Comment on Bobé et al, page 3967
In this issue of Blood, Bobé and colleagues demonstrate that the lymphoproliferative and autoimmune syndrome developing spontaneously in the MRL/lpr mouse, a model of human systemic lupus erythematosus (SLE), can be cured by arsenic trioxide (As2O3). This finding has a high translational impact.
Arsenic trioxide (As2O3) is a poison that has been used successfully to treatb acute promyelocytic leukemia (APL).1 At low doses (< 0.5 μM), the drug induces differentiation of APL cells, whereas at higher doses it triggers apoptosis by activating the mitochondrial pathway. In addition, As2O3 promotes the degradation of the PML-RARα fusion protein over a wide range of concentrations.2
The Fas-deficient MRL/lpr mouse is widely used as a model of systemic lupus erythematosus (SLE), a disease that still exhibits considerable morbidity and mortality. Cutaneous lesions, multiorgan lymphoid infiltrates, immune complex glomerulonephritis, high-titer anti-DNA autoantibodies, and vasculitis manifesting spontaneously in MRL/lpr mice recapitulate many of the clinical features of SLE.3 In addition, MRL/lpr mice display abnormally expanded TCRαβ+, CD3+, CD4–, CD8– T cells, also known as double-negative (DN) T cells.4 These cells, which are virtually absent from normal peripheral blood, may be increased in SLE patients and are a hallmark of the human autoimmune lymphoproliferative syndrome (ALPS).FIG1
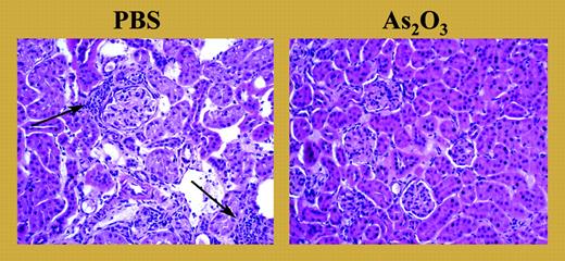
Kidney sections from 4-month-old MRL/lpr mice treated daily for 2 months with As2O3 (5 μg/g) or PBS. Lymphoid infiltrates (arrows) are detected in PBS-treated (left panel), but not As2O3-treated (right panel), mice.
Kidney sections from 4-month-old MRL/lpr mice treated daily for 2 months with As2O3 (5 μg/g) or PBS. Lymphoid infiltrates (arrows) are detected in PBS-treated (left panel), but not As2O3-treated (right panel), mice.
Bobé and colleagues injected As2O3 intraperitoneally (5 μg/g per day) into MRL/lpr mice at different ages. The drug halted disease progression when administered as preventive regimen and cured mice with overt lymphoproliferation. As2O3 reduced cutaneous lesions, lymphoid infiltrates in the lung and the kidney (see figure), and immune complex deposition in kidney glomeruli, significantly prolonging survival.
DN T cells were selectively forced by As2O3 to commit suicide through up-regulation of activated caspases-2, -8, and -9. Expression of FasL, which is up-regulated in MRL/lpr mice, was dampened by the drug. Serum levels of IFN-γ, IL-18, TNF, and IL-10, as well as those of nitrite (a marker of nitric oxide synthase activity), were reduced by As2O3 treatment. The authors conclude that As2O3 also targeted activated T helper-1 (Th1) cells, natural killer (NK) cells, and macrophages through caspase-independent mechanisms. The low endogenous levels of GSH were up-regulated by As2O3.
Altogether, As2O3 dampens autoantibody production by inhibiting IL-10 production, decreases nitric oxide production by down-regulating the synthesis of both IFN-γ and NOS, and restores tissue protection from free radical–induced damage by increasing GSH levels.
The study by Bobé et al is impressive, but some crucial issues (such as the molecular basis of As2O3 selectivity for DN T cells, and the mechanisms of drug-induced caspase activation in DN T cells and of elimination of activated Th1 cells, NK cells, and macrophages) warrant further investigation.
In APL studies, liver toxicity was the main side effect following intravenous administration of As2O3.1 The findings of Bobé et al support the feasibility of a clinical trial in treatment-resistant patients with SLE or possibly ALPS. However, patient response to As2O3 may differ from that of MRL/lpr mice; the intraperitoneal route is not applicable to humans, and the appropriate schedule must be identified; and As2O3 toxicity in patients with systemic autoimmunity may differ from that reported in APL patients. In spite of these caveats, a new star for the treatment of systemic B-cell autoimmunity is born and, hopefully, will grow up soon.
The author declares no competing financial interests. ▪

This feature is available to Subscribers Only
Sign In or Create an Account Close Modal