Abstract
We have recently screened 36 analogues of the lipophilic iron (Fe) chelator, pyridoxal isonicotinoyl hydrazone (PIH), for their antiproliferative effect (Richardson et al, Blood 86:4295, 1995). Of these compounds, 1 chelator derived from salicylaldehyde benzoyl hydrazone (206) and 4 ligands derived from 2-hydroxy-1-naphthylaldehyde benzoyl hydrazone (308, 309, 311, and 315) showed pronounced antiproliferative activity, being far more effective than desferrioxamine (DFO). The present study was designed to investigate in detail the mechanism of action of these PIH analogues in a variety of neoplastic cell lines. This investigation showed that the analogues were far more active than DFO at inhibiting cellular proliferation and 3H-thymidine, 3H-leucine, and 3H-uridine incorporation. Additional experiments showed that, in contrast to DFO, the 5 analogues were potent at preventing 59Fe uptake from transferrin (Tf ) and increasing 59Fe release from cells at concentrations as low as 10 μmol/L. Examination of the distribution of 59Fe in neoplastic cells using native polyacrylamide gel electrophoresis (PAGE)/59Fe-autoradiography showed that most of the 59Fe taken up from Tf was incorporated into ferritin, although 3 other previously unrecognized components (bands A, B, and C) were also identified. Band C comigrated with 59Fe-citrate and was chelated on incubation of neuroblastoma cells with DFO, PIH, or the PIH analogues, with this compartment being the main intracellular target of these ligands. Further work showed that the effects of the chelators at inducing characteristics consistent with apoptosis or necrosis were cell line-specific, and while DFO increased the percentage of cells in the Go/G1 phases in all cell types, the effect of analogue 311 on the cell cycle was variable depending on the cell line. This study provides further evidence for the potential use of these Fe chelators as anticancer agents.
DESFERRIOXAMINE (DFO) is an iron(III) chelator that has been extensively used for the treatment of iron (Fe) overload disease.1 A number of studies have also indicated that DFO may be a useful antiproliferative agent,2-6 especially against the aggressive childhood cancer neuroblastoma (NB).7-10 In fact, in a clinical trial, DFO resulted in 7 of 9 NB patients having more than a 50% decrease in bone marrow infiltration of tumor cells.11 When DFO therapy was combined with cytotoxic drugs, objective responses were observed in 12 of 13 patients with stage III or IV disease.12 These promising results have prompted us to investigate the antiproliferative effect of new chelators of the pyridoxal isonicotinoyl hydrazone (PIH) class13,14 that show high activity.15 16
Our recent studies using several PIH analogues have shown that these chelators are substantially more effective than DFO at preventing 59Fe uptake from transferrin (Tf ) and increasing 59Fe release from prelabeled NB cells.17 Further work examined the antiproliferative effect of a wide range of PIH analogues to identify the most active compounds.18 Interestingly, analogues derived from pyridoxal benzoyl hydrazone showed high Fe chelation activity but relatively low antiproliferative activity, characteristics that make them suitable to treat Fe overload. In contrast, several ligands derived from salicylaldehyde benzoyl hydrazone and 2-hydroxy-1-naphthylaldehyde benzoyl hydrazone were effective antiproliferative agents and displayed high Fe chelation activity, properties of chelators appropriate to treat cancer.18 In the present study, the 5 most active PIH analogues previously identified as antiproliferative agents have been examined in detail to define their mechanism of action.
MATERIALS AND METHODS
Materials
3H-Leucine (52 Ci/mmol), [methyl 3H]-thymidine (20 Ci/mmol), and 3H-uridine (42.7 Ci/mmol) were from Dupont (NEN Products, Boston, MA). Propidium iodide, sodium azide, and Triton X-100 were purchased from Sigma Chemical Co (St Louis, MO). Bleomycin and cis-platin were from Bristol Laboratories (Montréal, Québec, Canada). Doxorubicin was from Adria Laboratories (Ontario, Canada). Proteinase K, pronase, actinomycin D, and molecular weight markers (DNA molecular marker X, consisting of a mixture of a 1,018-bp fragment and its multimers plus pBR 322 fragments) were obtained from Boehringer Mannheim (Montréal, Québec, Canada). RNAse A was from Pharmacia (Uppsala, Sweden). All other reagents were from the suppliers described previously.18
Preparation of the Chelators
Chelators were synthesized and characterized as described previously.18,19 In the present study, the 5 most potent PIH analogues at preventing cellular proliferation18 were examined in detail. These chelators were 206, 308, 309, 311, and 315 (Fig 1).
Structures of the 5 PIH analogues examined in the present study: salicylaldehyde p-t-butylbenzoyl hydrazone (206), 2-hydroxy-1-naphthylaldehyde m-chlorobenzoyl hydrazone (308), 2-hydroxy-1-naphthylaldehyde m-fluorobenzoyl hydrazone (309), 2-hydroxy-1-naphthylaldehyde isonicotinoyl hydrazone (311), and 2-hydroxy-1-naphthylaldehyde 2-thiophenecarboxyl hydrazone (315). The structure of these ligands is compared with DFO and the parent compound, PIH.
Structures of the 5 PIH analogues examined in the present study: salicylaldehyde p-t-butylbenzoyl hydrazone (206), 2-hydroxy-1-naphthylaldehyde m-chlorobenzoyl hydrazone (308), 2-hydroxy-1-naphthylaldehyde m-fluorobenzoyl hydrazone (309), 2-hydroxy-1-naphthylaldehyde isonicotinoyl hydrazone (311), and 2-hydroxy-1-naphthylaldehyde 2-thiophenecarboxyl hydrazone (315). The structure of these ligands is compared with DFO and the parent compound, PIH.
Protein Purification and Labeling
Human apotransferrin was labeled with 56Fe or 59Fe to produce diferric Tf, as reported before.20
Cell Culture
The human cell lines, SK-N-MC (neuroblastoma), K562 (erythroleukemia), HL60 (promyelocytic leukemia), IMR-32 (neuroblastoma), and SK-MEL-28 (malignant melanoma) were all obtained from the American Type Culture Collection (Rockville, MD). The human neuroblastoma cell lines, LAI-55n, CHP-234, and SK-N-BE(1), were kindly provided by Dr J. Biedler (Memorial Sloane-Kettering Cancer Center, New York, NY). The K562 and HL-60 cell lines were grown in RPMI-1640 containing 10% fetal calf serum, 1% (vol/vol) nonessential amino acids, 100 μg/mL of streptomycin, 100 U/mL penicillin, and 0.28 μg/mL of fungizone (this growth medium will subsequently be referred to as complete medium). The other cell lines were grown in minimum essential medium containing the same supplements as those described for RPMI-1640. Cells were grown, subcultured, and counted as described in earlier work.20
Effect of Chelators and Other Agents on 3H-Thymidine, 3H-Leucine, and 3H-Uridine Uptake
The synthesis of DNA, RNA, and protein were measured indirectly by quantitating [methyl-3H]-thymidine, 3H-uridine, and 3H-leucine incorporation, respectively, in the presence and absence of the chelators. The effects of the chelators were examined by seeding cells in 96-well microtiter plates (Falcon, Becton Dickinson Labware, Mountain View, CA) at 15,000 cells/well (5.333 × 104 cells/cm2 ) in 110 μL of complete medium. Initial experiments established that a seeding density of 15,000 cells/well resulted in exponential growth of the cells in chelator-free medium throughout the duration of the assay. The cells were incubated at 37°C overnight, and then 110 μL of complete medium containing unlabeled diferric Tf (1.25 μmol/L) and the chelators at a range of concentrations (PIH analogues, 0.025 to 12.5 μmol/L; DFO, 1.6 to 400 μmol/L) were added. Control samples contained complete medium and diferric Tf but none of the Fe chelators. Several studies have indicated that, in the absence of human Tf, the cells are under conditions of limited Fe and are more sensitive to the effects of chelators.18 21 Hence, in all studies, human diferric Tf was added to obtain physiologically relevant conditions. After 22 or 46 hours of incubation in the presence or absence of the chelators, the cells were then labeled with 3H-thymidine, 3H-uridine, or 3H-leucine (1 μCi/well) for 2 hours at 37°C. At the end of the incubation, the 96-well plates were immediately placed on ice and frozen at −80°C. After thawing, 3H-labeled DNA, protein, or RNA was precipitated onto glass fiber discs (Whatman Ltd, Maidstone, UK) using a PHD harvester (Cambridge Technology Inc, Boston, MA) and the discs were then added to scintillation vials along with 2 mL of scintillant. Radioactivity was measured on a Beckman LS 6000 TA β counter (Beckman Instruments, Irvine, CA). Binding of isotope to the plastic wells was corrected for by the preparation of blank wells containing all additions apart from the cells.
To examine the recovery of cells from treatment with the ligands, cultures were exposed to either control medium or to the chelators for 1 to 6 hours, this medium was removed, and the control and treated cells were then washed 4 times with phosphate-buffered saline (PBS; pH 7.4). The cells were then reincubated with chelator-free medium for 22 or 46 hours followed by the addition of 3H-thymidine (1 μCi/well) for 2 hours at 37°C. Results were compared to when cells were constantly exposed to the chelator for 24 or 48 hours.
Iron Metabolism: Experimental Procedure
Effect of chelators on 59Fe uptake from Tf and 59Fe release from prelabeled cells.The effect of chelators on 59Fe uptake from 59Fe-Tf and 59Fe release from prelabeled cells was examined using established techniques.16-18 In experiments examining the subcellular distribution of 59Fe, cells labeled with 59Fe-Tf were washed 4 times at 4°C and then 1 mL of ice-cold Hanks' balanced salt solution was added. The cells were then detached from the plates using a teflon policeman at 4°C, and the supension was subjected to 1 round of freezing and thawing. The cytosol was separated from the stromal-mitochondrial membrane (membranes) fraction by centrifugation at 13,200 rpm for 45 minutes at 4°C using an IEC microcentrifuge (IEC, Ontario, Canada). The cytosol was subsequently separated from the membranes and both fractions were counted.
Examination of the intracellular distribution of iron using polyacrylamide gel electrophoresis coupled with 59Fe autoradiography.The distribution of 59Fe in the cytosol of cells was examined by native polyacrylamide gel electrophoresis (PAGE) coupled with autoradiography, as described by Richardson et al.22
Flow Cytometric Analysis
The frequency of cells in the various phases of the cell cycle was examined by enumerating the distribution of nuclei containing double-stranded DNA by flow cytometric analysis. In these experiments, cells were seeded in 75-cm2 culture flasks at 5.333 × 104 cells/cm2 in complete growth medium and allowed to grow overnight. Under these conditions, cells were in the exponential phase of growth. After the overnight incubation, the medium was removed and replaced with complete medium containing human diferric Tf (1.25 μmol/L) and the Fe chelator. After 24 or 48 hours, the adherent cells were detached from the flask, combined with cells that had lifted off during the incubation, and washed in PBS (pH 7.4). The cells were then fixed by adding dropwise into ice-cold 70% ethanol/PBS during vortex mixing.
Aliquots of cells (3 mL in 70% ethanol/PBS) were centrifuged at 300g for 5 minutes and washed in 3 mL of PBS and the pellets were then placed in an ice bath. The cell pellets were then overlaid with 0.5 mL of propidium iodide (200 μg/mL), Triton X-100 (0.2% vol/vol) in NaCl (0.9% wt/vol) and then 50 μL of RNAse A (50 μg/mL) was added. Before analysis, the cells were gently resuspended in this solution and left at 4°C for 30 minutes in the absence of light. Propidium iodide-stained cells were analyzed using a FACScan flow cytometer (Becton Dickinson, Mountain View, CA) equipped with an argon ion laser (488 nm). Propidium iodide fluorescence was measured between 565 and 605 nm. These data were acquired and examined using ModFit LT cell cycle analysis software (Verity Software House Inc). This latter program was used to analyze the sub-Go/G1 DNA peak that is consistent with apoptosis.23 During acquisition, data were gated to exclude doublets using the manufacturer's method.
DNA Isolation and DNA Gel Electrophoresis
Cells were seeded in 75-cm2 culture flasks at 5.333 × 104 cells/cm2 and incubated overnight before the addition of the chelators and other agents in complete medium containing diferric Tf (1.25 μmol/L). Under these conditions, cells were in the exponential phase of growth. Actinomycin D (1 μg/mL) and sodium azide (1% wt/vol) were used as positive controls, because they have been shown to induce apoptosis24,25 and necrosis,26 respectively. After 24 or 48 hours of incubation with these agents, the adherent cells were detached from the culture flasks, combined with cells that had become detached from the substratum during the incubation, and sedimented by centrifugation at 1,500 rpm/4 min. The cells (3 × 107/sample) were washed twice with PBS and pelleted by centrifugation at room temperature. Cell pellets were frozen at −70°C for 30 minutes and then thawed at room temperature and resuspended in 1 mL of lysis buffer (10 mmol/L Tris-HCl [pH 8.2], 400 mmol/L NaCl, 2 mmol/L EDTA, 0.6% sodium dodecyl sulfate). Cells were incubated with this solution at 4°C for 30 minutes with occasional vortex mixing. Cell debris was removed from the lysate by centrifugation for 10 minutes at 10,000 rpm, and the resultant supernatant was incubated for 20 hours at 37°C with 50 μg/mL of proteinase K. After adding 0.3 mL of saturated NaCl solution, the suspension was mixed well for 30 seconds and the protein was pelleted by centrifugation at 10,000 rpm for 30 minutes. The supernatant was separated, 2 vol of ice-cold 95% ethanol was added, and the DNA was precipitated for 1 hour at −70°C. The DNA was pelleted by centrifugation at 13,000 rpm for 30 minutes, washed with 70% ethanol, and then air-dried. The pellets were dissolved in 25 μL of TE buffer (10 mmol/L Tris-HCl [pH 8.0], 1 mmol/L EDTA) and incubated at 37°C for 1 hour with 0.1 mg/mL of RNAse A. Loading buffer (10 mmol/L EDTA, 0.25% [wt/vol] bromophenol blue, 50% [vol/vol] glycerol) was added to 10 μg of DNA from each sample and then heated at 65°C for 10 minutes, briefly placed in an ice bath, and loaded on to a 1.8% agarose gel impregnated with ethidium bromide (0.5 μg/mL). Electrophoresis was performed for 1.5 hours at 60 V in TBE buffer (2 mmol/L EDTA [pH 8.0], 89 mmol/L Tris-HCl, 89 mmol/L boric acid, 0.5 μg/mL ethidium bromide).
Transmission Electron Microscopy
Electron microscopy was used to examine if treatment of the cells with the chelators resulted in morphologic features consistent with apoptosis or necrosis. The cells were removed from the substratum, combined with cells that had become detached, and then fixed with ice-cold 1.6% glutaraldehyde in 0.1 mol/L cacodylate buffer (pH 7.4). Specimens were processed using standard procedures.27
RESULTS
Effect of the PIH Analogues and Desferrioxamine on 3H-Thymidine, 3H-Uridine and 3H-Leucine Incorporation
The effect of DFO on inhibiting 3H-thymidine incorporation after 24 and 48 hours of incubation varied widely between the 3 non-NB cell lines (SK-MEL-28 melanoma, K562 erythroleukemia, and HL-60 promyelocytic leukemia) and the 5 NB cell lines examined (LAI-55n, IMR-32, CHP-234, SK-N-MC, and SK-N-BE; Table 1). The most sensitive cell type to DFO was the IMR-32 NB line, whereas the most resistant was the SK-N-BE NB cell line (Table 1). For each cell studied, the 5 PIH analogues were considerably more effective than DFO at preventing 3H-thymidine incorporation (Table 1). In addition, as found for DFO, NB cells were no more sensitive to the effects of the PIH analogues than non-NB cell lines. All 5 PIH analogues displayed similar efficacy at preventing 3H-thymidine incorporation, although in most of the cell lines, chelator 308 was slightly less effective than the other analogues (Table 1). The cytotoxic effect of the chelators on NB cells was also assessed by examining 3H-uridine and 3H-leucine incorporation. Again, the PIH analogues were far more effective than DFO at inhibiting 3H-uridine and 3H-leucine incorporation (data not shown).
Further experiments examined if brief exposure (1 to 6 hours) to analogue 311 could inhibit 3H-thymidine incorporation in cells subsequently reincubated for 24 or 48 hours in the absence of chelator. Compared with when cells were constantly exposed to ligand 311 for 24 hours, an incubation period of 1 hour had little effect on 3H-thymidine incorporation, whereas incubations of 2 to 6 hours with the compound were more effective (data not shown). For example, after 6 hours of incubation at a chelator concentration of 12.5 μmol/L, 3H-thymidine uptake was reduced to 52% of the control value. However, this inhibition was far less than when cells were constantly exposed to this latter ligand concentration for 24 hours, which resulted in a decrease in 3H-thymidine incorporation to less than 5% of the control. When cells were treated with the chelator for 1 to 6 hours, washed, and then reincubated in drug-free medium for up to 48 hours, incubations with the ligand for 1 to 4 hours had little effect, reducing 3H-thymidine uptake to no more than 75% of the control value. Increasing the exposure time with analogue 311 to 6 hours resulted in a greater decrease in 3H-thymidine incorporation to 60% of the control, although, again, this inhibition was far less than when cells were continuously exposed to chelator for 48 hours (data not shown). These results show that, for maximum antiproliferative activity, these cells need to be exposed to 311 for 24 to 48 hours.
Considering the high level of activity of the PIH analogues at inhibiting 3H-thymidine uptake (Table 1), it was deemed worthwhile to compare their effects to the commonly used cytotoxic agents bleomycin (Bleo), doxorubicin (Dox), and cis-platin (CPt; Table 2). After 24 or 48 hours of incubation, analogues 206 and 311 displayed similar or greater activity than Bleo in all 4 cell lines examined (Table 2). The chelators also showed similar or greater efficacy to CPt at preventing 3H-thymidine uptake by the LAI-55n, IMR-32, and SK-Mel-28 cell lines, but were less effective than CPt in SK-N-MC NB cells. Doxorubicin was the most effective cytotoxic agent examined, being far more active than the other compounds at preventing 3H-thymidine incorporation (Table 2).
The high potential of the PIH analogues as antitumor agents was also apparent from examining their effects on the growth of the SK-N-MC NB cell line over 24, 48, and 72 hours of incubation (Fig 2). It is clear from Fig 2 that each of the analogues behaved similarly and markedly reduced cellular proliferation, whereas DFO was far less effective (Fig 2). Of the 5 PIH analogues examined, chelator 311 displayed high antiproliferative activity and was more soluble than the other analogues. Therefore, further studies largely concentrated on the mechanism of action of this ligand.
Growth inhibition of SK-N-MC NB cells after incubations of 24, 48, or 72 hours with either DFO or the PIH analogues. Results are means of triplicate determinations from a typical experiment.
Growth inhibition of SK-N-MC NB cells after incubations of 24, 48, or 72 hours with either DFO or the PIH analogues. Results are means of triplicate determinations from a typical experiment.
Effect of Chelator Concentration on Iron Uptake From Transferrin and Iron Release From Prelabeled Cells
Examining the effect of chelator concentration on 59Fe uptake from Tf, it is evident that DFO had little effect on 59Fe uptake by SK-N-MC cells, being far less active than PIH or its analogues (Fig 3). At a chelator concentration of 10 μmol/L PIH, 206, 308, 309, 311, and 315 reduced 59Fe uptake from Tf to 69%, 25%, 42%, 19%, 8%, and 9% of the control value respectively, whereas DFO had no appreciable effect (Fig 3). It is of relevance to note that PIH was less effective than its analogues at concentrations from 1 to 10 μmol/L, which may be due to the lower lipophilicity of PIH, retarding its access to intracellular Fe pools.16 18
The effect of the concentration of (⋄) DFO, (○) PIH, and the PIH analogues (⬡) 206, (▪) 308, (▴) 309, (•) 311, and (▿) 315 on internalized 59Fe uptake from 59Fe-Tf (1.25 μmol/L) by SK-N-MC NB cells over 3 hours of incubation at 37°C. After this, the cells were washed and the internalized 59Fe was determined by incubation with pronase (1 mg/mL) for 30 minutes at 4°C. The results are means of duplicate determinations from a typical experiment.
The effect of the concentration of (⋄) DFO, (○) PIH, and the PIH analogues (⬡) 206, (▪) 308, (▴) 309, (•) 311, and (▿) 315 on internalized 59Fe uptake from 59Fe-Tf (1.25 μmol/L) by SK-N-MC NB cells over 3 hours of incubation at 37°C. After this, the cells were washed and the internalized 59Fe was determined by incubation with pronase (1 mg/mL) for 30 minutes at 4°C. The results are means of duplicate determinations from a typical experiment.
DFO had little effect on increasing 59Fe release from SK-N-MC NB cells (Fig 4A). Compared with the control, DFO also had no appreciable effect on the distribution of 59Fe between the cell cytosol and the stromal-mitochondrial membrane (membrane) fraction (Fig 4B). In contrast, the PIH analogues were highly effective at releasing 59Fe from NB cells, occurring as a biphasic function of chelator concentration (Fig 4A). At a concentration of 10 μmol/L, analogues 206, 308, 309, 311, and 315 released 28%, 22%, 28%, 40%, and 38% of total cellular 59Fe, respectively, whereas PIH and DFO released only 10% and 4%, respectively. The effect of the 5 analogues on the distribution of 59Fe between the cytosol and membrane fraction was assessed and found to be similar; and in Fig 4B the effect of chelator 311 on the distribution of 59Fe between these fractions is compared with DFO. Because of the efflux of 59Fe from the cell, there was a marked decline in the percentage of 59Fe in the cytosol that decreased from 76% (control) to 50% at a ligand concentration of 10 μmol/L, with little further change up to a concentration of 50 μmol/L (Fig 4B). A biphasic decrease in the percentage of 59Fe in the membrane was also observed, decreasing from 21% (control) to 10% at a chelator concentration of 10 μmol/L; the curve then plateaued off up to a ligand concentration of 50 μmol/L (Fig 4B).
(A) The effect of the concentration of (•) DFO, (○) PIH, and the PIH analogues (▾) 206, (♦) 308, (⬡) 309, (▪) 311, and (▵) 315 on 59Fe release from prelabeled SK-N-MC NB cells. (B) The distribution of 59Fe between the efflux medium, stromal-mitochondrial membrane (membrane), and cytosol after incubation of prelabeled SK-N-MC NB cells with DFO and analogue 311. In these experiments, SK-N-MC cells were prelabeled with 59Fe-Tf (1.25 μmol/L) for 3 hours, washed, and then reincubated with either medium alone or medium containing the chelators (2 to 50 μmol/L) for 3 hours at 37°C. Cells were disrupted and the cytosolic and membrane fractions were prepared as described in the Materials and Methods. Results are means of triplicate determinations from a typical experiment.
(A) The effect of the concentration of (•) DFO, (○) PIH, and the PIH analogues (▾) 206, (♦) 308, (⬡) 309, (▪) 311, and (▵) 315 on 59Fe release from prelabeled SK-N-MC NB cells. (B) The distribution of 59Fe between the efflux medium, stromal-mitochondrial membrane (membrane), and cytosol after incubation of prelabeled SK-N-MC NB cells with DFO and analogue 311. In these experiments, SK-N-MC cells were prelabeled with 59Fe-Tf (1.25 μmol/L) for 3 hours, washed, and then reincubated with either medium alone or medium containing the chelators (2 to 50 μmol/L) for 3 hours at 37°C. Cells were disrupted and the cytosolic and membrane fractions were prepared as described in the Materials and Methods. Results are means of triplicate determinations from a typical experiment.
The effect of labeling time with 59Fe-Tf on the amount of 59Fe released from SK-N-MC cells in the presence and absence of chelators was also investigated (Fig 5). Cells were incubated from 15 minutes to 24 hours with 59Fe-Tf (1.25 μmol/L), washed, and then reincubated for 3 hours with either culture medium alone (control) or medium containing analogue 311 (0.1 mmol/L). From Fig 5 it is clear that, as the preincubation time with 59Fe-Tf increased from 15 minutes to 24 hours, the amount of 59Fe released from the cells decreased using either control medium alone or medium containing analogue 311. Similar data were also obtained using DFO (data not shown). After subtraction of the control 59Fe release from the chelator-mediated release (311-Con; Fig 5), the percentage of cellular 59Fe released by analogue 311 decreased from 64% after 15 minutes of labeling to 13% after a labeling time of 24 hours (Fig 5). These results suggest that, after short incubation times with 59Fe-Tf, cellular 59Fe is at sites that are more susceptible to Fe chelation, but this becomes less accessible after long labeling times.
The effect of preincubation time with 59Fe-Tf on the percentage of 59Fe released from SK-N-MC NB cells by either incubation medium alone (control; Con) or PIH analogue 311 (0.1 mmol/L). The difference in 59Fe release between 311 and the control (311-Con) has also been graphed to clearly show the change in the 311-mediated 59Fe release as a function of labeling time. Cells were incubated with 59Fe-Tf (1.25 μmol/L) for 15 minutes to 24 hours, washed, and then reincubated with the chelators for 3 hours at 37°C. Results are means from triplicate determinations in a typical experiment.
The effect of preincubation time with 59Fe-Tf on the percentage of 59Fe released from SK-N-MC NB cells by either incubation medium alone (control; Con) or PIH analogue 311 (0.1 mmol/L). The difference in 59Fe release between 311 and the control (311-Con) has also been graphed to clearly show the change in the 311-mediated 59Fe release as a function of labeling time. Cells were incubated with 59Fe-Tf (1.25 μmol/L) for 15 minutes to 24 hours, washed, and then reincubated with the chelators for 3 hours at 37°C. Results are means from triplicate determinations in a typical experiment.
The Distribution of Iron in Neuroblastoma Cells and Other Neoplastic Cells and the Effects of Iron Chelators on These Compartments
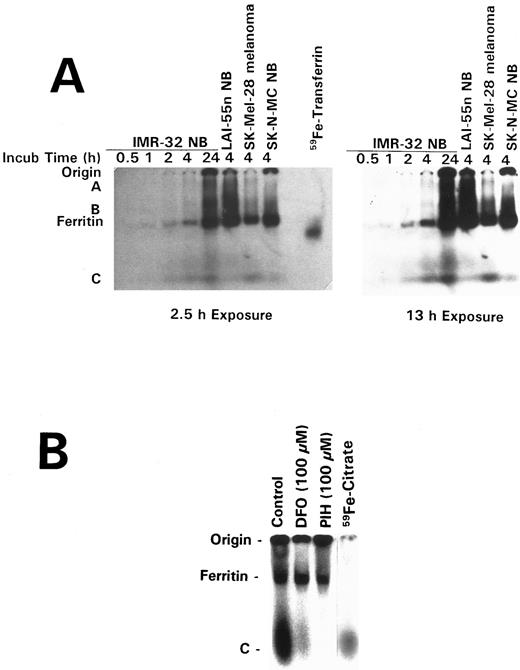
To examine the distribution of 59Fe in neoplastic cells and the Fe pools that have been chelated, we have used a sensitive technique developed in our laboratory to assess the intracellular distribution of 59Fe.22 This procedure involves the use of native PAGE coupled with 59Fe autoradiography. In Fig 6A, two exposure times (2.5 and 13 hours) have been presented to clearly show the 59Fe-containing components that are present. When IMR-32 NB cells were incubated with 59Fe-Tf (1.25 μmol/L) for 30 minutes to 24 hours, 59Fe was first observed in a band that comigrated with human ferritin and also in a more diffuse band that is labeled C (Fig 6A). In Fig 6A, band C appears to be made up of several components. However, in two of three other experiments, only 1 diffuse band was seen (Fig 6B). Because of the diffuse nature of band C, it can be suggested that it may be composed of multiple species. After incubation times of 4 and 24 hours, 2 more diffuse bands labeled A and B were also observed (Fig 6A). The distribution of 59Fe was also examined in LAI-55n NB cells, SK-Mel-28 melanoma cells, and SK-N-MC NB cells after 4 hours of incubation with 59Fe-Tf. In each case, the distribution of 59Fe was similar to that found in IMR-32 NB cells, with a large proportion of 59Fe being incorporated into ferritin and a variable amount being found in band C (Fig 6A). It should also be noted that a diffuse band with properties consistent with band C has also been found in the mouse Friend leukemic cell line and human K562 cells (Richardson, Wilczynska, and Vyoral, unpublished results). Furthermore, band C can be chelated and removed by the addition of DFO (1 mmol/L) to the lyzate, and it also comigrates with 59Fe-citrate (Fig 6B).
(A) Autoradiograph of the distribution of 59Fe in IMR-32 NB cells after incubations of 30 minutes, 1 hour, 2 hours, 4 hours, or 24 hours (lanes 1 through 5) with 59Fe-Tf (1.25 μmol/L) and also in LAI-55n NB cells (lane 6), SK-Mel-28 melanoma cells (lane 7), and SK-N-MC NB cells (lane 8) after 4 hours of incubation with 59Fe-transferrin (1.25 μmol/L) at 37°C. Cells were then washed and processed as described in the Materials and Methods. (B) Autoradiograph of the distribution of 59Fe in IMR-32 NB cells labeled for 4 hours with 59Fe-Tf (1.25 μmol/L) followed by washing and reincubation for 4 hours at 37°C in control medium, DFO (100 μmol/L), or PIH (100 μmol/L). Similar results were obtained using analogues 206, 308, 309, 311, and 315.
(A) Autoradiograph of the distribution of 59Fe in IMR-32 NB cells after incubations of 30 minutes, 1 hour, 2 hours, 4 hours, or 24 hours (lanes 1 through 5) with 59Fe-Tf (1.25 μmol/L) and also in LAI-55n NB cells (lane 6), SK-Mel-28 melanoma cells (lane 7), and SK-N-MC NB cells (lane 8) after 4 hours of incubation with 59Fe-transferrin (1.25 μmol/L) at 37°C. Cells were then washed and processed as described in the Materials and Methods. (B) Autoradiograph of the distribution of 59Fe in IMR-32 NB cells labeled for 4 hours with 59Fe-Tf (1.25 μmol/L) followed by washing and reincubation for 4 hours at 37°C in control medium, DFO (100 μmol/L), or PIH (100 μmol/L). Similar results were obtained using analogues 206, 308, 309, 311, and 315.
To examine the effects of chelators on the distribution of 59Fe, IMR-32 NB cells were labeled for 4 hours at 37°C, washed, and then reincubated for 4 hours at 37°C in the presence of DFO (100 μmol/L; Fig 6B) or PIH (100 μmol/L; Fig 6B). From Fig 6B it is clear that, in the presence of DFO or PIH, there is a marked decrease in band C and little effect on the amount of 59Fe in ferritin. Similar results were also found for the 5 PIH analogues (data not shown). These results are consistent with those described in the previous section (Fig 5), which suggested that the chelators were more effective at mobilizing 59Fe after short incubation periods with 59Fe-Tf when a larger proportion of 59Fe is in a labile form rather than after longer times when most 59Fe is within ferritin (Fig 6A).
To further define the mechanism of action of the PIH analogues, experiments were designed to examine their effects on cell cycle distribution and whether they induced apoptosis or necrosis.
Flow Cytometric Analysis of Cells Exposed to Iron Chelators
Iron chelators such as DFO and L1 prevent entry into the S phase of the cell cycle and induce apoptosis.24,28 However, nothing is known concerning the effects of the PIH analogues on either cell cycle distribution or apoptosis, which is important to assess in terms of their potential role as anticancer agents. The effect of ligand concentration on cell cycle distribution was determined via flow cytometry using HL-60 leukemia cells that were exposed to chelators for 24 hours. Actinomycin D (1 μg/mL) has been shown to induce apoptosis24,25; in the present study, this drug had little effect on the cell cycle distribution, but increased cell debris and resulted in a prominent sub-Go/G1 DNA peak consistent with apoptosis (Table 3). On the other hand, the necrosis-inducing agent azide (0.05% wt/vol)26 markedly increased the proportion of cells in the Go/G1 phases at the expense of cells in the S phase (Table 3). In addition, azide increased debris but did not result in flow cytometric evidence suggestive of apoptosis (Table 3). Desferrioxamine concentrations as high as 100 μmol/L had little effect on cell cycle distribution or at inducing characteristics consistent with apoptosis (Table 3). However, at DFO concentrations of 500 μmol/L or 2.5 mmol/L, this chelator caused a marked increase in the percentage of cells in the Go/G1 phases and a considerable decrease in the proportion of cells in the S phase (Table 3). At these two latter DFO concentrations, a substantial increase in debris was apparent, but only at a DFO concentration of 2.5 mmol/L was evidence of apoptosis found (Table 3).
When analogue 311 was incubated with HL-60 cells at a concentration of 0.1 μmol/L or 1 μmol/L, it had little effect on the cell cycle phase distribution or apoptosis, but at 1 μmol/L it did cause a slight increase in the amount of debris in the samples (Table 3). In contrast to the highly reproducible results obtained with actinomycin D, azide, DFO, and low concentrations of 311 (0.1 μmol/L and 1 μmol/L) over three separate experiments, data obtained using high concentrations (5 and 10 μmol/L) of chelator 311 were more variable. In some experiments using HL-60 cells, there was little effect of 311 on the cell cycle distribution (Table 3), whereas in other experiments there was a decrease in the percentage of cells in the S phase and an increase in either the G2/M or Go/G1 phases (eg, Table 4). For all experiments with HL-60 cells and chelator 311 at concentrations of 5 and 10 μmol/L, increased debris was found (Tables 3 and 4). At a 311 concentration of 5 or 10 μmol/L, the sub-Go/G1 peak characteristic of apoptosis was observed in some studies with HL-60 cells (Table 3) but not others (Table 4). However, in further experiments assessing apoptosis via both DNA fragmentation and cellular morphology, incubation of HL-60 cells with chelator 311 (10 μmol/L) repeatedly resulted in characteristics consistent with apoptosis (see below).
Considering these results we decided to compare the effects of the chelators on the cell cycle distribution and apoptosis in a number of neoplastic cell types, including SK-N-MC NB cells, IMR-32 NB cells, K562 erythroleukemic cells, and HL-60 leukemic cells (Table 4). Compared with the control, in all cell lines tested, DFO (2.5 mmol/L) increased the proportion of cells in the Go/G1 phases at the expense of cells in the G2/M and especially the S phases. However, whereas treatment with DFO increased the percentage of debris in all cell types tested, it induced flow cytometric characteristics consistent with apoptosis only in SK-N-MC and HL-60 cells (Table 4). These latter results agree well with experiments examining apoptosis via DNA fragmentation and cellular morphology, in which treatment with DFO resulted in characteristics of apoptosis only in the SK-N-MC and HL-60 cell lines, but not IMR-32 or K562 cells (see below). Interestingly, analogue 311 had a variable effect on the cell cycle depending on the cell type examined. For the IMR-32, HL-60, and K562 cell lines, chelator 311 (10 μmol/L) decreased the proportion of cells in the S phase and increased the proportion in the Go/G1 phases, while either having no effect on the proportion of cells in the G2/M phases (IMR-32 cells) or resulting in an increase in the G2/M phase (HL-60 and K562 cells; Table 4). In contrast, the SK-N-MC cell line responded somewhat differently to chelator 311, there being an increase in the proportion of cells in the S phase and a decrease in the Go/G1 and G2/M phases. Whereas chelator 311 markedly increased debris in SK-N-MC, IMR-32, and HL-60 cells, no such increase was found for K562 cells (Table 4). After incubation of the cells with 311 (10 μmol/L), flow cytometric evidence of apoptosis was found consistently for the SK-N-MC cell line (Table 4) and in some experiments but not others using HL-60 cells (compare Tables 3 and 4). No evidence of apoptosis was found after treatment of K562 or IMR-32 cells with DFO or 311, and these results using flow cytometry were in good agreement with studies examining both DNA fragmentation and cellular morphology (see below).
Effect of Chelators on DNA Fragmentation in Different Cell Types
One feature of apoptosis or regulated cell death29,30 is the specific endonuclease-mediated cleavage of DNA at the linker regions between nucleosomes.31 This leads to a pattern of DNA cleavage characterized by multiples of 180 to 200 bp that produce a DNA ladder upon conventional agarose gel electrophoresis.32 On the other hand, during necrotic cell death, DNA is degraded in an indiscriminant way to a continuous spectrum of sizes.33 Thus, to confirm our results obtained using flow cytometry, further studies were performed to examine DNA fragmentation after exposure to chelators in a range of cell types.
Initial experiments examined the effects of DFO and the PIH analogues on DNA fragmentation in HL-60 leukemic cells and SK-N-MC NB cells after 24 hours of incubation (Fig 7). For both cell types, DNA from untreated control cells migrated as a single band, whereas incubation with the apoptosis-inducing agent, actinomycin D (1 μg/mL),24,25 resulted in the typical DNA ladder consisting of oligonucleosomal fragments differing in size by multiples of approximately 200 bp (Fig 7). At a DFO concentration of 100 μmol/L, DNA laddering was barely evident in SK-N-MC and HL-60 cells. At lower DFO concentrations of 50 μmol/L or less, no appreciable DNA laddering was observed (data not shown). In contrast, at a DFO concentration of 2.5 mmol/L, DNA laddering was found for both cell lines (Fig 7). Hence, over 24 hours of incubation, only DFO concentrations well above that which is usually clinically achievable (8 to 20 μmol/L)21 34 caused apoptosis. The PIH analogues did not cause DNA laddering in SK-N-MC cells at a concentration of either 1 or 10 μmol/L over 24 hours of incubation, but were effective at inducing this fragmentation pattern in HL-60 cells, especially at the higher chelator concentration (Fig 7). It should be noted that, although the PIH analogues did not result in DNA laddering in SK-N-MC NB cells over 24 hours of incubation, this was observed after 48 hours of exposure (see description below and Fig 8).
Agarose gel electrophoresis of DNA isolated from HL-60 leukemia cells and SK-N-MC NB cells after 24 hours of incubation with complete growth medium alone (control), actinomycin D (Act.D; 1 μg/mL), DFO (0.1 mmol/L and 2.5 mmol/L), or the PIH analogues (206, 308, 309, 311, and 315; 1 μmol/L and 10 μmol/L). The molecular weight marker was DNA molecular marker X from Boehringer Mannheim.
Agarose gel electrophoresis of DNA isolated from HL-60 leukemia cells and SK-N-MC NB cells after 24 hours of incubation with complete growth medium alone (control), actinomycin D (Act.D; 1 μg/mL), DFO (0.1 mmol/L and 2.5 mmol/L), or the PIH analogues (206, 308, 309, 311, and 315; 1 μmol/L and 10 μmol/L). The molecular weight marker was DNA molecular marker X from Boehringer Mannheim.
Agarose gel electrophoresis of DNA isolated from IMR-32 NB cells, SK-N-MC NB cells, HL-60 promyelocytic leukemia cells, and K-562 erythroleukemia cells after incubations for 24 or 48 hours with complete growth medium alone (control), actinomycin D (Act. D; 1 μg/mL), DFO (2.5 mmol/L), or PIH analogue 311 (10 μmol/L). The molecular weight marker was DNA molecular marker X from Boehringer Mannheim.
Agarose gel electrophoresis of DNA isolated from IMR-32 NB cells, SK-N-MC NB cells, HL-60 promyelocytic leukemia cells, and K-562 erythroleukemia cells after incubations for 24 or 48 hours with complete growth medium alone (control), actinomycin D (Act. D; 1 μg/mL), DFO (2.5 mmol/L), or PIH analogue 311 (10 μmol/L). The molecular weight marker was DNA molecular marker X from Boehringer Mannheim.
Because similar effects were observed for the 5 PIH analogues (Fig 7), further studies examined the action of chelator 311 (10 μmol/L) compared with DFO, (2.5 mmol/L) over 24 and 48 hours of incubation using SK-N-MC, IMR-32, HL-60, and K562 cells (Fig 8). In contrast to little DNA laddering observed after 24 hours of incubation with chelator 311 in SK-N-MC cells (Fig 7), DNA laddering was observed after 48 hours of incubation with this compound (Fig 8). Actinomycin D did not induce laddering in IMR-32 cells either after 24 or 48 hours of incubation (Fig 8), despite a pronounced decrease in cellular viability (to <35% of the control value). In addition, for the IMR-32 cell line, no laddering was found after treatment with DFO or analogue 311. Similarly, DFO or 311 did not cause DNA laddering in K562 cells after either 24 or 48 hours of incubation, whereas pronounced laddering was evident after incubation with actinomycin D (Fig 8). The lack of DNA laddering in K562 and IMR-32 cells after treatment with 311 or DFO, and the increase in indiscriminant DNA degradation may suggest that these cells are dying via necrosis rather than apoptosis. These results clearly indicate that the effect of the chelators on DNA fragmentation was markedly different in each cell type. Moreover, the results support our flow cytometric data that suggested that DFO and 311 caused apoptosis in only HL-60 and SK-N-MC NB cells, but not the IMR-32 or K562 cell lines (Table 4).
Effect of the PIH Analogues and DFO on Cellular Morphology
To confirm our results using flow cytometry and DNA gel electrophoresis, the SK-N-MC, IMR-32, HL-60, and K562 cell lines were treated for 24 hours with either control medium, actinomycin D (1 μg/mL), DFO (2.5 mmol/L), or analogue 311 (10 μmol/L) and then examined via transmission electron microscopy for morphologic characteristics of apoptosis.35 Typical characteristics of apoptosis, including the formation of crescent-shaped chromatin aggregates lining the nuclear membrane, marked dilation of the endoplasmic reticulum, and the formation of small cellular fragments (apoptotic bodies), were only clearly observed in the HL-60 and SK-N-MC cell lines. The most marked features of apoptosis were found after treatment of HL-60 cells with 311 (data not shown).
DISCUSSION
The present investigation has clearly shown the high antiproliferative potential of the 5 PIH analogues previously identified from our screening study.18 These compounds are far more effective than DFO, and the fact that several of the PIH analogues show comparable activity to cytotoxic agents (Table 2) suggests the potential of these ligands for anticancer therapy.
One possible target of chelators is the Fe-containing enzyme, ribonucleotide reductase,36 that is responsible for the conversion of ribonucleotides to deoxyribonucleotides that are essential for DNA synthesis. We have shown in the present study that the PIH analogues are very effective at inhibiting 3H-thymidine incorporation in a range of neoplastic cell types, being far more effective than DFO in each case (Table 1). It has been suggested by others that NB cell lines are more sensitive than other cell types to the growth-inhibitory effects of DFO.7,8 37 However, based on our 3H-thymidine incorporation data, no clear difference in the sensitivity of NB cells to other cell types was noted for either DFO or the PIH analogues (Table 1). In fact, the sensitivity of NB cells to DFO varied greatly from being the most sensitive cell lines (IMR-32 and LAI-55n) to the most resistant (SK-N-BE).
The results of the present work have important pharmacokinetic implications. For example, the maximum antiproliferative effect of 311 was only seen after incubation periods of 24 or 48 hours, with shorter incubations of 1 to 6 hours being far less effective. Moreover, our studies in vitro have shown that, in contrast to DFO, only very low concentrations of the analogues are necessary for their antiproliferative effect (Table 1). A previous study using rat heart cells and a series of 3-hydroxypyridin-4-one chelators showed that, at high concentrations (1 mmol/L), these drugs were more effective than DFO at mobilizing 59Fe, whereas at relatively low concentrations (0.1 mmol/L), they were less effective.38 These results emphasized the need for high molar concentrations of these agents for achieving an optimal therapeutic effect.38 In the present study, we have shown that the 5 PIH analogues are far more active than DFO at both mobilizing 59Fe from prelabeled cells and preventing 59Fe uptake from Tf at all concentrations tested. In fact, at concentrations as low as 10 μmol/L, the PIH analogues (particularly 311 and 315) showed high activity. Hence, only very low concentrations of these agents may be necessary for eliciting the required effect, which is a significant advantage over DFO.
To determine the Fe pools that were targeted by the chelators, we have used a sensitive technique previously developed in our laboratory to examine the intracellular distribution of 59Fe.22 For incubation times of up to 4 hours with 59Fe-Tf, most 59Fe in IMR-32 NB cells was found in 2 bands, 1 that comigrated with human ferritin and another that comigrated with 59Fe-citrate as a diffuse band (band C; Fig 6A). After 24 hours of incubation with 59Fe-Tf, a far greater proportion of 59Fe was found in ferritin compared with band C, which contrasts with earlier incubations times of 2 hours or less. Two diffuse bands (labeled A and B) that migrated slower than ferritin were also present after incubation times of 4 hours (Fig 6A). When DFO or PIH were reincubated with cells labeled with 59Fe-Tf, it resulted in a marked decrease of band C but had no effect on ferritin-59Fe (Fig 6B). These latter results suggested that depletion of storage Fe in ferritin was not responsible for the cytotoxicity of the chelators. Hence, the PAGE/59Fe-autoradiography technique may be a useful tool for investigating the Fe pools bound by new chelators that have been designed to treat Fe overload or cancer.
At present, the nature of band C remains to be determined, but it is found in a wide variety of cell types, including a range of human NB cell lines, SK-Mel-28 human melanoma cells, human K562 leukemia cells, and mouse Friend leukemia cells. It is interesting that band C has similar characteristics to bands Y and Z, which we previously identified in rabbit reticulocytes when their heme synthesis was inhibited using succinylacetone.22 Like band C in neoplastic cells, bands Y and Z in reticulocytes comigrate with 59Fe-citrate, appear as diffuse bands in native PAGE gels, and could be chelated upon addition of DFO to the cell lyzate. At present, it is uncertain whether band C represents low molecular weight (Mr ) Fe complexes that are present in cells under physiologic conditions or whether this low Mr Fe has been removed from other intracellular components by the chelating properties of the buffers used for PAGE (eg, Tris). In addition, considering the diffuse nature of band C (Fig 6A and B), it should also be emphasized that it could represent a mixture of low Mr Fe complexes, and it is not necessarily a single species. Nevertheless, band C represents the main intracellular compartment that has been targeted by the range of Fe chelators used in this study.
Our PAGE data described above were supported by studies in which cells were preincubated for 15 minutes to 24 hours with 59Fe-Tf, and then DFO and analogue 311 examined for their ability to mobilize cellular 59Fe (Fig 5). After long incubation times (4 or 24 hours), a very large proportion of 59Fe was found stored in ferritin in neoplastic cells (Fig 6A), although it can probably be expected that after short incubations (eg, 15 minutes) a larger proportion of 59Fe will be present in intermediate forms. When cells were reincubated with chelator 311, much more cellular 59Fe was released from cells after 15 minutes (64%) compared with 24 hours of labeling with 59Fe-Tf (13%; Fig 5). These results suggest that the ligands were chelating intermediate forms of Fe rather than Fe stored in ferritin and substantiate our observations using native PAGE.
In this investigation, we have examined the effects of DFO and the PIH analogues on inducing apoptosis in a number neoplastic cell lines at a range of chelator concentrations and in the presence of human diferric Tf. Our results show for the first time that the effect of the chelators at inducing characteristics consistent with apoptosis were cell line specific. For example, neither DFO nor 311 was capable of inducing apoptosis in IMR-32 NB cells or K562 erythroleukemia cells, with the cells probably dying via necrosis. In contrast, the chelators caused apoptosis in the HL-60 and SK-N-MC cell lines. These data could indicate that there are distinct pathways of cell death in different cell types, as reported by investigators using other agents.39
Because of the ability of DFO to induce cell death via apoptosis in CCRF-CEM leukemic cells and the ability of Fe to prevent this effect, Ul-Haq et al28 have suggested that Fe may suppress apoptotic cell death. However, as shown in the present investigation, Fe chelation by DFO or 311 does not result in apoptosis in all cell types, which indicates that Fe is not a universally important regulator of this process. Furthermore, although DFO was shown to induce apoptosis in our study and in previous work,24 it is relevant to note that, after 24 hours of incubation, apoptosis was observed only at DFO concentrations well above that which is usually clinically achievable (8 to 20 μmol/L).34 Hence, it is probable that longer exposure times to clinically relevant concentrations of DFO are necessary to induce apoptosis in proliferating cells. This latter observation underlines the importance of chelators such as the PIH analogues that can inhibit cell growth and induce apoptosis at very low concentrations.
In the present study, DFO was shown to result in an increase in the proportion of cells in the Go/G1 phases and a decrease in the S phase, as found in other investigations.37,40,41 It has also been reported that DFO arrests cells at the G2/M phases,42,43 as does the chelator ICRF 159.44 It is thought that DFO arrests cells at G1/S due to inhibition of ribonucleotide reductase, resulting in a lack of deoxyribonucleotides for DNA synthesis.2 36 In our current work, DFO resulted in an increase in the proportion of cells in the Go/G1 phases of the cell cycle and a decrease in the S phase in all cell types studied. In contrast, the effect of the more potent Fe chelator 311 was variable depending on the cell line. For example, using the IMR-32 and K562 cell lines, chelator 311 decreased the proportion of cells in the S phase and increased the proportion in the Go/G1 phases, whereas in SK-N-MC cells there was an increase in the proportion of cells in the S phase and a decrease in the Go/G1 and G2/M phases. These results can be interpreted as indicating that, depending on the cell type, there may be several sites in the cell cycle in which 311 may act.
It should be stressed that the excellent in vitro activity of PIH contrasts with its failure to induce Fe excretion in long-term in vivo experiments and in clinical studies.45 This paradox could be due to the acid-catalyzed hydrolysis of the hydrazone in the gastrointestinal tract that may be overcome by providing the drug with an enteric coating or administering it with calcium carbonate.46 Further studies in animal models are therefore essential to determine the oral activity of these analogues as well as their possible toxic effects. In conclusion, the PIH analogues are potent Fe chelators that effectively inhibit tumor cell growth and certainly deserve further careful investigation in terms of their possible clinical use.
ACKNOWLEDGMENT
We gratefully acknowledge Dr T.M. Jeitner (Department of Cell Biology and Physiology, Albany Medical College, Albany, NY) for recording the flow cytometric data and for many helpful discussions. The authors also thank Prof Prem Ponka (Lady Davis Institute) for the initial supply of the PIH analogues. Dr Erica Baker (Department of Physiology, University of Western Australia, Perth, Western Australia) is sincerely thanked for critically reading the manuscript.
Supported by operating grants from the Medical Research Council of Canada and a Terry Fox New Investigator Award from the National Cancer Institute of Canada (to D.R.R.). D.R.R. was the recipient of a Medical Research Council of Canada Scholarship.
Address reprint requests to D.R. Richardson, BSc, MSc, PhD, James Cook University of North Queensland, School of Molecular Sciences, Department of Physiology and Pharmacology, Townsville, Queensland, 4811, Australia.







