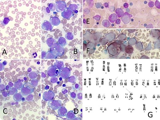
A 23-year-old man with no medical history presented with brutal pain of the lower limbs and night sweats. Complete blood count revealed marked thrombocytopenia with 47 × 109/L platelets, a leukocyte count of 8.74 × 109/L, and a hemoglobin level of 12.9 g/dL. Microscopic observation of a blood smear demonstrated 9% giant blasts (panel A) with an irregular nucleus and cytoplasmic granules. A bone marrow smear revealed a hypercellular marrow with excess blasts (36%) (panel B) and erythrophagocytosis (panels C-D). Cytochemical staining showed strong butyrate and myeloperoxidase activity (panels E-F). Immunophenotyping revealed a high expression of CD13, CD33, CD4, and CD14 but lack of CD34 and CD117, confirming the myelomonocytic lineage. The karyotype was highly suggestive of t(8;16) (panel G), which was verified by fluorescence in situ hybridization analysis, and t(8;16)(p11;p13) with KAT6A/CREBBP fusion was confirmed.
Acute myeloid leukemia (AML) with t(8;16) is a very rare disease (<1% of AML) that is found in both children and adults, with a female predominance and often a history of solid tumor or hematologic disease. This case illustrates the importance of recognizing these blasts characterized by erythrophagocytosis together with myeloperoxidase and butyrate positivity. These features should prompt exploration of t(8;16) KAT6A/CREBBP, which is associated with a poor prognosis, except in neonates, where it can be spontaneously resolutive.
A 23-year-old man with no medical history presented with brutal pain of the lower limbs and night sweats. Complete blood count revealed marked thrombocytopenia with 47 × 109/L platelets, a leukocyte count of 8.74 × 109/L, and a hemoglobin level of 12.9 g/dL. Microscopic observation of a blood smear demonstrated 9% giant blasts (panel A) with an irregular nucleus and cytoplasmic granules. A bone marrow smear revealed a hypercellular marrow with excess blasts (36%) (panel B) and erythrophagocytosis (panels C-D). Cytochemical staining showed strong butyrate and myeloperoxidase activity (panels E-F). Immunophenotyping revealed a high expression of CD13, CD33, CD4, and CD14 but lack of CD34 and CD117, confirming the myelomonocytic lineage. The karyotype was highly suggestive of t(8;16) (panel G), which was verified by fluorescence in situ hybridization analysis, and t(8;16)(p11;p13) with KAT6A/CREBBP fusion was confirmed.
Acute myeloid leukemia (AML) with t(8;16) is a very rare disease (<1% of AML) that is found in both children and adults, with a female predominance and often a history of solid tumor or hematologic disease. This case illustrates the importance of recognizing these blasts characterized by erythrophagocytosis together with myeloperoxidase and butyrate positivity. These features should prompt exploration of t(8;16) KAT6A/CREBBP, which is associated with a poor prognosis, except in neonates, where it can be spontaneously resolutive.
For additional images, visit the ASH IMAGE BANK, a reference and teaching tool that is continually updated with new atlas and case study images. For more information visit http://imagebank.hematology.org.
