Abstract
Myeloproliferative neoplasms (MPN) are clonal hematopoietic disorders characterized by aberrant proliferation of erythroid, megakaryocytic and myeloid lineages. They are associated with decreased survival, thromboembolic complications, hemorrhage and leukemic transformation. MPN can be subdivided into polycythemiavera(PV), essentialthrombocythemia(ET) and primary myelofibrosis (PMF). The JAK2-V617F mutation is present in 70-80% of all MPN patients. MPN is initiated and maintained by mutated hematopoietic stem and progenitor cells (HSPC). Bone marrow mesenchymal stem cells expressing the intermediate filament proteinnestin(nestin+ MSCs) that are innervated by sympathetic nerve fibers constitute an important component of the stem cell niche and regulate normal HSCs. Thesenestin+ MSCs are strongly reduced in bone marrow of JAK2-V617F positive MPN patients and in mice expressing JAK2-V617F due to damage of the sympathetic nerve fibers triggered by cytokines from the mutant cells. In a JAK2-V617F mouse model of MPN, treatment with a beta-3sympathicomimeticagonist corrected the damage inflicted by the MPN clones on their niches and ameliorated the MPN phenotype. To test the potentially beneficial effect on disease-control by modulating bone marrow niche cells in patients with MPN, we performed a phase II trial with the beta-3sympathicomimeticagonistmirabegron.
Patients and Methods:
The trial consisted ofmirabegrontreatment with 25 mg daily during the first week, followed by 50 mg daily for at least 24 weeks. Patients with acytohistologicallyconfirmed diagnosis of MPN and a JAK2-V617F allele burden >20% in granulocytes at study entry were eligible, if not treated with JAK2 inhibitors or interferon. Reduction of the JAK2-V617F mutant allele burden ³50% in granulocytes was defined as the primary end point. Secondary end points included changes in blood counts or MPN related symptoms. As a side study, bone marrow biopsies were quantified fornestin+ MSCs, fibrosis and CD34+ HSPCs. N=39 patients have been accrued in 10 institutions in Switzerland. Eight (21%) had ET, 22 (56%) PV, and 9 (23%) PMF. N=27 (69%) were male, the median age was 62 (Q1-Q3 53-72) years. Median mutated allele burden at study onset was 52% (Q1-Q3 33-73%). All patients had prior treatment, N=28 (72%) patients hadcytoreductivetreatment, the remaining patients hadantiaggregation, anticoagulation or phlebotomy.
Results:
No patient reached the primary endpoint of 50% reduction in allele burden, one patient achieved a 25% reduction by 24 weeks of treatment. Adverse events were mostly grade I or II on the CTCAE scale. Three patients had grade III events: two were considered to be at least possibly related to study medication.
In the side study, 24 patients agreed to bone marrow biopsy prior to and at the end ofmirabegrontreatment and for 20 patients both measurements are available. In these patients an increase in thenestin+ MSCs cells from a median of 1.09 (Q1-Q3 0.38-3.27)/mm2 to 3.95 (Q1-Q3 1.98-8.79)/mm2 (p<0.0001, Wilcoxon signed-rank test) and a slight decrease of myelofibrosis from a median grade of 1.00 (Q1-Q3 0.50-3.00) to 0.75 (Q1-Q3 0.50-2.00) (p=0.02), were observed. The mean change in thenestin+ cells from baseline to week 24 was 3.52 (95% confidence interval 1.65-5.39)/mm2. Morphometric changes in thenestin+ MSCs were significant for PV (n=13, p=0.007) and PMF (n=5, p=0.04). Bone marrow CD34+ cells slightly increased from a median 2.50 (Q1-Q3 2.00-3.25) to 3.00 (Q1-Q3 2.00-3.75) (p=0.06).
Conclusion:
In this prospective phase II clinical trial treatment with the beta-3-sympathicomimetic agonistmirabegronfor 24 weeks failed to achieve the primary endpoint to reduce the JAK2-V617F mutant allele burden >50% in patients with MPN. However, an increase in thenestin+ MSCs in bone marrow and a slight decrease of myelofibrosis were found, which will be further investigated.
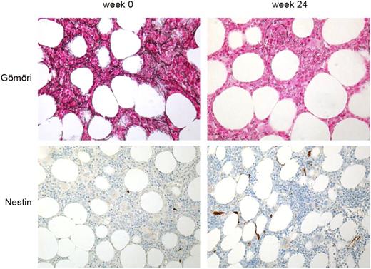
Bone marrow histology of a patient before (week 0) and at the end ofmirabegron treatment (week 24). Upper panel,reticulin fibers are stained black by silver impregnation (Gomori). Lower panel, immunohistochemistry staining with antibodies against humannestin protein (brown staining). Note decrease inreticulin fibrosis and increase innestin+ cells after 24 weeks of treatment. Magnification: 200x.
Bone marrow histology of a patient before (week 0) and at the end ofmirabegron treatment (week 24). Upper panel,reticulin fibers are stained black by silver impregnation (Gomori). Lower panel, immunohistochemistry staining with antibodies against humannestin protein (brown staining). Note decrease inreticulin fibrosis and increase innestin+ cells after 24 weeks of treatment. Magnification: 200x.
Theocharides:Novartis: Consultancy, Honoraria. Rüfer:Novartis: Consultancy, Speakers Bureau. Benz:Celgene: Consultancy. Tzankov:Novartis: Speakers Bureau; Abbott: Speakers Bureau. Skoda:Novartis: Consultancy, Speakers Bureau; Baxalta: Speakers Bureau; Shire: Consultancy, Speakers Bureau.
Author notes
Asterisk with author names denotes non-ASH members.
