Abstract
Folate receptor (FR) type β is a promising target for therapeutic intervention in acute myelogenous leukemia (AML) owing particularly to its specific up-regulation in AML cells by all-trans retinoic acid (ATRA). Here we identify functional elements in the FR-β gene and examine the molecular mechanism of transcriptional induction of FR-β by ATRA. The basal promoter activity of FR-β resulted from synergistic interaction between Sp1 and ets binding sites (EBSs) and repression by upstream AP-1–like elements, whose action required EBSs. A minimal promoter containing the Sp1 and ets elements was ATRA-responsive. The repressor elements bound Fos family proteins; association of the proteins with the repressor elements correlated negatively with FR-β expression in peripheral blood neutrophils and monocytes and also in KG-1 (AML) cells grown in the absence or in the presence of ATRA. Furthermore, down-regulation of FR-β in KG-1 cells treated with O-tetradecanoylphorbol 13-acetate (TPA) was accompanied by increased AP-1 binding to the repressor elements. From chromatin immunoprecipitation (ChIP) assays, the nuclear retinoic acid receptor α (RARα) associated with the Sp1 region, and RARs β and γ associated with the AP-1 and Sp1 regions; treatment of KG-1 cells with ATRA did not alter Sp1 binding but increased the association of RARα and decreased the association of RARs β and γ. ATRA also decreased RAR expression levels. The results suggest that the FR-β gene is a target for multiple coordinate actions of nuclear receptors for ATRA directly and indirectly acting on a transcriptional complex containing activating Sp1/ets and inhibitory AP-1 proteins. The multiple mechanisms favor the prediction that ATRA will induce FR-β expression in a broad spectrum of AML cells. Further, optimal FR-β induction may be expected when all 3 RAR subtypes bind agonist.
Introduction
The 3 human folate receptor (FR) isoforms, FRs -α, -β, and -γ are glycopolypeptides that share approximately 70% amino acid sequence identity.1, 2, 3, 4 FR-α and FR-β are attached to the cell surface by a glycosylphosphatidylinositol (GPI) anchor, whereas FR-γ is constitutively secreted.1,5, 6, 7 Each of the FR isoforms has a relatively narrow tissue and tumor specificity. FR-α is expressed in certain normal epithelial tissues and in major types of gynecologic and other tumors.8, 9, 10, 11, 12, 13 FR-β is expressed during hematopoiesis in the myelomonocytic lineage and is increased during neutrophil maturation and monocyte/macrophage activation.14,15 FR-β is also expressed in approximately 70% of the cases in acute myelogenous leukemia (AML), with no particular relationship to the French-American-British classification of the leukemias.16 The secreted FR-γ is expressed in lymphoid cells.7
Owing to the restricted expression of FR-α in normal tissues at the luminal surfaces, where it is inaccessible via the bloodstream, the receptor may be selectively targeted with various therapeutic agents in malignant cells expressing the protein. Indeed preclinical and clinical studies have shown that FR-α–rich tumors may be effectively targeted using folic acid conjugates of cytotoxins and radionucleotides, folate-coated liposomal drugs, novel FR-α–specific antifolate drugs, and various FR-α–based immunotherapeutic drugs.17, 18, 19, 20, 21, 22, 23 We have recently shown that FR-β may be similarly targeted in AML cells using folate-coated liposomal doxorubicin.16 In contrast to AML cells, FR-β in normal neutrophils is unable to bind folate, likely because of posttranslational modification.16 FR-β in KG-1 AML cells and in primary cultures of leukemic cells from AML patients may also be up-regulated in a tissue-specific manner by all-trans retinoic acid (ATRA) by a pathway that is independent of ATRA-induced cell growth inhibition and terminal differentiation.24 Thus, ATRA can induce overexpression of FR-β in AML cells refractory to ATRA differentiation therapy, facilitating FR-targeted therapies. In preliminary studies using a mouse ascites leukemia model, ATRA treatment substantially increased the therapeutic efficacy of folate-coated liposomal doxorubicin.16
We have previously reported that FR-β induction in AML cells occurs by a transcriptional mechanism and that this may be mediated by any of the 3 nuclear retinoic acid receptors (ie, RARs α, β, and γ).24 There also appeared to be cross-talk between agonists and antagonists specific for different RAR isoforms, suggesting a common downstream target for the nuclear receptors during FR-β induction; however, the identity of the immediate target gene was not established.24 The present study provides evidence that the FR-β gene is both a direct and an indirect target for the action of retinoic acid receptors. Understanding the molecular mechanism of retinoid induction of FR-β in AML cells is important to help determine the clinical contexts in which FR-targeted therapies may be used in AML and the type of retinoids that will be most effective.
It has been previously reported that the FR-β gene contains 5 exons and 4 introns and that it is driven by a TATA-less basal promoter containing Sp1 and ets binding sites (EBSs).25 The promoter lacks the classical retinoic acid response element (RARE). Here we first functionally characterize the FR-β promoter, demonstrating that the basal promoter activity is governed by synergistic interaction between the Sp1 and ets elements and that they mediate an ATRA response. We further identify and characterize upstream repressor elements that bind AP-1 (fos) proteins, which are functionally dependent on ets. We show that the AP-1 interactions with the FR-β gene are regulated during differentiation and in a cell-mediated manner by ATRA or O-tetradecanoylphorbol 13-acetate (TPA). We then provide evidence that RAR subtypes interact in vivo in different ways at both the Sp1 and the AP-1 sites in a ligand-dependent manner and that ATRA also regulates RAR expression. This study offers a unique example for multiple coordinate actions of ATRA on the same target gene. The significance of these findings in the context of the use of retinoids to facilitate FR-β targeting is discussed.
As in previous studies, the FR-negative 293 human embryonal cells were used here for functional studies of the FR-β promoter because of the inherent difficulty of efficiently transfecting the appropriate human hematopoietic cells with the promoter constructs. The in vitro and in vivo associations of transcription factors with the FR-β gene were studied in hematopoietic cells (KG-1 AML cells and peripheral blood cells) in which the endogenous FR-β gene is functional.
Materials and methods
Cells and reagents
KG-1 and 293 cells were purchased from American Type Culture Collection (Rockville, MD). Cells were cultured at 37°C in 5% CO2. The cell-culture media were supplemented with 100 U/mL penicillin, 100 μg/mL streptomycin, and 292 μg/mL L-glutamine (Gibco-BRL, Grand Island, NY). KG-1 cells were grown in RPMI-1640 medium with 20% fetal bovine serum (FBS), and 293 cells were grown in Eagle minimum essential medium (MEM) with 10% FBS (Gibco-BRL). ATRA, TPA, and 9-cis retinoic acid (9-cis RA) were purchased from Sigma-Aldrich (St Louis, MO). ATRA and TPA stock solutions were made in a mixture of 50% ethanol and 50% dimethyl sulfoxide at 5 mM and 0.2 mM concentrations, respectively. At a concentration of 5 mM, 9-cis RA stock solution was made in ethanol. All stock solutions were stored in aliquots at – 80°C. All antibodies used in this study were purchased from Santa Cruz Biotechnologies (Santa Cruz, CA).
DNA constructs
The FR-β genomic DNA fragment, – 475 nucleotide (nt) to + 65 nt, was inserted into pGL3 basic vector (Promega, Madison, WI) between KpnI and NheI restriction sites in the polylinker upstream of the luciferase reporter gene. Internal deletion constructs were made by 2-step polymerase chain reactions (PCRs) using complementary primers introducing the deletion in conjunction with upstream and downstream primers containing restriction sites. To generate a series of 5′ end deletion constructs of the FR-β promoter, mutagenic oligonucleotides containing restriction sites were used as end primers to amplify by PCR the desired sequences using the FR-β genomic fragment (– 475 nt, + 65 nt) as the template. The (– 475, + 65) ΔSp1 construct was generated by PCR using the mutagenic oligonucleotides 5′-CTTGAAGAGGTCTGGAAGGGAAGGAAGAGA-3′ and 5′-CCCTTCCAGACCTCTTCAAGGCTCCCTGAG-3′ to delete the Sp1 site (– 78 nt to – 65 nt) in conjunction with upstream and downstream primers containing restriction sites. The (– 475, + 65) ΔEBS construct was generated by PCR using the mutagenic oligonucleotides 5′-GGTGGGGTCTAGAATAGCTAAGTAGGGAGA-3′ and 5′-TAGCTATTCTAGACCCCACCCTCTTCAAGG-3′ to delete the EBS (– 64 nt to – 43 nt) in conjunction with upstream and downstream primers containing restriction sites. The PCR reactions were performed using Vent DNA polymerase (New England Biolabs, Beverly, MA). The PCR products were cut at KpnI and NheI restriction sites introduced through the upstream and downstream primers and cloned into the pGL3 basic plasmid. The recombinant plasmids were amplified in XL1 Blue (Stratagene, La Jolla, CA) and purified by CsCl density gradient centrifugation followed by phenol-chloroform extraction and ethanol precipitation. The DNA sequences of the constructs were verified using the Beckman CEQ 2000 automated sequencer (Beckman Coulter, Fullerton, CA).
Transient transfection and luciferase assay
At 50% to 60% confluence 293 cells were transfected in 6-well tissue-culture plates, with 0.5 μg each of the FR-β promoter-luciferase construct and pSV-β-gal (Promega) using Fugene (Roche, Indianapolis, IN) according to the vendor's protocol. At 48 hours after transfection, the cells were harvested in the reporter lysis buffer provided with the luciferase assay system (Promega) and centrifuged at 14 000g for 2 minutes at room temperature. The supernatant was assayed for luciferase and the values normalized to β-galactosidase activity as previously described.26
Stable transfection
At 60% confluence 293 cells were cotransfected in 100-mm plates, with 9 μg each of the appropriate FR-β promoter-luciferase construct and 3 μg pcDNA1/Neo plasmid (Invitrogen, Carlsbad, CA) using Fugene (Roche) according to the vendor's protocol. At 40 hours after transfection, the cells were transferred into MEM containing G418 (0.5 mg/mL; Gibco-BRL). The cells were selected for G418 resistance for 3 weeks, pooled, and seeded in 6-well plates for the ATRA treatment experiments. The cells were treated with either vehicle alone or ATRA (1 μM) for 3 days, and then the cell lysates were assayed for luciferase activity.
Isolation of neutrophils and monocytes from human venous blood
Neutrophils and monocytes were isolated from human venous blood using the Mono-Poly resolving medium (M-PRM; ICN Biochemicals Technical Information, Aurora, OH) following the vendor's protocol. In brief, M-PRM was mixed well by inverting 2 to 3 times immediately before use. Fresh, heparin-treated human venous blood (3.5 mL) was layered onto 3 mL of M-PRM in a sterile 13 × 100-mm test tube and centrifuged at 300g for 30 minutes at room temperature. The following fractions were separated from top to bottom: plasma, monocytes, neutrophils, and red blood cells. The plasma was drawn off using a Pasteur pipette. The monocyte and neutrophil bands were transferred into individual tubes using different Pasteur pipettes. The cells were washed with cold phosphate-buffered saline (PBS; 10 mM sodium phosphate, pH 7.5, per 150 mM NaCl) twice and snap frozen in dry ice/ethanol. The cell pellets were used for making nuclear extracts.
Treatment of cells and preparation of nuclear extracts
KG-1 cells growing in log phase were seeded into 150-mm tissue-culture plates at a density of 2.5 × 105 cells/mL in 16 mL of medium. After a 6-hour preculture, cells were treated with vehicle, ATRA (1 μM) or TPA (0.05 μM). After a further 48-hour incubation, 4 mL fresh medium containing ATRA or TPA was added to the cells. On day 5, the cells were harvested by centrifugation at 400g for 10 minutes and washed twice with PBS at 4°C. The TPA-treated cells were tested by staining with α-naphthyl acetate esterase (NAE) using an NAE staining kit (Sigma-Aldrich) following the supplier's protocol, to ensure that they had differentiated into monocytes. At 30% confluence 293 cells were seeded onto 150-mm tissue-culture plates. The cells were washed twice with PBS and harvested at 90% confluence. The cell pellets were snap frozen in dry ice/ethanol and stored at – 80°C for 30 minutes. Nuclear extracts were prepared as described.27 The nuclear extracts were desalted using G-25 Sephadex columns (Roche Diagnostics) following the supplier's protocol. The protein concentrations in the extracts were determined by the Bradford assay (BioRad, Hercules, CA).
Electrophoretic mobility shift assay (EMSA)
Nuclear protein extracts were incubated with 1 μg poly (dI-dC) at 4°C for 15 minutes in binding buffer (12 mM HEPES [N-2-hydroxyethylpiperazine-N′-2-ethanesulfonic acid], pH 7.9; 60 mM KCl; 4 mM MgCl; 1 mM EDTA [ethylenediaminetetraacetic acid]; 12% glycerol; 1 mM dithiothreitol; and 0.5 mM phenylmethylsulfonyl fluoride [PMSF]). Then 30 000 cpm of the 32P-labeled double-stranded synthetic oligonucleotide probe was added and the reaction was incubated at 4°C for 20 minutes. In competition studies, nuclear extracts were preincubated with 50 or 100 ng unlabeled probes at room temperature for 30 minutes and incubated with labeled probe at room temperature for 20 minutes. In order to immunologically identify protein components in the protein-DNA complexes, nuclear extracts were incubated with 2.5 μg of the appropriate antibody at room temperature for 30 minutes followed by the addition of labeled probe and a further incubation at room temperature for 20 minutes. In EMSA experiments requiring the mixing of ATRA or 9-cis RA, KG-1 cell nuclear extracts were mixed with the compound at room temperature for 30 minutes and incubated with labeled probe at room temperature for 20 minutes. The reaction mixtures were electrophoresed on 4% polyacrylamide gels at 175 volts for 2 hours and subjected to autoradiography.
Chromatin immunoprecipitation (ChIP)
This protocol was adapted from previous reports.28,29 Either untreated KG-1 cells or cells treated with 1 μM ATRA for 24 hours were incubated with formaldehyde (1%) in 20 mL cell culture media at room temperature for 15 minutes. The reaction was stopped by adding glycine (125 mM), and the cells were kept at room temperature for 5 minutes. The cells were then harvested and washed twice with ice-cold PBS. The following procedures were performed at 4°C unless stated otherwise. Cell pellets were suspended in 10 mL ChIP lysis buffer (50 mM HEPES-KOH, pH 8; 1 mM EDTA; 0.5 mM EGTA [ethylene glycol tetraacetic acid]; 140 mM NaCl; 10% glycerol; 0.5% nonidet P-40; 0.25% Triton X-100; 1 mM PMSF; and 5 μg/mL each of aprotinin, leupeptin, and pepstatin A) and incubated for 10 minutes. The nuclear pellets were collected after centrifugation at 600g for 5 minutes and resuspended in 10 mL washing buffer (10 mM Tris [tris(hydroxymethyl)aminomethane]–HCl, pH 8; 1 mM EDTA; 0.5 mM EGTA; 200 mM NaCl; 1 mM PMSF; and 5 μg/mL each of aprotinin, leupeptin, and pepstatin A) and incubated for 10 minutes. The washed nuclei were collected by centrifugation and resuspended in 2 mL radioimmunoprecipitation assay (RIPA) buffer (10 mM Tris-HCl, pH 8; 1 mM EDTA; 0.5 mM EGTA; 140 mM NaCl; 1% Triton X-100; 0.1% Na-deoxycholate; 0.1% sodium dodecyl sulfate [SDS]; 1 mM PMSF; and 5 μg/mL each of aprotinin, leupeptin, and pepstatin A). Samples were sonicated on ice with a sonic dismembrator (Fisher Scientific Company, Pittsburgh, PA) at output 3 for 10 seconds pulse-on time followed by 40 seconds pulse-off time, and this procedure was repeated 3 times resulting in chromatin fragmented to an average length of about 500 bp. Samples were then centrifuged twice at 16 000g for 10 minutes. Then, 2 μg of antibody to human RARα, RARβ, RARγ,orSp1 was added to each aliquot of cleared chromatin extract and the reaction mixture incubated overnight on a rotary shaker. Then the samples were mixed with sonicated salmon sperm DNA (100 μg/mL) and 20 μL of 50% protein A beads for a 6-hour incubation. The samples were centrifuged at 600g for 5 minutes, and the pellets were washed twice with RIPA buffer containing 100 μg/mL salmon sperm DNA for 5 minutes with rotation; 5 times with RIPA buffer containing 500 mM NaCl and 100 μg/mL salmon sperm DNA for 5 minutes with rotation; once with LiCl buffer (10 mM Tris-HCl, pH 8; 1 mM EDTA; 0.5 mM EGTA; 250 mM LiCl; 1% Triton X-100; 1% Na deoxycholate; 1 mM PMSF; and 5 μg/mL each of aprotinin, leupeptin, and pepstatin A) for 10 minutes with rotation; and once with RIPA buffer for 5 minutes with rotation. The samples were suspended in 100 μL digestion buffer (50 mM Tris-HCl, pH 8; 1 mM EDTA; 100 mM NaCl; 0.5% SDS; and 100 μg/mL proteinase K) and incubated at 55°C for 3 hours and then at 65°C for 6 hours. The samples were treated with 10 μg/mL RNAase A at 37°C for one hour, extracted once with phenol-chloroform and once with chloroform and precipitated in the presence of 0.3 M sodium acetate in 2 volumes of ethanol at – 20°C overnight. The DNA pellets were dissolved in 50 μL of water. PCR amplification of a 170-bp Sp1/EBS-containing fragment (– 168 nt to +3 nt) was carried out (using primers 5′-GAATGTGTGGATGCTGGAATGAGTAAATTAACAAG-3′ and 5′-CGCTCTGGTAAGCACTGAGTGAAATCTCCCTAC-3′). Other primers (5′-GCCTACTCAGTATGTGCCAGGCTTTCCCTATAC-3′ and 5′-GATGGAGATTAGGTCTGGTGGAAAAGAACCCAGG-3′) were used to amplify a 180-bp fragment containing the repressor elements (– 440 nt to – 260 nt). A pair of primers (5′-CTGCTCCTGTTGTTGAGTGCCTTCCAGGAC-3′ and 5′-TCTATGCAACCAAAACCACCTGAAAAACGATAGAAG-3′) amplifying a 170-bp fragment (774 nt to 943 nt) located about 1 kilobase downstream from the Sp1 site served as a negative control. The PCR products were resolved electrophoretically on a 2% agarose gel and stained with ethidium bromide.
Western blot analysis
KG-1 cell nuclear extracts (10 μg or 20 μg) were mixed with an equal volume of 2 × sodium dodecyl sulfate–polyacrylamide gel electrophoresis (SDS-PAGE) loading buffer (62.5 mM Tris-HCl, pH 6.8; 10% glycerol; 2% SDS; 5% 2-mercaptoethanol; and 0.001 25% bromophenol blue). The samples were resolved on 12% SDS-PAGE gels and electrophoretically transferred to nitrocellulose filters. The blots were probed with rabbit antihuman RARα, RARβ, or RARγ antibodies followed by goat anti–rabbit immunoglobulin G (IgG) conjugated to horseradish peroxidase. The bands were visualized by enhanced chemiluminescence.
Results
Functional elements in the FR-β promoter
All of the functional studies of the FR-β promoter (Figure 1A) were carried out using promoter-luciferase reporter constructs and transfecting 293 human embryonal cells, which were chosen because of the ease of efficient transfection and the relatively high activity of the proximal FR-β promoter in these cells. The absolute requirement of the Sp1 element (– 77 nt to – 68 nt) for the proximal promoter activity of the FR-β gene is evident in Figure 1B, which shows that deletion of this element reduced the activity almost to the background level. However, deletion of the ets binding site (EBS) (– 64 nt to – 44 nt) while retaining the Sp1 element resulted in a residual activity of only 25% (Figure 1B), indicating a strong synergy in the interaction of ets and Sp1 in supporting the basal promoter activity.
Functional analysis of the FR-β gene promoter. As described in “Materials and methods,” 293 cells were cotransfected with the wild-type or mutant FR-β promoter-luciferase construct and a β-galactosidase expression plasmid. Cells were harvested and tested for luciferase and β-galactosidase activity 48 hours after transfection. The luciferase activity was normalized to β-galactosidase activity. (A) Schematic of the FR-β gene promoter. The numbers indicate nucleotide positions in relation to the transcription start site (+ 1 nt). (B) Function of the Sp1 and ets elements in the FR-β gene. The FR-β gene promoter constructs were inserted in the pGL3 basic vector. The numbers in parentheses indicate the 5′ and 3′ ends of the promoter fragments in relation to the transcription start site (+ 1 nt). ΔSp1 indicates an internal deletion of the Sp1 site (– 78 nt to – 65 nt). ΔEBS indicates an internal deletion of the ets binding site (– 64 nt to – 43 nt). (C) Functional mapping of repressor elements in the FR-β promoter. The DNA sequences of the promoter constructs are numbered as described for panel B and also shown schematically. (D) Potential binding sites for transcription factors in the FR-β promoter sequence – 368 nt to – 308 nt. (E) Functional interaction between the repressor elements and the EBS in the FR-β promoter. The DNA sequences of the promoter constructs are numbered as described for panel B. Each experiment was repeated at least 4 times, and concordant results were obtained. Each bar is expressed as means of triplicate experiments. Error bar stands for SD.
Functional analysis of the FR-β gene promoter. As described in “Materials and methods,” 293 cells were cotransfected with the wild-type or mutant FR-β promoter-luciferase construct and a β-galactosidase expression plasmid. Cells were harvested and tested for luciferase and β-galactosidase activity 48 hours after transfection. The luciferase activity was normalized to β-galactosidase activity. (A) Schematic of the FR-β gene promoter. The numbers indicate nucleotide positions in relation to the transcription start site (+ 1 nt). (B) Function of the Sp1 and ets elements in the FR-β gene. The FR-β gene promoter constructs were inserted in the pGL3 basic vector. The numbers in parentheses indicate the 5′ and 3′ ends of the promoter fragments in relation to the transcription start site (+ 1 nt). ΔSp1 indicates an internal deletion of the Sp1 site (– 78 nt to – 65 nt). ΔEBS indicates an internal deletion of the ets binding site (– 64 nt to – 43 nt). (C) Functional mapping of repressor elements in the FR-β promoter. The DNA sequences of the promoter constructs are numbered as described for panel B and also shown schematically. (D) Potential binding sites for transcription factors in the FR-β promoter sequence – 368 nt to – 308 nt. (E) Functional interaction between the repressor elements and the EBS in the FR-β promoter. The DNA sequences of the promoter constructs are numbered as described for panel B. Each experiment was repeated at least 4 times, and concordant results were obtained. Each bar is expressed as means of triplicate experiments. Error bar stands for SD.
The proximal promoter activity of the FR-β gene was decreased by more than 75% in the presence of the DNA sequence upstream of the promoter (up to – 475 nt) (Figure 1C), suggesting the presence of repressor elements in this region. A systematic 5′ deletion analysis of this region of the FR-β promoter (Figure 1C) revealed 2 regions (– 368 nt to – 348 nt and – 328 nt to – 311 nt) that appeared to cumulatively account for the repression. An internal deletion covering the 2 regions (Δ– 368, – 308) (Figure 1C) restored the promoter activity. Inspection of this sequence (Figure 1D) revealed 2 AP-1–like elements; deletion of these 2 elements together (– 358 nt to – 352 nt and – 328 nt to – 298 nt) also restored the promoter activity (Figure 1C), whereas deletion of a single Ap-1–like element (– 358 nt to – 352 nt) partially restored the promoter activity. Thus the repression of the proximal promoter activity of the FR-β gene by its upstream sequence appears to be a specific effect of 2 AP-1–like elements.
To further test the specificity of the repressor elements in the FR-β gene, it was of interest to examine whether the repressor elements exerted their effect by interaction with transcription factors involved in the basal (proximal) promoter. When the EBS was internally deleted, 5′ deletion of the upstream repressor region did not affect the residual promoter activity (Figure 1E), suggesting functional interactions between the repressor and ets binding elements. This result also suggests that the repression by the AP-1–like elements constitutes a specific effect on the proximal promoter.
Minimal promoter elements for transcriptional activation by ATRA
To map the minimal promoter fragment that could be activated by ATRA, 5′-deleted FR-β promoter-luciferase reporter constructs were transfected into 293 cells (Figure 2). Stable transfection over a longer term was carried out in this experiment to obtain chromosomal integration in view of the known role of the chromosomal context in mediating the transcriptional effects of ATRA. The entire pool of transfected cells was tested in each case to avoid extremes of clonal variability. It should be noted that in this approach the relative magnitude of the ATRA effect could vary for a given construct from one experiment to another as seen in the 2 representative results depicted in Figure 2A-B, presumably due to variability in the sites of random integration of the DNA. Therefore, it would not be feasible to measure the relative contributions of the AP-1 and Sp1/ets elements to the ATRA effect using this approach. However, the results were qualitatively highly reproducible and showed (Figure 2A-B) that all of the constructs, including the shortest promoter fragment (– 117 nt to + 65 nt) retained ATRA responsiveness; this fragment contained Sp1 (G-rich core sequence, – 77 nt to – 68 nt) and ets (cluster of GGAA core sequences, – 64 nt to – 44 nt) elements and no other recognizable functional cis element (Figure 2C), suggesting that these minimal promoter elements can mediate activation by ATRA.
Mapping the minimal ATRA-responsive FR-β promoter fragment. 293 cells were stably transfected with the different 5′ deleted FR-β promoter-luciferase reporter constructs as indicated; the numbers in parentheses indicate the nucleotide positions of the 5′ and 3′ ends of the FR-β promoter fragment relative to the transcription start site (+ 1 nt). The whole pool of recombinant 293 cells stably transfected with each FR-β promoter construct was treated with ATRA(1 μM, ▦) or the vehicle alone (□) for 3 days in 6-well plates. The cells were harvested and lysed at the end of the treatment, and the luciferase activity in the lysate was determined and described in “Materials and methods.” Panels A and B are from 2 representative experiments out of 6 experiments that were carried out identically. Each bar is expressed as means of triplicate experiments. Error bar stands for SD. Panel C shows the DNA sequence of the FR-β promoter fragment – 117ntto + 1 nt and the positions of the Sp1 and EBSs within it.
Mapping the minimal ATRA-responsive FR-β promoter fragment. 293 cells were stably transfected with the different 5′ deleted FR-β promoter-luciferase reporter constructs as indicated; the numbers in parentheses indicate the nucleotide positions of the 5′ and 3′ ends of the FR-β promoter fragment relative to the transcription start site (+ 1 nt). The whole pool of recombinant 293 cells stably transfected with each FR-β promoter construct was treated with ATRA(1 μM, ▦) or the vehicle alone (□) for 3 days in 6-well plates. The cells were harvested and lysed at the end of the treatment, and the luciferase activity in the lysate was determined and described in “Materials and methods.” Panels A and B are from 2 representative experiments out of 6 experiments that were carried out identically. Each bar is expressed as means of triplicate experiments. Error bar stands for SD. Panel C shows the DNA sequence of the FR-β promoter fragment – 117ntto + 1 nt and the positions of the Sp1 and EBSs within it.
Nuclear proteins interacting with the repressor elements
EMSA was used to determine the sequence specificity and the nature of putative trans factors interacting with the AP-1–like repressor elements functionally identified above in the FR-β promoter. For a 32P-labeled probe (– 338 nt to – 308 nt) containing the downstream Ap-1–like element, nuclear extracts from both 293 cells and KG-1 AML cells gave a specific EMSA band (arrow in Figures 3, 4), whose specificity was determined by the ability of a 100-fold excess of unlabeled probe to compete for its binding (Figure 3A, lane 5 for 293 cells; Figure 4A, lane 5 for KG-1 cells). It should be noted that in Figure 4B, a second EMSA band was also competed off by unlabeled wild-type probe; however, none of the mutations in the probe interfered with the protein binding, indicating a lack of a narrow sequence specificity for this band (results not shown). The sequence specificity of the specific protein binding was narrowed to a 6-bp stretch of – 322 nt to – 317 nt based on the inability of mutations in this region (but not flanking sequences) to disrupt competition by the unlabeled probe (Figure 3A, lanes 6-8; Figure 4A, lanes 6-8). This sequence partially overlaps the theoretic downstream AP-1–like element identified in Figure 1D; however, an unlabeled probe containing a consensus AP-1 element (TPA response element [TRE]) did not compete for binding of the nuclear protein to the FR-β probe (Figure 3B, lane 5). For both 293 and KG-1 cells, a pan-fos antibody (Figure 3B, lane 7 for 293 cells; Figure 4B, lane 6 for KG-1 cells), but not a pan-jun antibody (Figure 3B, lane 6 for 293 cells; Figure 4B, lane 5 for KG-1 cells), was able to block protein binding to the probe. Furthermore, when antibodies to specific fos family proteins were used, antibody to Fra-1 was the most effective in blocking protein binding to the probe in 293 cells (Figure 3C, lane 5), whereas in KG-1 cells, antibodies to Fra-2 as well as FosB diminished the intensity of the band (Figure 4B, lane 10).
Binding of nuclear proteins from 293 cells to the FR-β promoter sequence – 338 nt to – 308 nt containing the repressor element. Nuclear extract from 293 cells and 32P-labeled probe (– 338 nt to – 308 nt) were used in the EMSA as described in “Materials and methods.” (A) Competition assay to map the protein binding site for the major and specific EMSA band (arrow) observed for the wild-type probe, – 338 nt to – 308 nt. Lanes 1 to 12, 30 000 cpm 32P-labeled probe; lane 2, 2.5 μg 293 cell nuclear extract; lanes 3 to 12, 5 μg 293 nuclear extract; lane 4, 50-fold excess wild-type unlabeled probe (– 338 nt to – 308 nt); lane 5, 100-fold excess wild-type unlabeled probe (– 338 nt to – 308 nt); and lanes 6 to 12, 100-fold unlabeled mutated probes, each with 2 consecutive nucleotides mutated from pyrimidine to purine or vice versa. The positions of the mutated nucleotides are indicated as follows in parentheses: lane 6, m(– 322 nt, – 321 nt); lane 7, m(– 320 nt, – 319 nt); lane 8, m(– 318 nt, – 317 nt); lane 9, m(– 316 nt, – 315 nt); lane 10, m(– 330 nt, – 329 nt); lane 11, m(– 328 nt, – 327 nt); and lane 12, m(– 325 nt, – 324 nt). (B) Effect of unlabeled consensus AP-1 probe and broadly reactive anti–AP-1 antibodies (anti–pan-Jun and anti–pan-Fos) on specific nuclear protein binding (arrow) to the labeled probe – 338 nt to – 308 nt. Lanes 1 to 8, 30 000 cpm 32P-labeled probe; lanes 2 to 8, 5 μg 293 cell nuclear extract; lane 3, 50-fold excess wild-type unlabeled probe; lane 4, 100-fold excess wild-type unlabeled probe; lane 5, 100-fold unlabeled 21-mer AP-1 consensus probe (sequence, CGCTTGATGACTCAGCCGGGAA); lane 6, 2.5 μg anti–pan-Jun antibody (broadly reactive with c-Jun, Jun B, and Jun D); lane 7, 2.5 μg anti–pan-Fos antibody (broadly reactive with c-Fos, FosB, Fra-1, and Fra-2); and lane 8, 2.5 μg normal rabbit IgG. (C) Effect of antibodies to specific Fos-family transcription factors on specific nuclear protein binding (arrow) to the labeled probe – 338 nt to – 308 nt. Lanes 1 to 7, 30 000 cpm 32P-labeled probes; lanes 2 to 7, 5 μg 293 nuclear extract; lane 3, 2.5 μg anti–c-Fos antibody; lane 4, 2.5 μg anti-FosB antibody; lane 5, 2.5 μg anti–Fra-1 antibody; lane 6, 2.5 μg anti–Fra-2 antibody; and lane 7, 2.5 μg normal rabbit IgG.
Binding of nuclear proteins from 293 cells to the FR-β promoter sequence – 338 nt to – 308 nt containing the repressor element. Nuclear extract from 293 cells and 32P-labeled probe (– 338 nt to – 308 nt) were used in the EMSA as described in “Materials and methods.” (A) Competition assay to map the protein binding site for the major and specific EMSA band (arrow) observed for the wild-type probe, – 338 nt to – 308 nt. Lanes 1 to 12, 30 000 cpm 32P-labeled probe; lane 2, 2.5 μg 293 cell nuclear extract; lanes 3 to 12, 5 μg 293 nuclear extract; lane 4, 50-fold excess wild-type unlabeled probe (– 338 nt to – 308 nt); lane 5, 100-fold excess wild-type unlabeled probe (– 338 nt to – 308 nt); and lanes 6 to 12, 100-fold unlabeled mutated probes, each with 2 consecutive nucleotides mutated from pyrimidine to purine or vice versa. The positions of the mutated nucleotides are indicated as follows in parentheses: lane 6, m(– 322 nt, – 321 nt); lane 7, m(– 320 nt, – 319 nt); lane 8, m(– 318 nt, – 317 nt); lane 9, m(– 316 nt, – 315 nt); lane 10, m(– 330 nt, – 329 nt); lane 11, m(– 328 nt, – 327 nt); and lane 12, m(– 325 nt, – 324 nt). (B) Effect of unlabeled consensus AP-1 probe and broadly reactive anti–AP-1 antibodies (anti–pan-Jun and anti–pan-Fos) on specific nuclear protein binding (arrow) to the labeled probe – 338 nt to – 308 nt. Lanes 1 to 8, 30 000 cpm 32P-labeled probe; lanes 2 to 8, 5 μg 293 cell nuclear extract; lane 3, 50-fold excess wild-type unlabeled probe; lane 4, 100-fold excess wild-type unlabeled probe; lane 5, 100-fold unlabeled 21-mer AP-1 consensus probe (sequence, CGCTTGATGACTCAGCCGGGAA); lane 6, 2.5 μg anti–pan-Jun antibody (broadly reactive with c-Jun, Jun B, and Jun D); lane 7, 2.5 μg anti–pan-Fos antibody (broadly reactive with c-Fos, FosB, Fra-1, and Fra-2); and lane 8, 2.5 μg normal rabbit IgG. (C) Effect of antibodies to specific Fos-family transcription factors on specific nuclear protein binding (arrow) to the labeled probe – 338 nt to – 308 nt. Lanes 1 to 7, 30 000 cpm 32P-labeled probes; lanes 2 to 7, 5 μg 293 nuclear extract; lane 3, 2.5 μg anti–c-Fos antibody; lane 4, 2.5 μg anti-FosB antibody; lane 5, 2.5 μg anti–Fra-1 antibody; lane 6, 2.5 μg anti–Fra-2 antibody; and lane 7, 2.5 μg normal rabbit IgG.
Binding of nuclear proteins from KG-1 cells to the FR-β promoter sequence – 338 nt to – 308 nt containing the repressor element. Nuclear extracts from KG-1 cells and 32P-labeled probe (– 338 nt to – 308 nt) were used in the EMSA as described in “Materials and methods.” (A) Competition assay to map the protein binding site for the major and specific EMSA band (arrow) observed for the wild-type probe, – 338 nt to – 308 nt. Lanes 1 to 13, 30 000 cpm 32P-labeled probe; lane 2, 2.5 μg KG-1 cell nuclear extract; lanes 3 to 13, 5 μg KG-1 nuclear extract; lane 4, 50-fold excess wild-type unlabeled probe (– 338 nt to – 308 nt); lane 5, 100-fold excess wild-type unlabeled probe (– 338 nt to – 308 nt); and lanes 6 to 13, 100-fold unlabeled mutated probes, each with 2 consecutive nucleotides mutated from pyrimidine to purine or vice versa. The positions of the mutated nucleotides are indicated as follows in parentheses: lane 6, m(– 322 nt, – 321 nt); lane 7; m(– 320 nt, – 319 nt); lane 8, m(– 318 nt, – 317 nt); lane 9, m(– 316 nt, – 315 nt); lane 10, m(– 332 nt, – 331 nt); lane 11, m(– 330 nt, – 329 nt); lane 12, m(– 328 nt, – 327 nt); and lane 13, m(– 325 nt, – 324 nt). (B) Effect of anti–AP-1 antibodies on specific KG-1 nuclear protein binding (arrow) to the labeled probe – 338 nt to – 308 nt. Lanes 1 to 10, 30 000 cpm 32P-labeled probe; lane 1, 2.5 μg KG-1 cell nuclear extract; lanes 2 to 10, 5 μg KG-1 nuclear extract; lane 3, 50-fold excess wild-type unlabeled probe; lane 4, 100-fold excess wild-type unlabeled probe; lane 5, 2.5 μg anti–pan-Jun antibody (broadly reactive with c-Jun, Jun B, and Jun D); lane 6, 2.5 μg anti–pan-Fos (broadly reactive with c-Fos, Fos B, Fra-1, and Fra-2) antibody; lane 7, 2.5 μg anti–c-Fos antibody; lane 8, 2.5 μg anti-FosB antibody; lane 9, 2.5 μg anti–Fra-1 antibody; and lane 10, 2.5 μg anti–Fra-2 antibody.
Binding of nuclear proteins from KG-1 cells to the FR-β promoter sequence – 338 nt to – 308 nt containing the repressor element. Nuclear extracts from KG-1 cells and 32P-labeled probe (– 338 nt to – 308 nt) were used in the EMSA as described in “Materials and methods.” (A) Competition assay to map the protein binding site for the major and specific EMSA band (arrow) observed for the wild-type probe, – 338 nt to – 308 nt. Lanes 1 to 13, 30 000 cpm 32P-labeled probe; lane 2, 2.5 μg KG-1 cell nuclear extract; lanes 3 to 13, 5 μg KG-1 nuclear extract; lane 4, 50-fold excess wild-type unlabeled probe (– 338 nt to – 308 nt); lane 5, 100-fold excess wild-type unlabeled probe (– 338 nt to – 308 nt); and lanes 6 to 13, 100-fold unlabeled mutated probes, each with 2 consecutive nucleotides mutated from pyrimidine to purine or vice versa. The positions of the mutated nucleotides are indicated as follows in parentheses: lane 6, m(– 322 nt, – 321 nt); lane 7; m(– 320 nt, – 319 nt); lane 8, m(– 318 nt, – 317 nt); lane 9, m(– 316 nt, – 315 nt); lane 10, m(– 332 nt, – 331 nt); lane 11, m(– 330 nt, – 329 nt); lane 12, m(– 328 nt, – 327 nt); and lane 13, m(– 325 nt, – 324 nt). (B) Effect of anti–AP-1 antibodies on specific KG-1 nuclear protein binding (arrow) to the labeled probe – 338 nt to – 308 nt. Lanes 1 to 10, 30 000 cpm 32P-labeled probe; lane 1, 2.5 μg KG-1 cell nuclear extract; lanes 2 to 10, 5 μg KG-1 nuclear extract; lane 3, 50-fold excess wild-type unlabeled probe; lane 4, 100-fold excess wild-type unlabeled probe; lane 5, 2.5 μg anti–pan-Jun antibody (broadly reactive with c-Jun, Jun B, and Jun D); lane 6, 2.5 μg anti–pan-Fos (broadly reactive with c-Fos, Fos B, Fra-1, and Fra-2) antibody; lane 7, 2.5 μg anti–c-Fos antibody; lane 8, 2.5 μg anti-FosB antibody; lane 9, 2.5 μg anti–Fra-1 antibody; and lane 10, 2.5 μg anti–Fra-2 antibody.
Similar EMSA studies were conducted for a labeled probe (– 368 nt to – 328 nt) containing the upstream AP-1–like element identified in Figure 1D. There were 2 or more EMSA bands that represented specific interaction between the labeled probe and nuclear proteins in both 293 (Figure 5A, lane 2) and KG-1 (results not shown) cells as determined by competition by a 100-fold excess of unlabeled probe (Figure 5A, lane 4). The sequence specificity for the binding of the proteins to the probe was determined by competition experiments using unlabeled mutant probes; in both 293 cells (Figure 5A, lanes 5-7) and in KG-1 cells (results not shown), the mapped sequence (– 360 nt to – 354 nt) completely overlapped the theoretic AP-1–like element identified in Figure 1D. Similar to the observation above for the downstream AP-1–like element, an unlabeled probe containing a consensus AP-1 element (TRE) failed to compete for protein binding to the – 368 nt to – 328 nt probe (Figure 5B, lane 5). Figure 5B shows that using 293 cells, the EMSA bands were blocked using pan-fos (lane 7) but not pan-jun (lane 6) antibody and that none of the antibodies used against specific fos family members (c-Fos, FosB, Fra-1, and Fra-2; lanes 8-11) were able to block or supershift the EMSA bands. This result suggests that the nuclear proteins bound to the upstream AP-1–like element include different proteins that are immunologically related to Fos. Similar results were obtained using nuclear extract from KG-1 cells (results not shown).
Binding of nuclear proteins from 293 cells to FR-β promoter sequence – 368 nt to – 328 nt containing the repressor element. Nuclear extracts from 293 cells were used in EMSA as described in “Materials and methods.” (A) Competition assay to map the 293 nuclear protein binding site for and specific EMSA band (arrows) observed for the wild-type probe, – 368 nt to – 328 nt. Lanes 1 to 7, 30 000 cpm 32P-labeled probe; lanes 2 to 7, 5 μg 293 nuclear extract; lane 3, 50-fold excess wild-type unlabeled probe (– 368 nt to – 328 nt); lane 4, 100-fold excess wild-type unlabeled probe (– 368 nt to – 328 nt); and lanes 5 to 7, 100-fold unlabeled mutated probes, each with 2 consecutive nucleotides mutated from pyrimidine to purine or vice versa. The positions of the mutated nucleotides are indicated as follows in parentheses: lane 5, m(– 360 nt, – 359 nt); lane 6; m(– 355 nt, – 354 nt); and lane 7, m(– 350 nt, – 349 nt). (B) Effect of unlabeled consensus AP-1 probe and anti–AP-1 antibodies on specific 293 nuclear protein binding (arrows) to the FR-β promoter – 368 nt to – 328 nt. Lanes 1 to 11, 30 000 cpm 32P-labeled probe; lanes 2 to 11, 5 μg 293 cell nuclear extract; lane 3, 50-fold excess wild-type unlabeled probe; lane 4, 100-fold excess wild-type unlabeled probe; lane 5, 100-fold unlabeled 21-mer AP-1 consensus probe (sequence, CGCTTGATGACTCAGCCGGGAA); lane 6, 2.5 μg anti–pan-Jun (broadly reactive) antibody; lane 7, 2.5 μg anti–pan-Fos (broadly reactive) antibody; lane 8, 2.5 μg anti–c-Fos antibody; lane 9, 2.5 μg anti-FosB antibody; lane 10, 2.5 μg anti–Fra-1 antibody; and lane 11, 2.5 μg anti–Fra-2 antibody.
Binding of nuclear proteins from 293 cells to FR-β promoter sequence – 368 nt to – 328 nt containing the repressor element. Nuclear extracts from 293 cells were used in EMSA as described in “Materials and methods.” (A) Competition assay to map the 293 nuclear protein binding site for and specific EMSA band (arrows) observed for the wild-type probe, – 368 nt to – 328 nt. Lanes 1 to 7, 30 000 cpm 32P-labeled probe; lanes 2 to 7, 5 μg 293 nuclear extract; lane 3, 50-fold excess wild-type unlabeled probe (– 368 nt to – 328 nt); lane 4, 100-fold excess wild-type unlabeled probe (– 368 nt to – 328 nt); and lanes 5 to 7, 100-fold unlabeled mutated probes, each with 2 consecutive nucleotides mutated from pyrimidine to purine or vice versa. The positions of the mutated nucleotides are indicated as follows in parentheses: lane 5, m(– 360 nt, – 359 nt); lane 6; m(– 355 nt, – 354 nt); and lane 7, m(– 350 nt, – 349 nt). (B) Effect of unlabeled consensus AP-1 probe and anti–AP-1 antibodies on specific 293 nuclear protein binding (arrows) to the FR-β promoter – 368 nt to – 328 nt. Lanes 1 to 11, 30 000 cpm 32P-labeled probe; lanes 2 to 11, 5 μg 293 cell nuclear extract; lane 3, 50-fold excess wild-type unlabeled probe; lane 4, 100-fold excess wild-type unlabeled probe; lane 5, 100-fold unlabeled 21-mer AP-1 consensus probe (sequence, CGCTTGATGACTCAGCCGGGAA); lane 6, 2.5 μg anti–pan-Jun (broadly reactive) antibody; lane 7, 2.5 μg anti–pan-Fos (broadly reactive) antibody; lane 8, 2.5 μg anti–c-Fos antibody; lane 9, 2.5 μg anti-FosB antibody; lane 10, 2.5 μg anti–Fra-1 antibody; and lane 11, 2.5 μg anti–Fra-2 antibody.
FR-β overexpression in the myelomonocytic lineage occurs during neutrophil maturation but not in monocytes.14,15 EMSA using nuclear extracts from peripheral blood neutrophils (Figure 6A, lane 3; Figure 6B, lane 3) and monocytes (Figure 6A, lane 2; Figure 6B, lane 2) showed a much stronger shift with the labeled repressor element probes (– 368 nt to – 328 nt in Figure 6A; – 338 nt to – 308 nt in Figure 6B) for monocytes compared with neutrophils. This result suggests a role for the repressor elements in regulating FR-β expression in normal hematopoietic cells as well. It may be noted that the specific shift for KG-1 cells in Figure 6B appeared different from that for monocytes; this difference presumably reflects tissue-specific variability in the expression of the large family of AP-1 proteins.
Association of nuclear proteins with the repressor elements in the FR-β promoter in relation to cell type and ATRA or TPA treatment by EMSA. (A) Nuclear protein binding to the repressor element in the FR-β promoter in peripheral blood monocytes and neutrophils. Lanes 1 to 4, 30 000 cpm 32P-labeled FR-β probe (– 368 nt to – 328 nt); lane 2, 10 μg nuclear extract from monocytes; lane 3, 10 μg nuclear extract from neutrophils; and lane 4, 5 μg nuclear extract from KG-1 cells. (B) Nuclear protein binding to the repressor element in the FR-β promoter in peripheral blood monocytes and neutrophils. Lanes 1 to 4, 30 000 cpm 32P-labeled FR-β probe (– 338 nt to – 308 nt); lane 2, 10 μg nuclear extract from monocytes; lane 3, 10 μg nuclear extract from neutrophils; lane 4, 5 μg nuclear extract from KG-1 cells. (C) Binding of nuclear protein from KG-1 cells treated with ATRA or TPA to repressor elements in the FR-β promoter. KG-1 cells were treated with ATRA (1 μM) or TPA (0.05 μM) for 5 days and nuclear extracts were made as described in “Materials and methods.” Lanes 1 to 4, 30 000 cpm 32P-labeled probe (– 368 nt to – 328 nt); lanes 5 to 8, 30 000 cpm 32P-labeled probe (– 338 nt to – 308 nt); lanes 2 and 6, 5 μg nuclear extract from KG-1 cells without treatment; lanes 3 and 7, 5 μg nuclear extract from KG-1 cells treated with ATRA; and lanes 4 and 8, 5 μg nuclear extract from KG-1 cells treated with TPA.
Association of nuclear proteins with the repressor elements in the FR-β promoter in relation to cell type and ATRA or TPA treatment by EMSA. (A) Nuclear protein binding to the repressor element in the FR-β promoter in peripheral blood monocytes and neutrophils. Lanes 1 to 4, 30 000 cpm 32P-labeled FR-β probe (– 368 nt to – 328 nt); lane 2, 10 μg nuclear extract from monocytes; lane 3, 10 μg nuclear extract from neutrophils; and lane 4, 5 μg nuclear extract from KG-1 cells. (B) Nuclear protein binding to the repressor element in the FR-β promoter in peripheral blood monocytes and neutrophils. Lanes 1 to 4, 30 000 cpm 32P-labeled FR-β probe (– 338 nt to – 308 nt); lane 2, 10 μg nuclear extract from monocytes; lane 3, 10 μg nuclear extract from neutrophils; lane 4, 5 μg nuclear extract from KG-1 cells. (C) Binding of nuclear protein from KG-1 cells treated with ATRA or TPA to repressor elements in the FR-β promoter. KG-1 cells were treated with ATRA (1 μM) or TPA (0.05 μM) for 5 days and nuclear extracts were made as described in “Materials and methods.” Lanes 1 to 4, 30 000 cpm 32P-labeled probe (– 368 nt to – 328 nt); lanes 5 to 8, 30 000 cpm 32P-labeled probe (– 338 nt to – 308 nt); lanes 2 and 6, 5 μg nuclear extract from KG-1 cells without treatment; lanes 3 and 7, 5 μg nuclear extract from KG-1 cells treated with ATRA; and lanes 4 and 8, 5 μg nuclear extract from KG-1 cells treated with TPA.
Protein binding to repressor elements during ATRA or TPA treatment of AML cells and in normal hematopoietic cells
Endogenous FR-β expression is known to increase in KG-1 AML cells upon treatment with ATRA and decrease upon treatment with TPA.24 It was, therefore, of interest to examine the association of nuclear proteins with the repressor elements in these situations. Figure 6C shows that in KG-1 cells, the nuclear protein binding to labeled probes containing either the upstream repressor element (probe, – 368 nt to – 328 nt; arrowhead in Figure 6C) or the downstream repressor (probe, – 338 nt to – 308 nt; arrow in Figure 6C) showed a clear decrease in the intensity of the specific EMSA bands upon treatment with ATRA (Figure 6C, lanes 3,7); in contrast, treatment with TPA, which is known to differentiate KG-1 cells into monocytes, increased the intensity of the bands (Figure 6C, lanes 4,8). It may be noted here that the transcriptional effects of TPA are mediated through enhanced association of AP-1 proteins at their cognate cis elements because of induction of AP-1 protein expression.30,31 The above results are, therefore, entirely consistent with AP-1–mediated regulation of the FR-β gene. It may also be noted that there was no alteration in the binding of the repressor proteins when ATRA or its natural metabolite, 9-cis RA, was directly mixed with the nuclear extract in the EMSA reaction (results not shown). This suggests that the ATRA effect on AP-1 binding observed in Figure 6C was the result of an ATRA-induced event(s) during treatment of whole cells and not a direct interference by ATRA/RAR in the binding of AP-1 proteins to the FR-β promoter.
In view of reports that ATRA or 9-cis RA could enhance Sp1 binding to G/C-rich elements in certain promoters,32,33 we tested the effect of the ligands on the binding of Sp1 to its cognate element in the FR-β promoter. Accordingly, nuclear extracts from KG-1 cells mixed with 9-cis RA (Figure 7A) or ATRA (results not shown) were tested by EMSA using labeled probe (– 88 nt to – 33 nt) containing the Sp1 binding sequence. Alternatively nuclear extracts from KG-1 cells grown in the presence of ATRA or TPA (Figure 7B) were used in the EMSA reaction. In no case (Figure 7A, lanes 7-10; Figure 7B, lanes 1,2) did retinoid alter Sp1 binding, even though TPA treatment of KG-1 cells caused a decrease in Sp1 binding.
The effect of 9-cis RA on Sp1 binding to the FR-β promoter by EMSA. (A) Lanes 1 to 10, 30 000 cpm 32P-labeled probe (– 88 nt to – 33 nt); lane 2, 2.5 μg KG-1 nuclear extracts; lanes 3 to 10, 5 μg KG-1 nuclear extracts; lane 4, 50-fold excess wild-type cold probe (– 88 nt to – 33 nt); lane 5, 100-fold excess wild-type unlabeled probe (– 88 nt to – 33 nt); lane 6, 100-fold unlabeled mutated probe ΔSp1 (– 88 nt, – 33 nt); lane 7, nuclear extracts mixed with vehicle; lane 8, nuclear extracts mixed with 0.1 μM 9-cis RA; lane 9, nuclear extracts mixed with 1.0 μM 9-cis RA; and lane 10, nuclear extract mixed with 10 μM 9-cis RA. (B) Lane 1, 5 μg nuclear extract from KG-1 cells that were treated with vehicle for 5 days; lane 2, 5 μg nuclear protein from KG-1 cells that were treated with ATRA (1 μM) for 5 days; and lane 3, 5 μg nuclear protein from KG-1 cells that were treated with TPA (0.05 μM) for 5 days.
The effect of 9-cis RA on Sp1 binding to the FR-β promoter by EMSA. (A) Lanes 1 to 10, 30 000 cpm 32P-labeled probe (– 88 nt to – 33 nt); lane 2, 2.5 μg KG-1 nuclear extracts; lanes 3 to 10, 5 μg KG-1 nuclear extracts; lane 4, 50-fold excess wild-type cold probe (– 88 nt to – 33 nt); lane 5, 100-fold excess wild-type unlabeled probe (– 88 nt to – 33 nt); lane 6, 100-fold unlabeled mutated probe ΔSp1 (– 88 nt, – 33 nt); lane 7, nuclear extracts mixed with vehicle; lane 8, nuclear extracts mixed with 0.1 μM 9-cis RA; lane 9, nuclear extracts mixed with 1.0 μM 9-cis RA; and lane 10, nuclear extract mixed with 10 μM 9-cis RA. (B) Lane 1, 5 μg nuclear extract from KG-1 cells that were treated with vehicle for 5 days; lane 2, 5 μg nuclear protein from KG-1 cells that were treated with ATRA (1 μM) for 5 days; and lane 3, 5 μg nuclear protein from KG-1 cells that were treated with TPA (0.05 μM) for 5 days.
Direct association of nuclear receptors for retinoic acid with FR-β promoter elements in vivo
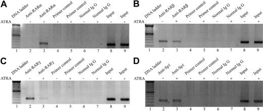
Since the nuclear receptors for ATRA are known to interact with both Sp1 and AP-1, it was of interest to examine the possibility that the nuclear receptors may be directly associated in a transcriptional complex with the endogenous FR-β gene. However, in vitro assays using nuclear extracts are generally unsuitable for the demonstration of ternary complexes containing nuclear receptors (eg, RAR/AP-1/DNA or RAR/Sp1/DNA).34,35 This has been attributed to possible instability of the complexes during resolution in mobility shift assays; the poor specificity and efficiency of chemical cross-linking methods in solution assays; and the possible requirement for additional protein factors to form the complex. Therefore, ChIP assays were used to detect possible association of the nuclear receptors for retinoic acid, that is, RARα, RARβ, or RARγ, with promoter regions of the endogenous FR-β gene in KG-1 cells in vivo either in the presence or in the absence of ATRA. PCR primers for the ChIP assays were designed to amplify a 170-bp sequence encompassing the Sp1 and ets elements (Figure 8), a 180-bp sequence encompassing the 2 repressor AP-1 elements (Figure 9), or a functionally irrelevant region (negative control) in the FR-β gene. Antibodies specific for RARα, RARβ, RARγ, or Sp1 were used to detect the association of the corresponding antigens with specific regions of the FR-β gene in the ChIP assays.
ChIP assays to detect the effect of ATRA on in vivo association of the nuclear receptors for retinoic acid or of Sp1 with the Sp1/EBS region in the FR-β promoter. KG-1 cells were treated with 1 μM ATRA for 24 hours and subjected to ChIP assays as described in “Materials and methods.” In all panels: lane 1, 50-bp DNA ladder; lanes 2, 4, 6, and 8, KG-1 cells treated with vehicle; lanes 3, 5, 7, and 9, KG-1 cells treated with ATRA; lanes 4 and 5, primers amplifying an irrelevant region in the FR-β gene used for PCR; lanes 6 and 7, normal rabbit IgG used for immunoprecipitation negative control; and lanes 8 and 9, input DNA used as template for PCR. (A) Effect of ATRA on the association of RARα with the Sp1/EBS region in the FR-β gene. Antibody specific for RARα was used in lanes 2 to 5. (B) Effect of ATRA on the association of RARβ with the Sp1/EBS region in the FR-β gene. Antibody specific for RARβ was used in lanes 2 to 5. (C) Effect of ATRA on the association of RARγ with the Sp1/EBS region in the FR-β gene. Antibody specific for RARγ was used in lanes 2 to 5. (D) Effect of ATRA on the association of Sp1 with the Sp1/EBS region in the FR-β gene. Antibody specific for Sp1 was used in lanes 2 to 5. Each experiment was repeated at least 4 times and concordant results were obtained.
ChIP assays to detect the effect of ATRA on in vivo association of the nuclear receptors for retinoic acid or of Sp1 with the Sp1/EBS region in the FR-β promoter. KG-1 cells were treated with 1 μM ATRA for 24 hours and subjected to ChIP assays as described in “Materials and methods.” In all panels: lane 1, 50-bp DNA ladder; lanes 2, 4, 6, and 8, KG-1 cells treated with vehicle; lanes 3, 5, 7, and 9, KG-1 cells treated with ATRA; lanes 4 and 5, primers amplifying an irrelevant region in the FR-β gene used for PCR; lanes 6 and 7, normal rabbit IgG used for immunoprecipitation negative control; and lanes 8 and 9, input DNA used as template for PCR. (A) Effect of ATRA on the association of RARα with the Sp1/EBS region in the FR-β gene. Antibody specific for RARα was used in lanes 2 to 5. (B) Effect of ATRA on the association of RARβ with the Sp1/EBS region in the FR-β gene. Antibody specific for RARβ was used in lanes 2 to 5. (C) Effect of ATRA on the association of RARγ with the Sp1/EBS region in the FR-β gene. Antibody specific for RARγ was used in lanes 2 to 5. (D) Effect of ATRA on the association of Sp1 with the Sp1/EBS region in the FR-β gene. Antibody specific for Sp1 was used in lanes 2 to 5. Each experiment was repeated at least 4 times and concordant results were obtained.
ChIP assays to detect the effect of ATRA on the in vivo association of the nuclear receptors for retinoic acid with the repressor region in the FR-β promoter. KG-1 cells were treated with 1 μM ATRA for 24 hours and subjected to ChIP assays as described in “Materials and methods.” In all panels: lane 1, 50-bp DNA ladder; lanes 2, 4, 6, and 8, KG-1 cells treated with vehicle; lanes 3, 5, 7, and 9, KG-1 cells treated with ATRA; lanes 4 and 5, primers amplifying an irrelevant region in the FR-β gene; lanes 6 and 7, normal rabbit IgG used for immunoprecipitation negative control; and lanes 8 and 9, input DNA used as template for PCR. (A) Effect of ATRA on the association of RARα with the repressor region in the FR-β gene. Antibody specific for RARα was used in lanes 2 to 5. (B) Effect of ATRA on the association of RARβ with the repressor region in the FR-β gene. Antibody specific for RARβ was used in lanes 2 to 5. (C) Effect of ATRA on the association of RARγ with the repressor region in the FR-β gene. Antibody specific for RARγ was used in lanes 2 to 5. Each experiment was repeated at least 4 times and concordant results were obtained.
ChIP assays to detect the effect of ATRA on the in vivo association of the nuclear receptors for retinoic acid with the repressor region in the FR-β promoter. KG-1 cells were treated with 1 μM ATRA for 24 hours and subjected to ChIP assays as described in “Materials and methods.” In all panels: lane 1, 50-bp DNA ladder; lanes 2, 4, 6, and 8, KG-1 cells treated with vehicle; lanes 3, 5, 7, and 9, KG-1 cells treated with ATRA; lanes 4 and 5, primers amplifying an irrelevant region in the FR-β gene; lanes 6 and 7, normal rabbit IgG used for immunoprecipitation negative control; and lanes 8 and 9, input DNA used as template for PCR. (A) Effect of ATRA on the association of RARα with the repressor region in the FR-β gene. Antibody specific for RARα was used in lanes 2 to 5. (B) Effect of ATRA on the association of RARβ with the repressor region in the FR-β gene. Antibody specific for RARβ was used in lanes 2 to 5. (C) Effect of ATRA on the association of RARγ with the repressor region in the FR-β gene. Antibody specific for RARγ was used in lanes 2 to 5. Each experiment was repeated at least 4 times and concordant results were obtained.
As seen in Figure 8A, a signal was not detected for the association of RARα with the Sp1/ets region in the absence of ATRA; however, in cells treated with ATRA, a strong and specific signal was obtained, indicating that ATRA promotes the association of RARα with this region of the FR-β gene. In contrast, for both RARβ (Figure 8B) and RARγ (Figure 8C) the ChIP assays gave a clear signal for the association of the receptors with the Sp1/ets region in the absence of ATRA; treatment of the cells with ATRA decreased the signal for both the receptors (Figure 8B-C), indicating that ATRA decreases the association of RARs β and γ with this region of the FR-β promoter. The ChIP assay showed a strong signal for the association of Sp1 in this region, but this signal remained unaltered when the cells were treated with ATRA (Figure 8D).
In the region of the repressor elements, the ChIP assays failed to show association of RARα under any condition (Figure 9A) but showed a clear association of RARβ (Figure 9B) and RARγ (Figure 9C) in untreated cells. As seen above for the Sp1/ets region, treatment of the cells with ATRA decreased the signals for both RARβ (Figure 9B) and RARγ (Figure 9C), indicating that ATRA decreased their association with the repressor region. Even though the EMSA experiments described above demonstrated a decrease in AP-1 binding to the repressor elements upon treatment of KG-1 cells with ATRA, it was not feasible to use antibody to AP-1 in a ChIP assay to detect this effect because of the presence of multiple functionally irrelevant AP-1 elements in the vicinity of the repressor elements.
Effect of ATRA on the expression of RARs
The changes in the association of RARs with the FR-β promoter in response to treatment of cells with ATRA could potentially reflect changes in the expression levels of the nuclear receptors. To test this possibility, nuclear proteins from KG-1 cells grown in the presence of ATRA or TPA and from untreated cells were probed with antibodies specific for RARs α, β, or γ by Western blot (Figure 10). The expression of all 3 nuclear receptor isoforms decreased upon treatment with ATRA but not TPA (Figure 10).
Western blot analysis of the ATRA effect on the expression levels of RARα, RARβ, and RARγ in KG-1 cells. Nuclear extracts were made from KG-1 cells, which were treated with ATRA (1 μM) or TPA (0.05 μM) for 5 days and subjected to Western blot analysis as described in “Materials and methods.” In each lane, 10 μg protein (for RARα) or 20 μg protein (for RARβ and RARγ) was loaded, and the blots were probed with antibody specific for RARα, RARβ,orRARγ.
Western blot analysis of the ATRA effect on the expression levels of RARα, RARβ, and RARγ in KG-1 cells. Nuclear extracts were made from KG-1 cells, which were treated with ATRA (1 μM) or TPA (0.05 μM) for 5 days and subjected to Western blot analysis as described in “Materials and methods.” In each lane, 10 μg protein (for RARα) or 20 μg protein (for RARβ and RARγ) was loaded, and the blots were probed with antibody specific for RARα, RARβ,orRARγ.
Discussion
This study provides several lines of evidence to strongly support a regulatory role for the novel repressor AP-1 elements in the FR-β gene. The evidence includes (1) the results of functional analysis of altered promoter constructs in 293 cells; (2) association of Fos family proteins with the elements in both 293 cells and in KG-1 AML cells; and (3) a negative correlation between the binding of nuclear proteins to the elements and FR-β gene expression (a) during ATRA treatment, (b) during TPA treatment, and (c) in peripheral blood neutrophils versus monocytes. ATRA and TPA are known to induce differentiation of hematopoietic cells along the granulocytic and monocytic lineages, respectively. Therefore the previously reported induction of FR-β expression by ATRA and inhibition of the receptor expression by TPA,24 as well as the well-known ability of TPA to induce the expression of AP-1 proteins,30,31 also support a regulatory role for AP-1 in FR-β expression during normal hematopoiesis.
AP-1 comprises a large and diverse family of dimeric transcription factors (reviewed in Karin et al36 ) that bind to specific DNA elements, that is, the TPA response element (TRE; consensus sequence, TGACTCA) or the cAMP-response element (CRE; consensus sequence, TGACGTCA) or other sequences, all of which share an AP-1 half-site. AP-1 may be a homodimer of Jun proteins (v-Jun, c-Jun, JunB, JunD), a heterodimer of Jun and Fos (v-Fos, c-Fos, FosB, Fra1, and Fra2) proteins, homodimers of bZip proteins (eg, ATF2, ATF3/LRF1, B-ATF, v-Maf, c-Maf, and Nrl), or heterodimers of bZip and Jun or Fos proteins.36 The AP-1 associated with the repressor elements in the FR-β promoter was immunologically reactive with antibody to Fos family proteins and, at one of the sites, specifically with Fra1 (293 cells) or Fra2/FosB (KG-1 cells) antibodies but not with antibody to Jun proteins. Since Fos proteins cannot form stable homodimers, the AP-1 associated with the FR-β promoter must contain Fos in combination with a heterologous protein that does not belong to the Jun family. The inability of a consensus TRE (which efficiently binds Jun homodimers and Jun/Fos heterodimers) to block AP-1 binding to the FR-β repressor element further indicates a unique sequence specificity for the recognition of the FR-β promoter by AP-1.
This study also extends to the FR-β gene, the synergy between Sp1 and ets proteins, previously reported for other TATA-less promoters.37, 38, 39 The functional data using mutant promoter constructs also showed that the repressive effect mediated by the AP-1 elements required the presence of the ets element. Taken together, the above results indicate that the basal promoter activity of the FR-β gene is governed by a transcriptional complex containing Sp1, ets, and AP-1 proteins. Furthermore, the results also showed that the minimal FR-β promoter elements that are required for activity (Sp1 and ets elements) may also mediate promoter activation by ATRA.
ATRA causes a profound transcriptional induction of endogenous FR-β in KG-1 cells (approximately 20-fold) and in primary cultures of leukemic cells from AML patients.24 The requirement of the chromosomal context for optimal transcriptional effects of ATRA is well known.40 Data from ChIP assays showed a direct and specific association of nuclear receptors for ATRA with functionally relevant regions of the endogenous FR-β gene promoter in KG-1 cells in vivo; further, the nuclear receptor interactions were modulated by ATRA, strongly suggesting that the FR-β gene is a direct target for the action of ATRA. The FR-β gene lacks the classical retinoic acid response element (RARE)41 required for the direct binding of RARs to DNA. However, ATRAs effects on a number of genes have been shown to occur through direct or indirect interactions of RARs with AP-134 or Sp1.32,33 Notwithstanding the various factors that limit the ability to visualize such complexes on synthetic DNA duplexes in vitro (discussed in “Results”), the ChIP data in this study demonstrate a direct and specific association of RARs within narrow regions of the FR-β promoter spanning the AP-1 or the Sp1 sites. Interestingly, however, the interaction of RARα is distinct from those of RARs β and γ in that RARα associated with the Sp1 region but not AP-1, whereas RARs β and γ were found in association with both Sp1 and AP-1; furthermore, ATRA increased the association of RARα but decreased the association of RARs β and γ with the FR-β promoter. Since we have previously shown that retinoid agonists and antagonists specific for different RAR isoforms all modulate the FR-β gene,24 it is reasonable to conclude that the associations of all of the RAR isoforms observed in the ChIP assays are functionally relevant. It appears, therefore, that within the AP-1/Sp1/ets transcriptional complex, RARs β and γ bind in the vicinity of both Sp1 and AP-1, possibly acting as corepressors in the unliganded state. The contrary effects of ATRA on the association of RARα versus RARβ/γ with the transcriptional complex fits a model in which the associations are mutually exclusive and in which RARα is a coactivator and RARβ/γ is a corepressor. Such a model is supported by the reported observation24 that induction of FR-β by an RARα-specific agonist (CD336) was inhibited by an RARβ/γ antagonist (CD2665), and, conversely, RARα antagonists (CD2503 and LG100629) inhibited FR-β induction by an RARγ agonist (LG101093). The ATRA-induced down-regulation of RARs β and γ observed in KG-1 cells in this study may either wholly or in part account for their reduced association with the FR-β promoter in response to ATRA.
A variety of transcription factors belonging to the nuclear receptor superfamily (various hormone receptors and the vitamin D3 receptor in addition to RARs) are known to interact with AP-1 and such interactions may result in either positive or negative regulation.34 In general, in the reported cases of negative regulation of AP-1 function by nuclear receptors, transactivation of a target gene by AP-1 is disrupted.34 In the case of the FR-β gene, the nuclear receptors for retinoids appear to counteract the repressive function of AP-1, but some common mechanistic principles may conceivably govern the disruption of AP-1 function by nuclear receptors, regardless of whether AP-1 acts as an activator or a repressor. The molecular mechanism for the inhibition of AP-1–mediated transactivation of genes by nuclear receptors, including RARs, is still not entirely clear but several models have been proposed, all of which may be valid in specific promoter/cell contexts. They include competition for limiting amounts of cAMP response element-binding protein (CREB) and p300, which act as coactivators for both AP-1 and nuclear receptors,42 and inhibition of Jun amino-terminal kinase (JNK), which activates c-Jun by phosphorylating the protein43 ; neither of these mechanisms should apply to the FR-β gene since the AP-1 in this case is a repressor and, further, it does not contain c-Jun. Nuclear receptors may regulate the expression of specific AP-1 proteins44,45 ; we did not detect a change in the levels of Fos proteins, by Western blot, as a result of ATRA treatment (results not shown), but this does not preclude down-regulation of some other specific component of the AP-1 complex associated with the FR-β promoter. Transrepression of AP-1 activity by direct protein-protein interaction has been proposed for the glucocorticoid receptor (GR)46, 47, 48 and RAR49,50 ; both the nuclear receptors strongly inhibited Fos/Jun binding to DNA in vitro in a ligand-dependent manner. Those studies suggested an apparently weak association with Fos/Jun for GR and RAR by chemical cross-linking followed by immunoprecipitation. However, contradictory evidence showing the lack of an alteration of the in vivo footprint at the AP-1 site by glucocorticoid hormone suggested that the nuclear receptor inhibited AP-1 without disrupting its ability to bind to DNA.51 In fact, using a mammalian 2-hybrid system, RAR has been shown to decrease AP-1 binding to DNA in a ligand-dependent manner by disrupting c-Fos/c-Jun heterodimerization.35 The ATRA effect on the FR-β promoter differs from the above models in that the ligand caused decreased AP-1 binding to DNA only when whole cells were grown in the presence of ATRA. This suggests a cell-mediated effect of ATRA on AP-1 binding to the FR-β promoter or down-regulation of some unidentified component of the AP-1 complex. In this context, mutual transrepression between Fos and GR was shown to be dependent upon the presence of an unconserved domain of a specific member of the Fos family,52 supporting the view that unique effects of RARs on AP-1 may occur for the specific AP-1 proteins associated with the FR-β promoter.
In contrast to RARs β and γ, RARα appeared to associate with the transcriptional complex in the vicinity of Sp1 (but not AP-1) in response to ATRA presumably in its role as a coactivator, despite its down-regulation by ATRA. Association of different members of the nuclear receptor family,53, 54, 55, 56 including RAR,32,33 with promoter elements by physical association with Sp1 has been reported. In the few known examples (promoters for urokinase, transglutaminase, tumor growth factor β1 (TGFβ1), and TGFβ receptors I and II) of RAR interactions with Sp1, the nuclear receptor potentiates Sp1 binding to G/C-rich elements as seen by EMSA, even though RAR was not detected in the Sp1/DNA complexes forming the EMSA bands.32,33 We did not observe an increase in Sp1 binding to the FR-β promoter in response to ATRA either by EMSA or by ChIP assay, suggesting that RARα binds to and transactivates the FR-β promoter in response to ATRA without altering Sp1 binding. Further, in previous studies of the urokinase promoter, all 3 RAR isoforms were shown to be equally capable of potentiating Sp132 ;in contrast, in the present study of the FR-β promoter, RARs β and γ differed from RARα both in their exact mode of association with the promoter and in the effect of ATRA on such associations.
The results of this study strongly suggest that ATRA up-regulates the FR-β gene by the following coordinate mechanisms: (1) an indirect (cell-mediated) effect of ATRA on AP-1; (2) promoting association of and transactivation by RARα at the Sp1 site; and (3) decreasing the levels of and/or promoting the dissociation of RARβ/γ from the AP-1/Sp1/ets complex. The availability of multiple mechanisms for FR-β induction would imply that in the many types of FR-β–positive AML cells that are refractory to ATRA differentiation therapy the ligand is likely to independently up-regulate FR-β expression. Using a limited number of synthetic retinoids, we have previously observed that FR-β induction by RAR isoform-specific retinoids is suboptimal compared with ATRA, which acts through all 3 RARs.24 This observation may be explained by the present study, which suggests that different RAR subtypes partially contribute to ATRA activation of the FR-β promoter by distinct mechanisms. It would follow that optimal induction of FR-β in AML cells may be achieved only by using either a combination of potent RAR isoform-specific retinoids or a potent pan-RAR retinoid.
Prepublished online as Blood First Edition Paper, January 23, 2003; DOI 10.1182/blood-2002-10-3174.
Supported by National Institutes of Health (NIH) grants CA80183 and CA70873 (M.R.).
The publication costs of this article were defrayed in part by page charge payment. Therefore, and solely to indicate this fact, this article is hereby marked “advertisement” in accordance with 18 U.S.C. section 1734.










This feature is available to Subscribers Only
Sign In or Create an Account Close Modal