Abstract
Childhood T-cell precursor acute lymphoblastic leukemia (TCP ALL) is an aggressive disease with a presumably short latency that differs in many biologic respects from B-cell precursor (BCP) ALL. We therefore addressed the issue of in utero origin of this particular type of leukemia by tracing oncogenic mutations and clone-specific molecular markers back to birth. These markers included various first- and second-hit genetic alterations (TCRD-LMO2 breakpoint regions, n = 2; TAL1 deletions, n = 3; Notch1 mutations, n = 1) and nononcogenic T-cell receptor rearrangements (n = 13) that were derived from leukemias of 16 children who were 1.5 to 11.2 years old at diagnosis of leukemia. Despite highly sensitive polymerase chain reaction (PCR) approaches (1 cell with a specific marker among 100 000 normal cells), we identified the leukemic clone in the neonatal blood spots in only 1 young child. These data suggest that in contrast to BCP ALL most TCP ALL cases are initiated after birth.
Introduction
T-cell precursor acute lymphoblastic leukemia (TCP ALL) accounts for approximately 15% of childhood ALL and comprises genetically heterogeneous subforms of different maturation stages. Chromosomal translocations leading to the aberrant transcription and expression of proto-oncogenes are important but rare early events that require additional mutations for progression into clinically overt disease (reviewed by Pui and Evans1 and Pui et al2 ). Moreover, a combination of various other activating and loss-of-function mutations that concur with the aberrant expression of oncogenic transcription factors are more common steps in the process of thymocyte transformation (reviewed by Grabher et al3 ). Several types of these acquired genomic alterations can serve as specific markers for tracing the respective leukemic clone with highly sensitive molecular genetic techniques. In addition, unique T-cell receptor (TCR) gene rearrangements that are not causative in the oncogenic process can serve as distinct fingerprint-like markers for individual T cells and their clonal progeny.4
Several studies of children with different genetic B-cell precursor (BCP) ALL subgroups indicated that in many of them the initiating event takes place during fetal life.5-9 An exception to this is the t(1;19)-positive ALL.10 Two reports also suggested an in utero origin of at least some cases of TCP ALL.6,11 To explore the issue of the timing of TCP ALL development more systematically, we used patient-specific leukemia- and clone-specific markers to analyze neonatal blood spots as the earliest postnatal sample of children who developed TCP ALL later in life.
Materials
Neonatal blood spots from 16 children with a median age of 3.2 years (range, 1.5 to 11.2) at diagnosis of TCP ALL were collected. Diagnosis of TCP ALL was based on standard morphology, immunophenotyping, and cytogenetics. Informed consent was obtained from the parents of the cases and controls for inclusion into the study and for obtaining the dried neonatal blood spot (Guthrie card). The study was approved by the ethical committee of the Children's Cancer Research Institute (CCRI) and St Anna Kinderspital.
Extraction of DNA from Guthrie cards was performed using the QIAamp Blood Mini Kit (QIAGEN, Valencia, CA) or otherwise as reported earlier.6,7 Controls included peripheral blood (PB) from healthy donors, thymocytes from 2 young children undergoing cardiac surgery, and Guthrie cards from healthy age-matched anonymous newborns.
DNA was extracted from leukemic cells by QIAamp DNA Mini Kit (QIAGEN) and used for the identification of TCRD-LMO2 breakpoints, TAL1 deletions, Notch1 mutations, and TCRD and TCRG rearrangements, as described earlier.12-14 Detection of the specific TCR rearrangements in DNA from neonatal blood spots was performed by real-time quantitative polymerase chain reaction (RQ-PCR) as used for minimal residual disease analysis.15 All the other markers were amplified by a 2-round nested PCR (Table S1, available on the Blood website; see the Supplemental Tables link at the top of the online article). Identification of TCRD-LMO2 breakpoint regions was performed by long-range ligation-mediated PCR as previously described.16 Notch1 mutations were identified by screening the heterodimerization and PEST domains.17 For this study only mutations with deletions and insertions were selected based on the likelihood of providing a highly specific molecular target for a sensitive PCR approach.
Results and discussion
In this study leukemia- or clone-specific markers were used for retrospective screening of neonatal blood spots from 16 children with TCP ALL (Table 1; Figure 1). They comprised rare well-defined first-hit oncogenic mutations like the distinct t(11;14)(p13;q11) genomic breakpoints leading to aberrant expression of LMO2, proposed second-hit mutations of the TAL1 and Notch1 genes, and TCR rearrangements as “universal” markers for the leukemic clone. In all instances a sensitivity of 10-5 was achieved, indicating that 1 cell carrying the specific marker could be detected in a background of 100 000 cells. Further, a third to half of a Guthrie spot was used from each patient in this study, an amount that would have been sufficient to identify 10 to 100 preleukemic/leukemic cells per Guthrie spot with the applied technique. This number of cells was detected in earlier studies on BCP ALL.5-7,9,10 Despite this optimal sensitivity the molecular target was present at birth just in 1 of the 16 cases (Figure 1, sample no. 185). These data indicate that in general, even in young children, the preleukemic/leukemic clone cannot be detected at birth in most cases with TCP ALL, implying that it is initiated postnatally. However, we cannot formally exclude the possibility that TCP ALL is initiated in utero but does not reach a critical size detectable in the PB at birth.
Clinical data of patients and leukemia characteristics
| Patient identification . | Age, mo. . | Immuno-phenotype* . | Thymus tumor . | Bone marrow blasts, % . | Absolute blasts in PB† . | Molecular marker‡ . |
|---|---|---|---|---|---|---|
| 427 | 18 | IV | Yes | 89 | 90 | TCRG Vγ4-Jγ1 |
| 121 | 24 | III | No | 85 | 342 | TAL1 deletionTCRD-LMO2§ |
| FU | 25 | II | Yes | 81 | 131 | TCRG Vγ1-Jγ1 |
| SC | 26 | III | Yes | 48 | 1 | TCRG Vγ1-Jγ1 |
| 254 | 28 | III | Yes | 92 | 328 | TRD Vδ2-Dδ3-Jδ1 |
| 255 | 29 | II | Yes | 73 | 35 | TCRG Vγ8-Jγ1 |
| 270 | 31 | IV | Yes | 88 | 234 | TCRG Vγ8-Jγ1 |
| 115 | 31 | III | Yes | 74 | 15 | TAL1 deletionTCRG Vγ2-Jγ1Notch1 mutation∥ |
| 245 | 38 | IV | No | 58 | 24 | TCRD Vδ1-Dδ3-Jδ1 |
| 476 | 38 | II | na | na | na | TCRG Vγ2-Jγ1 |
| 185 | 40 | IV | No | 95 | 228 | TCRD-LMO2# |
| 338 | 60 | III | Yes | 97 | 71 | TCRD Vδ1-Dδ2-Jδ1 |
| 387 | 77 | III | Yes | 93 | 178 | TCRG Vγ8-Jγ1 |
| 239 | 80 | IV | No | 78 | 25 | TAL1 deletion |
| HA | 90 | III | Yes | 99 | 145 | TCRD Vδ1-Dδ3-Jδ1 |
| 609 | 92 | III | Yes | 70 | 48 | TCRD Vδ1-Dδ2-Dδ3-Jδ1 |
| 364 | 98 | IV | No | 97 | 361 | TCRG Vγ10-Jγ1 |
| 522 | 135 | III | na | na | na | TCRG Vγ9-Jγ1 |
| Patient identification . | Age, mo. . | Immuno-phenotype* . | Thymus tumor . | Bone marrow blasts, % . | Absolute blasts in PB† . | Molecular marker‡ . |
|---|---|---|---|---|---|---|
| 427 | 18 | IV | Yes | 89 | 90 | TCRG Vγ4-Jγ1 |
| 121 | 24 | III | No | 85 | 342 | TAL1 deletionTCRD-LMO2§ |
| FU | 25 | II | Yes | 81 | 131 | TCRG Vγ1-Jγ1 |
| SC | 26 | III | Yes | 48 | 1 | TCRG Vγ1-Jγ1 |
| 254 | 28 | III | Yes | 92 | 328 | TRD Vδ2-Dδ3-Jδ1 |
| 255 | 29 | II | Yes | 73 | 35 | TCRG Vγ8-Jγ1 |
| 270 | 31 | IV | Yes | 88 | 234 | TCRG Vγ8-Jγ1 |
| 115 | 31 | III | Yes | 74 | 15 | TAL1 deletionTCRG Vγ2-Jγ1Notch1 mutation∥ |
| 245 | 38 | IV | No | 58 | 24 | TCRD Vδ1-Dδ3-Jδ1 |
| 476 | 38 | II | na | na | na | TCRG Vγ2-Jγ1 |
| 185 | 40 | IV | No | 95 | 228 | TCRD-LMO2# |
| 338 | 60 | III | Yes | 97 | 71 | TCRD Vδ1-Dδ2-Jδ1 |
| 387 | 77 | III | Yes | 93 | 178 | TCRG Vγ8-Jγ1 |
| 239 | 80 | IV | No | 78 | 25 | TAL1 deletion |
| HA | 90 | III | Yes | 99 | 145 | TCRD Vδ1-Dδ3-Jδ1 |
| 609 | 92 | III | Yes | 70 | 48 | TCRD Vδ1-Dδ2-Dδ3-Jδ1 |
| 364 | 98 | IV | No | 97 | 361 | TCRG Vγ10-Jγ1 |
| 522 | 135 | III | na | na | na | TCRG Vγ9-Jγ1 |
na indicates not available.
II, pro- and pre-T (CD7+cyCD3+CD1−); III, cortical T (CD7+cyCD3+CD1+); IV, mature T (CD7+sCD3+CD1−) T-cell phenotype.
Absolute blast count in peripheral blood × 106/L.
Molecular marker used for tracing the leukemic clone; patients FU and SC were included in an earlier study6 and refer to patients 5 and 4, respectively. Cases with a presumed leukemia initiation before birth and the particular molecular target are italicized.
GenBank EF455600.
GenBank EF455601.
GenBank EF450768.
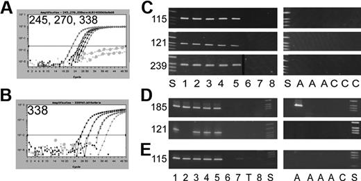
Highly specific and sensitive detection of leukemia- and clone-specific genetic targets. Numbers and initials refer to the respective patient identification in Table 1. (A) Typical examples of an albumin RQ-PCR from Guthrie card DNA indicating the range of variability (translating to approximately 100 to 1000 cells per sample). External DNA standard at dilutions 100 ng, 10 ng, and 1 ng are in gray; Guthrie card DNA, black. (B) Representative example for quantification of the preleukemic/leukemic clone by allele-specific RQ-PCR of TCR rearrangements. Curves represent 10-log dilutions of leukemic DNA into PB starting from 10-2 to 10-5 in duplicates depicted in different shades of gray. Background amplification is shown by light gray dotted lines; no specific signal from Guthrie card DNA is detectable. (C-E) Detection of TAL1 deletions (C), TCRD-LMO2 breakpoint regions, (D) and Notch1 mutation (E) by a nested PCR approach. (C) Polyacrylamide gels showing second-round PCR products of TAL1 deletions; S, size marker; lanes 1 to 6, 10-log dilutions of leukemic DNA in PB from 10-1 to 10-6; lane 7, PB DNA; lane 8, no DNA; A, aliquots of Guthrie card DNA from the particular patient; C, control Guthrie cards. A vertical line has been inserted to indicate where a gel lane was cut. These gels came from the same experiments. (D,E) Polyacrylamide gel electrophoresis of second-round PCR products of TCRD-LMO2 breakpoints (D) and Notch1 mutation (E); lane 1, 10-4 dilutions of leukemic DNA in PB; lanes 2 to 5, 10-5 dilutions; lane 6, 10-6 dilution; lane 7, PB DNA; lane 8, no DNA; A and C, as before; T, thymus DNA.
Highly specific and sensitive detection of leukemia- and clone-specific genetic targets. Numbers and initials refer to the respective patient identification in Table 1. (A) Typical examples of an albumin RQ-PCR from Guthrie card DNA indicating the range of variability (translating to approximately 100 to 1000 cells per sample). External DNA standard at dilutions 100 ng, 10 ng, and 1 ng are in gray; Guthrie card DNA, black. (B) Representative example for quantification of the preleukemic/leukemic clone by allele-specific RQ-PCR of TCR rearrangements. Curves represent 10-log dilutions of leukemic DNA into PB starting from 10-2 to 10-5 in duplicates depicted in different shades of gray. Background amplification is shown by light gray dotted lines; no specific signal from Guthrie card DNA is detectable. (C-E) Detection of TAL1 deletions (C), TCRD-LMO2 breakpoint regions, (D) and Notch1 mutation (E) by a nested PCR approach. (C) Polyacrylamide gels showing second-round PCR products of TAL1 deletions; S, size marker; lanes 1 to 6, 10-log dilutions of leukemic DNA in PB from 10-1 to 10-6; lane 7, PB DNA; lane 8, no DNA; A, aliquots of Guthrie card DNA from the particular patient; C, control Guthrie cards. A vertical line has been inserted to indicate where a gel lane was cut. These gels came from the same experiments. (D,E) Polyacrylamide gel electrophoresis of second-round PCR products of TCRD-LMO2 breakpoints (D) and Notch1 mutation (E); lane 1, 10-4 dilutions of leukemic DNA in PB; lanes 2 to 5, 10-5 dilutions; lane 6, 10-6 dilution; lane 7, PB DNA; lane 8, no DNA; A and C, as before; T, thymus DNA.
To understand the meaning of the predominant lack of detection of a TCP ALL–associated marker at birth, and thereby also the difference in leukemia development between those of the T and B lineage, several biologic factors should be considered: the specific time and type of the initiating event; the kinetic of the preleukemic clone, which includes the timing and sum of secondary hits; the tissue in which the preleukemic/leukemic clone proliferates; and the propensity to spread to other organs and the PB, the only available source for detection. None of these factors is yet known for humans. Consequently, we evaluated whether the primary site of clonal proliferation could have potentially influenced the low detection rate as opposed to leukemias with a BCP phenotype that expand always in the bone marrow.5,6,8,9 For this purpose we included the 2 cases reported previously6 and analyzed the results according to the presence or absence of a thymus tumor as well as the extent of bone marrow infiltration (Table 1). There was no correlation with any of these parameters or with the absolute blast cell count in PB at the time of diagnosis, the latter of which reflected the extent of the bone marrow infiltration, which was, interestingly enough, independent of a thymus enlargement.
There are several mouse and zebrafish models for T ALL leukemogenesis.18-23 They suggest that the initiating event occurs in T cells in the thymus or in the bone marrow. The transformed cells then readily spread to other organs and the PB, and a highly malignant T-cell leukemia evolves rapidly.
The only hint concerning the duration between initiation and clinical manifestation of TCP ALL in humans comes from the emergence of a T ALL-like disease in 2 children who underwent retroviral gene transfer for severe combined immunodeficiency (SCID)–X1.24 Provided that this scenario also proves relevant for children without an underlying immunodeficiency, these data suggest that (1) the latency for TCP ALL might be as short as 2.5 to 3 years, (2) the leukemia-specific marker in PB can be detected already 13 months after the initiating event, independent of whether it proliferated in the bone marrow or in the thymus, and (3) the TCP ALL–like disease progresses and leads to clinical manifestation within 3 months. In support of a relatively restricted latency period would be the rather consistent incidence of this particular type of ALL during the entire childhood and adolescence. This incidence, however, only occurs after the age of 2, which may point to a perinatal/postnatal initiation.25
Taken together, the data presented here suggest that TCP ALL develops after birth in most cases. This assumption is consistent with the rapid course of the human disease as well as with various animal models.
The online version of this article contains a data supplement.
The publication costs of this article were defrayed in part by page charge payment. Therefore, and solely to indicate this fact, this article is hereby marked “advertisement” in accordance with 18 USC section 1734.
Acknowledgments
This work was supported in part from a grant from the Oberösterreichische Kinderkrebsforschung (K.S.), the Genomforschung in Österreich–Chromosomal Aberrations in Life-threatening Disease (GEN-AU-CHILD) Project GZ200.136 (E.R.P.-G.), the St Anna Kinderkrebsforschung, and the Wilhelm Sander-Foundation (M.M.).
We thank Dasa Janousek for clinical data management and Marion Zavadil for proofreading the manuscript. The technical assistance of Ulla Jacobs is gratefully acknowledged.
Authorship
Contribution: All authors substantially contributed to the content of the paper and writing of the manuscript and agreed to the submission in its current version. S.F., M.K., M.M., and B.N. designed and performed research. G.M., G.E., N.J., O.B., O.A.H., and K.S. provided patient material and clinical and cytogenetic data. E.R.P.-G. was responsible for the design of the study and the integrity of the data.
Conflict-of-interest disclosure: The authors declare no competing financial interests.
Correspondence: E. Renate Panzer-Grümayer, CCRI and St Anna Kinderspital, Kinderspitalgasse 6, A-1090 Vienna, Austria; e-mail: renate.panzer@ccri.at.

This feature is available to Subscribers Only
Sign In or Create an Account Close Modal