORTC AML12 trials. (A) No significant differences in OS are observed between NPM1-mutated AML with NK and AK (P = .877). (B) No significant differences in EFS are observed between NPM1-mutated AML with NK and AK (P = .827). (C) No significant differences in OS are observed between NPM1-mutated/FLT3-ITD− AML with NK and AK (P = .814). (D) No significant differences in EFS are observed between NPM1-mutated/FLT3-ITD− AML with NK and AK (P = .970).
Discussion
This study clearly shows that chromosomal aberrations occur infrequently in AML with mutated NPM1 (∼ 15% of cases), are different from the typical AML-associated recurrent genetic abnormalities (as defined by the 2008 WHO Classification),14 and are likely represent secondary genetic events. Our results also indicate that AML with mutated NPM1 carrying a NK or concomitant chromosomal aberrations has overlapping biologic, pathologic, immunophenotypic, and clinical features. Taken together, these findings strongly suggest that AML with mutated NPM1, irrespective of concomitant chromosome abnormalities, represents a single disease entity whose molecularly defining feature is the presence of a mutated NPM1 gene. These results have also important diagnostic and clinical implications.
Several findings in this study point to chromosomal aberrations detected in a minority of our patients, as secondary genetic events. The type of chromosome aberrations found in NPM1-mutated AML are mostly similar to the additional chromosome aberrations detectable in AML with t(8;21), inv(16), t(15;17), or 11q23/MLL-rearrangements, which are thought to be secondary alterations.26,–28 In AML with cytoplasmic/mutated NPM1, cytogenetic studies frequently showed mosaicism (ie, the presence of cells with an abnormal karyotype as subclones within the population with a NK).1 More importantly, a proportion of NPM1-mutated AML cases carrying a NK at initial diagnosis acquired a chromosomal aberration during the course of the disease, while retaining the original NPM1 mutation. It should be added that in this study, a few NPM1-mutated AML patients with AK at diagnosis showed either clonal regression (AK to NK) or changing to a different AK at relapse, while maintaining the original NPM1-mutated gene status. Finally, we found that NPM1-mutated AML with NK or chromosomal aberrations have a very similar gene expression profile characterized by the expected down-regulation of the CD34 and CD133 genes and overexpression of most HOX genes.5,10,29
Secondariness of chromosomal aberrations in NPM1-mutated AML is in line with the growing body of evidence that NPM1 mutation is a founder genetic lesion in AML, as supported by the following observations: (1) cytoplasmic mutated nucleophosmin is specific for AML1,30,31 and clinically shows close association with AML of de novo origin1,32,–34 ; (2) NPM1 mutations are mutually exclusive of other recurrent genetic abnormalities in AML3 (with the exception of rare cases in which both NPM1 and CEPBA mutations coexist); (3) AML with mutated NPM1 shows distinctive gene expression signatures5,10,29 and microRNA profiles6,7 ; (4) all NPM1 mutations generate common changes at the C terminus of nucleophosmin protein that appear to maximize nuclear export of NPM1 leukemic mutants,1,35,–37 pointing to their cytoplasmic dislocation as the central event for leukemogenesis36,38 ; (5) NPM1 mutations are stable during the course of the disease,39,–41 as the same type of NPM1 mutation is consistently detected at relapse in medullary and extramedullary sites. Loss of NPM1 mutation has been rarely observed in NPM1-mutated AML.42 These cases, however, could represent secondary treatment-related AML rather than relapse of the de novo AML43 ; and (6) quantitative real-time polymerase chain reaction (PCR) shows that NPM1 mutations disappear at CR.44,45
Interestingly, we found that the incidence of associated chromosomal aberrations was lower in AML with mutated NPM1 (14.7%) than in AML with 11q23/MLL rearrangement, inv(16), t(15;17), and t(8;21) (frequency range, 34%-70%). These findings and the fact that approximately 85% of AML with mutated NPM1 carry a NK suggest that this type of leukemia may be characterized by a higher genomic stability than other leukemias listed in the group of “AML with recurrent genetic abnormalities” of the WHO classification,14 such as AML with 11q23/MLL rearrangement, inv(16), t(15;17), and t(8;21).
High genomic stability was recently observed in an NPM1-mutated/FLT3-ITD positive AML patient who, at whole-genome sequencing,46 showed no deletions or loss of heterozygosity (LOH) and mutations of yet unknown significance of only 8 genes (in addition to those affecting NPM1 and FLT3). The 8 mutated genes were: CDH24 and PCLK (encoding protocadherin/caderin family members), GPR123 and EBI2 (encoding G protein–coupled receptors), PTPRT (encoding a protein phosphatase), KNDC1 (encoding a potential guanine nucleotide exchange factor), SLC15A1 (encoding a peptide/drug transporter), and GRINL1B (encoding a glutamate receptor gene). Notably, when the nonsense and missense mutations affecting these 8 genes were searched in an additional 187 AML cases (including 43 carrying an NPM1 mutation), none of them were detected.46 In our opinion, these results further support the concept that NPM1 is a primary genetic lesion, because it is specific for AML,1,31 is recurrent in approximately 30% of adult AML,2 and defines a type of leukemia with distinctive biologic and clinical features2 as well as unique gene expression5,10,29 and microRNA signatures.6,7 On the contrary, the 8 additional mutated genes are likely to represent secondary events that, in this particular whole-sequenced patient,46 may signify either “passenger” or cooperating genetic alterations.
One possible explanation for the high genomic stability of AML with mutated NPM1 is that the NPM1 mutant alone induces leukemic transformation. Notably, in transfected cells, NPM1 leukemic mutants decreased the activity of tumor oncosuppressor alternative reading frame (ARF)47,48 and caused activation of the MYC oncogene.49 When combined with haploinsufficiency for wild-type NPM1,50 this double-edged sword could result into full potential to induce leukemic transformation. This would be also in accordance with a recently developed one-mutation mathematical model51 for NPM1-mutated AML. However, clarification of the leukemogenic role of NPM1 mutants awaits the development of appropriate animal models.
Our results have also important diagnostic and clinical implications. The finding that NPM1-mutated AML with NK or AK have overlapping biologic, pathologic, immunophenotypic, and clinical features justifies their inclusion in the new WHO classification, as a single entity under the term of “AML with mutated NPM1.” 14
According to our results, cytogenetic status (NK vs AK) seems to have no significant impact in the prognosis of patients with NPM1-mutated AML. The most clinically relevant finding was that FLT3-ITD negative NPM1-mutated AML patients carrying a NK or an AK showed the same relatively favorable prognosis. These results were based upon the comparison between NPM1-mutated AML patients with NK or AK group, as a whole. Thus, we cannot exclude that single sporadic chromosomal aberrations within the NPM1-mutated AK group may have an impact on prognosis. Despite this potential limitation, our findings raise the question of whether assessment of the prognostic value of NPM1 and FLT3-ITD mutations in the framework of NK8,,,,–13 represents the most rationale way for risk-stratification of AML patients. In fact, this approach has 2 major limitations: (1) it excludes a significant number of AML patients because of failure of cytogenetic analysis (up to 25% in large multicenter studies, including GIMEMA/EORTC), and (2) it prevents assignment of AML patients to the group with favorable genotype (NPM1 mutated/FLT3-ITD negative) if a chromosomal aberration is present. Thus, in line with the new WHO classification,14 a patient should simply be classified as “AML with mutated NPM1” (when carrying an NPM1 mutation or aberrant cytoplasmic expression of nucleophosmin), independently of whether the karyotype is normal or not. In the absence of FLT3-ITD, this patient should then be regarded as potentially belonging to the good favorable prognostic group. This approach would also offer the opportunity to investigate in future large multicenter clinical trials whether single, rare chromosomal abnormalities may affect the prognosis of NPM1-mutated AML patients. Use of NK as initial framework for analysis of other mutations or prognostic factors is likely to be more important in the group of AML patients that does not carry NPM1 mutations (∼ 40% of all AML with NK), whose molecular nature still remains uncertain.
In conclusion, our studies further support the concept that AML with mutated NPM1 represents a distinct entity and have important diagnostic and clinical implications.
The online version of this article contains a data supplement.
The publication costs of this article were defrayed in part by page charge payment. Therefore, and solely to indicate this fact, this article is hereby marked “advertisement” in accordance with 18 USC section 1734.
Acknowledgments
We are indebted to Prof. Martin Dugas, University of Münster, Germany, for support in microarray analyses and to Profs. Giuseppe Saglio, Francesco Lo Coco, Daniela Diverio, and Fabrizio Pane for performing molecular analyses of the FLT3 gene. The authors from the Munich Leukemia Laboratory (MLL) thank all physicians and especially participants of the AML Cooperative Group (AMLCG) for sending bone marrow or blood samples to the laboratory for reference diagnosis and also for submitting clinical data.
This work was supported by the Associazione Italiana per la Ricerca sul Cancro (AIRC). We thank Mrs Claudia Tibidò for secretarial assistance and Dr Geraldine Boyd for assistance in editing the manuscript.
Authorship
Contribution: C.H. studied the cases from MLL cytogenetically and contributed to the writing of the paper; C.M., M.M., A.C., N.T., and G.R.-C. performed the cytogenetic studies on patients from the GIMEMA/EORTC studies and contributed to the writing of the paper; S.S. carried out the molecular studies on patients from MLL and contributed to the writing of the paper; A.K. investigated the gene expression profile of cases from MLL and contributed to the writing of the paper; A.S. performed the statistical analyses on patients enrolled in the GIMEMA/EORTC trials; M.P.M. characterized the samples from the GIMEMA/EORTC patients by immunohistochemistry/Western blot analysis; M.V. and P.F. carried out the prognostic analysis of the GIMEMA/EORTC patients; T.H. carried out clinical and statistical correlations among AML patients from the MLL and contributed to the writing of the paper; and B.F. had the original idea for the study and wrote the paper.
Conflict-of-interest disclosure: B.F. and C.M. applied for a patent on clinical use of NPM1 mutants. All other authors declare no competing financial interests.
For a complete list of the Italian Group for Adult Hematologic Diseases (GIMEMA) study group participants and AMLCG participant centers, see the supplemental appendices.
Correspondence: Brunangelo Falini, Institute of Hematology, University of Perugia, Ospedale S. Maria della Misericordia, S. Andrea delle Fratte, 06132 Perugia, Italy; e-mail: faliniem@unipg.it.





This feature is available to Subscribers Only
Sign In or Create an Account Close Modal