Objective
Chronic lymphocytic leukemia (CLL) is a heterogeneous disease and characterized by the accumulation of monoclonal B lymphocytes in blood, bone marrow and lymphoid tissues. Although diagnosis and therapy have been developing, several high-risk features for CLL patients have been identified, only few of them are well-characterized and clinically actionable. IGHV mutation status has been confirmed as a valuable independent prognostic factor. However, it is of vital importance to explore alternative markers because the detection method of IGHV mutation is expensive and time consuming, which limits its application in the routine laboratory diagnosis process. Thus, further exploration of effective diagnostic biomarkers for CLL are worthy and important. Circular RNAs (circRNAs), a novel family of non-coding RNAs, have been described as critical regulators of gene expression and are stable in exosomes. However, the compelling role of circRNAs in mediating CLL progression was still poorly understood. In this study, we attempted to identify a novel circRNA which could serve as a plasma biomarker and explore its molecular mechanism and clinical significance in CLL.
Methods
To analyse circRNAs expression profiles in CLL, plasma samples from three untreated CLL patients and five normal donors were collected for circRNA microarray. Then, we validated and analysed the clinical characteristics of candidate circRNAs in a larger cohort of patients (137 CLL patients vs. 50 healthy donors, age- and sex-matched). The receiver-operating characteristic (ROC) curve analysis was performed to evaluate the potential diagnostic value of circ-RPL15 as a biomarker for CLL, plasma and PBMC samples from multiple lymphomas were collected for qRT-PCR detection as well. The oncogenic functions of circ-RPL15 were further measured in CLL cell lines (MEC-1 and JVM-3) by performing RNA interfering (RNAi), immunofluorescence (IF) staining, CCK8 assay and flow cytometry. Moreover, we explored the molecular mechanisms of circ-RPL15 and verified the interactions among POLR2A, circ-RPL15, miR-146b-3p and RAF1 by performing RNA-FISH, ChIP, RIP, dual-luciferase reporter assay and Western blotting.
Results
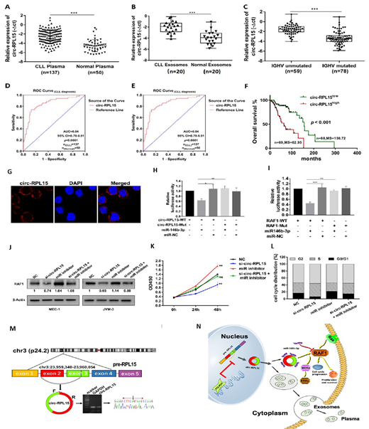
A total of 3,656 circRNAs were identified, among which 71 circRNAs were dysregulated in CLL patients ( p≤0.05) and circ-RPL15 showed the most significantly high expression level and was finally selected for further investigation. Circ-RPL15 was abundantly present in exosomes and was significantly higher expressed in CLL compared with normal and other lymphomas. Moreover, we found that circ-RPL15 was highly relevant to IGHV region mutation status, which has long been considered as an important prognostic indicator of CLL. Patients without IGHV mutation presented a higher circ-RPL15 levels and the ROC curve showed that circ-RPL15 could be a good alternative to IGHV status with AUC values of 0.86. Kaplan-Meier analysis showed that CLL patients with circ-RPL15 high expression had a significantly poorer OS than those with low expression of circ-RPL15 (Figure A-F). Next, we unraveled an original mechanism in CLL that up-regulated circ-RPL15 was mainly enriched in the cytoplasm, acted as a "sponge" of miR-146b-3p. CCK8 assay and flow cytometry analysis showed that the cell viability of CLL cell lines were evidently decreased after RNAi of circ-RPL15 and this result could be reversed by miR-146b-3p inhibitor transfection. Western blot suggested a critical role of circRPL15- sponged miR-146b-3p in the regulation of RAS/RAF1/MEK/ERK pathway (Figure G-L). Furthermore, we identified circ-RPL15, a circRNA derived from exon 2 and partial exon 3 of RPL15 pre-mRNA which is located on chromosome 3p24.2, was negatively regulated by transcription factor POLR2A and delivered by exosomes into CLL patient plasma (Figure M,N).
Conclusion
In this study, we uncovered a novel oncogenic biomarker for CLL patients, which contributes to promoting CLL progression and is associated with poor outcome. The higher expression of circ-RPL15 was positively correlated with IGHV mutation status which is crucial in the evaluation of CLL prognosis. The miR-146b-3p mediated suppression of RAS/RAF1/MEK/ERK pathway could be alleviated by circ-RPL15 up-regulation in CLL. Our results revealed that circ-RPL15 may represent a promising plasma biomarker for the diagnosis and prognosis of CLL as well as a reliable surrogate of IGHV mutation status.
No relevant conflicts of interest to declare.
Author notes
Asterisk with author names denotes non-ASH members.
