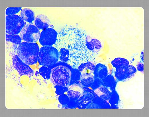
An African-American middle-aged HIV-positive woman with pancytopenia and clinical septicemia had a bone marrow examination. The marrow contained numerous macrophages resembling Gaucher cells, one of which is shown. A marrow stain for AFB identified organisms (Mycobacteria avium-intracellulare) within these macrophages (pseudo-Gaucher cells). This cause of pseudo-Gaucher cells has been described by R. Garza Guajardo, O. Barboza Quintana, and P. Perez Padilla (Diagn Cytopathol. 1998;19:462-464). This smear was provided by Dr Neil Abramson (Baptist Cancer Institute, Jacksonville, FL).FIG1
Many Blood Work images are provided by the ASH IMAGE BANK, a reference and teaching tool that is continually updated with new atlas images and images of case studies. For more information or to contribute to the Image Bank, visit www.ashimagebank.org.

Neil Abramson, Baptist Cancer Institute
This feature is available to Subscribers Only
Sign In or Create an Account Close Modal