PLENARY PAPER
Over 25 years ago, Schofield1 hypothesized the existence of a niche, or dedicated space, within bone marrow where hematopoietic stem cells (HSCs) could establish residence and proliferate. The concept of a stem cell niche is now recognized as a central component of stem cell physiology. Niches for intestinal epithelium and certain skin stem cells have been exposed, but pinpointing and characterizing the HSC niche has proven to be a difficult task. However, mounting evidence suggests that HSC survival and differentiation hinge upon intimate contact with bone surrounding the marrow space. During fetal development, chondrogenesis and endochondral bone formation precede the local onset of hematopoiesis, and after sublethal irradiation, hematopoietic precursors are first observed along the endosteal surfaces of bone.
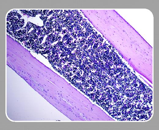
In this issue of Blood, Visnjic and colleagues (page 3258) present data suggesting a role for osteoblasts in HSC regulation. This group employed a genetic strategy to selectively, and reversibly, eliminate osteoblasts from bone. They then examined what impact osteoblast depletion would have on hematopoiesis. Essentially, they found that osteoblast ablation was accompanied by a dramatic loss of bone marrow cellularity and a reduced number of early hematopoietic progenitors. Upon reversal of the genetic block in osteoblast lineage, osteoblasts reappeared with pockets of hematopoiesis in direct proximity to the sites of new bone formation.
The work of Visnjic and colleagues nicely complements recent reports from 2 other labs2,3 demonstrating that genetic manipulations to increase the number of osteoblasts trigger parallel increases in the HSC population. Taken together, there is now strong evidence that neighboring osteoblasts play a crucial role in the HSC niche and thus contribute to the formation and maintenance of all blood cell types. However, much remains to be learned about the cellular and molecular makeup of the HSC niche. As Dr Visnjic and colleagues suggest, in vivo osteoblast ablation should be a useful tool in dissecting the complex systems at play in the bone microenvironment that regulate HSC behavior. Once better understood, the reciprocal relationship between these 2 neighboring cell types—HSCs and osteoblasts—may lead to the design of more effective methods to restore the synthetic ability of marrow after cytotoxic drug treatment or in the setting of genetic deficiencies.

This feature is available to Subscribers Only
Sign In or Create an Account Close Modal