Abstract
Thrombin-induced cyclic AMP (cAMP) reduction potentates several steps in platelet activation, including Ca++ mobilization, cytoskeletal reorganization, and fibrinogen receptor conformation. We now reinvestigate the signaling pathways by which intracellular cAMP content is controlled after platelet activation by thrombin. When washed human platelets were stimulated with thrombin, cAMP-dependent phosphodiesterase (PDE3A) activity was significantly increased. A nonselective PDE inhibitor, 3-isobutyl-1-methylxanthine (IBMX), and the PDE3 selective inhibitors milrinone and cilostazol each suppressed thrombin-induced cAMP-dependent PDE responses, but not 2 different PDE2 inhibitors. Selective inhibition of PDE3A resulted in reversal of thrombin-induced cAMP reduction, indicating that thrombin activated PDE3A. In synergy with inhibition of adenylate cyclase by thrombin, activated PDE3A accelerates cAMP hydrolysis and maximally reduces the cAMP content. Thrombin-induced PDE3A activation was diminished concomitantly with dephosphorylation of PDE3A by protein phosphatase 1 (PP1). An Akt inhibitor blocked PDE3A activation and constrained thrombin-induced cAMP reduction. A P2Y12 inhibitor also reduced thrombin-induced cAMP reduction. The combination of both reversed cAMP decrease by thrombin. Thrombin-mediated phosphorylated PDE3A was isolated by liquid chromatography, detected by a monoclonal antibody against Akt-phosphorylated substrate, and verified by immunoprecipitation study. The predominant isoform phosphorylated by Akt was the 136-kDa species. We suggest that activation/phosphorylation of PDE3A via Akt signaling pathway participates in regulating cAMP during thrombin activation of platelets.
Introduction
Thrombin activates human platelets by cleaving and activating protease-activated receptor 1 (PAR-1) and PAR-4. In turn, these receptors activate G proteins (Gq, G12/13, and Gi), leading to the activation of phospholipase Cβ (PLCβ), phosphatidyl inositol-3 kinase (PI3K), Rho, and Rac, which, by stimulating phosphoinositide hydrolysis, raise cytosolic Ca++ concentration and lower intracellular cAMP content. Cyclic AMP (cAMP) is a control molecule in platelets that interrupts multiple signaling pathways and plays a significant role in down-regulating platelet activation. Synthesis of cAMP in platelets is stimulated by the binding of mediators, such as prostacyclin and adenosine, to cell-surface receptors coupled to GTP-binding proteins. G proteins mediate the interaction of agonist-occupied 7-transmembrane–spanning cell surface receptors to regulate intracellular membrane-bound enzymes or ion channel activity. Gs forms a link between purinergic or prostaglandin receptors and adenylate cyclase, leading to stimulation of the latter. On the other hand, activation of platelets by thrombin diminishes the elevated intracellular cAMP levels via a Gi-coupled receptor.1 cAMP levels are also regulated by the degradation of cAMP via the cyclic nucleotide phosphodiesterases, a group of enzymes that catalyze the hydrolysis of 3′,5′-cyclic nucleotides to inactive 5′-nucleotides by cleaving a phosphodiesterase bond. The levels of cAMP are tightly controlled and are ultimately dependent on its rate of synthesis by adenylate cyclase and its rate of hydrolysis by cAMP-phosphodiesterases (PDEs). In vitro, intracellular cAMP levels can be increased by stimulating adenylate cyclase2 or by inhibiting cAMP-PDE.3
In this study, we present evidence that the cAMP-dependent phosphodiesterase (PDE3A) is a component of the thrombin signaling pathway in platelets. Thrombin raises PDE3A activity through phosphorylation/activation of PDE3A and activated PDE3A participates in regulating intracellular cAMP contents through acceleration of cAMP hydrolysis. We show that the PI3K/Akt signaling pathway is involved in thrombin-induced PDE3A activation, and we compare the contribution of this pathway to Gi-adenylate cyclase regulation of intracellular cAMP content. Knowledge of which intermediate signaling pathways are involved will allow a more complete understanding of the mechanisms of platelet activation.
Materials and methods
Thrombin, milrinone, forskolin, 3-isobutyl-1-methylxanthine (IBMX), cAMP, N-[2-(4-bromocinnamylamino)ethyl]-5-isoquinoline (H89), blue dextran, protein phosphatase-1 catalytic subunit, thrombopoietin, and aspirin (acetylsalicylic acid) were purchased from Sigma-Aldrich (St Louis, MO). Wortmannin, Akt inhibitor VIII (1,3-dihydro-1-(1-((4-(6-phenyl-1H-imidazo[4,5-g]quinoxalin-7-yl)phenyl)methyl)-4-piperidinyl)-2H-benzimidazol-2-one [AktI]), phorbol 12-myristate 13-acetate (PMA), protease inhibitor cocktail I, PAR-1 activating hexapeptide (SFLLRN), and GF109302 (bisindolylmaleimide 1) were obtained from Calbiochem (San Diego, CA). Erythro-9-(2-hydroxy-3-nonyl)adenine (EHNA) was from BIOMOL Research Laboratories (Plymouth Meeting, PA). Bay 60-7550 was from Axxora Life Sciences Inc (San Diego, CA). [3H]cAMP was from PerkinElmer Life and Analytical Sciences (Waltham, MA). Anti-Akt monoclonal antibody (mAb), anti-phospho-Akt (Ser473) mAb, antiphospho-Akt substrate (RXRXXS*/T*) mAb, and horseradish peroxidase-conjugated secondary antisera were from Cell Signaling Technology (Danvers, MA). A polyclonal PDE3A antibody that recognizes an epitope corresponding to C terminus of human PDE3A was from Santa Cruz Biotechnology (Santa Cruz, CA). Cilostazol was from Otsuka Pharmaceutical (Rockville, MD). AR-C69931MX was a gift from Astra-Zeneca (Loughborough, United Kingdom).
Preparation of washed human platelets
Under a protocol approved by the Temple University IRB and after informed consent was obtained in accordance with the Declaration of Helsinki, human blood was collected from healthy volunteer donors into ACD (2.5% sodium citrate, 1.5% citric acid, and 2% glucose) solution (6:1 [v/v]). The volunteers had not taken aspirin or other nonsteroidal anti-inflammatory drugs for at least 14 days before blood collection. The blood was centrifuged at 200g for 20 minutes to generate platelet-rich plasma. The platelet-rich plasma was incubated with 100 μmol/L aspirin. The platelets were then centrifuged at 1000g for 10 minutes and resuspended in Tyrode's buffer (138 mmol/L NaCl, 2.7 mmol/L KCl, 2 mmol/L MgCl2, 0.42 mmol/L NaH2PO4, 5 mmol/L glucose, 10 mmol/L HEPES [4-(2-hydroxyethyl)-1-piperazineethanesulfonic acid], and 0.2% bovine serum albumin, pH 7.4). In the experiments, thrombin was added to the washed platelets and incubated at 37°C for 3 minutes without stirring. The reactions were stopped by addition of 0.5% Triton X-100, and the samples were transferred to melting ice-water bath. In the presence of inhibitors, samples were incubated with each inhibitor at 37°C for 30 minutes or with Akt inhibitor VIII for 1 hour.
Assay of PDE activity
The washed platelets (2 × 108/mL) were lysed by 0.5% Triton X-100 after stimulation with thrombin or vehicle in the presence or absence of inhibitors. PDE activity, which depends on cAMP, was measured as described previously4 with the following modification: 100-μL assay volume contained 50 mmol/L Tris-HCl buffer, pH 7.8, 10 mmol/L MgCl2, 2 μmol/L cAMP and [3H]cAMP (40 000 cpm/assay). Reactions were started by addition of 25 μL platelet lysate and incubated at 24°C for 15 minutes and stopped by addition of 0.2 mL of 0.2 mol/L ZnSO4 and 0.2 mL of 0.2 mol/L Ba(OH)2. The samples were vortexed and centrifuged at 10 000g for 3 minutes. Radioactivity in the supernatant was determined by liquid scintillation counting.
Assay of Akt kinase activity
Akt kinase activity was determined with an Akt kinase assay kit (Cell Signaling) according to the manufacturer's instructions. In brief, 20 μL immobilized beads of Akt monoclonal antibody were added to 200 μL platelet lysate. The samples mixed with gentle rocking overnight at 4°C. The beads were washed twice with cell lysate buffer and twice with Akt kinase buffer (20 mmol/L Tris, pH 7.5, 5 mmol/L β-glycerophosphate, 2 mmol/L dithiothreitol (DTT), and 0.1 mmol/L Na3VO4) at 4°C. The beads were resuspended with 50 μL Akt kinase buffer containing 1 μg GSK-3 fusion protein and 1 μL ATP (10 mmol/L) and incubated for 30 minutes at 30°C. Phosphorylation of GSK-3 was detected by a phospho-GSK-3α/β(Ser21/9) rabbit polyclonal antibody using Western blotting. The activity was quantified by densitometry of the Western blots.
Assay of intracellular cAMP
Washed platelets (200 μL; 2 × 106/mL) were collected from the samples. The reactions were stopped by adding 450 μL ice-cold ethanol and freezing in liquid nitrogen. After the samples were thawed and centrifuged at 2000g for 5 minutes, the supernatants were collected and concentrated by a SpeedVac concentrator (Thermo Electron, Waltham, MA). The samples were dissolved in the cAMP assay buffer and cAMP concentrations were determined by with the use of the Biotrak Enzyme Immunoassay kit (GE Healthcare, Chalfont St Giles, United Kingdom).
Western blotting and immunoprecipitation
Samples of the platelet lysates or PDE3A proteins were added in Laemmli sample buffer. Proteins were separated on sodium dodecyl sulfate-polyacrylamide gels (SDS-PAGE) by electrophoreses. After transfer to polyvinylidene diflouride (PVDF) membranes, blots were incubated with anti-Akt, anti-Akt phosphorylated at Ser473, anti-phospho-Akt substrate (RXRXXS*/T*), or anti-PDE3A antibodies according to the manufacturers' instructions. Immunoprecipitate action of PDE3A was conduced by mixing 200 μL platelet lysate with 4 μL anti-Akt phospho-substrate monoclonal antibody and 30 μL 50% Protein A Agarose. The reactions were placed on a rocketing shaker overnight at 4°C. The beads were washed 3 times with Tris buffer. The proteins on the beads were separated in 7.5% SDS-PAGE gel. Immunoblotting was performed by probing with anti-PDE3A rabbit polyclonal antibody.
Dephosphorylation of PDE3
Serine/threonine-specific PP1 was used to analyze dephosphorylation of PDE3A. The reactions started by introduction of 1 mU PP1 to 100 μL the samples in the buffer of 25 mmol/L imidazole, pH 7.4, containing 50 mmol/L NaCl and 1 mmol/L DTT. After incubation at 30°C for 30 minutes, the reactions were stopped by putting samples into melting ice.
Isolation of platelet PDE3A
Platelet PDE3A was purified with an affinity chromatography method as described previously.4 In brief, washed platelets (2 × 109/mL) were treated with 0.25 nmol/L thrombin or vehicle at 37°C for 3 minutes, and the reactions were terminated by 0.5% Triton X-100. The samples were centrifuged at 10 000g for 10 minutes at 4°C, and the supernatants were applied to a 2-mL blue dextran column previously equilibrated with 50 mmol/L Tris-HCl buffer, pH 7.8, containing protease inhibitors. The column was rotated with the supernatant at 4°C for 1 hour and then washed with 5× the column volume of the buffer. The PDE3A proteins were eluted with 0.5 mmol/L cAMP in the buffer, collected, and further studied.
Statistical analysis
Values were expressed as mean plus or minus SEM. Significance was evaluated using Student t test for comparison between 2 points. For multiple comparison, analysis of variance (ANOVA) was used. The results were considered statistically significant when P was less than .05.
Results
Activation of PDE3A by thrombin and a PAR-1 agonist
The hydrolysis of cAMP in the platelet lysate was increased after thrombin stimulation of washed platelets (Figure 1A). The increase in cAMP-PDE activity was proportional to the thrombin concentration. Elevation of cAMP-PDE activity was observed at 0.5 nmol/L of thrombin (88% ± 10.6%), whereas the maximum effect of thrombin (1 nmol/L) raised PDE3A activity to 127% plus or minus 18.7% of basal level. PAR-1 peptide (SFLLRN) similarly increased cAMP-PDE activity as a function of the concentration (Figure 1B), indicating that the thrombin effect was at least in part medicated by PAR-1 receptor.
Thrombin and PAR-1 peptide agonist up-regulate cAMP-PDE activity. Washed platelets (2 × 108/mL) were treated with (A) thrombin or (B) SFLLRN peptide at 37°C for 3 minutes, and vehicle was added in the sample,which served as control basal line. Activities of cAMP-PDE in the platelet samples were determined by measurement of hydrolysis of cAMP. The changes of hydrolysis of cAMP induced by thrombin or SFLLRN peptide were calculated as that of each value minus the control base line. Data are from 4 individual experiments using different donor platelets. Error bars represent means plus or minus SEM.
Thrombin and PAR-1 peptide agonist up-regulate cAMP-PDE activity. Washed platelets (2 × 108/mL) were treated with (A) thrombin or (B) SFLLRN peptide at 37°C for 3 minutes, and vehicle was added in the sample,which served as control basal line. Activities of cAMP-PDE in the platelet samples were determined by measurement of hydrolysis of cAMP. The changes of hydrolysis of cAMP induced by thrombin or SFLLRN peptide were calculated as that of each value minus the control base line. Data are from 4 individual experiments using different donor platelets. Error bars represent means plus or minus SEM.
There are 2 cAMP-dependent PDEs in platelets: PDE2A (which hydrolyzes both cGMP and cAMP with a relatively high Km at approximately equal rates and is allosterically stimulated by cGMP) and PDE3A (which is the most abundant of the 3 PDEs in platelets and is inhibited by cGMP and has a low Km for cAMP). These PDEs control platelet intracellular cAMP contents in distinct compartments.5 To determine whether the increase of total cAMP-PDE activity stimulated by thrombin was due to PDE2A, PDE3A, or both, we applied a variety of PDE inhibitors, including a nonselective inhibitor and selective PDE2 or PDE3 inhibitors. When the platelets were treated with the nonselective PDE inhibitor IBMX at 10 μmol/L (Figure 2), thrombin increased cAMP-PDE activity only 4% compared with its own control. The selective PDE3 inhibitors milrinone and cilostazol each showed a similar effect on thrombin-induced cAMP-PDE activity. Milrinone at 10 μmol/L reduced the thrombin effect to 15% plus or minus 7.7%; cilostazol at 10 μmol/L increased cAMP-PDE activity only 8% plus or minus 3.4%. In contrast, thrombin was still able to increase cAMP-PDE activity in the presence of each of the PDE2-selective inhibitors, Bay 60-7550 (75% ± 6.5%) and EHNA (78% ± 9.3%), at 20 μmol/L. These results indicate that PDE3A, not PDE2A, is responsible for the thrombin-induced cAMP-PDE activity.
PDE3 selective inhibitors restrict thrombin-induced PDE activity. Washed platelets (2 × 108/mL) were incubated with 20 μmol/L EHNA or Bay 60-7550, or 10 μmol/L milrinone, cilostazol, IBMX, or vehicle at 37°C for 30 minutes. After addition of thrombin (0.5 nmol/L) in each group at 37°C for 3 minutes, the reactions were stopped by addition of 0.5% of Triton X-100. The platelet samples, which were treated with vehicle or the inhibitors but not with thrombin, served as control basal line for each inhibitor. The hydrolysis of cAMP in each sample was determined. The control basal level of hydrolysis of cAMP was subtracted from each test sample. Data are from 4 individual experiments using different donor platelets and are means plus or minus SEM. *Significant compared with control (thrombin alone) (P > .05).
PDE3 selective inhibitors restrict thrombin-induced PDE activity. Washed platelets (2 × 108/mL) were incubated with 20 μmol/L EHNA or Bay 60-7550, or 10 μmol/L milrinone, cilostazol, IBMX, or vehicle at 37°C for 30 minutes. After addition of thrombin (0.5 nmol/L) in each group at 37°C for 3 minutes, the reactions were stopped by addition of 0.5% of Triton X-100. The platelet samples, which were treated with vehicle or the inhibitors but not with thrombin, served as control basal line for each inhibitor. The hydrolysis of cAMP in each sample was determined. The control basal level of hydrolysis of cAMP was subtracted from each test sample. Data are from 4 individual experiments using different donor platelets and are means plus or minus SEM. *Significant compared with control (thrombin alone) (P > .05).
Thrombin-induced PDE3A activity via phosphorylating PDE3A through a serine/threonine kinase
Phosphorylation mediated by serine/threonine kinases is the most common way to regulate activities of most members of PDE families.6-8 Phosphorylation of platelet PDE3A by PKA results in activation of PDE3A. To determine whether the activation of PDE3A by thrombin was mediated by phosphorylation, we compared the thrombin-mediated PDE3A activities treated with vehicle or PP1, which removes the phosphate that resulted from stimulation with thrombin. The results showed that PP1 almost completely reversed the thrombin-induced PDE3A activity both at low (0.1 nmol/L) and high (1 nmol/L) concentrations of thrombin (Figure 3). Because PP1 is a serine/threonine-specific protein phosphatase, the results indicate that thrombin increases PDE3A activity via phosphorylation of PDE3A through one or more serine/threonine protein kinase(s).
PP1 reverses thrombin-induced activation of PDE3A. A series of paired samples of washed platelets (2 × 108/mL) were incubated with thrombin at 37°C for 3 minutes in the presence of 20 μmol/L EHNA to limit the PDE2A effect. The reactions were stopped by addition of 0.5% Triton X-100. One of the paired samples was treated with PP1 and the other incubated with vehicle. Dephosphorylation by PP1 was carried out as described in “Materials and methods, Dephosphorylation of PDE3,” and PDE3A activities were immediately measured after the dephosphorylation procedure. Data are from 4 experiments using different donor platelets and are means plus or minus SEM.
PP1 reverses thrombin-induced activation of PDE3A. A series of paired samples of washed platelets (2 × 108/mL) were incubated with thrombin at 37°C for 3 minutes in the presence of 20 μmol/L EHNA to limit the PDE2A effect. The reactions were stopped by addition of 0.5% Triton X-100. One of the paired samples was treated with PP1 and the other incubated with vehicle. Dephosphorylation by PP1 was carried out as described in “Materials and methods, Dephosphorylation of PDE3,” and PDE3A activities were immediately measured after the dephosphorylation procedure. Data are from 4 experiments using different donor platelets and are means plus or minus SEM.
Thrombin increases PDE3A activity via the PI3K/Akt pathway in addition to the Gi-dependent pathway
PKA is a serine-threonine protein kinase. However, it is not a valid candidate protein kinase for thrombin-induced phosphorylation/activation of PDE3A. PKA is a cAMP-dependent kinase activated by elevated intracellular concentration of cAMP, whereas thrombin lowers platelet intracellular cAMP content. Furthermore, activation of platelet PKA results in phosphorylation of several substrate proteins of PKA.9-11 As a result, these signaling events stabilize platelets by preventing platelet activation. Thrombin-induced phosphorylation/ activation of Akt has been reported and demonstrated.12-14 Phosphorylated PDE3A has been reported by serine-threonine protein kinase Akt during leptin activation of platelets15 and in mammalian oocyte maturation.16 To investigate whether Akt might contribute to thrombin-induced phosphorylation/activation of PDE3A, we used 3 pharmacologic inhibitors of candidate protein kinases: H89 (a PKA inhibitor), wortmannin (a PI3K inhibitor), and AktI (Akt inhibitor VIII). The data showed that the effect of thrombin on PDE3A activation was significantly reduced by Akt inhibitor and wortmannin, but not by H89 (Figure 4A).The results suggested that Akt and its upstream PI3K signaling pathway, but not PKA, are critical in response to thrombin-induced PDE3A activity.
Thrombin stimulates PDE3A by activating Akt. (A) PDE3A, PI3K/Akt inhibitors reverse thrombin-induced activation of PDE3A. Washed platelets (2 ×108/mL) were first incubated with AktI (2 μmol/L), wortmannin (0.1 μmol/L), milrinone (10 μmol/L), H89 (10 μmol/L), or vehicle as described under “Materials and methods.” Thrombin (0.5 nmol/L) or vehicle was then added at 37°C for 3 minutes. PDE3A activity in the platelet lysate was determined in the presence of 20 μmol/L EHNA to remove the effect of PDE2A. Results are from 4 experiments using different donor platelets. (B) The correlation of thrombin-stimulated Akt and PDE3A activation. Activities of Akt and PDE3A in platelets were measured either after 5 minutes of thrombin stimulation (i) (thrombin concentration-dependent) or with thrombin at 0.5 nmol/L (iii) (time-dependent). The closed squares represent Akt activity and the open squares represent PDE3A activity. The data of (i) and (iii) was from 3 individual experiments. Correlation of Akt kinase and PDE3A activities in dose-response of thrombin (ii) was plotted with Microsoft Excel software (Microsoft, Redmond, WA). Values are means plus or minus SEM.
Thrombin stimulates PDE3A by activating Akt. (A) PDE3A, PI3K/Akt inhibitors reverse thrombin-induced activation of PDE3A. Washed platelets (2 ×108/mL) were first incubated with AktI (2 μmol/L), wortmannin (0.1 μmol/L), milrinone (10 μmol/L), H89 (10 μmol/L), or vehicle as described under “Materials and methods.” Thrombin (0.5 nmol/L) or vehicle was then added at 37°C for 3 minutes. PDE3A activity in the platelet lysate was determined in the presence of 20 μmol/L EHNA to remove the effect of PDE2A. Results are from 4 experiments using different donor platelets. (B) The correlation of thrombin-stimulated Akt and PDE3A activation. Activities of Akt and PDE3A in platelets were measured either after 5 minutes of thrombin stimulation (i) (thrombin concentration-dependent) or with thrombin at 0.5 nmol/L (iii) (time-dependent). The closed squares represent Akt activity and the open squares represent PDE3A activity. The data of (i) and (iii) was from 3 individual experiments. Correlation of Akt kinase and PDE3A activities in dose-response of thrombin (ii) was plotted with Microsoft Excel software (Microsoft, Redmond, WA). Values are means plus or minus SEM.
To confirm that activation of PDE3A is a downstream event of Akt, we monitored the relationship of activities between Akt and PDE3A. The results showed that thrombin simultaneously induced Akt and PDE3A activities dependent on both concentration (Figure 4 Bi) and time (Figure 4 Biii). We observed that thrombin increased the basal Akt kinase activity (447% ± 40%) and the basal PDE3A activity (122% ± 18.5%), respectively (Figure 4Bi). The data show that the regulation of Akt kinase was more sensitive to thrombin than that of its phosphorylation of PDE3A because PDE3A is a substrate of the enzyme Akt kinase. The saturation observed in PDE3A is due to saturation of the reaction so that no further phosphorylation can be observed. Our results are consistent with those of other reports.13,16
Elevated PDE3A participates in reduction of cAMP during thrombin activation of platelets
Platelet intracellular cAMP level is decreased when thrombin stimulates platelets. This effect had been explained as suppression of cAMP synthesis by inhibition of adenylate cyclase through a Gi protein.17 To determine whether activated PDE3A plays a role in regulating intracellular cAMP, we first showed that total intracellular cAMP (100% ± 12.3%) was decreased by thrombin to (38.9% ± 6.2%) in the absence of any inhibitors (Figure 5A). We then tested the ability of thrombin to decrease total intracellular cAMP levels in the presence of a variety of inhibitors. We found that the decrease in cAMP content was significantly blocked when the platelets were pretreated with either the PDE3A inhibitor milrinone (10 μmol/L) or the nonselective PDE inhibitor IBMX (10 μmol/L) (Figure 5A). Milrinone and IBMX inhibited the reduction of cAMP to 88% ± 4.1% and 84% ± 5.6% respectively. These data not only suggest that activation of PDE3A is a signaling event of thrombin activation of platelets but also imply that activated PDE3A plays a major role in reduction of intracellular cAMP.
Effects of different signaling pathway inhibitors on thrombin-induced decrease of the platelet cAMP. (A) Washed platelets (2 ×106/mL) were incubated with 2 μmol/L AktI, 0.1 μmol/L wortmannin, 10 μmol/L milrinone or IBMX, 10 μmol/L GF 109203, 10 μmol/L H89, or vehicle at conditions as described under “Materials and methods.” The samples were stimulated by thrombin (0.5 nmol/L) at 37°C for 3 minutes after incubation with 10 μmol/L forskolin for 3 minutes. The results are expressed as the percentage of baseline cAMP level in each condition without thrombin. (B–D) The changes of cAMP contents medicated by agonist thrombin (0.5 nmol/L at 37°C for 3 minutes), PMA (1 μmol/L at 37°C for 10 minutes), and TPO (100 ng/mL 37°C for 10 minutes) in the absence or in the presence of a variety of pharmacological agents were monitored, respectively. The results are normalized as the percentage of baseline cAMP level in each condition without agonist. cAMP levels were determined by Biotrak Enzyme Immunoassay kit. Data are from 4 independent experiments using platelets from different donors and are means plus or minus SEM. ∗, significant by ANOVA for wortmannin, AktI, milrinone, and IBMX compared with thrombin alone (P > .05).
Effects of different signaling pathway inhibitors on thrombin-induced decrease of the platelet cAMP. (A) Washed platelets (2 ×106/mL) were incubated with 2 μmol/L AktI, 0.1 μmol/L wortmannin, 10 μmol/L milrinone or IBMX, 10 μmol/L GF 109203, 10 μmol/L H89, or vehicle at conditions as described under “Materials and methods.” The samples were stimulated by thrombin (0.5 nmol/L) at 37°C for 3 minutes after incubation with 10 μmol/L forskolin for 3 minutes. The results are expressed as the percentage of baseline cAMP level in each condition without thrombin. (B–D) The changes of cAMP contents medicated by agonist thrombin (0.5 nmol/L at 37°C for 3 minutes), PMA (1 μmol/L at 37°C for 10 minutes), and TPO (100 ng/mL 37°C for 10 minutes) in the absence or in the presence of a variety of pharmacological agents were monitored, respectively. The results are normalized as the percentage of baseline cAMP level in each condition without agonist. cAMP levels were determined by Biotrak Enzyme Immunoassay kit. Data are from 4 independent experiments using platelets from different donors and are means plus or minus SEM. ∗, significant by ANOVA for wortmannin, AktI, milrinone, and IBMX compared with thrombin alone (P > .05).
To verify that PI3K/Akt is an upstream signaling pathway of PDE3A, we used AktI and wortmannin in the experiments. AktI significantly restricted the thrombin-induced intracellular cAMP decline (Figure 5B). In the presence of AktI (2 μmol/L), thrombin only slightly lowered the basal cAMP, resulting in intracellular cAMP content at 85.3% ± 9.6% of basal cAMP. These results suggest that Akt is one of the upstream signaling components of regulation of cAMP by thrombin. Wortmannin (0.1 μmol/L), an inhibitor of PI3K, also reduced the thrombin effect significantly (Figure 5A) to 71% ± 6.3%. In contrast, neither H89, a PKA inhibitor, nor GF 109203, a PKC inhibitor, inhibited the thrombin effect (Figure 5A,B). The data indicate that activation of PDE3A via PI3K/Akt pathway is responsible, at least in part, for thrombin-mediated cAMP reduction.
Thrombin lowers cAMP by 2 mechanisms
Thrombin releases ADP from platelet-dense granules. Kim et al18 have reported that Akt activation in platelets by thrombin depended on Gi signaling pathways. In particular, they showed that AR-C69931MX, a P2Y12 receptor-specific inhibitor of ADP actions, partially inhibited thrombin activation of Akt. We therefore incubated AR-C69931MX (100 nmol/L) or buffer with washed human platelets for 15 minutes and then added thrombin (0.5 nmol/L). In the presence of the P2Y12 inhibitor, thrombin-induced cAMP decrease was significantly reduced (Figure 5B). The intracellular cAMP content was at 83.9% ± 17.3% of basal level in the presence of AR-C69931MX (100 nmol/L) compared with that of 38.9% ± 6.9% in the absence of the P2Y12 inhibitor. The above results showed that either the P2Y12 inhibitor or the Akt inhibitor was able to modulate thrombin-induced cAMP reduction. To test for synergistic effect of signaling pathway between the ADP receptor and Akt activity, we measured thrombin-induced cAMP reduction in the presence of both inhibitors. The data exhibited in Figure 5B showed that in the presence of both AR-C69931MX and AktI, thrombin was unable to lower intracellular cAMP. Thus, these 2 pathways were additive in regulation of cAMP.
Phosphorylation/activation of Akt and intracellular cAMP content
Thrombin, PMA, and thyroid peroxidase (TPO) are able to phosphorylate and activate Akt in platelets.13 To understand how activation of Akt affects platelet intracellular cAMP content, we examined changes in cAMP levels caused by these agonists. PMA at a concentration of 1 μmol/L lowered cAMP level to 44.5% ± 17.2% of total basal level of cAMP. The effect of PMA-induced cAMP decrease was fully blocked by GF 109203 (10 μmol/L), was incompletely but significantly blocked by AR-C69931MX (100 nmol/L), and was not significantly affected by AktI (2 μmol/L) (Figure 5C). The impact on cAMP in platelets by TPO was much less powerful than that of thrombin or PMA. TPO (100 ng/mL) lowered cAMP to only 73% ± 12.3% of total basal level of cAMP. Neither AR-C69931MX nor AktI produced significant effects on cAMP concentration (Figure 5D) after TPO stimulation.
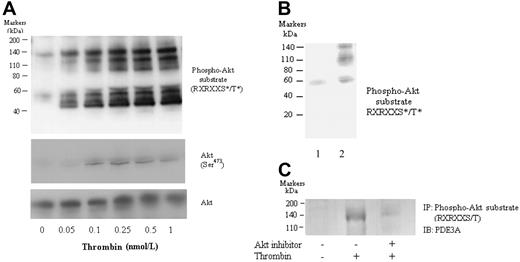
Phosphorylation of PDE3A by Akt during thrombin activation of platelets
Proteins, such as glycogen synthetase kinase (GSK), BAD, PDE3A, PDE3B, and endothelial nitric-oxide synthase, have been demonstrated as the substrates of Akt.7,8,15 Among them, PDE3B and BAD are not expressed in human platelets. Three isoforms of PDE3A proteins have been reported in human cardiac myocytes with molecular masses of 136, 118, and 94 kDa,19 and a fourth isoform was detected when PDE3A cDNA was expressed in vitro.20 Using an antibody against PDE3A, we immunoblotted platelet PDE3A and observed the 3 isoforms corresponding to those observed in cardiac myocytes (data not shown). We then explored whether platelet PDE3A isoforms were phosphorylated by Akt after treatment with thrombin using Western blotting with antibodies to phospho-Akt-substrate consensus sequence, to phosphorylated Akt Ser473, and Akt total protein itself. We observed that both phosphorylation of Akt Ser473 and phosphorylation of Akt substrate proteins were proportional to the concentrations of thrombin (Figure 6A). We postulated that some of the larger sizes of phosphorylated proteins of the Akt substrates probably represent phosphorylation of PDE3A isoforms. To confirm Akt-induced phosphorylation of PDE3A, the platelet PDE3A proteins were isolated with affinity chromatography by application of the fresh platelet lysate to a blue dextran column that has showed 400-fold purification of platelet PDE3A.21 The purified PD3A proteins from vehicle control and thrombin-treated platelets were subjected to immunoblotting with the mAb against phospho-Akt substrate consensus sequence RXRXXS*/T*. Figure 6B shows 2 bands of thrombin-treated PDE3A proteins detected by the antibody. These results indicate that platelet PDE3A was phosphorylated during thrombin activation of platelets. To validate that PDE3A is a substrate of Akt, we used the phosphorated-Akt substrate RXRXXS*/T* to immunoprecipitate the substrates of Akt and then immunoblotted the proteins using a polyclonal antibody against PDE3A. Figure 6C showed that 136 kDa of PDE3A protein was detected by a PDE3A antibody after immunoprecipitation of Akt-phosphorated substrate proteins from platelet lysates. The effect of PDE3A phosphorylation induced by thrombin was reduced in the presence of AktI (2 μmol/L).
Akt phosphorylates PDE3A during thrombin activation of platelets. (A) Washed platelets were stimulated with thrombin at 37°C for 3 minutes. The samples were separated in 4%-15% SDS-PAGE gels and transferred into PVDF membranes. The membranes were probed by anti-Akt mAb, antiphospho-Akt (Ser473) mAb, or anti-phospho-Akt substrate mAb, respectively. (B) The purified PDE3A protein were immunodetected with anti-phospho-Akt substrate mAb. Lanes 1 and 2 represent the purified platelet PDE3A proteins from the vehicle control platelets and the thrombin-treated platelets, respectively (thrombin at 0.25 nmol/L). The data are representative of the 3 similar experiments. (C) Identification of thrombin-induced PDE3A phosphorylation with immunoprecipitated method. Washed platelets incubated with AktI (2 μmol/L) or vehicle were treated by thrombin (0.25 nmol/L at 37°C for 3 minutes) or vehicle. Platelet lysates were immunoprecipitated by the anti-Akt phosphorylated-substrate monoclonal antibody and immunoblotted by PDE3A antibody.
Akt phosphorylates PDE3A during thrombin activation of platelets. (A) Washed platelets were stimulated with thrombin at 37°C for 3 minutes. The samples were separated in 4%-15% SDS-PAGE gels and transferred into PVDF membranes. The membranes were probed by anti-Akt mAb, antiphospho-Akt (Ser473) mAb, or anti-phospho-Akt substrate mAb, respectively. (B) The purified PDE3A protein were immunodetected with anti-phospho-Akt substrate mAb. Lanes 1 and 2 represent the purified platelet PDE3A proteins from the vehicle control platelets and the thrombin-treated platelets, respectively (thrombin at 0.25 nmol/L). The data are representative of the 3 similar experiments. (C) Identification of thrombin-induced PDE3A phosphorylation with immunoprecipitated method. Washed platelets incubated with AktI (2 μmol/L) or vehicle were treated by thrombin (0.25 nmol/L at 37°C for 3 minutes) or vehicle. Platelet lysates were immunoprecipitated by the anti-Akt phosphorylated-substrate monoclonal antibody and immunoblotted by PDE3A antibody.
Discussion
Cyclic AMP participates in thrombin-induced signaling events. Decrease of intracellular cAMP level is observed when platelets are stimulated by thrombin. Inhibition of adenylate cyclase is considered one of the major mechanisms of thrombin stimulation of platelets. In this report, we argue that restriction of cAMP synthesis by suppression of adenylate cyclase is not the only mechanism used by thrombin to lower cAMP content. Inhibition of platelet adenylate cyclase will reduce formation of intracellular cAMP by turning off the cAMP-PKA-PDE3A feedback loop and reducing cAMP hydrolysis. If no other mechanisms were involved, the effect of reduction of intracellular cAMP formation by inhibition of adenylate cyclase would be overcome by reduction of cAMP degradation via deactivation of PDE3A. In fact, we found in our experiments that platelet PDE3A activity increased during thrombin stimulation. Elevation of PDE3A activity is proportional to the concentrations of thrombin, and measurable increases of PDE3A were recorded with as low as 0.1 nmol/L thrombin. More importantly, up-regulating PDE3A activity was mainly a response to lowering intracellular cAMP content of platelets. The PDE3 inhibitor milrinone significantly blocked thrombin-mediated decline of cAMP content, which strongly indicates that activated PDE3A is a part of a mechanism by which thrombin reduces intracellular cAMP content.
In this article, we have made the unique observation that the potent platelet agonist thrombin, which is known to increase Akt activity, which in turn phosphorylates amino acids in the regulatory region of PDE3A, lowers cAMP, completes a positive feedback loop, and potentiates thrombin action. PDE3A and PDE3B are 2 members in PDE3 gene family. PDE3A is expressed mainly in cardiac myocytes, oocytes, and platelets. Studies from our laboratory have shown that PDE3A cloned from human erythroleukemia cells is similar to PDE3A cloned from cardiac myocytes.22 Hambleton et al19 and Wechsler et al20 have defined isoforms of PDE3A in cardiac myocytes, with approximate molecular weights of 136, 118, and 94 kDa. Recently, Han et al16 reported that 2 isoforms of PDE3A with sizes of 136 and 118 to 120 kDa are detected in oocytes. They reported that Ser271, Ser290-292, or Ser465 in PDE3A is able to be phosphorylated by Akt. Moreover, they demonstrated that phosphorylated Ser290, Ser291, or Ser292 in full-length PDE3A at 136 kDa could contribute to Akt-induced PDE3A activity. The isoform of PDE3A phosphorylated by Akt during thrombin activation of platelets is the 136-kDa species. This result is consistent with previous findings.16
The physiologic consequences of phosphorylation of Akt have been studied in many cells. By phosphorylation of BAD, Akt suppresses cell apoptosis by blocking activation of caspase proteases.8 Akt-induced PDE3B phosphorylation reduces insulin secretion in pancreatic β cells, inhibits FDCP2 cell proliferation,23 and plays a role in mammalian oocyte maturation.16 It has been documented that initial signaling events of phosphorylation of Akt in platelets are stimulated by thrombin and other agonists, such as collagen, leptin, and TPO. However, downstream components and consequences of Akt signaling pathway, connection of Akt with other secondary messages, and influence on overall signaling cascade still need to be clarified. We demonstrate that Akt-mediated PDE3A phosphorylation is a part of downstream signaling events of thrombin.
In synergism with the inhibition of adenylate cyclase, thrombin activates PDE3A and down-regulates intracellular cAMP concentration. Because thrombin releases ADP from platelets, we assessed the contribution of ADP stimulation of the P2Y12 receptor which is linked to Gi. The P2Y12 receptor antagonist inhibits thrombin-induced cAMP reduction. Thus, both ADP release and PDE3A activation contribute to thrombin-induced cAMP decrease in intracellular cAMP.
Our data are supported by multiple functional platelet defects reported in Akt knockout mice. Impairment of platelet plug formation in the blood circulation was found in Akt2 knockout mice.24 Dysfunction in aggregation, impaired secretion, decrease in intracellular Ca++ concentration, and reduced fibrinogen binding in response to thrombin have been reported in both Akt1 and Akt2 gene-deficient platelets.24,25 The observation that platelet dysfunction occurs in response to thrombin, especially at the low concentrations of thrombin from Akt gene-deficient platelets, could be explained by thrombin failure to maximally reduce intracellular cAMP level and consequent failure to overcome PKA-mediated stabilization. Counter-regulatory PDE3 activation by PKA or Akt is an important physiologic tool to control biologic functions by different physiologic effectors. By activating PDE3B and decreasing intracellular cAMP level, Akt inhibits insulin-induced lipolysis in adipocytes26 and reduces glycogenolysis in hepatocytes.27 In contrast, increases in cAMP, caused by compounds that activate adenylate cyclase or cAMP analogues that activate PKA, have been reported to induce lipolysis in adipocytes and stimulate hepatic glycogenolysis.28 In this context, we now provide an additional example to support that regulation of PDE3A via different signaling cascades may trigger completely opposing biologic events (ie, stabilizing or activating platelets).
The activation of platelets with thrombin results in the formation of phosphatidylinositol 3,4,5-triphosphate and phosphatidylinoitol 3,4-biphosphate, which are the product of PI3K. In turn, both of the phospholipids elicit activation of PI3K. Thrombin activates Akt in platelets through different signaling pathways, PI3K-dependent and -independent pathways. In the PI3K-dependent pathway, PI3K activates Akt by dual phosphorylation of Thr308 and Ser473 via phosphoinositide-dependent kinase 1 (PDK1), whereas, in PI3K-independent pathways, phospholipase Cβ and calcium-dependent protein kinase C (PKCα/β) are involved. Akt can undergo different degrees of phosphorylation depending on the type of platelet agonists, and phosphorylation of Thr308 and Ser473 can occur either concurrently or independently.12 Agonists, including thrombin, PMA, and TPO, are able to phosphorylate Akt in platelets through different signaling pathways. PMA phosphorylates Akt at Thr308 by activation of PKC, whereas TPO uses the PI3K pathway to phosphorylate Akt at Thr308 and Ser473 without need of membrane-coupled G proteins. Acting through the PAR-1 receptor, thrombin phosphorylates Akt at Thr308 and Ser473. Our results indicate that activation/phosphorylation of PDE3A and reduction of intracellular cAMP are events downstream of Akt activation by thrombin. Does phosphorylation of Akt eventually regulate PDE3A activity and change cAMP content in platelets? The results from monitoring cAMP changes by agonists thrombin, PMA, and TPO clearly suggest that downstream signaling pathways of Akt are dynamically regulated in platelets. Thrombin-induced cAMP reduction was significantly inhibited by either the P2Y12 inhibitor or the Akt inhibitor. In contrast, PMA-induced cAMP reduction can be significantly blocked only by P2Y12 inhibitor, not by Akt inhibitor. Among the 3 agonists, TPO has the lowest potency in reducing platelet cAMP. Furthermore, we found no evidence that inhibition of P2Y12 receptor or Akt activity significantly affected TPO-induced cAMP reduction. The multiple downstream signaling pathways of Akt in platelets seem to provide each agonist with a distinct pathway to regulate intracellular cAMP and its biologic consequence.
Thrombin stimulates platelet activation through PAR-1 coupled to a number of G proteins. Gq protein activates phospholipase Cβ (Figure 7) leading to formation of IP3, which increases intracellular Ca++ and DG, which in turn stimulates PKC and PLA2, leading to TXA2 formation (classic pathway).29 Because cAMP inhibits platelet function, inhibiting adenylyl cyclase will enhance platelet activation. Thrombin can directly inhibit adenylyl cyclase through a Gi family member coupled to a thrombin receptor or indirectly by released ADP. ADP, acting through the Gi2-coupled receptor P2Y12, inhibits adenylyl cyclase and lowers cAMP. The effects of thrombin to decrease cAMP are synergistic because thrombin blocks cAMP formation by inhibiting adenylyl cyclase and enhancing cAMP hydrolysis by PDE3A. Another possible pathway for thrombin is through phosphorylation/activation of Akt via the PI3K signal pathway.24 In this report, we provide evidence that Akt can directly activate PDE3A and thus provide an additional mechanism to regulate intracellular cAMP content. This new stimulatory mechanism for thrombin might serve as a positive feedback, enhancing the thrombin activation of platelet function. Understanding the mechanisms that are involved in regulation of PDE3A in platelets could provide new targets for therapeutic advances in the treatment of thrombotic disorders.
Regulation of intracellular cAMP in platelets by thrombin. Thrombin restricts intracellular cAMP content by suppression of synthesis from ATP and acceleration of hydrolysis of cAMP to 5′AMP by PDE3A. After activation of PAR-1, thrombin inhibits adenylate cyclase either through PAR1-coupled Gi protein directly, through Gq protein directly, or through Gq protein-induced of ADP from dense granules via the PLCβ pathway. In the latter, secreted ADP binds to the outside surface P2Y12 receptor, which is coupled to Gi2 to inhibit adenylate cyclase. Furthermore, thrombin via PAR-1 links to Gq, stimulates PI3K and PDK1, which in turn phosphorylates Akt, which in turn phosphorylates PDE3A. Elevation of PDE3A lowers intracellular cAMP content.
Regulation of intracellular cAMP in platelets by thrombin. Thrombin restricts intracellular cAMP content by suppression of synthesis from ATP and acceleration of hydrolysis of cAMP to 5′AMP by PDE3A. After activation of PAR-1, thrombin inhibits adenylate cyclase either through PAR1-coupled Gi protein directly, through Gq protein directly, or through Gq protein-induced of ADP from dense granules via the PLCβ pathway. In the latter, secreted ADP binds to the outside surface P2Y12 receptor, which is coupled to Gi2 to inhibit adenylate cyclase. Furthermore, thrombin via PAR-1 links to Gq, stimulates PI3K and PDK1, which in turn phosphorylates Akt, which in turn phosphorylates PDE3A. Elevation of PDE3A lowers intracellular cAMP content.
The publication costs of this article were defrayed in part by page charge payment. Therefore, and solely to indicate this fact, this article is hereby marked “advertisement” in accordance with 18 USC section 1734.
Acknowledgments
We thank Dr Irma Sainz for constructive criticisms of the manuscript, Dr Satya Kunapuli for supplying the P2Y12 antagonist AR-C69931IMX, and Princess Graham for preparing the manuscript for submission.
This work was supported by National Institutes of Health program project grant P01-64943 (to R.W.C.).
National Institutes of Health
Authorship
Contribution: W.Z. performed research and wrote the manuscript. R.W.C. analyzed research and wrote the manuscript.
Conflict-of-interest disclosure: The authors declare no competing financial interests.
Correspondence: Robert W. Colman, Sol Sherry Thrombosis Research Center, Temple University School of Medicine, 3400 N. Broad Street, OMS 418, Philadelphia, PA 19140; e-mail: colmanr@temple.edu.







This feature is available to Subscribers Only
Sign In or Create an Account Close Modal