Abstract
Epstein-Barr virus (EBV) can be detected in the tumor cells of approximately 40% of cases of classical Hodgkin disease (cHD). Clonality studies suggest that infection of the neoplastic Hodgkin and Reed/Sternberg (HRS) cells occurs before tumor clone expansion. In EBV-positive cases, variable numbers of EBER-positive small B cells are sometimes also observed that immunohistologically differ from the neoplastic cells by lack of CD30 and latent membrane protein 1 expression. To analyze the clonal relationship between these EBV+ cells and the HRS cells, single EBV-infected CD30− B cells, as well as HRS cells from 3 cases of EBV-positive cHD were micromanipulated, their immunoglobulin gene rearrangements amplified and then compared with each other. In 2 cases, all small EBV-infected cells were clonally unrelated to the HRS cells. In a third case, 2 of 29 small CD30− cells were found to carry HRS cell-specific rearrangements. Thus, small CD30−EBV-infected B cells in cHD belong to the HRS tumor clone rarely, if at all. In all cases, small clones unrelated to the HRS cell clones were identified among the small EBV+ CD30− cells. The vast majority of small EBV+ CD30− B cells was found to carry somatically mutated V region genes, indicating that in lymph nodes of patients with HD, like in the peripheral blood of healthy individuals, EBV persists in memory B cells.
Introduction
Classical Hodgkin disease (cHD) is histologically characterized by a small population of neoplastic cells, the Hodgkin and Reed/Sternberg (HRS) cells, surrounded by a complex and polymorphous infiltrate of inflammatory cells. Amplification of rearranged immunoglobulin (Ig) genes from single micromanipulated HRS cells has demonstrated their clonality and their derivation in most cases from germinal center B cells.1-4
In about 40% of cases of cHD, the tumor cells are infected by Epstein-Barr virus (EBV). Clonality of viral genomes in the tumor cells in cHD has been shown using Southern blot analysis for viral terminal repeats.5 EBV-infected HRS cells typically express a viral latent membrane protein (LMP1), which has oncogenic potential.6-9 Antibody titers against EBV antigens are elevated in patients with cHD and elevation of titers may precede diagnosis.10,11 These findings and epidemiographic data linking a history of infectious mononucleosis, the clinical apparent form of primary EBV infection, with a 3- to 4-fold increased risk for the development of the malignancy later in life suggest that EBV may be a causative agent contributing to the development of cHD.12-14
Apart from the EBV-positive HRS cells that express LMP1 and the activation marker CD30, variable numbers of small EBV-positive, but LMP1- and CD30-negative B cells may be found in lymph nodes infiltrated by cHD.15 16 To analyze a possible clonal relationship between these cells and the HRS cells, we micromanipulated small EBV+ but CD30− cells as well as HRS cells from frozen tissue sections of 3 cases of cHD and amplified and sequenced their Ig gene rearrangements as markers of clonality.
Materials and methods
Tissues and clinical data
Frozen biopsy specimens, taken for diagnostic purposes, were kindly provided by Dr A. Schulz, Institute of Pathology, University of Giessen, Giessen, Germany. Clinical data of the 3 patients are given in Table 1.
Immunohistology and EBER in situ hybridization
For immunostaining with antibodies against CD30, CD15, CD3, LMP1, and EBNA2 (all from DAKO, Hamburg, Germany) the avidin-biotin-complex (ABC) (DAKO) technique with alkaline phosphatase was applied using Fast Red (DAKO) as chromogen. In situ hybridization (ISH) with EBER1 and EBER2 probes, kindly provided by Dr G. Niedobitek, was performed as described.17
Double staining for CD30 and EBER
Freshly cut 5- to 10-μm thick frozen tissue sections were heated for 3 minutes at 93°C before fixation in 4% paraformaldehyde for 18 hours. CD30 immunostaining was carried out with the ABC technique using horseradish peroxidase (HRP) and DAB as chromogen. Primary and secondary antibody solutions were supplemented with 1 μg/μL yeast transfer RNA (tRNA) (Boehringer Mannheim, Mannheim, Germany) and 1.5 U/μL RNAsin (Promega, Madison, WI) to reduce RNA degradation. After staining, slides were again subjected to paraformaldehyde fixation for 20 minutes, incubated with 0.5 μg/mL Pronase (Boehringer Mannheim), and fixed again for 20 minutes in paraformaldehyde. Hybridization was continued as described previously.17 EBER probes were digoxigenin-labeled using the DIG RNA labeling kit (Boehringer Mannheim) and detected with alkaline-phosphatase (AP) conjugated antidigoxigenin Fab-fragments (Boehringer Mannheim) with BCIP/NBT (DAKO) as chromogen.
Micromanipulation of cells
Single cells were mobilized, aspirated, and transferred into polymerase chain reaction (PCR) tubes containing 20 μL of Expand high-fidelity PCR buffer (Boehringer Mannheim) by using a hydraulic micromanipulator.18 Cells were stored at −20°C.
Single-cell polymerase chain reaction
For amplification of rearranged Ig genes, single cells were subjected to a seminested PCR approach using V-gene family-specific primers together with JH, Jκ, and Jλ primers as described.2,19,20 Presence of an EBV-infected cell in the reaction tube was confirmed by amplification of a fragment of the EBNA1 gene using primers as described.3
Results
Histology, immunohistology, and in situ hybridization studies
All 3 cases showed the characteristic HRS cells embedded in a polymorphous lymphohistiocytic and granulocytic infiltrate consistent with the diagnosis of cHD of nodular sclerosis (case 1) or mixed cellularity (cases 2 and 3) subtypes. The HRS cells expressed CD30, CD15, and LMP1 but not EBNA2. In all 3 cases, EBER transcripts were detected by ISH in HRS cells and in varying numbers of small lymphocytes with non-neoplastic morphology.
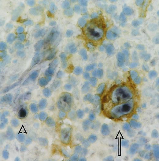
Combined immunohistology for CD30 and EBER ISH showed coexpression in most HRS cells and the lack of CD30 expression in most of the small EBER-positive cells (Figure 1). Although the morphology of most of the CD30+ cells was compatible with that of the large Hodgkin or multinucleated Reed/Sternberg cells, some rare small EBER+ cells showed expression of CD30. Because of the reduced sensitivity of EBER ISH after CD30 staining, several CD30+ EBER− HRS cells could be observed; whereas, when applying EBER ISH alone, all HRS cells were EBV-positive. Furthermore, inconsistent staining for CD30 and unspecific background staining with HRP hampered the unambiguous evaluation of small lymphocytes in some areas.
Double staining for CD30 and EBER of case 1.
Immunhistochemical detection of CD30 shows brown membrane staining of multinucleated HRS cells (one marked with an arrow, ABC technique with HRP and DAB as substrate). EBER-ISH positive HRS cells and one small CD30-negative cell (marked by an arrowhead) show blue-black nuclear staining (digoxigenin-labeled EBER probes were detected with AP and BCIP/NBT as substrate). Original magnification, 40×.
Double staining for CD30 and EBER of case 1.
Immunhistochemical detection of CD30 shows brown membrane staining of multinucleated HRS cells (one marked with an arrow, ABC technique with HRP and DAB as substrate). EBER-ISH positive HRS cells and one small CD30-negative cell (marked by an arrowhead) show blue-black nuclear staining (digoxigenin-labeled EBER probes were detected with AP and BCIP/NBT as substrate). Original magnification, 40×.
Micromanipulation and single-cell polymerase chain reaction of Hodgkin and Reed/Sternberg cells and small EBER+CD30− cells
Single EBER+ CD30+ HRS cells as well as EBER+ CD30− small cells were micromanipulated from the frozen tissue sections of the 3 cases. Small EBER+CD30− cells were selected by the following criteria: small size of nuclei, lack of visible nucleoli and nuclear atypia, and lack of CD30 staining. As negative controls, samples of buffer covering the sections were taken in all experiments. In addition, in cases 1 and 2, CD3-positive T cells from adjacent sections were micromanipulated. All cells were subjected to a seminested PCR for detection of rearrangements at the IgH, Igκ, and Igλ loci. EBV-positivity of the isolated cells was confirmed by coamplification of a fragment of the EBV-encoded EBNA1 gene.
Analysis of rearranged immunoglobulin V region genes of Hodgkin and Reed/Sternberg cells
Clonal Ig gene rearrangements were amplified from HRS cells of all 3 cases (Table 2). In cases 1 and 2, in addition to potentially functional VH and Vλrearrangements, nonfunctional VH and Vλrearrangements also were amplified; all these rearrangements were mutated (Table 3). In addition, from case 1, a mutated in-frame and an unmutated out-of-frame Vκrearrangement and from case 2, an unmutated out-of-frame Vκ rearrangement were amplified. The coexistence of unmutated Vκ and mutated VH and Vλ rearrangements within the same cells is not unusual and is likely caused by inactivation of the κ loci by recombinations involving the κ deleting elements (KDE) in these cells, which abolishes somatic hypermutation in the respective VκJκ joints21-23 (unmutated Vκ region genes are consequently noninformative for the question of whether a cell has undergone somatic hypermutation). In case 1, inactivation of both κ loci was verified by amplification of 2 clonal KDE rearrangements (data not shown). In case 1, the originally potentially functional Vλ in-frame rearrangement amplified from 11 cells was rendered nonfunctional in 2 cells by the same nonsense mutation, showing that at least a subclone of HRS cells has lost the capacity to express a functional B-cell receptor. Three of the clonal and mutated Ig gene rearrangements amplified from HRS cells of cases 1 and 2 (and 2 rearrangements amplified from small EBER+ CD30− cells) carried deletions, duplications, or insertions (Table 3). The occurrence of deletions and duplications is not unusual, because it has recently become clear that the somatic hypermutation process generates these types of mutations, in addition to nucleotide exchanges at a considerable frequency.24 25
From case 3, no VH and only nonfunctional VLrearrangements were amplified. One of 2 clonal out-of-frame Vκ rearrangements was mutated, whereas the other was unmutated. An originally potentially functional Vλrearrangement was inactivated by 3 clonal nonsense mutations in codons 38, 53, and 86 of the Vλ segment. Thus, it is likely that this case represents another example of a case of cHD in which the capacity of the HRS cells to express a B-cell receptor was destroyed because of obviously crippling somatic mutations.2
Analysis of rearranged immunoglobulin V region genes of small EBER+ CD30− cells
In case 1, 29 of the cells positive for EBNA1 PCR gave rise to a total of 50 Ig gene rearrangements (Table 2). All informative cells harbored mutated V gene rearrangements, except for one cell from which only an unmutated in-frame Vλ rearrangement was amplified. Of the 29 V gene PCR-positive cells, 23 harbored unique rearrangements. Two clones consisting of 2 cells each, with rearrangements unrelated to the tumor clone, were detected. In both clones, intraclonal diversity was observed. The VHrearrangements of clone 1 shared 6 mutations, whereas 12 and 18 mutations were unique. The VH rearrangements of clone 2 shared mutation, whereas 11 and 4 mutations were unique.
Two of the EBER+ CD30− cells harbored rearrangements with identical sequences to those amplified from the HRS cells (from one cell the VH3-20 and the A17 rearrangement and from the other cell the O18/8 and the A17 rearrangement were amplified).
In case 2, from 12 of the EBNA1 PCR-positive cells, 18 Ig gene rearrangements unrelated to the rearrangements amplified from the HRS cells were amplified. Seven of the 12 cells belonged to 3 small clones consisting of 2 or 3 cells without showing any intraclonal diversity. All informative rearrangements were somatically mutated.
In case 3, 31 Ig gene rearrangements belonging to 18 cells were amplified from EBNA1 PCR-positive cells. From 2 cells, the same unmutated Vκ/Jκ rearrangement without N nucleotide insertion was amplified. Rearrangements of all other cells were unique and, if informative, mutated, with the exception of one cell from which only an unmutated in-frame Vλrearrangement was amplified.
In all 3 cases from a few cells, V gene rearrangements but noEBNA1 fragment were amplified (4, 3, and 3 cells in cases 1, 2, and 3, respectively). These cells were not considered further in the analysis. One of these cells from case 1 carried the HRS–cell specific VH 3-20 and Vκ A17 rearrangements.
When the mutated in-frame VH rearrangements of all 3 cases were taken together, an average mutation frequency of 7.2% (range 2%-22%) was found. This is in the range typically found for memory B cells.26 Analysis of the ratio of replacement to silent mutations in the framework regions (FRs) of potentially functional V gene rearrangements can be informative regarding selective pressure on cells for expression of a functional antigen receptor.26The ratio of 1.7 (162 R/98 S mutations) found in the small EBER+ CD30− cells is close to the 1.0 to 1.5 value typically found for selected memory B cells and much lower than the value of about 3.0, which is seen in out-of-frame V gene rearrangements accumulating somatic mutations without selection.26
Discussion
In EBV-positive cases of HD, the tumor cells typically display a viral gene expression pattern corresponding to a type II latency program (EBNA1, LMP1, and LMP2A proteins and nonpolyadenylated EBER1 and −2 RNA).15,16,27 Characteristically, variable numbers of small B cells with non-neoplastic morphology can be detected by EBER ISH in lymph nodes infiltrated by cHD. For this analysis, 3 cases were selected that showed abundant presence of small EBER+ cells (43 to 105 small EBER+ cells per 0.5 cm2). For comparison, in 4 other randomly chosen cHD cases, 0 to 62 small EBER+ cells per 0.5 cm2 were observed, while it has been reported that among 12 normal lymph nodes analyzed, 8 did not show any EBER+ cells and 4 showed 1 to 10 EBER+cells per 0.5 cm2.17 In cHD, these B cells differ from the HRS cells by the lack of CD30 expression and by the display of a type I latency viral gene expression program in which only the EBNA1 protein and EBERs are detectable.17 These EBER-positive B cells in cHD have been demonstrated to be composed of a mixture of κ- or λ-expressing cells, indicating that they do not represent a single clone in a given patient.15 In contrast, the HRS cells of those cases did not express detectable levels of light chain messenger RNA (mRNA).15
Recent work has shown that chromosomal aberrations in cHD are not confined to the HRS cells, but may also be found in smaller cells with non-HRS cell morphology, proposing the existence of a population of tumor-precursor cells (defined here as cells belonging to the tumor clone, but showing a distinct morphology and phenotype compared with the HRS cells and perhaps representing a reservoir of cells from which HRS cells develop).28,29 However, because these studies were based on the detection of numerical chromosomal abnormalities (eg, presence of 3 copies of chromosome 1 in HRS and small CD30− cells), and because it has been reported that patients with HD have an increased frequency of nontumor cells with various chromosomal abnormalities,30-32 it presently cannot be ruled out that these CD30− cells acquired the numerical chromosomal abnormalities independently from the HRS cells and are clonally unrelated to them.
In EBV-positive cHD, members of the tumor clone with a morphology and phenotype different from the typical HRS cell might be found among the numerous small EBV-infected, CD30− and LMP1−B cells, which would be of critical relevance for the efficacy of novel therapies targeting CD30- or LMP-expressing cells in cHD.33 34
To directly address the question of whether a significant fraction of the small EBV+ CD30− cells is clonally related to the HRS cells and might therefore represent a precursor cell population or whether these cells accumulate in cHD-infiltrated tissues because of other reasons, we micromanipulated single cells of both populations and amplified and compared their Ig gene rearrangements.
In cases 2 and 3, among 12 and 18 cells analyzed, respectively, not a single one was clonally related to the HRS cells; whereas in case 1, 2 of 29 cells micromanipulated as EBER+ CD30−belonged to the neoplastic clone. This may indicate that in some cases a small proportion of cells exists that is clonally related to the HRS cells but differs morphologically and immunohistochemically from these cells. However, technical problems of the double-staining procedure outlined previously may have led, in some instances, to the misidentification of small parts of HRS cells as small EBER+ CD30− cells. Taking the 3 cases together, we found among the 59 small EBER+CD30− B cells, only 2 cells that are clonally related to the HRS cells. Thus, at least the vast majority of these cells is unrelated to the HRS cells and does not represent a reservoir of potential tumor precursor cells belonging to the same tumor cell clone. Although we cannot exclude the existence of other premalignant cells/clones among the small EBER+CD30− cells, the monoclonality of HRS cells in more than 40 cases analyzed,1,2,4,35-37 the tumor clone stability in primary and relapsed HD in 3 cases analyzed36 38 and the presence of small EBER+CD30− cells in healthy virus carriers disfavor the idea that the small EBER+CD30− cells, as a population, are premalignant (besides being “transformed” by EBV).
The sequence analysis of the V region genes from small EBV+CD30− cells revealed that 55 of 57 informative cells (disregarding the 2 cells clonally related to the HRS cells) harbor somatically mutated Ig gene rearrangements, with mutation frequencies typical for germinal center or memory B cells. The R/S ratio for mutations in the FRs indicates selection for a functional antigen receptor.26 For healthy donors, it has been shown that EBV persists in the blood exclusively in memory B cells, whereas in tonsils, memory as well as naive B cells are EBV infected.39 This study indicates that in lymph nodes (at least those of HD patients), latent EBV infection as defined by EBER expression is also largely restricted to memorylike (and perhaps also germinal center) B cells and that the processes that are thought to result in infection of naive B cells in tonsils do not play a role in lymph nodes.39
In 2 of 3 cases, small clones with mutated rearrangements each consisting of 2 to 3 CD30− EBV-infected B cells were detected (the unmutated Vκ rearrangements obtained from 2 cells of case 3 are not informative regarding somatic hypermutation). No intraclonal diversity was observed among the 3 clones found in case 2, whereas the 2 clones found in case 1 were intraclonally diverse. It is conceivable that the small EBER-positive clones showing no intraclonal diversity originated from the division of antigen-experienced B cells within the cHD-infiltrated lymph node. However, it remains unclear how the intraclonally diverse clone members of case 1 were generated. Possibly, they belong to a larger clone, generated from an EBV-infected B cell driven into a germinal center reaction within the same lymph node or at a distant, not affected lymphatic tissue. Alternatively, EBV might have randomly infected some members of a larger B-cell clone existing within the diseased lymph node.
In conclusion, the findings of this study argue against the existence of a pool of HRS cell-related B cells among the EBV-infected cells in cHD. Furthermore, in cHD, antigen-experienced, and much less frequently naive, B cells are identified as a site of viral latency.
Acknowledgments
We thank Christiane Gerhardt and Tanja Schaffer for excellent technical assistance.
Supported by the Deutsche Krebshilfe and the Deutsche Forschungsgemeinschaft (SFB 502). R.K. is supported by the Heisenberg Program of the Deutsche Forschungsgemeinschaft.
The publication costs of this article were defrayed in part by page charge payment. Therefore, and solely to indicate this fact, this article is hereby marked “advertisement” in accordance with 18 U.S.C. section 1734.
References
Author notes
Andreas Bräuninger, Department of Pathology, University of Frankfurt, Theodor Stern Kai 7, 60590 Frankfurt, Germany; e-mail: braeuninger@em.uni-frankfurt.de.
