Abstract
Inhibition of Wnt/β-catenin/T-cell factor (TCF) signaling induces proliferation of mesenchymal stem cells and/or suppresses their differentiation into osteoblasts (OBs). Osteolysis in multiple myeloma (MM) is related to the suppression of canonical Wnt signaling caused by DKK1, a soluble inhibitor of this pathway secreted by MM cells. Bortezomib (Bzb) can induce OB differentiation in vitro and in vivo and its anti-MM efficacy linked to bone anabolic effects. However, the molecular basis of the action of Bzb on bone is not completely understood. In the present study, we show that Bzb promotes matrix mineralization and calcium deposition by osteoprogenitor cells and primary mesenchymal stem cells via Wnt-independent activation of β-catenin/TCF signaling. Using affinity pull-down assays with immunoblotting and immunofluorescence, we found that Bzb induced stabilization of β-catenin. Nuclear translocation of stabilized β-catenin was associated with β-catenin/TCF transcriptional activity that was independent of the effects of Wnt ligand-receptor-induced signaling or GSK3β activation. Blocking the activation of β-catenin/TCF signaling by dominant negative TCF attenuated Bzb-induced matrix mineralization. These results provide evidence that Bzb induces OB differentiation via Wnt-independent activation of β-catenin/TCF pathway and suggest that proteasome inhibition therapy in MM may function in part by subverting tumor-induced suppression of canonical Wnt signaling in the bone microenvironment.
Introduction
The clinical efficacy of bortezomib (Bzb), a proteasome inhibitor used in the frontline treatment of multiple myeloma (MM), has been linked to an increase in bone markers1 and Bzb, and other proteasome inhibitors induce differentiation of mesenchymal stem cells (MSCs) into osteoblasts (OBs) in vitro2 and in vivo.3,4 Bzb has been reported to regulate osteogenesis via the induction of BMP-2 expression,3 increasing Runx2 transcriptional activity2 and stabilization of Runx2 protein.5,6 It is important to note, however, that Bzb can also induce OB differentiation in Runx2 null mice.5 Thus, Bzb may also influence other molecular pathway(s) to regulate MSC differentiation. The Wnt/β-catenin pathway, which is regulated by ubiquitin-mediated proteasomal degradation of β-catenin7,8 and plays an important role in OB differentiation,9 may be targeted by Bzb
In most cells, β-catenin is either located at the plasma membrane in a complex with cadherins and α-catenin or in the cytoplasm free from cadherin. In response to Wnt ligand binding to Frizzled/LRP5 receptor complexes, cytosolic (free) β-catenin accumulates in the cytoplasm, followed by its translocation to the nucleus where it interacts with T-cell factor (TCF)/lymphocyte enhancer factor transcription factors to modulate target gene activity.10 In the absence of Wnt binding, cytoplasmic β-catenin is phosphorylated by the casein kinase I and glycogen synthase kinase 3 beta (GSK3β) bound to a scaffolding complex of Axin and adenomatous polyposis coli proteins. Phosphorylated β-catenin is subsequently ubiquitinated and degraded by the 26S proteasome.11
Activation of Wnt/β-catenin is essential for proper bone development, and suppression of β-catenin causes bone-related pathologies in humans.12 Using transgenic mouse models, several laboratories have demonstrated that loss of β-catenin inhibits osteogenesis development during embryogenesis.13,14 In adults, deleting β-catenin leads to decreased OB numbers15 and increased osteoclast numbers.15,16 Dickkopf-1 (DKK1), a soluble inhibitor of Wnt/β-catenin signaling, functions by binding to the Wnt coreceptor LRP5 and regulating its presence on the cell surface.17 DKK1-mediated suppression of Wnt/β-catenin signaling in MSC contributes to osteolytic lesions in MM18-20 and rheumatoid arthritis.21 Osteoclast differentiation is controlled in part by the interaction of receptor activator of nuclear factor-κB ligand (RANKL) and RANK.22 Wnt-induced stabilization of β-catenin in OBs negatively regulates the expression of RANKL and positively regulates osteoprotegerin (OPG), a soluble decoy receptor for RANKL that modulates osteoclastogenesis by inhibiting RANK-RANKL signaling.15,16,23 Preclinical in vivo data show that increasing Wnt/β-catenin signaling through the administration of anti-DKK1 antibodies, Wnt3a, or LiCl activates β-catenin and MM-induced bone loss and MM cell growth.24-26
In the present study, we provide evidence that Bzb-induced OB differentiation can be traced to a Wnt-independent stabilization of β-catenin protein and activation of TCF transcriptional activity. The results of these studies provide a mechanistic explanation for how Bzb might overcome DKK1-mediated inhibitory effects on this pathway and provide a rationale for the use of Bzb in the treatment of diseases caused by suppression of β-catenin stabilization in MSC/OB.
Methods
Reagents
Clinical grade Bzb (Millennium Pharmaceuticals, Cambridge, MA) was dissolved in water in 10 mM and stored in −20°C. MG132 and N-acetyl-leucyl-leucyl-norleucinal, 2 cell-permeable proteasome inhibitors, were purchased from Calbiochem (EMD Chemicals, San Diego, CA). Recombinant Wnt3a (rWnt3a) protein was purchased from R&D Systems (Minneapolis, MN).
Primary bone marrow-derived MSCs
Primary MSCs were generated using methods described.27 Briefly, MSCs were derived from bone marrow of patients with MM with signed University of Arkansas for Medical Sciences Institutional Review Board–approved informed consent in accordance with the Declaration of Helsinki. Mononuclear cells were isolated using Ficoll-Hypaque density gradient centrifugation. The mononuclear fraction, depleted of plasma cells, was cultured in minimum essential medium with 15% fetal bovine serum (FBS) for 24 hours. Nonadherent cells were removed and cultures maintained until 70% confluent with a change of media twice a week. Cells in this state were designated passage 0. Primary MSCs from healthy donors were purchased from the Center for Gene Therapy (Tulane University Health Sciences Center, New Orleans, LA) and cultured under identical conditions. The differentiation assays were performed using cells from passage 2 or 3.
OB progenitor cell lines
An immortalized murine embryonic fibroblast cell line MC3T3-E1, embryonic mouse fibroblast cell line C3H/10T1/2, mouse pluripotent mesenchymal stem cell line C2C12, and human OB-like cell lines MG63 and Saos-2 were used. Cells were cultured in Dulbecco modified Eagle medium (DMEM; Invitrogen, Carlsbad, CA) containing 10% heat-inactivated FBS, penicillin (100 U/mL), streptomycin (100 mg/mL), and 4 mM l-glutamine. Cells were maintained at 37°C and humidified with 95% air and 5% CO2 for cell culture.
Immunoblotting
After treatments, cells were lysed in lysis buffer (20 mM Tris HCl, pH 8, and 150 mM NaCl, 0.2% NP40)28 and protein isolated by removing cell debris and nuclei by centrifugation at 16 100g for 10 minutes at 4°C. Proteins from nuclear fractions were prepared as described29 with minor modifications. Briefly, cells were harvested in hypotonic buffer (10 mM N-2-hydroxyethylpiperazine-N′-2-ethanesulfonic acid, pH 7.4, 1 mM MgCl2, 0.5 mM CaCl2, and 1 mM ethylenediaminetetraacetic acid) and then homogenized by 30 strokes in a Dounce homogenizer. After centrifugation at 14 000g for 30 seconds, the nuclear pellet was separated from the cytosolic fraction and resuspended in 50 μL hypotonic buffer containing 0.1% sodium dodecyl sulfate, and protein concentration determined by BCA (Pierce Chemical, Rockford, IL). Proteins were separated by sodium dodecyl sulfate–polyacrylamide gel electrophoresis and transferred to Immobilon polyvinylidene difluoride membranes (Millipore, Billerica, MA). Anti–β-catenin (BD Biosciences Transduction Laboratories, Lexington, KY) and antinonphosphorylated β-catenin (Upstate Biotechnology, Charlottesville, VA) were used. For quantification, autoradiographs were scanned with an Epson Expression 1680 Scanner into Adobe Photoshop CS2 (Adobe, San Jose, CA) and densitometry performed with National Institutes of Health Image, version1.61.
GST-E-cadherin binding assay
The glutathione-S-transferase (GST)-E-cadherin binding assay was performed as described.30 The β-catenin binding site of E-cadherin was cloned as a GST-fusion protein, and complexes are purified using GST beads. GST-E-cadherin was used to precipitate uncomplexed β-catenin from 500 μg of cell lysates and protein detected by immunoblotting as described.
ALP assay
Cells were cultured in DMEM with 2% horse serum with Bzb (0.25 nM to 10 nM) or rWnt3a for 96 hours and 7 days. Cells were lysed in 150 μL of lysis buffer. Alkaline phosphatase (ALP) activity was measured according to the manufacturer's instructions (Diagnostic Chemical, Exton, PA). Absorbance was determined with a Spectra Max340 Microplate Spectrophotometer (Molecular Devices, Sunnyvale, CA) set at 402 nm. Cell lysates were analyzed for protein content using the micro-BCA assay kit (Pierce Chemical).
Immunofluorescence staining
The cells were seeded in 6- or 12-well tissue culture plates in complete DMEM. After 12 hours, serial dilutions of Bzb were added to the media. After incubation for an additional 12 hours, the cells were fixed with freshly prepared 3.7% formaldehyde in phosphate-buffered saline for 5 minutes. The cells were incubated with mouse anti-β-catenin and stained with AlexaFluor-488-labeled goat antimouse antibody (Invitrogen) for 30 minutes at room temperature.
Matrix mineralization
von Kossa staining was used to detect matrix mineralization.31 Cells were seeded in 6- or 12-well plates with Bzb (0, 1.0, 2.0, and 5.0 nM) or OB differentiation media (10−8 M dexamethasone, 50 mg/mL of ascorbic acid 2-phosphate, 5.0 mM of β-glycerophosphate). After 21 days of culture, the cells were fixed with 5% glutaraldehyde in phosphate-buffered saline for 30 minutes and stained with fresh 5% silver nitrate solution (wt/vol) for 30 minutes under ultraviolet light. After unreacted silver was removed, the cells were counterstained with Nuclear Fast Red for 5 minutes.
Alizarin-red staining (ARS) and quantitative analysis were performed using methods described.32 Briefly, cells were fixed with 10% formaldehyde for 15 minutes. Formaldehyde was removed, and cells were rinsed with water and stained with 40 mM Alizarin-red (pH 4.2) for 20 minutes at room temperature; water washes used to reduce nonspecific ARS. Stained cultures were photographed. Stain was extracted by incubating the cells with 10% acetic acid for 30 minutes followed by heating to 5°C for 10 minutes. After removing cell debris by centrifugation at 16 100g, 500 μl of the supernatant was transferred into 3 wells in 96-well plate wells. ARS was measured on a Spectra MAX 340 Microplate Spectrophotometer (Molecular Devices) at OD 405 nm using known Alizarin Red concentrations to create a standard curve. Data are expressed as mean plus or minus SD.
Luciferase reporter assay
A total of 5 × 104 cells were transiently cotransfected with 0.5 μg/mL of either TOPflash or FOPflash and 50 ng of pSV-β-galactosidase vector to normalize for transfection efficiency, using Lipofectamine according to the manufacturer's instructions (Invitrogen). Three independent transfections were performed, each run in triplicate. Cells were exposed to Bzb, MG132, or control for 24 hours. The cells were harvested at 24 hours after transfection. Luciferase assays and β-galactosidase activities in the cell extracts were determined using luciferase and β-galactosidase assays according to the manufacturer's instructions (Promega, Madison, WI). The luciferase activity was monitored with a Veritas microplate Luminometer (Turner Designs, Sunnyvale, CA). β-Galactosidase activity was measured with a Spectra MAX340 Microplate spectrophotometer (Molecular Devices). The ratio of the luciferase/β-galactosidase values was calculated to normalize reporter activity.
RT-PCR analysis
Total RNA was isolated using TRIzol reagent (Invitrogen). First-strand cDNA synthesis was performed as previously described.29 All polymerase chain reactions (PCRs) began with a first cycle at 95°C for 3 minutes and a final cycle at 72°C for 10 minutes with an additional 35 cycles at 94°C for 30 seconds, 60°C for 45 seconds, and 72°C for 1 minute. Primer sequences for Wnt signaling components are as described.19,29,33 Quantitative PCR was performed using an ABI Prism 7000 sequence detection system (Applied Biosystems, Foster City, CA). The primers specific for mouse Wnt family, Alpl, Ctnnb1/β-catenin, Bmp2, Opg, and Rankl or specific for human WNT family, FZD family, ALPL, BMP2, CTNNB/β-catenin1, OPG, and RANKL were purchased from Applied Biosystems and reactions performed as previously described.20
Statistical analysis
Statistical significance of differences between experimental groups was analyzed by Student t test using the Microsoft Excel software statistical package. Significant P values were less than .05 by 2-tailed test.
Results
Bzb stabilizes β-catenin protein in OB progenitors and MSCs
To determine whether Bzb increases β-catenin protein levels in OB progenitors and human MSCs, we used an E-cadherin pull-down assay to separate uncomplexed (free β-catenin pool) and membrane-bound β-catenin34 As shown in Figure 1A, Bzb led to an increase in free β-catenin levels in C2C12, C3H10T1/2, MG63, and Saos-2. Elevated β-catenin protein was evident at 2 hours and peaked at 6 hours (Figure 1A,B). Consistent with Bzb-induced preservation of poly-ubiquitinated forms of β-catenin,35 higher molecular weight forms of β-catenin were evident in Bzb-treated cells. Comparable changes were not observed when the same cell lysates were immunoblotted for α-catenin and γ-catenin (data not shown). Free β-catenin levels increased at Bzb concentrations ranging from 2.5 nM to 500 nM, with maximal responses at 10 to 25 nM for C2C12 and 50 nM for MG63 and Saos-2 cells. An antibody specific for the nonphosphorylated form of β-catenin revealed increases at 10 to 500 nM in the cell lines (Figure 1C), with maximal levels observed at 100 nM for C2C12 and Saos-2 and 50 nM for MG63. The change in β-catenin levels followed a bell-shape, dose-dependent pattern (Figure 1D). Similar results were observed when Saos-2 and MG63 (Figure 1E) and C2C12 (data not shown) were treated with another proteasome inhibitor, MG132. Increases in β-catenin protein in C2C12 or Saos-2 cells were not the result of increased Ctnnb1/CTNNB(β-catenin) gene transcription (data not shown). These results indicate that proteasome inhibition increases β-catenin in a time- and dose-dependent manner that is independent of transcriptional up-regulation.
Bzb increases free and active forms of β-catenin in mouse and human OB progenitor cells (OB) and primary human MSCs. OB lines C2C12, C3H10T1/2, Saos-2, and MG63 and primary MSCs from 2 healthy donors (designated as #hMSC1 and #hMSC2) and 2 patients with MM (designated P#1 and P#2) were grown in the absence or presence of 500 nM of Bzb for indicated times (A,F,G) or with indicated serial concentrations of Bzb (B-D) for 6 hours. Saos-2 and MG63 cells were cultured in the absence or presence of 500 nM MG132 for indicated times (E). MSCs from 6 patients with MM (designated P#3 to P#8 in panel H) were grown in the absence or presence of 500 nM Bzb for 5 hours. Protein lysates (500 mg) subjected to GST-E-cadherin pull down were immunoblotted using antibodies to β-catenin (A-C,E-H) or active (nonphosphorylated) β-catenin (C). Arrows indicate ubiquitinated β-catenin. (D) The images of antiactive β-catenin antibody staining in C2C12, MG63, and Saos-2 lysates were analyzed with Photoshop software and quantified by National Institutes of Health Image 1.16 software as described in “Immunoblotting.” Results are mean plus or minus SD (n = 3). **P < .001, ***P < .001, ***P < .001 vs controls. (I) The MSCs from 2 patients with MM were treated with indicated concentrations of Bzb for 6 hours. Free β-catenin protein in the lysates separated using GST-E-cadherin pull down was determined by immunoblotting analysis as described in Figure 1A.
Bzb increases free and active forms of β-catenin in mouse and human OB progenitor cells (OB) and primary human MSCs. OB lines C2C12, C3H10T1/2, Saos-2, and MG63 and primary MSCs from 2 healthy donors (designated as #hMSC1 and #hMSC2) and 2 patients with MM (designated P#1 and P#2) were grown in the absence or presence of 500 nM of Bzb for indicated times (A,F,G) or with indicated serial concentrations of Bzb (B-D) for 6 hours. Saos-2 and MG63 cells were cultured in the absence or presence of 500 nM MG132 for indicated times (E). MSCs from 6 patients with MM (designated P#3 to P#8 in panel H) were grown in the absence or presence of 500 nM Bzb for 5 hours. Protein lysates (500 mg) subjected to GST-E-cadherin pull down were immunoblotted using antibodies to β-catenin (A-C,E-H) or active (nonphosphorylated) β-catenin (C). Arrows indicate ubiquitinated β-catenin. (D) The images of antiactive β-catenin antibody staining in C2C12, MG63, and Saos-2 lysates were analyzed with Photoshop software and quantified by National Institutes of Health Image 1.16 software as described in “Immunoblotting.” Results are mean plus or minus SD (n = 3). **P < .001, ***P < .001, ***P < .001 vs controls. (I) The MSCs from 2 patients with MM were treated with indicated concentrations of Bzb for 6 hours. Free β-catenin protein in the lysates separated using GST-E-cadherin pull down was determined by immunoblotting analysis as described in Figure 1A.
MSCs from 2 healthy donors (hMSC) and 8 patients with MM (mmMSC) were treated with 500 nM Bzb. Bzb induced an increase of β-catenin protein levels that was evident at 2 hours, peaking at 5 hours in hMSC (Figure 1F) and 3 to 7 hours in mmMSC (Figure 1G), and was maintained for 12 hours. β-Catenin stabilization was evident in 6 mmMSC samples at 5 hours (Figure 1H) and in 2 samples with lower concentration of Bzb for 5 hours (Figure 1I). These data show that Bzb induces an increase in free β-catenin protein levels in MSCs.
Bzb induces nuclear accumulation of β-catenin
We next determined whether Bzb treatment led to nuclear accumulation of β-catenin. Bzb (500 nM) stimulated an increase in β-catenin protein level in a time-dependent pattern in nuclear fractions from C2C12, MG63, and Saos-2 (Figure 2A) and all 4 mmMSC tested (Figure 2B). Immunofluorescence on whole cells revealed that Bzb induced nuclear accumulation of β-catenin at concentrations of 2.5 nM to 500 nM, with a peak at 100 nM at 12 hours in Saos-2 (Figure 2Ciii), MG63 (Figure 2D), and C2C12 and C3H10T1/2 (data not shown). Two mmMSC samples showed similar results, with responses occurring at 12.5 nM (Figure 2Eii) reaching a maximum at 50 nM (Figure 2Eiii) relative to control (Figure 2Ei). The response was continuous during a 24-hour incubation with Bzb (data not shown). Increases in nuclear β-catenin protein levels were illustrated in Saos-2, MG63, C2C12, and mmMSC response to lower concentrations of Bzb (Figure 2F). These findings indicated that Bzb induces nuclear accumulation of β-catenin in all treated cells.
Bzb induces β-catenin accumulation in the nucleus of OBs and MSCs. Nuclear and cytoplasmic fractions of cells of indicated cell lines (A) or msc from myeloma patients (B) described in Figure 1 were separated. Nuclear fractions were lysed and proteins isolated. A total of 5 mg of protein was immunoblotted with β-catenin antibodies followed by membrane stripping and hybridization with an antibody anti-Lamin B to control for protein loading (bottom). Arrows represent ubiquitinated β-catenin. Saos-2 (Ci-Ciii), and MG63 (Di-Diii) cells were treated with 0 (Ci,Di), 50 nM (Cii,Dii), and 100 nM (Ciii,Diii) of Bzb for 12 hours. MSCs from MM patients were cultured in the absence (Ei) or presence of 12.5 (Eii) or 50 nM (Eiii) Bzb for 12 hours. Immunofluorescence microscopy with an antibody specific for β-catenin was used to assess changes in nuclear and cytoplasmic β-catenin. For panels C through E, an Olympus IMT2 inverted research microscope (Olympus, Tokyo, Japan) using an Olympus 40×/0.65 P and a X-CITE 120 illumination systems designed especially for fluorescence microscopy. The fluorescent images were acquired using a SPOT camera (Diagnostic Instruments, Sterling Heights, MI) Model: 2.21 and were processed with an Advanced STOP version 4.7 software (Diagnostic Instruments) and Adobe Photoshop CS2 version 9.02 software (Adobe Systems, San Jose, CA). (F) The indicated cells were treated with indicated concentrations of Bzb for 6 hours. Free β-catenin protein separated using GST-E-cadherin pull down in nuclear lysates was determined by immunoblotting analysis as described in “Immunoblotting.”
Bzb induces β-catenin accumulation in the nucleus of OBs and MSCs. Nuclear and cytoplasmic fractions of cells of indicated cell lines (A) or msc from myeloma patients (B) described in Figure 1 were separated. Nuclear fractions were lysed and proteins isolated. A total of 5 mg of protein was immunoblotted with β-catenin antibodies followed by membrane stripping and hybridization with an antibody anti-Lamin B to control for protein loading (bottom). Arrows represent ubiquitinated β-catenin. Saos-2 (Ci-Ciii), and MG63 (Di-Diii) cells were treated with 0 (Ci,Di), 50 nM (Cii,Dii), and 100 nM (Ciii,Diii) of Bzb for 12 hours. MSCs from MM patients were cultured in the absence (Ei) or presence of 12.5 (Eii) or 50 nM (Eiii) Bzb for 12 hours. Immunofluorescence microscopy with an antibody specific for β-catenin was used to assess changes in nuclear and cytoplasmic β-catenin. For panels C through E, an Olympus IMT2 inverted research microscope (Olympus, Tokyo, Japan) using an Olympus 40×/0.65 P and a X-CITE 120 illumination systems designed especially for fluorescence microscopy. The fluorescent images were acquired using a SPOT camera (Diagnostic Instruments, Sterling Heights, MI) Model: 2.21 and were processed with an Advanced STOP version 4.7 software (Diagnostic Instruments) and Adobe Photoshop CS2 version 9.02 software (Adobe Systems, San Jose, CA). (F) The indicated cells were treated with indicated concentrations of Bzb for 6 hours. Free β-catenin protein separated using GST-E-cadherin pull down in nuclear lysates was determined by immunoblotting analysis as described in “Immunoblotting.”
Bzb induces TCF transcriptional activity
Reverse-transcribed (RT)-PCR analyses revealed that TCF family members TCF-1, -3, and -4 were variably expressed in the OB cell lines and primary hMSC tested (Table 1). TCF4 was most abundant and present in all cells. Using the TOPflash reporter system, we found that Bzb treatment for 24 hours significantly induced luciferase activity in C2C12, C3H10T1/2, MG63, and Saos-2 (Figure 3A-D). Like β-catenin stabilization, luciferase activity exhibited a bell-shaped, dose-dependent response with maximal responses at 12.5 nM for C2C12 and MG63, 25 nM for C3H10T1/2, and 250 to 500 mM for Saos-2. Luciferase activity suppressed at concentrations of greater than 100 nM in C2C12, C3H10T1/2, and MG63 and greater than 1 mM in Saos-2 (Figure 3D; and data not shown). Similar results were observed in 2 of 4 mmMSC (Figure 3E; and data not shown). MG132 also induced luciferase activity in C2C12 (Figure 3F) and Saos-2 (data not shown). These results indicate that Bzb stimulates TCF transcriptional activity in a dose-dependent manner.
TCF mRNA expression in OB lines and primary MSC by RT-PCR
| . | TCF1 . | TCF3 . | TCF4 . | LEF1 . | β-actin . |
|---|---|---|---|---|---|
| C2C12 | ++ | + | +++ | + | ++++ |
| C3H10T1/2 | ++ | + | +++ | − | ++++ |
| MG63 | ++ | + | +++ | − | ++++ |
| FOB1.19 | ++ | + | +++ | + | ++++ |
| hnMSC | + | ++ | +++ | ++ | ++++ |
| mmMSC#32 | ++ | +++ | +++ | ++ | ++++ |
| mmMSC#36 | + | +++ | +++ | ++ | ++++ |
| . | TCF1 . | TCF3 . | TCF4 . | LEF1 . | β-actin . |
|---|---|---|---|---|---|
| C2C12 | ++ | + | +++ | + | ++++ |
| C3H10T1/2 | ++ | + | +++ | − | ++++ |
| MG63 | ++ | + | +++ | − | ++++ |
| FOB1.19 | ++ | + | +++ | + | ++++ |
| hnMSC | + | ++ | +++ | ++ | ++++ |
| mmMSC#32 | ++ | +++ | +++ | ++ | ++++ |
| mmMSC#36 | + | +++ | +++ | ++ | ++++ |
+ indicates a weak fluorescent density; ++, between weak and middle fluorescent density; +++, middle fluorescent density; and ++++, strong fluorescent density of ethidium bromide-stained DNA.
Bzb increases TCF transcriptional activity in OBs and MSCs. C2C12 (A,F), C3H10T1/2 (B), MG63 (C), Saos-2 (D), and MSC from MM (E) were plated in 12-well plates and transiently cotransfected with 0.5 μg TOPflash and 50 ng pSV-β-galactosidase vector. The cells were treated with indicated concentrations of Bzb (A-E) or indicated concentration of MG132 (F) for 24 hours. The cell lysates were subjected to luciferase quantification as described in “Luciferase reporter assay.” Results represent the mean plus or minus SD of triplicate transfection of one representative experiment. * P < .05, ** P < .01, *** P < .001, **** P < .001 vs controls.
Bzb increases TCF transcriptional activity in OBs and MSCs. C2C12 (A,F), C3H10T1/2 (B), MG63 (C), Saos-2 (D), and MSC from MM (E) were plated in 12-well plates and transiently cotransfected with 0.5 μg TOPflash and 50 ng pSV-β-galactosidase vector. The cells were treated with indicated concentrations of Bzb (A-E) or indicated concentration of MG132 (F) for 24 hours. The cell lysates were subjected to luciferase quantification as described in “Luciferase reporter assay.” Results represent the mean plus or minus SD of triplicate transfection of one representative experiment. * P < .05, ** P < .01, *** P < .001, **** P < .001 vs controls.
Bzb induces bone mineralization in OB progenitors and MSCs from MM patients
We next examined the effect of Bzb on ALP activity. In contrast to BMP-2 or Wnt3a treatment, Bzb increased ALP mRNA expression in C2C12 cells but had no effect on ALP in hMSC (data not shown). Bzb at 0.25 nM did increase ALP in one mmMSC case (0.051 ± 0.31 mg/protein per minute) relative to control (0.08 ± 0.0364 mg/protein per minute), which failed to reach statistical significance (P > .2). There was no difference in ALP activity in MSCs treated with serial concentrations (0.1-2 nM) of Bzb in the remaining 7 mmMSC. These results indicate that Bzb does not induce ALP activity in MSCs or OBs.
We next measured Bzb effects on extracellular matrix mineralization as determined by von Kossa staining. At concentrations of 2 nM, Bzb induced mineralization in C3H10T1/2 grown in the presence of 21 days (Figure 4A,B). ARS for calcium deposition was also observed in hMSC (Figure 4C,D). The widespread mineralization observed in hMSC relative to the scattered foci in murine C3T10T1/2 cells is consistent with previously reported interspecies differences.36 Bzb-induced mineralization was also evident in 2 mmMSC (Figure 4E,F; and data not shown). However, extent of Bzb-induced mineralization by mmMSC was weaker than that in hMSC at similar concentrations of Bzb. We also observed a significant increase in ARS in C3H10T1/2 cells (Figure 4G) and mmMSC (Figure 4H) treated with 2 nM Bzb. Importantly, Bzb-induced mineralization was comparable with that induced by BMP-2 and bone differentiation media. Thus, Bzb is capable of stimulating matrix mineralization by MSCs and OBs in vitro.
Bzb induces matrix mineralization and calcium secretion by MSCs. C3H10T1/2 (A,B), MSC from normal donors (C,D), and MM patients (E,F) were cultured at 6-well plates for 24 hours at an initial density of 3 × 105/cm2. The cells were cultured in the absence of (A,C,E) or presence of 2 nM Bzb (B,D,F) for 21 days. Matrix mineralization was assessed by von Kossa staining. Stained cultures were photographed at 100× magnification. C3H10T1/2 cells (G) and MSCs from an MM patient (H) were cultured in the absence or presence of Bzb at indicated concentrations for 21 days using BMP-2 (200 ng/mL) or OB differentiation media (BDM) as the positive controls. Calcium staining was assessed by ARS as described. Results are mean plus or minus SD (n = 3). *P < .01, **P < .01, relative to control. An Olympus IMT2 inverted research microscope (Olympus) using an Olympus 40×/0.65 P was used. The fluorescent images were acquired using a SPOT camera (Diagnostic Instruments) Model: 2.21 and were processed with an Advanced STOP version 4.7 software (Diagnostic Instruments) and Adobe Photoshop CS2 version 9.02 software (Adobe Systems).
Bzb induces matrix mineralization and calcium secretion by MSCs. C3H10T1/2 (A,B), MSC from normal donors (C,D), and MM patients (E,F) were cultured at 6-well plates for 24 hours at an initial density of 3 × 105/cm2. The cells were cultured in the absence of (A,C,E) or presence of 2 nM Bzb (B,D,F) for 21 days. Matrix mineralization was assessed by von Kossa staining. Stained cultures were photographed at 100× magnification. C3H10T1/2 cells (G) and MSCs from an MM patient (H) were cultured in the absence or presence of Bzb at indicated concentrations for 21 days using BMP-2 (200 ng/mL) or OB differentiation media (BDM) as the positive controls. Calcium staining was assessed by ARS as described. Results are mean plus or minus SD (n = 3). *P < .01, **P < .01, relative to control. An Olympus IMT2 inverted research microscope (Olympus) using an Olympus 40×/0.65 P was used. The fluorescent images were acquired using a SPOT camera (Diagnostic Instruments) Model: 2.21 and were processed with an Advanced STOP version 4.7 software (Diagnostic Instruments) and Adobe Photoshop CS2 version 9.02 software (Adobe Systems).
Bzb-activated β-catenin/TCF signaling is independent its upstream targets in the canonical Wnt signaling pathway
Because Bzb has been reported to increase BMP-2 expression in mouse OB cells3 and BMP-2 induces canonical Wnt signaling through autocrine activation of Wnt3a mRNA expression in C2C12 and C3H10T1/2 cells,37 we assessed the effect of Bzb on changes in mRNA levels of Wnt ligands by both RT-PCR and quantitative PCR analysis. Bzb treatment did not induce expression of any members of Wnt family in Saos-2 (Figure 5A), C2C12, and hMSC and mmMSC (data not shown), Frizzled/FZD receptors in Saos-2 (Figure 5B) and C2C12 (data not shown), or Lrp5/6/LRP5/6 in C2C12 (Figure 4C). Moreover, treatment failed to down-regulate Wnt signaling antagonists DKK1 or sFRP family members in Saos-2, C2C12, and MSC (data not shown). Addition of recombinant sFRP1, 2, and 3 to cultures treated with Bzb failed to affect β-catenin protein accumulation and TCF transcriptional activity in C2C12 and hMSC (data not shown). Finally, treatment of C2C12 or Saos-2 cells with recombinant Wnt3a protein plus Bzb did not lead to induction of higher levels of free β-catenin (data not shown) or TCF transcriptional activity (Figure 5D) compared with either compound alone. Taken together, these results indicate that Bzb-activated β-catenin/TCF signaling is independent of extracellular Wnt ligand/receptor interactions.
Bzb does not alter expression of Wnt ligands, receptors, and Wnt antagonists or OPG protein in OBs. Saos-2 cells were cultured in the medium in the absence or presence of 10 nM of Bzb for 24 hours. Total RNA was isolated, and RT-PCR analysis was performed to measure mRNA expression of WNTs (A), FZDs (B), and LRP5/6 (C), as described in “RT-PCR analysis.” The Saos-2 (D,E) cells were transfected with TOPflash plasmid DNA. The cells were treated with indicated concentrations of Bzb in the presence or absence of Wnt3a (100 ng/mL, D) or lithium chloride (10 mM, E) for 24 hours. Lysates was harvested and subjected to luciferase quantification. The C2C12 (F) or C3H10T1/2 (G) cells were treated in the presence or absence of Bzb (100 nM) or Wnt3a (100 ng/mL) for 48 hours and supernatants harvested for ELISA analysis of OPG protein concentrations. Results are mean plus or minus SD (n = 3). **P < .01, ***P < .001 vs controls.
Bzb does not alter expression of Wnt ligands, receptors, and Wnt antagonists or OPG protein in OBs. Saos-2 cells were cultured in the medium in the absence or presence of 10 nM of Bzb for 24 hours. Total RNA was isolated, and RT-PCR analysis was performed to measure mRNA expression of WNTs (A), FZDs (B), and LRP5/6 (C), as described in “RT-PCR analysis.” The Saos-2 (D,E) cells were transfected with TOPflash plasmid DNA. The cells were treated with indicated concentrations of Bzb in the presence or absence of Wnt3a (100 ng/mL, D) or lithium chloride (10 mM, E) for 24 hours. Lysates was harvested and subjected to luciferase quantification. The C2C12 (F) or C3H10T1/2 (G) cells were treated in the presence or absence of Bzb (100 nM) or Wnt3a (100 ng/mL) for 48 hours and supernatants harvested for ELISA analysis of OPG protein concentrations. Results are mean plus or minus SD (n = 3). **P < .01, ***P < .001 vs controls.
We next investigated whether Bzb modifies intracellular components of the Wnt/β-catenin pathway. The disheveled proteins, Dvl-2 and Dvl-3, are required for β-catenin signaling38 and did not alter the expression of these 2 proteins in Saos-2 and MG63 cells (data not shown). GSK3β phosphorylates β-catenin, which in turn triggers its subsequent ubiquitin-mediated proteasomal degradation,39 and lithium chloride (LiCl) inhibits GSK3β activity, leading to increased β-catenin activity.40 To determine whether Bzb stabilizes β-catenin through GSKβ, we tested the effects of Bzb and LiCl alone and in combination. As shown in Figure 5E, Bzb, and to a lesser extent LiCl, significantly increased TCF activity compared with controls. However, as observed for Wnt3a, the combination of the 2 compounds failed to elicit a greater level of TCF transcriptional activity in Saos-2 cells. Similar results were observed with β-catenin levels in C2C12 (data not shown). These results suggest that Bzb functions to stabilize β-catenin downstream of GSK3β.
In mice, β-catenin regulates osteoclastogenesis by regulating OPG expression by MSCs/OBs.16 We recently showed that in vitro activation canonical Wnt/β-catenin signaling by Wnt3a enhances OPG mRNA and protein levels in OB progenitor cell lines.20 We therefore evaluated whether Bzb also induced Opg expression in cells where Wnt3a is known to activate this gene. Bzb failed to induce Opg mRNA (data not shown) or protein expression of C2C12 and C3H10T1/2 (Figure 5F,G). These results indicate that, although Wnt3a and Bzb are both capable of inducing β-catenin stabilization and downstream signaling, there are nonoverlapping cellular responses to the 2 agents.
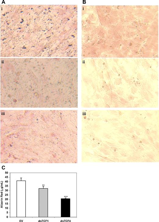
Blocking TCF abrogates Bzb-induced matrix mineralization
We next tested whether TCF signaling was required and/or sufficient for the matrix mineralization observed. We transfected cells with constructs expressing dominant negative forms of TCF1 (dnTCF1) and TCF4 (dnTCF4) or empty vector (EV) control. Mutant TCF4 constructs were hemagglutinin (HA)–tagged and readily detected by anti-HA antibody in transfected cells, and an anti-TCF1 antibody was used to detect dnTCF1 (Figure 6A). Bzb significantly induced TCF transcriptional activity in EV-expressing C2C12; there was a significant inhibition in cells expressing dnTCF1 or dnTCF4 (Figure 6B). The dnTCF4 construct exhibited a greater ability to suppress TCF signaling than did the dnTCF1 construct. In similar experiments, both dnTCF1 and dnTCF4 expression significantly diminished Bzb-induced TCF transcriptional activity in C3H10T1/2, MG63, and Saos-2 (Figure 6C-E). Both dnTCFs also blocked MG132-induced TCF transcriptional activity in Saos-2 (Figure 6F). Transfected cells were also differentiated with Bzb and subjected to von Kossa analysis. Relative EV control, matrix mineralization in C3H10T1/2 cells transfected with dnTCF1 or dnTCF4 constructs was attenuated (Figure 7Ai-Aiii). Similar results were seen with ARS (Figure 7Bi-Biii). In hMSC treated with 1 nM of Bzb, quantitative ARS showed that dnTCF1 and dnTCF4 significantly blocked Bzb-induced mineralization (Figure 7C). These results suggest that Bzb-induced mineralization in OB progenitors and MSC occurs, in part, through the activation of β-catenin/TCF signaling.
Expression of dominant negative TCF attenuates Bzb-induced TCF transcriptional activity in MSCs. (A) MSCs were seeded at 5 × 104 cells/mL in 10-cm tissue culture plates and cotransfected with 0.5 mg/mL of empty vector, dnTCF1, or dnTCF4 plasmid DNAs. Total protein (50 mg) was isolated and immunoblotted with anti-TCF (left panel) or anti-HA (right panel) antibodies to measure the expression of dnTCF1 (left panel) and dnTCF4 (right panel) proteins. C2C12 (B), C3H10T1/2 (C), MG63 (D), and Saos-2 (E,F) cells cultured in 12-well plates in DMEM with 10% FBS were cotransfected with 0.5 mg/mL of empty vector, dnTCF1, dnTCF4 plasmid DNA plus TOPflash plasmid DNA. After 48 hours of incubation, the cells were incubated in media in the absence or presence of 6.25 nM (B), 12.5 nM (C,D), or 100 nM (E) Bzb, or 65 nM of MG132 (F) and cells lysed for luciferase quantification. The data represent mean plus or minus SD. **P < .01, ***P < .001 vs controls.
Expression of dominant negative TCF attenuates Bzb-induced TCF transcriptional activity in MSCs. (A) MSCs were seeded at 5 × 104 cells/mL in 10-cm tissue culture plates and cotransfected with 0.5 mg/mL of empty vector, dnTCF1, or dnTCF4 plasmid DNAs. Total protein (50 mg) was isolated and immunoblotted with anti-TCF (left panel) or anti-HA (right panel) antibodies to measure the expression of dnTCF1 (left panel) and dnTCF4 (right panel) proteins. C2C12 (B), C3H10T1/2 (C), MG63 (D), and Saos-2 (E,F) cells cultured in 12-well plates in DMEM with 10% FBS were cotransfected with 0.5 mg/mL of empty vector, dnTCF1, dnTCF4 plasmid DNA plus TOPflash plasmid DNA. After 48 hours of incubation, the cells were incubated in media in the absence or presence of 6.25 nM (B), 12.5 nM (C,D), or 100 nM (E) Bzb, or 65 nM of MG132 (F) and cells lysed for luciferase quantification. The data represent mean plus or minus SD. **P < .01, ***P < .001 vs controls.
Blocking TCF transcriptional activity attenuates Bzβ-induced matrix mineralization by MSC differentiation. C3H10T1/2 cells seeded in 12-well plates were transfected with 0.5 mg/mL of empty vector (Ai,Bi), dominant negative TCF1 (dnTCF1) (Aii,Bii), or dnTCF4 (Aiii,Biii) plasmid DNA for 48 hours. The cells were cultured in the absence or presence of 1 nM Bzb for 21 days. Matrix mineralization staining (Ai-iii) or calcium staining (Bi-iii) was performed as described in “Matrix mineralization.” (C) Primary MSCs from patients with MM transfected with EV, dnTCF1, or dnTCF4 plasmid DNA were cultured in the presence of 1 nM Bzb for 21 days. Calcium deposition was analyzed by ARS. Results are mean plus or minus SD (n = 3). *P < .01, **P < .001 vs controls. An Olympus IMT2 inverted research microscope (Olympus) using an Olympus 40×/0.65 P was used. The fluorescent images were acquired using a SPOT camera (Diagnostic Instruments) Model: 2.21 and were processed with an Advanced STOP version 4.7 software (Diagnostic Instruments) and Adobe Photoshop CS2 version 9.02 software (Adobe Systems).
Blocking TCF transcriptional activity attenuates Bzβ-induced matrix mineralization by MSC differentiation. C3H10T1/2 cells seeded in 12-well plates were transfected with 0.5 mg/mL of empty vector (Ai,Bi), dominant negative TCF1 (dnTCF1) (Aii,Bii), or dnTCF4 (Aiii,Biii) plasmid DNA for 48 hours. The cells were cultured in the absence or presence of 1 nM Bzb for 21 days. Matrix mineralization staining (Ai-iii) or calcium staining (Bi-iii) was performed as described in “Matrix mineralization.” (C) Primary MSCs from patients with MM transfected with EV, dnTCF1, or dnTCF4 plasmid DNA were cultured in the presence of 1 nM Bzb for 21 days. Calcium deposition was analyzed by ARS. Results are mean plus or minus SD (n = 3). *P < .01, **P < .001 vs controls. An Olympus IMT2 inverted research microscope (Olympus) using an Olympus 40×/0.65 P was used. The fluorescent images were acquired using a SPOT camera (Diagnostic Instruments) Model: 2.21 and were processed with an Advanced STOP version 4.7 software (Diagnostic Instruments) and Adobe Photoshop CS2 version 9.02 software (Adobe Systems).
Discussion
Bzb, a first-in-class proteasome inhibitor, is now FDA-approved for the frontline treatment of newly diagnosed MM. The mechanism(s) of action of Bzb are unknown, but the drug appears to act on the tumor cell and the bone marrow microenvironment.41 In addition to its direct antitumor effects, Bzb has also been shown to induce OB differentiation in mouse and human MSCs in vitro2,3 and in animal models in vivo.3,4 Moreover, Bzb treatment has been associated with the elevation of bone markers in MM patients, which has also been linked to improved outcome.1,42-46 It is not certain how the increase in bone markers induced by Bzb is related to improved outcome but may be related to the anti-MM effects of OBs and the suppression of osteoclasts that support MM growth47 and/or the suppression of interleukin-6 production by increased differentiation of MSCs.48
Wnt/β-catenin signaling is essential for coupled bone turnover, and emerging data suggest that its suppression is related to osteolytic bone disease in MM.9,12 We and others have shown that MM tumor cells secrete DKK1, and its expression is linked to osteolytic bone disease patients with MM.18,43,49 Evidence of a causal relationship has been established by showing that MM-derived DKK1 suppresses osteoblastogenesis18,19 and that DKK1-mediated suppression of Wnt/β-catenin signaling suppresses OPG synthesis and enhances RANKL synthesis in OBs,20 which may account for increased osteoclast activity in MM. DKK1-mediated suppression of β-catenin has now been implicated in the bone metastases of breast cancer, neuroblastoma, prostate cancer, osteosarcoma, rheumatoid arthritis, and glucocorticoid-induced osteoporosis.12 We and others have also shown that suppressing DKK1 or enhancing Wnt/β-catenin signaling can inhibit bone disease and MM growth in vivo.25,26
Here we present numerous lines of evidence that Bzb can induce OB differentiation in vitro via the stabilization and nuclear translocation of β-catenin and formation of active β-catenin/TCF signaling complexes that is independent of upstream Wnt signaling. Similar results were observed when the cells were treated with the proteasome inhibitor MG132, suggesting that this effect is not drug specific. Our results are consistent with a previous study demonstrating that proteasome inhibitors, such as N-acetyl-leucyl-leucyl-norleucinal, block proteasome-mediated proteolysis and result in an accumulation of ubiquitinated β-catenin in fibroblasts.8,35
Guiliani et al reported that Bzb induces OB differentiation in vitro but that this was not related to the stabilization of β-catenin.2 We suspect that this discrepancy is related to the methods used to measure β-catenin protein. Whereas Giuliani et al2 measured changes in whole protein, we used an affinity-based E-cadherin-GST pull-down assay to enrich for non–membrane-bound β-catenin before measuring β-catenin. We and others have reported on the successful use of this method.19,20,30 There are 2 pools of β-catenin in cells that express the cadherin family proteins. One is a membrane-bound form that lacks transcriptional activity and accounts for the majority of the β-catenin,35,50 and the other is the cytosolic (free) form. Both mouse and human MSCs express high levels of cadherin protein that sequesters β-catenin in the membrane fraction,34,50 which does not change in response to Wnt stimulation,19,20,51 R-spondin-1 treatment,19,20,51 or Bzb (data not shown). To avoid the masking effect of the large quantities of membrane-bound β-catenin in the pool of total protein from cell lysates, an E-cadherin pull-down assay allows isolation and measurement of the free β-catenin fraction, independent of membrane-bound form.
We established that the dose-response curve for Bzb-mediated stabilization of β-catenin protein and TCF activity was bell-shaped, thereby revealing a threshold and an upper bounder, or lintel, where responses are reduced. It should be noted that maximum β-catenin protein stabilization occurs at a much higher concentration of drug (50-100 nM, depending on the cell type) than does maximal TCF activity (< 12.5 nM). These data reveal that free β-catenin protein levels limit the degree to which Bzb can stabilize the protein, which might be related to the rate of CTNNB1 mRNA transcription or mRNA stability, the rate of protein translation, and/or the level of expression of cadherin proteins on the cell surface. The lower concentration at which maximum β-catenin/TCF occurs suggests that TCF/lymphocyte enhancer factor factors are rate limiting for β-catenin/TCF activation after Bzb.
Because Wnt3a activates the β-catenin/TCF pathway and promotes OB differentiation, it was of interest to determine whether this pathway might play a role in Bzb-induced OB differentiation. A comprehensive analysis revealed that Bzb did not activate the expression of Wnt ligands, suppress the expression of Wnt signaling antagonists, such as Dkk1 and sFRP family, or influence the function of intracellular factors Dvl-2/3 or GSK3β. Because Bzb-induced accumulation of β-catenin correlated with increased TCF transcriptional activity and this activity could be suppressed by dominant negative TCF, our data imply that Bzb can activate β-catenin/TCF signaling independent of Wnt ligands.
Wnt3a19,20 and Bzb can both stabilize β-catenin and induce matrix mineralization in OB progenitors and MSCs. Whereas Wnt3a stimulates ALP activity in a variety of OB progenitor cell lines,37,51 Bzb failed to elicit such a response in these cells and primary MSCs. These results are in contrast with those of Mukherjee et al5 whose studies focused on the effects of Bzb on mouse cells and also correlative studies of primary MM.45,46,52 However, these results are consistent with in vitro studies on human MSCs.2 The difference between mouse and human cells might be related to the fact that Wnt/ β-catenin signaling has species-specific effects as DKK1 regulates adipocyte differentiation of human, but not mouse, MSCs53 or subtle differences related to cells used and experimental design. In contrast to in vitro conditions, the bone marrow may have, or Bzb may induce, factors that are not present in tissue culture. Further experiments are underway to elucidate the mechanism responsible for the different effect of Bzb on ALP activity in vitro and in vivo.
Whereas Wnt3a treatment enhances OPG expression in OB progenitor cells,20 Bzb did not alter the expression of OPG in the current studies. These unexpected results may be explained by the fact that, although canonical Wnt signaling specifically stabilizes β-catenin, proteasome inhibition can stabilize numerous proteins. It is possible that, in addition to stabilizing β-catenin, Bzb may stabilize a negative regulator of β-catenin-mediated regulation of ALP and OPG that does not interfere with matrix mineralization. Another possibility is that, whereas Wnt3a induces persistent activation of β-catenin/TCF transcriptional activity across a wide range of concentrations, Bzb used at the low concentrations required to elicit cell differentiation only induced a relatively transient increase in β-catenin. The lack of an effect of Bzb on OPG and RANKL may explain why Mukherjee et al5 did not find any effects of Bzb on osteoclast differentiation in their study. In contrast with our in vitro results, in vivo studies have demonstrated that Bzb treatment in MM patients results in suppression of serum RANKL.54 One possibility is that the reduction of RANKL in vivo may be related to the suppression of RANKL-producing MM cells.55,56
The data presented here suggest that Bzb may be able to bypass the Wnt-suppressive effects of DKK1 by directly inhibiting the proteasome leading to Wnt-independent β-catenin/TCF signaling in bone cells. We previously reported that thalidomide, lenalidomide, and dexamethasone, but not bortezomib, induces DKK1 in MM cells.57,58 It is now recognized that glucocorticoids can also activate DKK1 in OBs and may contribute to osteoporosis induced by chronic exposure to this class of drug.59 Interestingly, Bzb treatment of MM is related to a suppression of DKK1 in MM serum.4,44,54 Because glucocorticoids, thalidomide, and now lenalidomide are used to treat MM, a potential benefit of combining Bzb with these compounds might be related to the ability of Bzb to overcome the potential negative side effects on bone of drug-induced activation of DKK1. Preclinical evidence suggests that enhancing canonical Wnt/β-catenin signaling in MM bone through the application of neutralizing antibodies to DKK1, recombinant Wnt3a, or LiCl has potent bone anabolic and anti-MM effects.24-26 It will be interesting to see whether more specific and targeted Wnt/β-catenin–enhancing therapies might add to the current armamentarium of combination chemotherapies.
In conclusion, the experiments described in the present study show that Bzb activates the β-catenin/TCF pathway in OB progenitors and MSCs, leading to matrix mineralization by these cells that is independent of Wnt. These data add to the growing evidence of a critical role of the Wnt/β-catenin pathway in bone biology and provide novel mechanistic insights into the recognized bone anabolic effects of Bzb and an evidence-based rationale for its use in the treatment of diseases related to the suppression of Wnt/β-catenin and MSC differentiation by DKK1.
The publication costs of this article were defrayed in part by page charge payment. Therefore, and solely to indicate this fact, this article is hereby marked “advertisement” in accordance with 18 USC section 1734.
Acknowledgments
The authors thank Drs Stuart Rudikoff and Jeffery Rubin in Lab of Cellular and Molecular Biology, National Cancer Institute, National Institutes of Health for providing reagents as well as the faculty, staff, and patients of the Myeloma Institute for Research and Therapy.
This work was supported by the National Cancer Institute (J.D.S.) and by a Multiple Myeloma Research Foundation Senior Research Award (Y.-W.Q.).
National Institutes of Health
Authorship
Contribution: Y.-W.Q. conceptualized and designed the research, designed and performed the experiments, analyzed and interpreted the results, and wrote the paper; Y.C., B.H., and Y.Z. performed experiments; B.S. aided experimental design; B.B. contributed clinical samples and wrote the paper; J.D.S. conceptualized and designed the research, analyzed and interpreted the results, and wrote the paper.
Conflict-of-interest disclosure: The authors declare no competing financial interests.
Correspondence: John D. Shaughnessy Jr or Ya-Wei Qiang, Myeloma Institute for Research and Therapy, University of Arkansas for Medical Sciences, 4301 W Markham St, #716, Little Rock, AR 72205; e-mail: shaughnessyjohn@uams.edu or Qiang@uams.edu.






