Abstract
Hemophilia B, also known as Christmas disease, arises from mutations in the factor IX (F9) gene. Its treatment in humans, by recombinant protein substitution, is expensive, thus limiting its application to intermittent treatment in bleeding episodes and prophylaxis during surgery; development of inhibitory antibodies is an associated hazard. This study demonstrates permanent therapeutic correction of his disease without development of immune reactions by introduction of an HIV-based lentiviral vector encoding the human factor IX protein into the fetal circulation of immunocompetent hemophiliac and normal outbred mice. Plasma factor IX antigen remained at around 9%, 13%, and 16% of normal in the 3 hemophilia B mice, respectively, until the last measurement at 14 months. Substantial improvement in blood coagulability as measured by coagulation assay was seen in all 3 mice and they rapidly stopped bleeding after venipuncture. No humoral or cellular immunity against the protein, elevation of serum liver enzymes, or vector spread to the germline or maternal circulation were detected. (Blood. 2004;104: 2714-2721)
Introduction
Hemophilia B (Christmas disease) is a severe and often life-threatening genetic disease in humans caused by deficiency of the essential blood clotting protein human factor IX (hFIX). Lifelong substitution therapy is required to avoid major pathology and is a considerable burden on those affected. Protein substitution therapy has, in the past, been provided only intermittently. Gene therapy, which may provide a continuous level of the missing protein expressed from the delivered vector system, has therefore become one of the most attractive approaches for amelioration or cure of this disease.
Extensive animal experiments on hemophilic dogs and mice1-7 showing adeno-associated virus (AAV) vectors to be a promising vector system led to the first human trials for this disease applying AAV-hFIX intramuscularly to 8 adult patients with severe hemophilia B.8,9 Small increases in hFIX plasma levels with reduction of exogenous protein requirement were observed and further studies to target the liver with this vector system are underway. Although these results provide proof of principle, alternative vectors or application regimens may be needed to achieve sustained therapeutic levels of the clotting protein and, in particular, to overcome the development of inhibitory antibodies against the exogenous protein10 or the viral vector.
In utero gene therapy may be an alternative regimen for the long-term amelioration of early onset severe genetic diseases; prenatal gene application of integrating vectors may generate tolerance to the transgenic protein,11 and perhaps also allow targeting of still-expanding stem cell populations. We have previously demonstrated successful expression of hFIX after adenovirus and AAV vector delivery to fetal mice and sheep in utero.12-15 Although levels of the transgenic protein declined rapidly, our previous study demonstrated, most importantly, that postnatal tolerance to hFIX can be induced by prenatal gene delivery and expression.15
Because of its integrating properties the lentiviral vector is a good candidate for an in utero approach; in a previous study we observed long-term marker gene expression after prenatal administration of a lentivirus vector16 and low to intermediate levels of hFIX expression (120-350 ng/mL) have been achieved in adult mice using HIV-based lentiviral vectors.17-19 In utero delivery to sheep of marker genes by retroviral vectors has been shown previously to result in long-term expression.20 The current study shows that prenatal intravascular delivery of an HIV-based hFIX lentiviral vector to normal and hemophilia B mice results in long-term high levels of exogenous coagulation hFIX activity (hFIX:C) without development of immune or other adverse reactions.
Materials and methods
HIV-based lentiviral vectors
The lentiviral vectors were generated by cotransfection of human kidney-derived 293T cells with 3 plasmids. The envelope plasmid pMD.G and the packaging plasmid pCMVR8.91 have been described previously.21 The third plasmid (pHR′SIN-cPPT-S-FIX-W) consisting of the self-inactivating transfer vector encoding the hF9 gene driven by the U3 part of the spleen focus-forming virus (SFFV) strain P long terminal repeat (LTR) sequence flanked downstream by the woodchuck hepatitis virus posttranscriptional regulatory element (WPRE) is derived from the pHR′SIN-cPPT-SEW plasmid described previously.22 The hFIX cDNA was amplified by polymerase chain reaction (PCR) from a recombinant adenovirus (Transgene, Strasbourg, France) using the forward primer 5′ TCG GGA TCC TCG CCA CCA TGC AGC GCG TGA ACA TGA TCA 3′, which incorporated a BamHI site before the start codon, and the reverse primer 5′ CGT GCG GCC GCG AAT TCT TAA GTG AGC TTT TGT TTT TTC CTT 3′, which incorporated a NotI site after the stop codon. Pfu polymerase (Stratagene, La Jolla, CA) was used for the PCR (94°C for 45 seconds of denaturation, 78.5°C for 45 seconds of annealing, and 72°C for 2 minutes of extension for 30 cycles). The PCR product encoding the hFIX cDNA was digested with BamHI and NotI, subcloned into a pBluescript plasmid containing SFFV strain P LTR sequence driving the expression of enhanced green fluorescent protein (eGFP) flanked downstream by the WPRE. The eGFP coding sequence (BamHI-NotI) was replaced with the hFIX cDNA sequence (BamHI-NotI) to create the plasmid pBS-SFFV-FIX-WPRE. The BamHI-XhoI fragment of eGFP in pHR′SIN-cPPT-SEW was replaced with the BamHI-XhoI hFIX cDNA to create the pHR′SIN-cPPT-S-FIX-W plasmid.
Vesicular stomatitis virus G (VSV-G) pseudotyped recombinant HIV vectors were produced by transient transfections of 3 plasmids into 293T cells: the self-inactivating transfer vector plasmid encoding the hFIX protein (pHR′SIN-cPPT-S-FIX-W) or the control vector encoding eGFP (pHR′SIN-cPPT-SEW), the packaging plasmid pCMVR8.91, and the envelope plasmid (pMDG). Ten million 293T cells were seeded in one 150-cm2 flask overnight prior to transfection. Cells were cultured in Dulbecco modified Eagle medium (DMEM) with 10% fetal calf serum (FCS) in a 5% CO2 incubator at 37°C. A total of 100 μg plasmid DNA was used for the transfection of a single flask: 17.5 μg of the envelope plasmid, 32.5 μg of packaging plasmid, and 50 μg of transfer vector plasmid. This plasmid mixture was complexed with 0.25 mM 22-kDA polyethyleneimine (PEI; Sigma-Aldrich, Poole, United Kingdom) in 10 mL Optimem (Invitrogen, Paisley, United Kingdom) at room temperature for 15 minutes. The DNA-PEI complexes were then added to the cells. After 4 hours of incubation at 37°C in a 5% CO2 incubator, the medium was replaced by fresh DMEM supplemented with 10% FCS. At 36 hours and 60 hours after transfection the medium was harvested, cleared by low-speed centrifugation (1200 rpm, 5 minutes), and filtered through a 0.45-μm filter. Vector particles were concentrated 20- to 100-fold by ultracentrifugation at 50 000g for 90 minutes at 4°C. The pellet was resuspended in serum-free X-VIVO10 (BioWhittaker Europe, Verviers, Belgium) and stored at -80°C.
Virus titers, calculated using a commercial immunoassay kit for p24 (Beckman Coulter, High Wycombe, United Kingdom) fell in the range of 20 to 40 ng/μL p24 protein. Batches of hFIX and eGFP lentivirus were prepared in parallel. Fluorescent-activated cell sorting (FACS) analysis of cells after infection by eGFP lentivirus yielded a titer of 5 × 108 infectious particles/mL.
hFIX:C determination. A one-stage assay for hFIX:C was performed using a Coag-a-Mate instrument (Organon Teknika, Cambridge, United Kingdom) as follows. In a cuvette, 100 μL FIX-depleted plasma (Diagnostic Reagents, Thame, United Kingdom) was mixed with 100 μL diluted human reference plasma (98/734 or 01/618; NIBSC, South Mimms, United Kingdom) or diluted murine test plasma. Then, 100 μL activator/PL reagent (Instrumentation Laboratory, Warrington, United Kingdom) was added and the mixture incubated at 37°C for 5 minutes exactly. Then, 100 μL25 mM CaCl2 (Instrumentation Laboratory) was added and the clotting time detected photometrically. Normal human plasma levels of FIX:C and FIX antigen (FIX:Ag) are defined as 1 U/mL.
hFIX:Ag determination. Human FIX:Ag (hFIX:Ag) in murine plasma samples was measured using a specific hFIX:Ag enzyme-linked immunosorbent assay (ELISA) as directed (Roche Diagnostics, Mannheim, Germany). The reference was hFIX supplied with the kit, and for direct comparability all murine plasma samples were assayed at 50-fold dilution.
Immunohistochemistry
Liver biopsy tissue was fixed in 25% formalin overnight, transferred to 70% ethanol, and processed into paraffin. hFIX:Ag was detected immunohistochemically by trypsin digestion, then incubated with rabbit anti-hFIX:Ag primary antibody (A0300; Dako, Ely, United Kingdom). eGFP was detected by microwave treatment in citrate buffer followed by incubation with rabbit anti-eGFP (A-6455; Molecular Probes, Eugene, OR). In both cases, standard avidin-biotin peroxidase and diaminobenzidine treatment followed. Sections were counterstained with hematoxylin. For hFIX:Ag, positive cells were counted and expressed as a percentage of the total number of liver cells. Regression analysis was performed between these percentages and the concentrations of hFIX:Ag interpolated for the time of biopsy. In addition, sections were given a semiquantitative score from 0 to 5 and were ranked blindly according to this score. Regression analysis was also performed between these and the ranked hFIX:Ag concentrations interpolated for the time of the biopsy. Pictures were taken with a Leitz Orthoplan microscope, an NPL Fluotar × 25/0.55 objective (Leica Microsystems, Milton Keynes, United Kingdom) and an Olympus DP10 digital camera (Olympus, London, United Kingdom). Images' color levels were corrected automatically using Adobe Photoshop software.
Determination of immune reactions
Frozen sections of liver biopsy tissue were examined for the presence of macrophages and neutrophils (anti-CD68, MCA1957GA, and antiallotypic marker, MCA771GA; Serotec, Oxford, United Kingdom), CD4+ and CD8+ cells (anti-L3T4, 550278 and anti-Ly-2, 550281; BD Biosciences, Oxford, United Kingdom). For each cell type, sections were scored semiquantitatively from 0 to 5 followed by Kruskal-Wallis analysis with Bonferroni correction.
The immune sensitivity of MF1 mice was confirmed by injection of hFIX adenovirus (8 × 1010 pfu/fetus) into adult mice more than 3 months old. Twenty-four hours later, there was a significant increase in CD4+ cells (P < .05). There was a significant decrease in liver macrophages (P < .05) likely due to depletion of Kupffer cells. Anti-hFIX antibodies were detected by ELISA of serially diluted serum samples titrated against a standard of mouse monoclonal factor IX IgG1 (Biogenesis, Poole, United Kingdom). We have previously shown that MF1 mice are able to mount a strong antibody response to hFIX after either hFIX adenovirus or hFIX protein injection.15
PCR for vector spread in maternal mouse tissue
Tissues were macerated in phosphate-buffered saline (PBS), pelleted by centrifugation, and incubated at 37°C overnight after resuspension in extraction buffer comprising 200 μL 0.5 M EDTA (ethylenediaminetetraacetic acid), 100 μL 0.1 M Tris-HCl (tris(hydroxymethyl)aminomethane), 250 μL 10% sodium dodecyl sulfate (SDS), 100 μL 0.1 M NaCl, 3 μL 10 mg/mL proteinase K, and 25 μL 0.039 M dithiothreitol for 2 hours. A standard phenol/chloroform extraction was used followed by ethanol precipitation and removal of salt by ethanol and water washes. DNA was resuspended in sterile distilled water and quantified by spectrophotometry. The following PCR primers were used for detection of hFIX DNA sequence: forward 5′ GGC GGC AGT TGC AAG GAT GAC 3′ and reverse 5′ GTG AAG TCA TTA AAT GAT TGG GTG C 3′ to give a 362-bp product. Amplification was carried out over 40 cycles of 94°C, 58°C, and 72°C for 1 minute each followed by an extension cycle of 72°C for 10 minutes. (MgCl2 1.5 mM). The reaction products were run on a 1% agarose gel and visualized by UV light.
Taq Man real-time PCR analysis
This was used to determine the presence or absence of germline transmission and vector copy number in the livers of treated animals. The primers used in the HIV-packaging signal assay were: forward 5′ TGG GCA AGC AGG GAG CTA 3′, reverse 5′ TCC TGT CTG AAG GGA TGG TTG T 3′, and probe 5′ (FAM) AAC GAT TCG CAG TTA ATC CTG GCC TGT T (TAMRA) 3′. Probe was used at a concentration of 125 nM. Forward and reverse primers were used at 300 nM. This assay is able to detect 10 positive signals in 1.3 × 105 haploid cells; however, the assay has not been validated to guidelines of the International Conference on Harmonization of Technical Requirements for Registration of Pharmaceuticals for Human Use (ICH).
The primers used in the WPRE assay were: forward 5′ TTG CCA CCA CCT GTC AGC T 3′, reverse 5′ GTT CCG CCG TGG CAA TAG 3′, and probe 5′ (FAM) CTT TCC GGG ACT TTC GCT TTC CCC (TAMRA) 3′. These were used at concentrations of 50 nM, 300 nM, and 75 nM, respectively.
Animals
The hemophilia B mouse strain, based on 129/sv mice with disruption of the factor IX gene, was obtained from Prof Inder Verma.23 (Salk Institute, La Jolla, CA). All animal work was carried out under United Kingdom Home Office regulations and was compliant with the guidelines of the Imperial College London ethical review committee.
Results
Lentivirus gene delivery in utero provides long-term hFIX plasma level correction
To develop a safe procedure for vector delivery to the circulation of hemophilia B mouse fetuses in utero, an hFIX-expressing adenovirus, which had previously been shown to provide short-term therapeutic hFIX levels in normal mouse fetuses,15 was used. Pregnant homozygous hemophilia B dams,23 time-mated with hemizygous hemophilia B males of the same strain, were given hFIX adenovirus (2.6 × 1012 pfu/kg) intraperitoneally at 15 days' gestation. This treatment minimizes maternal intraoperative and postoperative bleeding during laparotomy and transuterine injection following 24 hours later. Blood was collected from a separate group of fetuses, by decapitation, 24 hours after injection. No hFIX (which might have arisen through transplacental passage of virus or hFIX protein) was detected, as determined by sensitive species-specific hFIX:Ag ELISA. A total of 20 μL hFIX adenovirus suspension (1.6 × 1014 pfu/kg) was then injected into the yolk sac vessels of 2 to 3 fetuses per dam at 16 days' gestation.15 At 20 days' gestation, injected (n = 7) and control uninjected littermates (n = 5) were delivered by cesarean section and fostered onto MF1 mothers. At 1 month, we detected hFIX:Ag in plasma from all injected mice (range, 0.011-0.061 U/mL) but not in uninjected controls. After 6 months, as expected, plasma hFIX:Ag concentrations had fallen to less than 1% of normal in all mice (Figure 1A).
Plasma hFIX:Ag concentrations in mice after prenatal intravascular injection. At 16 days' gestation, fetal hemophilic mice (A-B) or outbred normal MF1 mice (C) were injected intravascularly with hFIX adenovirus (A) or hFIX lentivirus (B-C). Monthly blood samples were collected into citrate buffer for plasma analysis of hFIX concentrations. Open symbols indicate sampling times for FIX:C assay (A-B) or liver biopsy and blood collection for liver enzyme analysis (C). Labels T1-T6 correlate hFIX:Ag with immunohistochemistry shown in Figure 2. The arrows indicate the time at which hemophilic mice were immune challenged with hFIX in adjuvant. Dashed lines indicate approximate equivalences to percentages of normal human hFIX:Ag plasma levels.
Plasma hFIX:Ag concentrations in mice after prenatal intravascular injection. At 16 days' gestation, fetal hemophilic mice (A-B) or outbred normal MF1 mice (C) were injected intravascularly with hFIX adenovirus (A) or hFIX lentivirus (B-C). Monthly blood samples were collected into citrate buffer for plasma analysis of hFIX concentrations. Open symbols indicate sampling times for FIX:C assay (A-B) or liver biopsy and blood collection for liver enzyme analysis (C). Labels T1-T6 correlate hFIX:Ag with immunohistochemistry shown in Figure 2. The arrows indicate the time at which hemophilic mice were immune challenged with hFIX in adjuvant. Dashed lines indicate approximate equivalences to percentages of normal human hFIX:Ag plasma levels.
The same procedure was then used for intravascular delivery of an HIV-based lentivirus vector (20 μL; 2 × 1010 infectious particles/kg, for fetuses weighing 0.5 g) carrying the hFIX cDNA to outbred MF1 (n = 7) and hemophilia B mouse fetuses (n = 3) at 16 days of gestation. hFIX expressed from this self-inactivating vector is under control of the U3 moiety of the LTR of SFFV and the downstream WPRE.22 Injected MF1 fetuses were marked subcutaneously with 1 μL colloidal carbon and were born naturally at 21 days of gestation with control uninjected littermates (n = 5). Hemophilia B mice were delivered by cesarean section at 20 days of gestation.
Three of 6 MF1 mice and all 3 hemophilia B mice showed hFIX:Ag plasma concentrations at or above 5% of normal human levels for their lifetime (MF1 up to 421 days; hemophilic mice up to 432 days) and the remaining 3 MF1 mice more than 0.5% (up to 488 days; Figure 1B-C). As an approximation, in humans a minimal therapeutic effect of hFIX treatment is achieved at plasma levels above 1%, a moderate effect at 5%, and full correction above 40% of the normal human level.24 One juvenile mouse and its mother were killed 3 weeks and 3 days, respectively, after parturition for PCR analysis to analyze vector spread.
hFIX plasma levels in lentivirus-treated hemophilia B mice correct their bleeding phenotype
To quantitate phenotypic correction by transgenically expressed hFIX, a one-stage hFIX:C clotting assay was performed on citrated plasma collected from all 3 hemophilia B mice treated with hFIX lentivirus. All showed substantial increases in plasma hFIX:C levels (0.80, 1.25, and 0.50 U/mL at around 300 days (compared with apparent background levels in hemophilic mice of 0.07-0.13 U/mL; see “Materials and methods”), whereas only 3 of 7 hemophilic mice that had received adenovirus showed a low level of improvement from 0.14 to 0.21 U/mL on day 45 after injection but not beyond (Table 1). There was a significant correlation between hFIX:C and hFIX:Ag as determined by ELISA (P < .001, R2 = 0.71). However, FIX:C levels were consistently higher than FIX:Ag in all samples from lentivirus-treated mice, by a factor of 5.2 on average (range, 4.2-7.1); this may result from the nonparallelism in dose response between human plasma references and mouse plasma samples, leading both to some overestimation of FIX:C and underestimation of FIX:Ag (see “Materials and methods”).
hFIX measurements in test and control mice
Mouse . | Days after injection . | hFIX:C, U/mL . | hFIX:Ag, U/mL . | Days after injection . | hFIX:C, U/mL . | hFIX:Ag, U/mL . | Days after injection . | hFIX:C, U/mL . | hFIX:Ag, U/mL . |
|---|---|---|---|---|---|---|---|---|---|
| Lentivirus | |||||||||
| M1 | 45 | 0.49 | 0.12 | 188 | 1.40 | 0.24 | 297 | 1.25 | 0.18 |
| M2 | 45 | 0.68 | 0.096 | 188 | 0.59 | 0.14 | 297 | 0.80 | 0.16 |
| M3 | 52 | 0.33 | 0.071 | 195 | 0.38 | 0.088 | 304 | 0.50 | 0.11 |
| Adenovirus | |||||||||
| A1 | 45 | 0.14 | 0.039 | 188 | 0.07 | <0.003 | ND | ND | ND |
| A2 | 45 | 0.21 | 0.042 | 188 | 0.08 | <0.003 | ND | ND | ND |
| A3 | 45 | 0.15 | 0.029 | 188 | 0.06 | <0.003 | ND | ND | ND |
| A4 | 101 | <0.02 | 0.016 | 244 | 0.07 | 0.004 | ND | ND | ND |
| A5 | 101 | <0.02 | 0.016 | 244 | 0.06 | <0.003 | ND | ND | ND |
| A6 | 101 | <0.02 | .009 | 244 | 0.08 | <0.003 | ND | ND | ND |
| A7* | 101 | <0.02 | 0.009 | ND | ND | ND | ND | ND | ND |
| Uninjected controls | |||||||||
| C1 | — | 0.07 | <0.003 | ND | ND | ND | ND | ND | ND |
| C2 | — | 0.07 | <0.003 | ND | ND | ND | ND | ND | ND |
| C3 | — | 0.08 | <0.003 | ND | ND | ND | ND | ND | ND |
| C4 | — | <0.02 | <0.003 | ND | ND | ND | ND | ND | ND |
| C5 | — | <0.02 | <0.003 | ND | ND | ND | ND | ND | ND |
Mouse . | Days after injection . | hFIX:C, U/mL . | hFIX:Ag, U/mL . | Days after injection . | hFIX:C, U/mL . | hFIX:Ag, U/mL . | Days after injection . | hFIX:C, U/mL . | hFIX:Ag, U/mL . |
|---|---|---|---|---|---|---|---|---|---|
| Lentivirus | |||||||||
| M1 | 45 | 0.49 | 0.12 | 188 | 1.40 | 0.24 | 297 | 1.25 | 0.18 |
| M2 | 45 | 0.68 | 0.096 | 188 | 0.59 | 0.14 | 297 | 0.80 | 0.16 |
| M3 | 52 | 0.33 | 0.071 | 195 | 0.38 | 0.088 | 304 | 0.50 | 0.11 |
| Adenovirus | |||||||||
| A1 | 45 | 0.14 | 0.039 | 188 | 0.07 | <0.003 | ND | ND | ND |
| A2 | 45 | 0.21 | 0.042 | 188 | 0.08 | <0.003 | ND | ND | ND |
| A3 | 45 | 0.15 | 0.029 | 188 | 0.06 | <0.003 | ND | ND | ND |
| A4 | 101 | <0.02 | 0.016 | 244 | 0.07 | 0.004 | ND | ND | ND |
| A5 | 101 | <0.02 | 0.016 | 244 | 0.06 | <0.003 | ND | ND | ND |
| A6 | 101 | <0.02 | .009 | 244 | 0.08 | <0.003 | ND | ND | ND |
| A7* | 101 | <0.02 | 0.009 | ND | ND | ND | ND | ND | ND |
| Uninjected controls | |||||||||
| C1 | — | 0.07 | <0.003 | ND | ND | ND | ND | ND | ND |
| C2 | — | 0.07 | <0.003 | ND | ND | ND | ND | ND | ND |
| C3 | — | 0.08 | <0.003 | ND | ND | ND | ND | ND | ND |
| C4 | — | <0.02 | <0.003 | ND | ND | ND | ND | ND | ND |
| C5 | — | <0.02 | <0.003 | ND | ND | ND | ND | ND | ND |
Hemophilic fetal mice were injected intravascularly at 15 days of gestation with hFIX-lentivirus or hFIX-adenovirus. At up to 3 time points (shown as open symbols in Figure 1A-B), blood was collected for in vitro FIX:C (coagulation) assay. These values were tabulated alongside the values of hFIX antigen (hFIX:Ag) determined by ELISA (open symbols in Figure 1A-B). Lentivirus-treated mice had high hFIX:C values at all 3 time points, whereas adenovirus-treated mice had only low and transient hFIX:C values. hFIX:C values in untreated hemophilic mice were very low or below the limit of detection.
ND indicates not done.
Mouse A7 died after the first bleed.
Whereas 16 of 19 untreated hemophilia B mice required wound cautery after tail-vein puncture to achieve hemostasis, none of the lentivirus-treated mice ever required cautery (P < .01, Fisher exact test).
Discrepancy between hFIX:Ag and hFIX:C assays
All human and mouse plasma dilutions were made in TBS-A (50 mM Tris-HCl/150 mM NaCl/1 mg/mL human albumin, pH 7.4) using 20% human clinical grade albumin (Bio Products, Elstree, United Kingdom). hFIX:C activity in murine plasma samples was determined from a dose-response curve obtained with human reference plasma; for direct comparability in each case, all mouse plasma samples were tested at 100-fold dilution. All murine hemophilia B plasma samples tested shortened the buffer-blank clotting times in this assay, giving apparent background hFIX:C levels of 0.07 to 0.13 U/mL when tested at 100-fold dilution; this apparent hFIX:C level was therefore regarded as the baseline when assessing treated animals. When mouse plasma samples were tested at lower dilution (eg, 10-fold diluted), even higher hFIX:C values were obtained on interpolation from the reference curve. This suggests that all mouse plasma samples contained a background level of non-FIX factors capable of accelerating coagulation in the assay, and thus that the values reported may be overestimates of true FIX:C activity.
For comparability, all murine plasma samples were assayed at 50-fold dilution. When mouse plasma samples were tested at lower dilution, lower hFIX:Ag values were obtained on interpolation from the reference curve, suggesting the presence of elements in mouse plasma capable of inhibiting the formation of antibody-antigen capture complexes in the first stage of the assay; the values reported here may therefore be underestimates of the true FIX:Ag values.
Tissue distribution of hFIX lentivirus vector expression
Yolk-sac injection delivers vector directly to the liver as well as into the general circulation of the fetus. To detect the site of expression, liver biopsies were taken 186 days after in utero injection of MF1 mice with hFIX lentivirus and subjected to hFIX:Ag immunohistochemistry. Strong discrete cytoplasmic staining in hFIX lentivirus-treated mice was observed (Figure 2, left), whereas sparse background staining in control mice was generally restricted to sinusoidal lumina (Figure 2, right). The percentage of FIX+ hepatocytes was 5.1, 3.6, 2.5, 3.7, 2.6, and 2.0 for T1-T6, respectively, and 0.1, 0.0, 0.0, and 0.0 for C1-C4, respectively. There was a significant correlation with the respective plasma hFIX:Ag concentrations (P < .05, R2 = 0.49). Because hFIX is a secreted protein that, in treated mice, may be detected in the interstitial space or taken up by uninfected cells and could, therefore, result in overestimation of the number of cells expressing hFIX, the strength of staining was also graded by blind semiquantitative analysis. This showed a closer correlation with ELISA measurements of plasma hFIX:Ag concentrations (P < .005, R2 = 0.68; regression analysis on ranked data).
Immunohistochemical detection of hFIX:Ag in the liver. Immunohistochemistry was performed using rabbit anti-hFIX antibody to detect hFIX:Ag in liver biopsies taken 186 days after fetal intravascular hFIX lentivirus injection into normal MF1 mice. Strong, cytoplasmic staining was seen (left) in contrast to occasional staining in vessel lumina of liver tissue from uninjected MF1 mice (right). Scale bar is 20 μm.
Immunohistochemical detection of hFIX:Ag in the liver. Immunohistochemistry was performed using rabbit anti-hFIX antibody to detect hFIX:Ag in liver biopsies taken 186 days after fetal intravascular hFIX lentivirus injection into normal MF1 mice. Strong, cytoplasmic staining was seen (left) in contrast to occasional staining in vessel lumina of liver tissue from uninjected MF1 mice (right). Scale bar is 20 μm.
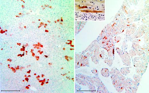
To assess more accurately the sites of gene expression, 20 μL of the same lentiviral vector system encoding the nonsecreted eGFP marker gene was injected into the yolk-sac vessel of an MF1 mouse at 16 days of gestation. Various organs (liver, kidney, spleen, heart, lungs, pancreas, spleen, and gastrointestinal tract) of this animal were analyzed by anti-eGFP immunohistochemistry 30 days after injection (Figure 3). Strongest staining was detected in the liver, particularly in hepatocytes, although other cells, possibly Kupffer cells, were also positive. There was also some staining in cardiac myocytes (Figure 3, inset) with some staining in the heart and occasionally the kidney (data not shown).
Immunohistochemical detection of eGFP. Rabbit anti-eGFP antibody was used to detect eGFP 30 days after intravascular injection of eGFP lentivirus into a normal MF1 mouse fetus at 16 days of gestation. Strong staining was observed mainly in hepatocytes (left) and cardiac tissue (right). Scale bar is 200 μm. A high magnification of staining in cardiac myocytes is shown in the inset.
Immunohistochemical detection of eGFP. Rabbit anti-eGFP antibody was used to detect eGFP 30 days after intravascular injection of eGFP lentivirus into a normal MF1 mouse fetus at 16 days of gestation. Strong staining was observed mainly in hepatocytes (left) and cardiac tissue (right). Scale bar is 200 μm. A high magnification of staining in cardiac myocytes is shown in the inset.
Quantification of integrated viral genomes in liver
Quantitative PCR by TaqMan was used to measure the number of copies of WPRE sequence per liver sample. The number of copies of WPRE sequences per 100 cells was 2.02 and 0.6 for hemophilic mice M1 and M3 (referred to in Figure 1B), respectively (no detectable copies in a control liver). It should be noted that the relative amounts of target sequence detected in different samples within the same assay can be measured accurately; however, the absolute numbers (ie, `copies per cell') are based on values calculated from a plasmid dilution series.
Lack of immune reactions and liver toxicity in mice treated with hFIX lentivirus
All blood samples collected from adenovirus- and lentivirus-treated mice were also analyzed for anti-hFIX antibodies. Following lentivirus injection, no MF1 or hemophilia B mice developed anti-hFIX antibodies and only 1 of the 7 hemophilic mice receiving hFIX adenovirus developed a low titer of antibodies (220 ng/mL).
As a stronger test of immune tolerance, the lentivirus-treated hemophilic mice were injected subcutaneously with 2 μg hFIX in Freund complete adjuvant, then again 2 weeks later with 2 μg hFIX in Freund incomplete adjuvant. Nine days following the second injection no anti-hFIX antibodies were detected by either antibody ELISA or Bethesda assay (data not shown). In contrast, each of 8 naive hemophilic mice treated with an identical regime of hFIX in combination with adjuvant generated high anti-hFIX antibody concentrations (7300-67 000 ng/mL).
Frozen sections from liver biopsies of MF1 mice were also investigated for cellular immune responses to the in utero treatment with hFIX lentivirus (Table 2). There was no difference in numbers of neutrophils, CD4+ cells, or CD8+ cells between treated and nontreated control mice using immunohistochemistry by cell-specific markers. However, there was a significant reduction in CD68+ cells both in mice treated with hFIX lentivirus (median value, 1; n = 6) and hFIX adenovirus-treated mice (median value, 0.75; n = 4) compared with untreated mice (median value, 3; n = 5; P < .05; Kruskal-Wallis test then Mann-Whitney test with Bonferroni correction). This may indicate a reduced number of Kupffer cells, which constitute part of the reticuloendothelial system in the liver, although the reason for this difference is unclear.
Semiquantitative analysis of immune cells in the liver
. | No. subjects . | CD68+ . | Neutrophils . | CD4+ . | CD8+ . |
|---|---|---|---|---|---|
| hFIX lentivirus | 6 | 1 | 1 | 0.5 | 0.5 |
| Untreated | 5 | 3 | 1 | 0.5 | 0.5 |
| hFIX adenovirus | 2 | 0.75 | 1.5 | 2 | 1.5 |
. | No. subjects . | CD68+ . | Neutrophils . | CD4+ . | CD8+ . |
|---|---|---|---|---|---|
| hFIX lentivirus | 6 | 1 | 1 | 0.5 | 0.5 |
| Untreated | 5 | 3 | 1 | 0.5 | 0.5 |
| hFIX adenovirus | 2 | 0.75 | 1.5 | 2 | 1.5 |
Liver biopsies were taken from normal MF1 mice 186 days after fetal intravascular hFIX-lentivirus injection (denoted by the open squares in Figure 1C), from untreated age-matched controls, or from normal adult mice 24 hours after adult intravenous hFIX-adenovirus injection.
In addition, treated and untreated MF1 mice were analyzed for changes in biochemical parameters routinely associated with liver damage (Table 3). Serum was taken 204 to 331 days after injection (indicated by the open squares in Figure 1C) to assess toxicity of prolonged transgene expression. Assessment of short-term vector-related toxicity would have necessitated much earlier serum collection. There was no significant difference in serum albumin, alanine aminotransferase (ALT), aspartate aminotransferase (AST), γ-glutamyltranspeptidase (GGT), alkaline phosphatase (ALP), or bile acids. In blood collected 24 hours after adult injection with hFIX adenovirus, there was a large increase in ALP and a mild increase in AST above the respective means of negative control mice.
Quantification of plasma enzymes to assess hepatotoxicity
. | No. subjects . | Albumin, g/L . | ALT, U/L . | AST, U/L . | GGT, U/L . | ALP, U/L . | Bile acids, μM . |
|---|---|---|---|---|---|---|---|
| hFIX lentivirus | 6 | 32.6 ± 0.6 | 95.5 ± 15.9 | 125.8 ± 9.1 | 7.2 ± 0.7 | 129.8 ± 8.4 | 47.0 ± 5.2 |
| Untreated | 5 | 32.6 ± 0.8 | 84.4 ± 23.5 | 109.8 ± 24.6 | 7.8 ± 1.2 | 146.6 ± 6.0 | 42.3 ± 5.1 |
| hFIX adenovirus | 2 | 33.8, 34 | 111, 113 | 148, 188 | 8, 9 | 306, 259 | 53.5, 48 |
. | No. subjects . | Albumin, g/L . | ALT, U/L . | AST, U/L . | GGT, U/L . | ALP, U/L . | Bile acids, μM . |
|---|---|---|---|---|---|---|---|
| hFIX lentivirus | 6 | 32.6 ± 0.6 | 95.5 ± 15.9 | 125.8 ± 9.1 | 7.2 ± 0.7 | 129.8 ± 8.4 | 47.0 ± 5.2 |
| Untreated | 5 | 32.6 ± 0.8 | 84.4 ± 23.5 | 109.8 ± 24.6 | 7.8 ± 1.2 | 146.6 ± 6.0 | 42.3 ± 5.1 |
| hFIX adenovirus | 2 | 33.8, 34 | 111, 113 | 148, 188 | 8, 9 | 306, 259 | 53.5, 48 |
Serum was taken 204 to 331 days after fetal intravascular injection of hFIX lentivirus into MF1 mice (indicated by the open squares in Figure 1C). Untreated mice were used as negative controls, and blood collected 24 hours after adult injection of hFIX-adenovirus was used as a positive control. Lentivirus-treated mice showed no evidence of liver toxicity, unlike the adenovirus-treated mice. Values are mean ± SEM, except in the third row, where data are raw values from 2 mice.
Three of the lentivirus-injected MF1 mice were required to be humanely killed during the course of the study, the first at 131 days of age due to an infected mammary gland, and a second at 435 days due to an eye infection. The third was killed at 421 days after developing intraperitoneal hematoma and ascites, the pathology of which is still under investigation; this mouse did not have an unusually high hFIX:Ag concentration (0.1 U/mL) at death. These deaths illustrate the limit of long-term safety studies using mice due to their short life span. One of the hemophiliac animals died on day 321 after injection from an incident related to neither disease nor treatment.
Lack of germline and maternal gene transmission
To investigate the possibility of gene transfer to the germline, ejaculates were collected from 4 MF1 or hemophilia B mice by mating prenatally injected males with untreated females. The females were killed and the cellular contents of the uterus decanted and confirmed to contain sperm by light microscopy. Because spermatozoa must swim to enter the uterus, the uterine contents should not contain male cells other than sperm. By quantitative PCR using TaqMan we detected no HIV-packaging signal in any of the samples. Approximately 101 400 cell equivalents (based on the amount of DNA assessed) were screened per animal.
To assess whether vector injected into fetal mice could enter the maternal circulation, an MF1 dam in which 3 fetuses had been injected was humanely killed after parturition, 4 days after prenatal injections; one of the neonates was killed 3 weeks later. By PCR, we detected hFIX DNA in the liver, heart, kidney, and lung, but not the testes, of this neonate; hFIX DNA was detected only in the uterus of the mother.
Assessment of cell proliferation
5-Bromo-2′-deoxyuridine (BrDU) was injected into the peritoneal cavity of the fetal mouse at 16 days of gestation and (50 mg/kg) 24 hours before being killed. Tissues were fixed in formalin before routine histologic processing into paraffin wax. Sections were stained using a mouse anti-BrDU monoclonal antibody (Dako, Glostrup, Denmark) followed by a biotinylated rabbit anti-mouse secondary antibody and the use of standard avidin-biotin peroxidase and diaminobenzidine treatment for visualisation.25 Fifty percent of liver cells were immunopositive (Figure 4).
Assessment of cellular proliferation by BrDU immunohistochemistry. Immunohistochemistry was performed using mouse monoclonal anti-BrDU antibody to detect the presence of nuclear BrDU 24 hours after fetal intraperitoneal injection of BrDU (50 mg/kg) at 16 days of gestation. More than 50% of cells were immunopositive. Scale bar is 200 μm.
Assessment of cellular proliferation by BrDU immunohistochemistry. Immunohistochemistry was performed using mouse monoclonal anti-BrDU antibody to detect the presence of nuclear BrDU 24 hours after fetal intraperitoneal injection of BrDU (50 mg/kg) at 16 days of gestation. More than 50% of cells were immunopositive. Scale bar is 200 μm.
Discussion
This study demonstrates permanent phenotypic correction of a severe genetic disease by prenatal gene therapy using a lentiviral vector. High levels of hFIX resulted in correction of the severe blood clotting deficiency in FIX knockout (hemophilia B) mice for up to at least 14 months. This has been shown by substantial hFIX protein in the plasma, greatly improved coagulability, and prevention of fatal hemorrhage after venipuncture in all 3 hemophiliac mice. Importantly, immune reactions, transmission to the maternal circulation or the germline, or any other toxic consequences of hFIX secretion were not detected. By PCR, we detected hFIX DNA sequence in the maternal uterus, probably through leakage from the yolk sac-vessel injection site; however, absence of hFIX DNA from other maternal tissues suggests negligible vector passage from fetal to maternal circulation. Presence of HIV packaging signal in the uterine contents was compared with total gDNA; therefore, only a proportion of this would be due to spermatozoa haploid genomes. Therefore, the sensitivity of germline transmission is overestimated by this analysis. Nevertheless, by observation under light microscopy, the majority of cells appeared to be spermatozoa. A more accurate analysis should use Y chromosome-specific probes for quantitation of spermatozoa genomes. By standard PCR, integrated hFIX DNA was not detected in the testicular tissue of one mouse analyzed, although we have previously detected vector integration in testicular tissue after in utero injection of VSV-G-pseudotyped equine infectious anemia-based lentivirus.16
Although lentiviral vectors are not dependent on cell cycling for transduction, they have been shown to provide only low levels of expression of FIX in the liver of normal adult mice, which is, however, greatly improved when cell proliferation is induced.17,26 These vectors should therefore be particularly well suited for transduction of the highly proliferative tissues of the mouse fetus at 16 days' gestation, as we have found by BrDU staining that 50% of liver cells were in a proliferative state (Figure 4) in contrast to less than 0.1% of cells in normal adult liver.25 We also saw very high levels of proliferation in all other fetal tissues, including lung, gut, heart, and brain. The relative success of lentiviral vector application at 3.5 versus 7 weeks of age has been noted by others using marker genes.27 One likely factor is the high ratio of viral particles to cells in the developing fetus compared with the mature organism. Five adult mice receiving the same absolute dose of hFIX lentivirus as we had used for in utero injections failed to express detectable hFIX:Ag; however, one of these mice developed low anti-hFIX antibodies at 1 week (data not shown). Therefore, an immune response against transgene may develop after low-level gene expression, as has been demonstrated by others.28
Interestingly, however, the pattern of hFIX and eGFP expression in this study shows a clear predominance in the liver, possibly because it is the first organ to be accessed by application via yolk sac-vessel injection. This route of delivery corresponds to application via the umbilical vein in larger animals and humans, which is an established technique in fetal medicine; preferential liver expression was also seen in mice15 and sheep12 when adenovirus was applied. That, in one sample, a few hFIX-positive cells were found in the biopsy of a control mouse is a little concerning; however, there are anecdotal reports of nonspecific staining, which we believe is technical in nature. Although vector sequence was detected by PCR in liver, heart, kidney, and lung, hFIX protein was not found in the lung by immunohistochemistry. This may be due to the greater sensitivity of PCR but could be due to lack of hFIX expression under the SFFV promoter in lung tissue.
The high concentrations of plasma hFIX:Ag were sustained for the full length of the experiment (up to 12 months and 16 months so far, in hemophilia B and normal mice, respectively). In contrast, loss of detectable hFIX and high levels of anti-hFIX antibodies have been observed by several investigators after lentivirus or oncoretrovirus vector administration to adult immunocompetent C57/BL6 mice.18,29 Only one group observed sustained hFIX expression up to 16 weeks after lentiviral vector administration to adult mice of the same strain.17 Lentiviral delivery of human factor VIII has resulted in expression of the clotting factor in hemophilia A knockout C57/BL6 mice for up to 3 months; production of neutralizing antibody was believed to be the cause of attenuated expression.30 Neonatal administration of oncoretrovirus carrying human factor VIII cDNA failed to avoid immune elimination in 6 of 13 treated mice31 possibly because these mice did not have sufficiently high levels of expression, which are thought to predispose the individual to a state of immune tolerance.28
In the current study, hFIX:Ag plasma levels above 5% of normal human plasma levels were achieved in 4 MF1 mice and between 2% and 5% in the remaining 2 mice following treatment of hFIX lentivirus, in contrast to the lower and rapidly declining values after hFIX adenovirus administration. Furthermore, hFIX lentivirus treatment of hemophilia B mice resulted in sufficient hFIX:C (0.50-1.25 U/mL) to approach or enter the normal range (0.72-1.30 U/mL).24,32 Levels of hFIX:Ag varied in MF1 mice over a 20-fold range but to a lesser degree in the hemophilia B mice. This may be due to increased variability in virus transduction and gene expression in the former compared with the latter strain. Alternatively, it may be due to improving technique because the mice with the lowest hFIX:Ag were also the first to be injected.
Conceptually similar studies investigating retroviral hFIX gene therapy on hemophilic mice and dogs were recently published.28,29 These investigations also showed increased transduction efficiency and lack or reduced likelihood of anti-hFIX antibody formation in dogs and mice, respectively, after neonatal as opposed to adult application. Further studies will be required to decide which, if any, of these gene therapy strategies in early life is most effective for application in humans.
These data constitute a very useful step toward application of fetal gene therapy for prevention of hemophilia; however, our choice of hemophilia B for this study was based on its ease of use as a model system. This technique may be more appropriate for serious diseases manifest in the newborn and for which there is no treatment available, such as ornithine transcarbamylase deficiency or lysosomal storage diseases such as mucopolysaccharidosis type VII (Sly syndrome).
Variation of viral envelope and expression control sequences should enable further improvements of efficiency. We are aware that gene therapy in utero will not replace postnatal gene therapy and that great care will have to be taken to ensure its safety, with particular attention to the possibility of developmental aberrations, oncogenesis, and germline spread.33,34
Prepublished online as Blood First Edition Paper, July 1, 2004; DOI 10.1182/blood-2004-02-0627.
Supported by a Medical Research Council Program Grant. S.N.W. is salary funded by the Katharine Dormandy Trust.
An Inside Blood analysis of this article appears in the front of this issue.
The publication costs of this article were defrayed in part by page charge payment. Therefore, and solely to indicate this fact, this article is hereby marked “advertisement” in accordance with 18 U.S.C. section 1734.
We wish to thank Inder Verma (Salk Institute, San Diego, CA) for provision of the hemophiliac mouse strain, Holm Schneider for valuable intellectual input, and Kathy Tennent for liver enzyme analysis.




This feature is available to Subscribers Only
Sign In or Create an Account Close Modal