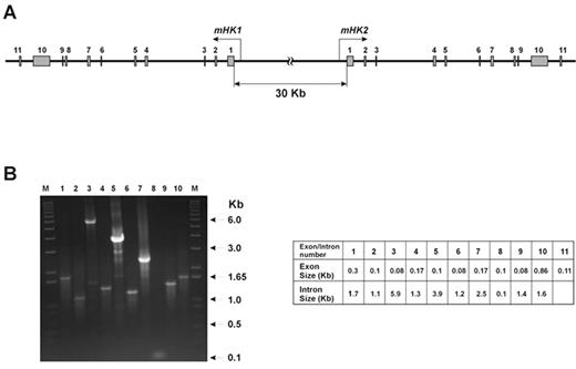
High molecular weight kininogen (HK) plays an important role in the assembly and activation of the kallikrein/kinin system. While the human genome contains only a single copy of the kininogen gene, three copies are present in the rat (one K-kininogen and two T-kininogen). Here, we report that the mouse genome contains two homologous kininogen genes (overall homology 91%), denoted mHK1 and mHK2. Both genes are located on chromosome 16 in a head-to-head orientation, and contain open reading frames. The size of intronic sequences between the 11 kininogen gene exons is similar (Figure). HK mRNA transcripts derived from the mHK1 and mHK2 genes differ slightly in size due to gaps of 33 and 18 nucleotides in exon 10 of mHK2. RT-PCR analysis of HK gene expression in adult and embryonic murine tissues revealed that HK mRNA was derived from mHK1 in liver, adrenal and embryo, but from mHK2 in kidney and lung. HK mRNA derived from both genes was present in testis, brain and muscle, though expression levels were low relative to those in other tissues. HK mRNA was not detected in ovary, bone marrow, heart or bladder. mHK1-derived HK mRNA was alternatively spliced, as demonstrated by the presence of an HK mRNA transcript encoding a novel HK1 isoform, ΔmD5, that lacked the portion of exon 10 encoding Thr400 - Asp582 of HK domains 5 and 6. Examination of the putative promoter regions of the two genes using the MatInspector Professional program (Genomatix) demonstrated distinct differences, perhaps explaining in part their tissue-specific expression patterns. Like domain 5 of human HK (hD5), domain 5 of murine HK (mD5), in which the histidine and lysine-rich C-terminal region of this domain previously shown to mediate the antiangiogenic activity of domain 5 is highly conserved, inhibited endothelial cell proliferation. While the function of each of the kininogen genes in the intact animal has yet to be defined, characterization of the two genes may provide new information concerning the role of high molecular weight kininogen in development, normal physiology, and pathological processes.

Author notes

Corresponding author

Sign in via your Institution