We developed a new human stromal cell line that could expand human hematopoietic progenitor/stem cells. Primary human bone marrow stromal cells were infected with retrovirus containing the human telomerase catalytic subunit (hTERT) gene, resulting in increased population doubling and the acquisition of cell immortalization. Characteristics of the hTERT-transduced stromal (hTERT-stromal) cells were identical with those of the primary stromal cells in terms of morphologic appearance and expression of surface antigens. Human cord blood (CB) CD34+ cells were expanded by coculture with primary stromal or hTERT-stromal cells in the presence of stem cell factor, thrombopoietin, and Flk-2/Flt-3 ligand under serum-free condition. The degree of expansion of CD34+ cells and total number of colony-forming units in culture (CFU-Cs) after 2 weeks' coculture with the hTERT-stromal cells were nearly the same as those after 2 weeks' coculture with primary stromal cells (CD34+ cells, 118-fold ± 8-fold versus 117-fold ± 13-fold; CFU-Cs, 71-fold ± 5-fold versus 67-fold ± 5-fold of initial cell number). CB expansion on hTERT-stromal cells occurred at a similar rate through 7 weeks. In contrast, the rate of CB expansion on primary stromal cells had drastically declined at 7 weeks. In nonobese diabetic/severe combined immunodeficiency (SCID) mice, the degree of engraftment of SCID-repopulating cells that had been cocultured with hTERT-stromal cells for 4 weeks was significantly higher than that of precocultured CB cells. These results indicate that this hTERT-stromal cell line could be useful for ex vivo expansion of hematopoietic progenitor/stem cells and for analyzing the microenvironment of human bone marrow.
Introduction
Hematopoietic stem cells (HSCs) are generally defined as cells having the self-renewing potential and the capacity to give rise to differentiated cells of all hematopoietic lineages.1 Therefore, HSC transplantation is performed for complete healing of hematologic disorders and as a supportive therapy after high-dose chemotherapy against malignant diseases. HSCs can be collected from peripheral blood (PB), bone marrow (BM), and cord blood (CB). Human CB is thought to contain a high number of primitive hematopoietic cells, because the number of severe combined immunodeficiency (SCID)–repopulating cells (SRCs) in nonobese diabetic/SCID (NOD/SCID) mice that had received transplants from CB was higher than that in NOD/SCID mice that had received transplants from other sources.2 Moreover, the frequency of graft-versus-host disease, which is a severe side effect of HSC transplantation in patients, is reduced among patients receiving transplants from CB,3 and CB can be obtained from the cord-blood bank network. However, the total number of CB HSCs harvested from one donor's umbilical CB is limited and is not sufficient for HSC transplantation in an adult patient. To overcome this problem, attention has been increasingly focused on ex vivo expansion of HSCs. Many approaches have been reported during the last decade, and they can be divided into 2 categories. The first category is treatment of HSCs with various combinations of cytokines. Treatment with the following combinations of cytokines increased the progenitor/stem cell population by 2- to 30-fold in the relatively short period of 10 to 14 days: Flk-2/Flt-3 ligand (FL), stem cell factor (SCF), and thrombopoietin (TPO); SCF, granulocyte-colony stimulating factor (G-CSF), and megakaryocyte growth and development factor (MGDF); FL, SCF, G-CSF, interleukin-3 (IL-3), and IL-6; and FL, SCF, and IL-6.4-7 However, it is difficult to maintain HSC activity in long-term cultures even if the total number of hematopoietic cells could be expanded. Hence, these methods could be improved for use in clinical settings. The second category involves using stromal cells. It has been reported that the SCID-repopulating activity (SRA) of human HSCs could be maintained by coculture with murine stromal cells for 7 weeks,8 and that the SRA could be maintained by coculture with the AGM-S3 stromal cell line for 4 weeks.9 MS-5 expanded SRCs for 2 weeks10; FBMD-1 expanded cobblestone area–forming cells by 90-fold11; HESS-5 expanded SRCs for only 5 days.12,13 Contact between HSCs and stromal cells is important for maintaining the function of HSCs.9,14 15However, when human HSCs are cocultured with nonhuman stromal cells, the expanded human HSCs might have a risk of being exposed to an unknown viral contamination in animal stromal cells.
Several methods of ex vivo expansion using human primary stromal cells were recently reported.16,17 When HSCs were cocultured with human primary stromal cells, the HSCs were expanded for 2 to 4 weeks. However, in general, when human primary somatic cells divide in an in vitro culture, the telomeric DNA at the end of the chromosome shortens at each cell division. Then, the replication of human primary cells slows (aging occurs), and the cells finally cease to divide (crisis phase).18,19 To obtain a sufficient number of primary stromal cells for use on a clinical scale, we have to harvest BM many times, and we cannot ignore the burden on the donor. To solve this problem, trials in establishing human stromal cell lines using transduction of viral antigens such as human papillomavirus (HPV) E6/E7 and simian virus 40 (SV40) large T have been reported.20-26These stromal cells could maintain HSCs, but the possibility of transformation was mentioned.26
More recently, Hahn and colleagues27 reported that human primary fibroblasts and epithelial cells that had been transduced with ras or large T alone could not survive in an in vitro culture over the long term. They also suggested that immortalization of human primary cells requires expression of the human telomerase catalytic subunit (hTERT) gene, which maintains the length of the telomere. Other investigators also reported that ectopic expression of hTERT in human primary cells extended their life span.28 29 However, no report has investigated whether hTERT transduction in human stromal cells could be useful in prolonging their life span. In this study, we attempted to establish a long-term CB culture using human stromal cells transduced withhTERT, ras, or the large Tgene. As a result, only hTERT-transduced stromal (hTERT-stromal) cells could be cultured for longer than 1 year with no transformation, and coculture of CB with hTERT-stromal cells could be useful for ex vivo expansion.
Materials and methods
Long-term bone marrow cultures (LTBMCs)
Human BM was obtained by aspiration from the posterior iliac crest of healthy adult volunteers after informed consent. Informed consent admitted by the Sapporo Medical University institutional review board was provided according to the Declaration of Helsinki. BM mononuclear cells (MNCs) were plated in 150-cm2 plastic tissue-culture flasks and incubated overnight. After washing out the nonadherent cells, the adherent cells were cultured in long-term culture (LTC) medium containing minimum essential medium–α, 12.5% horse serum (Gibco BRL, Rockville, MD), 12.5% fetal calf serum (Gibco BRL), 1 × 10−6 M hydrocortisone (Sigma, St Louis, MO), and 1 × 10−4 M β-mercaptoethanol (Sigma) at 37°C in 5% CO2 in a humidified atmosphere. After reaching confluence, they were harvested and cryopreserved as primary stromal cells or used for gene transduction.
Retroviral vectors and transduction of LTBMCs
The retroviral vectors BABE-hygro-hTERT, BABE-puro-ras-V12 (kindly provided by Dr Robert Weinberg), and MFG-tsT-IRES-neo were employed in these experiments (Figure 1). MFG-tsT-IRES-neo was constructed by subcloning the IRES-neoBamHI fragment (approximtately 1400 bp) from pRx-hCD25-ires-neo30 into the BamHI site of MFGtsT.31 Each viral supernatant was produced from the ecotropic packaging cell line BOSC23 by transfection of 8 μg plasmid DNA in LipofectAMINE transfection reagent (Life Technologies, Tokyo, Japan) according to the protocol provided by the manufacturer.32 The viral supernatant from BOSC23 was used to infect the amphotropic packaging cell line ψCRIP-P131,33 and was selected with 0.1 mg/mL hygromycin for 8 days (BABE-hygro-hTERT), with 1 μg/mL puromycin for 4 days (BABE-puro-ras-V12), or with 1 mg/mL G418 for 4 days (MFG-tsT-IRES-neo). The colony-forming units (CFUs) were analyzed by using NIH 3T3 target cells, with varied dilutions of retroviral supernatants. The titers of viral supernatant generated by the producer ψCRIP-P131 cells were 1.75 × 105 CFUs per milliliter (BABE-hygro-hTERT), 2.75 × 105 CFUs per milliliter (BABE-puro-ras-V12), and 5 × 105 CFUs per milliliter (MFG-tsT-IRES-neo), respectively. The viral supernatants were passed through a 0.45-μm filter to remove cellular debris before use. For 8 hours, in the presence of 8 μg/mL polybrene (Sigma), 200 000 primary stromal cells in a 10-cm dish were exposed to viral supernatant containing each retrovirus at an approximate multiplicity of infection of 1 to ensure single-copy integration. After washing with phosphate-buffered saline (PBS), the transduced stromal cells were incubated for 48 hours and selected with 0.1 mg/mL hygromycin (BABE-hygro-hTERT), 1 μg/mL puromycin (BABE-puro-ras-V12), or 1 mg/mL G418 (MFG-tsT-IRES-neo). To evaluate the existence of replication-competent retrovirus in the supernatant of ψCRIP-P131 and transduced stromal cells, we carried out the sarcomagenic+ leukemogenic−(S+L−) focus assay.34 No replication-competent retrovirus was detected in the supernatant of either type of cell. Subconfluent stromal cells were split at 2 × 105 cells per 10 mL LTC medium in a 10-cm dish.
Schematic representation of the retrovirus vectors used in this study.
LTR indicates long terminal repeat; ψ, packaging signal;hTERT, human telomerase catalytic subunit; SV40E, SV40 minimal early promoter; hygro, hygromycin-resistant gene;ras, H-ras; puro, puromycin-resistant gene; tsT, SV40 large T antigen; IRES, internal ribosome entry site; and neo, neo phosphotransferase gene.
Schematic representation of the retrovirus vectors used in this study.
LTR indicates long terminal repeat; ψ, packaging signal;hTERT, human telomerase catalytic subunit; SV40E, SV40 minimal early promoter; hygro, hygromycin-resistant gene;ras, H-ras; puro, puromycin-resistant gene; tsT, SV40 large T antigen; IRES, internal ribosome entry site; and neo, neo phosphotransferase gene.
Analysis of expression of the ras, large T, or hTERT gene by immunoblotting and reverse-transcription– polymerase chain reaction (RT-PCR)
For immunoblot analysis, cells were lysed in a buffer containing 50 mM Tris-HCl (tris(hydroxymethyl)aminomethane–HCl) (pH 7.4), 1% Nonidet P40 (NP40), 150 mM NaCl, and the protease inhibitor mixture. Then, 50 μg lysate was subjected to electrophoresis on a 12.5% sodium dodecyl sulfate (SDS)–polyacrylamide gel and transferred to nitrocellulose membranes in a semidry transfer apparatus (Bio-Rad Laboratories, Tokyo, Japan). As the primary antibody, monoclonal antibody (mAb) PAb 101 (Santa Cruz Biotechnology, Santa Cruz, CA) and mAb 18 (Becton Dickinson, San Jose, CA) were employed for large T antigen and H-ras, respectively. Anti-hTERT antibody was kindly provided by Dr Murray O. Robinson.35 Horseradish peroxidase–conjugated secondary antibodies were purchased from Amersham Pharmacia Biotech (Tokyo, Japan). Proteins were visualized by means of enhanced chemiluminescence (ECL) (Amersham Pharmacia Biotech).
For RT-PCR analysis, total cellular RNA was prepared from cells with the use of the QIAGEN RNeasy kit (Qiagen, Tokyo, Japan). One hundred nanograms of total RNA was reverse transcribed and amplified with the use of the GeneAmp RNA PCR kit and core kit (Applied Biosystems, Foster City, CA) with primers specific for retrovirally encoded hTERT (5′-GACACACATTCCACAGGTCG-3′ and 5′-GACTCGACACCGTGTCACCTAC-3′) or primers specific for human β-actin (5′-GCTCGTCGTCGACAACGGCTC-3′ and 5′-CAAACATGATCTGGGTCATCTTCTC-3′). The RT reaction was performed at 70°C for 10 minutes, followed by amplification by rounds consisting of 94°C for 45 seconds (denaturation), 60°C for 45 seconds (annealing), and 72°C for 90 seconds (extension) for 30 cycles. The PCR products were separated on an agarose gel and visualized by staining with ethidium bromide.
Analysis of hTERT activity and telomere length
The level of telomerase activity in the primary and gene-transduced stromal cells was analyzed by the stretch PCR method36 with the use of a TeloChaser (TOYOBO, Osaka, Japan) according to the manufacturer's instructions. Briefly, the TAG-U primer (5′-GTAAACGACGGCCAGTTTGGGGTTGGGGTTGGGGTTG-3′) was mixed with crude cell extracts and incubated at 37°C for 60 minutes to produce telomeric repeats. The telomeric repeats were amplified by PCR with the use of the CTA-R primer (5′-CAGGAAACAGCTATGACCCCTAACCCTAACCCTAACCCT-3′). The amplified telomeric repeats were then separated by electrophoresis on a 10% polyacrylamide gel and visualized by staining with SYBR GREEN I (Molecular Probes, Eugene, OR). The length of telomere was determined by using a Telo TAGGG Telomere Length Assay (Roche Molecular Biochemicals, Sandhofer, Germany) according to the manufacturer's instructions. Briefly, 1 μg genomic DNA was digested withRsaI and HinfI restriction enzymes and then separated in a 0.8% agarose gel. DNA was transferred to nylon membrane by capillary transfer, and hybridization was performed by using a digoxigenin-labeled telomere-specific probe.
Phenotypic characterization of the primary stromal andhTERT-transduced stromal (hTERT-stromal) cells
Flow cytometric analysis of stromal cells was performed as previously described.37 Briefly, cell suspensions were washed twice with PBS containing 0.1% bovine serum albumin (BSA). For direct assays, aliquots of cells at a concentration of 1 × 106 cells per milliliter were immunolabeled at 4°C for 30 minutes with the following antihuman antibodies: fluorescein isothiocyanate (FITC)–conjugated CD45; CD9 (Immunotech, Marseilles, France); CD166 (ALCAM) (Antigenix America, Huntington, NY); and CD105 (SH-2) (Ancell, Bayport, MN). As an isotype-matched control, mouse immunoglobulin G1-FITC (IgG1-FITC) (Immunotech) was used. For indirect assays, cells were immunolabeled with antihuman CD73 (SH-3) (Alexis Biochemicals, San Diego, CA). As the secondary antibody, goat antimouse IgG (heavy plus light [H plus L])–FITC (Immunotech) was used. Labeled cells were analyzed by a FACScalibur flow cytometer (Becton Dickinson) with the use of CellQuest software. Dead cells were gated out with forward- versus side-scatter window and propidium iodide staining.
RT-PCR analysis of cytokine mRNA and karyotyping
RT-PCR was performed to analyze the mRNA expression of SCF, FL, TPO, IL-6, granulocyte-macrophage colony-stimulating factor (GM-CSF), and stromal cell–derived factor 1 (SDF-1) in the stromal cells. Total RNA was prepared with the use of the QIAGEN RNeasy kit (Qiagen), and RT-PCR was performed by means of the GeneAmp RNA PCR kit and core kit (Applied Biosystems) and oligonucleotide primers. The primer pairs were used as previously described.38-40 The conditions of PCR were an initial denaturation at 94°C for 3 minutes, followed by denaturation at 94°C for 30 seconds, annealing at 56°C for 30 seconds, and extension at 72°C for 60 seconds for 35 cycles, and a final extension at 72°C for 7 minutes. The PCR products were then separated by electrophoresis on a 2% agarose gel. Karyotyping by G-banding was performed according to the International System for Human Cytogenetic Nomenclature.41
Purification of human cord blood CD34+
CB was obtained from normal full-term deliveries after informed consent. After sedimentation of the red blood cells in the CB with the same volume of 6% hydroxyethyl starch at room temperature for 30 minutes, low-density (below 1.077 g/mL) MNCs were separated by Ficoll-Paque Plus (Pharmacia). CD34+ cell purification was conducted by positive selection by means of a MACS Direct CD34 Progenitor Cell Isolation Kit (Miltenyi Biotech, Bergish-Gladbach, Germany) according to the manufacturer's instructions, and the purified cells were cryopreserved. More than 90% of the enriched cells were CD34+ as confirmed by flow cytometric analysis. The thawed cells were washed twice, and viability was determined by trypan blue staining. Only samples containing more than 95% viable cells were used in further studies.
Coculture of hematopoietic cells with primary stromal or hTERT-stromal cells
We plated 200 000 stromal cells in a 25-cm2flask in LTC medium and irradiated them with 2200 cGy when they reached greater than 90% confluence. On the day of coculture, the stromal cells were washed 5 times with PBS before the addition of CB CD34+ cells. We seeded 5000 CB CD34+ cells on a monolayer of either primary stromal or hTERT-stromal cells that had been pre-established in 5 mL serum-free medium, X-VIVO 10 (BioWhittaker, Walkersville, MD), supplemented with 50 ng/mL human TPO (a gift from Kirin Brewery, Tokyo, Japan), 10 ng/mL human SCF (provided by Kirin Brewery), and 50 ng/mL human FL (R&D Systems, Minneapolis, MN) at 37°C in 5% CO2. After 1 week of coculture, 5 mL fresh complete medium containing the same concentrations of cytokines was added, and the coculture was continued for 1 week. At the end of the second week of coculture, nonadherent and adherent hematopoietic cells (HPCs) that were weakly attached to stromal cells were collected by gentle pipetting. Stromal cells and cobblestone-forming hematopoietic cells growing below the stromal layer were left in the culture flasks, and 5 mL fresh medium containing cytokines was added to expand those hematopoietic cells. Likewise, the nonadherent and adherent hematopoietic cells were expanded on stromal cells and harvested at the end of every week. The phenotype and function of the HPCs obtained each week were analyzed as described below.
Analysis of clonogenic cells
Total number of colony-forming units in culture (CFU-Cs) including erythroid burst-forming units (BFU-Es), granulocyte-macrophage colony-forming units (CFU-GMs), and mixed colony-forming units (CFU-Mix's) in uncultured CD34+ or cocultured cells were evaluated. Aliquots of cells were cultured in quadruplicate with the use of 35-mm tissue-culture dishes in 1 mL 0.9% methylcellulose medium containing 30% fetal calf serum, 1% BSA, 50 U/mL penicillin, 50 mg/mL streptomycin, 2 mM L-glutamine, 1 × 10−4 M β-mercaptoethanol, 3 U/mL recombinant human erythropoietin, 10 ng/mL human IL-3, 50 ng/mL SCF, and 10 ng/mL human GM-CSF (MethoCult GF H4434V) (Stem Cell Technologies, Vancouver, BC, Canada). After 14 days of culture in a humidified environment at 37°C in 5% CO2, colonies consisting of 50 or more cells were scored under a microscope.
NOD/SCID mice receiving transplants
Six- to 10-week-old NOD/LtSz-scid/scid (NOD/SCID) mice that had been bred from breeding pairs originally obtained from L. Shultz (Jackson Laboratory, Bar Harbor, ME) were used. All animals were handled under sterile conditions and maintained in microisolators. All animal experiments were performed in accordance with institutional guidelines approved by the Animal Care Committee of Sapporo Medical University. In the presence of TPO, SCF, and FL, 10 000 CB CD34+ cells were cocultured for 2 or 4 weeks on a layer of either primary stromal or hTERT-stromal cells. All HPCs that had expanded above and beneath the stromal cell layer were harvested as described previously.17 The contamination of stromal cells in the HPCs was less than 0.01% under microscopy; the stromal cells could be easily distinguished from the HPCs on the basis of the size of the cells and morphologic appearance. The HPCs obtained were injected through the lateral tail vein into mice that had been irradiated with 400 cGy. Cells were cotransplanted with 5 × 106 irradiated (1500 cGy) PB MNCs from healthy volunteers as accessory cells. The mice were killed by cervical dislocation at 6 weeks after transplantation, and BM (from the femurs) and PB MNCs were harvested as previously described.37 The presence of human HPCs was determined by detection of cells that were positively stained by FITC-conjugated antihuman CD45 with the use of flow cytometry, and by detection of human genomic DNA as described below.
Immunophenotyping of ex vivo–expanded hematopoietic cells and SCID-repopulating cells
Aliquots of cells were stained with FITC- and/or phycoerythrin (PE)–conjugated monoclonal antibodies, including the isotype control antibodies (Immunotech). As to cells obtained from the mice, the cells were blocked in PBS with 10% normal mouse serum (Pharmingen, San Diego, CA) and 1 μL Fc blocking reagent (Pharmingen) at 4°C for 10 minutes prior to staining. First, 1 million cells were incubated with FITC-conjugated CD34 or CD45, and PE-conjugated CD34, CD38, CD41, CD90, glycophorin A, CD117 (Immunotech), CD19, CD11b, CD3 (Dako Japan, Kyoto, Japan), or AC133 (Miltenyi Biotech) at 4°C for 30 minutes; then they were washed twice with PBS containing 0.1% BSA. The cells were analyzed by flow cytometric analysis by means of an EPICS XL flow cytometer (Becton Dickinson) with EPICS analysis software. Cells were gated on the basis of forward and side light scatter to exclude debris.
Analysis of human cell engraftment in mice receiving transplants
PCR amplification of the human ALU repetitive sequence gene was employed as a second test for the presence of human cells in the NOD/SCID mice that had received transplants.42 43 Genomic DNA was isolated from the BM and PB MNCs of mice that had received transplants. The sequences of these primers were 5′-CACCTGTAATCCCAGCAGTTT-3′ and 5′-CGCGATCTCGGCTCACTGCA-3′. DNA samples were denatured at 94°C for 4 minutes, and then amplified by rounds consisting of 94°C for 1 minute (denaturation), 55°C for 45 seconds (annealing), and 72°C for 1 minute (extension) for 35 cycles. The amplification product was visualized as a 221-bp band on 2.5% agarose gel electrophoresis and ethidium bromide staining.
Statistical analysis
Results are expressed as the mean ± standard deviation (SD). The significance of differences was assessed by either the Student t test or the Mann-Whitney U test.
Results
Expression of large T, ras, and hTERT in transduced human stromal cells
First, we confirmed the expression of large T, ras, or hTERT in the respective transduced stromal cells at a population doubling (PD) of 10 by Western blot analysis (Figure2A). Exogenous large T was detected in only the large T–transduced stromal (large T–stromal) cells. Ras was strongly expressed in theras-transduced stromal (ras-stromal) cells, and a low level of endogenous ras was detected in the primary stromal, large T–stromal, and hTERT-stromal cells. Immunoblot analysis revealed that hTERT protein was detected in the hTERT-stromal cells, whereas it was not detected in the other cells (Figure 2A). We also performed RT-PCR analysis to detect hTERT mRNA derived from the transgene. Expression of hTERT mRNA was detected in only the hTERT-stromal cells (Figure 2B). Next, we tested the primary stromal cells and each type of transduced stromal cell for telomerase activity (Figure 2C). Telomerase activity was detected in hTERT-stromal cells as well as in the Hela cells, which served as a positive control. These results demonstrated that retroviral transduction of hTERT cDNA was required to induce telomerase activity in the human stromal cells and that ectopic expression of large T or ras did not induce secondary telomerase activity, in contrast to ectopic expression of papilloma E6/E7.44
Expression of ras, large T, or hTERT in the transduced human stromal cell lines.
Expression of the transgene was analyzed by immunoblot analysis (panel A), by RT-PCR (panel B), or by the level of telomerase activity (panel C). (A) Lane 1, primary stromal cells; lane 2, large T–stromal cells; lane 3, ras-stromal cells; lane 4, hTERT-stromal cells. Anti–large T indicates primary antibody for SV40 large T protein; anti-Ras, antibody for H-ras protein; anti-hTERT, antibody for hTERT protein; anti–β-actin, antibody specific for β-actin protein, as an internal standard. (B) Lane 1, primary stromal cells; lane 2, large T–stromal cells; lane 3, ras-stromal cells; lane 4, hTERT-stromal cells. RT-PCR was performed for the integrated hTERT provirus sequence and the β-actin sequence as an internal standard. (C) Lane 1, human vascular endothelial cells (HUVECs); lane 2, Hela cells; lane 3, primary stromal cells; lane 4, large T–stromal cells; lane 5, ras-stromal cells; lane 6, hTERT-stromal cells.
Expression of ras, large T, or hTERT in the transduced human stromal cell lines.
Expression of the transgene was analyzed by immunoblot analysis (panel A), by RT-PCR (panel B), or by the level of telomerase activity (panel C). (A) Lane 1, primary stromal cells; lane 2, large T–stromal cells; lane 3, ras-stromal cells; lane 4, hTERT-stromal cells. Anti–large T indicates primary antibody for SV40 large T protein; anti-Ras, antibody for H-ras protein; anti-hTERT, antibody for hTERT protein; anti–β-actin, antibody specific for β-actin protein, as an internal standard. (B) Lane 1, primary stromal cells; lane 2, large T–stromal cells; lane 3, ras-stromal cells; lane 4, hTERT-stromal cells. RT-PCR was performed for the integrated hTERT provirus sequence and the β-actin sequence as an internal standard. (C) Lane 1, human vascular endothelial cells (HUVECs); lane 2, Hela cells; lane 3, primary stromal cells; lane 4, large T–stromal cells; lane 5, ras-stromal cells; lane 6, hTERT-stromal cells.
Morphologic appearance of the transduced human stromal cells
The morphologic characteristics of stromal cells were examined by May-Giemsa staining. The hTERT-stromal cells (Figure3B) were flat and rich in the cytoplasm, and had the same appearance as the primary stromal cells (Figure 3A). On the other hand, large T–stromal cells exhibited a round shape and small size (Figure 3C). Ras-stromal cells had a vacuole in the cytoplasm, and showed variable cell size and multiple nucleoli (Figure 3D).
May-Giemsa staining of primary stromal, hTERT-stromal, large T–stromal, and ras-stromal cells.
(A) Primary stromal cells. (B) hTERT-stromal cells. (C) large T–stromal cells. (D) ras-stromal cells. Original magnification for all panels, × 100.
May-Giemsa staining of primary stromal, hTERT-stromal, large T–stromal, and ras-stromal cells.
(A) Primary stromal cells. (B) hTERT-stromal cells. (C) large T–stromal cells. (D) ras-stromal cells. Original magnification for all panels, × 100.
Growth curve of human stromal cells
We examined whether each type of transduced stromal cell could be cultured over the long term (Figure4). The doubling time (DT) of primary stromal cells on the 20th to 30th day of culture was 7.5 days, and it gradually became longer. The primary stromal cells ceased dividing on approximately the 40th day of culture. The growth rates of large T–stromal cells and ras-stromal cells (DT = 0.8 days and 1.1 days, respectively) were faster than that of primary stromal cells. The large T–stromal cells and ras-stromal cells could be cultured over a relatively long period of time; however, cell division stopped in the stromal cell lines at 109 days and 61 days of culture, respectively. The hTERT-stromal cells could be cultured beyond 600 days (at PD = 90). The hTERT-stromal cells grew at a rate (DT = 7 days) similar to that of the primary stromal cells, and they were morphologically similar to the primary stromal cells even at a PD of 90. Therefore, we performed experiments comparing the hTERT-stromal cells and primary stromal cells.
Population doubling of primary and gene-transduced human stromal cells.
The x-axis indicates the number of incubation days, and the y-axis indicates the number of population doublings. × indicates primary stromal cells; ○, hTERT-stromal cells; ⋄, large T–stromal cells; ▴, ras-stromal cells.
Population doubling of primary and gene-transduced human stromal cells.
The x-axis indicates the number of incubation days, and the y-axis indicates the number of population doublings. × indicates primary stromal cells; ○, hTERT-stromal cells; ⋄, large T–stromal cells; ▴, ras-stromal cells.
Characteristics of hTERT-stromal cells and their telomere length
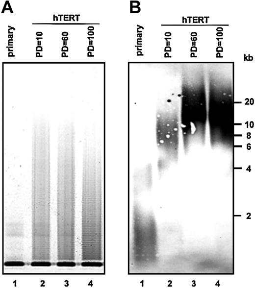
The surface antigens on hTERT-stromal cells (PD = 60) and primary stromal cells (PD = 10) were examined by flow cytometry (Figure 5). Both stromal cell lines expressed CD9, CD166 (ALCAM), CD105 (SH2), and CD73 (SH3), and neither cell line expressed CD45. These results are in agreement with the expression pattern of surface antigens on human stromal cells reported previously.45 Significant expression of several cytokines, including SCF, FL, TPO, IL-6, GM-CSF, and SDF-1, was confirmed in both cell lines by RT-PCR (data not shown). We also confirmed that the hTERT-stromal cells had a normal karyotype at a PD of 60 (data not shown). This finding is in agreement with the previous report that the karyotype of hTERT-introduced human fibroblasts in long-term culture was normal.29 Next, we examined the telomerase activity and the telomere length of the hTERT-stromal cells during the long-term period (Figure 6). Telomerase activity was detected at PDs of 10, 60, and 100 (Figure 6A). Telomere length, 6 to 20 kb on average, was maintained during this time period (Figure6B), suggesting that increased telomerase activity contributed to the maintenance of telomere length.
Flow cytometric analysis of the expression of surface antigens on primary stromal and hTERT-stromal cells.
Stromal cells were immunolabeled with the FITC-conjugated monoclonal antibody specific for the indicated surface antigen. Dead cells were eliminated by forward and side scatter.
Flow cytometric analysis of the expression of surface antigens on primary stromal and hTERT-stromal cells.
Stromal cells were immunolabeled with the FITC-conjugated monoclonal antibody specific for the indicated surface antigen. Dead cells were eliminated by forward and side scatter.
Telomerase activity and telomere length of primary or hTERT-stromal cells.
(A) Telomerase activity. Lane 1, primary stromal cells; lane 2, hTERT-stromal cells at PD = 10; lane 3, hTERT-stromal cells at PD = 60; lane 4, hTERT-stromal cells at PD = 100. (B) Telomere length. Lane 1, primary stromal cells; lane 2, hTERT-stromal cells at PD = 10; lane 3, hTERT-stromal cells at PD = 60; lane 4, hTERT-stromal cells at PD = 100.
Telomerase activity and telomere length of primary or hTERT-stromal cells.
(A) Telomerase activity. Lane 1, primary stromal cells; lane 2, hTERT-stromal cells at PD = 10; lane 3, hTERT-stromal cells at PD = 60; lane 4, hTERT-stromal cells at PD = 100. (B) Telomere length. Lane 1, primary stromal cells; lane 2, hTERT-stromal cells at PD = 10; lane 3, hTERT-stromal cells at PD = 60; lane 4, hTERT-stromal cells at PD = 100.
Hematopoietic support by hTERT-stromal cells in vitro
The HPC support by hTERT-stromal cells was examined. CB CD34+ cells were cultured in serum-free medium containing the 3 cytokines described above in the following 3 conditions for 2 weeks (first period): (1) without stromal cells, (2) with primary stromal cells, or (3) with hTERT-stromal cells. The total number of expanded HPCs, CD34+ cells, and clonogenic cells were evaluated. The total number of cells and the number of CD34+ cells, CFU-Cs, and CFU-Mix's at 2 weeks after the start of coculture with primary stromal cells were remarkably increased in comparison with the respective initial cell number (Table1). When CB CD34+ cells were cocultured with hTERT-stromal cells for 2 weeks, the increases in the total number of cells and in the number of CD34+ cells, CFU-Cs, and CFU-Mix's were similar to the increases in those cocultured with primary stromal cells (Table 1). A low level of expansion of hematopoietic cells was observed, owing to the presence of cytokines even in the absence of both stromal cell lines; however, the total number of cells and number of CD34+ and primitive progenitor cells were 10 times lower than for cells that had been cocultured with either stromal cell (Table 1). We examined the expression of progenitor/stem markers such as CD34, CD90, CD117, and AC133 on the expanded HPCs (Figure 7). CD34+CD117+ and CD34+AC133+ double-positive cells were observed at similar levels in HPCs that had expanded on either primary stromal or hTERT-stromal cells. These findings, together with the results on CFU-Cs, suggested that the hTERT-stromal cells could support hematopoietic cells to an extent similar to that of the primary stromal cells during this period. Starting at the beginning of the third week of culture, we studied the number of HPCs generated from cells beneath the stromal cells each week. As the number of primary stromal cells gradually decreased by 7 weeks, the number of HPCs in the coculture with the primary stromal cells also decreased (Figure8). The HPC expansion on hTERT-stromal cells showed a tendency similar to that on primary stromal cells up to 4 weeks. However, as hTERT-stromal cells were able to survive longer than the primary stromal cells in the serum-free condition, the number of expanded HPCs on hTERT-stromal cells was significantly higher than that on primary stromal cells during the fourth, fifth, and sixth periods. In addition, cobblestone area–forming cells were observed in the culture with hTERT-stromal cells even in the sixth period (data not shown). These results demonstrate that hTERT-stromal cells may be better for long-term coculture of CB cells than primary stromal cells and other reported human stromal cell lines such as HPV E6/E7–transduced stromal cells.20 21
Ex vivo expansion of CB CD34+ cells over 2 weeks
| . | Stroma free . | Primary stroma . | hTERT stroma . |
|---|---|---|---|
| Total cells | 64 ± 4 | 550 ± 25* | 550 ± 62* |
| CD34+ cells | 10 ± 2 | 117 ± 13* | 118 ± 8* |
| CFU-Cs | 6 ± 1 | 67 ± 5* | 71 ± 5* |
| CFU-Mix's | 5 ± 0 | 52 ± 7* | 79 ± 36* |
| . | Stroma free . | Primary stroma . | hTERT stroma . |
|---|---|---|---|
| Total cells | 64 ± 4 | 550 ± 25* | 550 ± 62* |
| CD34+ cells | 10 ± 2 | 117 ± 13* | 118 ± 8* |
| CFU-Cs | 6 ± 1 | 67 ± 5* | 71 ± 5* |
| CFU-Mix's | 5 ± 0 | 52 ± 7* | 79 ± 36* |
Values indicate the fold increase compared with the initial number of cells. Data shown are 1 representative experiment of 2 showing similar results. The results are expressed as mean ± standard deviation (n = 4).
P < .05 versus stroma free (n = 4) (Studentt test).
Expression of surface antigens on primitive HPCs.
Expression of surface antigens on primitive hematopoietic cells that were generated after 2 weeks' expansion of CB-derived CD34+ cells on hTERT-stromal (panel A) or primary stromal cells (panel B). The x-axis indicates CD34 expression labeled with FITC-conjugated monoclonal antibody. The y-axis indicates CD90, CD117, or AC133 expression labeled with PE-conjugated monoclonal antibody. Positivity for a surface antigen was defined by the use of the isotype control monoclonal antibody. Data shown are from 2 independent experiments, each done in quadruplicate.
Expression of surface antigens on primitive HPCs.
Expression of surface antigens on primitive hematopoietic cells that were generated after 2 weeks' expansion of CB-derived CD34+ cells on hTERT-stromal (panel A) or primary stromal cells (panel B). The x-axis indicates CD34 expression labeled with FITC-conjugated monoclonal antibody. The y-axis indicates CD90, CD117, or AC133 expression labeled with PE-conjugated monoclonal antibody. Positivity for a surface antigen was defined by the use of the isotype control monoclonal antibody. Data shown are from 2 independent experiments, each done in quadruplicate.
Production of primitive HPCs.
Production of primitive hematopoietic cells from cobblestone-forming cells beneath the primary stromal cell layer (■) or hTERT-stromal cell layer (▪) over 7 weeks. Expanded hematopoietic cells were harvested each week and analyzed. The x-axis indicates the period of cell expansion, and the y-axis indicates the number of cells. (A) Total number of cells. (B) Number of CD34+ cells. The number of CD34+ cells was calculated from the percentage of CD34+ cells, which was determined by flow cytometric analysis. (C) Total number of clonogenic cells (CFU-Cs). (D) Number of CFU-Mix cells. *P < .05 versus primary stromal cells (Student t test).
Production of primitive HPCs.
Production of primitive hematopoietic cells from cobblestone-forming cells beneath the primary stromal cell layer (■) or hTERT-stromal cell layer (▪) over 7 weeks. Expanded hematopoietic cells were harvested each week and analyzed. The x-axis indicates the period of cell expansion, and the y-axis indicates the number of cells. (A) Total number of cells. (B) Number of CD34+ cells. The number of CD34+ cells was calculated from the percentage of CD34+ cells, which was determined by flow cytometric analysis. (C) Total number of clonogenic cells (CFU-Cs). (D) Number of CFU-Mix cells. *P < .05 versus primary stromal cells (Student t test).
Expansion of SRCs
The results described above strongly suggest that hTERT-stromal cells can support HPCs. However, this is not apparent in HSC populations. Hence, we examined the engraftment of SRCs as a substitute for the in vivo human stem cell assay to evaluate the expansion of HSCs. Irradiated NOD/SCID mice received either the precocultured CB CD34+ cells or the total expanded HPCs that had been generated from coculture with each stromal cell line for 2 or 4 weeks. Simultaneously, 5 × 106 irradiated PB MNCs were cotransplanted in order to approximately adjust the total number of transplanted cells.46 The presence of human cells in the BM and PB of the NOD/SCID mice was evaluated by flow cytometry and ALU PCR analysis 6 weeks after transplantation (Figure9). We found that human ALUsequence gene could be detected by PCR amplification when the hCD45 percentage was more than 0.13% (Figure 9B, lanes 5-8), whereas it was not detectable at an hCD45 of 0.07% (Figure 9B, lane 4). Thus, the cutoff level of the presence of human cells in NOD/SCID mice was arbitrarily determined at an hCD45 of 0.1%. The hCD45+ cells were detected in the BM of mice receiving transplants of HPCs that had been cocultured with the primary stromal or hTERT-stromal cells for 2 weeks (Figure 9A). However, there was no significant difference in the percentage of hCD45+ cells between mice whose transplants of HPCs had been precocultured and mice whose transplants had been cocultured with the primary stromal or hTERT-stromal cells, suggesting that SRCs had not expanded at 2 weeks although the number of clonogenic cells was remarkably increased (Table 1), probably owing to the quiescent nature of human hematopoietic stem cells. The hCD45+ cells were not detected in the BM of mice whose transplants of HPCs had been cultured only with cytokines for 2 weeks, showing that stromal cells are necessary to maintain the SRA of HSCs and that the SRA of HSCs cocultured with hTERT-stromal cells could be maintained at the same level as that of HSCs cocultured with primary stromal cells. The hCD45+ cells were also detected in the BM and PB of mice whose transplants of HPCs had been cocultured with stromal cells for 4 weeks (Figure 9A,C,D). The percentage of hCD45+cells in the BM of mice whose transplants of HPCs had been cocultured with hTERT-stromal cell line was significantly higher than that of mice receiving transplants of precocultured CD34+ cells, whereas the percentage of hCD45+ cells in the BM of mice whose transplants of HPCs had been cocultured with primary stromal cells showed a tendency, although this was not significant (P = .07), to be higher than that of mice receiving transplants of precocultured CD34+ cells (Table2). These results suggested that the amplification of SRCs in CB CD34+ cells that had been cocultured with hTERT-stromal cells might be superior to those cocultured with primary stromal cells. Next, we examined the surface markers on HPCs that had differentiated from SRCs expanded on hTERT-stromal cells (Figure 10B). The majority of cells were CD19+ B-lymphoid or CD11b myeloid-lineage cells, and there were a few CD41+ and glycophorin-A+ cells. The expression pattern of surface antigens on HPCs that had been cocultured with hTERT-stromal cells (Figure 10B) was identical with that on HPCs that had been cocultured with primary stromal cells (Figure 10A) or precocultured CD34+ cells (Figure 10C). This result suggests that primitive HPCs that expand on either primary stromal or hTERT-stromal cells maintain the same ability of multipotent differentiation.
Analyses of human CD45+ (hCD45+) cells in the BM and PB of NOD/SCID mice that had received transplants.
NOD/SCID mice received irradiated accessory cells, precocultured CD34+ cells, or CD34+ cells that had been expanded on hTERT-stromal cells or primary stromal cells. Mice were killed 6 weeks after transplantation, and the BM (panel A) and PB (panel C) were analyzed by flow cytometry. In Panels A and C, × indicates accessory cells; ■, precocultured CD34+cells; ▵ CD34+ cells that had been expanded ex vivo in the absence of stromal cells for 2 weeks; ○, CD34+ cells that had been expanded on primary stromal cells for 2 or 4 weeks; ●, CD34+ cells that had been expanded on hTERT-stromal cells for 2 or 4 weeks. The dotted lines indicate cutoff level (0.1%) of successful engraftment of human hematopoietic cells. *P < .05 versus precocultured CD34+ cells (Mann-Whitney U test). (B) PCR amplification of human ALU sequences and hCD45 percentages of the BM of NOD/SCID mice. Lanes 1-3, mice (n = 3) receiving transplants of accessory cells only; lanes 4-8, mice (n = 5) receiving transplants of precocultured CD34+ cells. Lane 9, PC indicates positive control (human PB MNCs); lane 10, NC indicates negative control mouse (n = 1) without transplants. hCD45% indicates the percentage of the human CD45+ hematopoietic cells in the BM of mice that had received transplants. (D) Representative data of flow cytometric analysis of the PB MNCs of NOD/SCID mice, using antihuman CD45 antibody. NOD/SCID mice received transplants of either precocultured CD34+ cells (upper right), hematopoietic cells that had been expanded on primary stromal cells (lower left), or hTERT-stromal cells (lower right) for 4 weeks. Representative data with an isotype-matched antibody for the PB MNCs of mice that had received transplants were also shown (isotype control, upper left); y-axis shows the staining of propidium iodide (PI).
Analyses of human CD45+ (hCD45+) cells in the BM and PB of NOD/SCID mice that had received transplants.
NOD/SCID mice received irradiated accessory cells, precocultured CD34+ cells, or CD34+ cells that had been expanded on hTERT-stromal cells or primary stromal cells. Mice were killed 6 weeks after transplantation, and the BM (panel A) and PB (panel C) were analyzed by flow cytometry. In Panels A and C, × indicates accessory cells; ■, precocultured CD34+cells; ▵ CD34+ cells that had been expanded ex vivo in the absence of stromal cells for 2 weeks; ○, CD34+ cells that had been expanded on primary stromal cells for 2 or 4 weeks; ●, CD34+ cells that had been expanded on hTERT-stromal cells for 2 or 4 weeks. The dotted lines indicate cutoff level (0.1%) of successful engraftment of human hematopoietic cells. *P < .05 versus precocultured CD34+ cells (Mann-Whitney U test). (B) PCR amplification of human ALU sequences and hCD45 percentages of the BM of NOD/SCID mice. Lanes 1-3, mice (n = 3) receiving transplants of accessory cells only; lanes 4-8, mice (n = 5) receiving transplants of precocultured CD34+ cells. Lane 9, PC indicates positive control (human PB MNCs); lane 10, NC indicates negative control mouse (n = 1) without transplants. hCD45% indicates the percentage of the human CD45+ hematopoietic cells in the BM of mice that had received transplants. (D) Representative data of flow cytometric analysis of the PB MNCs of NOD/SCID mice, using antihuman CD45 antibody. NOD/SCID mice received transplants of either precocultured CD34+ cells (upper right), hematopoietic cells that had been expanded on primary stromal cells (lower left), or hTERT-stromal cells (lower right) for 4 weeks. Representative data with an isotype-matched antibody for the PB MNCs of mice that had received transplants were also shown (isotype control, upper left); y-axis shows the staining of propidium iodide (PI).
Engraftment of hCD45+ cells in bone marrow and peripheral blood in NOD/SCID mice
| . | Mice with reconstituted cells/transplant recipients, no. . | CD45+ cells in BM of recipients, % . | CD45+ cells in PB of recipients, % . |
|---|---|---|---|
| Accessory cells | 0/3 | ND | ND |
| Precoculture | 4/5 | 1.67 ± 2.06 | ND |
| Stroma free, 2 wk | 0/3 | ND | ND |
| Primary, 2 wk | 3/5 | 0.79 ± 1.00 | ND |
| hTERT, 2 wk | 5/5 | 1.65 ± 1.33 | ND |
| Primary, 4 wk | 5/5 | 5.88 ± 4.86 | 0.15 ± 0.09 |
| hTERT, 4 wk | 5/5 | 9.67 ± 5.57* | 0.27 ± 0.23 |
| . | Mice with reconstituted cells/transplant recipients, no. . | CD45+ cells in BM of recipients, % . | CD45+ cells in PB of recipients, % . |
|---|---|---|---|
| Accessory cells | 0/3 | ND | ND |
| Precoculture | 4/5 | 1.67 ± 2.06 | ND |
| Stroma free, 2 wk | 0/3 | ND | ND |
| Primary, 2 wk | 3/5 | 0.79 ± 1.00 | ND |
| hTERT, 2 wk | 5/5 | 1.65 ± 1.33 | ND |
| Primary, 4 wk | 5/5 | 5.88 ± 4.86 | 0.15 ± 0.09 |
| hTERT, 4 wk | 5/5 | 9.67 ± 5.57* | 0.27 ± 0.23 |
ND indicates hCD45% values below the cutoff level (0.1%) ± standard deviation.
P < .05, compared with precoculture group (Mann-Whitney U test).
Flow cytometric analysis of lineage markers on human hematopoietic cells engrafted in NOD/SCID mice.
For 4 weeks, CD34+ cells were expanded on primary stromal cells (A), expanded on hTERT-stromal cells (B), or not expanded (precocultured; C), followed by transplantation into NOD/SCID mice. Hematopoietic cells were immunolabeled with FITC-conjugated hCD45 antibody to ensure human origin and with PE-conjugated antibody specific for the indicated lineage marker. Data shown are from 1 experiment representative of 5 showing similar results.
Flow cytometric analysis of lineage markers on human hematopoietic cells engrafted in NOD/SCID mice.
For 4 weeks, CD34+ cells were expanded on primary stromal cells (A), expanded on hTERT-stromal cells (B), or not expanded (precocultured; C), followed by transplantation into NOD/SCID mice. Hematopoietic cells were immunolabeled with FITC-conjugated hCD45 antibody to ensure human origin and with PE-conjugated antibody specific for the indicated lineage marker. Data shown are from 1 experiment representative of 5 showing similar results.
Discussion
We successfully established a long-term culture system usinghTERT gene–transduced human stromal cells, which maintained the same characteristics and functions as the primary stromal cells. Because the primary stromal cells did not have telomerase activity (Figure 2C), they could not avoid entering crisis as a result of shortening of the telomeric DNA (Figure 4). Large T– and ras-stromal cells grew rapidly, and their PD values were higher than those of primary stromal cells (Figure 4). However, they finally entered crisis at a PD of 70 (Figure 4) because they did not have telomerase activity (Figure 2C). Since cell proliferation was accelerated in the large T– and ras-stromal cells and since the telomere shortens at each cell division, these 2 cell lines may have had increased genomic instability, leading to growth arrest. Cloning of telomerase-positive cells47 or the additional factor that activates telomerase would be necessary for large T– and ras-stromal cells to overcome cell crisis. We also tried to coculture CB CD34+ cells with large T– or ras-stromal cells; however, they did not show contact inhibition in spite of the serum-free condition and exposure to irradiation, resulting in overgrowth and ruin of the stromal layer. Consequently, the large T–stromal and ras-stromal cell populations could not practically support HPCs. These results are consistent with a previous report,25 and cloning of these gene-transduced stromal cells showing adequate growth might be required.26
It has recently been reported that hTERT-transduced primary fibroblasts31 and endothelial cells48could be maintained in long-term culture. However, it has also been reported that primary human keratinocytes and epithelial cells required not only the activation of hTERT but also the inactivation of Rb/p16INK4a for immortalization.49 Whether immortalization of primary human cells could be achieved by the ectopic expression of hTERT might depend on the cell type. In the present study, we could establish a long-term culture of a human stromal cell population by simply introducing the hTERT gene without a cloning procedure. We also confirmed that hTERT-stromal cells could be established with the use of stromal cells obtained from the BM of several persons by the same method. All of the established hTERT-stromal cells could be cultured over the long term and support HPCs in vitro. These findings indicate that it may be possible to establish hTERT-stromal cell lines by using BM samples from any individual.
The hTERT-stromal cells had phenotypes and growth similar to those of the primary stromal cells (Figures 4-5). Unlike human stromal cells transduced with the E6/E7 gene, which led to chromosomal instability,50 hTERT-stromal cells showed the normal karyotype even after long-term culture. In the coculture system, the hTERT-stromal cells could support clonogenic cells (Figure 8) and in vivo repopulating stem cells (Figure 9) to an extent similar to that of the primary stromal cells. The only difference detected between the hTERT-stromal cells and primary stromal cells was that the hTERT-stromal cells supported HPCs in coculture for a longer length of time than the primary stromal cells. This difference may be due to the longer survival of hTERT-stromal cells in the serum-free condition compared with primary stromal cells.
The actual hematopoietic support activity of hTERT-stromal cells was similar to that of primary stromal cells. However, the hTERT-stromal cells, unlike the primary stromal cells, could be expanded and cryopreserved without transformation. Thus, we can prepare a large quantity of these human stromal cells at any time. Moreover, when a serum-free medium is used, the risks of contamination of heterogenic antigen and infectious danger are small. Taking advantage of these stromal cells, clinical research on ex vivo expansion could be facilitated. For example, progenitor cells such as CD34+ cells and CFU-Mix's were extensively expanded more than 1000-fold in this system in 7 weeks, and it may be possible to use these expanded cells as a new source of blood transfusion after differentiation of the expanded cells into megakaryocytes or erythroblast progenitor cells. In addition, establishment of patients' stromal cell lines could be useful for studying hematopoietic disorders related to stromal dysfunction51 and in the test of a drug's sensitivity for repeated and high-dose chemotherapy. Moreover, this method could be used to recover the function of the BM microenvironment as the source of stromal transplantation and to develop bioartificial BM that could reconstitute the BM microenvironment ex vivo.
In conclusion, we successfully established human stromal cell lines that could expand HPCs by simply introducing hTERT cDNA into primary human stromal cells. The phenotype and function of the hTERT-stromal cells were identical with those of the primary stromal cells. The hTERT-stromal cells could be expanded in an in vitro culture and cryopreserved. Thus, hTERT-stromal cells could be useful for clinical studies and they are available for analyzing the function of human stromal cells.
We thank Dr Hiroshi Isogai, DVM, PhD, and Ms Noriko Kawano, staff members of the animal facility of Sapporo Medical University, for care of the NOD/SCID mice colony.
Prepublished online as Blood First Edition Paper, September 5, 2002; DOI 10.1182/blood-2002-04-1268.
Supported in part by grants from the Ministry of Education, Culture, Sports, Science and Technology (H.H.); the Ministry of Health, Labour and Welfare of Japan (H.H.); and New Energy and Industrial Technology Development, Japan (T.M.).
The publication costs of this article were defrayed in part by page charge payment. Therefore, and solely to indicate this fact, this article is hereby marked “advertisement” in accordance with 18 U.S.C. section 1734.
References
Author notes
Hirofumi Hamada, Department of Molecular Medicine, Sapporo Medical University, Chuo-ku S1, W17, Sapporo, 060-8556, Japan; e-mail: hhamada@sapmed.ac.jp.










This feature is available to Subscribers Only
Sign In or Create an Account Close Modal