Abstract
The t(10;11)(p13-14;q14-21) associated with CALM-AF10 is considered to be rare and associated with a variety of acute lymphoid and myeloid leukemias. Twelve (9%) of 131 unselected T-cell acute lymphoid leukemias (T-ALLs) expressed CALM-AF10 by reverse transcription–polymerase chain reaction or fluorescence in situ hybridization (or both), including 8% of children and 10% of adults, of whom only half demonstrated a t(10;11) by classical cytogenetics. CALM-AF10 was not found in T-cell–receptor αβ (TCRαβ) lineage T-ALLs, as defined by expression of TCRαβ, cytoplasmic TCRβ, or TCRβVDJ rearrangement in immature cytoplasmic TCRβ- cases, compared with 19% of TCRγδ T-ALLs and 33% of immature δ/γ T-ALLs. The latter differed from their CALM-AF10- immature counterparts by a CD5+/CD2-phenotype, as found in TCRγδ but not TCRαβ T-ALLs and in their TCRγ and TCRδ configurations, altogether suggesting that CALM-AF10+ immature δ/γT-ALLs are TCRγδ precursors and that, within T-ALL, CALM-AF10 is specific for this lineage. Nine of 12 immature CALM-AF10 T-ALLs demonstrated 3′ fusion transcripts, whereas 6 of 7 TCRγδ T-ALLs demonstrated 5′ fusion transcripts. The latter retain the AF10 extended LAP/PHD domain necessary for homo-oligomerization. All 8 patients with CALM-AF10+TCRγδ T-ALLs are alive, compared with only 3 of 12 with immature CALM-AF10+ T-ALLs. Six CALM-AF10+ non-T acute leukemias all expressed CD7 and demonstrated T-restricted TCRδ rearrangements, suggesting that they may also be related to the TCRγδ lineage. CALM-AF10 is therefore the most common fusion protein in T-ALL. It requires molecular and immunophenotypic characterization for appropriate prognostic evaluation and should be included in diagnostic screening panels of T-ALL and immature acute leukemias. Analysis of immature CALM-AF10+ leukemias will also facilitate analysis of the early stages of development of the TCRγδ lineage.
Introduction
T-lineage acute lymphoid leukemias (ALLs) are characterized by a relatively high proportion of cases with a normal (30%) or failed (20%) karyotype. The most commonly recognized abnormality corresponds to those involving the T-cell–receptor α/δ (TCRα/δ) locus on chromosome (chr.) 14q11.1 Oncogenic fusion proteins are described in fewer than 10% of cases, with the most common corresponding to mixed-lineage leukemia (MLL)/chr.11q23 fusions.2 These must be distinguished from other chr.11q abnormalities such as the t(10;11)(p13-14;q14-21), which leads to expression of the CALM-AF10 fusion transcript (FT).3 Distinction of this abnormality from t(10;11)(p13-14;q23) involving MLL-AF10 can be difficult and fluorescence in situ hybridization (FISH) or reverse transcription–polymerase chain reaction (RT-PCR) analysis is often required.
The t(10;11)(p13-14;q14-21) corresponds to a rare translocation initially described in immature T-ALL by the Groupe Français de Cytogénétique Hématologique (GFCH).4-6 It has also been described in lymphomas and acute leukemias (ALs) of several lineages, including myeloid, megakaryocytic, eosinophil, and undifferentiated leukemias (AULs), and as such has been considered to be nonlineage specific.3,7-12 Several different CALM-AF10 FTs have been described, without any evident correlation with leukemia subtype.9,10,13 The incidence of CALM-AF10 in T-ALL is unknown.
T-ALLs correspond to a heterogeneous group of ALs arrested at various stages of thymic development.14,15 We have recently used immunophenotypic, genotypic characterization of TCR status and RAG-1/pTα real-time quantitative-PCR (RQ-PCR) to demonstrate that T-ALLs reproduce normal stages of thymic development.16 Among surface (s) TCR- T-ALLs, cytoplasmic (c) TCRβ expression identifies immature (IM) TCRαβ lineage-restricted cases (pre-αβ) and TCR rearrangement status allows separation of their immediate precursors (IMβ) from IMδ/γ, which are likely to include TCRγδ lineage precursors (Figure 1). Thymic precursors undergo TCR rearrangement in a reproducible order.17,18 The TCRδ locus is the first to rearrange, starting with Dδ2-Dδ3, followed by Dδ2-Jδ1 or Vδ2-Dδ3 and, subsequently, complete V(D)J rearrangement or deletion during TCRα rearrangement. Vδ2-Dδ3 and Dδ2-Dδ3 rearrangements can occur in the absence of T-lymphoid transcription factors, whereas Jδ1 rearrangements require T cell–specific factors.19 They are restricted to T-ALL, when they occur in both TCRαβ and TCRγδ lineages. Detection of TCRαβ lineage precursors is facilitated by cTCRβ, CD1a expression, and CD4/8 double positive (DP) on sCD3- cells, all of which identify cells undergoing β selection. In contrast, detection of normal TCRγδ precursors has proved difficult, due to the absence of specific cell surface markers.20 Identification of such markers would facilitate analysis of TCRγδ lineage development. In the present study, we demonstrate that CALM-AF10 occurs in approximately 10% of pediatric and adult T-ALLs and is restricted to T-ALLs expressing TCRγδ and to their precursors. Molecular detection of this FT will not only allow more appropriate management of this subcategory of T-ALL but will provide TCRγδ precursors for analysis of the development of the TCRγδ lineage.
Categories of T-ALL. T-ALLs were divided into 3 major immunophenotypic categories: (1) αβ lineage cases (n = 66), which include cases expressing TCRαβ (n = 24) and pre-αβ T-ALLs, which are TCR- but express cTCRβ+ (n = 42); (2) T-ALLs expressing TCRγδ (n = 32); and (3) immature (IM) T-ALLs, which are TCR- and cTCRβ - (n = 46). IM T-ALLs were classified on the basis of their TCRδ, TCRγ, and TCRβ gene configurations. IM0 cases demonstrate a germline configuration at all 3 loci and include the most immature, nonlineage-restricted cases. Progressive T-lymphoid restriction is associated with TCRδ rearrangement (IMδ), followed by TCRγ and incomplete TCRβ DJ in IMγ, and finally by complete TCRβ V(D)J rearrangement in IMβ, the immediate precursors of αβ lineage T-ALLs.16 The incidence of CALM-AF10 in 131 unselected T-ALLs in each subgroup is indicated. sTCR indicates surface TCR; cTCR, cytoplasmic TCR; GL, germline.
Categories of T-ALL. T-ALLs were divided into 3 major immunophenotypic categories: (1) αβ lineage cases (n = 66), which include cases expressing TCRαβ (n = 24) and pre-αβ T-ALLs, which are TCR- but express cTCRβ+ (n = 42); (2) T-ALLs expressing TCRγδ (n = 32); and (3) immature (IM) T-ALLs, which are TCR- and cTCRβ - (n = 46). IM T-ALLs were classified on the basis of their TCRδ, TCRγ, and TCRβ gene configurations. IM0 cases demonstrate a germline configuration at all 3 loci and include the most immature, nonlineage-restricted cases. Progressive T-lymphoid restriction is associated with TCRδ rearrangement (IMδ), followed by TCRγ and incomplete TCRβ DJ in IMγ, and finally by complete TCRβ V(D)J rearrangement in IMβ, the immediate precursors of αβ lineage T-ALLs.16 The incidence of CALM-AF10 in 131 unselected T-ALLs in each subgroup is indicated. sTCR indicates surface TCR; cTCR, cytoplasmic TCR; GL, germline.
Patients, materials, and methods
Patients and diagnostic analysis
Diagnostic peripheral blood or bone marrow samples from 144 T-ALLs, defined by expression of c/sCD3 and sCD7, were analyzed after the patients provided informed consent according to the Declaration of Helsinki. These included 131 unselected consecutive samples corresponding to all patients from a given center with available material and 13 selected cases with TCRγδ (n = 5), IM, or t(10;11) T-ALL (n = 8). Patients came from 17 clinical centers. The majority of samples had more than 80% blasts. The majority of adult samples (n = 89) were taken prospectively within the LALA94 multicenter trial (coordinator Denis Fière) and the majority of children (n = 55) within the FRALLE93 or FRALLE2000 trials (coordinator André Baruchel). Approval was obtained from the LALA and FRALLE review boards (CCPPRB) for these studies. T-ALLs were considered adult if the individual was older than 15 years. Details of patient classification, DNA and RNA extraction, immunophenotype, and TCR analysis are as described previously.16 Non-T ALs were all included following identification of a t(10;11) by classical karyotype analysis, in collaboration with the GFCH. They were treated on a variety of clinical protocols in 5 centers.
RT-PCR detection and characterization of CALM-AF10
For diagnostic screening of CALM-AF10, 0.2 μg cDNA equivalent, was amplified in 2 separate RT-PCR assays, using CALM S1770 (GCAATCTTGG CATCGGAAAT) and either AF10 AS559 (CGATCATGCG GAACAGACTG) or AF10 AS1002 primers (GCGCTTCAAT GATCCAGATAT AGAG; Figure 1). RT-PCRs were performed in 50 μL with MgCl2 2.5 mM; deoxyribonucleoside triphosphate (dNTP) 0.2 mM; dimethyl sulfoxide (DMSO) 25%; primers 0.4 μM each; Taq Gold (Applied Biosystems, Warrington, United Kingdom) 2 U; gold buffer II 1 time for 35 cycles at 94°C for 30 minutes, 60°C for 1 minute, and 72°C for 1 minute with an initial cycle of 94°C for 8 minutes and a final elongation of 10 minutes at 72°C. PCR products were separated on 2% agarose and visualized with ethidium bromide. Positive cases were further characterized by cDNA amplification and a nested RT-PCR: CALM S2007 (TCCTGTAATG ACGCAACCAA CC) and AF10 AS781 (CCCGTTTGCT CTTTTTCAGC TT) for 5′ FT or AF10 AS1002 for 3′ FT, and direct sequencing using BigDye terminator cycle kits (Applied Biosystems) on an ABI 3700.
Karyotype and FISH analysis
Conventional cytogenetic analysis was performed on 24-hour unstimulated bone marrow cultures with or without synchronization according to standard procedures. Karyotypes were described according to Mitelman.21 At least 20 mitoses were analyzed before considering a case normal. For FISH, 2 adjacent AF10 yeast artificial chromosomes (YACs), 807B3 and 815C7, from the Centre d'Etudes du Polymorphisme Humaine (CEPH) library were labeled with fluorescein isothiocyanate (FITC). For CALM, 2 tetramethyl rhodamine-labeled CEPH YACs, proximal 785C1 and distal 914D9, have been previously identified to detect CALM rearrangement as a split signal.3 Dual-color analysis was performed as previously described,22 and 100 metaphases or interphase nuclei were analyzed.
Results
CALM-AF10 is a common FT in T-ALL and is frequently undetected by classical cytogenetics
CALM-AF10 RT-PCR analysis of 131 consecutive adult and pediatric T-ALLs identified 12 positive cases (9%), including 4 (8%) of 49 children under 15 years of age, and 8 (10%) of 82 adults aged 15 years or older (Table 1). Seven (58%) of these were not detected by classical cytogenetics. In collaboration with the GFCH, a further 13 selected cases with TCRγδ or t(10;11) T-ALL were analyzed. Eight were CALM-AF10+, including 3 of 5 TCRγδ and 5 of 8 IM or t(10;11) T-ALLs. One case (UPN4562) with a normal karyotype, which could not be tested by RT-PCR but showed a CALM-AF10 fusion with duplication of the derivative 11 in interphase nuclei by FISH, was detected as a split CALM signal, which colocalized with AF10 (data not shown). Of the 20 CALM-AF10 T-ALLs, 12 (60%) demonstrated a t(10;11) by conventional analysis, 3 had a normal karyotype, 3 were classified as failures, and 2 demonstrated other abnormalities. FISH analysis confirmed the CALM-AF10 in all 10 cases tested. Optimal CALM-AF10 detection therefore requires molecular screening by RT-PCR or FISH.
Characteristics of CALM-AF10+ T-ALLs
UPN . | Sex/age, y . | AF10 nucleotide . | Phenotype . | WBC . | Med . | H/S . | Clinical course . | CALM-AF10 FISH . | Karyotype . |
|---|---|---|---|---|---|---|---|---|---|
| 3489 | M/33 | 424 | TCRγδ | 105 | Neg | Neg | CR, alive 46 mo | Positive | 46, XY, t(10;11)(p13;q14) [11] |
| 3749 | M/29 | 589 | TCRγδ | 42 | Neg | Pos | CR, alive 48 mo | Positive | 46, XY, t(10;11)(p14;q21), t(7;14)(p15;q11), add(18)(q23) [11] |
| 2577 | M/20 | 883/979 | TCRγδ | 30 | Neg | Neg | CR, alive 64 mo | ND | Failed |
| 4105 | M/15 | 589 | TCRγδ | 46 | Neg | Pos | CR, alive 8 mo | ND | 46, XY, del(3)(q12q26), add(4)(q28), add(5)(q23), del(6)(q15qter), der(9)t(9;?)(p21;?), t(10;11)(p13;q14), -13, +mar [7] |
| 4092 | F/11 | 589 | TCRγδ | 39 | Pos | Pos | CR, alive 18 mo | Positive | 46, XX, t(10;11)(p13-14)(q14-21) [13] |
| 4562 | M/7 | ND | TCRγδ | 77 | Pos | Pos | CR, alive 42 mo | Positive | Normal [20] |
| 2726 | M/6 | 589 | TCRγδ | 60 | Neg | Neg | CR, alive 26 mo | ND | Failed |
| 94 | M/3 | 424 | TCRγδ | 350 | Pos | Pos | CR, alive 115 mo | Positive | Failed |
| 4158 | M/43 | 589 | IMγ | 4.5 | Neg | Neg | NR, D (37 mo) | ND | 45, X, -Y, del(1)(q41), del(11)(q21), add(14)(q32), der(17)i(17)(q?10) [12] |
| 3472 | M/37 | 883/979 | IMγ | 3.3 | Neg | Neg | CR, Rel, D (27 mo) | ND | 46, XY, add(9)(p13), t(10;11)(p14;q14) [11] |
| 3188 | M/28 | 883/979 | IMγ | 33 | Neg | Neg | CR-BMT, alive 24 mo | Positive | 46, XY, del(8)(q?22), t(10;11)(p13;q14) [4] |
| 634 | M/26 | 424 | IMγ | 11 | Pos | Neg | CR, Rel, D (30 mo) | ND | Normal [21] |
| 1439 | M/25 | 883/979 | IMγ | 22 | Neg | Pos | CR, Rel, D (18 mo) | Positive | 46, XY, ins(10;11)(p14;q14q25) [15] |
| 4336 | F/25 | 883/979 | IMδ | 220 | Neg | Pos | CR-BMT, Rel, D (11 mo) | Positive | 46, XX, t(10;11)(p12-13;q13-14) [18] |
| 1666 | M/24 | 883/979 | IMγ | 10 | Pos | ND | CR, Rel, BMT, Rel, D (30 mo) | Positive | 46, XY, -6, t(10;11)(p14;q14-21), -20, +2 mars [38] |
| 1488 | M/23 | 424 | IMγ | 9.4 | Pos | Pos | NR, D (3 mo) | ND | 45, XY, -7 [19] |
| 4396 | F/20 | 883/979 | IMγ | 49 | Neg | Neg | CR-BMT, Rel, D (18 mo) | Positive | 46, XX, t(10;11)(p12-13;q13-14) [10] |
| 1978 | M/14 | 883/979 | IMδ | ND | Neg | Neg | CR-BMT, alive 84 mo | ND | 92, XXYY, t(10;11)(p14;q14), i(?17q) [13] |
| 738 | F/12 | 883/979 | IMδ | 124 | Pos | Neg | CR, Rel, in therapy | ND | 47, XX, +8, t(10;11)(p12-14;q14-21) [8] |
| 269 | F/12 | 883/979 | IMγ | 556 | Pos | Pos | CR, Rel, CR, Rel, D (30 mo) | ND | Normal [20] |
UPN . | Sex/age, y . | AF10 nucleotide . | Phenotype . | WBC . | Med . | H/S . | Clinical course . | CALM-AF10 FISH . | Karyotype . |
|---|---|---|---|---|---|---|---|---|---|
| 3489 | M/33 | 424 | TCRγδ | 105 | Neg | Neg | CR, alive 46 mo | Positive | 46, XY, t(10;11)(p13;q14) [11] |
| 3749 | M/29 | 589 | TCRγδ | 42 | Neg | Pos | CR, alive 48 mo | Positive | 46, XY, t(10;11)(p14;q21), t(7;14)(p15;q11), add(18)(q23) [11] |
| 2577 | M/20 | 883/979 | TCRγδ | 30 | Neg | Neg | CR, alive 64 mo | ND | Failed |
| 4105 | M/15 | 589 | TCRγδ | 46 | Neg | Pos | CR, alive 8 mo | ND | 46, XY, del(3)(q12q26), add(4)(q28), add(5)(q23), del(6)(q15qter), der(9)t(9;?)(p21;?), t(10;11)(p13;q14), -13, +mar [7] |
| 4092 | F/11 | 589 | TCRγδ | 39 | Pos | Pos | CR, alive 18 mo | Positive | 46, XX, t(10;11)(p13-14)(q14-21) [13] |
| 4562 | M/7 | ND | TCRγδ | 77 | Pos | Pos | CR, alive 42 mo | Positive | Normal [20] |
| 2726 | M/6 | 589 | TCRγδ | 60 | Neg | Neg | CR, alive 26 mo | ND | Failed |
| 94 | M/3 | 424 | TCRγδ | 350 | Pos | Pos | CR, alive 115 mo | Positive | Failed |
| 4158 | M/43 | 589 | IMγ | 4.5 | Neg | Neg | NR, D (37 mo) | ND | 45, X, -Y, del(1)(q41), del(11)(q21), add(14)(q32), der(17)i(17)(q?10) [12] |
| 3472 | M/37 | 883/979 | IMγ | 3.3 | Neg | Neg | CR, Rel, D (27 mo) | ND | 46, XY, add(9)(p13), t(10;11)(p14;q14) [11] |
| 3188 | M/28 | 883/979 | IMγ | 33 | Neg | Neg | CR-BMT, alive 24 mo | Positive | 46, XY, del(8)(q?22), t(10;11)(p13;q14) [4] |
| 634 | M/26 | 424 | IMγ | 11 | Pos | Neg | CR, Rel, D (30 mo) | ND | Normal [21] |
| 1439 | M/25 | 883/979 | IMγ | 22 | Neg | Pos | CR, Rel, D (18 mo) | Positive | 46, XY, ins(10;11)(p14;q14q25) [15] |
| 4336 | F/25 | 883/979 | IMδ | 220 | Neg | Pos | CR-BMT, Rel, D (11 mo) | Positive | 46, XX, t(10;11)(p12-13;q13-14) [18] |
| 1666 | M/24 | 883/979 | IMγ | 10 | Pos | ND | CR, Rel, BMT, Rel, D (30 mo) | Positive | 46, XY, -6, t(10;11)(p14;q14-21), -20, +2 mars [38] |
| 1488 | M/23 | 424 | IMγ | 9.4 | Pos | Pos | NR, D (3 mo) | ND | 45, XY, -7 [19] |
| 4396 | F/20 | 883/979 | IMγ | 49 | Neg | Neg | CR-BMT, Rel, D (18 mo) | Positive | 46, XX, t(10;11)(p12-13;q13-14) [10] |
| 1978 | M/14 | 883/979 | IMδ | ND | Neg | Neg | CR-BMT, alive 84 mo | ND | 92, XXYY, t(10;11)(p14;q14), i(?17q) [13] |
| 738 | F/12 | 883/979 | IMδ | 124 | Pos | Neg | CR, Rel, in therapy | ND | 47, XX, +8, t(10;11)(p12-14;q14-21) [8] |
| 269 | F/12 | 883/979 | IMγ | 556 | Pos | Pos | CR, Rel, CR, Rel, D (30 mo) | ND | Normal [20] |
CALM-AF10 FISH positivity refers to a split of the CALM signals and colocalization with the AF10 FITC signal
UPN indicates unique patient number; WBC, leukocytosis at presentation; Med, mediastinal mass; H/S, hepatosplenomegaly; CR, complete remission; D, deceased (time); Rel, relapse; BMT, bone marrow transplantation
Characteristics of CALM-AF10 T-ALLs
CALM-AF10 was slightly more frequent in male patients (M/F ratio 2.8 compared with 2.3 for CALM-AF10- cases). The incidence of CALM-AF10 did not vary with age; positive cases ranged from 3 to 43 years (mean, 20.7 years). This was slightly lower than the mean age for CALM-AF10- cases (22.3 years 3 months to 78 years). As shown in Table 2, the majority of pediatric CALM-AF10 T-ALLs were TCRγδ, whereas the majority of adult cases were IM.
Immunophenotype and clonally rearranged TCR alleles in CALM-AF10 T-ALLs compared to negative cases with a similar stage of maturation arrest
. | IM TCR-/cTCRβ- (%) . | . | . | . | . | . | . | |||
|---|---|---|---|---|---|---|---|---|---|---|
. | IMO . | IMδ/IMγ . | . | IMβ . | αβ lineage: TCRαβ and TCR+/cTCRβ+ (%) . | TCRγδ (%) . | . | |||
| CALM-AF10 | 0/5 | 12/29 | 0/12 | 0/66 | 8/32 | |||||
| CALM-AF10+ | CALM-AF10- | CALM-AF10+ | CALM-AF10- | |||||||
| Mean age, y | 38.4 | 24.3 | 28.6 | 15.1 | 21.8 | 17.8 | 20.1 | |||
| Children/adults | 1/4 | 3/9 | 1/16 | 7/5 | 26/40 | 5/3 | 13/11 | |||
| Immunophenotype | ||||||||||
| CD34 | 5/5 (100) | 6/12 (50) | 8/16 (50) | 9/12 (75) | 12/65 (18) | 1/7 (14) | 7/24 (29) | |||
| CD117 | 1/5 (20) | 1/10 (10) | 2/14 (14) | 1/11 (9) | 0/57 (0) | 1/7 (14) | 2/18 (11) | |||
| CD13/33 | 4/5 (80) | 5/12 (42) | 7/16 (44) | 3/12 (25) | 3/62 (5) | 1/8 (13) | 7/23 (30) | |||
| CD56 | 1/5 (20) | 0/9 (0)* | 6/14 (43) | 4/10 (40) | 0/43 (0) | 1/6 (17) | 0/17 (0) | |||
| CD5 | 3/5 (60) | 8/12 (67) | 14/17 (82) | 12/12 (100) | 65/66 (98) | 7/8 (88) | 24/24 (100) | |||
| CD2 | 4/5 (80) | 1/12 (8)† | 12/17 (71) | 7/12 (58) | 61/66 (92) | 3/8 (38) | 11/24 (46) | |||
| CD5+/CD2- | 1/5 (20) | 7/12 (58)* | 3/17 (18) | 7/12 (58) | 5/66 (7) | 4/8 (50) | 13/24 (54) | |||
| CD4/8 DN | 5/5 (100) | 10/12 (83) | 15/17 (88) | 4/12 (33) | 6/66 (9) | 1/8 (13) | 11/23 (48) | |||
| CD4 SP | 0/5 (0) | 2/12 (17) | 1/17 (6) | 3/12 (25) | 8/66 (12) | 2/8 (25) | 4/23 (17) | |||
| CD8 SP | 0/5 (0) | 0/12 (0) | 1/17 (6) | 1/12 (8) | 7/66 (11) | 2/8 (25) | 3/23 (13) | |||
| CD4/8 DP | 0/5 (0) | 0/12 (0) | 0/17 (0) | 4/12 (33) | 45/66 (68) | 3/8 (38) | 5/23 (22) | |||
| CD1a | 2/5 (20) | 3/11 (27) | 2/17 (12) | 6/11 (55) | 47/66 (71) | 2/8 (25) | 5/24 (21) | |||
| CD10 | 0/5 (0) | 2/11 (18) | 2/15 (13) | 9/12 (75) | 23/65 (35) | 2/8 (25) | 10/24 (42) | |||
| TdT | 5/5 (100) | 6/10 (60) | 9/13 (69) | 10/11 (91) | 51/57 (90) | 3/5 (60) | 10/14 (71) | |||
| Clonal rearranged TCRδ and TCRγ alleles | ||||||||||
| Vδ2-Dδ3/Dδ2-Dδ3 | 5/21 (24) | 17/28 (61) | 1/14 (7) | 1/34 (3) | 1/13 (8) | 1/29 (3) | ||||
| Dδ2-Jδ1 | 11/21 (52) | 8/28 (29) | 4/14 (29) | 4/34 (12) | 1/13 (8) | 2/29 (7) | ||||
| TCRδ V(D)J | 5/21 (24) | 3/28 (10) | 9/14 (64) | 29/34 (85) | 11/13 (84) | 26/29 (90) | ||||
| TCRγ Vf1/V9 | 10/14 (71) | 8/15 (53) | 20/24 (83) | 99/116 (85) | 12/14 (86) | 27/35 (77) | ||||
| TCRγ V10/V11 | 4/14 (29) | 7/15 (47) | 4/24 (17) | 17/116 (15) | 2/14 (14) | 8/35 (23) | ||||
. | IM TCR-/cTCRβ- (%) . | . | . | . | . | . | . | |||
|---|---|---|---|---|---|---|---|---|---|---|
. | IMO . | IMδ/IMγ . | . | IMβ . | αβ lineage: TCRαβ and TCR+/cTCRβ+ (%) . | TCRγδ (%) . | . | |||
| CALM-AF10 | 0/5 | 12/29 | 0/12 | 0/66 | 8/32 | |||||
| CALM-AF10+ | CALM-AF10- | CALM-AF10+ | CALM-AF10- | |||||||
| Mean age, y | 38.4 | 24.3 | 28.6 | 15.1 | 21.8 | 17.8 | 20.1 | |||
| Children/adults | 1/4 | 3/9 | 1/16 | 7/5 | 26/40 | 5/3 | 13/11 | |||
| Immunophenotype | ||||||||||
| CD34 | 5/5 (100) | 6/12 (50) | 8/16 (50) | 9/12 (75) | 12/65 (18) | 1/7 (14) | 7/24 (29) | |||
| CD117 | 1/5 (20) | 1/10 (10) | 2/14 (14) | 1/11 (9) | 0/57 (0) | 1/7 (14) | 2/18 (11) | |||
| CD13/33 | 4/5 (80) | 5/12 (42) | 7/16 (44) | 3/12 (25) | 3/62 (5) | 1/8 (13) | 7/23 (30) | |||
| CD56 | 1/5 (20) | 0/9 (0)* | 6/14 (43) | 4/10 (40) | 0/43 (0) | 1/6 (17) | 0/17 (0) | |||
| CD5 | 3/5 (60) | 8/12 (67) | 14/17 (82) | 12/12 (100) | 65/66 (98) | 7/8 (88) | 24/24 (100) | |||
| CD2 | 4/5 (80) | 1/12 (8)† | 12/17 (71) | 7/12 (58) | 61/66 (92) | 3/8 (38) | 11/24 (46) | |||
| CD5+/CD2- | 1/5 (20) | 7/12 (58)* | 3/17 (18) | 7/12 (58) | 5/66 (7) | 4/8 (50) | 13/24 (54) | |||
| CD4/8 DN | 5/5 (100) | 10/12 (83) | 15/17 (88) | 4/12 (33) | 6/66 (9) | 1/8 (13) | 11/23 (48) | |||
| CD4 SP | 0/5 (0) | 2/12 (17) | 1/17 (6) | 3/12 (25) | 8/66 (12) | 2/8 (25) | 4/23 (17) | |||
| CD8 SP | 0/5 (0) | 0/12 (0) | 1/17 (6) | 1/12 (8) | 7/66 (11) | 2/8 (25) | 3/23 (13) | |||
| CD4/8 DP | 0/5 (0) | 0/12 (0) | 0/17 (0) | 4/12 (33) | 45/66 (68) | 3/8 (38) | 5/23 (22) | |||
| CD1a | 2/5 (20) | 3/11 (27) | 2/17 (12) | 6/11 (55) | 47/66 (71) | 2/8 (25) | 5/24 (21) | |||
| CD10 | 0/5 (0) | 2/11 (18) | 2/15 (13) | 9/12 (75) | 23/65 (35) | 2/8 (25) | 10/24 (42) | |||
| TdT | 5/5 (100) | 6/10 (60) | 9/13 (69) | 10/11 (91) | 51/57 (90) | 3/5 (60) | 10/14 (71) | |||
| Clonal rearranged TCRδ and TCRγ alleles | ||||||||||
| Vδ2-Dδ3/Dδ2-Dδ3 | 5/21 (24) | 17/28 (61) | 1/14 (7) | 1/34 (3) | 1/13 (8) | 1/29 (3) | ||||
| Dδ2-Jδ1 | 11/21 (52) | 8/28 (29) | 4/14 (29) | 4/34 (12) | 1/13 (8) | 2/29 (7) | ||||
| TCRδ V(D)J | 5/21 (24) | 3/28 (10) | 9/14 (64) | 29/34 (85) | 11/13 (84) | 26/29 (90) | ||||
| TCRγ Vf1/V9 | 10/14 (71) | 8/15 (53) | 20/24 (83) | 99/116 (85) | 12/14 (86) | 27/35 (77) | ||||
| TCRγ V10/V11 | 4/14 (29) | 7/15 (47) | 4/24 (17) | 17/116 (15) | 2/14 (14) | 8/35 (23) | ||||
Both the consecutive series of 131 and the 13 selected cases are included. No significant differences in immunophenotype were seen in TCRγδ T-ALLs. Differences in IM T-ALLs are indicated as *P = .02 or δP = .001. IM T-ALLs are subdivided on the basis of their TCRδ, TCRγ, and TCRβ rearrangements, as detailed in the text and legend to Figure 1
DN indicates double negative; SP, single positive
Immunophenotype and TCR genotype
T-ALLs were divided into 3 major immunophenotypic categories. None of the 78 αβ lineage T-ALLs and their immediate IMβ precursors expressed CALM-AF10. In contrast, 8 (25%) of 32 of TCRγδ and 12 (41%) of 29 of IMδ/γ T-ALLs were CALM-AF10+, including 5 (19%) of 27 unselected TCRγδ and 7 (33%) of 21 unselected IMδ/γ T-ALLs (Figure 1). All 5 IM0 were CALM-AF10-. We therefore undertook to determine whether IMδ/γ cases could represent TCRγδ precursor T-ALLs.
No significant immunophenotypic differences were observed between CALM-AF10+ and CALM-AF10- TCRγδ T-ALLs. The immunophenotypic features that distinguished TCRγδ-expressing T-ALLs from their αβ lineage counterparts included less frequent expression of CD2, CD1a, and CD4/8 DPs (P < .01) but more frequent expression of CD117, CD13, or CD33 (P ≤ .01). As expected, IM T-ALLs were more frequently CD34+, CD117+, CD13/33+, CD1a-, and CD4/8 double negative (DN) than cases expressing TCR. Within the IMδ/γ category, the most striking immunophenotypic differences involved CD2 and CD56. IMδ/γ CALM-AF10+ T-ALLs were virtually all negative for CD2 and CD56, whereas CD2 was expressed by 71% (P < .01) and CD56 by 43% (P = .02) of IMδ/γ CALM-AF10- cases. The only T-lymphoid antigens to be reproducibly expressed by CALM-AF10+ IMδ/γ T-ALLs were CD5, TdT, and, by definition, cCD3 and CD7. The absence of T-lymphoid antigen expression was not, however, due to relative immaturity, because expression of CD34, CD117, and CD13/33 was similar in IMδ/γ CALM-AF10+ and CALM-AF10- cases. A CD5+CD2- phenotype was particularly common in TCRγδ T-ALLs, because it was found in 53% (17 of 32) of TCRγδ compared with only 7% of TCRαβ lineage cases (P < .01). This phenotype was also much more frequent in IMδ/γ CALM-AF10+ compared with CALM-AF10- cases (P = .02), suggesting that it may identify TCRγδ precursors.
The type of TCR rearrangements differed in CALM-AF10+ and CALM-AF10- IMδ/γ T-ALLs. Rearranged TCRδ alleles in CALM-AF10+ cases were predominantly Dδ2-Jδ1 and 76% involved a Jδ segment, indicative of T-lymphoid restriction. The majority (61%) of rearranged alleles in CALM-AF10- cases were non–T restricted. TCRγ rearrangements in CALM-AF10+ cases involved the functional VγfI/Vγ9 segments in the majority, in contrast to CALM-AF10- cases, when half involved the Vγ10 and Vγ11 pseudogenes. CALM-AF10+ IMδ/γ T-ALLs therefore show no evidence of TCRαβ lineage restriction, but are more likely to have undergone Jδ and end-stage TCRγ rearrangement than CALM-AF10- cases at a similar stage of maturation arrest. These TCR profiles reinforce the immunophenotypic evidence of a TCRγδ lineage origin for immature CALM-AF10+ T-ALLs.
AF10 content correlates with different stages of maturation arrest
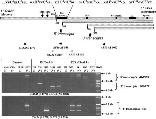
CALM-AF10 FTs demonstrate extensive diversity and alternative splicing (Table 1; Figure 2). Detailed analysis of CALM-AF10+ cases with specific primers, followed by direct sequencing, confirmed the specificity of the different RT-PCR products. All 19 sequenced were in-frame. They included all previously described FTs. AF10 sequences starting at nucleotides 424 or 589 were considered as 5′ FTs. These retained the extended LAP/PHD, which was lost in 3′ FTs at bp 883/979. Nine CALM-AF10+ demonstrated 5′ FTs and ten 3′ FTs, but the distribution differed strikingly in immature and mature T-ALLs; 3′ FTs predominated in IMδ/γ T-ALLs (9 of 12), compared with only 1 of 7 TCRγδ cases (P = .01). These data suggest that the presence of 5′ FT sequences, including the extended LAP/PHD, are necessary for maturation toward the TCRγδ lineage, whereas their absence leads to a more immature stage of maturation arrest.
CALM-AF10. (Top) CALM-AF10 fusion gene. Wild-type AF10 functional domains are indicated and the cysteines of the extended LAP/PHD motif are detailed. CALM and AF10 exon nomenclatures are reference sequences NM007166 and NM004641, respectively. Nucleotide nomenclature is identical to that used previously.10 Identified FT points within CALM and AF10 are shown as vertical arrows with solid lines, alternative splice sites as vertical arrows with dotted lines. Position of RT-PCR (black) and sequencing (gray) primers are indicated. (Bottom) RT-PCR products using AF10 AS1002 (upper) or AF10 AS559 (lower) primers in CALM-AF10+ patients with IM or TCRγδ T-ALLs. Unique patient numbers (UPNs) are indicated above each lane. MWM indicates molecular weight markers.
CALM-AF10. (Top) CALM-AF10 fusion gene. Wild-type AF10 functional domains are indicated and the cysteines of the extended LAP/PHD motif are detailed. CALM and AF10 exon nomenclatures are reference sequences NM007166 and NM004641, respectively. Nucleotide nomenclature is identical to that used previously.10 Identified FT points within CALM and AF10 are shown as vertical arrows with solid lines, alternative splice sites as vertical arrows with dotted lines. Position of RT-PCR (black) and sequencing (gray) primers are indicated. (Bottom) RT-PCR products using AF10 AS1002 (upper) or AF10 AS559 (lower) primers in CALM-AF10+ patients with IM or TCRγδ T-ALLs. Unique patient numbers (UPNs) are indicated above each lane. MWM indicates molecular weight markers.
Prognosis of CALM-AF10 depends on the stage of maturation arrest
All 3 adults with TCRγδ CALM-AF10+ are in complete remission at 46 to 64 months from diagnosis, whereas 8 of 9 adults with IM T-ALLs have died, with the only survivor being one of the 3 having undergone allogeneic transplantation. Similarly, all 5 children with CALM-AF10+ TCRγδ ALL are in remission 8 to 115 months after induction, whereas 2 of the 3 pediatric patients with IM T-ALLs have relapsed and the third has undergone allogeneic transplantation (Table 1). Although the numbers are limited, CALM-AF10 in IM T-ALL identifies a poor prognostic subgroup, whereas there is no evidence that it is pejorative in TCRγδ T-ALL.
All non-T lineage CALM-AF10+ ALs demonstrate TCR rearrangement
Six cases of cCD3- AL with CALM-AF10 were analyzed (2 acute myeloid leukemia [AML], 1 B-lineage ALL, 3 AUL; Table 3). Half demonstrated mediastinal enlargement. Surprisingly, 2 had 5′ FTs, which included the entire ext-LAP/PHD. All had undergone TCRδ rearrangement, which was predominantly bialleleic. Interestingly, 1 of the 2 cases with 5′ FT was the only one to have undergone TCRδ V(D)J rearrangement (Vδ1-Jδ1) and the only one with bialleleic end-stage TCRγ rearrangement. Three of the 4 cases with 3′ FT had undergone Dδ2-Jδ1, similar to the profiles seen in IM T-ALLs. All but one had undergone TCRγ rearrangement. TCRγ profiles were in general immature, because half involved ψVγ11. Immunophenotypes were variable, but were universally CD7+, CD34+, or CD117+ but CD2- and cCD3-. CALM-AF10 was originally described in the U937 myelomonocytic cell line, derived from a patient with diffuse histiocytic lymphoma.7 We confirmed the 3′ CALM-AF10 in the clone used here. Interestingly, although TCRγ was not rearranged, this line also demonstrated early, nonrestricted, TCRδ Vδ2-Dδ3 rearrangement.
Characteristics of CALM-AF10+ non-T ALs
UPN . | Sex/age . | WBC . | Med . | H/S . | Clinical course . | AF10 nucleotide . | Diagnosis . | Positive CD . | Negative CD . | TCRδ . | TCRγ . |
|---|---|---|---|---|---|---|---|---|---|---|---|
| 3821 | F/78 | 126 | Pos | Neg | CR (ALL), alive 96 mo | 883/979 | B-ALL my+ | 7, 34, 117, 65, 56, 19, 22, cyt79a | cyt3, 2, 5, 4, MPO, 13, 33, cytμ, 10, 41 | D2-J1 and D2-J1 | V11-J1/2 and V11-J1/2 |
| 4021 | M/18 | 218 | Pos | Pos | CR-BMT (ALL), alive 12 mo | 883/979 | AUL | 7, 34, 33, 19, HLA-DR | cyt3, 2, 5, 4, 8, MPO, 13, 65, cyt22, 22, cyt79a, 10, TdT | D2-J1 and D2-J1 | V9-J1/2 and V11-J1/2 |
| 3469 | M/18 | 1.2 | Neg | Pos | NR (ALL), CR-BMT (AML), alive 24 mo | 883/979 | AUL | 7, 34, 5 | cyt3, 2, 4, MPO, 13, 33, 19, cyt22 | D2-J1 | Vfl-J1/2 and V9-JP1/2 |
| 3883 | F/29 | 26 | Neg | Neg | CR-BMT (AML), alive 104 mo | 589 | AUL | 7, 34, 38, HLA-DR | cyt3, 2, 5, 4, MPO, 13, 33, 19, cyt22, cytμ, 10, 41 | V1-J1 and D2-J1 | Vfl-J1/2 and Vfl-J1/2 |
| 1592 | M/25 | 170 | Pos | Neg | CR (AML), Rel, D (8 mo) | 883/979 | AML (M1) | 7, 4, MPO, 117, 13, 33, 65, HLA-DR | cyt3, 2, 5, 19, 10, 41, 34 | D2-D3 | V11-JP1/2 and V11-JP1/2 |
| 4458 | F/16 | 122 | Neg | Pos | CR-BMT (AML), D (6 mo) | 424 | AML (M1) | 7, 34, MPO, 33, 15, HLA DR | cyt3, 2, 5, 4, 13, 117, 19, cyt22, cμ, 10, 41 | D2-J1 | ND |
| U937 | — | — | — | — | — | 424 | — | — | — | V2-D3 | GL |
UPN . | Sex/age . | WBC . | Med . | H/S . | Clinical course . | AF10 nucleotide . | Diagnosis . | Positive CD . | Negative CD . | TCRδ . | TCRγ . |
|---|---|---|---|---|---|---|---|---|---|---|---|
| 3821 | F/78 | 126 | Pos | Neg | CR (ALL), alive 96 mo | 883/979 | B-ALL my+ | 7, 34, 117, 65, 56, 19, 22, cyt79a | cyt3, 2, 5, 4, MPO, 13, 33, cytμ, 10, 41 | D2-J1 and D2-J1 | V11-J1/2 and V11-J1/2 |
| 4021 | M/18 | 218 | Pos | Pos | CR-BMT (ALL), alive 12 mo | 883/979 | AUL | 7, 34, 33, 19, HLA-DR | cyt3, 2, 5, 4, 8, MPO, 13, 65, cyt22, 22, cyt79a, 10, TdT | D2-J1 and D2-J1 | V9-J1/2 and V11-J1/2 |
| 3469 | M/18 | 1.2 | Neg | Pos | NR (ALL), CR-BMT (AML), alive 24 mo | 883/979 | AUL | 7, 34, 5 | cyt3, 2, 4, MPO, 13, 33, 19, cyt22 | D2-J1 | Vfl-J1/2 and V9-JP1/2 |
| 3883 | F/29 | 26 | Neg | Neg | CR-BMT (AML), alive 104 mo | 589 | AUL | 7, 34, 38, HLA-DR | cyt3, 2, 5, 4, MPO, 13, 33, 19, cyt22, cytμ, 10, 41 | V1-J1 and D2-J1 | Vfl-J1/2 and Vfl-J1/2 |
| 1592 | M/25 | 170 | Pos | Neg | CR (AML), Rel, D (8 mo) | 883/979 | AML (M1) | 7, 4, MPO, 117, 13, 33, 65, HLA-DR | cyt3, 2, 5, 19, 10, 41, 34 | D2-D3 | V11-JP1/2 and V11-JP1/2 |
| 4458 | F/16 | 122 | Neg | Pos | CR-BMT (AML), D (6 mo) | 424 | AML (M1) | 7, 34, MPO, 33, 15, HLA DR | cyt3, 2, 5, 4, 13, 117, 19, cyt22, cμ, 10, 41 | D2-J1 | ND |
| U937 | — | — | — | — | — | 424 | — | — | — | V2-D3 | GL |
Immunophenotype is shown as positive and negative CD antigens. Type of TCRδ and TCRγ rearrangement is shown for each case. my indicates myeloid; MPO, myeloperoxidase; cyt, cytoplasmic; —, not applicable. Other abbreviations are explained in Table 1 and the text
Discussion
In this manuscript, we demonstrate that CALM-AF10 FTs occur in approximately 10% of T-ALLs and are restricted to TCRγδ and IMδ/γ cases, whose immunophenotypic and TCR configurations are highly suggestive of TCRγδ precursors. Correlation of the type of CALM-AF10 FT with leukemic subtype suggests that AF10 content differs with the stage of maturation arrest.
Mature CALM-AF10 cases expressed CD5, TCRγδ, and CD4 or CD8 (or both) and, as such, were easily recognizable as T-ALL. In contrast, immature cases expressed few T-lineage markers other than CD5 in two thirds, TdT, cCD3, and CD7 and were often positive for CD13, CD33, or CD34. They are therefore easily mistaken for AML M0 if cCD3 is not assessed. Several arguments demonstrate, however, that they are indeed T-ALLs. All were myeloperoxidase negative, most by both cytochemistry and immunophenotype. All expressed cCD3 and had undergone at least TCRδ and mostly TCRγ rearrangement. The identification of Jδ rearrangements in the majority demonstrates that they are T-lineage restricted.19
The IM CALM-AF10+ T-ALLs resembled TCRγδ T-ALLs, particularly with regard to their CD2 negativity and TCRγ and TCRδ profiles, which were indicative of differentiation toward functional TCRγδ cells, with no evidence of TCRαβ lineage differentiation, because none had undergone TCRβ V(D)J or TCRδ deletion (IMβ). CD2 expression was constant in TCRαβ lineage cases but present in less than half of TCRγδ T-ALLs and virtually no IM CALM-AF10+ T-ALL, compared with over 70% of CALM-AF10- IMδ/γ cases. This was not due to relative immaturity, at least based on expression of CD34, CD117, and CD13/33. CD5 and CD2 are expressed at an early stage of thymic development and there is no evidence of a CD5+CD2- population during T lymphopoiesis.20,23 CD2 negativity and, more specifically, a CD5+CD2- phenotype is therefore relatively specific to TCRγδ lineage leukemia, including their precursors. CD2 negativity is well recognized in TCRγδ T-ALL24,25 and has also been described in a subset of human epithelial cells and the majority of ruminant normal TCRγδ cells.26,27 CD2 is the ligand for the leukocyte function–associated antigen 3 (LFA-3) adhesion molecule expressed by antigen-presenting cells.28 It acts as a costimulatory molecule in major histocompatibility complex (MHC)–mediated activation and has also been suggested to play a role in thymocyte development.29,30 Although the functional significance of CD2 on TCRγδ cells is unknown, it may modulate MHC class I–like activation on epithelial TCRγδ cells by engagement of molecules such as MICA/B.26 CD56 was also uniformly negative in CALM-AF10+ IM T-ALLs, but was expressed by half the CALM-AF10- IMδ/γ cases. This suggests either that CD56 is expressed preferentially by immature T-ALLs that are committed to lineages other than TCRγδ, or that its expression is down-regulated earlier in the presence of CALM-AF10. Taken together, the immunophenotypic and TCR genotypic features of CALM-AF10+ IM T-ALLs demonstrate that these leukemias correspond to TCRγδ precursors.
Identification of physiologic TCRγδ precursors has proven difficult, largely due to the absence of specific surface markers other than the TCR. Our data suggest that TCRγδ precursors will be found within the cCD3+/CD7+/CD5+/CD2- compartment, which is likely to demonstrate TCRδ D2-J1 or TCRγ Vγ9/VγfI rearrangements. TCRγδ lineage specification may also precede cCD3 expression, because 5 non–T-ALLs with CALM-AF10 showed TCRδ D2-J1 rearrangement. TCRδ rearrangements occur in 3% to 14% of AML cases, especially those that express TdT or lymphoid surface antigens or both.31 TCRδ D2-J1 has also been identified in very immature CD7+ T-ALLs, which are predominantly CD2-, CD34+, CD38+.32 Only half expressed cCD3 or CD5, and as such would be classified as AML. Detection of cCD3 has, however, only recently been widely used in classification of ALs and its reproducible interpretation in multicenter studies is difficult, because of variable permeabilization techniques.33
CALM-AF10+ non-T ALs may correspond to the earliest TCRγδ precursor, or at least to a precursor with TCRγδ potential. They are likely to represent expansions from a thymic rather than a bone marrow precursor, based on their frequent association with mediastinal enlargement, CD7 expression, and TCR rearrangements. It is likely that this corresponds to the recognized multipotent thymic CD34+, CD33+, CD7+/+, CD45RA+, CD2/5/1a- precursor.20,23,34 These ALs, however, demonstrate considerable differentiation, as evidenced by myeloperoxidase expression in 2 and sCD22 in one. It is possible that other unidentified abnormalities prevent T-lymphoid differentiation in a thymic precursor that has undergone TCR rearrangement and that the B-lymphoid or myeloid differentiation reflects default differentiation, as previously described for murine thymocyte differentiation toward the myeloid lineage in response to interleukin 2 (IL-2) in cells with TCR rearrangement.35 This possibility is in keeping with the recently recognized plasticity of hematopoietic progenitors and suggests that such plasticity be retained by early thymocytes. CALM-AF10+ non-T AL could also correspond to expansions of an extrathymic precursor. The only recognized extrathymic precursors that undergo TCRγ and TCRδ rearrangement are those of the TCRγδ lineage, a significant proportion of which develop in the intestine.36,37 Determination of the physiologic relevance of the model of TCRγδ differentiation proposed here requires in vitro cell culture from selected human progenitor populations. Our data facilitate selection of the starting population. Identification of γδ precursors will also allow further analysis of the genetic mechanisms leading to their leukemic transformation and determination of whether these differ from those involved in αβ lineage T-ALLs.
The majority of cases with 5′ FTs containing the LAP/PHD AF10 domain are TCRγδ ALLs, whereas those having lost it are arrested at an earlier stage. This protein/protein interaction motif mediates homo-oligomerization and is conserved in several proteins, including MLL.38-40 In AML with MLL-AF10, the AF10 ext-LAP/PHD is always deleted, as are the MLL PHD fingers.41 Both retain the COOH terminal leucine zipper (LZ) domain necessary for malignant transformation.42 The presence of the AF10 LZ in the absence of the PHD fingers therefore leads to an immature stage of maturation arrest in both MLL-AF10 and CALM-AF10, whereas the presence of both motifs allows differentiation to a mature TCRγδ phenotype. Although deletion and mutational analyses of these different FTs, as well as intracellular localization analysis, will be necessary for definitive proof, it is likely that the AF10 protein plays a significant role in the early stages of hematopoietic differentiation, particularly with regard to TCRγδ lineage commitment. This is similar to the BCR-ABL leukemias, when BCR content determines, or is at least associated with, distinct stages of maturation arrest.43-45 The CALM protein plays a role in clathrin-mediated endocytosis and the recruitment of proteins into coated pits.46 CALM may simply provide the promoter, which would imply that it is expressed in early, nonrestricted lymphoid precursors. Because, however, virtually all the CALM protein, including the clathrin-binding domain, is maintained in the fusion protein, it may also lead to delocalization of AF10. CALM is normally localized to the cell membrane and to the endocytotic vesicles, whereas AF10 is normally found in the cytoplasm and the nucleus. Murine AF10 is expressed predominantly in the testis and kidney, but also at lower levels in the thymus and brain. It may therefore play a role in normal T lymphopoiesis.39,47
Molecular screening for CALM-AF10 is justified because more than 50% of unselected cases were not detected by classical karyotype analysis. This was due predominantly to the fact that the mitoses analyzed did not correspond to the leukemic clone. Undetected CALM-AF10 was rare in cases with clonal abnormalities. Routine molecular screening by RT-PCR or FISH for this abnormality is therefore advisable. RT-PCR has the advantage of allowing distinction of the different forms of fusion transcript, which is important for prognostic assessment. RT-PCR will also allow baseline analysis for subsequent quantitative PCR follow-up. Real-time quantification of CALM-AF10 is likely to be complicated by the extensive variability of the FTs, which can also complicate diagnostic screening, if high-stringency conditions are not used. Alternatively, FISH allows rapid distinction between CALM-AF10 and MLL-AF10. The CALM-AF10 FT is situated on the derivative 10 chromosome, reflecting the 5′ telomere, 3′ centromere orientation of CALM and AF10. AF10-CALM FTs are in-frame4,48 but do not contain oncogenic motifs.13 A hybrid approach, with karyotype and FISH screening, followed by RT-PCR characterization of positive or doubtful cases, may be optimal. Screening of AML with normal or failed cytogenetics is also justifiable because CALM-AF10 is rarely missed in patients with an abnormal karyotype, which is more frequent in AML than T-ALL.
CALM-AF10 IM T-ALLs clearly have a poor prognosis, both with regard to initial response to induction chemotherapy and overall survival. Because the CALM-AF10+ cCD3- patients with AL were treated on a variety of different protocols, we did not attempt to assess their clinical outcome, particularly because 4 of 6 underwent allografting, but CALM-AF10 is recognized to have a poor prognosis in IM AL.3 Given similarities between the functional domains in the MLL-AF10 and 3′ CALM-AF10 fusions and in their stage of maturation arrest, it may be appropriate to regroup both of these minor subcategories into a single, high-risk immature AL protocol. In contrast, TCRγδ, CALM-AF10 T-ALLs demonstrate comparable survival to TCRαβ lineage cases on, at least adult, T-ALL protocols (data not shown). In practical terms, if the characteristics of CALM-AF10 AL demonstrated here are confirmed, it will be reasonable to intensify CALM-AF10+ AML and sCD3- T-ALLs, but not sCD3+ cases, which probably all belong to the TCRγδ lineage. This is more compatible with initial, rapid assignment to induction chemotherapy in an appropriate protocol than stratification by type of FT, at least with current diagnostic practice.
In conclusion, we show that CALM-AF10 is a common FT in T-ALL, when it is restricted to cases of the TCRγδ lineage. Because the prognostic significance appears to depend on stage of maturation arrest, appropriate assessment of these cases requires prospective immunophenotypic and molecular subtype analysis within the context of T-ALL and AML protocols. It will obviously be interesting to determine the transcriptional profiles of these cases and to compare them with the signatures of currently recognized T-ALL and AML categories.
Prepublished online as Blood First Edition Paper, April 3, 2003; DOI 10.1182/blood-2002-09-2913.
Supported by the fondation contre la leucémie de la Fondation de France, l'Association de la Recherche sur le Cancer (ARC), the Direction de Recherche Clinique de l'Assistance Publique-Hôpitaux de Paris (PHRC 97-106), and the Biomed-2 BMH4-CT98-3936 concerted action.
The publication costs of this article were defrayed in part by page charge payment. Therefore, and solely to indicate this fact, this article is hereby marked “advertisement” in accordance with 18 U.S.C. section 1734.
We thank Dorothée Menage for secretarial assistance, Florence Achenbaum-Cymbalista (Hôtel Dieu, Paris), Jean-Michel Boiron (Bordeaux), Judith Landman-Parker, (Trousseau, Paris), Anne Hagemeijer and Peter Vandenberg (Leuven), Bernard Lenormand (Rouen), Pascale Cornillet-Lefevre (Reims), and all the biologists and clinicians of the LALA adult and FRALLE pediatric French ALL groups for providing T-ALL samples and results.


This feature is available to Subscribers Only
Sign In or Create an Account Close Modal